Protealysin Targets the Bacterial Housekeeping Proteins FtsZ and RecA
Abstract
1. Introduction
2. Results
2.1. Protealysin Activity in OMVs
2.2. Cleavage of Purified FtsZ by Protealysin
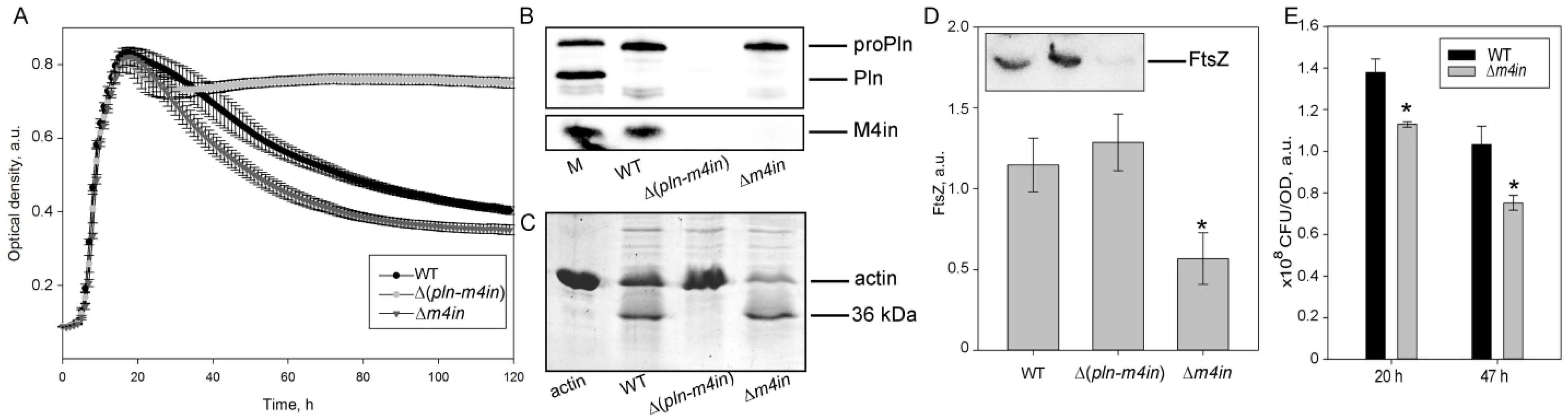
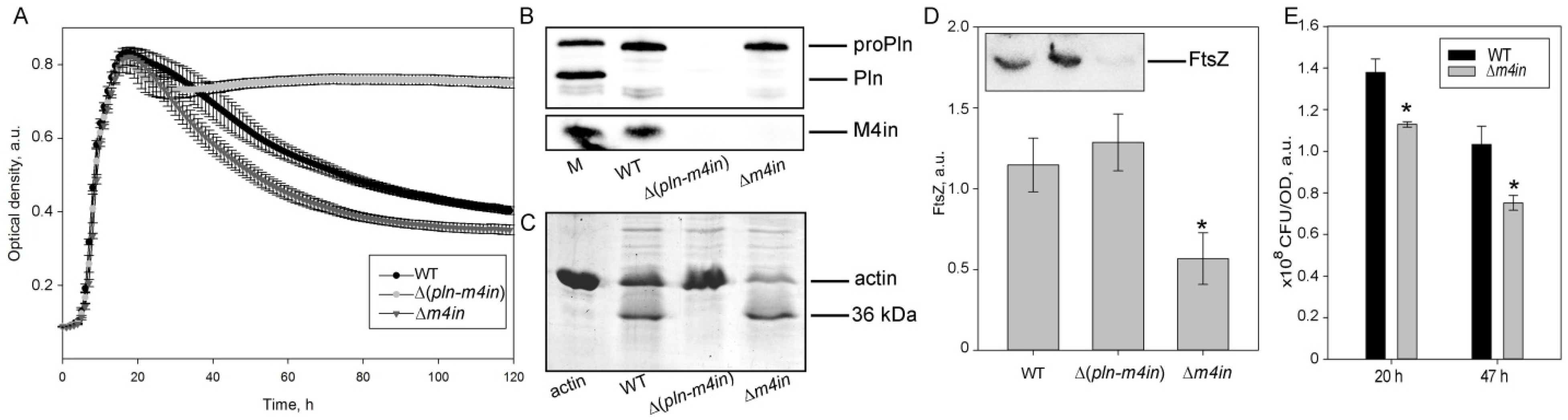
2.3. Cleavage of FtsZ by Protealysin in Bacteria
2.4. Regulation of the RecA Activity and UV Survivability by Protealysin
3. Discussion
4. Materials and Methods
4.1. Strains and Plasmids
4.2. Generation of In-Frame Deletion Mutant Strains of S. proteamaculans
4.3. Protein Purification
4.4. OMVs Isolation
4.5. Determination of Protealysin Substrates
4.6. Sample Preparation and MS Analysis
4.7. Actinase Activity
4.8. Western Blot Analysis
4.9. ssDNA-Dependent ATP Hydrolysis (ATPase) Assays
4.10. UV Radiation Sensitivity
4.11. Statistical Analysis
Supplementary Materials
Author Contributions
Funding
Conflicts of Interest
References
- Mahlen, S.D. Serratia infections: From military experiments to current practice. Clin. Microbiol. Rev. 2011, 24, 755–791. [Google Scholar] [CrossRef] [PubMed]
- Tsaplina, O.A.; Efremova, T.N.; Kever, L.V.; Komissarchik, Y.Y.; Demidyuk, I.V.; Kostrov, S.V.; Khaitlina, S.Y. Probing for actinase activity of protealysin. Biochemistry 2009, 74, 648–654. [Google Scholar] [CrossRef] [PubMed]
- Tsaplina, O.; Efremova, T.; Demidyuk, I.; Khaitlina, S. Filamentous actin is a substrate for protealysin, a metalloprotease of invasive Serratia proteamaculans. FEBS J. 2012, 279, 264–274. [Google Scholar] [CrossRef] [PubMed]
- Tsaplina, O.A.; Khaitlina, S.Y. Sodium fluoride as a nucleating factor for Mg-actin polymerization. Biochem. Biophys. Res. Commun. 2016, 479, 741–746. [Google Scholar] [CrossRef]
- Chukhontseva, K.N.; Salnikov, V.V.; Morenkov, O.S.; Kostrov, S.V.; Demidyuk, I.V. Protealysin is not Secreted Constitutively. Protein Pept. Lett. 2019, 26, 221–226. [Google Scholar] [CrossRef]
- Bozhokina, E.; Kever, L.; Khaitlina, S. The Serratia grimesii outer membrane vesicles-associated grimelysin triggers bacterial invasion of eukaryotic cells. Cell Biol. Int. 2020, 44, 2275–2283. [Google Scholar] [CrossRef]
- Diniz, J.A.; Liu, Y.C.; Coulthurst, S.J. Molecular weaponry: Diverse effectors delivered by the Type VI secretion system. Cell Microbiol. 2015, 17, 1742–1751. [Google Scholar] [CrossRef]
- Durand, E.; Cambillau, C.; Cascales, E.; Journet, L. VgrG, Tae, Tle, and beyond: The versatile arsenal of Type VI secretion effectors. Trends Microbiol. 2014, 22, 498–507. [Google Scholar] [CrossRef]
- Bleves, S. Game of Trans-Kingdom Effectors. Trends Microbiol. 2016, 24, 773–774. [Google Scholar] [CrossRef]
- Aktories, K.; Wegner, A. Mechanisms of the cytopathic action of actin-ADP-ribosylating toxins. Mol. Microbiol. 1992, 6, 2905–2908. [Google Scholar] [CrossRef]
- Ting, S.Y.; Bosch, D.E.; Mangiameli, S.M.; Radey, M.C.; Huang, S.; Park, Y.J.; Kelly, K.A.; Filip, S.K.; Goo, Y.A.; Eng, J.K.; et al. Bifunctional Immunity Proteins Protect Bacteria against FtsZ-Targeting ADP-Ribosylating Toxins. Cell 2018, 175, 1380–1392.e14. [Google Scholar] [CrossRef] [PubMed]
- Klein, T.A.; Ahmad, S.; Whitney, J.C. Contact-Dependent Interbacterial Antagonism Mediated by Protein Secretion Machines. Trends Microbiol. 2020, 28, 387–400. [Google Scholar] [CrossRef] [PubMed]
- Chukhontseva, K.N.; Berdyshev, I.M.; Safina, D.R.; Karaseva, M.A.; Bozin, T.N.; Salnikov, V.V.; Konarev, P.V.; Volkov, V.V.; Grishin, A.V.; Kozlovskiy, V.I.; et al. The protealysin operon encodes emfourin, a prototype of a novel family of protein metalloprotease inhibitors. Int. J. Biol. Macromol. 2021, 169, 583–596. [Google Scholar] [CrossRef] [PubMed]
- Tsaplina, O.; Demidyuk, I.; Artamonova, T.; Khodorkovsky, M.; Khaitlina, S. Cleavage of the outer membrane protein OmpX by protealysin regulates Serratia proteamaculans invasion. FEBS Lett. 2020, 594, 3095–3107. [Google Scholar] [CrossRef]
- Wang, X.; Huang, J.; Mukherjee, A.; Cao, C.; Lutkenhaus, J. Analysis of the interaction of FtsZ with itself, GTP, and FtsA. J. Bacteriol. 1997, 179, 5551–5559. [Google Scholar] [CrossRef]
- McBroom, A.J.; Kuehn, M.J. Outer Membrane Vesicles. EcoSal Plus 2005, 1. [Google Scholar] [CrossRef]
- Mosyak, L.; Zhang, Y.; Glasfeld, E.; Haney, S.; Stahl, M.; Seehra, J.; Somers, W.S. The bacterial cell-division protein ZipA and its interaction with an FtsZ fragment revealed by X-ray crystallography. EMBO J. 2000, 19, 3179–3191. [Google Scholar] [CrossRef]
- Szwedziak, P.; Wang, Q.; Freund, S.M.; Lowe, J. FtsA forms actin-like protofilaments. EMBO J. 2012, 31, 2249–2260. [Google Scholar] [CrossRef]
- Karaseva, M.A.; Chukhontseva, K.N.; Lemeskina, I.S.; Pridatchenko, M.L.; Kostrov, S.V.; Demidyuk, I.V. An Internally Quenched Fluorescent Peptide Substrate for Protealysin. Sci. Rep. 2019, 9, 14352. [Google Scholar] [CrossRef]
- Bozhokina, E.S.; Tsaplina, O.A.; Efremova, T.N.; Kever, L.V.; Demidyuk, I.V.; Kostrov, S.V.; Adam, T.; Komissarchik, Y.Y.; Khaitlina, S.Y. Bacterial invasion of eukaryotic cells can be mediated by actin-hydrolysing metalloproteases grimelysin and protealysin. Cell Biol. Int. 2011, 35, 111–118. [Google Scholar] [CrossRef]
- Podlesek, Z.; Bertok, D.Z. The DNA Damage Inducible SOS Response Is a Key Player in the Generation of Bacterial Persister Cells and Population Wide Tolerance. Front. Microbiol. 2020, 11, 1785. [Google Scholar] [CrossRef] [PubMed]
- Cox, M.M. Regulation of bacterial RecA protein function. Crit. Rev. Biochem. Mol. Biol. 2007, 42, 41–63. [Google Scholar] [CrossRef] [PubMed]
- Alexseyev, A.A.; Bakhlanova, I.V.; Zaitsev, E.N.; Lanzov, V.A. Genetic characteristics of new recA mutants of Escherichia coli K-12. J. Bacteriol. 1996, 178, 2018–2024. [Google Scholar] [CrossRef] [PubMed][Green Version]
- Tsaplina, O.; Khmel, I.; Zaitseva, Y.; Khaitlina, S. Invasion of Serratia proteamaculans is regulated by the sprI gene encoding AHL synthase. Microbes Infect. 2021, 23, 104852. [Google Scholar] [CrossRef]
- Koomey, M.; Gotschlich, E.C.; Robbins, K.; Bergstrom, S.; Swanson, J. Effects of recA mutations on pilus antigenic variation and phase transitions in Neisseria gonorrhoeae. Genetics 1987, 117, 391–398. [Google Scholar] [CrossRef]
- Bisognano, C.; Kelley, W.L.; Estoppey, T.; Francois, P.; Schrenzel, J.; Li, D.; Lew, D.P.; Hooper, D.C.; Cheung, A.L.; Vaudaux, P. A recA-LexA-dependent pathway mediates ciprofloxacin-induced fibronectin binding in Staphylococcus aureus. J. Biol. Chem. 2004, 279, 9064–9071. [Google Scholar] [CrossRef]
- Mellies, J.L.; Haack, K.R.; Galligan, D.C. SOS regulation of the type III secretion system of enteropathogenic Escherichia coli. J. Bacteriol. 2007, 189, 2863–2872. [Google Scholar] [CrossRef]
- van der Veen, S.; Abee, T. Contribution of Listeria monocytogenes RecA to acid and bile survival and invasion of human intestinal Caco-2 cells. Int. J. Med. Microbiol. 2011, 301, 334–340. [Google Scholar] [CrossRef]
- Vedyaykin, A.D.; Ponomareva, E.V.; Khodorkovskii, M.A.; Borchsenius, S.N.; Vishnyakov, I.E. Mechanisms of Bacterial Cell Division. Microbiology 2019, 88, 245–260. [Google Scholar] [CrossRef]
- Gardner, K.A.; Moore, D.A.; Erickson, H.P. The C-terminal linker of Escherichia coli FtsZ functions as an intrinsically disordered peptide. Mol. Microbiol. 2013, 89, 264–275. [Google Scholar] [CrossRef]
- Thoma, S.; Schobert, M. An improved Escherichia coli donor strain for diparental mating. FEMS Microbiol. Lett. 2009, 294, 127–132. [Google Scholar] [CrossRef] [PubMed]
- Demidyuk, I.V.; Kalashnikov, A.E.; Gromova, T.Y.; Gasanov, E.V.; Safina, D.R.; Zabolotskaya, M.V.; Rudenskaya, G.N.; Kostrov, S.V. Cloning, sequencing, expression, and characterization of protealysin, a novel neutral proteinase from Serratia proteamaculans representing a new group of thermolysin-like proteases with short N-terminal region of precursor. Protein Expr. Purif. 2006, 47, 551–561. [Google Scholar] [CrossRef] [PubMed]
- Gromova, T.Y.; Demidyuk, I.V.; Kozlovskiy, V.I.; Kuranova, I.P.; Kostrov, S.V. Processing of protealysin precursor. Biochimie 2009, 91, 639–645. [Google Scholar] [CrossRef] [PubMed]
- Edwards, R.A.; Keller, L.H.; Schifferli, D.M. Improved allelic exchange vectors and their use to analyze 987P fimbria gene expression. Gene 1998, 207, 149–157. [Google Scholar] [CrossRef]
- Hmelo, L.R.; Borlee, B.R.; Almblad, H.; Love, M.E.; Randall, T.E.; Tseng, B.S.; Lin, C.; Irie, Y.; Storek, K.M.; Yang, J.J.; et al. Precision-engineering the Pseudomonas aeruginosa genome with two-step allelic exchange. Nat. Protoc. 2015, 10, 1820–1841. [Google Scholar] [CrossRef]
- Lu, C.; Erickson, H.P. Purification and assembly of FtsZ. Methods Enzymol. 1998, 298, 305–313. [Google Scholar]
- Lusetti, S.L.; Wood, E.A.; Fleming, C.D.; Modica, M.J.; Korth, J.; Abbott, L.; Dwyer, D.W.; Roca, A.I.; Inman, R.B.; Cox, M.M. C-terminal deletions of the Escherichia coli RecA protein. Characterization of in vivo and in vitro effects. J. Biol. Chem. 2003, 278, 16372–16380. [Google Scholar] [CrossRef]
- Craig, N.L.; Roberts, J.W. Function of nucleoside triphosphate and polynucleotide in Escherichia coli recA protein-directed cleavage of phage lambda repressor. J. Biol. Chem. 1981, 256, 8039–8044. [Google Scholar] [CrossRef]
- Laemmli, U.K. Cleavage of structural proteins during the assembly of the head of bacteriophage T4. Nature 1970, 227, 680–685. [Google Scholar] [CrossRef]
- Spudich, J.A.; Watt, S. The regulation of rabbit skeletal muscle contraction. I. Biochemical studies of the interaction of the tropomyosin-troponin complex with actin and the proteolytic fragments of myosin. J. Biol. Chem. 1971, 246, 4866–4871. [Google Scholar] [CrossRef]
- Lindsley, J.E.; Cox, M.M. Assembly and disassembly of RecA protein filaments occur at opposite filament ends. Relationship to DNA strand exchange. J. Biol. Chem. 1990, 265, 9043–9054. [Google Scholar] [CrossRef]
- Baitin, D.M.; Bakhlanova, I.V.; Kil, Y.V.; Cox, M.M.; Lanzov, V.A. Distinguishing characteristics of hyperrecombinogenic RecA protein from Pseudomonas aeruginosa acting in Escherichia coli. J. Bacteriol. 2006, 188, 5812–5820. [Google Scholar] [CrossRef] [PubMed]




| Primer | Sequence * |
|---|---|
| pln_Aat | GACTGACGTCTTCTAGACGGCTTCGGCAGCGAA |
| m4in_Sac | AACTGAGCTCGCTGTCCTCTTCGGCCAAGTTGT |
| op_combD | CTATGCCGGATGAGTGAACACTTACA |
| op_combR | TTCACTCATCCGGCATAGTGGCTCTCC |
| m4in_Aat | GACTGACGTCTAGATTTACTTCCAGCAAGC |
| m4in_combD | TGGCATAAACACTTACAACGGCTGATAAC |
| m4in_combR | GTTGTAAGTGTTTATGCCACCCCCACCTGAT |
| op_exR | GATTATTGGTCTGGTGTGCG |
| op_exD | AACATATTCACCAGTTAGCCG |
| m4in_exD | AGGCTTTCAAACGCAACTCGC |
| op_inR | TTGGGCATCTATTTCTTACG |
| op_inD | ACGAACTGGGCTATGAGG |
| m4in_inD | ATGAATCGCTGTCTGACG |
Publisher’s Note: MDPI stays neutral with regard to jurisdictional claims in published maps and institutional affiliations. |
© 2022 by the authors. Licensee MDPI, Basel, Switzerland. This article is an open access article distributed under the terms and conditions of the Creative Commons Attribution (CC BY) license (https://creativecommons.org/licenses/by/4.0/).
Share and Cite
Tsaplina, O.; Khaitlina, S.; Chukhontseva, K.; Karaseva, M.; Demidyuk, I.; Bakhlanova, I.; Baitin, D.; Artamonova, T.; Vedyaykin, A.; Khodorkovskii, M.; et al. Protealysin Targets the Bacterial Housekeeping Proteins FtsZ and RecA. Int. J. Mol. Sci. 2022, 23, 10787. https://doi.org/10.3390/ijms231810787
Tsaplina O, Khaitlina S, Chukhontseva K, Karaseva M, Demidyuk I, Bakhlanova I, Baitin D, Artamonova T, Vedyaykin A, Khodorkovskii M, et al. Protealysin Targets the Bacterial Housekeeping Proteins FtsZ and RecA. International Journal of Molecular Sciences. 2022; 23(18):10787. https://doi.org/10.3390/ijms231810787
Chicago/Turabian StyleTsaplina, Olga, Sofia Khaitlina, Ksenia Chukhontseva, Maria Karaseva, Ilya Demidyuk, Irina Bakhlanova, Dmitry Baitin, Tatiana Artamonova, Alexey Vedyaykin, Mikhail Khodorkovskii, and et al. 2022. "Protealysin Targets the Bacterial Housekeeping Proteins FtsZ and RecA" International Journal of Molecular Sciences 23, no. 18: 10787. https://doi.org/10.3390/ijms231810787
APA StyleTsaplina, O., Khaitlina, S., Chukhontseva, K., Karaseva, M., Demidyuk, I., Bakhlanova, I., Baitin, D., Artamonova, T., Vedyaykin, A., Khodorkovskii, M., & Vishnyakov, I. (2022). Protealysin Targets the Bacterial Housekeeping Proteins FtsZ and RecA. International Journal of Molecular Sciences, 23(18), 10787. https://doi.org/10.3390/ijms231810787

