MiTF/TFE Translocation Renal Cell Carcinomas: From Clinical Entities to Molecular Insights
Abstract
:1. Introduction
2. Clinical Entities
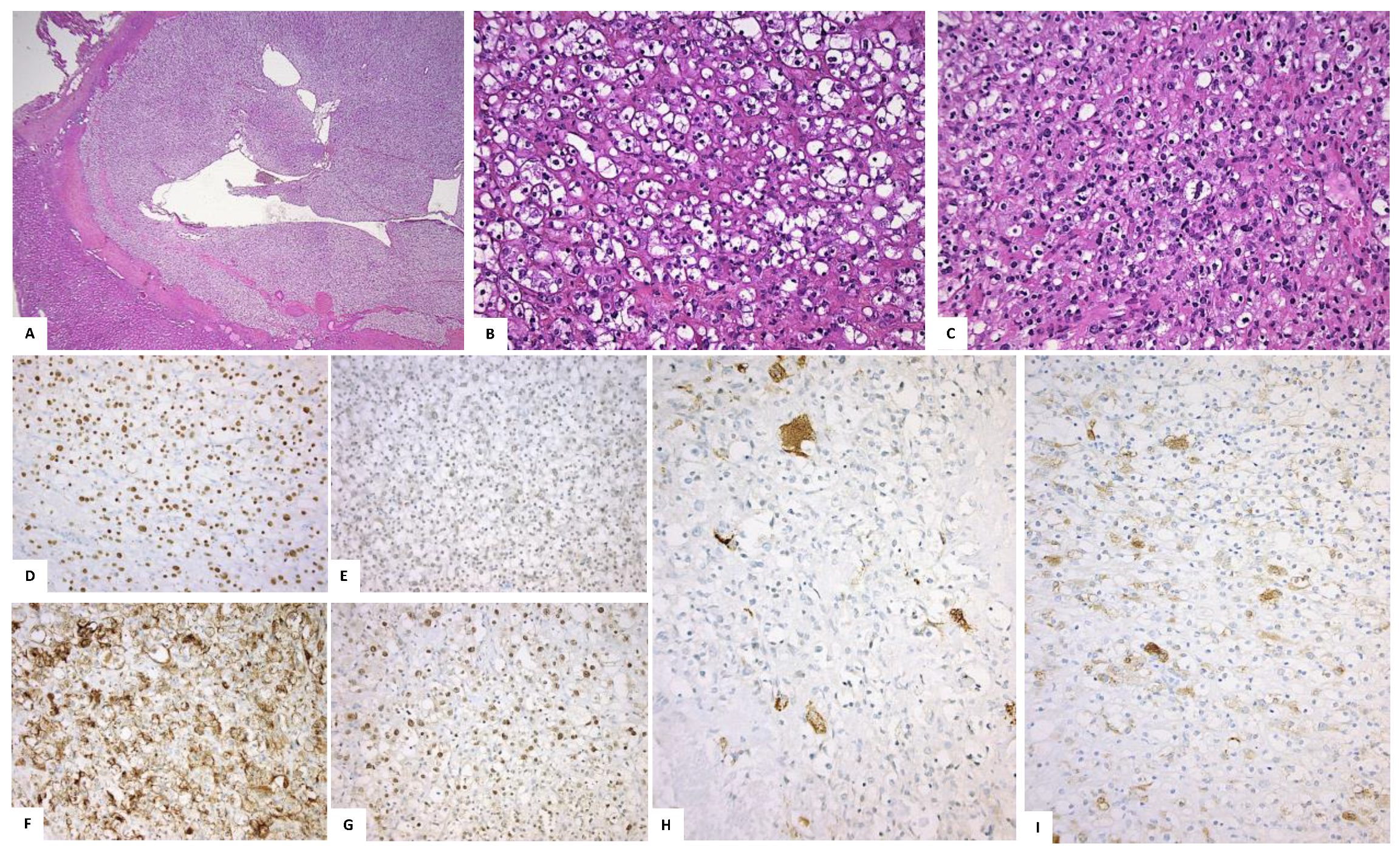
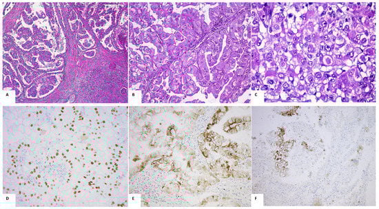
3. Pathological Features of TFE-tRCC
4. Molecular Features
4.1. Molecular Tool for tRCC Diagnosis
4.2. Partners of Fusion with TFE3
4.3. Additional Comprehensive Molecular Features of TFE3-tRCC
4.4. Transcriptomic Signatures of TFE3-tRCC
4.5. Molecular Features of TFEB-tRCC
5. Response to Modern Systemic Therapies
6. Conclusions
Author Contributions
Funding
Institutional Review Board Statement
Informed Consent Statement
Data Availability Statement
Conflicts of Interest
References
- Siegel, R.L.; Miller, K.D.; Jemal, A. Cancer Statistics, 2018. CA Cancer J. Clin. 2018, 68, 7–30. [Google Scholar] [CrossRef]
- Durinck, S.; Stawiski, E.W.; Pavía-Jiménez, A.; Modrusan, Z.; Kapur, P.; Jaiswal, B.S.; Zhang, N.; Toffessi-Tcheuyap, V.; Nguyen, T.T.; Pahuja, K.B.; et al. Spectrum of Diverse Genomic Alterations Define Non–Clear Cell Renal Carcinoma Subtypes. Nat. Genet. 2015, 47, 13–21. [Google Scholar] [CrossRef] [Green Version]
- Geller, J.I.; Ehrlich, P.F.; Cost, N.G.; Khanna, G.; Mullen, E.A.; Gratias, E.J.; Naranjo, A.; Dome, J.S.; Perlman, E.J. Characterization of Adolescent and Pediatric Renal Cell Carcinoma: A Report from the Children’s Oncology Group Study AREN03B2. Cancer 2015, 121, 2457–2464. [Google Scholar] [CrossRef] [Green Version]
- Ellati, R.T.; Abukhiran, I.; Alqasem, K.; Jasser, J.; Khzouz, J.; Bisharat, T.; Al-saidi, I.; Al-Daghmin, A. Clinicopathologic Features of Translocation Renal Cell Carcinoma. Clin. Genitourin. Cancer 2017, 15, 112–116. [Google Scholar] [CrossRef]
- Argani, P. MiT Family Translocation Renal Cell Carcinoma. Semin. Diagn. Pathol. 2015, 32, 103–113. [Google Scholar] [CrossRef]
- Tomlinson, G.E.; Nisen, P.D.; Timmons, C.F.; Schneider, N.R. Cytogenetics of a Renal Cell Carcinoma in a 17-Month-Old Child. Evidence for Xp11.2 as a Recurring Breakpoint. Cancer Genet. Cytogenet. 1991, 57, 11–17. [Google Scholar] [CrossRef]
- Bakouny, Z.; Sadagopan, A.; Ravi, P.; Metaferia, N.Y.; Li, J.; AbuHammad, S.; Tang, S.; Denize, T.; Garner, E.R.; Gao, X.; et al. Integrative Clinical and Molecular Characterization of Translocation Renal Cell Carcinoma. Cell Rep. 2022, 38, 110190. [Google Scholar] [CrossRef]
- Lopez-Beltran, A.; Scarpelli, M.; Montironi, R.; Kirkali, Z. 2004 WHO Classification of the Renal Tumors of the Adults. Eur. Urol. 2006, 49, 798–805. [Google Scholar] [CrossRef]
- Argani, P.; Hawkins, A.; Griffin, C.A.; Goldstein, J.D.; Haas, M.; Beckwith, J.B.; Mankinen, C.B.; Perlman, E.J. A Distinctive Pediatric Renal Neoplasm Characterized by Epithelioid Morphology, Basement Membrane Production, Focal HMB45 Immunoreactivity, and t(6;11)(P21.1;Q12) Chromosome Translocation. Am. J. Pathol. 2001, 158, 2089–2096. [Google Scholar] [CrossRef] [Green Version]
- Argani, P. Translocation Carcinomas of the Kidney. Genes Chromosomes Cancer 2022, 61, 219–227. [Google Scholar] [CrossRef]
- Moch, H.; Cubilla, A.L.; Humphrey, P.A.; Reuter, V.E.; Ulbright, T.M. The 2016 WHO Classification of Tumours of the Urinary System and Male Genital Organs-Part A: Renal, Penile, and Testicular Tumours. Eur. Urol. 2016, 70, 93–105. [Google Scholar] [CrossRef]
- Argani, P.; Martignoni, G.; Mehra, R. TFE3-Rearranged Renal Cell Carcinomas. In WHO Classification of Tumours. Urinary and Male Genital Tumours, 5th ed.; WHO Classification of Tumours Series; International Agency for Research on Cancer: Lyon, France, 2016; Volume 8. [Google Scholar]
- Caliò, A.; Segala, D.; Munari, E.; Brunelli, M.; Martignoni, G. MiT Family Translocation Renal Cell Carcinoma: From the Early Descriptions to the Current Knowledge. Cancers 2019, 11, 1110. [Google Scholar] [CrossRef] [Green Version]
- Cheng, X.; Gan, W.; Zhang, G.; Li, X.; Guo, H. Clinical Characteristics of XP11.2 Translocation/TFE3 Gene Fusion Renal Cell Carcinoma: A Systematic Review and Meta-Analysis of Observational Studies. BMC Urol. 2016, 16, 40. [Google Scholar] [CrossRef] [Green Version]
- Argani, P.; Laé, M.; Ballard, E.T.; Amin, M.; Manivel, C.; Hutchinson, B.; Reuter, V.E.; Ladanyi, M. Translocation Carcinomas of the Kidney After Chemotherapy in Childhood. J. Clin. Oncol. 2006, 24, 1529–1534. [Google Scholar] [CrossRef]
- Rais-Bahrami, S.; Drabick, J.J.; De Marzo, A.M.; Hicks, J.; Ho, C.; Caroe, A.E.; Argani, P. Xp11 Translocation Renal Cell Carcinoma: Delayed but Massive and Lethal Metastases of a Chemotherapy-Associated Secondary Malignancy. Urology 2007, 70, 178.e3–178.e6. [Google Scholar] [CrossRef]
- Wang, X.; Xia, Q.; Ye, S.; Wang, X.; Li, R.; Fang, R.; Shi, S.; Zhang, R.; Tan, X.; Chen, J.; et al. RNA Sequencing of Xp11 Translocation-Associated Cancers Reveals Novel Gene Fusions and Distinctive Clinicopathologic Correlations. Mod. Pathol. 2018, 31, 1346–1360. [Google Scholar] [CrossRef]
- Meyer, P.N.; Clark, J.I.; Flanigan, R.C.; Picken, M.M. Xp11.2 Translocation Renal Cell Carcinoma with Very Aggressive Course in Five Adults. Am. J. Clin. Pathol. 2007, 128, 70–79. [Google Scholar] [CrossRef] [Green Version]
- Ellis, C.L.; Eble, J.N.; Subhawong, A.P.; Martignoni, G.; Zhong, M.; Ladanyi, M.; Epstein, J.I.; Netto, G.J.; Argani, P. Clinical Heterogeneity of Xp11 Translocation Renal Cell Carcinoma: Impact of Fusion Subtype, Age, and Stage. Mod. Pathol. 2014, 27, 875–886. [Google Scholar] [CrossRef] [Green Version]
- Sun, G.; Chen, J.; Liang, J.; Yin, X.; Zhang, M.; Yao, J.; He, N.; Armstrong, C.M.; Zheng, L.; Zhang, X.; et al. Integrated Exome and RNA Sequencing of TFE3-Translocation Renal Cell Carcinoma. Nat. Commun. 2021, 12, 5262. [Google Scholar] [CrossRef]
- Tran, J.; Ornstein, M.C. Clinical Review on the Management of Metastatic Renal Cell Carcinoma. JCO Oncol. Pract. 2022, 18, 187–196. [Google Scholar] [CrossRef]
- Jonasch, E.; Walker, C.L.; Rathmell, W.K. Clear Cell Renal Cell Carcinoma Ontogeny and Mechanisms of Lethality. Nat. Rev. Nephrol. 2021, 17, 245–261. [Google Scholar] [CrossRef]
- Skala, S.L.; Xiao, H.; Udager, A.M.; Dhanasekaran, S.M.; Shukla, S.; Zhang, Y.; Landau, C.; Shao, L.; Roulston, D.; Wang, L.; et al. Detection of 6 TFEB-Amplified Renal Cell Carcinomas and 25 Renal Cell Carcinomas with MITF Translocations: Systematic Morphologic Analysis of 85 Cases Evaluated by Clinical TFE3 and TFEB FISH Assays. Mod. Pathol. 2018, 31, 179–197. [Google Scholar] [CrossRef] [Green Version]
- Argani, P.; Lal, P.; Hutchinson, B.; Lui, M.Y.; Reuter, V.E.; Ladanyi, M. Aberrant Nuclear Immunoreactivity for TFE3 in Neoplasms with TFE3 Gene Fusions: A Sensitive and Specific Immunohistochemical Assay. Am. J. Surg. Pathol. 2003, 27, 750–761. [Google Scholar] [CrossRef]
- Martignoni, G.; Pea, M.; Gobbo, S.; Brunelli, M.; Bonetti, F.; Segala, D.; Pan, C.-C.; Netto, G.; Doglioni, C.; Hes, O.; et al. Cathepsin-K Immunoreactivity Distinguishes MiTF/TFE Family Renal Translocation Carcinomas from Other Renal Carcinomas. Mod. Pathol. 2009, 22, 1016–1022. [Google Scholar] [CrossRef]
- Argani, P.; Yonescu, R.; Morsberger, L.; Morris, K.; Netto, G.J.; Smith, N.; Gonzalez, N.; Illei, P.B.; Ladanyi, M.; Griffin, C.A. Molecular Confirmation of t(6;11)(P21;Q12) Renal Cell Carcinoma in Archival Paraffin-Embedded Material Using a Break-Apart TFEB FISH Assay Expands Its Clinicopathologic Spectrum. Am. J. Surg. Pathol. 2012, 36, 1516–1526. [Google Scholar] [CrossRef] [Green Version]
- Di Mauro, I.; Dadone-Montaudie, B.; Sibony, M.; Ambrosetti, D.; Molinie, V.; Decaussin-Petrucci, M.; Bland, V.; Arbaud, C.; Cenciu, B.; Arbib, F.; et al. RBM10-TFE3 Fusions: A FISH-Concealed Anomaly in Adult Renal Cell Carcinomas Displaying a Variety of Morphological and Genomic Features: Comprehensive Study of Six Novel Cases. Genes. Chromosomes Cancer 2021, 60, 772–784. [Google Scholar] [CrossRef]
- Williamson, S.R.; Gill, A.J.; Argani, P.; Chen, Y.-B.; Egevad, L.; Kristiansen, G.; Grignon, D.J.; Hes, O. Report from the International Society of Urological Pathology (ISUP) Consultation Conference on Molecular Pathology of Urogenital Cancers: III: Molecular Pathology of Kidney Cancer. Am. J. Surg. Pathol. 2020, 44, e47–e65. [Google Scholar] [CrossRef]
- Wang, X.-M.; Zhang, Y.; Mannan, R.; Skala, S.L.; Rangaswamy, R.; Chinnaiyan, A.; Su, F.; Cao, X.; Zelenka-Wang, S.; McMurry, L.; et al. TRIM63 Is a Sensitive and Specific Biomarker for MiT Family Aberration-Associated Renal Cell Carcinoma. Mod. Pathol. 2021, 34, 1596–1607. [Google Scholar] [CrossRef]
- Malouf, G.G.; Su, X.; Yao, H.; Gao, J.; Xiong, L.; He, Q.; Compérat, E.; Couturier, J.; Molinié, V.; Escudier, B.; et al. Next-Generation Sequencing of Translocation Renal Cell Carcinoma Reveals Novel RNA Splicing Partners and Frequent Mutations of Chromatin-Remodeling Genes. Clin. Cancer Res. 2014, 20, 4129–4140. [Google Scholar] [CrossRef] [Green Version]
- Argani, P.; Zhong, M.; Reuter, V.E.; Fallon, J.T.; Epstein, J.I.; Netto, G.J.; Antonescu, C.R. TFE3-Fusion Variant Analysis Defines Specific Clinicopathologic Associations Among Xp11 Translocation Cancers. Am. J. Surg. Pathol. 2016, 40, 723–737. [Google Scholar] [CrossRef] [Green Version]
- Clark, J.; Lu, Y.J.; Sidhar, S.K.; Parker, C.; Gill, S.; Smedley, D.; Hamoudi, R.; Linehan, W.M.; Shipley, J.; Cooper, C.S. Fusion of Splicing Factor Genes PSF and NonO (P54nrb) to the TFE3 Gene in Papillary Renal Cell Carcinoma. Oncogene 1997, 15, 2233–2239. [Google Scholar] [CrossRef] [Green Version]
- Argani, P.; Lui, M.Y.; Couturier, J.; Bouvier, R.; Fournet, J.-C.; Ladanyi, M. A Novel CLTC-TFE3 Gene Fusion in Pediatric Renal Adenocarcinoma with t(X;17)(P11.2;Q23). Oncogene 2003, 22, 5374–5378. [Google Scholar] [CrossRef]
- Argani, P.; Zhang, L.; Reuter, V.E.; Tickoo, S.K.; Antonescu, C.R. RBM10-TFE3 Renal Cell Carcinoma: A Potential Diagnostic Pitfall Due to Cryptic Intrachromosomal Xp11.2 Inversion Resulting in False-Negative TFE3 FISH. Am. J. Surg. Pathol. 2017, 41, 655–662. [Google Scholar] [CrossRef] [Green Version]
- Antic, T.; Taxy, J.B.; Alikhan, M.; Segal, J. Melanotic Translocation Renal Cell Carcinoma with a Novel ARID1B-TFE3 Gene Fusion. Am. J. Surg. Pathol. 2017, 41, 1576–1580. [Google Scholar] [CrossRef]
- Rakheja, D.; Kapur, P.; Tomlinson, G.E.; Margraf, L.R. Pediatric Renal Cell Carcinomas with Xp11.2 Rearrangements Are Immunoreactive for HMLH1 and HMSH2 Proteins. Pediatr. Dev. Pathol. 2005, 8, 615–620. [Google Scholar] [CrossRef]
- Classe, M.; Malouf, G.G.; Su, X.; Yao, H.; Thompson, E.J.; Doss, D.J.; Grégoire, V.; Lenobin, J.; Fantoni, J.-C.; Sudour-Bonnange, H.; et al. Incidence, Clinicopathological Features and Fusion Transcript Landscape of Translocation Renal Cell Carcinomas. Histopathology 2017, 70, 1089–1097. [Google Scholar] [CrossRef]
- Pei, J.; Cooper, H.; Flieder, D.B.; Talarchek, J.N.; Al-Saleem, T.; Uzzo, R.G.; Dulaimi, E.; Patchefsky, A.S.; Testa, J.R.; Wei, S. NEAT1-TFE3 and KAT6A-TFE3 Renal Cell Carcinomas, New Members of MiT Family Translocation Renal Cell Carcinoma. Mod. Pathol. 2019, 32, 710–716. [Google Scholar] [CrossRef]
- Huang, W.; Goldfischer, M.; Babayeva, S.; Mao, Y.; Volyanskyy, K.; Dimitrova, N.; Fallon, J.T.; Zhong, M. Identification of a Novel PARP14-TFE3 Gene Fusion from 10-Year-Old FFPE Tissue by RNA-Seq. Genes. Chromosomes Cancer 2015, 54, 500–505. [Google Scholar] [CrossRef]
- Argani, P.; Antonescu, C.R.; Couturier, J.; Fournet, J.-C.; Sciot, R.; Debiec-Rychter, M.; Hutchinson, B.; Reuter, V.E.; Boccon-Gibod, L.; Timmons, C.; et al. PRCC-TFE3 Renal Carcinomas: Morphologic, Immunohistochemical, Ultrastructural, and Molecular Analysis of an Entity Associated with the t(X;1)(P11.2;Q21). Am. J. Surg. Pathol. 2002, 26, 1553–1566. [Google Scholar] [CrossRef]
- Argani, P.; Zhang, L.; Sung, Y.-S.; White, M.J.; Miller, K.; Hopkins, M.; Small, D.; Pratilas, C.A.; Swanson, D.; Dickson, B.; et al. A Novel RBMX-TFE3 Gene Fusion in a Highly Aggressive Pediatric Renal Perivascular Epithelioid Cell Tumor. Genes Chromosomes Cancer 2020, 59, 58–63. [Google Scholar] [CrossRef]
- Tretiakova, M.S.; Wang, W.; Wu, Y.; Tykodi, S.S.; True, L.; Liu, Y.J. Gene Fusion Analysis in Renal Cell Carcinoma by FusionPlex RNA-Sequencing and Correlations of Molecular Findings with Clinicopathological Features. Genes Chromosomes Cancer 2020, 59, 40–49. [Google Scholar] [CrossRef]
- Haudebourg, J.; Hoch, B.; Fabas, T.; Burel-Vandenbos, F.; Carpentier, X.; Amiel, J.; Cardot-Leccia, N.; Michiels, J.-F.; Pedeutour, F. A Novel Case of t(X;1)(P11.2;P34) in a Renal Cell Carcinoma with TFE3 Rearrangement and Favorable Outcome in a 57-Year-Old Patient. Cancer Genet. Cytogenet. 2010, 200, 75–78. [Google Scholar] [CrossRef]
- Akumalla, S.; Madison, R.; Lin, D.I.; Schrock, A.B.; Yakirevich, E.; Rosenzweig, M.; Balar, A.V.; Frampton, G.M.; Edgerly, C.; Erlich, R.L.; et al. Characterization of Clinical Cases of Malignant PEComa via Comprehensive Genomic Profiling of DNA and RNA. Oncology 2020, 98, 905–912. [Google Scholar] [CrossRef]
- Malouf, G.G.; Monzon, F.A.; Couturier, J.; Molinié, V.; Escudier, B.; Camparo, P.; Su, X.; Yao, H.; Tamboli, P.; Lopez-Terrada, D.; et al. Genomic Heterogeneity of Translocation Renal Cell Carcinoma. Clin. Cancer Res. 2013, 19, 4673–4684. [Google Scholar] [CrossRef] [Green Version]
- Marcon, J.; DiNatale, R.G.; Sanchez, A.; Kotecha, R.R.; Gupta, S.; Kuo, F.; Makarov, V.; Sandhu, A.; Mano, R.; Silagy, A.W.; et al. Comprehensive Genomic Analysis of Translocation Renal Cell Carcinoma Reveals Copy-Number Variations as Drivers of Disease Progression. Clin. Cancer Res. 2020, 26, 3629–3640. [Google Scholar] [CrossRef] [Green Version]
- Choueiri, T.K.; Fay, A.P.; Gray, K.P.; Callea, M.; Ho, T.H.; Albiges, L.; Bellmunt, J.; Song, J.; Carvo, I.; Lampron, M.; et al. PD-L1 Expression in Nonclear-Cell Renal Cell Carcinoma. Ann. Oncol. 2014, 25, 2178–2184. [Google Scholar] [CrossRef]
- Caliò, A.; Harada, S.; Brunelli, M.; Pedron, S.; Segala, D.; Portillo, S.C.; Magi-Galluzzi, C.; Netto, G.J.; Mackinnon, A.C.; Martignoni, G. TFEB Rearranged Renal Cell Carcinoma. A Clinicopathologic and Molecular Study of 13 Cases. Tumors Harboring MALAT1-TFEB, ACTB-TFEB, and the Novel NEAT1-TFEB Translocations Constantly Express PDL1. Mod. Pathol. 2021, 34, 842–850. [Google Scholar] [CrossRef]
- The Cancer Genome Atlas Research Network. Comprehensive Molecular Characterization of Papillary Renal-Cell Carcinoma. N. Engl. J. Med. 2016, 374, 135–145. [Google Scholar] [CrossRef]
- Choueiri, T.K.; Lim, Z.D.; Hirsch, M.S.; Tamboli, P.; Jonasch, E.; McDermott, D.F.; Cin, P.D.; Corn, P.; Vaishampayan, U.; Heng, D.Y.C.; et al. Vascular Endothelial Growth Factor-Targeted Therapy for the Treatment of Adult Metastatic Xp11.2 Translocation Renal Cell Carcinoma. Cancer 2010, 116, 5219–5225. [Google Scholar] [CrossRef]
- Malouf, G.G.; Camparo, P.; Oudard, S.; Schleiermacher, G.; Theodore, C.; Rustine, A.; Dutcher, J.; Billemont, B.; Rixe, O.; Bompas, E.; et al. Targeted Agents in Metastatic Xp11 Translocation/TFE3 Gene Fusion Renal Cell Carcinoma (RCC): A Report from the Juvenile RCC Network. Ann. Oncol. 2010, 21, 1834–1838. [Google Scholar] [CrossRef]
- Boilève, A.; Carlo, M.I.; Barthélémy, P.; Oudard, S.; Borchiellini, D.; Voss, M.H.; George, S.; Chevreau, C.; Landman-Parker, J.; Tabone, M.-D.; et al. Immune Checkpoint Inhibitors in MITF Family Translocation Renal Cell Carcinomas and Genetic Correlates of Exceptional Responders. J. Immunother. Cancer 2018, 6, 159. [Google Scholar] [CrossRef] [Green Version]
- McGregor, B.A.; McKay, R.R.; Braun, D.A.; Werner, L.; Gray, K.; Flaifel, A.; Signoretti, S.; Hirsch, M.S.; Steinharter, J.A.; Bakouny, Z.; et al. Results of a Multicenter Phase II Study of Atezolizumab and Bevacizumab for Patients With Metastatic Renal Cell Carcinoma With Variant Histology and/or Sarcomatoid Features. J. Clin. Oncol. 2020, 38, 63–70. [Google Scholar] [CrossRef]
- Thouvenin, J.; Alhalabi, O.; Hirsch, L.; Hasanov, E.; Barthelemy, P.; Martini, D.J.; Campedel, L.; Amrane, K.; Borchiellini, D.; Chahoud, J.; et al. Efficacy of Cabozantinib in Advanced MiT Family Translocation Renal Cell Carcinomas (TRCC). J. Clin. Oncol. 2021, 39, 274. [Google Scholar] [CrossRef]
- Miao, D.; Margolis, C.A.; Gao, W.; Voss, M.H.; Li, W.; Martini, D.J.; Norton, C.; Bossé, D.; Wankowicz, S.M.; Cullen, D.; et al. Genomic Correlates of Response to Immune Checkpoint Therapies in Clear Cell Renal Cell Carcinoma. Science 2018, 359, 801–806. [Google Scholar] [CrossRef] [Green Version]
- Powles, T.; Albiges, L.; Bex, A.; Grünwald, V.; Porta, C.; Procopio, G.; Schmidinger, M.; Suárez, C.; de Velasco, G. ESMO Clinical Practice Guideline Update on the Use of Immunotherapy in Early Stage and Advanced Renal Cell Carcinoma. Ann. Oncol. Off. J. Eur. Soc. Med. Oncol. 2021, 32, 1511–1519. [Google Scholar] [CrossRef]



| ccRCC [21,22] | TFE3 RCC [3,7,13] | TFEB RCC [4,7,13] | |
|---|---|---|---|
| Incidence | Up to 75% of all RCCs | 1–4% of all adult RCCs Up to 40% of pediatric RCCs | <0.1% of all adult RCCs |
| Mean age, years | 64 | 40 | 34 |
| Sex ratio F–M | 2:1 | 1.6:1 | 0.75:1 |
| Stage at diagnosis Metastatic | 1/3 of patients | 1/3 of patients Adults: 23–50% nodes involvement, mainly grade III. | Unknown |
| Outcomes Median OS (stage IV) 5-years OS rate | 24 months 76% Stage I: 93%, II/III: 72%, IV: 12% | 18 months (adults) 86.6% (localized) Favorable up to 16 years old. Aggressive in adult patients | Unknown Unknown |
| Risk factors | Age, sex, smoking, obesity, alcohol, hypertension, genetic predisposition (mainly Von Hippel–Lindau disease), trichloroethylene exposure | Prior chemotherapy | Unknown |
| RCC Subtypes | TFE3 | Cathepsin K | HMB45 | Melan-A | CAIX | CK7 | AMACR |
|---|---|---|---|---|---|---|---|
| Xp11 tRCC | + | +/− | −/f+ | f+/− | −/f+ | − | + |
| t(6;11) RCC | − | + | +/− | + | −/f+ | − | + |
| Clear cell RCC | − | − | − | − | + | −/f+ | +low/− |
| Papillary RCC | − | − | − | − | − | + | + |
| Epithelioid angiomyolipoma | + | + | + | + | − | − | − |
| Gene Fusion | Chromosome Translocation | Reference |
|---|---|---|
| ARID1B-TFE3 | t(X;6)(p11.2;q25) | [35] |
| ASPSCR1-TFE3 | t(X;17)(p11.2;q25) | [36] |
| CLTC-TFE3 | t(X;17)(p11.2;q23) | [33] |
| DVL2-TFE3 | t(X;17)(p11.2;p13.1) | [31] |
| FUBP1-TFE3 | t(X;1)(p11.2;p31.1) | [17] |
| GRIPAP1-TFE3 | inv(X)(p11.23;p11.23) | [37] |
| KAT6B-TFE3 | t(X;10)(p11.2;q22.2) | [38] |
| KHSRP-TFE3 | t(X;19)(p11.2;p13) | [30] |
| LUC7L3-TFE3 | t(X;17)(p11.2;q21) | [30] |
| MATR3-TFE3 | T(X;5)(p11.2;q31.2) | [17] |
| MED15-TFE3 | t(X;22)(p11.2;q11.2) | [17] |
| NEAT1-TFE3 | t(X;11)(p11.2;q13.1) | [38] |
| NonO-TFE3 | inv(X)(p11.2;q13) | [32] |
| PARP14-TFE3 | t(X;3)(p11.2;q23) | [39] |
| PRCC-TFE3 | t(X;1)(p11.2;q21) | [40] |
| RBM10-TFE3 | Inv(X)(p11.2;p11.23) | [34] |
| RBMX-TFE3 | Inv(X)(p11;q26) | [41] |
| SETD1B-TFE3 | t(X;12)(p11.2;q24.31) | [42] |
| SFPQ-TFE3 | t(X;1)(p11.2;p34) | [43] |
| ZC3H4-TFE3 | t(X;19)(p11.2;q13.32) | [44] |
| Ref. | Type of Study | Line of Treatment | Number of Patients | Treatment | Response | Survival Outcomes |
|---|---|---|---|---|---|---|
| [50] | Retrospective | 1.2 | 15 (Xp11.2, adults) | VEGF-targeted therapy (sunitinib, sorafenib, bevacizumab) | PR 3/15 SD 7/15 PD 5/15 | PFS = 7.1 mon OS = 14.3 mon |
| [51] | Retrospective | 1 | 20 (Xp11.2, adults, youth) | Sunitinib, cytokines | Sunitinib: CR 1/11 PR 3/11 SD 6/11 PD 1/11 Cytokines: PR 1/9 SD 2/9 PD 6/9 | PFS Sunitinib: 8.2 mon Cytokines: 2 mon OS Sunitinib: not reached Cytokines: 17 mon |
| [51] | Retrospective | ≥2 | 17 (Xp11.2 adults, youth) | Sunitinib, sorafenib, mTOR inhibitor | Sunitinib: PR 3/3 Sorafenib: SD 7/8 mTOR: PR 1/7, SD 6/7 | PFS Sunitinib: 11 mon Sorafenib: 9 mon mTOR: 3 mon |
| [52] | Retrospective | ≥2 | 24 | anti-PD1, anti-CTLA4, anti-PD1–anti-CTLA4 | CR 0 PR 4/24 SD 3/24 | PFS = 2.5 mon OS = 24 mon |
| [53] | Prospective phase 2 | ≥1 | 60 (various histology,5 tRCC) | Atezolizumab +bevacizumab | ORR 20% SD 80% (tRCC) | Not reported for tRCC cohort. |
| [54] | Retrospective | ≥1 | 24 | Cabozantinib | CR 4% ORR = 17% DCR (ORR + SD) 62.5% | PFS = 8.4 mon OS = 17 mon |
| Trials | Clinical Phase | Population | Number of Patients | Treatment | Primary Endpoint | Status * |
|---|---|---|---|---|---|---|
| KEYNOTE-B61 NCT04704219 | 2 | nccRCC | 152 | Pembrolizumab +Lenvatinib (single arm) | ORR | Not yet recruiting |
| NCT03541902 | 2 | nccRCC | 84 | Cabozantinib vs. sunitinib | PFS | Recruiting |
| NCT03685448 | 2 | nccRCC | 48 | Cabozantinib (single arm) | ORR | Recruiting |
| NCT03595124 | 2 | tRCC | 40 | Axitinib +nivolumab vs. Nivolumab or Axitinib | PFS | Recruiting |
| NCT04413123 | 2 | nccRCC | 60 | Cabozantinib +nivolumab +ipilimumab | ORR | Recruiting |
| NCT03635892 | 2 | nccRCC | 97 | Nivolumab +cabozantinib (single arm) | ORR | Recruiting |
| UNISoN NCT03177239/ ANZUP 1602 | 2 | nccRCC | 85 | Nivolumab +ipilimumab (single arm) | ORR | Active, not recruiting |
| NCT03075423/ SUNNIFORECAST | 2 | nccRCC | 306 | Nivolumab +ipilimumab vs. sunitinib | OS rate at 12 mon | Recruiting |
Publisher’s Note: MDPI stays neutral with regard to jurisdictional claims in published maps and institutional affiliations. |
© 2022 by the authors. Licensee MDPI, Basel, Switzerland. This article is an open access article distributed under the terms and conditions of the Creative Commons Attribution (CC BY) license (https://creativecommons.org/licenses/by/4.0/).
Share and Cite
Simonaggio, A.; Ambrosetti, D.; Verkarre, V.; Auvray, M.; Oudard, S.; Vano, Y.-A. MiTF/TFE Translocation Renal Cell Carcinomas: From Clinical Entities to Molecular Insights. Int. J. Mol. Sci. 2022, 23, 7649. https://doi.org/10.3390/ijms23147649
Simonaggio A, Ambrosetti D, Verkarre V, Auvray M, Oudard S, Vano Y-A. MiTF/TFE Translocation Renal Cell Carcinomas: From Clinical Entities to Molecular Insights. International Journal of Molecular Sciences. 2022; 23(14):7649. https://doi.org/10.3390/ijms23147649
Chicago/Turabian StyleSimonaggio, Audrey, Damien Ambrosetti, Virginie Verkarre, Marie Auvray, Stéphane Oudard, and Yann-Alexandre Vano. 2022. "MiTF/TFE Translocation Renal Cell Carcinomas: From Clinical Entities to Molecular Insights" International Journal of Molecular Sciences 23, no. 14: 7649. https://doi.org/10.3390/ijms23147649
APA StyleSimonaggio, A., Ambrosetti, D., Verkarre, V., Auvray, M., Oudard, S., & Vano, Y.-A. (2022). MiTF/TFE Translocation Renal Cell Carcinomas: From Clinical Entities to Molecular Insights. International Journal of Molecular Sciences, 23(14), 7649. https://doi.org/10.3390/ijms23147649

