Two Cases of Autoimmune Thyroid Disorders after COVID Vaccination in Dialysis Patients
Abstract
1. Introduction
2. Cases Presentation
2.1. Case 1
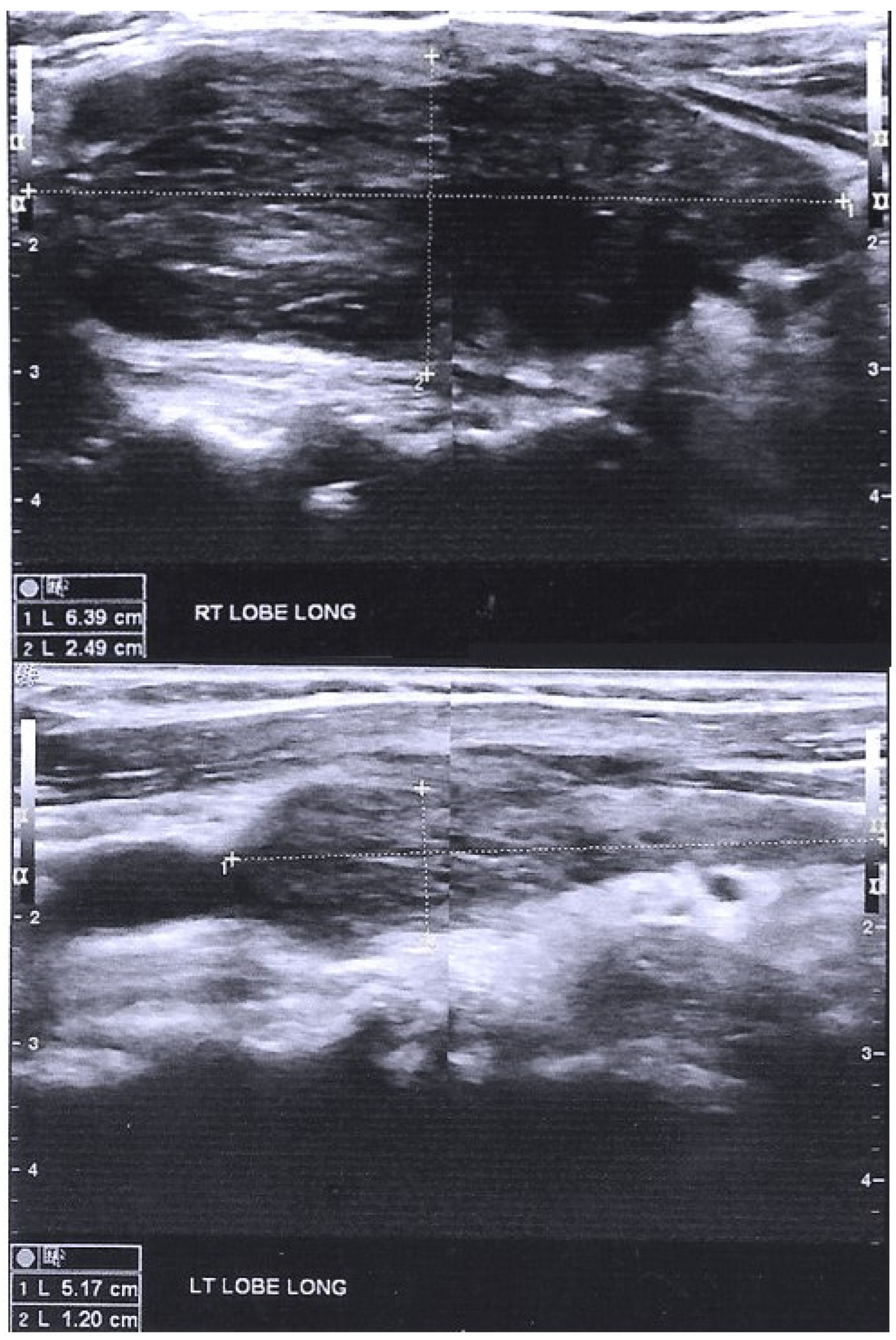
2.2. Case 2
3. Discussion
Author Contributions
Funding
Institutional Review Board Statement
Informed Consent Statement
Data Availability Statement
Conflicts of Interest
References
- Caron, P. Thyroiditis and SARS-CoV-2 pandemic: A review. Endocrine 2021, 72, 326–331. [Google Scholar] [CrossRef] [PubMed]
- Walsh, E.E.; Frenck, R.W., Jr.; Falsey, A.R.; Kitchin, N.; Absalon, J.; Gurtman, A.; Lockhart, S.; Neuzil, K.; Mulligan, M.J.; Bailey, R.; et al. Safety and Immunogenicity of Two RNA-Based COVID-19 Vaccine Candidates. N. Engl. J. Med. 2020, 383, 2439–2450. [Google Scholar] [CrossRef] [PubMed]
- Feghali, K.; Atallah, J.; Norman, C. Manifestations of thyroid disease post COVID-19 illness: Report of Hashimoto thyroiditis, Graves’ disease, and subacute thyroiditis. J. Clin. Transl. Endocrinol. Case Rep. 2021, 22, 100094. [Google Scholar] [CrossRef] [PubMed]
- Tutal, E.; Ozaras, R.; Leblebicioglu, H. Systematic review of COVID-19 and autoimmune thyroiditis. Travel Med. Infect. Dis. 2022, 47, 102314. [Google Scholar] [CrossRef]
- Knack, R.S.; Hanada, T.; Knack, R.S.; Mayr, K. Hashimoto’s thyroiditis following SARS-CoV-2 infection. BMJ Case Rep. 2021, 14, e244909. [Google Scholar] [CrossRef]
- Allam, M.M.; El-Zawawy, H.T.; Ahmed, S.M.; Abdelhamid, M.A. Thyroid disease and COVID-19 infection: Case series. Clin. Case Rep. 2021, 9, e04225. [Google Scholar] [CrossRef]
- Harris, A.; Al Mushref, M. Graves’ Thyrotoxicosis Following SARS-CoV-2 Infection. AACE Clin. Case Rep. 2021, 7, 14–16. [Google Scholar] [CrossRef]
- Pla Peris, B.; Merchante Alfaro, A.Á.; Maravall Royo, F.J.; Galiana, P.A.; Naranjo, S.P.; Boillos, M.G. Thyrotoxicosis following SARS-CoV-2 vaccination: A case series and discussion. J. Endocrinol. Investig. 2022, 45, 1071–1077. [Google Scholar] [CrossRef]
- Bostan, H.; Ucan, B.; Kizilgul, M.; Calapkulu, M.; Hepsen, S.; Gul, U.; Unsal, I.O.; Cakal, E. Relapsed and newly diagnosed Graves’ disease due to immunization against COVID-19: A case series and review of the literature. J. Autoimmun. 2022, 128, 102809. [Google Scholar] [CrossRef]
- Sriphrapradang, C. Aggravation of hyperthyroidism after heterologous prime-boost immunization with inactivated and adenovirus-vectored SARS-CoV-2 vaccine in a patient with Graves’ disease. Endocrine 2021, 74, 226–227. [Google Scholar] [CrossRef]
- Zettinig, G.; Krebs, M. Two further cases of Graves’ disease following SARS-CoV-2 vaccination. J. Endocrinol. Investig. 2022, 45, 227–228. [Google Scholar] [CrossRef] [PubMed]
- Rhee, C.M. Thyroid disease in end-stage renal disease. Curr. Opin. Nephrol. Hypertens. 2019, 28, 621–630. [Google Scholar] [CrossRef] [PubMed]
- Boubaker, K.; Kaaroud, H.; Maiz, H.B.; Kheder, A. Characteristics of Graves’ Disease in Haemodialysis Patients. J. Endocrinol. Metab. 2012, 2, 212–215. [Google Scholar] [CrossRef][Green Version]
- Nair, C.G.; Jacob, P.; Menon, R.; Babu, M.J.C. Graves’ disease in a dialysis dependent chronic renal failure patient. Indian J. Nephrol. 2014, 24, 397–399. [Google Scholar] [CrossRef]
- Maruyama, S.; Ikarashi, T.; Soda, S.; Toya, M.; Okamura, K.; Hirayama, S.; Suzuki, K.; Hanyu, O.; Sakurabayashi, T.; Nakagawa, O.; et al. A rare case of Graves? disease during regular hemodialysis. Clin. Exp. Nephrol. 2004, 8, 71–74. [Google Scholar] [CrossRef]
- Iglesias, P.; Auxiliadora Bajo, M.; Selgas, R.; Jose Diez, J. Thyroid dysfunction and kidney disease: An update. Rev. Endocr. Metab. Disord. 2017, 18, 131–144. [Google Scholar] [CrossRef]
- Xu, H.; Brusselaers, N.; Lindholm, B.; Zoccali, C.; Carrero, J.J. Thyroid Function Test Derangements and Mortality in Dialysis Patients: A Systematic Review and Meta-analysis. Am. J. Kidney Dis. 2016, 68, 923–932. [Google Scholar] [CrossRef]
- Shoenfeld, Y.; Agmon-Levin, N. ‘ASIA’—Autoimmune/inflammatory syndrome induced by adjuvants. J. Autoimmun. 2011, 36, 4–8. [Google Scholar] [CrossRef]
- Vojdani, A.; Vojdani, E.; Kharrazian, D. Reaction of Human Monoclonal Antibodies to SARS-CoV-2 Proteins with Tissue Antigens: Implications for Autoimmune Diseases. Front. Immunol. 2020, 11, 617089. [Google Scholar] [CrossRef]
- Inaba, H.; Aizawa, T. Coronavirus Disease 2019 and the Thyroid—Progress and Perspectives. Front. Endocrinol. 2021, 12, 708333. [Google Scholar] [CrossRef]
- Murugan, A.K.; Alzahrani, A.S. SARS-CoV-2 plays a pivotal role in inducing hyperthyroidism of Graves’ disease. Endocrine 2021, 73, 243–254. [Google Scholar] [CrossRef] [PubMed]
- Lioulios, G.; Fylaktou, A.; Xochelli, A.; Sampani, E.; Tsouchnikas, I.; Giamalis, P.; Daikidou, D.V.; Nikolaidou, V.; Papagianni, A.; Theodorou, I.; et al. Clustering of End Stage Renal Disease Patients by Dimensionality Reduction Algorithms According to Lymphocyte Senescence Markers. Front. Immunol. 2022, 13, 841031. [Google Scholar] [CrossRef] [PubMed]
- El Karoui, K.; De Vriese, A.S. COVID-19 in dialysis: Clinical impact, immune response, prevention, and treatment. Kidney Int. 2022, 101, 883–894. [Google Scholar] [CrossRef] [PubMed]
- Pahl, M.V.; Gollapudi, S.; Sepassi, L.; Gollapudi, P.; Elahimehr, R.; Vaziri, N.D. Effect of end-stage renal disease on B-lymphocyte subpopulations, IL-7, BAFF and BAFF receptor expression. Nephrol. Dial. Transplant. 2010, 25, 205–212. [Google Scholar] [CrossRef]
- Sampani, E.; Daikidou, D.-V.; Lioulios, G.; Xochelli, A.; Mitsoglou, Z.; Nikolaidou, V.; Dimitriadis, C.; Fylaktou, A.; Papagianni, A.; Stangou, M. CD28null and Regulatory T Cells Are Substantially Disrupted in Patients with End-Stage Renal Disease Due to Diabetes Mellitus. Int. J. Mol. Sci. 2021, 22, 2975. [Google Scholar] [CrossRef]


Publisher’s Note: MDPI stays neutral with regard to jurisdictional claims in published maps and institutional affiliations. |
© 2022 by the authors. Licensee MDPI, Basel, Switzerland. This article is an open access article distributed under the terms and conditions of the Creative Commons Attribution (CC BY) license (https://creativecommons.org/licenses/by/4.0/).
Share and Cite
Lioulios, G.; Tsouchnikas, I.; Dimitriadis, C.; Giamalis, P.; Pella, E.; Christodoulou, M.; Stangou, M.; Papagianni, A. Two Cases of Autoimmune Thyroid Disorders after COVID Vaccination in Dialysis Patients. Int. J. Mol. Sci. 2022, 23, 11492. https://doi.org/10.3390/ijms231911492
Lioulios G, Tsouchnikas I, Dimitriadis C, Giamalis P, Pella E, Christodoulou M, Stangou M, Papagianni A. Two Cases of Autoimmune Thyroid Disorders after COVID Vaccination in Dialysis Patients. International Journal of Molecular Sciences. 2022; 23(19):11492. https://doi.org/10.3390/ijms231911492
Chicago/Turabian StyleLioulios, Georgios, Ioannis Tsouchnikas, Chrysostomos Dimitriadis, Panagiotis Giamalis, Eva Pella, Michalis Christodoulou, Maria Stangou, and Aikaterini Papagianni. 2022. "Two Cases of Autoimmune Thyroid Disorders after COVID Vaccination in Dialysis Patients" International Journal of Molecular Sciences 23, no. 19: 11492. https://doi.org/10.3390/ijms231911492
APA StyleLioulios, G., Tsouchnikas, I., Dimitriadis, C., Giamalis, P., Pella, E., Christodoulou, M., Stangou, M., & Papagianni, A. (2022). Two Cases of Autoimmune Thyroid Disorders after COVID Vaccination in Dialysis Patients. International Journal of Molecular Sciences, 23(19), 11492. https://doi.org/10.3390/ijms231911492

