Insight into Different Stages of Steroid Degradation in Thermophilic Saccharopolyspora hirsuta VKM Ac-666T Strain
Abstract
1. Introduction
2. Results
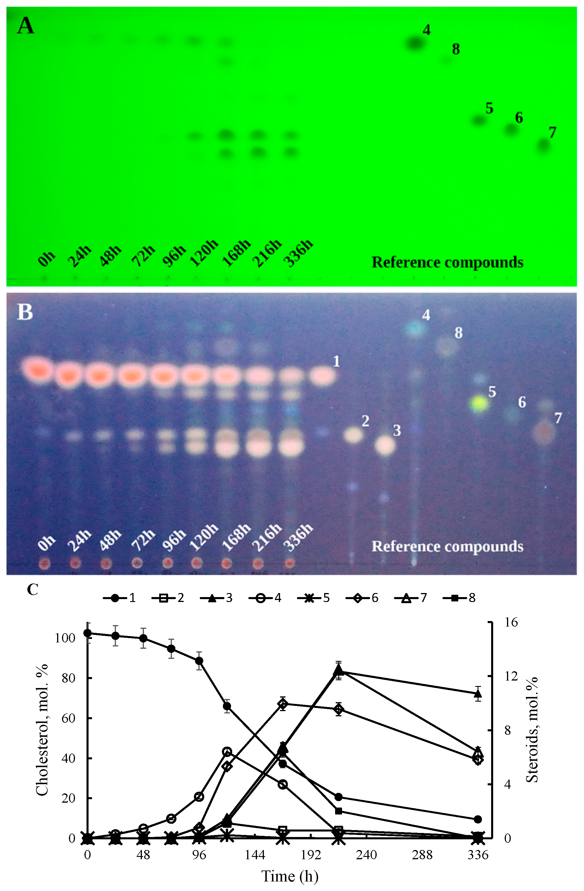
2.1. Cholesterol as a Growth Substrate
2.2. Cholesterol Bioconversion in a Rich Medium
2.3. Quantitative Reverse Transcription–PCR (RT–qPCR)
2.4. High-Throughput mRNA Sequencing
3. Discussion
4. Materials and Methods
4.1. Materials
4.2. Microorganism, Cultivation, and Cholesterol Conversion
4.3. Isolation of Total RNA from S. hirsuta Cells for RNA-Seq
4.4. Computational Analyses
4.5. Preparation of Total RNA for RT–qPCR
4.6. RT–qPCR
4.7. RT–qPCR Data Analysis
4.8. Growth Estimations
4.9. Thin Layer Chromatography (TLC)
4.10. High-Performance Liquid Chromatography (HPLC)
5. Conclusions
Supplementary Materials
Author Contributions
Funding
Institutional Review Board Statement
Informed Consent Statement
Data Availability Statement
Conflicts of Interest
References
- Olivera, E.R.; Luengo, J.M. Steroids as environmental compounds recalcitrant to degradation: Genetic mechanisms of bacterial biodegradation pathways. Genes 2019, 10, 512. [Google Scholar] [CrossRef]
- Bergstrand, L.H.; Cardenas, E.; Holert, J.; Van Hamme, J.D.; Mohn, W.W. Delineation of steroid-degrading microorganisms through comparative genomic analysis. mBio 2016, 7, e00166-16. [Google Scholar] [CrossRef] [PubMed]
- Shivlata, L.; Satyanarayana, T. Thermophilic and alkaliphilic Actinobacteria: Biology and potential applications. Front. Microbiol. 2015, 6, 1014. [Google Scholar] [CrossRef] [PubMed]
- Goodfellow, M.; Simpson, K.E. Ecology of Streptomycetes. Front. Appl. Microbiol. 1987, 2, 97–125. [Google Scholar]
- Chen, M.; Xu, P.; Zeng, G.; Yang, C.; Huang, D.; Zhang, J. Bioremediation of soils contaminated with polycyclic aromatic hydrocarbons, petroleum, pesticides, chlorophenols and heavy metals by composting: Applications, microbes and future research needs. Biotechnol. Adv. 2015, 33, 745–755. [Google Scholar] [CrossRef] [PubMed]
- Donova, M.V.; Egorova, O.V. Microbial steroid transformations: Current state and prospects. Appl. Microbiol. Biotechnol. 2012, 94, 1423–1447. [Google Scholar] [CrossRef]
- Chiang, Y.R.; Wei, S.T.S.; Wang, P.H.; Wu, P.H.; Yu, C.P. Microbial degradation of steroid sex hormones: Implications for environmental and ecological studies. Microb. Biotechnol. 2020, 13, 926–949. [Google Scholar] [CrossRef]
- Restaino, O.F.; Ferraiuolo, S.B.; Perna, A.; Cammarota, M.; Borzacchiello, M.G.; Fiorentino, A.; Schiraldi, C. Biotechnological transformation of hydrocortisone into 16α-hydroxyprednisolone by coupling Arthrobacter simplex and Streptomyces roseochromogenes. Molecules 2020, 25, 4912. [Google Scholar] [CrossRef]
- Singer, Y.; Shity, H.; Bar, R. Microbial transformations in a cyclodextrin medium. Part 2. Reduction of androstenedione to testosterone by Saccharomyces cerevisiae. Appl. Microbiol. Biotechnol. 1991, 35, 731–737. [Google Scholar] [CrossRef]
- Liu, Y.; Wang, Y.; Chen, X.; Wu, Q.; Wang, M.; Zhu, D.; Ma, Y. Regio- and stereoselective reduction of 17-oxosteroids to 17β-hydroxysteroids by a yeast strain Zygowilliopsis sp. WY7905. Steroids 2017, 118, 17–24. [Google Scholar] [CrossRef]
- Kristan, K.; Rižner, T.L. Steroid-transforming enzymes in fungi. J. Steroid Biochem. Mol. Biol. 2012, 129, 79–91. [Google Scholar] [CrossRef] [PubMed]
- Pollio, A.; Pinto, G.; Greca, M.D.; De Maio, A.; Fiorentino, A.; Previtera, L. Progesterone bioconversion by microalgal cultures. Phytochemistry 1994, 37, 1269–1272. [Google Scholar] [CrossRef] [PubMed]
- Holert, J.; Cardenas, E.; Bergstrand, L.H.; Zaikova, E.; Hahn, A.S.; Hallam, S.J.; Mohn, W.W. Metagenomes reveal global distribution of bacterial steroid catabolism in natural, engineered, and host environments. mBio 2018, 9, e02345-17. [Google Scholar] [CrossRef] [PubMed]
- Lobastova, T.G.; Fokina, V.V.; Bragin, E.Y.; Shtratnikova, V.Y.; Starodumova, I.P.; Tarlachkov, S.V.; Donova, M.V. Draft genome sequence of the moderately thermophilic actinobacterial steroid-transforming Saccharopolyspora hirsuta subsp. hirsuta strain VKM Ac-666T. Microbiol. Resour. Announc. 2020, 9, e01327-19. [Google Scholar] [CrossRef]
- Lobastova, T.; Fokina, V.; Tarlachkov, S.; Shutov, A.; Bragin, E.; Kazantsev, A.; Donova, M.V. Steroid metabolism in thermophilic actinobacterium Saccharopolyspora hirsuta VKM Ac-666T. Microorganisms 2021, 9, 2554. [Google Scholar] [CrossRef]
- Kollerov, V.V.; Monti, D.; Deshcherevskaya, N.O.; Lobastova, T.G.; Ferrandi, E.E.; Larovere, A.; Gulevskaya, S.A.; Riva, S.; Donova, M.V. Hydroxylation of lithocholic acid by selected actinobacteria and filamentous fungi. Steroids 2013, 78, 370–378. [Google Scholar] [CrossRef]
- Lobastova, T.G.; Khomutov, S.M.; Shutov, A.A.; Donova, M.V. Microbiological synthesis of stereoisomeric 7(α/β)-hydroxytestololactones and 7(α/β)-hydroxytestolactones. Appl. Microbiol. Biotechnol. 2019, 103, 4967–4976. [Google Scholar] [CrossRef]
- Restaino, O.F.; Marseglia, M.; Diana, P.; Borzacchiello, M.G.; Finamore, R.; Vitiello, M.; D’Agostino, A.; De Rosa, M.; Schiraldi, C. Advances in the 16α-hydroxy transformation of hydrocortisone by Streptomyces roseochromogenes. Process Biochem. 2016, 51, 1–8. [Google Scholar] [CrossRef]
- Al-Awadi, S.; Afzal, M.; Oommen, S. Studies on Geobacillus stearothermophilus—Part V1: Transformation of 17α-hydroxyprogesterone and 21-hydroxyprogesterone. Biocatal. Biotransform. 2007, 25, 43–50. [Google Scholar] [CrossRef]
- Al-Tamimi, S.; Al-Awadi, S.; Oommen, S.; Afzal, M. Modification of progesterone and testosterone by a food-borne thermophile Geobacillus kaustophilus. Int. J. Food Sci. Nutr. 2010, 61, 78–86. [Google Scholar] [CrossRef]
- Sodano, G.; Trabucco, A.; De Rosa, M.; Gambacorta, A. Microbiological reduction of steroidal ketones using the thermophilic bacterium Caldariella acidophila. Experientia 1982, 38, 1311–1312. [Google Scholar] [CrossRef]
- Capyk, J.K.; Kalscheuer, R.; Stewart, G.R.; Liu, J.; Kwon, H.; Zhao, R.; Okamoto, S.; Jacobs, R.W., Jr.; Eltis, L.D.; Mohn, W.W. Mycobacterial cytochrome P450 125 (Cyp125) catalyzes the terminal hydroxylation of C27 steroids. J. Biol. Chem. 2009, 284, 35534–35542. [Google Scholar] [CrossRef] [PubMed]
- Rosłoniec, K.Z.; Wilbrink, M.H.; Capyk, J.K.; Mohn, W.W.; Ostendorf, M.; van der Geize, R.; Dijkhuizen1, L.; Eltis, L.D. Cytochrome P450 125 (CYP125) catalyses C26-hydroxylation to initiate sterol side-chain degradation in Rhodococcus jostii RHA1. Mol. Microbiol. 2009, 74, 1031–1043. [Google Scholar] [CrossRef] [PubMed]
- Capyk, J.K.; D’Angelo, I.; Strynadka, N.C.; Eltis, L.D. Characterization of 3-ketosteroid 9α-hydroxylase, a Rieske oxygenase in the cholesterol degradation pathway of Mycobacterium tuberculosis. J. Biol. Chem. 2009, 284, 9937–9946. [Google Scholar] [CrossRef]
- Petrusma, M.; Hessels, G.; Dijkhuizen, L.; van der Geize, R. Multiplicity of 3-ketosteroid-9α-hydroxylase enzymes in Rhodococcus rhodochrous DSM43269 for specific degradation of different classes of steroids. J. Bacteriol. 2011, 193, 3931–3940. [Google Scholar] [CrossRef] [PubMed]
- Crowe, A.M.; Casabon, I.; Brown, K.L.; Liu, J.; Lian, J.; Rogalski, J.C.; Hurst, T.E.; Snieckus, V.; Foster, L.J.; Eltis, L.D. Catabolism of the last two steroid rings in Mycobacterium tuberculosis and other bacteria. mBio 2017, 8, e00321-17. [Google Scholar] [CrossRef] [PubMed]
- Horinouchi, M.; Koshino, H.; Malon, M.; Hirota, H.; Hayashi, T. Steroid degradation in Comamonas testosteroni TA441: Identification of the entire β-oxidation cycle of the cleaved B ring. Appl. Environ. Microbiol. 2019, 85, e01204-19. [Google Scholar] [CrossRef]
- Gadbery, J.E.; Round, J.W.; Yuan, T.; Wipperman, M.F.; Story, K.T.; Crowe, A.M.; Casabon, I.; Liu, J.; Yang, X.; Eltis, L.D.; et al. IpdE1-IpdE2 is a heterotetrameric acyl coenzyme A dehydrogenase that is widely distributed in steroid-degrading bacteria. Biochemistry 2020, 59, 1113–1123. [Google Scholar] [CrossRef]
- Van der Geize, R.; Grommen, A.W.F.; Hessels, G.I.; Jacobs, A.A.C.; Dijkhuizen, L. The steroid catabolic pathway of the intracellular pathogen Rhodococcus equi is important for pathogenesis and a target for vaccine development. PLoS Pathog. 2011, 7, e1002181. [Google Scholar] [CrossRef]
- Kendall, S.L.; Withers, M.; Soffair, C.N.; Moreland, N.J.; Gurcha, S.; Sidders, B.; Frita, R.; Ten Bokum, A.; Besra, G.S.; Lott, J.S.; et al. A highly conserved transcriptional repressor controls a large regulon involved in lipid degradation in Mycobacterium smegmatis and Mycobacterium tuberculosis: Transcriptional repressor controlling a large lipid metabolism regulon in mycobacteria. Mol. Microbiol. 2007, 65, 684–699. [Google Scholar] [CrossRef]
- Kendall, S.L.; Burgess, P.; Balhana, R.; Withers, M.; Ten Bokum, A.; Lott, J.S.; Gao, C.; Uhia-Castro, I.; Stoker, N.G. Cholesterol utilization in mycobacteria is controlled by two TetR-type transcriptional regulators: kstR and kstR2. Microbiology 2010, 156, 1362–1371. [Google Scholar] [CrossRef] [PubMed]
- García-Fernández, E.; Medrano, F.J.; Galán, B.; García, J.L. Deciphering the transcriptional regulation of cholesterol catabolic pathway in Mycobacteria: Identification of the inducer of KstR repressor. J. Biol. Chem. 2014, 289, 17576–17588. [Google Scholar] [CrossRef]
- Drzyzga, O.; Fernández de las Heras, L.; Morales, V.; Navarro Llorens, J.M.; Perera, J. Cholesterol degradation by Gordonia cholesterolivorans. Appl. Environ. Microbiol. 2011, 77, 4802–4810. [Google Scholar] [CrossRef] [PubMed]
- Ge, F.; Li, W.; Chen, G.; Liu, Y.; Zhang, G.; Yong, B.; Wang, Q.; Wang, N.; Huang, Z.; Li, W.; et al. Draft genome sequence of Gordonia neofelifaecis NRRL B-59395, a cholesterol-degrading actinomycete. J. Bacteriol. 2011, 193, 5045–5046. [Google Scholar] [CrossRef] [PubMed]
- Van der Geize, R.; Yam, K.; Heuser, T.; Wilbrink, M.H.; Hara, H.; Anderton, M.C.; Sim, E.; Dijkhuizen, L.; Davies, J.E.; Mohn, W.W.; et al. A gene cluster encoding cholesterol catabolism in a soil actinomycete provides insight into Mycobacterium tuberculosis survival in macrophages. Proc. Natl. Acad. Sci. USA 2007, 104, 1947–1952. [Google Scholar] [CrossRef]
- Griffin, J.E.; Gawronski, J.D.; DeJesus, M.A.; Ioerger, T.R.; Akerley, B.J.; Sassetti, C.M. High-resolution phenotypic profiling defines genes essential for mycobacterial growth and cholesterol catabolism. PLoS Pathog. 2011, 7, e1002251. [Google Scholar] [CrossRef]
- Shtratnikova, V.Y.; Schelkunov, M.I.; Fokina, V.V.; Bragin, E.Y.; Shutov, A.A.; Donova, M.V. Different genome-wide transcriptome responses of Nocardioides simplex VKM Ac-2033D to phytosterol and cortisone 21-acetate. BMC Biotechnol. 2021, 21, 7. [Google Scholar] [CrossRef]
- Uhía, I.; Galan, B.; Medrano, F.J.; Garcia, J.L. Characterization of the KstR-dependent promoter of the gene for the first step of the cholesterol degradative pathway in Mycobacterium smegmatis. Microbiology 2011, 157, 2670–2680. [Google Scholar] [CrossRef]
- Uhía, I.; Galán, B.; Kendall, S.L.; Stoker, N.G.; García, J.L. Cholesterol metabolism in Mycobacterium smegmatis: Cholesterol pathway. Environ. Microbiol. Rep. 2012, 4, 168–182. [Google Scholar] [CrossRef]
- Ho, N.A.T.; Dawes, S.S.; Crowe, A.M.; Casabon, I.; Gao, C.; Kendall, S.L.; Baker, E.N.; Eltis, L.D.; Lott, J.S. The structure of the transcriptional repressor KstR in complex with CoA thioester cholesterol metabolites sheds light on the regulation of cholesterol catabolism in Mycobacterium tuberculosis. J. Biol. Chem. 2016, 291, 7256–7266. [Google Scholar] [CrossRef]
- Casabon, I.; Zhu, S.-H.; Otani, H.; Liu, J.; Mohn, W.W.; Eltis, L.D. Regulation of the KstR2 regulon of Mycobacterium tuberculosis by a cholesterol catabolite. Mol. Microbiol. 2013, 89, 1201–1212. [Google Scholar] [CrossRef]
- Kreit, J. Microbial catabolism of sterols: Focus on the enzymes that transform the sterol 3-hydroxy-5-en into 3-keto-4-en. FEMS Microbiol. Lett. 2017, 364, fnx007. [Google Scholar] [CrossRef]
- Pawełczyk, J.; Brzostek, A.; Minias, A.; Płociński, P.; Rumijowska-Galewicz, A.; Strapagiel, D.; Zakrzewska-Czerwińska, J.; Dziadek, J. Cholesterol-dependent transcriptome remodeling reveals new insight into the contribution of cholesterol to Mycobacterium tuberculosis pathogenesis. Sci. Rep. 2021, 11, 12396. [Google Scholar] [CrossRef]
- Rodríguez-García, A.; Fernández-Alegre, E.; Morales, A.; Sola-Landa, A.; Lorraine, J.; Macdonald, S.; Dovbnya, D.; Smith, M.C.M.; Donova, M.; Barreiro, C. Complete genome sequence of ‘Mycobacterium neoaurum’ NRRL B-3805, an androstenedione (AD) producer for industrial biotransformation of sterols. J. Biotechnol. 2016, 224, 64–65. [Google Scholar] [CrossRef]
- Ouellet, H.; Guan, S.; Johnston, J.B.; Chow, E.D.; Kells, P.M.; Burlingame, A.L.; Cox, J.S.; Podust, L.M.; Ortiz de Montellano, P.R. Mycobacterium tuberculosis CYP125A1, a steroid C27 monooxygenase that detoxifies intracellularly generated cholest-4-en-3-one: CYP125A1 in cholesterol metabolism. Mol. Microbiol. 2010, 77, 730–742. [Google Scholar] [CrossRef]
- Mohn, W.W.; van der Geize, R.; Stewart, G.R.; Okamoto, S.; Liu, J.; Dijkhuizen, L.; Eltis, L.D. The actinobacterial mce4 locus encodes a steroid transporter. J. Biol. Chem. 2008, 283, 35368–35374. [Google Scholar] [CrossRef]
- Shtratnikova, V.Y.; Schelkunov, M.I.; Fokina, V.V.; Bragin, E.Y.; Lobastova, T.G.; Shutov, A.A.; Kazantsev, A.V.; Donova, M.V. Genome-wide transcriptome profiling provides insight on cholesterol and lithocholate degradation mechanisms in Nocardioides simplex VKM Ac-2033D. Genes 2020, 11, 1229. [Google Scholar] [CrossRef]
- Kreit, J.; Sampson, N.S. Cholesterol oxidase: Physiological functions. FEBS J. 2009, 276, 6844–6856. [Google Scholar] [CrossRef]
- Jeong, J.M.; Young-Sun, J. A simple and rapid method for screening of Nocardioides simplex mutant with high cholesterol oxidase activity. Appl. Biol. Chem. 2008, 51, 338–341. [Google Scholar] [CrossRef]
- Fokina, V.V.; Karpov, M.V.; Kollerov, V.V.; Bragin, E.Y.; Epiktetov, D.O.; Sviridov, A.V.; Kazantsev, A.V.; Shutov, A.A.; Donova, M.V. Recombinant extracellular cholesterol oxidase from Nocardioides simplex. Biochemistry 2022, 87, 903–915. [Google Scholar] [CrossRef]
- Shtratnikova, V.Y.; Schelkunov, M.I.; Fokina, V.V.; Pekov, Y.A.; Ivashina, T.; Donova, M.V. Genome-wide bioinformatics analysis of steroid metabolism associated genes in Nocardioides simplex VKM Ac-2033D. Curr. Genet. 2016, 62, 643–656. [Google Scholar] [CrossRef]
- Nesbitt, N.M.; Yang, X.; Fontán, P.; Kolesnikova, I.; Smith, I.; Sampson, N.S.; Dubnau, E. A thiolase of Mycobacterium tuberculosis is required for virulence and production of androstenedione and androstadienedione from cholesterol. Infect. Immun. 2010, 78, 275–282. [Google Scholar] [CrossRef]
- Swain, K.; Casabon, I.; Eltis, L.D.; Mohn, W.W. Two transporters essential for the reassimilation of novel cholate metabolites by Rhodococcus jostii RHA1. J. Bacteriol. 2012, 194, 6720–6727. [Google Scholar] [CrossRef]
- Costa, S.; Giovannini, P.P.; Fantin, G.; Medici, A.; Pedrini, P. New 9,10-secosteroids from biotransformations of bile acids with Rhodococcus ruber. Helv. Chim. Acta 2013, 96, 2124–2133. [Google Scholar] [CrossRef]
- Park, N.S.; Myeong, J.S.; Park, H.J.; Han, K.B.; Kim, S.N.; Kim, E.S. Characterization and culture optimization of regiospecific cyclosporin hydroxylation in rare actinomycetes species. J. Microbiol. Biotechnol. 2005, 15, 188–191. [Google Scholar]
- Andrews, S. FastQC: A Quality Control Tool for high throughput Sequence Data. Available online: https://www.bioinformatics.babraham.ac.uk/projects/fastqc (accessed on 19 October 2022).
- Bolger, A.M.; Lohse, M.; Usadel, B. Trimmomatic: A flexible trimmer for Illumina sequence data. Bioinformatics 2014, 30, 2114–2120. [Google Scholar] [CrossRef]
- Langmead, B.; Salzberg, S. Fast gapped-read alignment with Bowtie 2. Nat. Methods 2012, 9, 357–359. [Google Scholar] [CrossRef]
- Liao, Y.; Smyth, G.K.; Shi, W. featureCounts: An efficient general purpose program for assigning sequence reads to genomic features. Bioinformatics 2014, 30, 923–930. [Google Scholar] [CrossRef]
- Love, M.I.; Huber, W.; Anders, S. Moderated estimation of fold change and dispersion for RNA-seq data with DESeq2. Genome Biol. 2014, 15, 550. [Google Scholar] [CrossRef]
- Pfaffl, M.W.; Tichopad, A.; Prgomet, C.; Neuvians, T.P. Determination of stable housekeeping genes, differentially regulated target genes and sample integrity: BestKeeper--Excel-based tool using pair-wise correlations. Biotechnol. Lett. 2004, 26, 509–515. [Google Scholar] [CrossRef]
- Bragin, E.Y.; Shtratnikova, V.Y.; Schelkunov, M.I.; Dovbnya, D.V.; Donova, M.V. Genome-wide response on phytosterol in 9-hydroxyandrostenedione-producing strain of Mycobacterium sp. VKM Ac-1817D. BMC Biotechnol. 2019, 19, 39. [Google Scholar] [CrossRef] [PubMed]
- Jork, H.; Funk, W.; Fischer, W.; Wimmer, H. Thin-Layer Chromatography. Reagents and Detection Methods. Physical and Chemical Detection Methods: Fundamentals, Reagents I; VCH: Weinheim, Germany, 1990; Volume 1a, pp. 333–336. ISBN 3-527-27834-6. [Google Scholar]









| Samples | Total Number of Raw Reads | Number of Reads Cleared | Number of Reads Mapped to Known Genes | Link to the Reads in SRA |
|---|---|---|---|---|
| Cholesterol, 1st replicate | 34,373,229 | 33,902,023 | 30,245,313 | SRR20572576 |
| Cholesterol, 2nd replicate | 34,260,954 | 33,937,790 | 30,213,192 | SRR20572575 |
| Cholesterol, 3rd replicate | 38,157,119 | 37,718,807 | 33,240,441 | SRR20572574 |
| Control, 1st replicate | 35,094,302 | 34,828,140 | 31,071,528 | SRR20572579 |
| Control, 2nd replicate | 38,247,896 | 37,916,929 | 33,889,794 | SRR20572578 |
| Control, 3rd replicate | 34,796,757 | 34,497,968 | 30,738,130 | SRR20572577 |
| № | Locus Tag | Gene Differential Expression in Response to Cholesterol | Link to the Reads in SRA Protein (NCBI Annotation) |
|---|---|---|---|
| 1 | F1721_08450 | 40.83 | ABC transporter ATP-binding protein |
| 2 | F1721_15540 | 39.82 | Tetratricopeptide repeat protein |
| 3 | F1721_15545 | 36.23 | MBL fold metallo-hydrolase |
| 4 | F1721_08445 | 26.54 | FtsX-like permease family protein |
| 5 | F1721_27895 | 22.82 | DUF418 domain-containing protein |
| 6 | F1721_27890 | 17.11 | Class I SAM-dependent methyltransferase |
| 7 | F1721_22945 | 10.67 | Polyprenyl synthetase family protein |
| 8 | F1721_08470 | 9.71 | Amidohydrolase |
| 9 | F1721_06460 | 9.22 | DUF4111 domain-containing protein |
| 10 | F1721_15550 | 8.65 | Hypothetical protein |
| 11 | F1721_22940 | 8.30 | VOC family protein |
| 12 | F1721_08455 | 6.79 | Two-component sensor histidine kinase |
| 13 | F1721_15555 | 5.66 | SDR family oxidoreductase |
| 14 | F1721_08440 | 5.40 | Nitric oxide synthase oxygenase |
| 15 | F1721_17570 | 4.40 | Trypsin-like serine protease |
| 16 | F1721_32680 | 4.35 | Cytochrome P450 |
| 17 | F1721_15565 | 4.08 | LysR family transcriptional regulator |
| 18 | F1721_04135 | 3.82 | YhgE/Pip domain-containing protein |
| 19 | F1721_08460 | 3.71 | Response regulator transcription factor |
| 20 | F1721_15560 | 3.64 | Low temperature requirement protein A |
| 21 | F1721_03575 | 3.58 | PDZ domain-containing protein |
| 22 | F1721_15575 | 3.39 | L-rhamnose mutarotase |
| 23 | F1721_06455 | 3.35 | Hypothetical protein |
| 24 | F1721_14690 | 3.34 | PspC domain-containing protein |
| 25 | F1721_04140 | 3.33 | MMPL family transporter |
| 26 | F1721_22935 | 3.24 | Hypothetical protein |
| 27 | F1721_28715 | 3.17 | Metal-sensitive transcriptional regulator |
| 28 | F1721_06445 | 3.03 | LacI family transcriptional regulator |
| Gene | Primer Sequence | Amplicon Size | E | R2 |
|---|---|---|---|---|
| Genes of interest | ||||
| cyp125 | cyp152(Ac-666)RT714f cgagttcgggttcttcgtga cyp152(Ac-666)RT830r ttgtacagctcccactggtc | 117 | 1.84 | 0.993 |
| kstD3 | kstD3(Ac-666)RT1f atgaccgcagacaggttcg kstD3(Ac-666)RT170r tggttgttggggatccagac | 170 | 2.03 | 0.990 |
| kshA | kshA(Ac-666)RT547f tacatccacttcgcgttccc kshA(Ac-666)RT741r gcccttgtactcgttccaca | 195 | 1.85 | 0.994 |
| ipdF | ipdF(Ac-666)RT590f tggtgatgcacgagaacctg ipdF(Ac-666)RT740r ccggtgaggtaggtcgagta | 151 | 1.91 | 0.997 |
| fadE30 | fadE30(Ac-666)RT1116f gatccagcgcaacatcatcg fadE30(Ac-666)RT1175r cacggtcggctctccttg | 60 | 1.83 | 0.999 |
| Reference gene | ||||
| 16s rRNA | 16S(Ac-666)RT33f gggtaatctgccctgcact 16S(Ac-666)RT275r gattccccactgctgcctc | 243 | 1.92 | 0.998 |
Publisher’s Note: MDPI stays neutral with regard to jurisdictional claims in published maps and institutional affiliations. |
© 2022 by the authors. Licensee MDPI, Basel, Switzerland. This article is an open access article distributed under the terms and conditions of the Creative Commons Attribution (CC BY) license (https://creativecommons.org/licenses/by/4.0/).
Share and Cite
Lobastova, T.; Fokina, V.; Pozdnyakova-Filatova, I.; Tarlachkov, S.; Shutov, A.; Donova, M. Insight into Different Stages of Steroid Degradation in Thermophilic Saccharopolyspora hirsuta VKM Ac-666T Strain. Int. J. Mol. Sci. 2022, 23, 16174. https://doi.org/10.3390/ijms232416174
Lobastova T, Fokina V, Pozdnyakova-Filatova I, Tarlachkov S, Shutov A, Donova M. Insight into Different Stages of Steroid Degradation in Thermophilic Saccharopolyspora hirsuta VKM Ac-666T Strain. International Journal of Molecular Sciences. 2022; 23(24):16174. https://doi.org/10.3390/ijms232416174
Chicago/Turabian StyleLobastova, Tatyana, Victoria Fokina, Irina Pozdnyakova-Filatova, Sergey Tarlachkov, Andrey Shutov, and Marina Donova. 2022. "Insight into Different Stages of Steroid Degradation in Thermophilic Saccharopolyspora hirsuta VKM Ac-666T Strain" International Journal of Molecular Sciences 23, no. 24: 16174. https://doi.org/10.3390/ijms232416174
APA StyleLobastova, T., Fokina, V., Pozdnyakova-Filatova, I., Tarlachkov, S., Shutov, A., & Donova, M. (2022). Insight into Different Stages of Steroid Degradation in Thermophilic Saccharopolyspora hirsuta VKM Ac-666T Strain. International Journal of Molecular Sciences, 23(24), 16174. https://doi.org/10.3390/ijms232416174

