Systems Pharmacology-Based Strategy to Investigate Pharmacological Mechanisms of Total Flavonoids in Dracocephalum moldavica on Chronic Heart Failure
Abstract
:1. Introduction
2. Results
2.1. Network Pharmacology-Based Analysis
2.1.1. Component Analysis of TFDM
2.1.2. Compounds, Disease Target Prediction, and Construction of PPI Network
2.1.3. Construction of C-T Network
2.1.4. Gene Ontology Enrichment Analysis
2.1.5. KEGG Pathway Enrichment Analysis
2.1.6. Computational Validation of Selected Compound–Target Interactions
2.2. Effects of TFDM
2.2.1. Effects of TFDM on Blood Glucose, Blood pressure, and Running Distance
2.2.2. Effects of TFDM on Cardiac Function
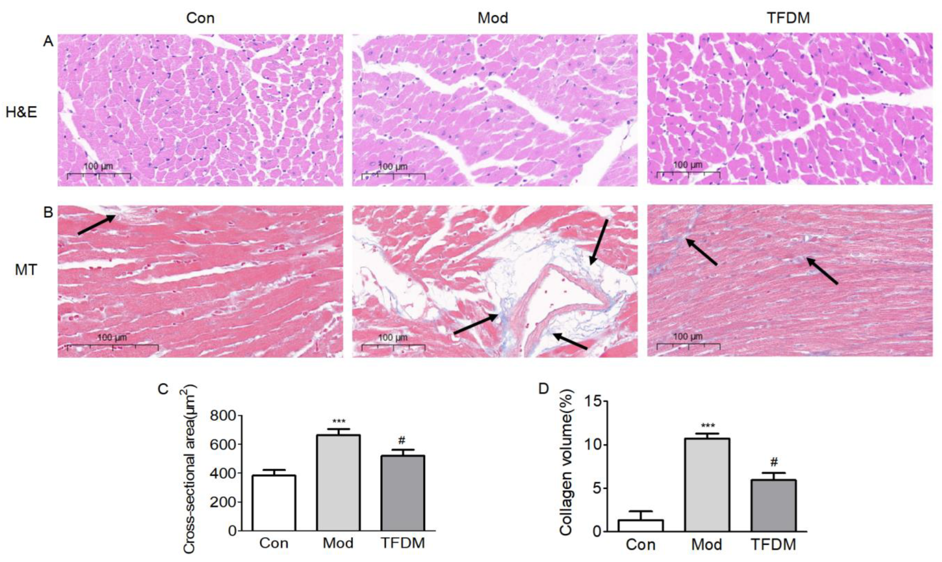
2.2.3. Effects of TFDM on Cardiac Histology
3. Discussion
4. Materials and Methods
4.1. Network Pharmacology-Based Approach for the Potential Actions of TFDM on HF
4.1.1. Screening of Active Compounds
4.1.2. Target Prediction
4.1.3. Protein–Protein Interaction (PPI) Network and Compound–Target (C-T) Network Construction
4.1.4. Gene Ontology, KEGG Pathway Enrichment, and C-T Network Construction
4.1.5. Target Identification Based on Molecular Docking
4.2. In Vivo Experiments to Validate the Effect of TFDM on HF
4.2.1. Reagents and Animals
4.2.2. Establishment of HFpEF Experimental Model
4.2.3. Conventional Echocardiography and Doppler Imaging
4.2.4. Tail-Cuff Blood Pressure Recordings
4.2.5. Intraperitoneal Glucose Tolerance Test
4.2.6. Exercise Exhaustion Test
4.2.7. Histology
4.2.8. Statistical Analysis
Author Contributions
Funding
Institutional Review Board Statement
Informed Consent Statement
Data Availability Statement
Conflicts of Interest
References
- Jones, N.R.; Roalfe, A.K.; Adoki, I.; Hobbs, F.D.R.; Taylor, C.J. Survival of patients with chronic heart failure in the community: A systematic review and meta-analysis. Eur. J. Heart Fail. 2019, 21, 1306–1325. [Google Scholar] [CrossRef] [PubMed]
- Simmonds, S.J.; Cuijpers, I.; Heymans, S.; Jones, E.A.V. Cellular and Molecular Differences between HFpEF and HFrEF: A Step Ahead in an Improved Pathological Understanding. Cells 2020, 9, 242. [Google Scholar] [CrossRef] [PubMed] [Green Version]
- Pfeffer, M.A.; Shah, A.M.; Borlaug, B.A. Heart Failure with Preserved Ejection Fraction in Perspective. Circ. Res. 2019, 124, 1598–1617. [Google Scholar] [CrossRef] [PubMed]
- Senni, M.; Gavazzi, A.; Oliva, F.; Mortara, A.; Urso, R.; Pozzoli, M.; Metra, M.; Lucci, D.; Gonzini, L.; Cirrincione, V.; et al. In-hospital and 1-year outcomes of acute heart failure patients according to presentation (de novo vs. worsening) and ejection fraction. Results from IN-HF Outcome Registry. Int. J. Cardiol. 2014, 173, 163–169. [Google Scholar] [CrossRef] [PubMed]
- Shah, K.S.; Xu, H.; Matsouaka, R.A.; Bhatt, D.L.; Heidenreich, P.A.; Hernandez, A.F.; Devore, A.D.; Yancy, C.W.; Fonarow, G.C. Heart Failure with Preserved, Borderline, and Reduced Ejection Fraction: 5-Year Outcomes. J. Am. Coll. Cardiol. 2017, 70, 2476–2486. [Google Scholar] [CrossRef] [PubMed]
- Kapoor, J.R.; Kapoor, R.; Ju, C.; Heidenreich, P.A.; Eapen, Z.J.; Hernandez, A.F.; Butler, J.; Yancy, C.W.; Fonarow, G.C. Precipitating Clinical Factors, Heart Failure Characterization, and Outcomes in Patients Hospitalized with Heart Failure with Reduced, Borderline, and Preserved Ejection Fraction. JACC Heart Fail. 2016, 4, 464–472. [Google Scholar] [CrossRef]
- Shah, S.J.; Katz, D.H.; Selvaraj, S.; Burke, M.A.; Yancy, C.W.; Gheorghiade, M.; Bonow, R.O.; Huang, C.C.; Deo, R.C. Phenomapping for novel classification of heart failure with preserved ejection fraction. Circulation 2015, 131, 269–279. [Google Scholar] [CrossRef] [Green Version]
- Sweeney, M.; Corden, B.; Cook, S.A. Targeting cardiac fibrosis in heart failure with preserved ejection fraction: Mirage or miracle? EMBO Mol. Med. 2020, 12, e10865. [Google Scholar] [CrossRef] [PubMed]
- Yoon, S.; Eom, G.H. Heart failure with preserved ejection fraction: Present status and future directions. Exp. Mol. Med. 2019, 51, 1–9. [Google Scholar] [CrossRef] [Green Version]
- Xiao, L.J.; Tao, R. Traditional Chinese Medicine (TCM) Therapy. Adv. Exp. Med. Biol. 2017, 1010, 261–280. [Google Scholar] [PubMed]
- Maimaiti, A.; Tao, Y.; Minmin, W.; Weiwei, M.; Wenhui, S.; Aikemu, A.; Maimaitiyiming, D. Improvement of Total Flavonoids from Dracocephalum moldavica L. in Rats with Chronic Mountain Sickness through (1)H-NMR Metabonomics. Evid. Based Complement. Alternat. Med. 2021, 2021, 6695346. [Google Scholar] [CrossRef] [PubMed]
- Martínez-Vázquez, M.; Estrada-Reyes, R.; Martínez-Laurrabaquio, A.; López-Rubalcava, C.; Heinze, G. Neuropharmacological study of Dracocephalum moldavica L. (Lamiaceae) in mice: Sedative effect and chemical analysis of an aqueous extract. J. Ethnopharmacol. 2012, 141, 908–917. [Google Scholar] [CrossRef] [PubMed]
- Akanda, M.R.; Uddin, M.N.; Kim, I.S.; Ahn, D.; Tae, H.J.; Park, B.Y. The biological and pharmacological roles of polyphenol flavonoid tilianin. Eur. J. Pharmacol. 2019, 842, 291–297. [Google Scholar] [CrossRef] [PubMed]
- Zeng, C.; Jiang, W.; Yang, X.; He, C.; Wang, W.; Xing, J. Pretreatment with Total Flavonoid Extract from Dracocephalum Moldavica L. Attenuates Ischemia Reperfusion-induced Apoptosis. Sci. Rep. 2018, 8, 17491. [Google Scholar] [CrossRef] [PubMed] [Green Version]
- Yuan, Y.; Cao, W.; Hong, Y.; Guo, X.; Wang, Y.; Wang, Y.; Wang, X.; Hu, P. Tilianin pretreatment prevents myocardial ischemia-reperfusion injury via preservation of mitochondrial function in rat heart. Phytomedicine 2017, 34, 106–114. [Google Scholar] [CrossRef]
- Schiattarella, G.G.; Altamirano, F.; Tong, D.; French, K.M.; Villalobos, E.; Kim, S.Y.; Luo, X.; Jiang, N.; May, H.I.; Wang, Z.V.; et al. Nitrosative stress drives heart failure with preserved ejection fraction. Nature 2019, 568, 351–356. [Google Scholar] [CrossRef]
- Wang, Y.J. Chemical and Bioactive Studies on Dracocephalum Moldavica of the Genus Dracocephalum; Shandong University: Jinan, China, 2010. [Google Scholar]
- Yang, S.; Wang, L.; Guo, X.; Lou, H.; Ren, D. A new flavonoid glycoside and other constituents from Dracocephalum moldavica. Nat. Prod. Res. 2013, 27, 201–207. [Google Scholar] [CrossRef]
- Sultan, A. Flavonoids from dracocephalum. Chem. Nat. Compd. 2008, 44, 366–367. [Google Scholar] [CrossRef]
- Ding, W.Z.; Chow, G.X.; Cheng, X.M. Pilot study on chemical constituents from the semen of Dracocephalum moldavia L. Northwest Pharm. J. 2016, 31, 122–124. [Google Scholar]
- Yancy, C.W.; Jessup, M.; Bozkurt, B.; Butler, J.; Casey, D.E., Jr.; Colvin, M.M.; Drazner, M.H.; Filippatos, G.S.; Fonarow, G.C.; Givertz, M.M.; et al. 2017 ACC/AHA/HFSA Focused Update of the 2013 ACCF/AHA Guideline for the Management of Heart Failure: A Report of the American College of Cardiology/American Heart Association Task Force on Clinical Practice Guidelines and the Heart Failure Society of America. Circulation 2017, 136, e137–e161. [Google Scholar]
- Ponikowski, P.; Voors, A.A.; Anker, S.D.; Bueno, H.; Cleland, J.G.; Coats, A.J.; Falk, V.; González-Juanatey, J.R.; Harjola, V.P.; Jankowska, E.A.; et al. 2016 ESC Guidelines for the diagnosis and treatment of acute and chronic heart failure: The Task Force for the diagnosis and treatment of acute and chronic heart failure of the European Society of Cardiology (ESC). Developed with the special contribution of the Heart Failure Association (HFA) of the ESC. Eur. J. Heart Fail. 2016, 18, 891–975. [Google Scholar] [PubMed]
- Dunlay, S.M.; Roger, V.L.; Redfield, M.M. Epidemiology of heart failure with preserved ejection fraction. Nat. Rev. Cardiol. 2017, 14, 591–602. [Google Scholar] [CrossRef] [PubMed]
- Reina-Couto, M.; Pereira-Terra, P.; Quelhas-Santos, J.; Silva-Pereira, C.; Albino-Teixeira, A.; Sousa, T. Inflammation in Human Heart Failure: Major Mediators and Therapeutic Targets. Front. Physiol. 2021, 12, 746494. [Google Scholar] [CrossRef]
- Murphy, S.P.; Kakkar, R.; McCarthy, C.P.; Januzzi, J.L., Jr. Inflammation in Heart Failure: JACC State-of-the-Art Review. J. Am. Coll. Cardiol. 2020, 75, 1324–1340. [Google Scholar]
- Shirazi, L.F.; Bissett, J.; Romeo, F.; Mehta, J.L. Role of Inflammation in Heart Failure. Curr. Atheroscler. Rep. 2017, 19, 27. [Google Scholar] [CrossRef]
- Xing, J.; Peng, K.; Cao, W.; Lian, X.; Wang, Q.; Wang, X. Effects of total flavonoids from Dracocephalum moldavica on the proliferation, migration, and adhesion molecule expression of rat vascular smooth muscle cells induced by TNF-α. Pharm. Biol. 2013, 51, 74–83. [Google Scholar] [PubMed]
- Nam, K.W.; Kim, J.; Hong, J.J.; Choi, J.H.; Mar, W.; Cho, M.H.; Kim, Y.M.; Oh, S.R.; Lee, H.K.; Nam, K.H.; et al. Inhibition of cytokine-induced IkappaB kinase activation as a mechanism contributing to the anti-atherogenic activity of tilianin in hyperlipidemic mice. Atherosclerosis 2005, 180, 27–35. [Google Scholar] [CrossRef]
- Gao, H.L.; Yu, X.J.; Hu, H.B.; Yang, Q.W.; Liu, K.L.; Chen, Y.M.; Zhang, Y.; Zhang, D.D.; Tian, H.; Zhu, G.Q.; et al. Apigenin Improves Hypertension and Cardiac Hypertrophy Through Modulating NADPH Oxidase-Dependent ROS Generation and Cytokines in Hypothalamic Paraventricular Nucleus. Cardiovasc. Toxicol. 2021, 21, 721–736. [Google Scholar] [CrossRef] [PubMed]
- Du, Y.; Han, J.; Zhang, H.; Xu, J.; Jiang, L.; Ge, W. Kaempferol Prevents Against Ang II-induced Cardiac Remodeling Through Attenuating Ang II-induced Inflammation and Oxidative Stress. J. Cardiovasc. Pharmacol. 2019, 74, 326–335. [Google Scholar] [CrossRef] [PubMed]
- Li, L.; Luo, W.; Qian, Y.; Zhu, W.; Qian, J.; Li, J.; Jin, Y.; Xu, X.; Liang, G. Luteolin protects against diabetic cardiomyopathy by inhibiting NF-κB-mediated inflammation and activating the Nrf2-mediated antioxidant responses. Phytomedicine 2019, 59, 152774. [Google Scholar] [CrossRef]
- Oyagbemi, A.A.; Akinrinde, A.S.; Adebiyi, O.E.; Jarikre, T.A.; Omobowale, T.O.; Ola-Davies, O.E.; Saba, A.B.; Emikpe, B.O.; Adedapo, A.A. Luteolin supplementation ameliorates cobalt-induced oxidative stress and inflammation by suppressing NF-кB/Kim-1 signaling in the heart and kidney of rats. Environ. Toxicol. Pharmacol. 2020, 80, 103488. [Google Scholar] [CrossRef] [PubMed]
- Lv, L.; Lv, L.; Zhang, Y.; Kong, Q. Luteolin prevents LPS-induced TNF-α expression in cardiac myocytes through inhibiting NF-κB signaling pathway. Inflammation 2011, 34, 620–629. [Google Scholar] [CrossRef] [PubMed]
- Li, F.; Liu, J.; Tang, S.; Yan, J.; Chen, H.; Li, D.; Yan, X. Quercetin regulates inflammation, oxidative stress, apoptosis, and mitochondrial structure and function in H9C2 cells by promoting PVT1 expression. Acta Histochem. 2021, 123, 151819. [Google Scholar] [CrossRef]
- Chirinos, J.A.; Zamani, P. The Nitrate-Nitrite-NO Pathway and Its Implications for Heart Failure and Preserved Ejection Fraction. Curr. Heart Fail. Rep. 2016, 13, 47–59. [Google Scholar] [CrossRef]
- Furfine, E.S.; Harmon, M.F.; Paith, J.E.; Garvey, E.P. Selective inhibition of constitutive nitric oxide synthase by L-NG-nitroarginine. Biochemistry 1993, 32, 8512–8517. [Google Scholar] [CrossRef]
- Kopincová, J.; Púzserová, A.; Bernátová, I. L-NAME in the cardiovascular system-nitric oxide synthase activator? Pharmacol. Rep. 2012, 64, 511–520. [Google Scholar] [CrossRef]
- Yang, L.; Calay, E.S.; Fan, J.; Arduini, A.; Kunz, R.C.; Gygi, S.P.; Yalcin, A.; Fu, S.; Hotamisligil, G.S. METABOLISM. S-Nitrosylation links obesity-associated inflammation to endoplasmic reticulum dysfunction. Science 2015, 349, 500–506. [Google Scholar] [CrossRef] [PubMed] [Green Version]
- Jiang, H.; Xing, J.; Fang, J.; Wang, L.; Wang, Y.; Zeng, L.; Li, Z.; Liu, R. Tilianin Protects against Ischemia/Reperfusion-Induced Myocardial Injury through the Inhibition of the Ca(2+)/Calmodulin-Dependent Protein Kinase II-Dependent Apoptotic and Inflammatory Signaling Pathways. Biomed. Res. Int. 2020, 2020, 5939715. [Google Scholar] [CrossRef] [PubMed]
- Wu, W.; Yang, S.; Liu, P.; Yin, L.; Gong, Q.; Zhu, W. Systems Pharmacology-Based Strategy to Investigate Pharmacological Mechanisms of Radix Puerariae for Treatment of Hypertension. Front. Pharmacol. 2020, 11, 345. [Google Scholar] [CrossRef] [PubMed]
- Wu, W.; Zhang, Z.; Li, F.; Deng, Y.; Lei, M.; Long, H.; Hou, J.; Wu, W. A Network-Based Approach to Explore the Mechanisms of Uncaria Alkaloids in Treating Hypertension and Alleviating Alzheimer’s Disease. Int. J. Mol. Sci. 2020, 21, 1766. [Google Scholar] [CrossRef] [Green Version]
- Mamas, M.A.; Deaton, C.; Rutter, M.K.; Yuille, M.; Williams, S.G.; Ray, S.G.; New, J.; Gibson, J.M.; Neyses, L. Impaired glucose tolerance and insulin resistance in heart failure: Underrecognized and undertreated? J. Card. Fail. 2010, 16, 761–768. [Google Scholar] [CrossRef] [PubMed]
- Baudino, T.A.; Carver, W.; Giles, W.; Borg, T.K. Cardiac fibroblasts: Friend or foe? Am. J. Physiol. Heart Circ. Physiol. 2006, 291, H1015–H1026. [Google Scholar] [CrossRef]
- Tallquist, M.D. Cardiac Fibroblast Diversity. Annu. Rev. Physiol. 2020, 82, 63–78. [Google Scholar] [CrossRef] [PubMed] [Green Version]
- Pinzi, L.; Rastelli, G. Molecular Docking: Shifting Paradigms in Drug Discovery. Int. J. Mol. Sci. 2019, 20, 4331. [Google Scholar] [CrossRef] [PubMed] [Green Version]
- Eberhardt, J.; Santos-Martins, D.; Tillack, A.F.; Forli, S. AutoDock Vina 1.2.0: New Docking Methods, Expanded Force Field, and Python Bindings. J. Chem. Inf. Model. 2021, 61, 3891–3898. [Google Scholar] [CrossRef]
- Liu, Y.; Grimm, M.; Dai, W.T.; Hou, M.C.; Xiao, Z.X.; Cao, Y. CB-Dock: A web server for cavity detection-guided protein-ligand blind docking. Acta Pharmacol. Sin. 2020, 41, 138–144. [Google Scholar] [CrossRef]
- Xu, X.; Zhang, W.; Huang, C.; Li, Y.; Yu, H.; Wang, Y.; Duan, J.; Ling, Y. A novel chemometric method for the prediction of human oral bioavailability. Int. J. Mol. Sci. 2012, 13, 6964–6982. [Google Scholar] [CrossRef]
- Tao, W.; Xu, X.; Wang, X.; Li, B.; Wang, Y.; Li, Y.; Yang, L. Network pharmacology-based prediction of the active ingredients and potential targets of Chinese herbal Radix Curcumae formula for application to cardiovascular disease. J. Ethnopharmacol. 2013, 145, 1–10. [Google Scholar] [CrossRef]
- Messerli, F.H.; Rimoldi, S.F.; Bangalore, S. The Transition from Hypertension to Heart Failure: Contemporary Update. JACC Heart Fail. 2017, 5, 543–551. [Google Scholar] [CrossRef]
- Grundtvig, M.; Eriksen-Volnes, T.; Ørn, S.; Slind, E.K.; Gullestad, L. 6 min walk test is a strong independent predictor of death in outpatients with heart failure. ESC Heart Fail 2020, 7, 2904–2911. [Google Scholar] [CrossRef]
- McCabe, N.; Butler, J.; Dunbar, S.B.; Higgins, M.; Reilly, C. Six-minute walk distance predicts 30-day readmission after acute heart failure hospitalization. Heart Lung 2017, 46, 287–292. [Google Scholar] [CrossRef]









| Compound Name | OB (%) | DL | References |
|---|---|---|---|
| Apigenin | 23.06 | 0.21 | [17] |
| Acacetin | 34.97 | 0.24 | [12,18] |
| Luteolin | 36.16 | 0.25 | [17] |
| Salvigenin | 49.07 | 0.33 | [17] |
| Chryseriol | 35.85 | 0.27 | [19] |
| Diosmetin | 31.14 | 0.27 | [12] |
| Isorhamnetin | 49.6 | 0.31 | [17] |
| Kaempferol | 41.88 | 0.24 | [19] |
| Quercetin | 46.43 | 0.28 | [17] |
| Tilianin | 19.66 | 0.79 | [14,17] |
| Astragalin | 14.03 | 0.74 | [20] |
| NO | Compound Name | PubChem CID | Structure |
|---|---|---|---|
| 1 | Apigenin | 5280443 | ![]() |
| 2 | Acacetin | 5280442 | ![]() |
| 3 | Luteolin | 5280445 | ![]() |
| 4 | Salvigenin | 161271 | ![]() |
| 5 | Chryseriol | 5280666 | ![]() |
| 6 | Diosmetin | 5281612 | ![]() |
| 7 | Isorhamnetin | 5281654 | ![]() |
| 8 | Kaempferol | 5280863 | ![]() |
| 9 | Quercetin | 5280343 | ![]() |
| 10 | Tilianin | 5321954 | ![]() |
| 11 | Astragalin | 5282102 | ![]() |
| Gene ID | Gene Name | Gene Symbol | Degree |
|---|---|---|---|
| 5743 | Prostaglandin-endoperoxide synthase 2 | PTGS2 | 11 |
| 4843 | Nitric oxide synthase 2 | NOS2 | 10 |
| 5742 | Prostaglandin-endoperoxide synthase 1 | PTGS1 | 10 |
| 367 | Androgen receptor | AR | 9 |
| 5294 | Phosphatidylinositol-4,5-bisphosphate 3-kinase Catalytic subunit gamma | PIK3CG | 9 |
| 7124 | Tumor necrosis factor | TNF | 8 |
| 2099 | Estrogen receptor 1 | ESR1 | 7 |
| 3569 | Interleukin 6 | IL6 | 7 |
| 7498 | Xanthine dehydrogenase | XDH | 7 |
| 3553 | Interleukin 1 beta | IL-1β | 6 |
| Compound | TNF | IL-6 | IL-1β | NOS2 | PTGS2 |
|---|---|---|---|---|---|
| Apigenin | −8.2 | −8.9 | −7.3 | −10.1 | −8.7 |
| Acacetin | −8.2 | −8.6 | −7.3 | −10.2 | −8.3 |
| Luteolin | −8.4 | −9.2 | −7.5 | −9.8 | −8.6 |
| Salvigenin | −7.9 | −8.4 | −7.1 | −9.1 | −8.3 |
| Chryseriol | −8.4 | −8.8 | −7.3 | −9.8 | −8.7 |
| Diosmetin | −8.3 | −8.7 | −7.4 | −10.1 | −8.4 |
| Isorhamnetin | −8.0 | −8.7 | −7.2 | −9.9 | −9.1 |
| Kaempferol | −7.8 | −8.8 | −7.2 | −9.9 | −9.0 |
| Quercetin | −8.2 | −9.3 | −7.4 | −9.7 | −9.0 |
| Tilianin | −8.0 | −9.4 | −7.7 | −10.9 | −9.4 |
| Astragalin | −7.4 | −7.6 | −7.8 | −9.8 | −8.7 |
Publisher’s Note: MDPI stays neutral with regard to jurisdictional claims in published maps and institutional affiliations. |
© 2022 by the authors. Licensee MDPI, Basel, Switzerland. This article is an open access article distributed under the terms and conditions of the Creative Commons Attribution (CC BY) license (https://creativecommons.org/licenses/by/4.0/).
Share and Cite
Dawuti, A.; Sun, S.; Wang, R.; Gong, D.; Yuan, T.; Zhang, L.; Yang, S.; Xing, J.; Zheng, R.; Lu, Y.; et al. Systems Pharmacology-Based Strategy to Investigate Pharmacological Mechanisms of Total Flavonoids in Dracocephalum moldavica on Chronic Heart Failure. Int. J. Mol. Sci. 2022, 23, 8409. https://doi.org/10.3390/ijms23158409
Dawuti A, Sun S, Wang R, Gong D, Yuan T, Zhang L, Yang S, Xing J, Zheng R, Lu Y, et al. Systems Pharmacology-Based Strategy to Investigate Pharmacological Mechanisms of Total Flavonoids in Dracocephalum moldavica on Chronic Heart Failure. International Journal of Molecular Sciences. 2022; 23(15):8409. https://doi.org/10.3390/ijms23158409
Chicago/Turabian StyleDawuti, Awaguli, Shuchan Sun, Ranran Wang, Difei Gong, Tianyi Yuan, Li Zhang, Shiying Yang, Jianguo Xing, Ruifang Zheng, Yang Lu, and et al. 2022. "Systems Pharmacology-Based Strategy to Investigate Pharmacological Mechanisms of Total Flavonoids in Dracocephalum moldavica on Chronic Heart Failure" International Journal of Molecular Sciences 23, no. 15: 8409. https://doi.org/10.3390/ijms23158409
APA StyleDawuti, A., Sun, S., Wang, R., Gong, D., Yuan, T., Zhang, L., Yang, S., Xing, J., Zheng, R., Lu, Y., Wang, S., Fang, L., & Du, G. (2022). Systems Pharmacology-Based Strategy to Investigate Pharmacological Mechanisms of Total Flavonoids in Dracocephalum moldavica on Chronic Heart Failure. International Journal of Molecular Sciences, 23(15), 8409. https://doi.org/10.3390/ijms23158409












