Molecular Mechanisms and Biomarkers Associated with Chemotherapy-Induced AKI
Abstract
1. Introduction
2. Epidemiology
3. Risk Factors
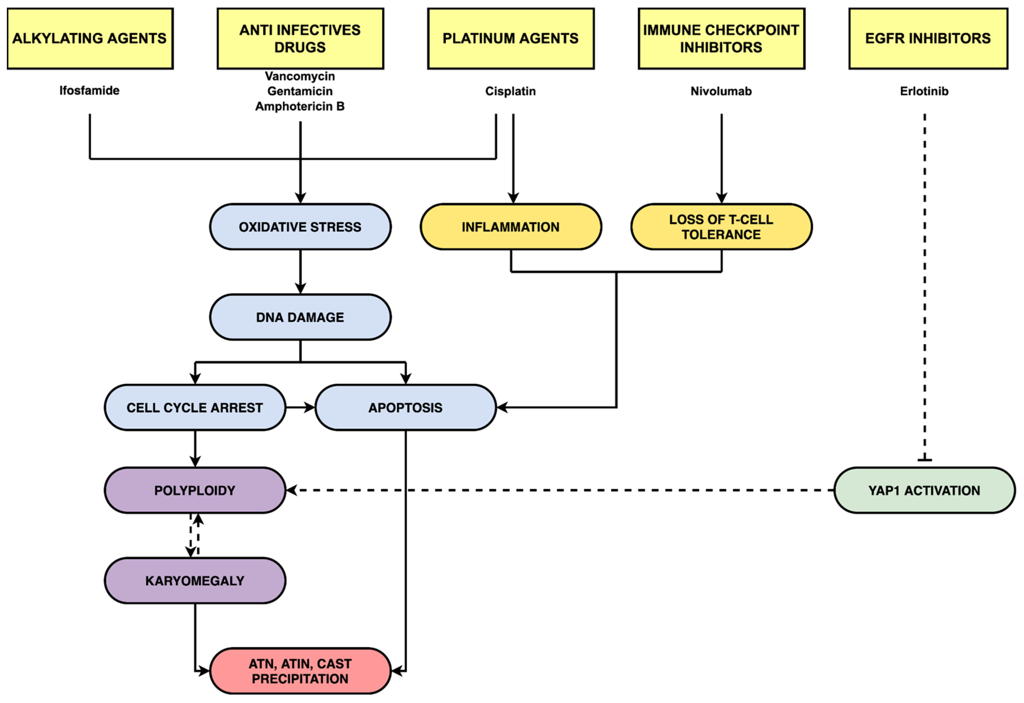
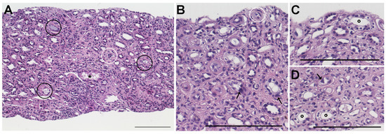
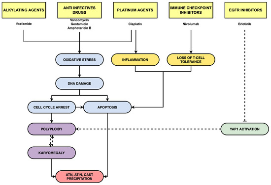
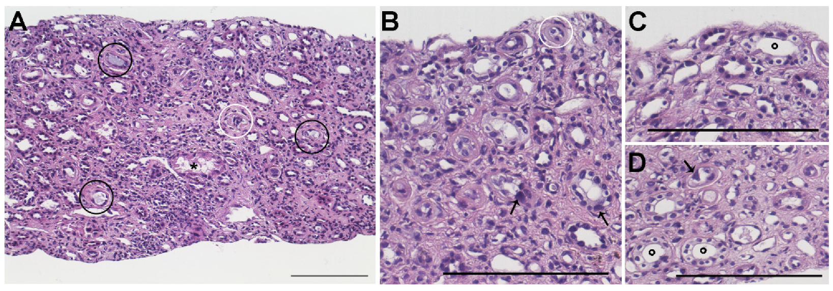
4. Mechanisms and Clinical Manifestations
5. Biomarker-Guided Diagnosis
6. Management
7. Conclusions
Author Contributions
Funding
Institutional Review Board Statement
Informed Consent Statement
Data Availability Statement
Conflicts of Interest
References
- Kellum, J.A.; Romagnani, P.; Ashuntantang, G.; Ronco, C.; Zarbock, A.; Anders, H.-J. Acute Kidney Injury. Nat. Rev. Dis. Primers 2021, 7, 52. [Google Scholar] [CrossRef] [PubMed]
- Romagnani, P.; Remuzzi, G.; Glassock, R.; Levin, A.; Jager, K.J.; Tonelli, M.; Massy, Z.; Wanner, C.; Anders, H.-J. Chronic Kidney Disease. Nat. Rev. Dis. Primers 2017, 3, 17088. [Google Scholar] [CrossRef] [PubMed]
- Case, J.; Khan, S.; Khalid, R.; Khan, A. Epidemiology of Acute Kidney Injury in the Intensive Care Unit. Crit. Care Res. Pract. 2013, 2013, 479730. [Google Scholar] [CrossRef] [PubMed]
- Park, S.E.; Hwang, J.H.; Choi, J.H.; Kim, S.-H.; Choi, J.C.; Jang, J.S.; Kim, H.J.; Park, S.W.; Seok, J.W.; Hwang, I.G. Incidence, Risk Factors, and Clinical Outcomes of Acute Kidney Injury Caused by Palliative Chemotherapy in Lung Cancer. J. Cancer 2019, 10, 5332–5338. [Google Scholar] [CrossRef]
- Santos, M.L.C.; de Brito, B.B.; da Silva, F.A.F.; Botelho, A.C.D.S.; de Melo, F.F. Nephrotoxicity in Cancer Treatment: An Overview. World J. Clin. Oncol. 2020, 11, 190–204. [Google Scholar] [CrossRef]
- Cosmai, L.; Porta, C.; Foramitti, M.; Perrone, V.; Mollica, L.; Gallieni, M.; Capasso, G. Preventive Strategies for Acute Kidney Injury in Cancer Patients. Clin. Kidney J. 2021, 14, 70–83. [Google Scholar] [CrossRef]
- James, M.T.; Bhatt, M.; Pannu, N.; Tonelli, M. Long-Term Outcomes of Acute Kidney Injury and Strategies for Improved Care. Nat. Rev. Nephrol. 2020, 16, 193–205. [Google Scholar] [CrossRef]
- Lameire, N.H.; Levin, A.; Kellum, J.A.; Cheung, M.; Jadoul, M.; Winkelmayer, W.C.; Stevens, P.E. Conference Participants Harmonizing Acute and Chronic Kidney Disease Definition and Classification: Report of a Kidney Disease: Improving Global Outcomes (KDIGO) Consensus Conference. Kidney Int. 2021, 100, 516–526. [Google Scholar] [CrossRef]
- Perazella, M.A.; Moeckel, G.W. Nephrotoxicity from Chemotherapeutic Agents: Clinical Manifestations, Pathobiology, and Prevention/therapy. Semin. Nephrol. 2010, 30, 570–581. [Google Scholar] [CrossRef]
- Mattiuzzi, C.; Lippi, G. Current Cancer Epidemiology. J. Epidemiol. Glob. Health 2019, 9, 217–222. [Google Scholar] [CrossRef]
- Arnold, M.; Rutherford, M.J.; Bardot, A.; Ferlay, J.; Andersson, T.M.-L.; Myklebust, T.Å.; Tervonen, H.; Thursfield, V.; Ransom, D.; Shack, L.; et al. Progress in Cancer Survival, Mortality, and Incidence in Seven High-Income Countries 1995-2014 (ICBP SURVMARK-2): A Population-Based Study. Lancet Oncol. 2019, 20, 1493–1505. [Google Scholar] [CrossRef]
- Denlinger, C.S.; Carlson, R.W.; Are, M.; Scott Baker, K.; Davis, E.; Edge, S.B.; Friedman, D.L.; Goldman, M.; Jones, L.; King, A.; et al. Survivorship: Introduction and Definition. J. Natl. Compr. Cancer Netw. 2014, 12, 34–45. [Google Scholar] [CrossRef] [PubMed]
- Kitchlu, A.; McArthur, E.; Amir, E.; Booth, C.M.; Sutradhar, R.; Majeed, H.; Nash, D.M.; Silver, S.A.; Garg, A.X.; Chan, C.T.; et al. Acute Kidney Injury in Patients Receiving Systemic Treatment for Cancer: A Population-Based Cohort Study. J. Natl. Cancer Inst. 2019, 111, 727–736. [Google Scholar] [CrossRef] [PubMed]
- Cheng, Y.; Nie, S.; Li, L.; Li, Y.; Liu, D.; Xiong, M.; Wang, L.; Ge, S.; Xu, G. EACH study investigators Epidemiology and Outcomes of Acute Kidney Injury in Hospitalized Cancer Patients in China. Int. J. Cancer 2019, 144, 2644–2650. [Google Scholar] [CrossRef]
- Christiansen, C.F.; Johansen, M.B.; Langeberg, W.J.; Fryzek, J.P.; Sørensen, H.T. Incidence of Acute Kidney Injury in Cancer Patients: A Danish Population-Based Cohort Study. Eur. J. Intern. Med. 2011, 22, 399–406. [Google Scholar] [CrossRef]
- Fisher, R.; Dangoisse, C.; Crichton, S.; Whiteley, C.; Camporota, L.; Beale, R.; Ostermann, M. Short-Term and Medium-Term Survival of Critically Ill Patients with Solid Tumours Admitted to the Intensive Care Unit: A Retrospective Analysis. BMJ Open 2016, 6, e011363. [Google Scholar] [CrossRef]
- Ostermann, M.; Ferrando-Vivas, P.; Gore, C.; Power, S.; Harrison, D. Characteristics and Outcome of Cancer Patients Admitted to the ICU in England, Wales, and Northern Ireland and National Trends Between 1997 and 2013. Crit. Care Med. 2017, 45, 1668–1676. [Google Scholar] [CrossRef]
- Taccone, F.S.; Artigas, A.A.; Sprung, C.L.; Moreno, R.; Sakr, Y.; Vincent, J.-L. Characteristics and Outcomes of Cancer Patients in European ICUs. Crit. Care 2009, 13, R15. [Google Scholar] [CrossRef]
- Libório, A.B.; Abreu, K.L.S.; Silva, G.B., Jr.; Lima, R.S.A.; Barreto, A.G.C.; Barbosa, O.A.; Daher, E.F. Predicting Hospital Mortality in Critically Ill Cancer Patients according to Acute Kidney Injury Severity. Oncology 2011, 80, 160–166. [Google Scholar] [CrossRef]
- Canet, E.; Zafrani, L.; Lambert, J.; Thieblemont, C.; Galicier, L.; Schnell, D.; Raffoux, E.; Lengline, E.; Chevret, S.; Darmon, M.; et al. Acute Kidney Injury in Patients with Newly Diagnosed High-Grade Hematological Malignancies: Impact on Remission and Survival. PLoS ONE 2013, 8, e55870. [Google Scholar] [CrossRef]
- Seylanova, N.; Crichton, S.; Zhang, J.; Fisher, R.; Ostermann, M. Acute Kidney Injury in Critically Ill Cancer Patients Is Associated with Mortality: A Retrospective Analysis. PLoS ONE 2020, 15, e0232370. [Google Scholar] [CrossRef] [PubMed]
- Darmon, M.; Ciroldi, M.; Thiery, G.; Schlemmer, B.; Azoulay, E. Clinical Review: Specific Aspects of Acute Renal Failure in Cancer Patients. Crit. Care 2006, 10, 211. [Google Scholar] [CrossRef] [PubMed]
- Koeze, J.; Keus, F.; Dieperink, W.; van der Horst, I.C.C.; Zijlstra, J.G.; van Meurs, M. Incidence, Timing and Outcome of AKI in Critically Ill Patients Varies with the Definition Used and the Addition of Urine Output Criteria. BMC Nephrol. 2017, 18, 1–9. [Google Scholar] [CrossRef] [PubMed]
- Bellomo, R.; Ronco, C.; Kellum, J.A.; Mehta, R.L.; Palevsky, P. Acute Dialysis Quality Initiative Workgroup. Acute Renal Failure—Definition, Outcome Measures, Animal Models, Fluid Therapy and Information Technology Needs: The Second International Consensus Conference of the Acute Dialysis Quality Initiative (ADQI) Group. Crit. Care 2004, 8, R204–R212. [Google Scholar]
- Mehta, R.L.; Kellum, J.A.; Shah, S.V.; Molitoris, B.A.; Ronco, C.; Warnock, D.G.; Levin, A.; Acute Kidney Injury Network. Acute Kidney Injury Network: Report of an Initiative to Improve Outcomes in Acute Kidney Injury. Crit. Care 2007, 11, R31. [Google Scholar] [CrossRef]
- KDIGO. Section 1: Introduction and Methodology. Kidney Int. Suppl. 2012, 2, 13–18. [Google Scholar] [CrossRef]
- Kim, S.-Y.; Moon, A.-R. Drug-Induced Nephrotoxicity and Its Biomarkers. Biomol. Ther. 2012, 20, 268–272. [Google Scholar] [CrossRef]
- Levin, A.; Stevens, P.E.; Bilous, R.W.; Coresh, J.; de Francisco, A.L.M.; de Jong, P.E.; Griffith, K.E.; Hemmelgarn, B.R.; Iseki, K.; Lamb, E.J.; et al. Kidney Disease: Improving Global Outcomes (KDIGO) CKD Work Group. KDIGO 2012 Clinical Practice Guideline for the Evaluation and Management of Chronic Kidney Disease. Kidney Int. Suppl. 2013, 3, 1–150. [Google Scholar]
- Mehta, R.L.; Burdmann, E.A.; Cerdá, J.; Feehally, J.; Finkelstein, F.; García-García, G.; Godin, M.; Jha, V.; Lameire, N.H.; Levin, N.W.; et al. Recognition and Management of Acute Kidney Injury in the International Society of Nephrology 0by25 Global Snapshot: A Multinational Cross-Sectional Study. Lancet 2016, 387, 2017–2025. [Google Scholar] [CrossRef]
- Sanders, P.W. Pathogenesis and Treatment of Myeloma Kidney. J. Lab. Clin. Med. 1994, 124, 484–488. [Google Scholar]
- Abu-Alfa, A.K.; Younes, A. Tumor Lysis Syndrome and Acute Kidney Injury: Evaluation, Prevention, and Management. Am. J. Kidney Dis. 2010, 55, S1–S13. [Google Scholar] [CrossRef]
- Simsek, S.; Oen, A.L.; Comans, E.F.I.; d Hoeven, J.J.M.V.; Zijlstra, J. Acute Renal Failure due to Non-Hodgkin Lymphoma Infiltration of the Kidneys Detected by Ultrasonography and Confirmed by Positron Emission Tomography. Clin. Nephrol. 2003, 59, 383–387. [Google Scholar] [CrossRef]
- Izzedine, H.; Perazella, M.A. Thrombotic Microangiopathy, Cancer, and Cancer Drugs. Am. J. Kidney Dis. 2015, 66, 857–868. [Google Scholar] [CrossRef] [PubMed]
- Meraz-Munoz, A.; Langote, A.; D Jhaveri, K.; Izzedine, H.; Gudsoorkar, P. Acute Kidney Injury in the Patient with Cancer. Diagnostics 2021, 11, 611. [Google Scholar] [CrossRef]
- Perazella, M.A.; Herlitz, L.C. The Crystalline Nephropathies. Kidney Int. Rep. 2021, 6, 2942–2957. [Google Scholar] [CrossRef] [PubMed]
- Leaf, D.E.; Christov, M. Dysregulated Mineral Metabolism in AKI. Semin. Nephrol. 2019, 39, 41–56. [Google Scholar] [CrossRef] [PubMed]
- Zhang, M.; Hsu, R.; Hsu, C.-Y.; Kordesch, K.; Nicasio, E.; Cortez, A.; McAlpine, I.; Brady, S.; Zhuo, H.; Kangelaris, K.N.; et al. FGF-23 and PTH Levels in Patients with Acute Kidney Injury: A Cross-Sectional Case Series Study. Ann. Intensive Care 2011, 1, 21. [Google Scholar] [CrossRef] [PubMed]
- Münz, S.; Feger, M.; Edemir, B.; Föller, M. Up-Regulation of Fibroblast Growth Factor 23 Gene Expression in UMR106 Osteoblast-like Cells with Reduced Viability. Cells 2021, 11, 40. [Google Scholar] [CrossRef] [PubMed]
- Ewendt, F.; Feger, M.; Föller, M. Role of Fibroblast Growth Factor 23 (FGF23) and αKlotho in Cancer. Front. Cell Dev. Biol. 2020, 8, 601006. [Google Scholar] [CrossRef] [PubMed]
- Małyszko, J.; Kozlowski, L.; Kozłowska, K.; Małyszko, M.; Małyszko, J. Cancer and the Kidney: Dangereoux Liasons or Price Paid for the Progress in Medicine? Oncotarget 2017, 8, 66601–66619. [Google Scholar] [CrossRef]
- Wong, L.-M.; Cleeve, L.K.; Milner, A.D.; Pitman, A.G. Malignant Ureteral Obstruction: Outcomes after Intervention. Have Things Changed? J. Urol. 2007, 178, 178–183. [Google Scholar] [CrossRef] [PubMed]
- Kogon, A.; Hingorani, S. Acute Kidney Injury in Hematopoietic Cell Transplantation. Semin. Nephrol. 2010, 30, 615–626. [Google Scholar] [CrossRef] [PubMed][Green Version]
- Benoit, D.D.; Hoste, E.A.; Depuydt, P.O.; Offner, F.C.; Lameire, N.H.; Vandewoude, K.H.; Dhondt, A.W.; Noens, L.A.; Decruyenaere, J.M. Outcome in Critically Ill Medical Patients Treated with Renal Replacement Therapy for Acute Renal Failure: Comparison between Patients with and Those without Haematological Malignancies. Nephrol. Dial. Transplant. 2005, 20, 552–558. [Google Scholar] [CrossRef] [PubMed]
- Rosner, M.H.; Perazella, M.A. Acute Kidney Injury in Patients with Cancer. N. Engl. J. Med. 2017, 376, 1770–1781. [Google Scholar] [CrossRef]
- Liu, S.; Zhao, J.; Wang, F. Acute Kidney Injury in Cancer Patients. Clin. Exp. Nephrol. 2022, 26, 103–112. [Google Scholar] [CrossRef]
- Malfroy, S.; Wallet, F.; Maucort-Boulch, D.; Chardonnal, L.; Sens, N.; Friggeri, A.; Passot, G.; Glehen, O.; Piriou, V. Complications after Cytoreductive Surgery with Hyperthermic Intraperitoneal Chemotherapy for Treatment of Peritoneal Carcinomatosis: Risk Factors for ICU Admission and Morbidity Prognostic Score. Surg. Oncol. 2016, 25, 6–15. [Google Scholar] [CrossRef]
- Chen, K.L.; Shamavonian, R.; Karpes, J.B.; Alzahrani, N.A.; Morris, D.L. Acute Kidney Injury Following Hyperthermic Intraperitoneal Chemotherapy with Cisplatin. Anticancer Res. 2021, 41, 1641–1646. [Google Scholar] [CrossRef]
- Robert, C. A Decade of Immune-Checkpoint Inhibitors in Cancer Therapy. Nat. Commun. 2020, 11, 3801. [Google Scholar] [CrossRef]
- Gupta, S.; Short, S.A.P.; Sise, M.E.; Prosek, J.M.; Madhavan, S.M.; Soler, M.J.; Ostermann, M.; Herrmann, S.M.; Abudayyeh, A.; Anand, S.; et al. Acute Kidney Injury in Patients Treated with Immune Checkpoint Inhibitors. J. Immunother. Cancer 2021, 9, e003467. [Google Scholar] [CrossRef]
- Basile, D.P.; Anderson, M.D.; Sutton, T.A. Pathophysiology of Acute Kidney Injury. Compr. Physiol. 2012, 2, 1303–1353. [Google Scholar]
- Kers, J.; Leemans, J.C.; Linkermann, A. An Overview of Pathways of Regulated Necrosis in Acute Kidney Injury. Semin. Nephrol. 2016, 36, 139–152. [Google Scholar] [CrossRef] [PubMed]
- Linkermann, A.; Skouta, R.; Himmerkus, N.; Mulay, S.R.; Dewitz, C.; de Zen, F.; Prokai, A.; Zuchtriegel, G.; Krombach, F.; Welz, P.-S.; et al. Synchronized Renal Tubular Cell Death Involves Ferroptosis. Proc. Natl. Acad. Sci. USA 2014, 111, 16836–16841. [Google Scholar] [CrossRef] [PubMed]
- Linkermann, A.; Stockwell, B.R.; Krautwald, S.; Anders, H.-J. Regulated Cell Death and Inflammation: An Auto-Amplification Loop Causes Organ Failure. Nat. Rev. Immunol. 2014, 14, 759–767. [Google Scholar] [CrossRef] [PubMed]
- Lazzeri, E.; Angelotti, M.L.; Peired, A.; Conte, C.; Marschner, J.A.; Maggi, L.; Mazzinghi, B.; Lombardi, D.; Melica, M.E.; Nardi, S.; et al. Endocycle-Related Tubular Cell Hypertrophy and Progenitor Proliferation Recover Renal Function after Acute Kidney Injury. Nat. Commun. 2018, 9, 1344. [Google Scholar] [CrossRef]
- Galanski, M.; Jakupec, M.A.; Keppler, B.K. Update of the Preclinical Situation of Anticancer Platinum Complexes: Novel Design Strategies and Innovative Analytical Approaches. Curr. Med. Chem. 2005, 12, 2075–2094. [Google Scholar] [CrossRef]
- Miller, R.P.; Tadagavadi, R.K.; Ramesh, G.; Reeves, W.B. Mechanisms of Cisplatin Nephrotoxicity. Toxins 2010, 2, 2490–2518. [Google Scholar] [CrossRef]
- Lam, M.; Adelstein, D.J. Hypomagnesemia and Renal Magnesium Wasting in Patients Treated with Cisplatin. Am. J. Kidney Dis. 1986, 8, 164–169. [Google Scholar] [CrossRef]
- Kim, S.-W.; Lee, J.-U.; Nah, M.-Y.; Kang, D.-G.; Ahn, K.-Y.; Lee, H.-S.; Choi, K.-C. Cisplatin Decreases the Abundance of Aquaporin Water Channels in Rat Kidney. J. Am. Soc. Nephrol. 2001, 12, 875–882. [Google Scholar] [CrossRef]
- McSweeney, K.R.; Gadanec, L.K.; Qaradakhi, T.; Ali, B.A.; Zulli, A.; Apostolopoulos, V. Mechanisms of Cisplatin-Induced Acute Kidney Injury: Pathological Mechanisms, Pharmacological Interventions, and Genetic Mitigations. Cancers 2021, 13, 1572. [Google Scholar] [CrossRef]
- Perše, M.; Večerić-Haler, Ž. Cisplatin-Induced Rodent Model of Kidney Injury: Characteristics and Challenges. Biomed. Res. Int. 2018, 2018, 1462802. [Google Scholar] [CrossRef]
- Crona, D.J.; Faso, A.; Nishijima, T.F.; McGraw, K.A.; Galsky, M.D.; Milowsky, M.I. A Systematic Review of Strategies to Prevent Cisplatin-Induced Nephrotoxicity. Oncologist 2017, 22, 609–619. [Google Scholar] [CrossRef] [PubMed]
- Fang, C.-Y.; Lou, D.-Y.; Zhou, L.-Q.; Wang, J.-C.; Yang, B.; He, Q.-J.; Wang, J.-J.; Weng, Q.-J. Natural Products: Potential Treatments for Cisplatin-Induced Nephrotoxicity. Acta Pharmacol. Sin. 2021, 42, 1951–1969. [Google Scholar] [CrossRef] [PubMed]
- Jamieson, E.R.; Lippard, S.J. Structure, Recognition, and Processing of Cisplatin-DNA Adducts. Chem. Rev. 1999, 99, 2467–2498. [Google Scholar] [CrossRef]
- Nandakumar, S.; Grushko, O.; Buttitta, L.A. Polyploidy in the Adult Brain. eLife 2020, 9, e54385. [Google Scholar] [CrossRef] [PubMed]
- Zhu, S.; Pabla, N.; Tang, C.; He, L.; Dong, Z. DNA Damage Response in Cisplatin-Induced Nephrotoxicity. Arch. Toxicol. 2015, 89, 2197–2205. [Google Scholar] [CrossRef]
- Hurley, P.J.; Bunz, F. ATM and ATR: Components of an Integrated Circuit. Cell Cycle 2007, 6, 414–417. [Google Scholar] [CrossRef] [PubMed]
- Woods, D.; Turchi, J.J. Chemotherapy Induced DNA Damage Response: Convergence of Drugs and Pathways. Cancer Biol. Ther. 2013, 14, 379–389. [Google Scholar] [CrossRef]
- Thomasova, D.; Anders, H.-J. Cell Cycle Control in the Kidney. Nephrol. Dial. Transplant. 2015, 30, 1622–1630. [Google Scholar] [CrossRef]
- Gonzales-Vitale, J.C.; Hayes, D.M.; Cvitkovic, E.; Sternberg, S.S. The Renal Pathology in Clinical Trials of Cis-Platinum (II) Diamminedichloride. Cancer 1977, 39, 1362–1371. [Google Scholar] [CrossRef]
- Tanaka, H.; Ishikawa, E.; Teshima, S.; Shimizu, E. Histopathological Study of Human Cisplatin Nephropathy. Toxicol. Pathol. 1986, 14, 247–257. [Google Scholar] [CrossRef]
- Dentino, M.; Luft, F.C.; Yum, M.N.; Williams, S.D.; Einhorn, L.H. Long Term Effect of Cis-Diamminedichloride Platinum (CDDP) on Renal Function and Structure in Man. Cancer 1978, 41, 1274–1281. [Google Scholar] [CrossRef]
- Pinches, M.; Betts, C.; Bickerton, S.; Burdett, L.; Thomas, H.; Derbyshire, N.; Jones, H.B.; Moores, M. Evaluation of Novel Renal Biomarkers with a Cisplatin Model of Kidney Injury: Gender and Dosage Differences. Toxicol. Pathol. 2012, 40, 522–533. [Google Scholar] [CrossRef] [PubMed]
- Magil, A.B.; Mavichak, V.; Wong, N.L.; Quamme, G.A.; Dirks, J.H.; Sutton, R.A. Long-Term Morphological and Biochemical Observations in Cisplatin-Induced Hypomagnesemia in Rats. Nephron 1986, 43, 223–230. [Google Scholar] [CrossRef] [PubMed]
- Farry, J.K.; Flombaum, C.D.; Latcha, S. Long Term Renal Toxicity of Ifosfamide in Adult Patients—5 Year Data. Eur. J. Cancer 2012, 48, 1326–1331. [Google Scholar] [CrossRef] [PubMed]
- Ensergueix, G.; Pallet, N.; Joly, D.; Levi, C.; Chauvet, S.; Trivin, C.; Augusto, J.-F.; Boudet, R.; Aboudagga, H.; Touchard, G.; et al. Ifosfamide Nephrotoxicity in Adult Patients. Clin. Kidney J. 2020, 13, 660–665. [Google Scholar] [CrossRef]
- Skinner, R. Chronic Ifosfamide Nephrotoxicity in Children. Med. Pediatr. Oncol. 2003, 41, 190–197. [Google Scholar] [CrossRef]
- Skinner, R.; Sharkey, I.M.; Pearson, A.D.; Craft, A.W. Ifosfamide, Mesna, and Nephrotoxicity in Children. J. Clin. Oncol. 1993, 11, 173–190. [Google Scholar] [CrossRef]
- Loebstein, R.; Koren, G. Ifosfamide-Induced Nephrotoxicity in Children: Critical Review of Predictive Risk Factors. Pediatrics 1998, 101, E8. [Google Scholar] [CrossRef]
- Skinner, R.; Parry, A.; Price, L.; Cole, M.; Craft, A.W.; Pearson, A.D.J. Glomerular Toxicity Persists 10 Years after Ifosfamide Treatment in Childhood and Is Not Predictable by Age or Dose. Pediatr. Blood Cancer 2010, 54, 983–989. [Google Scholar] [CrossRef]
- Skinner, R.; Cotterill, S.J.; Stevens, M.C. Risk Factors for Nephrotoxicity after Ifosfamide Treatment in Children: A UKCCSG Late Effects Group Study. United Kingdom Children’s Cancer Study Group. Br. J. Cancer 2000, 82, 1636–1645. [Google Scholar]
- Hanly, L.; Rieder, M.J.; Huang, S.-H.S.; Vasylyeva, T.L.; Shah, R.K.; Regueira, O.; Koren, G. N-Acetylcysteine Rescue Protocol for Nephrotoxicity in Children Caused by Ifosfamide. J. Popul. Ther. Clin. Pharmacol. 2013, 20, e132–e145. [Google Scholar]
- Kandala, J.C.; Mrema, J.E.; deAngelo, A.; Daniel, F.B.; Guntaka, R.V. 2-Chloroacetaldehyde and 2-Chloroacetal Are Potent Inhibitors of DNA Synthesis in Animal Cells. Biochem. Biophys. Res. Commun. 1990, 167, 457–463. [Google Scholar] [CrossRef]
- Lee, S.M.; Crowther, D.; Scarffe, J.H.; Dougal, M.; Elder, R.H.; Rafferty, J.A.; Margison, G.P. Cyclophosphamide Decreases O6-Alkylguanine-DNA Alkyltransferase Activity in Peripheral Lymphocytes of Patients Undergoing Bone Marrow Transplantation. Br. J. Cancer 1992, 66, 331–336. [Google Scholar] [CrossRef][Green Version]
- Sood, C.; O’Brien, P.J. Molecular Mechanisms of Chloroacetaldehyde-Induced Cytotoxicity in Isolated Rat Hepatocytes. Biochem. Pharmacol. 1993, 46, 1621–1626. [Google Scholar] [CrossRef]
- Zhang, J.; Tian, Q.; Yung Chan, S.; Chuen Li, S.; Zhou, S.; Duan, W.; Zhu, Y.-Z. Metabolism and Transport of Oxazaphosphorines and the Clinical Implications. Drug Metab. Rev. 2005, 37, 611–703. [Google Scholar] [CrossRef]
- McCulloch, T.; Prayle, A.; Lunn, A.; Watson, A.R. Karyomegalic-like Nephropathy, Ewing’s Sarcoma and Ifosfamide Therapy. Pediatr. Nephrol. 2011, 26, 1163–1166. [Google Scholar] [CrossRef] [PubMed]
- Jayasurya, R.; Srinivas, B.H.; Ponraj, M.; Haridasan, S.; Parameswaran, S.; Priyamvada, P.S. Karyomegalic Interstitial Nephropathy Following Ifosfamide Therapy. Indian J. Nephrol. 2016, 26, 294–297. [Google Scholar]
- Oberlin, O.; Fawaz, O.; Rey, A.; Niaudet, P.; Ridola, V.; Orbach, D.; Bergeron, C.; Defachelles, A.S.; Gentet, J.-C.; Schmitt, C.; et al. Long-Term Evaluation of Ifosfamide-Related Nephrotoxicity in Children. J. Clin. Oncol. 2009, 27, 5350–5355. [Google Scholar] [CrossRef]
- Filippone, E.J.; Kraft, W.K.; Farber, J.L. The Nephrotoxicity of Vancomycin. Clin. Pharmacol. Ther. 2017, 102, 459–469. [Google Scholar] [CrossRef]
- Sabra, R.; Branch, R.A. Amphotericin B Nephrotoxicity. Drug Saf. 1990, 5, 94–108. [Google Scholar] [CrossRef]
- Randjelovic, P.; Veljkovic, S.; Stojiljkovic, N.; Sokolovic, D.; Ilic, I. Gentamicin Nephrotoxicity in Animals: Current Knowledge and Future Perspectives. EXCLI J. 2017, 16, 388–399. [Google Scholar] [PubMed]
- Poetsch, A.R. The Genomics of Oxidative DNA Damage, Repair, and Resulting Mutagenesis. Comput. Struct. Biotechnol. J. 2020, 18, 207–219. [Google Scholar] [CrossRef] [PubMed]
- Pick, A.M.; Nystrom, K.K. Fatal Hepatic and Renal Toxicity as a Complication of Trabectedin Therapy for Radiation-Induced Sarcoma. J. Oncol. Pharm. Pract. 2010, 16, 269–272. [Google Scholar] [CrossRef]
- Takimoto, C.H.; Remick, S.C.; Sharma, S.; Mani, S.; Ramanathan, R.K.; Doroshow, J.; Hamilton, A.; Mulkerin, D.; Graham, M.; Lockwood, G.F.; et al. Dose-Escalating and Pharmacological Study of Oxaliplatin in Adult Cancer Patients with Impaired Renal Function: A National Cancer Institute Organ Dysfunction Working Group Study. J. Clin. Oncol. 2003, 21, 2664–2672. [Google Scholar] [CrossRef] [PubMed]
- Skorupa, A.; Beldner, M.; Kraft, A.; Montero, A.J. Fatal Rhabdomyolysis as a Complication of ET-743 (Yondelis) Chemotherapy for Sarcoma. Cancer Biol. Ther. 2007, 6, 1015–1017. [Google Scholar] [CrossRef][Green Version]
- Petejova, N.; Martinek, A. Acute Kidney Injury due to Rhabdomyolysis and Renal Replacement Therapy: A Critical Review. Crit. Care 2014, 18, 224. [Google Scholar] [CrossRef] [PubMed]
- Weber, J. Immune Checkpoint Proteins: A New Therapeutic Paradigm for Cancer--Preclinical Background: CTLA-4 and PD-1 Blockade. Semin. Oncol. 2010, 37, 430–439. [Google Scholar] [CrossRef]
- Franzin, R.; Netti, G.S.; Spadaccino, F.; Porta, C.; Gesualdo, L.; Stallone, G.; Castellano, G.; Ranieri, E. The Use of Immune Checkpoint Inhibitors in Oncology and the Occurrence of AKI: Where Do We Stand? Front. Immunol. 2020, 11, 574271. [Google Scholar] [CrossRef]
- Lee, J.B.; Ha, S.-J.; Kim, H.R. Clinical Insights into Novel Immune Checkpoint Inhibitors. Front. Pharmacol. 2021, 12, 681320. [Google Scholar] [CrossRef]
- Rotte, A. Combination of CTLA-4 and PD-1 Blockers for Treatment of Cancer. J. Exp. Clin. Cancer Res. 2019, 38, 255. [Google Scholar] [CrossRef]
- Ramos-Casals, M.; Brahmer, J.R.; Callahan, M.K.; Flores-Chávez, A.; Keegan, N.; Khamashta, M.A.; Lambotte, O.; Mariette, X.; Prat, A.; Suárez-Almazor, M.E. Immune-Related Adverse Events of Checkpoint Inhibitors. Nat. Rev. Dis. Primers 2020, 6, 38. [Google Scholar] [CrossRef] [PubMed]
- Champiat, S.; Lambotte, O.; Barreau, E.; Belkhir, R.; Berdelou, A.; Carbonnel, F.; Cauquil, C.; Chanson, P.; Collins, M.; Durrbach, A.; et al. Management of Immune Checkpoint Blockade Dysimmune Toxicities: A Collaborative Position Paper. Ann. Oncol. 2016, 27, 559–574. [Google Scholar] [CrossRef] [PubMed]
- Cortazar, F.B.; Marrone, K.A.; Troxell, M.L.; Ralto, K.M.; Hoenig, M.P.; Brahmer, J.R.; Le, D.T.; Lipson, E.J.; Glezerman, I.G.; Wolchok, J.; et al. Clinicopathological Features of Acute Kidney Injury Associated with Immune Checkpoint Inhibitors. Kidney Int. 2016, 90, 638–647. [Google Scholar] [CrossRef] [PubMed]
- Ryuzaki, M.; Tokuyama, H.; Uchiyama, K.; Nakaya, H.; Hasegawa, K.; Miyashita, K.; Konishi, K.; Hashiguchi, A.; Wakino, S.; Itoh, H. Acute Interstitial Nephritis with Karyomegalic Epithelial Cells After Nivolumab Treatment-Two Case Reports. Clin. Med. Insights Case Rep. 2019, 12, 1179547619853647. [Google Scholar] [CrossRef]
- Shirali, A.C.; Perazella, M.A.; Gettinger, S. Association of Acute Interstitial Nephritis with Programmed Cell Death 1 Inhibitor Therapy in Lung Cancer Patients. Am. J. Kidney Dis. 2016, 68, 287–291. [Google Scholar] [CrossRef]
- Perazella, M.A.; Shirali, A.C. Immune Checkpoint Inhibitor Nephrotoxicity: What Do We Know and What Should We Do? Kidney Int. 2020, 97, 62–74. [Google Scholar] [CrossRef]
- Waeckerle-Men, Y.; Starke, A.; Wüthrich, R.P. PD-L1 Partially Protects Renal Tubular Epithelial Cells from the Attack of CD8+ Cytotoxic T Cells. Nephrol. Dial. Transplant. 2007, 22, 1527–1536. [Google Scholar] [CrossRef]
- Francisco, L.M.; Sage, P.T.; Sharpe, A.H. The PD-1 Pathway in Tolerance and Autoimmunity. Immunol. Rev. 2010, 236, 219–242. [Google Scholar] [CrossRef]
- De Chiara, L.; Conte, C.; Antonelli, G.; Lazzeri, E. Tubular Cell Cycle Response upon AKI: Revising Old and New Paradigms to Identify Novel Targets for CKD Prevention. Int. J. Mol. Sci. 2021, 22, 1093. [Google Scholar] [CrossRef]
- Lee, H.O.; Davidson, J.M.; Duronio, R.J. Endoreplication: Polyploidy with Purpose. Genes Dev. 2009, 23, 2461–2477. [Google Scholar] [CrossRef]
- Lheureux, S.; Denoyelle, C.; Ohashi, P.S.; de Bono, J.S.; Mottaghy, F.M. Molecularly Targeted Therapies in Cancer: A Guide for the Nuclear Medicine Physician. Eur. J. Nucl. Med. Mol. Imaging 2017, 44, 41–54. [Google Scholar] [CrossRef] [PubMed]
- Izzedine, H.; Perazella, M.A. Adverse Kidney Effects of Epidermal Growth Factor Receptor Inhibitors. Nephrol. Dial. Transplant. 2017, 32, 1089–1097. [Google Scholar] [CrossRef] [PubMed]
- Herbst, R.S. Review of Epidermal Growth Factor Receptor Biology. Int. J. Radiat. Oncol. Biol. Phys. 2004, 59, 21–26. [Google Scholar] [CrossRef] [PubMed]
- Chen, J.; Chen, J.-K.; Harris, R.C. Deletion of the Epidermal Growth Factor Receptor in Renal Proximal Tubule Epithelial Cells Delays Recovery from Acute Kidney Injury. Kidney Int. 2012, 82, 45–52. [Google Scholar] [CrossRef]
- Jhaveri, K.D.; Sakhiya, V.; Wanchoo, R.; Ross, D.; Fishbane, S. Renal Effects of Novel Anticancer Targeted Therapies: A Review of the Food and Drug Administration Adverse Event Reporting System. Kidney Int. 2016, 90, 706–707. [Google Scholar] [CrossRef]
- Harari, P.M. Epidermal Growth Factor Receptor Inhibition Strategies in Oncology. Endocr. Relat. Cancer 2004, 11, 689–708. [Google Scholar] [CrossRef]
- Gao, L.; Zhong, X.; Jin, J.; Li, J.; Meng, X.-M. Potential Targeted Therapy and Diagnosis Based on Novel Insight into Growth Factors, Receptors, and Downstream Effectors in Acute Kidney Injury and Acute Kidney Injury-Chronic Kidney Disease Progression. Signal Transduct. Target Ther. 2020, 5, 9. [Google Scholar] [CrossRef]
- Bareschino, M.A.; Schettino, C.; Troiani, T.; Martinelli, E.; Morgillo, F.; Ciardiello, F. Erlotinib in Cancer Treatment. Ann. Oncol. 2007, 18 (Suppl. 6), vi35–vi41. [Google Scholar] [CrossRef]
- Chen, J.; You, H.; Li, Y.; Xu, Y.; He, Q.; Harris, R.C. EGF Receptor-Dependent YAP Activation Is Important for Renal Recovery from AKI. J. Am. Soc. Nephrol. 2018, 29, 2372–2385. [Google Scholar] [CrossRef]
- Moya, I.M.; Halder, G. Hippo-YAP/TAZ Signalling in Organ Regeneration and Regenerative Medicine. Nat. Rev. Mol. Cell Biol. 2019, 20, 211–226. [Google Scholar] [CrossRef]
- Zhang, S.; Chen, Q.; Liu, Q.; Li, Y.; Sun, X.; Hong, L.; Ji, S.; Liu, C.; Geng, J.; Zhang, W.; et al. Hippo Signaling Suppresses Cell Ploidy and Tumorigenesis through Skp2. Cancer Cell 2017, 31, 669–684. [Google Scholar] [CrossRef] [PubMed]
- Maillet, V.; Boussetta, N.; Leclerc, J.; Fauveau, V.; Foretz, M.; Viollet, B.; Couty, J.-P.; Celton-Morizur, S.; Perret, C.; Desdouets, C. LKB1 as a Gatekeeper of Hepatocyte Proliferation and Genomic Integrity during Liver Regeneration. Cell Rep. 2018, 22, 1994–2005. [Google Scholar] [CrossRef] [PubMed]
- Lazzeri, E.; Angelotti, M.L.; Conte, C.; Anders, H.-J.; Romagnani, P. Surviving Acute Organ Failure: Cell Polyploidization and Progenitor Proliferation. Trends Mol. Med. 2019, 25, 366–381. [Google Scholar] [CrossRef] [PubMed]
- Hurabielle, C.; Pillebout, E.; Stehlé, T.; Pagès, C.; Roux, J.; Schneider, P.; Chevret, S.; Chaffaut, C.; Boutten, A.; Mourah, S.; et al. Mechanisms Underpinning Increased Plasma Creatinine Levels in Patients Receiving Vemurafenib for Advanced Melanoma. PLoS ONE 2016, 11, e0149873. [Google Scholar] [CrossRef] [PubMed]
- Jhaveri, K.D.; Sakhiya, V.; Fishbane, S. Nephrotoxicity of the BRAF Inhibitors Vemurafenib and Dabrafenib. JAMA Oncol. 2015, 1, 1133–1134. [Google Scholar] [CrossRef]
- Ryan, C.E.; Davids, M.S. BCL-2 Inhibitors, Present and Future. Cancer J. 2019, 25, 401–409. [Google Scholar] [CrossRef]
- Marcolino, M.S.; Boersma, E.; Clementino, N.C.D.; Macedo, A.V.; Marx-Neto, A.D.; Silva, M.H.C.R.; van Gelder, T.; Akkerhuis, K.M.; Ribeiro, A.L. Imatinib Treatment Duration Is Related to Decreased Estimated Glomerular Filtration Rate in Chronic Myeloid Leukemia Patients. Ann. Oncol. 2011, 22, 2073–2079. [Google Scholar] [CrossRef]
- Pou, M.; Saval, N.; Vera, M.; Saurina, A.; Solé, M.; Cervantes, F.; Botey, A. Acute Renal Failure Secondary to Imatinib Mesylate Treatment in Chronic Myeloid Leukemia. Leuk. Lymphoma 2003, 44, 1239–1241. [Google Scholar] [CrossRef] [PubMed]
- Berman, E.; Nicolaides, M.; Maki, R.G.; Fleisher, M.; Chanel, S.; Scheu, K.; Wilson, B.-A.; Heller, G.; Sauter, N.P. Altered Bone and Mineral Metabolism in Patients Receiving Imatinib Mesylate. N. Engl. J. Med. 2006, 354, 2006–2013. [Google Scholar] [CrossRef]
- Shinke, H.; Masuda, S.; Togashi, Y.; Ikemi, Y.; Ozawa, A.; Sato, T.; Kim, Y.H.; Mishima, M.; Ichimura, T.; Bonventre, J.V.; et al. Urinary Kidney Injury Molecule-1 and Monocyte Chemotactic Protein-1 Are Noninvasive Biomarkers of Cisplatin-Induced Nephrotoxicity in Lung Cancer Patients. Cancer Chemother. Pharmacol. 2015, 76, 989–996. [Google Scholar] [CrossRef]
- Gaspari, F.; Cravedi, P.; Mandalà, M.; Perico, N.; de Leon, F.R.; Stucchi, N.; Ferrari, S.; Labianca, R.; Remuzzi, G.; Ruggenenti, P. Predicting Cisplatin-Induced Acute Kidney Injury by Urinary Neutrophil Gelatinase-Associated Lipocalin Excretion: A Pilot Prospective Case-Control Study. Nephron Clin. Pract. 2010, 115, c154–c160. [Google Scholar] [CrossRef] [PubMed]
- Peres, L.A.B.; da Cunha, A.D., Jr.; Assumpção, R.A.B.; Schäfer, A., Jr.; da Silva, A.L.; Gaspar, A.D.; Scarpari, D.F.; Alves, J.B.F.; Girelli Neto, R.; de Oliveira, T.F.T. Evaluation of the Cisplatin Nephrotoxicity Using the Urinary Neutrophil Gelatinase-Associated Lipocalin (NGAL) in Patients with Head and Neck Cancer. J. Bras. Nefrol. 2014, 36, 280–288. [Google Scholar] [CrossRef] [PubMed]
- Tekce, B.K.; Uyeturk, U.; Tekce, H.; Uyeturk, U.; Aktas, G.; Akkaya, A. Does the Kidney Injury Molecule-1 Predict Cisplatin-Induced Kidney Injury in Early Stage? Ann. Clin. Biochem. 2015, 52, 88–94. [Google Scholar] [CrossRef] [PubMed]
- Gibey, R.; Dupond, J.L.; Alber, D.; Leconte des Floris, R.; Henry, J.C. Predictive Value of Urinary N-Acetyl-Beta-D-Glucosaminidase (NAG), Alanine-Aminopeptidase (AAP) and Beta-2-Microglobulin (beta 2M) in Evaluating Nephrotoxicity of Gentamicin. Clin. Chim. Acta 1981, 116, 25–34. [Google Scholar] [CrossRef]
- Goren, M.P.; Wright, R.K.; Horowitz, M.E.; Crom, W.R.; Meyer, W.H. Urinary N-Acetyl-Beta-D-Glucosaminidase and Serum Creatinine Concentrations Predict Impaired Excretion of Methotrexate. J. Clin. Oncol. 1987, 5, 804–810. [Google Scholar] [CrossRef]
- Ali, B.H.; Al Moundhri, M.S.; Tag Eldin, M.; Nemmar, A.; Tanira, M.O. The Ameliorative Effect of Cysteine Prodrug L-2-Oxothiazolidine-4-Carboxylic Acid on Cisplatin-Induced Nephrotoxicity in Rats. Fundam. Clin. Pharmacol. 2007, 21, 547–553. [Google Scholar] [CrossRef]
- Pang, H.-M.; Qin, X.-L.; Liu, T.-T.; Wei, W.-X.; Cheng, D.-H.; Lu, H.; Guo, Q.; Jing, L. Urinary Kidney Injury Molecule-1 and Neutrophil Gelatinase-Associated Lipocalin as Early Biomarkers for Predicting Vancomycin-Associated Acute Kidney Injury: A Prospective Study. Eur. Rev. Med. Pharmacol. Sci. 2017, 21, 4203–4213. [Google Scholar]
- Rocha, P.N.; Macedo, M.N.; Kobayashi, C.D.; Moreno, L.; Guimarães, L.H.S.; Machado, P.R.L.; Badaró, R.; Carvalho, E.M.; Glesby, M.J. Role of Urine Neutrophil Gelatinase-Associated Lipocalin in the Early Diagnosis of Amphotericin B-Induced Acute Kidney Injury. Antimicrob. Agents Chemother. 2015, 59, 6913–6921. [Google Scholar] [CrossRef]
- Ostermann, M.; McCullough, P.A.; Forni, L.G.; Bagshaw, S.M.; Joannidis, M.; Shi, J.; Kashani, K.; Honore, P.M.; Chawla, L.S.; Kellum, J.A.; et al. Kinetics of Urinary Cell Cycle Arrest Markers for Acute Kidney Injury Following Exposure to Potential Renal Insults. Crit. Care Med. 2018, 46, 375–383. [Google Scholar] [CrossRef]
- Kellum, J.A.; Lameire, N.; KDIGO AKI Guideline Work Group. Diagnosis, Evaluation, and Management of Acute Kidney Injury: A KDIGO Summary (Part 1). Crit. Care 2013, 17, 204. [Google Scholar] [CrossRef]
- Haines, R.W.; Zolfaghari, P.; Wan, Y.; Pearse, R.M.; Puthucheary, Z.; Prowle, J.R. Elevated Urea-to-Creatinine Ratio Provides a Biochemical Signature of Muscle Catabolism and Persistent Critical Illness after Major Trauma. Intensive Care Med. 2019, 45, 1718–1731. [Google Scholar] [CrossRef] [PubMed]
- Ravn, B.; Prowle, J.R.; Mårtensson, J.; Martling, C.-R.; Bell, M. Superiority of Serum Cystatin C Over Creatinine in Prediction of Long-Term Prognosis at Discharge From ICU. Crit. Care Med. 2017, 45, e932–e940. [Google Scholar] [CrossRef] [PubMed]
- Legrand, M.; Payen, D. Understanding Urine Output in Critically Ill Patients. Ann. Intensive Care 2011, 1, 13. [Google Scholar] [CrossRef] [PubMed]
- Séronie-Vivien, S.; Delanaye, P.; Piéroni, L.; Mariat, C.; Froissart, M.; Cristol, J.-P.; SFBC “Biology of Renal Function and Renal Failure” Working Group. Cystatin C: Current Position and Future Prospects. Clin. Chem. Lab. Med. 2008, 46, 1664–1686. [Google Scholar] [CrossRef]
- Kashani, K.B.; Frazee, E.N.; Kukrálová, L.; Sarvottam, K.; Herasevich, V.; Young, P.M.; Kashyap, R.; Lieske, J.C. Evaluating Muscle Mass by Using Markers of Kidney Function: Development of the Sarcopenia Index. Crit. Care Med. 2017, 45, e23–e29. [Google Scholar] [CrossRef]
- Ostermann, M.; Zarbock, A.; Goldstein, S.; Kashani, K.; Macedo, E.; Murugan, R.; Bell, M.; Forni, L.; Guzzi, L.; Joannidis, M.; et al. Recommendations on Acute Kidney Injury Biomarkers from the Acute Disease Quality Initiative Consensus Conference: A Consensus Statement. JAMA Netw. Open 2020, 3, e2019209. [Google Scholar] [CrossRef]
- Shlipak, M.G.; Matsushita, K.; Ärnlöv, J.; Inker, L.A.; Katz, R.; Polkinghorne, K.R.; Rothenbacher, D.; Sarnak, M.J.; Astor, B.C.; Coresh, J.; et al. Cystatin C versus Creatinine in Determining Risk Based on Kidney Function. N. Engl. J. Med. 2013, 369, 932–943. [Google Scholar] [CrossRef]
- Barreto, E.F.; Rule, A.D.; Murad, M.H.; Kashani, K.B.; Lieske, J.C.; Erwin, P.J.; Steckelberg, J.M.; Gajic, O.; Reid, J.M.; Kane-Gill, S.L. Prediction of the Renal Elimination of Drugs with Cystatin C vs Creatinine: A Systematic Review. Mayo Clin. Proc. 2019, 94, 500–514. [Google Scholar] [CrossRef]
- Ronco, C.; Kellum, J.A.; Haase, M. Subclinical AKI Is Still AKI. Crit. Care 2012, 16, 313. [Google Scholar] [CrossRef]
- Haase, M.; Devarajan, P.; Haase-Fielitz, A.; Bellomo, R.; Cruz, D.N.; Wagener, G.; Krawczeski, C.D.; Koyner, J.L.; Murray, P.; Zappitelli, M.; et al. The Outcome of Neutrophil Gelatinase-Associated Lipocalin-Positive Subclinical Acute Kidney Injury: A Multicenter Pooled Analysis of Prospective Studies. J. Am. Coll. Cardiol. 2011, 57, 1752–1761. [Google Scholar] [CrossRef]
- Bhagwanani, A.; Carpenter, R.; Yusuf, A. Improving the Management of Acute Kidney Injury in a District General Hospital: Introduction of the DONUT Bundle. BMJ Qual. Improv. Rep. 2014, 2, u202650-w1235. [Google Scholar] [CrossRef] [PubMed]
- Biswas, A.; Parikh, C.R.; Feldman, H.I.; Garg, A.X.; Latham, S.; Lin, H.; Palevsky, P.M.; Ugwuowo, U.; Perry Wilson, F. Identification of Patients Expected to Benefit from Electronic Alerts for Acute Kidney Injury. Clin. J. Am. Soc. Nephrol. 2018, 13, 842–849. [Google Scholar] [CrossRef] [PubMed]
- Joslin, J.; Wilson, H.; Zubli, D.; Gauge, N.; Kinirons, M.; Hopper, A.; Pile, T.; Ostermann, M. Recognition and Management of Acute Kidney Injury in Hospitalised Patients Can Be Partially Improved with the Use of a Care Bundle. Clin. Med. 2015, 15, 431–436. [Google Scholar] [CrossRef] [PubMed]
- Lachance, P.; Villeneuve, P.-M.; Rewa, O.G.; Wilson, F.P.; Selby, N.M.; Featherstone, R.M.; Bagshaw, S.M. Association between E-Alert Implementation for Detection of Acute Kidney Injury and Outcomes: A Systematic Review. Nephrol. Dial. Transplant. 2017, 32, 265–272. [Google Scholar] [CrossRef] [PubMed]
- Kane-Gill, S.L.; Meersch, M.; Bell, M. Biomarker-Guided Management of Acute Kidney Injury. Curr. Opin. Crit. Care 2020, 26, 556–562. [Google Scholar] [CrossRef]
- Mehta, R.L.; Awdishu, L.; Davenport, A.; Murray, P.T.; Macedo, E.; Cerda, J.; Chakaravarthi, R.; Holden, A.L.; Goldstein, S.L. Phenotype Standardization for Drug-Induced Kidney Disease. Kidney Int. 2015, 88, 226–234. [Google Scholar] [CrossRef]
- Ehrmann, S.; Helms, J.; Joret, A.; Martin-Lefevre, L.; Quenot, J.-P.; Herbrecht, J.-E.; Benzekri-Lefevre, D.; Robert, R.; Desachy, A.; Bellec, F.; et al. Nephrotoxic Drug Burden among 1001 Critically Ill Patients: Impact on Acute Kidney Injury. Ann. Intensive Care 2019, 9, 106. [Google Scholar] [CrossRef]
- Cai, L.; Rubin, J.; Han, W.; Venge, P.; Xu, S. The Origin of Multiple Molecular Forms in Urine of HNL/NGAL. Clin. J. Am. Soc. Nephrol. 2010, 5, 2229–2235. [Google Scholar] [CrossRef]
- Mishra, P.K.; Luckraz, H.; Nandi, J.; Nevill, A.; Giri, R.; Panayiotou, A.; Nicholas, J. Long-Term Quality of Life Postacute Kidney Injury in Cardiac Surgery Patients. Ann. Card. Anaesth. 2018, 21, 41–45. [Google Scholar]
- McIlroy, D.R.; Wagener, G.; Lee, H.T. Neutrophil Gelatinase-Associated Lipocalin and Acute Kidney Injury after Cardiac Surgery: The Effect of Baseline Renal Function on Diagnostic Performance. Clin. J. Am. Soc. Nephrol. 2010, 5, 211–219. [Google Scholar] [CrossRef]
- Perrotti, A.; Miltgen, G.; Chevet-Noel, A.; Durst, C.; Vernerey, D.; Bardonnet, K.; Davani, S.; Chocron, S. Neutrophil Gelatinase-Associated Lipocalin as Early Predictor of Acute Kidney Injury after Cardiac Surgery in Adults with Chronic Kidney Failure. Ann. Thorac. Surg. 2015, 99, 864–869. [Google Scholar] [CrossRef]
- Doi, K.; Urata, M.; Katagiri, D.; Inamori, M.; Murata, S.; Hisagi, M.; Ono, M.; Matsubara, T.; Ishii, T.; Yahagi, N.; et al. Plasma Neutrophil Gelatinase-Associated Lipocalin in Acute Kidney Injury Superimposed on Chronic Kidney Disease after Cardiac Surgery: A Multicenter Prospective Study. Crit. Care 2013, 17, R270. [Google Scholar] [CrossRef] [PubMed]
- McWilliam, S.J.; Antoine, D.J.; Sabbisetti, V.; Turner, M.A.; Farragher, T.; Bonventre, J.V.; Park, B.K.; Smyth, R.L.; Pirmohamed, M. Mechanism-Based Urinary Biomarkers to Identify the Potential for Aminoglycoside-Induced Nephrotoxicity in Premature Neonates: A Proof-of-Concept Study. PLoS ONE 2012, 7, e43809. [Google Scholar] [CrossRef] [PubMed]
- Ylinen, E.; Jahnukainen, K.; Saarinen-Pihkala, U.M.; Jahnukainen, T. Assessment of Renal Function during High-Dose Methotrexate Treatment in Children with Acute Lymphoblastic Leukemia. Pediatr. Blood Cancer 2014, 61, 2199–2202. [Google Scholar] [CrossRef] [PubMed]
- Han, W.K.; Bailly, V.; Abichandani, R.; Thadhani, R.; Bonventre, J.V. Kidney Injury Molecule-1 (KIM-1): A Novel Biomarker for Human Renal Proximal Tubule Injury. Kidney Int. 2002, 62, 237–244. [Google Scholar] [CrossRef]
- Tanase, D.M.; Gosav, E.M.; Radu, S.; Costea, C.F.; Ciocoiu, M.; Carauleanu, A.; Lacatusu, C.M.; Maranduca, M.A.; Floria, M.; Rezus, C. The Predictive Role of the Biomarker Kidney Molecule-1 (KIM-1) in Acute Kidney Injury (AKI) Cisplatin-Induced Nephrotoxicity. Int. J. Mol. Sci. 2019, 20, 5238. [Google Scholar] [CrossRef]
- Abdelsalam, M.; Elmorsy, E.; Abdelwahab, H.; Algohary, O.; Naguib, M.; El Wahab, A.A.; Eldeeb, A.; Eltoraby, E.; Abdelsalam, A.; Sabry, A.; et al. Urinary Biomarkers for Early Detection of Platinum Based Drugs Induced Nephrotoxicity. BMC Nephrol. 2018, 19, 219. [Google Scholar] [CrossRef]
- DesRochers, T.M.; Suter, L.; Roth, A.; Kaplan, D.L. Bioengineered 3D Human Kidney Tissue, a Platform for the Determination of Nephrotoxicity. PLoS ONE 2013, 8, e59219. [Google Scholar] [CrossRef]
- Sabbisetti, V.S.; Ito, K.; Wang, C.; Yang, L.; Mefferd, S.C.; Bonventre, J.V. Novel Assays for Detection of Urinary KIM-1 in Mouse Models of Kidney Injury. Toxicol. Sci. 2013, 131, 13–25. [Google Scholar] [CrossRef]
- Vaidya, V.S.; Ford, G.M.; Waikar, S.S.; Wang, Y.; Clement, M.B.; Ramirez, V.; Glaab, W.E.; Troth, S.P.; Sistare, F.D.; Prozialeck, W.C.; et al. A Rapid Urine Test for Early Detection of Kidney Injury. Kidney Int. 2009, 76, 108–114. [Google Scholar] [CrossRef]
- Ho, J.; Tangri, N.; Komenda, P.; Kaushal, A.; Sood, M.; Brar, R.; Gill, K.; Walker, S.; MacDonald, K.; Hiebert, B.M.; et al. Urinary, Plasma, and Serum Biomarkers’ Utility for Predicting Acute Kidney Injury Associated with Cardiac Surgery in Adults: A Meta-Analysis. Am. J. Kidney Dis. 2015, 66, 993–1005. [Google Scholar] [CrossRef] [PubMed]
- Noiri, E.; Doi, K.; Negishi, K.; Tanaka, T.; Hamasaki, Y.; Fujita, T.; Portilla, D.; Sugaya, T. Urinary Fatty Acid-Binding Protein 1: An Early Predictive Biomarker of Kidney Injury. Am. J. Physiol. Renal Physiol. 2009, 296, F669–F679. [Google Scholar] [CrossRef] [PubMed]
- Cheng, B.; Jin, Y.; Liu, G.; Chen, Z.; Dai, H.; Liu, M. Urinary N-Acetyl-Beta-D-Glucosaminidase as an Early Marker for Acute Kidney Injury in Full-Term Newborns with Neonatal Hyperbilirubinemia. Dis. Markers 2014, 2014, 315843. [Google Scholar] [CrossRef][Green Version]
- Zager, R.A.; Johnson, A.C.M.; Becker, K. Renal Cortical Lactate Dehydrogenase: A Useful, Accurate, Quantitative Marker of In Vivo Tubular Injury and Acute Renal Failure. PLoS ONE 2013, 8, e66776. [Google Scholar] [CrossRef]
- Gibey, R.; Dupond, J.L.; Henry, J.C. Urinary N-Acetyl-Beta-D-Glucosaminidase (NAG) Isoenzyme Profiles: A Tool for Evaluating Nephrotoxicity of Aminoglycosides and Cephalosporins. Clin. Chim. Acta 1984, 137, 1–11. [Google Scholar] [CrossRef]
- Endre, Z.H.; Pickering, J.W.; Walker, R.J.; Devarajan, P.; Edelstein, C.L.; Bonventre, J.V.; Frampton, C.M.; Bennett, M.R.; Ma, Q.; Sabbisetti, V.S.; et al. Improved Performance of Urinary Biomarkers of Acute Kidney Injury in the Critically Ill by Stratification for Injury Duration and Baseline Renal Function. Kidney Int. 2011, 79, 1119–1130. [Google Scholar] [CrossRef] [PubMed]
- Schunk, S.J.; Zarbock, A.; Meersch, M.; Küllmar, M.; Kellum, J.A.; Schmit, D.; Wagner, M.; Triem, S.; Wagenpfeil, S.; Gröne, H.-J.; et al. Association between Urinary Dickkopf-3, Acute Kidney Injury, and Subsequent Loss of Kidney Function in Patients Undergoing Cardiac Surgery: An Observational Cohort Study. Lancet 2019, 394, 488–496. [Google Scholar] [CrossRef]
- Zewinger, S.; Rauen, T.; Rudnicki, M.; Federico, G.; Wagner, M.; Triem, S.; Schunk, S.J.; Petrakis, I.; Schmit, D.; Wagenpfeil, S.; et al. Dickkopf-3 (DKK3) in Urine Identifies Patients with Short-Term Risk of eGFR Loss. J. Am. Soc. Nephrol. 2018, 29, 2722–2733. [Google Scholar] [CrossRef]
- Schunk, S.J.; Speer, T.; Petrakis, I.; Fliser, D. Dickkopf 3-a Novel Biomarker of the “Kidney Injury Continuum”. Nephrol. Dial. Transplant. 2021, 36, 761–767. [Google Scholar] [CrossRef]
- Hoste, E.; Bihorac, A.; Al-Khafaji, A.; Ortega, L.M.; Ostermann, M.; Haase, M.; Zacharowski, K.; Wunderink, R.; Heung, M.; Lissauer, M.; et al. Identification and Validation of Biomarkers of Persistent Acute Kidney Injury: The RUBY Study. Intensive Care Med. 2020, 46, 943–953. [Google Scholar] [CrossRef]
- Kashani, K.; Al-Khafaji, A.; Ardiles, T.; Artigas, A.; Bagshaw, S.M.; Bell, M.; Bihorac, A.; Birkhahn, R.; Cely, C.M.; Chawla, L.S.; et al. Discovery and Validation of Cell Cycle Arrest Biomarkers in Human Acute Kidney Injury. Crit. Care 2013, 17, R25. [Google Scholar] [CrossRef] [PubMed]
- Bihorac, A.; Kellum, J.A. Acute Kidney Injury in 2014: A Step towards Understanding Mechanisms of Renal Repair. Nat. Rev. Nephrol. 2015, 11, 74–75. [Google Scholar] [CrossRef]
- Meersch, M.; Schmidt, C.; Van Aken, H.; Martens, S.; Rossaint, J.; Singbartl, K.; Görlich, D.; Kellum, J.A.; Zarbock, A. Urinary TIMP-2 and IGFBP7 as Early Biomarkers of Acute Kidney Injury and Renal Recovery Following Cardiac Surgery. PLoS ONE 2014, 9, e93460. [Google Scholar] [CrossRef] [PubMed]
- Bihorac, A.; Chawla, L.S.; Shaw, A.D.; Al-Khafaji, A.; Davison, D.L.; Demuth, G.E.; Fitzgerald, R.; Gong, M.N.; Graham, D.D.; Gunnerson, K.; et al. Validation of Cell-Cycle Arrest Biomarkers for Acute Kidney Injury Using Clinical Adjudication. Am. J. Respir. Crit. Care Med. 2014, 189, 932–939. [Google Scholar] [CrossRef] [PubMed]
- Joannidis, M.; Forni, L.G.; Haase, M.; Koyner, J.; Shi, J.; Kashani, K.; Chawla, L.S.; Kellum, J.A.; Sapphire Investigators. Use of Cell Cycle Arrest Biomarkers in Conjunction with Classical Markers of Acute Kidney Injury. Crit. Care Med. 2019, 47, e820–e826. [Google Scholar] [CrossRef] [PubMed]
- Xie, Y.; Ankawi, G.; Yang, B.; Garzotto, F.; Passannante, A.; Breglia, A.; Digvijay, K.; Ferrari, F.; Brendolan, A.; Raffaele, B.; et al. Tissue Inhibitor Metalloproteinase-2 (TIMP-2) • IGF-Binding Protein-7 (IGFBP7) Levels Are Associated with Adverse Outcomes in Patients in the Intensive Care Unit with Acute Kidney Injury. Kidney Int. 2019, 95, 1486–1493. [Google Scholar] [CrossRef] [PubMed]
- Koyner, J.L.; Shaw, A.D.; Chawla, L.S.; Hoste, E.A.J.; Bihorac, A.; Kashani, K.; Haase, M.; Shi, J.; Kellum, J.A.; Sapphire Investigators. Tissue Inhibitor Metalloproteinase-2 (TIMP-2)⋅IGF-Binding Protein-7 (IGFBP7) Levels Are Associated with Adverse Long-Term Outcomes in Patients with AKI. J. Am. Soc. Nephrol. 2015, 26, 1747–1754. [Google Scholar] [CrossRef]
- Aregger, F.; Uehlinger, D.E.; Witowski, J.; Brunisholz, R.A.; Hunziker, P.; Frey, F.J.; Jörres, A. Identification of IGFBP-7 by Urinary Proteomics as a Novel Prognostic Marker in Early Acute Kidney Injury. Kidney Int. 2014, 85, 909–919. [Google Scholar] [CrossRef]
- Meersch, M.; Schmidt, C.; Hoffmeier, A.; van Aken, H.; Wempe, C.; Gerss, J.; Zarbock, A. Prevention of Cardiac Surgery-Associated AKI by Implementing the KDIGO Guidelines in High Risk Patients Identified by Biomarkers: The PrevAKI Randomized Controlled Trial. Intensive Care Med. 2017, 43, 1551–1561. [Google Scholar] [CrossRef]
- Göcze, I.; Jauch, D.; Götz, M.; Kennedy, P.; Jung, B.; Zeman, F.; Gnewuch, C.; Graf, B.M.; Gnann, W.; Banas, B.; et al. Biomarker-Guided Intervention to Prevent Acute Kidney Injury After Major Surgery: The Prospective Randomized BigpAK Study. Ann. Surg. 2018, 267, 1013–1020. [Google Scholar] [CrossRef]
- Kane-Gill, S.L.; Ostermann, M.; Shi, J.; Joyce, E.L.; Kellum, J.A. Evaluating Renal Stress Using Pharmacokinetic Urinary Biomarker Data in Critically Ill Patients Receiving Vancomycin And/or Piperacillin-Tazobactam: A Secondary Analysis of the Multicenter Sapphire Study. Drug Saf. 2019, 42, 1149–1155. [Google Scholar] [CrossRef] [PubMed]
- Rosolem, M.M.; Rabello, L.S.C.F.; Lisboa, T.; Caruso, P.; Costa, R.T.; Leal, J.V.R.; Salluh, J.I.F.; Soares, M. Critically Ill Patients with Cancer and Sepsis: Clinical Course and Prognostic Factors. J. Crit. Care 2012, 27, 301–307. [Google Scholar] [CrossRef] [PubMed]
- Gudiol, C.; Albasanz-Puig, A.; Cuervo, G.; Carratalà, J. Understanding and Managing Sepsis in Patients with Cancer in the Era of Antimicrobial Resistance. Front. Med. 2021, 8, 636547. [Google Scholar] [CrossRef] [PubMed]
- Chiruvella, V.; Annamaraju, P.; Guddati, A.K. Management of Nephrotoxicity of Chemotherapy and Targeted Agents: 2020. Am. J. Cancer Res. 2020, 10, 4151–4164. [Google Scholar]
- Rachman, A.; Shatri, H.; Salamat, R. Correlation Between Higher Cumulative Dose of Cisplatin for Concurrent Chemoradiation and Acute Kidney Disease Incidence Among Nasopharyngeal Carcinoma Patients: A Comparative Study. Int. J. Gen. Med. 2021, 14, 10527–10539. [Google Scholar] [CrossRef]
- Goldstein, S.L.; Kirkendall, E.; Nguyen, H.; Schaffzin, J.K.; Bucuvalas, J.; Bracke, T.; Seid, M.; Ashby, M.; Foertmeyer, N.; Brunner, L.; et al. Electronic Health Record Identification of Nephrotoxin Exposure and Associated Acute Kidney Injury. Pediatrics 2013, 132, e756–e767. [Google Scholar] [CrossRef] [PubMed]
- Pickkers, P.; Darmon, M.; Hoste, E.; Joannidis, M.; Legrand, M.; Ostermann, M.; Prowle, J.R.; Schneider, A.; Schetz, M. Acute Kidney Injury in the Critically Ill: An Updated Review on Pathophysiology and Management. Intensive Care Med. 2021, 47, 835–850. [Google Scholar] [CrossRef] [PubMed]
- Peng, J.; Li, X.; Zhang, D.; Chen, J.-K.; Su, Y.; Smith, S.B.; Dong, Z. Hyperglycemia, p53, and Mitochondrial Pathway of Apoptosis Are Involved in the Susceptibility of Diabetic Models to Ischemic Acute Kidney Injury. Kidney Int. 2015, 87, 137–150. [Google Scholar] [CrossRef]
- Schiffer, C.A.; Mangu, P.B.; Wade, J.C.; Camp-Sorrell, D.; Cope, D.G.; El-Rayes, B.F.; Gorman, M.; Ligibel, J.; Mansfield, P.; Levine, M. Central Venous Catheter Care for the Patient with Cancer: American Society of Clinical Oncology Clinical Practice Guideline. J. Clin. Oncol. 2013, 31, 1357–1370. [Google Scholar] [CrossRef]
- Darmon, M.; Thiery, G.; Ciroldi, M.; Porcher, R.; Schlemmer, B.; Azoulay, É. Should Dialysis Be Offered to Cancer Patients with Acute Kidney Injury? Intensive Care Med. 2007, 33, 765–772. [Google Scholar] [CrossRef]
- Demirjian, S.; Teo, B.W.; Guzman, J.A.; Heyka, R.J.; Paganini, E.P.; Fissell, W.H.; Schold, J.D.; Schreiber, M.J. Hypophosphatemia during Continuous Hemodialysis Is Associated with Prolonged Respiratory Failure in Patients with Acute Kidney Injury. Nephrol. Dial. Transplant. 2011, 26, 3508–3514. [Google Scholar] [CrossRef] [PubMed]
- Mora Rodríguez, K.A.; Benbadis, S.R. Managing Antiepileptic Medication in Dialysis Patients. Curr. Treat. Options Neurol. 2018, 20, 45. [Google Scholar] [CrossRef] [PubMed]
- Lach, K.; Peterson, S.J. Nutrition Support for Critically Ill Patients with Cancer. Nutr. Clin. Pract. 2017, 32, 578–586. [Google Scholar] [CrossRef] [PubMed]
- Guzzi, F.; Cirillo, L.; Roperto, R.M.; Romagnani, P.; Lazzeri, E. Molecular Mechanisms of the Acute Kidney Injury to Chronic Kidney Disease Transition: An Updated View. Int. J. Mol. Sci. 2019, 20, 4941. [Google Scholar] [CrossRef] [PubMed]
- Launay-Vacher, V.; Janus, N.; Deray, G. Renal Insufficiency and Cancer Treatments. ESMO Open 2016, 1, e000091. [Google Scholar] [CrossRef]
- Peired, A.J.; Antonelli, G.; Angelotti, M.L.; Allinovi, M.; Guzzi, F.; Sisti, A.; Semeraro, R.; Conte, C.; Mazzinghi, B.; Nardi, S.; et al. Acute Kidney Injury Promotes Development of Papillary Renal Cell Adenoma and Carcinoma from Renal Progenitor Cells. Sci. Transl. Med. 2020, 12, 1486–1493. [Google Scholar] [CrossRef]
- Peired, A.J.; Lazzeri, E.; Guzzi, F.; Anders, H.-J.; Romagnani, P. From Kidney Injury to Kidney Cancer. Kidney Int. 2021, 100, 55–66. [Google Scholar] [CrossRef]
- Luyckx, V.A.; Rule, A.D.; Tuttle, K.R.; Delanaye, P.; Liapis, H.; Gandjour, A.; Romagnani, P.; Anders, H.-J. Nephron Overload as a Therapeutic Target to Maximize Kidney Lifespan. Nat. Rev. Nephrol. 2021, 18, 171–183. [Google Scholar] [CrossRef]
- Perkovic, V.; Jardine, M.J.; Neal, B.; Bompoint, S.; Heerspink, H.J.L.; Charytan, D.M.; Edwards, R.; Agarwal, R.; Bakris, G.; Bull, S.; et al. Canagliflozin and Renal Outcomes in Type 2 Diabetes and Nephropathy. N. Engl. J. Med. 2019, 380, 2295–2306. [Google Scholar] [CrossRef]
- Heerspink, H.J.L.; Stefánsson, B.V.; Correa-Rotter, R.; Chertow, G.M.; Greene, T.; Hou, F.-F.; Mann, J.F.E.; McMurray, J.J.V.; Lindberg, M.; Rossing, P.; et al. Dapagliflozin in Patients with Chronic Kidney Disease. N. Engl. J. Med. 2020, 383, 1436–1446. [Google Scholar] [CrossRef]
- Randomised Placebo-Controlled Trial of Effect of Ramipril on Decline in Glomerular Filtration Rate and Risk of Terminal Renal Failure in Proteinuric, Non-Diabetic Nephropathy. The GISEN Group (Gruppo Italiano Di Studi Epidemiologici in Nefrologia). Lancet 1997, 349, 1857–1863. [Google Scholar]
- Tang, H.; Dai, Q.; Shi, W.; Zhai, S.; Song, Y.; Han, J. SGLT2 Inhibitors and Risk of Cancer in Type 2 Diabetes: A Systematic Review and Meta-Analysis of Randomised Controlled Trials. Diabetologia 2017, 60, 1862–1872. [Google Scholar] [CrossRef] [PubMed]
- Kane-Gill, S.L. Health System Perspectives in Acute Kidney Injury: Commitment to Kidney Health and Planning Implementation Interventions. Curr. Opin. Crit. Care 2021, 27, 593–603. [Google Scholar] [CrossRef]
- Ostermann, M.; Bellomo, R.; Burdmann, E.A.; Doi, K.; Endre, Z.H.; Goldstein, S.L.; Kane-Gill, S.L.; Liu, K.D.; Prowle, J.R.; Shaw, A.D.; et al. Controversies in Acute Kidney Injury: Conclusions from a Kidney Disease: Improving Global Outcomes (KDIGO) Conference. Kidney Int. 2020, 98, 294–309. [Google Scholar] [CrossRef]
- Manolopoulou, M.; Matlock, B.K.; Nlandu-Khodo, S.; Simmons, A.J.; Lau, K.S.; Phillips-Mignemi, M.; Ivanova, A.; Alford, C.E.; Flaherty, D.K.; Gewin, L.S. Novel Kidney Dissociation Protocol and Image-Based Flow Cytometry Facilitate Improved Analysis of Injured Proximal Tubules. Am. J. Physiol. Renal Physiol. 2019, 316, F847–F855. [Google Scholar] [CrossRef] [PubMed]
- Vanmassenhove, J.; Vanholder, R.; Nagler, E.; van Biesen, W. Urinary and Serum Biomarkers for the Diagnosis of Acute Kidney Injury: An in-Depth Review of the Literature. Nephrol. Dial. Transplant. 2013, 28, 254–273. [Google Scholar] [CrossRef] [PubMed]




| Term | Definition | Available Classification | Reference |
|---|---|---|---|
| Acute Kidney Injury (AKI) | Acute kidney injury (AKI) describes a sudden loss of kidney function that is determined on the basis of increased sCr levels (a marker of kidney excretory function) and reduced urinary output (oliguria) (a quantitative marker of urine production) and is limited to a duration of 7 days. | RIFLE (2004) AKIN (2007) KDIGO (2012) | [1] [24] [25] [26] |
| Acute Kidney Disease and Disorders (AKD) | A variety of functional kidney conditions that can range from mild and self-limiting to severe and persistent. AKD persisting for >3 months is referred to as CKD. | [1] | |
| Nephrotoxicity | The damage of kidneys by exogenous or endogenous toxicants. | [27] | |
| Chronic Kidney Disease (CKD) | CKD is a syndrome defined as persistent alterations in kidney structure, function, or both with implications for the health of the individual. | KDIGO (2013) | [2] [28] |
| Drug | Class of Antineoplastic Drug | Kidney Associated Clinical Features | Mechanism of Nephrotoxicity | Biomarkers | References |
|---|---|---|---|---|---|
| Cisplatin | Platinum agents | AKI Hypomagnesemia | Oxidative stress and inflammation, DNA damage-induced apoptosis and polyploidy | NAG NGAL KIM-1 | [56,130,131,132,133] |
| Ifosfamide | Alkylating agents | AKI Nephrogenic diabetes insipidus Fanconi syndrome dRTA | Oxidative stress, DNA damage, and karyomegalic nephropathy | [75,78,85,86,87,88] | |
| Vancomycin, Gentamicin, and Amphotericin B | Anti-infectives drugs | AKI | Not well understood, DNA damage and oxidative stress on proximal tubular cells | NAG NGAL, KIM-1 [TIMP-2][IGFBP7] | [89,132,134,135,136,137,138,139] |
| Erlotinib | EGFR inhibitors | AKI Nephrotic syndrome and proliferative glomerulonephritis | Not completely understood, block of YAP-1 impairs kidney repair | [114,118,119] | |
| Nivolumab | Immune checkpoint inhibitors | AKI delayed onset | Largely unknown, finding of TEC polyploidy | [103,109,110] |
Publisher’s Note: MDPI stays neutral with regard to jurisdictional claims in published maps and institutional affiliations. |
© 2022 by the authors. Licensee MDPI, Basel, Switzerland. This article is an open access article distributed under the terms and conditions of the Creative Commons Attribution (CC BY) license (https://creativecommons.org/licenses/by/4.0/).
Share and Cite
De Chiara, L.; Lugli, G.; Villa, G.; Raglianti, V.; Husain-Syed, F.; Ravaglia, F.; Romagnani, P.; Lazzeri, E. Molecular Mechanisms and Biomarkers Associated with Chemotherapy-Induced AKI. Int. J. Mol. Sci. 2022, 23, 2638. https://doi.org/10.3390/ijms23052638
De Chiara L, Lugli G, Villa G, Raglianti V, Husain-Syed F, Ravaglia F, Romagnani P, Lazzeri E. Molecular Mechanisms and Biomarkers Associated with Chemotherapy-Induced AKI. International Journal of Molecular Sciences. 2022; 23(5):2638. https://doi.org/10.3390/ijms23052638
Chicago/Turabian StyleDe Chiara, Letizia, Gianmarco Lugli, Gianluca Villa, Valentina Raglianti, Faeq Husain-Syed, Fiammetta Ravaglia, Paola Romagnani, and Elena Lazzeri. 2022. "Molecular Mechanisms and Biomarkers Associated with Chemotherapy-Induced AKI" International Journal of Molecular Sciences 23, no. 5: 2638. https://doi.org/10.3390/ijms23052638
APA StyleDe Chiara, L., Lugli, G., Villa, G., Raglianti, V., Husain-Syed, F., Ravaglia, F., Romagnani, P., & Lazzeri, E. (2022). Molecular Mechanisms and Biomarkers Associated with Chemotherapy-Induced AKI. International Journal of Molecular Sciences, 23(5), 2638. https://doi.org/10.3390/ijms23052638

