The Mechanism of Lipopolysaccharide’s Effect on Secretion of Endometrial Mucins in Female Mice during Pregnancy
Abstract
:1. Introduction
2. Results
2.1. Effect of LPS on the Level of Endometrial Mucins in Mice
2.2. Effect of LPS on MUC2 and MUC4 Expression in the Endometria of Mice during the Pregnancy and Childbirth Periods
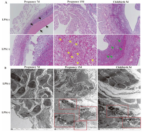
2.3. Effect of LPS on Histomorphology and Ultrastructure of the Uterus in Mice
2.4. Effect of LPS on Tight Junction Protein of Endometrial Epithelial Cells
2.5. Effect of LPS on Reproductive Performance of Mice
2.6. Effect of LPS on PI3K/AKT/NF-κB Signaling Pathway in the Pregnancy Period
3. Discussion
4. Materials and Methods
4.1. Animal and Sample Collection
4.2. Periodic Acid–Schiff Stain (PAS Stain)
4.3. Immunohistochemistry
4.4. Transmission Electron Microscopy (TEM) Analysis
4.5. qPCR
4.6. Western Blot (WB)
4.7. Statistical Analysis
5. Conclusions
Author Contributions
Funding
Institutional Review Board Statement
Informed Consent Statement
Data Availability Statement
Conflicts of Interest
References
- Bode, C.; Diedrich, B.; Muenster, S.; Hentschel, V.; Weisheit, C.; Rommelsheim, K.; Hoeft, A.; Meyer, R.; Boehm, O.; Knufermann, P.; et al. Antibiotics regulate the immune response in both presence and absence of lipopolysaccharide through modulation of Toll-like receptors, cytokine production and phagocytosis in vitro. Int. Immunopharmacol. 2014, 18, 27–34. [Google Scholar] [CrossRef]
- Raetz, C.R.; Whitfield, C. Lipopolysaccharide endotoxins. Annu. Rev. Biochem. 2002, 71, 635–700. [Google Scholar] [CrossRef]
- Klein, G.; Müller-Loennies, S.; Lindner, B.; Kobylak, N.; Brade, H.; Raina, S. Molecular and structural basis of inner core lipopolysaccharide alterations in Escherichia coli: Incorporation of glucuronic acid and phosphoethanolamine in the heptose region. J. Biol. Chem. 2013, 288, 8111–8127. [Google Scholar] [CrossRef]
- Fba, D.P. Endotoxin removal from protein solutions. J. Biotechnol. 2000, 76, 97–119. [Google Scholar]
- Herbert, B.; Michael, H. Targeting bacterial endotoxin: Two sides of a coin. Ann. N. Y. Acad. Sci. 2007, 1096, 1–17. [Google Scholar]
- Zhang, M.M.; An, L.Y.; Hu, W.X.; Li, Z.Y.; Qiang, Y.Y.; Zhao, B.Y.; Han, T.S.; Wu, C.C. Mechanism of endometrial MUC2 in reproductive performance in mice through PI3K/AKT signaling pathway after lipopolysaccharide treatment. Ecotoxicol. Environ. Saf. 2022, 231, 113–177. [Google Scholar] [CrossRef] [PubMed]
- Kim, Y.D.; Jeon, J.Y.; Woo, H.J.; Lee, J.C.; Chung, J.H.; Song, S.Y.; Yoon, S.K.; Baek, S.H. Interleukin-1β Induces MUC2 Gene Expression and Mucin Secretion via Activation of PKC-MEK/ERK, and PI3K in Human Airway Epithelial Cells. J. Korean Med. Sci. 2002, 17, 765–771. [Google Scholar] [CrossRef] [PubMed]
- Dickinson, J.D.; Sweeter, J.M.; Staab, E.B.; Nelson, A.J.; Bailey, K.L.; Warren, K.J.; Jaramillo, A.M.; Dickey, B.F.; Poole, J.A. MyD88 controls airway epithelial Muc5ac expression during TLR activation conditions from agricultural organic dust exposure. Am. J. Physiol. Lung Cell. Mol. Physiol. 2019, 316, L334–L347. [Google Scholar] [CrossRef] [PubMed]
- Davis, C.W.; Dickey, B.F. Regulated airway goblet cell mucin secretion. Annu. Rev. Physiol. 2008, 70, 487–512. [Google Scholar] [CrossRef]
- Theodoropoulos, G.; Carraway, K.L. Molecular Signaling in the Regulation of Mucins. J. Cell. Biochem. 2007, 102, 1103–1116. [Google Scholar] [CrossRef]
- Cullen, P.J. Post-Translational Regulation of Signaling Mucins. Curr. Opin. Struct. Biol. 2011, 21, 590–596. [Google Scholar] [CrossRef] [PubMed]
- Bafna, S.; Kaur, S.; Batra, S.K. Membrane-bound mucins: The mechanistic basis for alterations in the growth and survival of cancer cells. Oncogene 2010, 29, 2893–2904. [Google Scholar] [CrossRef] [Green Version]
- Hu, W.; Feng, P.; Zhang, M.; Tian, T.; Wang, S.; Zhao, B.; Li, Y.; Wang, S.; Wu, C. Endotoxins Induced ECM-Receptor Interaction Pathway Signal Effect on the Function of MUC2 in Caco2/HT29 Co-Culture Cells. Front. Immunol. 2022, 6, 389–396. [Google Scholar] [CrossRef] [PubMed]
- Imoto, M.; Yoshimura, H.; Shimamoto, T.; Sakaguchi, N.; Kusumoto, S.; Shiba, T. Total Synthesis of Escherichia coli Lipid A, the Endotoxically Active Principle of Cell-Surface Lipopolysaccharide. Bull. Chem. Soc. Jpn. 1987, 26, 1545–1548. [Google Scholar] [CrossRef]
- Morriss, M.C.; Gilliam, E.A.; Li, L. Innate Immune Programing by Endotoxin and Its Pathological Consequences. Front. Immunol. 2015, 5, 680. [Google Scholar] [CrossRef] [PubMed]
- Pupo, E.; Lindner, B.; Brade, H.; Schromm, A. Intact rough- and smooth-form lipopolysaccharides from Escherichia coli separated by preparative gel electrophoresis exhibit differential biologic activity in human macrophages. FEBS J. 2012, 280, 1095–1111. [Google Scholar] [CrossRef]
- Yan, D.; Qiang, Y.; Tian, T.; Lu, D.; Wu, C. The effect of endotoxin on the intestinal mucus layer in non- and post- pregnancy mice. Front. Vet. Sci. 2022, 2, 10–15. [Google Scholar] [CrossRef]
- Han, L.; Taub, R.; Jensen, J.T. Cervical mucus and contraception:what we know and what we don’t. Contraception 2017, 96, 310–321. [Google Scholar] [CrossRef] [PubMed]
- Blaskewicz, C.D.; Pudney, J.; Anderson, D.J. Structure and function of intercellular junctions in human cervical and vaginal mucosal epithelia. Biol. Reprod. 2011, 85, 97–104. [Google Scholar] [CrossRef]
- De Tomasi, J.B.; Opata, M.M.; Mowa, C.N. Immunity in the Cervix: Interphase between Immune and Cervical Epithelial Cells. J. Immunol. Res. 2019, 10, 183–196. [Google Scholar] [CrossRef]
- Lee, S.K.; Kim, C.J.; Kim, D.J.; Kang, J.H. Immune cells in the female reproductive tract. Immune Netw. 2015, 15, 16–26. [Google Scholar] [CrossRef] [PubMed]
- Wira, C.R.; Rodriguez-Garcia, M.; Patel, M.V. The role of sex hormones in immune protection of the female reproductive tract. Nat. Rev. Immunol. 2015, 4, 217–230. [Google Scholar] [CrossRef]
- Zhou, J.Z.; Way, S.S.; Chen, K. Immunology of uterine and vaginal mucosae. Trends Immunol. 2018, 39, 302–314. [Google Scholar] [CrossRef] [PubMed]
- Agstinis, C.; Mangogna, A.; Bossi, F.; Ricci, G.; Kishore, U.; Bulla, R. Uterine Immunity and Microbiota: A shifting Paradigm. Front. Immunol. 2019, 17, 338–349. [Google Scholar] [CrossRef]
- Bazzoni, G.; Martınez-Estrada, O.M.; Orsenigo, F.; Cordenonsi, M.; Citi, S.; Dejana, E. Interaction of junctional adhesion molecule with the tight junction components ZO-1, cingulin, and occludin. J. Biol. Chem. 2000, 275, 20520–20526. [Google Scholar] [CrossRef] [PubMed]
- Furuse, M.; Sasaki, H.; Fujimoto, K.; Tsukita, S. A single gene product, claudin-1 or-2, reconstitutes tight junction strands and recruits occludin in fibroblasts. J. Cell Biol. 1998, 143, 391–401. [Google Scholar] [CrossRef] [PubMed]
- Furuse, M.; Tsukita, S. Claudins in occluding junctions of humans and flies. Trends Cell Biol. 2006, 16, 181–188. [Google Scholar] [CrossRef]
- Hirase, T.; Staddon, J.M.; Saitou, M.; Ando-Akatsuka, Y.; Itoh, M.; Furuse, M.; Fujimoto, K.; Tsukita, S.; Rubin, L.L. Occludin as a possible determinant of tight junction permeability in endothelial cells. J. Cell Sci. 1997, 110, 1603–1613. [Google Scholar] [CrossRef]
- Krause, G.; Winkler, L.; Mueller, S.L.; Haseloff, R.F.; Piontek, J.; Blasig, I.E. Structure and function of claudins. Biochim. Biophys. Acta (BBA)-Biomembr. 2008, 1778, 631–645. [Google Scholar] [CrossRef]
- Dickinson, J.D.; Alevy, Y.; Malvin, N.P.; Patel, K.K.; Gunsten, S.P.; Holtzman, M.J.; Stappenbeck, T.S.; Brody, S.L. IL13 activates autophagy to regulate secretion in airway epithelial cells. Autophagy 2016, 12, 397–409. [Google Scholar] [CrossRef]
- Zhu, Y.; Abdullah, L.H.; Doyle, S.P.; Nguyen, K.; Ribeiro, C.M.; Vasquez, P.A.; Forest, M.G.; Lethem, M.I.; Dickey, B.F.; Davis, C.W. Baseline goblet cell mucin secretion in the airways exceeds stimulated secretion over extended time periods, and is sensitive to shear stress and intracellular mucin stores. PLoS ONE 2015, 10, e0127267. [Google Scholar] [CrossRef] [PubMed]
- Li, D.; Shatos, M.A.; Hodges, R.R.; Dartt, D.A. Role of PKCa Activation of Src, PI-3K/AKT, and ERK in EGF Stimulated Proliferation of Rat and Human Conjunctival Goblet Cells. Investig. Ophthalmol. Vis. Sci. 2013, 54, 5661–5674. [Google Scholar] [CrossRef] [PubMed]
- Aksamitiene, E.; Kiyatkin, A.; Kholodenko, B.N. Cross-talk between mitogenic Ras/MAPK and survival PI3K/Akt pathways: A fine balance. Biochem. Soc. Trans. 2012, 40, 139–146. [Google Scholar] [CrossRef] [PubMed]
- Mahajan, K.; Mahajan, N.P. PI3K-independent AKT activation in cancers: A treasure trove for novel therapeutics. J. Cell. Physiol. 2012, 227, 3178–3184. [Google Scholar] [CrossRef] [PubMed]
- Dartt, D.A.; Hodges, R.R.; Li, D.; Shatos, M.A.; Lashkari, K.; Serhan, C.N. Conjunctival goblet cell secretion stimulated by leukotrienes is reduced by resolvins D1 and E1 to promote resolution of inflammation. J. Immunol. 2011, 186, 4455–4466. [Google Scholar] [CrossRef]
- Burgel, P.R.; Nadel, J.A. Roles of epidermal growth factor receptor activation in epithelial cell repair and mucin production in airway epithelium. Thorax 2004, 59, 992–996. [Google Scholar] [CrossRef]
- Chu, H.W.; Balzar, S.; Seedorf, G.J.; Westcott, J.Y.; Trudeau, J.B.; Silkoff, P.; Wenzel, S.E. Transforming growth factorbeta2 induces bronchial epithelial mucin expression in asthma. Am. J. Pathol. 2004, 165, 1097–1106. [Google Scholar] [CrossRef]
- Ha, U.; Lim, J.H.; Jono, H.; Koga, T.; Srivastava, A.; Malley, R.; Pages, G.; Pouyssegur, J.; Li, J.D. A novel role for IkappaB kinase (IKK) alpha and IKKbeta in ERKdependent up-regulation of MUC5AC mucin transcription by Streptococcus pneumoniae. J. Immunol. 2007, 178, 1736–1747. [Google Scholar] [CrossRef] [Green Version]









| Gene | Primer | Sequences | Product Size (bp) |
|---|---|---|---|
| PI3K | FP | GACCAATACTTGATGTGGCTGAC | 190 |
| RP | TCCCTCGCAATAGGTTCTCC | ||
| AKT | FP | CTCTAGGCATCCCTTCCTTACG | 166 |
| RP | AGACACAATCTCCGCACCATAG | ||
| PDK1 | FP | TTTGAGACCATCACTTGGGAGA | 174 |
| RP | CGTAGACAGGGAGTGGGAAGAG | ||
| TAK1 | FP | GCTCATTCATGGACATTGCTTC | 133 |
| RP | CTCTGTTGCTTTGCCTGGTTT | ||
| IKKα | FP | GCAGAGTCAGGACCGTGTT | 192 |
| RP | CAGGCAATTTTAAGGAGGTG | ||
| IKKβ | FP | TTCGCTACCCTTCCCCAATA | 83 |
| RP | GGTGCCACATAAGCATCAGC | ||
| IκBα | FP | ATGGAAGTCATTGGTCAGGTG | 185 |
| RP | CAGGCAAGATGTAGAGGGGTAT | ||
| NF-κB p50 | FP | TCAAAATTTGCAACTATGTGGGG | 166 |
| RP | AGGTTTGCAAAGCCAACCAC | ||
| NF-κB p65 | FP | AAGGACCTATGAGACCTTCAAGAG | 115 |
| RP | GACAGAAGTTGAGTTTCGGGTAG | ||
| IL-1β | FP | AAATCTCGCAGCAGCACAT | 115 |
| RP | TCCTCATCCTGGAAGGTCC | ||
| IL-6 | FP | GACAAAGCCAGAGTCCTTCAGA | 76 |
| RP | TGTGACTCCAGCTTATCTCTTGG | ||
| TNF-α | FP | GATCGGTCCCCAAAGGGATG | 92 |
| RP | CCACTTGGTGGTTTGTGAGTG | ||
| GAPDH | FP | CCCTTAAGAGGGATGCTGCC | 124 |
| RP | TACGGCCAAATCCGTTCACA |
Publisher’s Note: MDPI stays neutral with regard to jurisdictional claims in published maps and institutional affiliations. |
© 2022 by the authors. Licensee MDPI, Basel, Switzerland. This article is an open access article distributed under the terms and conditions of the Creative Commons Attribution (CC BY) license (https://creativecommons.org/licenses/by/4.0/).
Share and Cite
Lu, D.; Hu, W.; Tian, T.; Wang, M.; Zhou, M.; Wu, C. The Mechanism of Lipopolysaccharide’s Effect on Secretion of Endometrial Mucins in Female Mice during Pregnancy. Int. J. Mol. Sci. 2022, 23, 9972. https://doi.org/10.3390/ijms23179972
Lu D, Hu W, Tian T, Wang M, Zhou M, Wu C. The Mechanism of Lipopolysaccharide’s Effect on Secretion of Endometrial Mucins in Female Mice during Pregnancy. International Journal of Molecular Sciences. 2022; 23(17):9972. https://doi.org/10.3390/ijms23179972
Chicago/Turabian StyleLu, Dezhang, Wenxiang Hu, Tian Tian, Mengran Wang, Mengru Zhou, and Chenchen Wu. 2022. "The Mechanism of Lipopolysaccharide’s Effect on Secretion of Endometrial Mucins in Female Mice during Pregnancy" International Journal of Molecular Sciences 23, no. 17: 9972. https://doi.org/10.3390/ijms23179972
APA StyleLu, D., Hu, W., Tian, T., Wang, M., Zhou, M., & Wu, C. (2022). The Mechanism of Lipopolysaccharide’s Effect on Secretion of Endometrial Mucins in Female Mice during Pregnancy. International Journal of Molecular Sciences, 23(17), 9972. https://doi.org/10.3390/ijms23179972
