Atherogenic Indices as a Predictor of Aortic Calcification in Prostate Cancer Patients Assessed Using 18F-Sodium Fluoride PET/CT
Abstract
1. Introduction
2. Results
3. Materials and Methods
3.1. Participant Selection
3.2. 18F-NaF PET / CT
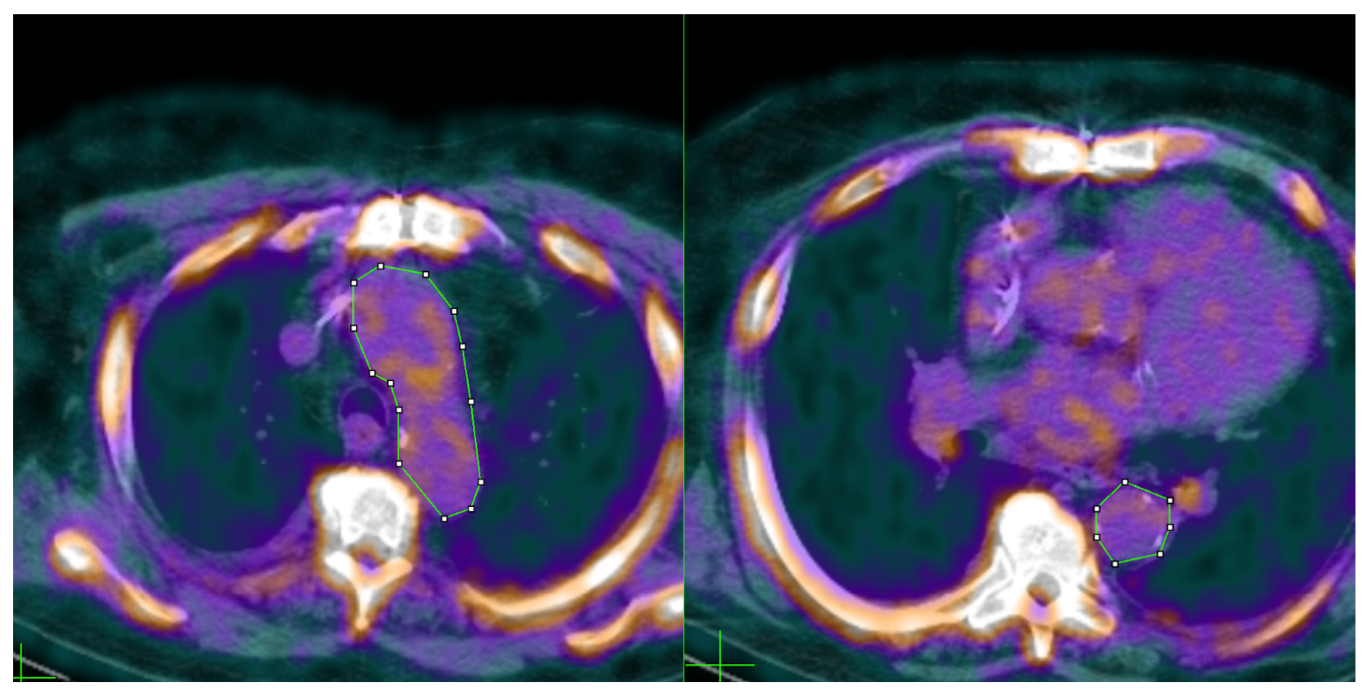
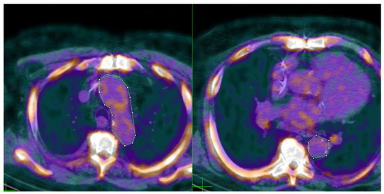
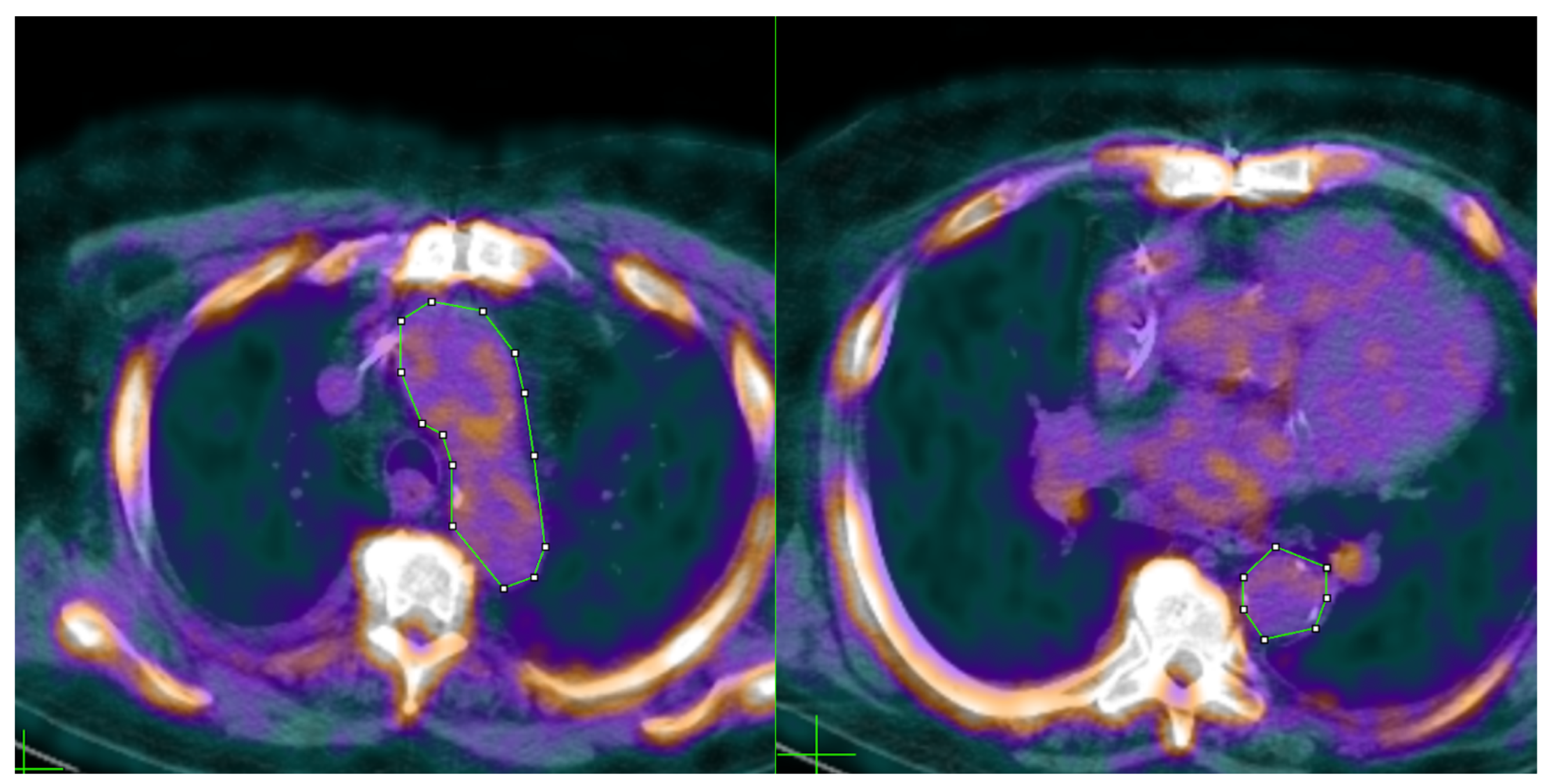
3.3. Imaging Analysis
3.4. Individual Lipid Metrics and Atherogenic Indices
3.5. Statistical Analysis
4. Discussion
4.1. Pathophysiology of Plaque Calcification
4.2. Association between Atherogenic Indices and Arterial Calcification
4.3. 18F-NaF PET/CT Imaging in Vascular Calcification
4.4. Study Limitations
5. Conclusions
Author Contributions
Funding
Institutional Review Board Statement
Informed Consent Statement
Data Availability Statement
Conflicts of Interest
Abbreviations
| 18F-NaF | 18-Fluorine Sodium Fluoride |
| AC | Atherogenic Coefficient |
| AIP | Atherogenic Index of Plasma |
| CAD | Coronary artery disease |
| CRI-I | Castelli’s Risk Index I |
| CRI-II | Castelli’s Risk Index II |
| CT | Computed tomography |
| CV | Cardiovascular |
| CVD | Cardiovascular disease |
| HDL | High-density lipoprotein |
| LDL | Low-density lipoprotein |
| mCi | Millicurie |
| PET | Positron emission tomography |
| ROI | Region of Interest |
| SUVmean | Mean standard uptake value |
| TC | Total cholesterol |
| TG | Triglycerides |
References
- Tsao, C.W.; Aday, A.W.; Almarzooq, Z.I.; Alonso, A.; Beaton, A.Z.; Bittencourt, M.S.; Boehme, A.K.; Buxton, A.E.; Carson, A.P.; Commodore-Mensah, Y.; et al. Heart Disease and Stroke Statistics—2022 Update: A Report From the American Heart Association. Circulation 2022, 145, e153–e639. [Google Scholar] [CrossRef] [PubMed]
- Steven, S.; Frenis, K.; Oelze, M.; Kalinovic, S.; Kuntic, M.; Bayo Jimenez, M.T.; Vujacic-Mirski, K.; Helmstädter, J.; Kröller-Schön, S.; Münzel, T.; et al. Vascular Inflammation and Oxidative Stress: Major Triggers for Cardiovascular Disease. Oxidative Med. Cell. Longev. 2019, 2019, 1–26. [Google Scholar] [CrossRef]
- Heitzer, T.; Schlinzig, T.; Krohn, K.; Meinertz, T.; Münzel, T. Endothelial Dysfunction, Oxidative Stress, and Risk of Cardiovascular Events in Patients With Coronary Artery Disease. Circulation 2001, 104, 2673–2678. [Google Scholar] [CrossRef]
- Cai, H.; Harrison, D.G. Endothelial Dysfunction in Cardiovascular Diseases: The Role of Oxidant Stress. Circ. Res. 2000, 87, 840–844. [Google Scholar] [CrossRef]
- McKenney-Drake, M.L.; Moghbel, M.C.; Paydary, K.; Alloosh, M.; Houshmand, S.; Moe, S.; Salavati, A.; Sturek, J.M.; Territo, P.R.; Weaver, C.; et al. 18F-NaF and 18F-FDG as molecular probes in the evaluation of atherosclerosis. Eur. J. Nucl. Med. Mol. Imaging 2018, 45, 2190–2200. [Google Scholar] [CrossRef]
- Linton, M.F.; Yancey, P.G.; Davies, S.S.; Jerome, W.G.; Linton, E.F.; Song, W.L.; Doran, A.C.; Vickers, K.C. The Role of Lipids and Lipoproteins in Atherosclerosis. In Endotext; Feingold, K.R., Anawalt, B., Boyce, A., Chrousos, G., de Herder, W.W., Dhatariya, K., Dungan, K., Hershman, J.M., Hofland, J., Kalra, S., et al., Eds.; MDText.com, Inc.: South Dartmouth, MA, USA, 2000. [Google Scholar]
- Chen, W.; Dilsizian, V. Targeted PET/CT Imaging of Vulnerable Atherosclerotic Plaques: Microcalcification with Sodium Fluoride and Inflammation with Fluorodeoxyglucose. Curr. Cardiol. Rep. 2013, 15, 364. [Google Scholar] [CrossRef]
- Falk, E.; Shah, P.K.; Fuster, V. Coronary Plaque Disruption. Circulation 1995, 92, 657–671. [Google Scholar] [CrossRef]
- Czernin, J.; Satyamurthy, N.; Schiepers, C. Molecular Mechanisms of Bone 18 F-NaF Deposition. J. Nuclear Med. 2010, 51, 1826–1829. [Google Scholar] [CrossRef]
- Den Harder, A.M.; Wolterink, J.M.; Bartstra, J.W.; Spiering, W.; Zwakenberg, S.R.; Beulens, J.W.; Slart, R.H.J.A.; Luurtsema, G.; Mali, W.P.; de Jong, P.A. Vascular uptake on 18F-sodium fluoride positron emission tomography: Precursor of vascular calcification? J. Nuclear Cardiol. 2021, 28, 2244–2254. [Google Scholar] [CrossRef]
- Irkle, A.; Vesey, A.T.; Lewis, D.Y.; Skepper, J.N.; Bird, J.L.E.; Dweck, M.R.; Joshi, F.R.; Gallagher, F.A.; Warburton, E.A.; Bennett, M.R.; et al. Identifying active vascular microcalcification by 18F-sodium fluoride positron emission tomography. Nat. Commun. 2015, 6, 7495. [Google Scholar] [CrossRef]
- Derlin, T.; Wisotzki, C.; Richter, U.; Apostolova, I.; Bannas, P.; Weber, C.; Mester, J.; Klutmann, S. In Vivo Imaging of Mineral Deposition in Carotid Plaque Using 18 F-Sodium Fluoride PET/CT: Correlation with Atherogenic Risk Factors. J. Nuclear Med. 2011, 52, 362–368. [Google Scholar] [CrossRef] [PubMed]
- Tzolos, E.; Dweck, M.R. 18F-Sodium Fluoride (18 F-NaF) for Imaging Microcalcification Activity in the Cardiovascular System. Arterioscler. Thromb. Vasc. Biol. 2020, 40, 1620–1626. [Google Scholar] [CrossRef] [PubMed]
- Dweck, M.R.; Chow, M.W.; Joshi, N.V.; Williams, M.C.; Jones, C.; Fletcher, A.M.; Richardson, H.; White, A.; McKillop, G.; van Beek, E.J.; et al. Coronary Arterial 18F-Sodium Fluoride Uptake: A Novel Marker of Plaque Biology. J. Am. Coll. Cardiol. 2012, 59, 1539–1548. [Google Scholar] [CrossRef] [PubMed]
- Brodsky, L.; Chesnais, H.; Piri, R.; Høilund-Carlsen, P.F.; Alavi, A.; Rajapakse, C.S. Association of baseline subject characteristics with changes in coronary calcification assessed by 18 F-sodium fluoride PET/CT. Hell. J. Nucl. Med. 2021, 24, 45–52. [Google Scholar] [CrossRef]
- Park, P.S.U.; Raynor, W.Y.; Sun, Y.; Werner, T.J.; Rajapakse, C.S.; Alavi, A. 18F-Sodium Fluoride PET as a Diagnostic Modality for Metabolic, Autoimmune, and Osteogenic Bone Disorders: Cellular Mechanisms and Clinical Applications. Int. J. Mol. Sci. 2021, 22, 6504. [Google Scholar] [CrossRef]
- Raynor, W.; Houshmand, S.; Gholami, S.; Emamzadehfard, S.; Rajapakse, C.S.; Blomberg, B.A.; Werner, T.J.; Høilund-Carlsen, P.F.; Baker, J.F.; Alavi, A. Evolving Role of Molecular Imaging with 18F-Sodium Fluoride PET as a Biomarker for Calcium Metabolism. Curr. Osteoporos. Rep. 2016, 14, 115–125. [Google Scholar] [CrossRef]
- Segall, G.; Delbeke, D.; Stabin, M.G.; Even-Sapir, E.; Fair, J.; Sajdak, R.; Smith, G.T. SNM Practice Guideline for Sodium 18 F-Fluoride PET/CT Bone Scans 1.0. J. Nucl. Med. 2010, 51, 1813–1820. [Google Scholar] [CrossRef] [PubMed]
- Friedewald, W.T.; Levy, R.I.; Fredrickson, D.S. Estimation of the Concentration of Low-Density Lipoprotein Cholesterol in Plasma, Without Use of the Preparative Ultracentrifuge. Clin. Chem. 1972, 18, 499–502. [Google Scholar] [CrossRef] [PubMed]
- Blaha, M.J.; Blumenthal, R.S.; Brinton, E.A.; Jacobson, T.A. The importance of non–HDL cholesterol reporting in lipid management. J. Clin. Lipidol. 2008, 2, 267–273. [Google Scholar] [CrossRef] [PubMed]
- Millán, J.; Pintó, X.; Muñoz, A.; Zuñiga, M.; Rubiés-Prat, J.; Felipe Pallardo, L.; Masana, L.; Mangas, A.; Hernández-Mijares, A.; González-Santos, P.; et al. Lipoprotein ratios: Physiological significance and clinical usefulness in cardiovascular prevention. Vasc. Health Risk Manag. 2009, 5, 757. [Google Scholar] [CrossRef]
- Castelli, W.P.; Abbott, R.D.; McNamara, P.M. Summary estimates of cholesterol used to predict coronary heart disease. Circulation 1983, 67, 730–734. [Google Scholar] [CrossRef]
- Ouimet, M.; Barrett, T.J.; Fisher, E.A. HDL and Reverse Cholesterol Transport: Basic Mechanisms and Their Roles in Vascular Health and Disease. Circ. Res. 2019, 124, 1505–1518. [Google Scholar] [CrossRef] [PubMed]
- Gomez, D.; Owens, G.K. Smooth muscle cell phenotypic switching in atherosclerosis. Cardiovasc. Res. 2012, 95, 156–164. [Google Scholar] [CrossRef]
- Feig, J.E.; Hewing, B.; Smith, J.D.; Hazen, S.L.; Fisher, E.A. High-Density Lipoprotein and Atherosclerosis Regression: Evidence From Preclinical and Clinical Studies. Circ. Res. 2014, 114, 205–213. [Google Scholar] [CrossRef] [PubMed]
- Parhami, F.; Basseri, B.; Hwang, J.; Tintut, Y.; Demer, L.L. High-Density Lipoprotein Regulates Calcification of Vascular Cells. Circ. Res. 2002, 91, 570–576. [Google Scholar] [CrossRef] [PubMed]
- von Eckardstein, A.; Nofer, J.R.; Assmann, G. High Density Lipoproteins and Arteriosclerosis: Role of Cholesterol Efflux and Reverse Cholesterol Transport. Arterioscler. Thromb. Vasc. Biol. 2001, 21, 13–27. [Google Scholar] [CrossRef]
- Guérin, M.; Le Goff, W.; Lassel, T.S.; Van Tol, A.; Steiner, G.; Chapman, M.J. Proatherogenic Role of Elevated CE Transfer From HDL to VLDL 1 and Dense LDL in Type 2 Diabetes: Impact of the Degree of Triglyceridemia. Arterioscler. Thromb. Vasc. Biol. 2001, 21, 282–288. [Google Scholar] [CrossRef] [PubMed]
- Murakami, T.; Michelagnoli, S.; Longhi, R.; Gianfranceschi, G.; Pazzucconi, F.; Calabresi, L.; Sirtori, C.R.; Franceschini, G. Triglycerides Are Major Determinants of Cholesterol Esterification/Transfer and HDL Remodeling in Human Plasma. Arterioscler. Thromb. Vasc. Biol. 1995, 15, 1819–1828. [Google Scholar] [CrossRef] [PubMed]
- Talayero, B.G.; Sacks, F.M. The Role of Triglycerides in Atherosclerosis. Curr. Cardiol. Rep. 2011, 13, 544–552. [Google Scholar] [CrossRef] [PubMed]
- Emerging Risk Factors Collaboration; Di Angelantonio, E.; Sarwar, N.; Perry, P.; Kaptoge, S.; Ray, K.K.; Thompson, A.; Wood, A.M.; Lewington, S.; Sattar, N.; et al. Major lipids, apolipoproteins, and risk of vascular disease. JAMA 2009, 302, 1993–2000. [Google Scholar] [CrossRef]
- Momiyama, Y.; Ohmori, R.; Kato, R.; Taniguchi, H.; Nagata, M.; Ohsuzu, F. Associations between LDL/HDL-cholesterol ratio and thoracic and abdominal aortic atherosclerosis assessed by MRI. J. Cardiovasc. Magn. Reson. 2012, 14, 1–2. [Google Scholar] [CrossRef]
- Fernández-Macías, J.C.; Ochoa-Martínez, A.C.; Varela-Silva, J.A.; Pérez-Maldonado, I.N. Atherogenic Index of Plasma: Novel Predictive Biomarker for Cardiovascular Illnesses. Arch. Med. Res. 2019, 50, 285–294. [Google Scholar] [CrossRef] [PubMed]
- Onat, A.; Can, G.; Kaya, H.; Hergenç, G. “Atherogenic index of plasma” (log10 triglyceride/high-density lipoprotein cholesterol) predicts high blood pressure, diabetes, and vascular events. J. Clin. Lipidol. 2010, 4, 89–98. [Google Scholar] [CrossRef] [PubMed]
- Yildiz, A.; Secen, O.; Yildiz, C.; Cicekci, M. Relationship between breast arterial calcification and lipid profile, plasma atherogenic index, Castelli’s risk index and atherogenic coefficient in premenopausal women. IJC Metab. Endocr. 2016, 11, 19–22. [Google Scholar] [CrossRef]
- Elsadek Seaoud, E.A.M.; Amin, M.I.; Abdelbasit, M.S. Total cholesterol/high-density lipoprotein cholesterol and low-density lipoprotein cholesterol/high-density lipoprotein cholesterol as predictors of coronary artery calcification assessed by multidetector computed tomography coronary angiography. ARYA Atheroscler. J. 2022, 18, 1–7. [Google Scholar] [CrossRef]
- Derlin, T.; Richter, U.; Bannas, P.; Begemann, P.; Buchert, R.; Mester, J.; Klutmann, S. Feasibility of 18 F-Sodium Fluoride PET/CT for Imaging of Atherosclerotic Plaque. J. Nuclear Med. 2010, 51, 862–865. [Google Scholar] [CrossRef]
- Sorci, O.; Batzdorf, A.S.; Mayer, M.; Rhodes, S.; Peng, M.; Jankelovits, A.R.; Hornyak, J.N.; Gerke, O.; Høilund-Carlsen, P.F.; Alavi, A.; et al. 18F-sodium fluoride PET/CT provides prognostic clarity compared to calcium and Framingham risk scoring when addressing whole-heart arterial calcification. Eur. J. Nucl. Med. Mol. Imaging 2020, 47, 1678–1687. [Google Scholar] [CrossRef] [PubMed]
- Bhardwaj, S.; Bhattacharjee, J.; Bhatnagar, M.K.; Tyagi, S. Atherogenic index of plasma, castelli risk index and atherogenic coefficient-new parameters in assessing cardiovascular risk. Int. J. Pharm. Biol. Sci. 2013, 3, 359–364. [Google Scholar]
- Orakzai, S.H.; Nasir, K.; Blaha, M.; Blumenthal, R.S.; Raggi, P. Non-HDL cholesterol is strongly associated with coronary artery calcification in asymptomatic individuals. Atherosclerosis 2009, 202, 289–295. [Google Scholar] [CrossRef]






| Atherogenic Index | Correlation | Significance |
|---|---|---|
| CRI-I | 0.63 | <0.0001 |
| CRI-II | 0.64 | <0.0001 |
| AC | 0.63 | <0.0001 |
| AIP | 0.51 | 0.00152 |
| Individual Parameter (mg/dL) | Correlation | Significance |
|---|---|---|
| HDL Cholesterol | −0.53 | 0.000786 |
| Non-HDL Cholesterol | 0.23 | 0.167 |
| LDL Cholesterol | 0.19 | 0.273 |
| Triglycerides | 0.19 | 0.269 |
| Total Cholesterol | 0.09 | 0.601 |
| Lipid Metric | Formula |
|---|---|
| Non-HDL Cholesterol (Non-HDL) | TC − HDL cholesterol |
| Castelli’s Risk Index I (CRI-I) | TC/HDL cholesterol [22] |
| Castelli’s Risk Index II (CRI-II) | LDL/HDL cholesterol [22] |
| Atherogenic Coefficient (AC) | Non-HDL/HDL cholesterol |
| Atherogenic Index of Plasma (AIP) | log (TG/HDL cholesterol) |
| Left | Right | |
|---|---|---|
| Age (years) | 68 | 71 |
| Weight (kg) | 100.2 | 99.3 |
| Height (m) | 1.83 | 1.77 |
| BMI (kg/m2) | 29.97 | 31.42 |
| 18F-NaF dose (mCi) | 9.8 | 10.4 |
| CRI-I | 3.08 | 4.74 |
| CRI-II | 1.65 | 3.31 |
| AC | 2.08 | 3.74 |
| AIP | 0.33 | 0.62 |
| HDL (mg/dL) | 51 | 35 |
| Aortic SUVmean | 1.285 | 1.495 |
Publisher’s Note: MDPI stays neutral with regard to jurisdictional claims in published maps and institutional affiliations. |
© 2022 by the authors. Licensee MDPI, Basel, Switzerland. This article is an open access article distributed under the terms and conditions of the Creative Commons Attribution (CC BY) license (https://creativecommons.org/licenses/by/4.0/).
Share and Cite
Dai, M.; Xu, W.; Chesnais, H.; Anabaraonye, N.; Parente, J.; Chatterjee, S.; Rajapakse, C.S. Atherogenic Indices as a Predictor of Aortic Calcification in Prostate Cancer Patients Assessed Using 18F-Sodium Fluoride PET/CT. Int. J. Mol. Sci. 2022, 23, 13056. https://doi.org/10.3390/ijms232113056
Dai M, Xu W, Chesnais H, Anabaraonye N, Parente J, Chatterjee S, Rajapakse CS. Atherogenic Indices as a Predictor of Aortic Calcification in Prostate Cancer Patients Assessed Using 18F-Sodium Fluoride PET/CT. International Journal of Molecular Sciences. 2022; 23(21):13056. https://doi.org/10.3390/ijms232113056
Chicago/Turabian StyleDai, Michelle, Winnie Xu, Helene Chesnais, Nancy Anabaraonye, James Parente, Shampa Chatterjee, and Chamith S. Rajapakse. 2022. "Atherogenic Indices as a Predictor of Aortic Calcification in Prostate Cancer Patients Assessed Using 18F-Sodium Fluoride PET/CT" International Journal of Molecular Sciences 23, no. 21: 13056. https://doi.org/10.3390/ijms232113056
APA StyleDai, M., Xu, W., Chesnais, H., Anabaraonye, N., Parente, J., Chatterjee, S., & Rajapakse, C. S. (2022). Atherogenic Indices as a Predictor of Aortic Calcification in Prostate Cancer Patients Assessed Using 18F-Sodium Fluoride PET/CT. International Journal of Molecular Sciences, 23(21), 13056. https://doi.org/10.3390/ijms232113056

