Potential Antigenic Candidates for the Development of Peptide-Based Vaccines to Induce Immunization against Helicobacter pylori Infection in BALB/c Mice
Abstract
1. Introduction
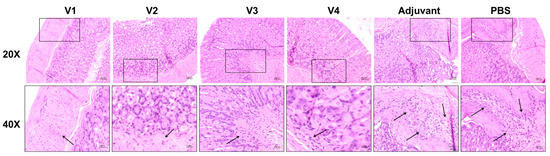
2. Results
3. Discussion
4. Materials and Methods
4.1. Bacterial Strains and Culture Conditions
4.2. Screening H. pylori Proteome to Identify Potential Protective Antigens
4.3. Animal Model and Immunization Procedure
4.4. Immunological Analysis
4.5. Histopathology Analysis
4.6. Statistical Analysis
5. Conclusions
Supplementary Materials
Author Contributions
Funding
Institutional Review Board Statement
Informed Consent Statement
Data Availability Statement
Acknowledgments
Conflicts of Interest
References
- Taghinejad, J.; Eslami, M.; Ghasemian, A.; Heidarzadeh, S.; Hosseinzadegan, H. Co-infection of Helicobacter pylori and Escherichia coli in a 4-year-old child. Enterobacteriacea virulence and antimicrobial resistance View project Probiotics and Colorectal cancer View project Co-infection of Helicobacter pylori and Escherichia coli in a 4-year-old child. J. Coast. Life Med. 2017, 5, 27–28. [Google Scholar] [CrossRef]
- Sonnenberg, A. Review article: Historic changes of Helicobacter pylori-associated diseases. Aliment. Pharmacol. Ther. 2013, 38, 329–342. [Google Scholar] [CrossRef] [PubMed]
- Rokkas, T.; Gisbert, J.; Niv, Y.; O’Morain, C. The association between Helicobacter pylori infection and inflammatory bowel disease based on meta-analysis. United Eur. Gastroenterol. J. 2015, 3, 539–550. [Google Scholar] [CrossRef] [PubMed]
- Lee, Y.-C.; Chiang, T.-H.; Chou, C.-K.; Tu, Y.-K.; Liao, W.-C.; Wu, M.-S.; Graham, D.Y. Association Between Helicobacter pylori Eradication and Gastric Cancer Incidence: A Systematic Review and Meta-analysis. Gastroenterology 2016, 150, 1113–1124.e5. [Google Scholar] [CrossRef] [PubMed]
- Akeel, M.; Elmakki, E.; Shehata, A.; Elhafey, A.; Aboshouk, T.; Ageely, H.; Mahfouz, M.S. Prevalence and factors associated with H. pylori infection in Saudi patients with dyspepsia. Electron. Physician 2018, 10, 7279–7286. [Google Scholar] [CrossRef] [PubMed]
- Alharbi, R.H.; Ghoraba, M. Prevalence and patient characteristics of Helicobacter pylori among adult in primary health care of security forces hospital Riyadh, Saudi Arabia, 2018. J. Fam. Med. Prim. Care 2019, 8, 2202–2206. [Google Scholar] [CrossRef]
- Dang, B.N.; Graham, D.Y. Helicobacter pylori infection and antibiotic resistance: A WHO high priority? Nat. Rev. Gastroenterol. Hepatol. 2017, 14, 383–384. [Google Scholar] [CrossRef] [PubMed]
- Osaki, T.; Mabe, K.; Zaman, C.; Yonezawa, H.; Okuda, M.; Amagai, K.; Fujieda, S.; Goto, M.; Shibata, W.; Kato, M.; et al. Usefulness of detection of clarithromycin-resistant Helicobacter pylori from fecal specimens for young adults treated with eradication therapy. Helicobacter 2017, 22, e12396. [Google Scholar] [CrossRef] [PubMed]
- Keikha, M.; Eslami, M.; Yousefi, B.; Ghasemian, A.; Karbalaei, M. Potential antigen candidates for subunit vaccine development against Helicobacter pylori infection. J. Cell. Physiol. 2019, 234, 21460–21470. [Google Scholar] [CrossRef]
- Burton, D.R. What Are the Most Powerful Immunogen Design Vaccine Strategies? Reverse Vaccinology 2.0 Shows Great Promis. Cold Spring Harb. Perspect. Biol. 2017, 9, a030262. [Google Scholar] [CrossRef] [PubMed]
- Naz, A.; Awan, F.M.; Obaid, A.; Muhammad, S.A.; Paracha, R.Z.; Ahmad, J.; Ali, A. Identification of putative vaccine candidates against Helicobacter pylori exploiting exoproteome and secretome: A reverse vaccinology based approach. Infect. Genet. Evol. 2015, 32, 280–291. [Google Scholar] [CrossRef]
- Michalik, M.; Djahanshiri, B.; Leo, J.C.; Linke, D. Reverse Vaccinology: The Pathway from Genomes and Epitope Predictions to Tailored Recombinant Vaccines. Methods Mol. Biol. 2016, 1403, 87–106. [Google Scholar] [CrossRef] [PubMed]
- Robinson, K.; Lehours, P. Review—Helicobacter, inflammation, immunology and vaccines. Helicobacter 2020, 25, e12737. [Google Scholar] [CrossRef]
- Kabir, S. The Current Status of Helicobacter pylori Vaccines: A Review. Helicobacter 2007, 12, 89–102. [Google Scholar] [CrossRef]
- Mégraud, F. Antibiotic Resistance: The Key Element to Consider in Helicobacter pylori Treatment. Gastroenterology 2018, 155, 1300–1302. [Google Scholar] [CrossRef] [PubMed]
- Abadi, A.; Mahdavi, M.; Khaledi, A.; Esmaeili, S.-A.; Esmaeili, D.; Sahebkar, A. Study of serum bactericidal and splenic activity of Total-OMP- CagA combination from Brucella abortus and Helicobacter pylori in BALB/c mouse model. Microb. Pathog. 2018, 121, 100–105. [Google Scholar] [CrossRef] [PubMed]
- Eslami, M.; Yousefi, B.; Kokhaei, P.; Moghadas, A.J.; Moghadam, B.S.; Arabkari, V.; Niazi, Z. Are probiotics useful for therapy of Helicobacter pylori diseases? Comp. Immunol. Microbiol. Infect. Dis. 2019, 64, 99–108. [Google Scholar] [CrossRef]
- EL Khadir, M.; Boukhris, S.A.; Benajah, D.-A.; EL Rhazi, K.; Ibrahimi, S.A.; El Abkari, M.; Harmouch, T.; Nejjari, C.; Mahmoud, M.; Benlemlih, M.; et al. VacA and CagA Status as Biomarker of Two Opposite End Outcomes of Helicobacter pylori Infection (Gastric Cancer and Duodenal Ulcer) in a Moroccan Population. PLoS ONE 2017, 12, e0170616. [Google Scholar] [CrossRef] [PubMed]
- Šterbenc, A.; Jarc, E.; Poljak, M.; Homan, M. Helicobacter pylori virulence genes. World J. Gastroenterol. 2019, 25, 4870–4884. [Google Scholar] [CrossRef] [PubMed]
- Doohan, D.; Rezkitha, Y.; Waskito, L.; Yamaoka, Y.; Miftahussurur, M. Helicobacter pylori BabA–SabA Key Roles in the Adherence Phase: The Synergic Mechanism for Successful Colonization and Disease Development. Toxins 2021, 13, 485. [Google Scholar] [CrossRef]
- Malfertheiner, P.; Selgrad, M.; Wex, T.; Romi, B.; Borgogni, E.; Spensieri, F.; Zedda, L.; Ruggiero, P.; Pancotto, L.; Censini, S.; et al. Efficacy, immunogenicity, and safety of a parenteral vaccine against Helicobacter pylori in healthy volunteers challenged with a Cag-positive strain: A randomised, placebo-controlled phase 1/2 study. Lancet Gastroenterol. Hepatol. 2018, 3, 698–707. [Google Scholar] [CrossRef]
- Malfertheiner, P.; Schultze, V.; Rosenkranz, B.; Kaufmann, S.H.; Ulrichs, T.; Novicki, D.; Norelli, F.; Contorni, M.; Peppoloni, S.; Berti, D.; et al. Safety and Immunogenicity of an Intramuscular Helicobacter pylori Vaccine in Noninfected Volunteers: A Phase I Study. Gastroenterology 2008, 135, 787–795. [Google Scholar] [CrossRef]
- Jafari, E.; Mahmoodi, S. Design, expression, and purification of a multi-epitope vaccine against Helicobacter Pylori based on Melittin as an adjuvant. Microb. Pathog. 2021, 157, 104970. [Google Scholar] [CrossRef] [PubMed]
- Doohan, D.; Fauzia, K.; Rathnayake, J.; Lamawansa, M.; Waskito, L.; Tuan, V.; Dashdorj, A.; Kabamba, E.; Phuc, B.; Ansari, S.; et al. Pepsinogen and Serum IgG Detection Is a Valuable Diagnostic Method for Helicobacter pylori Infection in a Low-Prevalence Country: A Report from Sri Lanka. Diagnostics 2021, 11, 1364. [Google Scholar] [CrossRef]
- Schmaußer, B.; Eck, M.; Greiner, A.; Lührs, H.; Vollmers, H.-P.; Müller-Hermelink, H.-K. Disparity between mucosal and serum IgA and IgG in Helicobacter pylori infection. Virchows Arch. 2002, 441, 143–147. [Google Scholar] [CrossRef]
- Bagheri, N.; Azadegan-Dehkordi, F.; Shirzad, H.; Rafieian-Kopaei, M.; Rahimian, G.; Razavi, A. The biological functions of IL-17 in different clinical expressions of Helicobacter pylori-infection. Microb. Pathog. 2015, 81, 33–38. [Google Scholar] [CrossRef] [PubMed]
- Arachchi, P.S.; Fernando, N.; Weerasekera, M.M.; Senevirathna, B.; Weerasekera, D.D.; Gunasekara, C.P. Proinflammatory Cytokine IL-17 Shows a Significant Association with Helicobacter pylori Infection and Disease Severity. Gastroenterol. Res. Pract. 2017, 2017, 6265150. [Google Scholar] [CrossRef]
- Dewayani, A.; Fauzia, K.; Alfaray, R.; Waskito, L.; Doohan, D.; Rezkitha, Y.; Abdurachman, A.; Kobayashi, T.; I’Tishom, R.; Yamaoka, Y.; et al. The Roles of IL-17, IL-21, and IL-23 in the Helicobacter pylori Infection and Gastrointestinal Inflammation: A Review. Toxins 2021, 13, 315. [Google Scholar] [CrossRef]
- Chatterjee, P.; Chiasson, V.L.; Bounds, K.R.; Mitchell, B.M. Regulation of the Anti-Inflammatory Cytokines Interleukin-4 and Interleukin-10 during Pregnancy. Front. Immunol. 2014, 5, 253. [Google Scholar] [CrossRef]
- Orsini, B.; Vivas, J.; Ottanelli, B.; Amedei, A.; Surrenti, E.; Galli, A.; Milani, S.; Pinzani, P.; Del Prete, G.; Baldari, C.; et al. Human Gastric Epithelium Produces IL-4 and IL-4δ2 Isoform Only upon Helicobacter Pylori Infection. Int. J. Immunopathol. Pharmacol. 2007, 20, 809–818. [Google Scholar] [CrossRef]
- Fan, X.G.; Yakoob, J.; Fan, X.J.; Keeling, P.W.; Fan, X.-G.; Fan, X.-J. Effect of IL-4 on peripheral blood lymphocyte proliferation: Implication in immunopathogenesis of H. pylori infection. Immunol. Lett. 1995, 48, 45–48. [Google Scholar] [CrossRef]
- Amjad, M.; Kazmi, S.U.; Qureshi, S.M.; Karim, M.R.-U. Inhibitory effect of IL-4 on the production of IL-1β and TNF-α by gastric mononuclear cells ofHelicobacter pylori infected patients. Ir. J. Med. Sci. 2001, 170, 112–116. [Google Scholar] [CrossRef]
- Sutton, P.; Boag, J.M. Status of vaccine research and development for Helicobacter pylori. Vaccine 2019, 37, 7295–7299. [Google Scholar] [CrossRef]
- Viana, I.D.S.; Santos, M.L.C.; Marques, H.S.; Gonçalves, V.L.d.S.; de Brito, B.B.; da Silva, F.A.F.; e Silva, N.O.; Pinheiro, F.D.; Teixeira, A.F.; Costa, D.T.; et al. Vaccine development against Helicobacter pylori: From ideal antigens to the current landscape. Expert Rev. Vaccines 2021, 20, 989–999. [Google Scholar] [CrossRef]
- Abadi, A.T.B. Vaccine against Helicobacter pylori: Inevitable approach. World J. Gastroenterol. 2016, 22, 3150–3157. [Google Scholar] [CrossRef]
- Suzuki, N.; Murata-Kamiya, N.; Yanagiya, K.; Suda, W.; Hattori, M.; Kanda, H.; Bingo, A.; Fujii, Y.; Maeda, S.; Koike, K.; et al. Mutual reinforcement of inflammation and carcinogenesis by the Helicobacter pylori CagA oncoprotein. Sci. Rep. 2015, 5, 10024. [Google Scholar] [CrossRef]
- Nešić, D.; Buti, L.; Lu, X.; Stebbins, C.E. Structure of the Helicobacter pylori CagA oncoprotein bound to the human tumor suppressor ASPP2. Proc. Natl. Acad. Sci. USA 2014, 111, 1562–1567. [Google Scholar] [CrossRef]
- Kolinjivadi, A.M.; Sankar, H.; Choudhary, R.; Tay, L.S.; Tan, T.Z.; Murata-Kamiya, N.; Voon, D.C.-C.; Kappei, D.; Hatakeyama, M.; Krishnan, V.; et al. The H. pylori CagA Oncoprotein Induces DNA Double Strand Breaks through Fanconi Anemia Pathway Downregulation and Replication Fork Collapse. Int. J. Mol. Sci. 2022, 23, 1661. [Google Scholar] [CrossRef]
- Chauhan, N.; Tay, A.C.Y.; Marshall, B.J.; Jain, U. Helicobacter pylori VacA, a distinct toxin exerts diverse functionalities in numerous cells: An overview. Helicobacter 2018, 24, e12544. [Google Scholar] [CrossRef]
- Foegeding, N.J.; Caston, R.R.; McClain, M.S.; Ohi, M.D.; Cover, T.L. An Overview of Helicobacter pylori VacA Toxin Biology. Toxins 2016, 8, 173. [Google Scholar] [CrossRef]
- Mahdavi, J.; Sondén, B.; Hurtig, M.; Olfat, F.O.; Forsberg, L.; Roche, N.; Ångström, J.; Larsson, T.; Teneberg, S.; Karlsson, K.A.; et al. Helicobacter pylori sabA adhesin in persistent infection and chronic inflammation. Science 2002, 297, 573–578. [Google Scholar] [CrossRef] [PubMed]
- Urrutia-Baca, V.H.; Gomez-Flores, R.; De La Garza-Ramos, M.A.; Tamez-Guerra, P.; Lucio-Sauceda, D.G.; Rodríguez-Padilla, M.C. Immunoinformatics Approach to Design a Novel Epitope-Based Oral Vaccine Against Helicobacter pylori. J. Comput. Biol. 2019, 26, 1177–1190. [Google Scholar] [CrossRef] [PubMed]
- Yang, J.; Dai, L.-X.; Pan, X.; Wang, H.; Li, B.; Zhu, J.; Li, M.-Y.; Shi, X.-L.; Wang, B.-N. Protection against Helicobacter pylori infection in BALB/c mice by oral administration of multi-epitope vaccine of CTB-UreI-UreB. Pathog. Dis. 2015, 73, ftv026. [Google Scholar] [CrossRef] [PubMed]
- Pan, X.; Ke, H.; Niu, X.; Li, S.; Lv, J.; Pan, L. Protection Against Helicobacter pylori Infection in BALB/c Mouse Model by Oral Administration of Multivalent Epitope-Based Vaccine of Cholera Toxin B Subunit-HUUC. Front. Immunol. 2018, 9, 1003. [Google Scholar] [CrossRef]
- Guo, L.; Yin, R.; Liu, K.; Lv, X.; Li, Y.; Duan, X.; Chu, Y.; Xi, T.; Xing, Y. Immunological features and efficacy of a multi-epitope vaccine CTB-UE against H. pylori in BALB/c mice model. Appl. Microbiol. Biotechnol. 2014, 98, 3495–3507. [Google Scholar] [CrossRef]
- Espinosa-Ramos, D.; Caballero-Hernández, D.; Gomez-Flores, R.; Trejo-Chávez, A.; Pérez-Limón, L.J.; de la Garza-Ramos, M.A.; Tamez-Guerra, R.; Tamez-Guerra, P.; Rodriguez-Padilla, C. Immunization with a Synthetic Helicobacter pylori Peptide Induces Secretory IgA Antibodies and Protects Mice against Infection. Can. J. Infect. Dis. Med. Microbiol. 2019, 2019, 8595487. [Google Scholar] [CrossRef]
- Fan, X.G.; Yakoob, J.; Fan, X.J.; Keeling, P.W.N. A change of IL-2 and IL-4 production in patients with Helicobactor pylori infection. Mediat. Inflamm. 1995, 4, 289–292. [Google Scholar] [CrossRef]
- Liu, W.; Tan, Z.; Xue, J.; Luo, W.; Song, H.; Lv, X.; Zheng, T.; Xi, T.; Xing, Y. Therapeutic efficacy of oral immunization with a non-genetically modified Lactococcus lactis-based vaccine CUE-GEM induces local immunity against Helicobacter pylori infection. Appl. Microbiol. Biotechnol. 2016, 100, 6219–6229. [Google Scholar] [CrossRef]
- Xue, R.Y.; Guo, M.F.; Guo, L.; Liu, C.; Li, S.; Luo, J.; Nie, L.; Ji, L.; Ma, C.J.; Chen, D.Q.; et al. Synthetic lipopeptide enhances protective immunity against helicobacter pyloriinfection. Front. Immunol. 2019, 10, 1372. [Google Scholar] [CrossRef]
- Blosse, A.; Lehours, P.; Wilson, K.T.; Gobert, A.P. Helicobacter: Inflammation, immunology, and vaccines. Helicobacter 2018, 23, e12517. [Google Scholar] [CrossRef]
- Anderl, F. Helicobacter pylori vaccination: Is there a path to protection? World J. Gastroenterol. 2014, 20, 11939–11949. [Google Scholar] [CrossRef] [PubMed]
- Asgari, B.; Kermanian, F.; Yaghoobi, M.H.; Vaezi, A.; Soleimanifar, F.; Yaslianifard, S. The Anti-Helicobacter pylori Effects of Lactobacillus acidophilus, L. plantarum, and L. rhamnosus in Stomach Tissue of C57BL/6 Mice. Visc. Med. 2020, 36, 137–143. [Google Scholar] [CrossRef] [PubMed]
- Acland, A.; Agarwala, R.; Barrett, T.; Beck, J.; Benson, D.A.; Bollin, C.; Bolton, E.; Bryant, S.H.; Canese, K.; Church, D.M.; et al. Database resources of the National Center for Biotechnology Information. Nucleic Acids Res. 2013, 41, D8–D20. [Google Scholar] [CrossRef]
- Yu, N.Y.; Wagner, J.R.; Laird, M.R.; Melli, G.; Rey, S.; Lo, R.; Dao, P.; Sahinalp, S.C.; Ester, M.; Foster, L.J.; et al. PSORTb 3.0: Improved protein subcellular localization prediction with refined localization subcategories and predictive capabilities for all prokaryotes. Bioinformatics 2010, 26, 1608–1615. [Google Scholar] [CrossRef] [PubMed]
- Doytchinova, I.A.; Flower, D.R. VaxiJen: A server for prediction of protective antigens, tumour antigens and subunit vaccines. BMC Bioinform. 2007, 8, 4. [Google Scholar] [CrossRef] [PubMed]
- Jespersen, M.C.; Peters, B.; Nielsen, M.; Marcatili, P. BepiPred-2.0: Improving sequence-based B-cell epitope prediction using conformational epitopes. Nucleic Acids Res. 2017, 45, W24–W29. [Google Scholar] [CrossRef]
- Möller, S.; Croning, M.D.R.; Apweiler, R. Evaluation of methods for the prediction of membrane spanning regions. Bioinformatics 2001, 17, 646–653. [Google Scholar] [CrossRef]
- Paul, S.; Sidney, J.; Sette, A.; Peters, B. TepiTool: A Pipeline for Computational Prediction of T Cell Epitope Candidates. Curr. Protoc. Immunol. 2016, 114, 18–19. [Google Scholar] [CrossRef]
- Gasteiger, E.; Hoogland, C.; Gattiker, A.; Duvaud, S.; Wilkins, M.R.; Appel, R.D.; Bairoch, A. The Proteomics Protocols Handbook—Chapter 52: Protein Identification and Analysis Tools on the ExPASy Server. In The Proteomics Protocols Handbook; Springer: Dordrecht, The Netherlands, 2005; pp. 571–607. [Google Scholar]






| Code | Protein | Subcellular Localization | Peptide Sequence | NCBI Accession Number | MHC Binding Alleles | VaxiJen Results | BepiPred Results |
|---|---|---|---|---|---|---|---|
| V1 | CagA1 | Extracellular | GLGGVGQAA | WP_000180747.1 | 34 | 1.2 | 1.06 |
| V2 | CagA2 | Extracellular | KLKDSTKKN | WP_000180747.1 | 26 | 1.1 | 1.04 |
| V3 | SabA | Outer Membrane | YQINPEQQS | WP_010875534.1 | 41 | 1.4 | 1.04 |
| V4 | VacA | Outer membrane | YNHLGSTNF | WP_000405496.1 | 30 | 0.8 | 1.06 |
Publisher’s Note: MDPI stays neutral with regard to jurisdictional claims in published maps and institutional affiliations. |
© 2022 by the authors. Licensee MDPI, Basel, Switzerland. This article is an open access article distributed under the terms and conditions of the Creative Commons Attribution (CC BY) license (https://creativecommons.org/licenses/by/4.0/).
Share and Cite
AlEraky, D.M.; Abuohashish, H.M.; Bugshan, A.S.; Abdelsalam, M.M.; AlHawaj, H.A.; AlKhamis, T.T.; AlDossary, F.A.; Alrayes, N.M.; Ragab, Y.M.; AbdelKhalek, Z.; et al. Potential Antigenic Candidates for the Development of Peptide-Based Vaccines to Induce Immunization against Helicobacter pylori Infection in BALB/c Mice. Int. J. Mol. Sci. 2022, 23, 12824. https://doi.org/10.3390/ijms232112824
AlEraky DM, Abuohashish HM, Bugshan AS, Abdelsalam MM, AlHawaj HA, AlKhamis TT, AlDossary FA, Alrayes NM, Ragab YM, AbdelKhalek Z, et al. Potential Antigenic Candidates for the Development of Peptide-Based Vaccines to Induce Immunization against Helicobacter pylori Infection in BALB/c Mice. International Journal of Molecular Sciences. 2022; 23(21):12824. https://doi.org/10.3390/ijms232112824
Chicago/Turabian StyleAlEraky, Doaa M., Hatem M. Abuohashish, Amr S. Bugshan, Maha M. Abdelsalam, Hussain A. AlHawaj, Taleb T. AlKhamis, Fatimah A. AlDossary, Nabras M. Alrayes, Yasser M. Ragab, Zeinab AbdelKhalek, and et al. 2022. "Potential Antigenic Candidates for the Development of Peptide-Based Vaccines to Induce Immunization against Helicobacter pylori Infection in BALB/c Mice" International Journal of Molecular Sciences 23, no. 21: 12824. https://doi.org/10.3390/ijms232112824
APA StyleAlEraky, D. M., Abuohashish, H. M., Bugshan, A. S., Abdelsalam, M. M., AlHawaj, H. A., AlKhamis, T. T., AlDossary, F. A., Alrayes, N. M., Ragab, Y. M., AbdelKhalek, Z., Helmy, O. M., & Ramadan, M. A. (2022). Potential Antigenic Candidates for the Development of Peptide-Based Vaccines to Induce Immunization against Helicobacter pylori Infection in BALB/c Mice. International Journal of Molecular Sciences, 23(21), 12824. https://doi.org/10.3390/ijms232112824

