Effects of Sarcoptes scabiei Translationally Controlled Tumor Protein (TCTP) on Histamine Release and Degranulation of KU812 Cells
Abstract
1. Introduction
2. Results
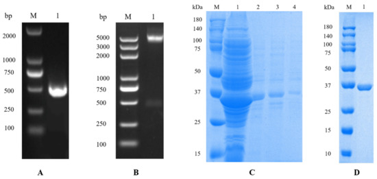
2.1. Cloning, Expression, and Purification of SsTCTP
2.2. qRT-PCR Analysis of Stage-Specific SsTCTP Relative Transcription
2.3. Effect of rSsTCTP on Stimulating Mice Vascular Hyperpermeability
2.4. Effect of rSsTCTP on KU812 Cell Proliferation
2.5. rSsTCTP Activates the Lyn-Mediated Signaling Pathway in KU812 Cell Degranulation
2.6. Stimulatory Effects of rSsTCTP on β-HEX and Histamine Release from KU812 Cells
2.7. rSsTCTP Induces the Enhancement of the Th2-Type Immune Response
3. Discussion
4. Materials and Methods
4.1. Animal Ethical Statement
4.2. Mites, Experimental Animals, and Cells
4.3. Preparation of Recombinant S. scabiei TCTP (rSsTCTP)
4.4. Analysis of SsTCTP Transcription at Each Developmental Stage
4.5. Evans Blue Miles Assay
4.6. Cell Proliferation Assay
4.7. Western Blotting Analysis
4.8. β-Hexosaminidase (β-HEX) Release Assay
4.9. Enzyme-Linked Immunosorbent Assay (ELISA) Detection of Histamine and Th2 Cytokines
4.10. Statistical Analysis
Author Contributions
Funding
Institutional Review Board Statement
Informed Consent Statement
Data Availability Statement
Acknowledgments
Conflicts of Interest
References
- El-Moamly, A.A. Scabies as a part of the World Health Organization roadmap for neglected tropical diseases 2021–2030: What we know and what we need to do for global control. Trop. Med. Health 2021, 49, 64. [Google Scholar] [CrossRef] [PubMed]
- Escobar, L.E.; Carver, S.; Cross, P.C.; Rossi, L.; Almberg, E.S.; Yabsley, M.J.; Niedringhaus, K.D.; Van Wick, P.; Dominguez-Villegas, E.; Gakuya, F.; et al. Sarcoptic mange: An emerging panzootic in wildlife. Transbound. Emerg. Dis. 2022, 69, 927–942. [Google Scholar] [CrossRef] [PubMed]
- Arlian, L.G.; Morgan, M.S. A review of Sarcoptes scabiei: Past, present and future. Parasites Vectors 2017, 10, 297. [Google Scholar] [CrossRef] [PubMed]
- Karimkhani, C.; Dellavalle, R.P.; Coffeng, L.E.; Flohr, C.; Hay, R.J.; Langan, S.M.; Naghavi, M.; Nsoesie, E.O.; Ferrari, A.J.; Erskine, H.E.; et al. Global skin disease morbidity and mortality: An update from the global burden of disease study 2013. JAMA Dermatol. 2017, 153, 406–412. [Google Scholar] [CrossRef] [PubMed]
- Thomas, C.; Coates, S.J.; Engelman, D.; Chosidow, O.; Chang, A.Y. Part I—Ectoparasites: Scabies. J. Am. Acad. Dermatol. 2019, 82, 533–548. [Google Scholar] [CrossRef]
- Wiertnia, T.C. Sarcoptes infestation what is a1ready known and what is new about scabies at the beginning of the third decade of the 21st century. Pathogens 2021, 10, 868. [Google Scholar]
- Nwufoh, O.C.; Sadiq, N.A.; Adediran, O.A.; Jarikre, T.A.; Emikpe, B.O. Sequential Histopathological Changes and Cytokine Expressions in Dogs Naturally Infested with Sarcoptes scabiei Mites. Acta Parasitol. 2020, 65, 452–461. [Google Scholar] [CrossRef]
- Bhat, S.A.; Walton, S.F.; Ventura, T.; Liu, X.; McCarthy, J.S.; Burgess, S.T.G.; Mounsey, K.E. Early immune suppression leads to uncontrolled mite proliferation and potent host inflammatory responses in a porcine model of crusted versus ordinary scabies. PLoS Negl. Trop. Dis. 2020, 14, e0008601. [Google Scholar] [CrossRef]
- Rapp, C.M.; Morgan, M.S.; Arlian, L.G. Presence of Host Immunoglobulin in the Gut of Sarcoptes scabiei (Acari: Sarcoptidae). J. Med. Entomol. 2006, 3, 539–542. [Google Scholar] [CrossRef]
- Amer, M.; Mostafa, F.F.; Nasr, A.N. The role of mast cells in treatment of scabies. Int. J. Dermatol. 1995, 34, 186–189. [Google Scholar] [CrossRef]
- Ito, Y.; Satoh, T.; Takayama, K.; Miyagishi, C.; Walls, A.F.; Yokozeki, H.Y. Basophil recruitment and activation in inflammatory skin diseases. Allergy 2011, 66, 1107–1113. [Google Scholar] [CrossRef]
- White, M.V. The role of histamine in allergic diseases. J. Allergy Clin. Immun. 1990, 86, 599–605. [Google Scholar] [CrossRef]
- Hashimoto, T.; Rosen, J.D.; Sanders, K.M.; Yosipovitch, G. Possible roles of basophils in chronic itch. Exp. Dermatol. 2019, 28, 1373–1379. [Google Scholar] [CrossRef]
- Bhat, S.A.; Mounsey, K.E.; Liu, X.; Walton, S.F. Host immune responses to the itch mite, Sarcoptes scabiei, in humans. Parasites Vectors 2017, 10, 385. [Google Scholar] [CrossRef]
- Tare, N.; Li, H.; Morschauser, A.; Cote-Sierra, J.; Ju, G.; Renzetti, L.; Lin, T. KU812 cells provide a novel in vitro model of the human IL-33/ST2L axis: Functional responses and identification of signaling pathways. Exp. Cell Res. 2010, 316, 2527–2537. [Google Scholar] [CrossRef]
- Karasuyama, H.; Mukai, K.; Tsujimura, Y.; Obata, K. Newly discovered roles for basophils: A neglected minority gains new respect. Nat. Rev. Immunol. 2009, 9, 9. [Google Scholar] [CrossRef]
- Kishi, K. A new leukemia cell line with Philadelphia chromosome characterized as basophil precursors. Leuk. Res. 1985, 9, 381–390. [Google Scholar] [CrossRef]
- Almlöf, I.; Nilsson, K.; Johansson, V.; Akerblom, E.; Slotte, H.; Ahlstedt, S.; Matsson, P. Induction of basophilic differentiation in the human basophilic cell line KU812. Scand. J. Immunol. 1988, 28, 293–300. [Google Scholar] [CrossRef]
- Kang, H.S.; Min, J.L.; Song, H.; Han, S.H.; Kim, Y.M.; Im, J.Y.; Choi, I. Molecular Identification of IgE-Dependent Histamine-Releasing Factor as a B Cell Growth Factor. J. Immunol. 2001, 166, 6545–6554. [Google Scholar] [CrossRef]
- Macdonald, S.M. History of Histamine-Releasing Factor (HRF)/Translationally Controlled Tumor Protein (TCTP) Including a Potential Therapeutic Target in Asthma and Allergy. In Results and Problems in Cell Differentiation; Springer: Berlin, Germany, 2017; pp. 291–308. [Google Scholar]
- MacDonald, S.M.; Bhisutthibhan, J.; Shapiro, T.A.; Rogerson, S.J.; Taylor, T.E.; Tembo, M.; Jacqueline, M.L.; Steven, R.M. Immune mimicry in malaria: Plasmodium falciparum secretes a functional histamine-releasing. Proc. Natl. Acad. Sci. USA 2001, 98, 10829–10832. [Google Scholar] [CrossRef]
- Pelleau, S.; Diop, S.; Badiane, M.D.; Vitte, J.; Beguin, P.; Nato, F.; Diop, B.M.; Bongrand, P.; Parzy, D.; Jambou, R. Enhanced basophil reactivities during severe malaria and their relationship with the Plasmodium falciparum histamine-releasing factor translationally controlled tumor protein. Infect. Immun. 2012, 80, 2963. [Google Scholar] [CrossRef] [PubMed]
- Demarta, G.; Claudia, S. Protection against malaria in mice is induced by blood stage-arresting histamine-releasing factor (HRF)-deficient parasites. J. Exp. Med. 2016, 213, 1419–1428. [Google Scholar] [CrossRef] [PubMed]
- Gnanasekar, M.; Rao, K.; Chen, L.; Narayanan, R.B.; Geetha, M.; Scott, A.L.; Ramaswamy, K.; Kaliraj, P. Molecular characterization of a calcium binding translationally controlled tumor protein homologue from the filarial parasites Brugia malayi and Wuchereria bancrofti. Mol. Biochem. Parasitol. 2002, 121, 107–118. [Google Scholar] [CrossRef]
- Rao, K.; Chen, L.; Gnanasekar, M.; Ramaswamy, K. Cloning and Characterization of a Calcium-binding, Histamine-releasing Protein from Schistosoma mansoni. J. Biol. Chem. 2002, 277, 31207–31213. [Google Scholar] [CrossRef] [PubMed]
- Mulenga, A.; Macaluso, K.R.; Simser, J.A.; Azad, A.F. The American dog tick, Dermacentor variabilis, encodes a functional histamine release factor homolog. Insect. Biochem. Mol. Biol. 2003, 33, 911–919. [Google Scholar] [CrossRef]
- Mulenga, A.; Azad, A.F. The Molecular and Biological Analysis of Ixodid Ticks Histamine Release Factors. Exp. Appl. Acarol. 2005, 37, 215. [Google Scholar] [CrossRef]
- Dai, J.; Narasimhan, S.; Zhang, L.; Liu, L.; Wang, P.; Fikrig, E. Tick Histamine Release Factor Is Critical for Ixodes scapularis Engorgement and Transmission of the Lyme Disease Agent. PLoS Pathog. 2010, 6, e1001205. [Google Scholar] [CrossRef]
- Bartley, K.; Nisbet, A.J.; Offer, J.E.; Sparks, N.H.; Wright, H.W.; Huntley, J.F. Histamine Release Factor from Dermanyssus gallinae (De Geer): Characterization and in vitro assessment as a protective antigen. Int. J. Parasitol. 2009, 39, 447–456. [Google Scholar] [CrossRef]
- Id, P.; Gasser, R.B.; Ma, G.; Wang, T.; Stroehlein, A.J.; Young, N.D.; Ang, C.S.; Fernando, D.D.; Lu, H.C.; Taylor, S.; et al. High-quality nuclear genome for Sarcoptes scabiei-A critical resource for a neglected parasite. PLoS Neglect. Trop. Dis. 2020, 14, e0008720. [Google Scholar]
- Kim, T.K.; Tirloni, L.; Berger, M.; Diedrich, J.K.; Yates, J.R.; Termignoni, C.; Silva-Vaz, I.; Mulenga, A. Amblyomma americanum serpin 41 (AAS41) inhibits inflammation by targeting chymase and chymotrypsin. Int. J. Biol. Macromol. 2020, 156, 1007–1021. [Google Scholar] [CrossRef]
- Benditt, E.P.; Arase, M. An enzyme in mast cells with properties like chymotrypsin. J. Exp. Med. 1959, 110, 451–460. [Google Scholar] [CrossRef]
- Hendrix, S.; Kramer, P.; Pehl, D.; Warnke, K.; Boato, F.; Nelissen, S.; Lemmens, E.; Pejler, G.; Metz, M.; Siebenhaar, F.; et al. Mast cells protect from post-traumatic brain inflammation by the mast cell-specific chymase mouse mast cell protease-4. FASEB J. 2013, 27, 920–929. [Google Scholar] [CrossRef]
- Koo, N.; Shin, A.Y.; Oh, S.; Kim, H.; Hong, S.; Park, S.J.; Sim, Y.M.; Byeon, I.; Kim, K.Y.; Lim, Y.P.; et al. Comprehensive analysis of Translationally Controlled Tumor Protein (TCTP) provides insights for lineage-specific evolution and functional divergence. PLoS ONE 2020, 15, e0232029. [Google Scholar] [CrossRef]
- Brash, J.T.; Christiana, R.; Alessandro, F. Evaluating Vascular Hyperpermeability-inducing Agents in the Skin with the Miles Assay. J. Vis. Exp. 2018, 2018, e57524. [Google Scholar] [CrossRef]
- Fernando, D.D.; Reynolds, S.L.; Martha, Z.; Mofiz, E.; Papenfuss, A.T.; Holt, D.; Fischer, K. Phylogenetic relationships, stage-specific expression and localisation of a unique family of inactive cysteine proteases in Sarcoptes scabiei. Parasites Vectors 2018, 11, 301. [Google Scholar] [CrossRef]
- Evgeny, B.; Elena, G.; Irina, B.; Dyjack, N.; Rios, C.; Jung, J.; Taylor, P.; Jeong, M.; Hall, C.F.; Richers, B.N.; et al. Lipid abnormalities in atopic skin are driven by type 2 cytokines. JCI Insight 2018, 3, e98006. [Google Scholar]
- Eui, K.B.; Leung, D. Significance of Skin Barrier Dysfunction in Atopic Dermatitis. Allergy Asthma Immunol. Res. 2018, 10, 207–215. [Google Scholar]
- Arlian, L.G. Biology, host relations, and epidemiology of Sarcoptes scabiei. Annu. Rev. Entomol. 1989, 34, 139–161. [Google Scholar] [CrossRef]
- Livak, K.J.; Schmittgen, T.D. Analysis of relative gene expression data using real-time quantitative PCR and the 2−ΔΔCT method. Methods 2001, 25, 402–408. [Google Scholar] [CrossRef]







| Target Gene † | Primer Sequences (5′-3′) |
|---|---|
| Ss-TCTP | F: CGGTTGGTTGGTGATTGCATGTG |
| R: CGACCTCTTCAGCGGATGGATTG | |
| Ss-18sRNA | F: ATTTGGGTTGCGGATCAGGTCTAAG |
| R: CACCACTTTCTGTTTCCCGTTCAAG | |
| Ss-GAPDH | F: CCGTCACAGCCACTCAGAAACC |
| R: ACCAGTTGAAGCGGGGATGATATTC |
Publisher’s Note: MDPI stays neutral with regard to jurisdictional claims in published maps and institutional affiliations. |
© 2022 by the authors. Licensee MDPI, Basel, Switzerland. This article is an open access article distributed under the terms and conditions of the Creative Commons Attribution (CC BY) license (https://creativecommons.org/licenses/by/4.0/).
Share and Cite
Xu, Z.; Xu, Y.; Gu, X.; Xie, Y.; He, R.; Xu, J.; Jing, B.; Peng, X.; Yang, G. Effects of Sarcoptes scabiei Translationally Controlled Tumor Protein (TCTP) on Histamine Release and Degranulation of KU812 Cells. Int. J. Mol. Sci. 2022, 23, 12865. https://doi.org/10.3390/ijms232112865
Xu Z, Xu Y, Gu X, Xie Y, He R, Xu J, Jing B, Peng X, Yang G. Effects of Sarcoptes scabiei Translationally Controlled Tumor Protein (TCTP) on Histamine Release and Degranulation of KU812 Cells. International Journal of Molecular Sciences. 2022; 23(21):12865. https://doi.org/10.3390/ijms232112865
Chicago/Turabian StyleXu, Ziyi, Yanting Xu, Xiaobin Gu, Yue Xie, Ran He, Jing Xu, Bo Jing, Xuerong Peng, and Guangyou Yang. 2022. "Effects of Sarcoptes scabiei Translationally Controlled Tumor Protein (TCTP) on Histamine Release and Degranulation of KU812 Cells" International Journal of Molecular Sciences 23, no. 21: 12865. https://doi.org/10.3390/ijms232112865
APA StyleXu, Z., Xu, Y., Gu, X., Xie, Y., He, R., Xu, J., Jing, B., Peng, X., & Yang, G. (2022). Effects of Sarcoptes scabiei Translationally Controlled Tumor Protein (TCTP) on Histamine Release and Degranulation of KU812 Cells. International Journal of Molecular Sciences, 23(21), 12865. https://doi.org/10.3390/ijms232112865

