Genotype and Phenotype Differences in CADASIL from an Asian Perspective
Abstract
1. Introduction
2. Genotype and Phenotype Differences between Asians and Patients of European Ancestry
2.1. Mutations in Different Exons
2.2. Age at Symptom Onset
2.3. Cerebral Microbleeds and Hemorrhagic Stroke
2.4. Differences in Clinical Features
| Study | Ancestry | Number of Patients | Age at Onset (±SD) | Mutation of NOTCH3 | MRI Features | Clinical Presentations | ||||
|---|---|---|---|---|---|---|---|---|---|---|
| Stroke | Cognitive Impairment | Psychiatric Syndrome | Headaches | Seizures | ||||||
| Adib-Samil et al., 2010 [24] | UK | 200 | 33.6 ± 14.1 | Exons 2–6: 91.9% (R544C: 0%) | NS | 51.5% | 16% | 37.5% | 75% | 10.5% (encephalopathy) |
| Markus et al., 2002 [10] | British | 48 | 35.9 ± 14.6 | Exons 2–6: 93.8% | AT: 89% EC: 93% | IS: 29.2% ICH: NS | 2.1% | 8.3% | 54.2% | 4.2% |
| Ospina et al., 2020 [34] | USA | 90 | Age at first evaluation, median (IQR) 36 (24) | Exons 4 (R141C): 23.3% Exon 14 (R1031C): 65.5% | NS | Stroke: 35.6% | 15.6% | 33.3% | 43.3% | NS |
| Desmond et al., 1999 [33] | USA | 105 | 36.7 ± 12.9 | Not specified | NS | IS: 42.9% | 5.7% | 8.6% | 40% | 2.9% |
| Dotti et al., 2005 [35] | Italian | 28 | NS | Exons 2–6: 46.4% Exon 11: 21.4% | NS | NS | NS | NS | NS | NS |
| Bianchi et al., 2015 [14] | Italian | 229 | 48.5 ± 17.1 | Exons 2–6: 36.7% (R544C: 0%) | NS | 59% | 38% | 48% | 42% | 8% |
| Mönkäre et al., 2022 [25] | Finnish | 294 | 50 ± 13.7 | Exon 2–6: 74.8% (R133C: 68%) | NS | IS or TIA: 42% a ICH: 1% a | 31% a | 11% a | 34% a | 4% a |
| Lee et al., 2009 [30] | Han Chinese in Taiwan | 21 | 48.6 ± 13.8 | Exons 2–6: 28.6% Exon 11 (R544C): 47.6% | AT: 42% EC: 95.2% | IS: 52.4% ICH: 23.8% | 4.8% | 9.5% | 4.8% | 4.8% |
| Liao et al., 2015 [16] | Taiwan | 95 | 54.1 ± 12.5 | Exons 2–6: 20% Exon 11 (R544C: 70.5%) | AT: 44.8% EC: 85.4% (AT: 28.4% EC: 83.6%) | 76.8% (73.4%) | 41.1% (48.1%) | 15.2% (15.2%) | 2.7% (3.8%) | NS |
| Liu et al., 2015 [31] | Chinese mainland | 62 | 39.7 ± 8.03 | Exon 4: 59.6% Exon 3: 22.8% Exon 11: 3.5% | AT: 63.5% * EC: 69.2% * | IS or TIA: 75.8% | 11.3% | 3.2% | 8.1% | NS |
| Choi et al., 2006 [17] | Korean | 20 | 57.2 ± 10.2 | Exons 2–6 (R75P): 10% Exon 11: 85% (R544C: 75%) | AT: 20% EC: 90% | IS: 55% ICH: 25% | 15% | 0 | 10% | 0 |
| Choi et al., 2013 [18] | Korean | 73 | 62.7 ± 11.1 | Exons 2–6 (R75P): 2.7% Exon 11: 95.9% (R544C: 90.3%) | NS | IS: 42.5% ICH: 12.3% | NS | NS | NS | NS |
| Kim et al., 2006 [22] | Korean | 27 | 47.7 | Exons 2–6: 77.8% (R75P: 55.6%) Exon 11: 22.2% | AT: 23.0% EC: 53.8% | IS: 40.7% ICH: 33.3% | 18.5% | Depression: 14.8% | 3.7% | 0 |
| Kim et al., 2019 [23] | Korean | 34 | 52.5 ± 9.5 | Exons 2–6: 41.2% (R75P/Q *: 17.6%) Exon 11: 26.5% | AT: 50% EC: 55.9% | IS: 44.1% ICH: 17.6% | NS | 0 | 2.5% | 0 |
| Min et al., 2022 [32] | Korean | 142 | 51.2 ± 10 | Exon 2–6: 54.93% Exon 11: 34.5% (R544C: 20.4%) | AT: 61.2% EC: 76.7% | IS or TIA: 61.3% ICH: 6.3% | 43% | 20.4% | 40.1% | 0 |
| Ueda et al., 2015 [19] | Japanese | 70 | R75P: 53.6 ± 6.9 other mutations: 44.2 ± 12.0 | Exon 3: 21% Exon 4: 69% | AT: 70.6% † EC: 76.5% † | IS or TIA: 69% | 31% | 20% | 33% | NS |
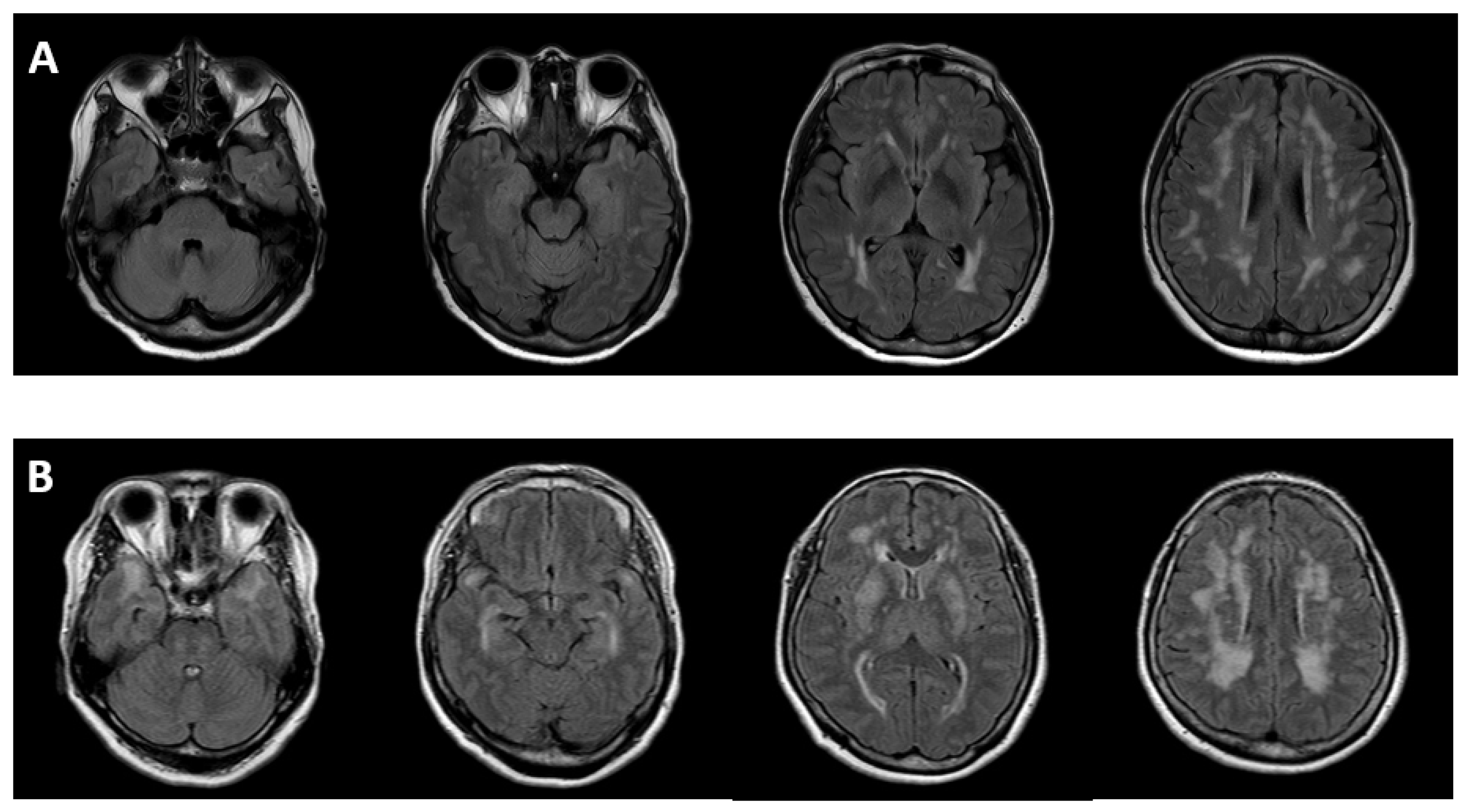
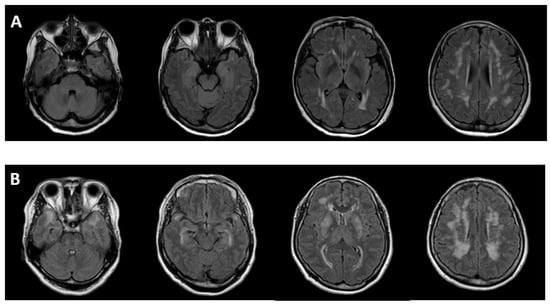
2.5. Imaging Differences
3. Cysteine-Sparing and Cysteine-Related Mutations
4. Founder Effect
5. Conclusions
Author Contributions
Funding
Institutional Review Board Statement
Informed Consent Statement
Data Availability Statement
Conflicts of Interest
References
- Muiño, E.; Gallego-Fabrega, C.; Cullell, N.; Carrera, C.; Torres, N.; Krupinski, J.; Roquer, J.; Montaner, J.; Fernández-Cadenas, I. Systematic Review of Cysteine-Sparing NOTCH3 Missense Mutations in Patients with Clinical Suspicion of CADASIL. Int. J. Mol. Sci. 2017, 18, 1964. [Google Scholar] [CrossRef] [PubMed]
- Wang, T.; Baron, M.; Trump, D. An overview of Notch3 function in vascular smooth muscle cells. Prog. Biophys. Mol. Biol. 2008, 96, 499–509. [Google Scholar] [CrossRef] [PubMed]
- Mizuno, T.; Mizuta, I.; Watanabe-Hosomi, A.; Mukai, M.; Koizumi, T. Clinical and Genetic Aspects of CADASIL. Front. Aging Neurosci. 2020, 12, 91. [Google Scholar] [CrossRef] [PubMed]
- Hu, Y.; Sun, Q.; Zhou, Y.; Yi, F.; Tang, H.; Yao, L.; Tian, Y.; Xie, N.; Luo, M.; Wang, Z.; et al. NOTCH3 Variants and Genotype-Phenotype Features in Chinese CADASIL Patients. Front. Genet. 2021, 12, 705284. [Google Scholar] [CrossRef] [PubMed]
- Chabriat, H.; Joutel, A.; Dichgans, M.; Tournier-Lasserve, E.; Bousser, M.G. Cadasil. Lancet Neurol. 2009, 8, 643–653. [Google Scholar] [CrossRef]
- Hung, L.Y.; Ling, T.K.; Lau, N.K.C.; Cheung, W.L.; Chong, Y.K.; Sheng, B.; Kwok, K.M.; Mak, C.M. Genetic diagnosis of CADASIL in three Hong Kong Chinese patients: A novel mutation within the intracellular domain of NOTCH3. J. Clin. Neurosci. 2018, 56, 95–100. [Google Scholar] [CrossRef]
- Kim, Y.-E.; Yoon, C.W.; Seo, S.W.; Ki, C.-S.; Kim, Y.B.; Kim, J.-W.; Bang, O.Y.; Lee, K.H.; Kim, G.-M.; Chung, C.-S.; et al. Spectrum of NOTCH3 mutations in Korean patients with clinically suspicious cerebral autosomal dominant arteriopathy with subcortical infarcts and leukoencephalopathy. Neurobiol. Aging 2014, 35, 726.e1–726.e6. [Google Scholar] [CrossRef]
- Peters, N.; Opherk, C.; Bergmann, T.; Castro, M.; Herzog, J.; Dichgans, M. Spectrum of mutations in biopsy-proven CADASIL: Implications for diagnostic strategies. Arch. Neurol. 2005, 62, 1091–1094. [Google Scholar] [CrossRef]
- Joutel, A.; Vahedi, K.; Corpechot, C.; Troesch, A.; Chabriat, H.; Vayssière, C.; Cruaud, C.; Maciazek, J.; Weissenbach, J.; Bousser, M.G.; et al. Strong clustering and stereotyped nature of Notch3 mutations in CADASIL patients. Lancet 1997, 350, 1511–1515. [Google Scholar] [CrossRef]
- Markus, H.S.; Martin, R.J.; Simpson, M.A.; Dong, Y.B.; Ali, N.; Crosby, A.H.; Powell, J.F. Diagnostic strategies in CADASIL. Neurology 2002, 59, 1134–1138. [Google Scholar] [CrossRef]
- Opherk, C.; Peters, N.; Herzog, J.; Luedtke, R.; Dichgans, M. Long-term prognosis and causes of death in CADASIL: A retrospective study in 411 patients. Brain 2004, 127, 2533–2539. [Google Scholar] [CrossRef] [PubMed]
- Moreton, F.C.; Razvi, S.S.; Davidson, R.; Muir, K.W. Changing clinical patterns and increasing prevalence in CADASIL. Acta Neurol. Scand. 2014, 130, 197–203. [Google Scholar] [CrossRef] [PubMed]
- Oberstein, S.L.; Ferrari, M.D.; Bakker, E.; Van Gestel, J.; Kneppers, A.L.J.; Frants, R.R.; Breuning, M.H.; Haan, J. Diagnostic Notch3 sequence analysis in CADASIL: Three new mutations in Dutch patients. Neurology 1999, 52, 1913–1915. [Google Scholar] [CrossRef] [PubMed]
- Bianchi, S.; Zicari, E.; Carluccio, A.; Di Donato, I.; Pescini, F.; Nannucci, S.; Valenti, R.; Ragno, M.; Inzitari, D.; Pantoni, L.; et al. CADASIL in central Italy: A retrospective clinical and genetic study in 229 patients. J. Neurol. 2015, 262, 134–141. [Google Scholar] [CrossRef]
- Chen, S.; Ni, W.; Yin, X.Z.; Liu, H.Q.; Lu, C.; Zheng, Q.J.; Zhao, G.X.; Xu, Y.F.; Wu, L.; Zhang, L.; et al. Clinical features and mutation spectrum in Chinese patients with CADASIL: A multicenter retrospective study. CNS Neurosci. Ther. 2017, 23, 707–716. [Google Scholar] [CrossRef] [PubMed]
- Liao, Y.C.; Hsiao, C.T.; Fuh, J.L.; Chern, C.M.; Lee, W.J.; Guo, Y.C.; Wang, S.J.; Lee, I.H.; Liu, Y.T.; Wang, Y.F.; et al. Characterization of CADASIL among the Han Chinese in Taiwan: Distinct Genotypic and Phenotypic Profiles. PLoS ONE 2015, 10, e0136501. [Google Scholar] [CrossRef]
- Choi, J.C.; Kang, S.Y.; Kang, J.H.; Park, J.K. Intracerebral hemorrhages in CADASIL. Neurology 2006, 67, 2042–2044. [Google Scholar] [CrossRef]
- Choi, J.C.; Song, S.K.; Lee, J.S.; Kang, S.Y.; Kang, J.H. Diversity of stroke presentation in CADASIL: Study from patients harboring the predominant NOTCH3 mutation R544C. J. Stroke Cerebrovasc. Dis. 2013, 22, 126–131. [Google Scholar] [CrossRef]
- Ueda, A.; Ueda, M.; Nagatoshi, A.; Hirano, T.; Ito, T.; Arai, N.; Uyama, E.; Mori, K.; Nakamura, M.; Shinriki, S.; et al. Genotypic and phenotypic spectrum of CADASIL in Japan: The experience at a referral center in Kumamoto University from 1997 to 2014. J. Neurol. 2015, 262, 1828–1836. [Google Scholar] [CrossRef]
- Rutten, J.W.; Van Eijsden, B.J.; Duering, M.; Jouvent, E.; Opherk, C.; Pantoni, L.; Federico, A.; Dichgans, M.; Markus, H.S.; Chabriat, H.; et al. The effect of NOTCH3 pathogenic variant position on CADASIL disease severity: NOTCH3 EGFr 1-6 pathogenic variant are associated with a more severe phenotype and lower survival compared with EGFr 7-34 pathogenic variant. Genet. Med. 2019, 21, 676–682. [Google Scholar] [CrossRef]
- Cho, B.P.H.; Jolly, A.A.; Nannoni, S.; Tozer, D.; Bell, S.; Markus, H.S. Association of NOTCH3 Variant Position with Stroke Onset and Other Clinical Features among Patients with CADASIL. Neurology 2022, 99, e430–e439. [Google Scholar] [CrossRef]
- Kim, Y.; Choi, E.J.; Choi, C.G.; Kim, G.; Choi, J.H.; Yoo, H.W.; Kim, J.S. Characteristics of CADASIL in Korea: A novel cysteine-sparing Notch3 mutation. Neurology 2006, 66, 1511–1516. [Google Scholar] [CrossRef] [PubMed]
- Kim, Y.; Lee, S.H. Novel Characteristics of Race-Specific Genetic Functions in Korean CADASIL. Medicina 2019, 55, 521. [Google Scholar] [CrossRef] [PubMed]
- Adib-Samii, P.; Brice, G.; Martin, R.J.; Markus, H.S. Clinical spectrum of CADASIL and the effect of cardiovascular risk factors on phenotype: Study in 200 consecutively recruited individuals. Stroke 2010, 41, 630–634. [Google Scholar] [CrossRef] [PubMed]
- Mönkäre, S.; Kuuluvainen, L.; Schleutker, J.; Myllykangas, L.; Pöyhönen, M. Clinical features and spectrum of NOTCH3 variants in Finnish patients with cerebral autosomal dominant arteriopathy with subcortical infarcts and leukoencephalopathy (CADASIL). Acta Neurol. Scand. 2022, in press. [Google Scholar] [CrossRef]
- Lesnik Oberstein, S.A.J.; van den Boom, R.; van Buchem, M.A.; van Houwelingen, H.C.; Bakker, E.; Vollebregt, E.; Ferrari, M.D.; Breuning, M.H.; Haan, J. Cerebral microbleeds in CADASIL. Neurology 2001, 57, 1066–1070. [Google Scholar] [CrossRef]
- Kim, B.J.; Lee, S.-H. Cerebral Microbleeds: Their Associated Factors, Radiologic Findings, and Clinical Implications. J. Stroke 2013, 15, 153–163. [Google Scholar] [CrossRef]
- Charidimou, A.; Kakar, P.; Fox, Z.; Werring, D.J. Cerebral microbleeds and recurrent stroke risk: Systematic review and meta-analysis of prospective ischemic stroke and transient ischemic attack cohorts. Stroke 2013, 44, 995–1001. [Google Scholar] [CrossRef]
- Choi, J.C. Cerebral autosomal dominant arteriopathy with subcortical infarcts and leukoencephalopathy: A genetic cause of cerebral small vessel disease. J. Clin. Neurol. 2010, 6, 1–9. [Google Scholar] [CrossRef]
- Lee, Y.C.; Liu, C.S.; Chang, M.H.; Lin, K.P.; Fuh, J.L.; Lu, Y.C.; Liu, Y.F.; Soong, B.W. Population-specific spectrum of NOTCH3 mutations, MRI features and founder effect of CADASIL in Chinese. J. Neurol. 2009, 256, 249–255. [Google Scholar] [CrossRef]
- Liu, X.; Zuo, Y.; Sun, W.; Zhang, W.; Lv, H.; Huang, Y.; Xiao, J.; Yuan, Y.; Wang, Z. The genetic spectrum and the evaluation of CADASIL screening scale in Chinese patients with NOTCH3 mutations. J. Neurol. Sci. 2015, 354, 63–69. [Google Scholar] [CrossRef]
- Min, J.-Y.; Park, S.-J.; Kang, E.-J.; Hwang, S.-Y.; Han, S.-H. Mutation spectrum and genotype–phenotype correlations in 157 Korean CADASIL patients: A multicenter study. Neurogenetics 2022, 23, 45–58. [Google Scholar] [CrossRef] [PubMed]
- Desmond, D.W.; Moroney, J.T.; Lynch, T.; Chan, S.; Chin, S.S.; Mohr, J.P. The natural history of CADASIL: A pooled analysis of previously published cases. Stroke 1999, 30, 1230–1233. [Google Scholar] [CrossRef] [PubMed]
- Ospina, C.; Arboleda-Velasquez, J.F.; Aguirre-Acevedo, D.C.; Zuluaga-Castaño, Y.; Velilla, L.; Garcia, G.P.; Quiroz, Y.T.; Lopera, F. Genetic and nongenetic factors associated with CADASIL: A retrospective cohort study. J. Neurol. Sci. 2020, 419, 117178. [Google Scholar] [CrossRef] [PubMed]
- Dotti, M.T.; Federico, A.; Mazzei, R.; Bianchi, S.; Scali, O.; Conforti, F.L.; Sprovieri, T.; Guidetti, D.; Aguglia, U.; Consoli, D.; et al. The spectrum of Notch3 mutations in 28 Italian CADASIL families. J. Neurol. Neurosurg. Psychiatry 2005, 76, 736–738. [Google Scholar] [CrossRef]
- Oda, T.; Elkahloun, A.G.; Pike, B.L.; Okajima, K.; Krantz, I.D.; Genin, A.; Piccoli, D.A.; Meltzer, P.S.; Spinner, N.B.; Collins, F.S.; et al. Mutations in the human Jagged1 gene are responsible for Alagille syndrome. Nat. Genet. 1997, 16, 235–242. [Google Scholar] [CrossRef] [PubMed]
- Mykkänen, K.; Savontaus, M.L.; Juvonen, V.; Sistonen, P.; Tuisku, S.; Tuominen, S.; Penttinen, M.; Lundkvist, J.; Viitanen, M.; Kalimo, H.; et al. Detection of the founder effect in Finnish CADASIL families. Eur. J. Hum. Genet. 2004, 12, 813–819. [Google Scholar] [CrossRef]
- Testi, S.; Malerba, G.; Ferrarini, M.; Ragno, M.; Pradotto, L.; Mauro, A.; Fabrizi, G.M. Mutational and haplotype map of NOTCH3 in a cohort of Italian patients with cerebral autosomal dominant arteriopathy with subcortical infarcts and leukoencephalopathy (CADASIL). J. Neurol. Sci. 2012, 319, 37–41. [Google Scholar] [CrossRef]


Publisher’s Note: MDPI stays neutral with regard to jurisdictional claims in published maps and institutional affiliations. |
© 2022 by the authors. Licensee MDPI, Basel, Switzerland. This article is an open access article distributed under the terms and conditions of the Creative Commons Attribution (CC BY) license (https://creativecommons.org/licenses/by/4.0/).
Share and Cite
Kim, Y.; Bae, J.S.; Lee, J.-Y.; Song, H.K.; Lee, J.-H.; Lee, M.; Kim, C.; Lee, S.-H. Genotype and Phenotype Differences in CADASIL from an Asian Perspective. Int. J. Mol. Sci. 2022, 23, 11506. https://doi.org/10.3390/ijms231911506
Kim Y, Bae JS, Lee J-Y, Song HK, Lee J-H, Lee M, Kim C, Lee S-H. Genotype and Phenotype Differences in CADASIL from an Asian Perspective. International Journal of Molecular Sciences. 2022; 23(19):11506. https://doi.org/10.3390/ijms231911506
Chicago/Turabian StyleKim, Yerim, Jong Seok Bae, Ju-Young Lee, Hong Ki Song, Ju-Hun Lee, Minwoo Lee, Chulho Kim, and Sang-Hwa Lee. 2022. "Genotype and Phenotype Differences in CADASIL from an Asian Perspective" International Journal of Molecular Sciences 23, no. 19: 11506. https://doi.org/10.3390/ijms231911506
APA StyleKim, Y., Bae, J. S., Lee, J.-Y., Song, H. K., Lee, J.-H., Lee, M., Kim, C., & Lee, S.-H. (2022). Genotype and Phenotype Differences in CADASIL from an Asian Perspective. International Journal of Molecular Sciences, 23(19), 11506. https://doi.org/10.3390/ijms231911506

