1,25-Dihydroxyvitamin D3 Negatively Regulates the Inflammatory Response to Porcine Epidemic Diarrhea Virus Infection by Inhibiting NF-κB and JAK/STAT Signaling Pathway in IPEC-J2 Porcine Epithelial Cells
Abstract
:1. Introduction
2. Results
2.1. PEDV Induced Proinflammatory Cytokine Expression and NF-κB Activation in IPEC-J2 Cells
2.2. 1,25(OH)2D3 Suppressed Proinflammatory Cytokine Expression and NF-κB Activation Induced by PEDV In Vitro
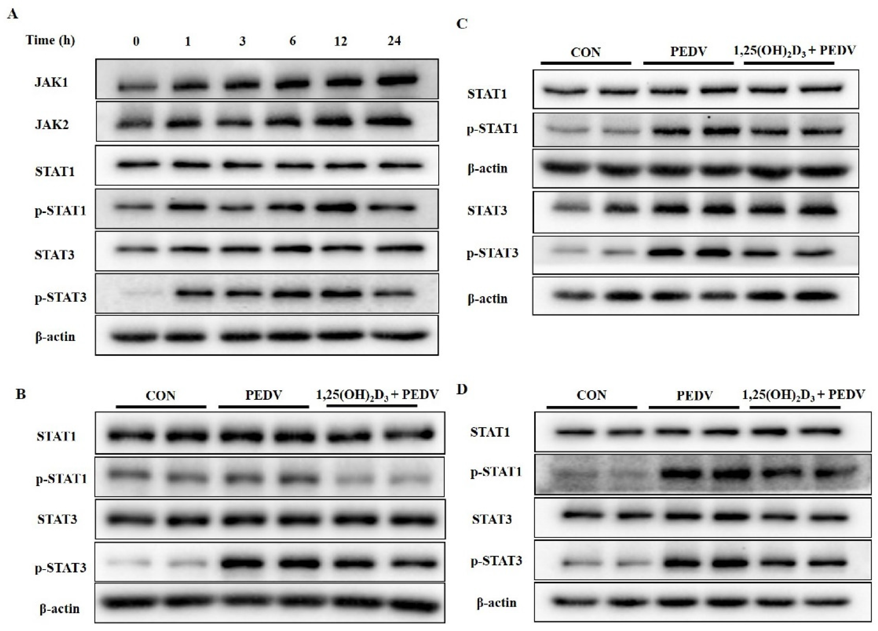
2.3. 1,25(OH)2D3 Suppressed JAK/STAT Activation Induced by PEDV in IEPC-J2 and 3D4/21 Cells
2.4. Effects of 1,25(OH)2D3 on Antiviral Effects
2.5. Effects of VDR on Anti-Inflammation of 1,25(OH)2D3
3. Discussion
4. Materials and Methods
4.1. Cells and Virus
4.2. RNA-Seq Data Analysis
4.3. Pharmacological Inhibitors
4.4. Plasmid Construction and Transfection
4.5. Poly(I:C) Transfection
4.6. IFN-α Treatment
4.7. RNA Interference
4.8. Western Blot Analysis
4.9. Quantitative Real-Time RT-PCR
4.10. Statistical Analyzation
Supplementary Materials
Author Contributions
Funding
Institutional Review Board Statement
Informed Consent Statement
Data Availability Statement
Conflicts of Interest
References
- Sun, R.Q.; Cai, R.J.; Chen, Y.Q.; Liang, P.S.; Chen, D.K.; Song, C.X. Outbreak of Porcine Epidemic Diarrhea in Suckling Piglets, China. Emerg. Infect. Dis. 2012, 18, 161–163. [Google Scholar] [CrossRef] [PubMed]
- Curry, S.M.; Schwartz, K.J.; Yoon, K.J.; Gabler, N.K.; Burrough, E.R. Effects of Porcine Epidemic Diarrhea Virus Infection on Nursery Pig Intestinal Function and Barrier Integrity. Vet. Microbiol. 2017, 211, 58–66. [Google Scholar] [CrossRef] [PubMed]
- Jung, K.; Eyerly, B.; Annamalai, T.; Lu, Z.; Saif, L.J. Structural Alteration of Tight and Adherens Junctions in Villous and Crypt Epithelium of the Small and Large Intestine of Conventional Nursing Piglets Infected with Porcine Epidemic Diarrhea Virus. Vet. Microbiol. 2015, 177, 373–378. [Google Scholar] [CrossRef] [PubMed]
- Madson, D.M.; Magstadt, D.R.; Arruda, P.H.; Hoang, H.; Sun, D.; Bower, L.P.; Bhandari, M.; Burrough, E.R.; Gauger, P.C.; Pillatzki, A.E.; et al. Pathogenesis of Porcine Epidemic Diarrhea Virus Isolate (Us/Iowa/18984/2013) in 3-Week-Old Weaned Pigs. Vet. Microbiol. 2014, 174, 60–68. [Google Scholar] [CrossRef] [PubMed]
- Wang, S.; Wu, J.; Wang, F.; Wang, H.; Wu, Z.; Wu, S.; Bao, W. Expression Pattern Analysis of Antiviral Genes and Inflammatory Cytokines in PEDV-Infected Porcine Intestinal Epithelial Cells. Front. Vet. Sci. 2020, 7, 75. [Google Scholar] [CrossRef] [PubMed]
- Jung, K.; Miyazaki, A.; Saif, L.J. Immunohistochemical Detection of the Vomiting-Inducing Monoamine Neurotransmitter Serotonin and Enterochromaffin Cells in the Intestines of Conventional or Gnotobiotic (Gn) Pigs Infected with Porcine Epidemic Diarrhea Virus (PEDV) and Serum Cytokine Responses of Gn Pigs to Acute PEDV Infection. Res. Vet. Sci. 2018, 119, 99–108. [Google Scholar] [CrossRef]
- Cao, L.; Ge, X.; Gao, Y.; Ren, Y.; Ren, X.; Li, G. Porcine Epidemic Diarrhea Virus Infection Induces NF-κB Activation through the TLR2, TLR3 and TLR9 Pathways in Porcine Intestinal Epithelial Cells. J. Gen. Virol. 2015, 96, 1757–1767. [Google Scholar] [CrossRef]
- Gao, R.; Zhang, Y.; Kang, Y.; Xu, W.; Jiang, L.; Guo, T.; Huan, C. Glycyrrhizin Inhibits PEDV Infection and Proinflammatory Cytokine Secretion via the HMGB1/TLR4-MAPK p38 Pathway. Int. J. Mol. Sci. 2020, 21, 2961. [Google Scholar] [CrossRef]
- Campbell, G.R.; Spector, S.A. Hormonally Active Vitamin D3 (1alpha,25-Dihydroxycholecalciferol) Triggers Autophagy in Human Macrophages That Inhibits HIV-1 Infection. J. Biol. Chem. 2011, 286, 18890–18902. [Google Scholar] [CrossRef]
- Gal-Tanamy, M.; Bachmetov, L.; Ravid, A.; Koren, R.; Erman, A.; Tur-Kaspa, R.; Zemel, R. Vitamin D: An Innate Antiviral Agent Suppressing Hepatitis C Virus in Human Hepatocytes. Hepatology 2011, 54, 1570–1579. [Google Scholar] [CrossRef]
- Martínez-Moreno, J.; Hernandez, J.C.; Urcuqui-Inchima, S. Effect of High Doses of Vitamin D Supplementation on Dengue Virus Replication, Toll-Like Receptor Expression, and Cytokine Profiles on Dendritic Cells. Mol. Cell. Biochem. 2020, 464, 169–180. [Google Scholar] [CrossRef]
- Anderson, J.; Do, L.A.H.; Toh, Z.Q.; Hoe, E.; Reitsma, A.; Mulholland, K.; Licciardi, P.V. Vitamin D Induces Differential Effects on Inflammatory Responses During Bacterial and/or Viral Stimulation of Human Peripheral Blood Mononuclear Cells. Front. Immunol. 2020, 11, 602. [Google Scholar] [CrossRef]
- Khare, D.; Godbole, N.M.; Pawar, S.D.; Mohan, V.; Pandey, G.; Gupta, S.; Kumar, D.; Dhole, T.N.; Godbole, M.M. Calcitriol [1,25[OH]2D3] Pre- and Post-treament Suppresses Inflammatory Response to Influenza A (H1N1) Infection in Human Lung A549 Epithelial Cells. Eur. J. Nutr. 2013, 52, 1405–1415. [Google Scholar] [CrossRef]
- Hansdottir, S.; Monick, M.M.; Lovan, N.; Powers, L.; Gerke, A.; Hunninghake, G.W. Vitamin D Decreases Respiratory Syncytial Virus Induction of NF-Kappab-Linked Chemokines and Cytokines in Airway Epithelium While Maintaining the Antiviral State. J. Immunol. 2010, 184, 965–974. [Google Scholar] [CrossRef]
- Yang, J.; Tian, G.; Chen, D.; Zheng, P.; Yu, J.; Mao, X. Dietary 25-Hydroxyvitamin D3 Supplementation Alleviates Porcine Epidemic Diarrhea Virus Infection by Improving Intestinal Structure and Immune Response in Weaned Pigs. Animals 2019, 9, 627. [Google Scholar] [CrossRef]
- Rajsbaum, R.; García-Sastre, A. Viral Evasion Mechanisms of Early Antiviral Responses Involving Regulation of Ubiquitin Pathways. Trends Microbiol. 2013, 21, 421–429. [Google Scholar] [CrossRef]
- Stark, G.R.; Darnell, J.E., Jr. The JAK-STAT Pathway at Twenty. Immunity 2012, 36, 503–514. [Google Scholar] [CrossRef]
- Stoppelenburg, A.J.; von Hegedus, J.H.; Huis in’t Veld, R.; Bont, L.; Boes, M. Defective Control of Vitamin D Receptor-Mediated Epithelial STAT1 Signalling Predisposes to Severe Respiratory Syncytial Virus Bronchiolitis. J. Pathol. 2014, 232, 57–64. [Google Scholar] [CrossRef]
- Murray, P.J. The JAK-STAT Signaling Pathway: Input and Output Integration. J. Immunol. 2007, 178, 2623–2629. [Google Scholar] [CrossRef]
- Shuai, K.; Liu, B. Regulation of JAK-STAT Signalling in the Immune System. Nat. Rev. Immunol. 2003, 3, 900–911. [Google Scholar] [CrossRef]
- Yang, J.; Tian, G.; Chen, D.; Mao, X.; He, J.; Zheng, P.; Yu, J.; Luo, Y.; Luo, J.; Huang, Z.; et al. 1,25-Dihydroxyvitamin D3 Inhibits Porcine Epidemic Diarrhea Virus Replication by Regulating Cell Cycle Resumption in IPEC-J2 Porcine Epithelial Cells. Microb. Pathog. 2021, 158, 105017. [Google Scholar] [CrossRef]
- Madson, D.M.; Arruda, P.H.E.; Magstadt, D.R.; Burrough, E.R.; Hoang, H.; Sun, D.; Bower, L.P.; Bhandari, M.; Gauger, P.C.; Stevenson, G.W.; et al. Characterization of Porcine Epidemic Diarrhea Virus Isolate US/Iowa/18984/2013 Infection in 1-Day-Old Cesarean-Derived Colostrum-Deprived Piglets. Vet. Pathol. 2016, 53, 44–52. [Google Scholar] [CrossRef]
- Hu, C.H.; Xiao, K.; Luan, Z.S.; Song, J. Early Weaning Increases Intestinal Permeability, Alters Expression of Cytokine and Tight Junction Proteins, and Activates Mitogen-Activated Protein Kinases in Pigs. J. Anim. Sci. 2013, 91, 1094–1101. [Google Scholar] [CrossRef]
- Liu, Y.; Chen, F.; Odle, J.; Lin, X.; Jacobi, S.K.; Zhu, H.; Wu, Z.; Hou, Y. Fish Oil Enhances Intestinal Integrity and Inhibits TLR4 and NOD2 Signaling Pathways in Weaned Pigs after LPS Challenge. J. Nutr. 2012, 142, 2017–2024. [Google Scholar] [CrossRef] [PubMed]
- Huang, K.-Y.; Hsu, Y.-H.; Chen, W.-Y.; Tsai, H.-L.; Yan, J.-J.; Wang, J.-D.; Liu, W.-L.; Lin, R.-M. The Roles of IL-19 and IL-20 in the Inflammation of Degenerative Lumbar Spondylolisthesis. J. Inflamm. 2018, 15, 19. [Google Scholar] [CrossRef] [PubMed]
- Liao, Y.C.; Liang, W.G.; Chen, F.W.; Hsu, J.H.; Yang, J.J.; Chang, M.S. IL-19 Induces Production of IL-6 and TNF-Alpha and Results in Cell Apoptosis through TNF-Alpha. J. Immunol. 2002, 169, 4288–4297. [Google Scholar] [CrossRef] [PubMed]
- Larsen, J.M. The Immune Response to Prevotella Bacteria in Chronic Inflammatory Disease. Immunology 2017, 151, 363–374. [Google Scholar] [CrossRef] [PubMed]
- Christakos, S.; Dhawan, P.; Verstuyf, A.; Verlinden, L.; Carmeliet, G. Vitamin D: Metabolism, Molecular Mechanism of Action, and Pleiotropic Effects. Physiol. Rev. 2016, 96, 365–408. [Google Scholar] [CrossRef]
- Schottelius, A.J.; Baldwin, A.S., Jr. A Role for Transcription Factor NF-Kappa B in Intestinal Inflammation. Int. J. Color. Dis. 1999, 14, 18–28. [Google Scholar] [CrossRef]
- Mercurio, F.; Zhu, H.; Murray, B.W.; Shevchenko, A.; Bennett, B.L.; Li, J.W.; Young, D.B.; Barbosa, M.; Mann, M.; Manning, A.; et al. Ikk-1 and Ikk-2: Cytokine-Activated Ikappab Kinases Essential for NF-Kappab Activation. Science 1997, 278, 860–866. [Google Scholar] [CrossRef]
- Blackwell, T.S.; Christman, J.W. The Role of Nuclear Factor-Kappa B in Cytokine Gene Regulation. Am. J. Respir. Cell Mol. Biol. 1997, 17, 3–9. [Google Scholar] [CrossRef]
- Riis, J.L.; Johansen, C.; Gesser, B.; Larsen, C.G.; Kragballe, K.; Iversen, L. 1alpha,25(OH)2D3 Regulates NF-Kappab DNA Binding Activity in Cultured Normal Human Keratinocytes through an Increase in Ikappabalpha Expression. Arch. Dermatol. Res. 2004, 296, 195–202. [Google Scholar] [CrossRef]
- Chen, Y.; Zhang, J.; Ge, X.; Du, J.; Deb, D.K.; Li, Y.C. Vitamin D Receptor Inhibits Nuclear Factor κB Activation by Interacting with IκB Kinase β Protein. J. Biol. Chem. 2013, 288, 19450–19458. [Google Scholar] [CrossRef]
- Choi, W.-H.; Ji, K.-A.; Jeon, S.-B.; Yang, M.-S.; Kim, H.; Min, K.-J.; Shong, M.; Jou, I.; Joe, E.-H. Anti-Inflammatory Roles of Retinoic Acid in Rat Brain Astrocytes: Suppression of Interferon-Gamma-Induced JAK/STAT Phosphorylation. Biochem. Biophys. Res. Commun. 2005, 329, 125–131. [Google Scholar] [CrossRef]
- Ivanenkov, Y.A.; Balakin, K.V.; Lavrovsky, Y. Small Molecule Inhibitors of NF-κB and JAK/STAT Signal Transduction Pathways as Promising Anti-Inflammatory Therapeutics. Mini Rev. Med. Chem. 2011, 11, 55–78. [Google Scholar] [CrossRef]
- Wang, X.; Liu, Q.; Ihsan, A.; Huang, L.; Dai, M.; Hao, H.; Cheng, G.; Liu, Z.; Wang, Y.; Yuan, Z. JAK/STAT Pathway Plays a Critical Role in the Proinflammatory Gene Expression and Apoptosis of Raw264.7 Cells Induced by Trichothecenes as Don and T-2 Toxin. Toxicol. Sci. 2012, 127, 412–424. [Google Scholar] [CrossRef]
- Zhang, S.; Huo, C.; Xiao, J.; Fan, T.; Zou, S.; Qi, P.; Sun, L.; Wang, M.; Hu, Y. P-STAT1 Regulates the Influenza a Virus Replication and Inflammatory Response in Vitro and Vivo. Virology 2019, 537, 110–120. [Google Scholar] [CrossRef]
- Boontanrart, M.; Hall, S.D.; Spanier, J.A.; Hayes, C.E.; Olson, J.K. Vitamin D3 Alters Microglia Immune Activation by an IL-10 Dependent SOCS3 Mechanism. J. Neuroimmunol. 2016, 292, 126–136. [Google Scholar] [CrossRef]
- Chen, Y.; Liu, W.; Sun, T.; Huang, Y.; Wang, Y.; Deb, D.K.; Yoon, D.; Kong, J.; Thadhani, R.; Li, Y.C. 1,25-Dihydroxyvitamin D Promotes Negative Feedback Regulation of TLR Signaling Via Targeting MicroRNA-155-SOCS1 in Macrophages. J. Immunol. 2013, 190, 3687–3695. [Google Scholar] [CrossRef]
- Hogan, R.J.; Gao, G.; Rowe, T.; Bell, P.; Flieder, D.; Paragas, J.; Kobinger, G.P.; Wivel, N.A.; Crystal, R.G.; Boyer, J.; et al. Resolution of Primary Severe Acute Respiratory Syndrome-Associated Coronavirus Infection Requires STAT1. J. Virol. 2004, 78, 11416–11421. [Google Scholar] [CrossRef] [Green Version]
- Germain, M.-A.; Chatel-Chaix, L.; Gagné, B.; Bonneil, É.; Thibault, P.; Pradezynski, F.; de Chassey, B.; Meyniel-Schicklin, L.; Lotteau, V.; Baril, M.; et al. Elucidating Novel Hepatitis C Virus-Host Interactions Using Combined Mass Spectrometry and Functional Genomics Approaches. Mol. Cell. Proteom. 2014, 13, 184–203. [Google Scholar] [CrossRef] [PubMed]
- Baker, A.R.; McDonnell, D.P.; Hughes, M.; Crisp, T.M.; Mangelsdorf, D.J.; Haussler, M.R.; Pike, J.W.; Shine, J.; O’Malley, B.W. Cloning and Expression of Full-Length Cdna Encoding Human Vitamin D Receptor. Proc. Natl. Acad. Sci. USA 1988, 85, 3294–3298. [Google Scholar] [CrossRef] [PubMed]
- John, H.W. Vitamin D Metabolism and Signaling in The Immune System. Rev. Endocr. Metab. Disord. 2012, 13, 21–29. [Google Scholar] [CrossRef]
- Mihnea, T.Z.; Heidi, M.; Cristina, B.; Andy, B.; Sebastian, L.J.; Luminita, A.S. Vitamin D modulation of innate immune responses to respiratory viral infections. Rev. Med. Virol. 2017, 27, e1909. [Google Scholar] [CrossRef]
- Liu, W.; Chen, Y.; Golan, M.A.; Annunziata, M.L.; Du, J.; Dougherty, U.; Kong, J.; Musch, M.; Huang, Y.; Pekow, J.; et al. Intestinal Epithelial Vitamin D Receptor Signaling Inhibits Experimental Colitis. J. Clin. Investig. 2013, 123, 3983–3996. [Google Scholar] [CrossRef] [Green Version]










| Gene ID | log2 Fold Change | p-Value | Padj | Gene Name |
|---|---|---|---|---|
| ENSSSCG00000015653 | 6.72 | 3.93 × 10−10 | 5.23 × 10−9 | IL-19 |
| ENSSSCG00000016254 | 1.21 | 8.75 × 10−39 | 1.22 × 10−36 | CCL20 |
| RNA | Sense Strand Sequence (5′-3′) |
|---|---|
| VDR siRNA | Sense: CCACCGGCUUCCAUUUCAATT |
| Antisense: UUGAAAUGGAAGCCGGUGGTT | |
| Control siRNA | Sense: UUCUCCGAACGUGUCACGUTT |
| Antisense: ACGUGACACGUUCGGAGAATT |
| Gene | Primer Sequences (5′-3′) | Product Length (bp) | GeneBank Accession No. |
|---|---|---|---|
| IL-19 | F: TCTCTGTCTCCTGGGTACGA | 143 | XM003130464.3 |
| R: GCATGGTGTCCTTAGCTTGG | |||
| CCL20 | F: CTGCTCTACCTCTGCAGCAA | 107 | NM001024589.1 |
| R: TGCTGTGTGAAGCCCATGAT | |||
| IL-8 | F: AGTTTTCCTGCTTTCTGCAGCT | 72 | NM_213867.1 |
| R: TGGCATCGAAGTTCTGCACT | |||
| MxA | F: GCATCACCAGGGTAGCTGTA | 195 | NM_214061.2 |
| R: AGATCCCGATGGTCCTGTCT | |||
| ICAM-1 | F: GAGCTGTTCAGGCAGTCAGT | 108 | NM_213816.1 |
| R: CAGCTCAGTGCGACAAGAGA | |||
| IκBα | F: TGTTGGTGTCTTTGGGTGCT | 128 | NM_001005150.1 |
| R: GACATCAGCCCCACACTTCA | |||
| SOCS3 | F: GAAAACAGTCAACGGCCACC | 95 | NM_001123196.1 |
| R: AAAGTGGGGCATCGTACTGG | |||
| ISG15 | F: TGCAAAGCTTCAGAGACCCA | 145 | NM_001128469.3 |
| R: CAGAACTGGTCAGCTTGCAC | |||
| PEDV-N | F: AGATCGCCAGTTTAGCACC | 66 | JX_406145.1 |
| R: GCTCACGAACAGCCACATTA | |||
| GAPDH | F: TCGCCATCAATGACCCCTTC | 174 | NM001206359.1 |
| R: CACCCCATTTGATGTTGGCG |
Publisher’s Note: MDPI stays neutral with regard to jurisdictional claims in published maps and institutional affiliations. |
© 2022 by the authors. Licensee MDPI, Basel, Switzerland. This article is an open access article distributed under the terms and conditions of the Creative Commons Attribution (CC BY) license (https://creativecommons.org/licenses/by/4.0/).
Share and Cite
Yang, J.; Chen, D.; Tian, G.; Mao, X.; He, J.; Zheng, P.; Yu, J.; Luo, Y.; Luo, J.; Huang, Z.; et al. 1,25-Dihydroxyvitamin D3 Negatively Regulates the Inflammatory Response to Porcine Epidemic Diarrhea Virus Infection by Inhibiting NF-κB and JAK/STAT Signaling Pathway in IPEC-J2 Porcine Epithelial Cells. Int. J. Mol. Sci. 2022, 23, 10603. https://doi.org/10.3390/ijms231810603
Yang J, Chen D, Tian G, Mao X, He J, Zheng P, Yu J, Luo Y, Luo J, Huang Z, et al. 1,25-Dihydroxyvitamin D3 Negatively Regulates the Inflammatory Response to Porcine Epidemic Diarrhea Virus Infection by Inhibiting NF-κB and JAK/STAT Signaling Pathway in IPEC-J2 Porcine Epithelial Cells. International Journal of Molecular Sciences. 2022; 23(18):10603. https://doi.org/10.3390/ijms231810603
Chicago/Turabian StyleYang, Jiwen, Daiwen Chen, Gang Tian, Xiangbing Mao, Jun He, Ping Zheng, Jie Yu, Yuheng Luo, Junqiu Luo, Zhiqing Huang, and et al. 2022. "1,25-Dihydroxyvitamin D3 Negatively Regulates the Inflammatory Response to Porcine Epidemic Diarrhea Virus Infection by Inhibiting NF-κB and JAK/STAT Signaling Pathway in IPEC-J2 Porcine Epithelial Cells" International Journal of Molecular Sciences 23, no. 18: 10603. https://doi.org/10.3390/ijms231810603
APA StyleYang, J., Chen, D., Tian, G., Mao, X., He, J., Zheng, P., Yu, J., Luo, Y., Luo, J., Huang, Z., Wu, A., Yan, H., & Yu, B. (2022). 1,25-Dihydroxyvitamin D3 Negatively Regulates the Inflammatory Response to Porcine Epidemic Diarrhea Virus Infection by Inhibiting NF-κB and JAK/STAT Signaling Pathway in IPEC-J2 Porcine Epithelial Cells. International Journal of Molecular Sciences, 23(18), 10603. https://doi.org/10.3390/ijms231810603

