Missense Mutations in Desmoplakin Plakin Repeat Domains Have Dramatic Effects on Domain Structure and Function
Abstract
:1. Introduction
2. Results
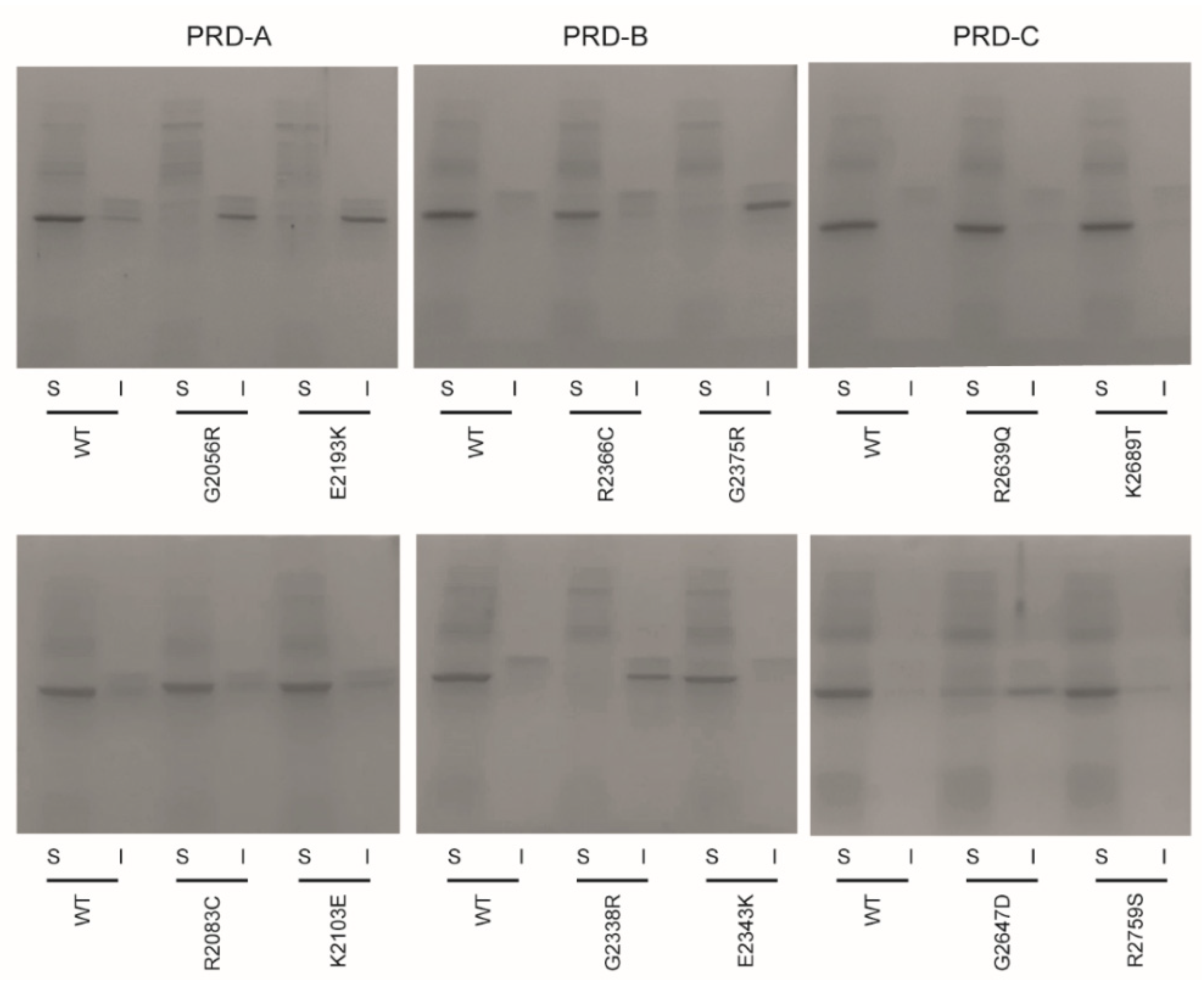
2.1. Mutations G2056R and E2193K in PRD-A, G2338R and G2375R in PRD-B and G2647D in PRD-C Render the Domains Insoluble Following Expression in Bacterial Cells
2.2. Predicting the Effect of Mutations on PRD Structure and Function
2.3. Mutation G2375R Adversely Affects Targeting to the Intermediate Filament Cytoskeleton in Transfected HeLa Cells
2.4. Deletion of Either PRD-B or PRD-C Adversely Affects Targeting of DSPC to IFs
2.5. Modelling the Effect of Mutations on PRD Structure
3. Discussion
4. Materials and Methods
4.1. Solubility Testing of Desmoplakin PRD Mutants
4.2. Expression of Desmoplakin Proteins in HeLa Cells, Immunofluorescence Microscopy and Western Blotting
4.3. Predicting the Functional and Structural Effects of Desmoplakin PRD Variants
4.4. Structural Modelling of Desmoplakin PRD Variants
Supplementary Materials
Author Contributions
Funding
Institutional Review Board Statement
Informed Consent Statement
Data Availability Statement
Acknowledgments
Conflicts of Interest
References
- Garrod, D.; Chidgey, M. Desmosome structure, composition and function. Biochim. Biophys. Acta 2008, 1778, 572–587. [Google Scholar] [CrossRef]
- Bouameur, J.E.; Favre, B.; Borradori, L. Plakins, a versatile family of cytolinkers: Roles in skin integrity and in human diseases. J. Investig. Dermatol. 2014, 134, 885–894. [Google Scholar] [CrossRef] [Green Version]
- Vasioukhin, V.; Bowers, E.; Bauer, C.; Degenstein, L.; Fuchs, E. Desmoplakin is essential in epidermal sheet formation. Nat. Cell Biol. 2001, 3, 1076–1085. [Google Scholar] [CrossRef]
- Jonkman, M.F.; Pasmooij, A.M.; Pasmans, S.G.; van den Berg, M.P.; Horst, H.J.T.; Timmer, A.; Pas, H.H. Loss of desmoplakin tail causes lethal acantholytic epidermolysis bullosa. Am. J. Hum. Genet. 2005, 77, 653–660. [Google Scholar] [CrossRef] [Green Version]
- Mohammed, F.; Trieber, C.; Overduin, M.; Chidgey, M. Molecular mechanism of intermediate filament recognition by plakin proteins. Biochim. Biophys. Acta Mol. Cell Res. 2020, 1867, 118801. [Google Scholar] [CrossRef]
- Choi, H.J.; Park-Snyder, S.; Pascoe, L.T.; Green, K.J.; Weis, W.I. Structures of two intermediate filament-binding fragments of desmoplakin reveal a unique repeat motif structure. Nat. Struct. Biol. 2002, 9, 612–620. [Google Scholar] [CrossRef]
- Kang, H.; Weiss, T.M.; Bang, I.; Weis, W.I.; Choi, H.J. Structure of the Intermediate Filament-Binding Region of Desmoplakin. PLoS ONE 2016, 11, e0147641. [Google Scholar] [CrossRef] [Green Version]
- Fogl, C.; Mohammed, F.; Al-Jassar, C.; Jeeves, M.; Knowles, T.J.; Rodriguez-Zamora, P.; White, S.A.; Odintsova, E.; Overduin, M.; Chidgey, M. Mechanism of intermediate filament recognition by plakin repeat domains revealed by envoplakin targeting of vimentin. Nat. Commun. 2016, 7, 10827. [Google Scholar] [CrossRef] [Green Version]
- Odintsova, E.; Mohammed, F.; Trieber, C.; Rodriguez-Zamora, P.; Al-Jassar, C.; Huang, T.H.; Fogl, C.; Knowles, T.; Sridhar, P.; Kumar, J.; et al. Binding of the periplakin linker requires vimentin acidic residues D176 and E187. Commun. Biol. 2020, 3, 83. [Google Scholar] [CrossRef]
- Mohammed, F.; Chidgey, M. Desmosomal protein structure and function and the impact of disease-causing mutations. J. Struct. Biol. 2021, 213, 107749. [Google Scholar] [CrossRef]
- Corrado, D.; Link, M.S.; Calkins, H. Arrhythmogenic Right Ventricular Cardiomyopathy. N. Engl. J. Med. 2017, 376, 61–72. [Google Scholar] [CrossRef]
- Sim, N.L.; Kumar, P.; Hu, J.; Henikoff, S.; Schneider, G.; Ng, P.C. SIFT web server: Predicting effects of amino acid substitutions on proteins. Nucleic Acids Res. 2012, 40, W452–W457. [Google Scholar] [CrossRef]
- Ittisoponpisan, S.; Islam, S.A.; Khanna, T.; Alhuzimi, E.; David, A.; Sternberg, M.J.E. Can Predicted Protein 3D Structures Provide Reliable Insights into whether Missense Variants Are Disease Associated? J. Mol. Biol. 2019, 431, 2197–2212. [Google Scholar] [CrossRef]
- Adzhubei, I.A.; Schmidt, S.; Peshkin, L.; Ramensky, V.E.; Gerasimova, A.; Bork, P.; Kondrashov, A.S.; Sunyaev, S.R. A method and server for predicting damaging missense mutations. Nat. Methods 2010, 7, 248–249. [Google Scholar] [CrossRef] [Green Version]
- Rodrigues, C.H.; Pires, D.E.; Ascher, D.B. DynaMut: Predicting the impact of mutations on protein conformation, flexibility and stability. Nucleic Acids Res. 2018, 46, W350–W355. [Google Scholar] [CrossRef]
- Frappier, V.; Chartier, M.; Najmanovich, R.J. ENCoM server: Exploring protein conformational space and the effect of mutations on protein function and stability. Nucleic Acids Res. 2015, 43, W395–W400. [Google Scholar] [CrossRef] [Green Version]
- Pires, D.E.; Ascher, D.B.; Blundell, T.L. mCSM: Predicting the effects of mutations in proteins using graph-based signatures. Bioinformatics 2014, 30, 335–342. [Google Scholar] [CrossRef] [PubMed] [Green Version]
- Pandurangan, A.P.; Ochoa-Montano, B.; Ascher, D.B.; Blundell, T.L. SDM: A server for predicting effects of mutations on protein stability. Nucleic Acids Res. 2017, 45, W229–W235. [Google Scholar] [CrossRef] [Green Version]
- Pires, D.E.; Ascher, D.B.; Blundell, T.L. DUET: A server for predicting effects of mutations on protein stability using an integrated computational approach. Nucleic Acids Res. 2014, 42, W314–W319. [Google Scholar] [CrossRef]
- Christensen, A.H.; Benn, M.; Bundgaard, H.; Tybjaerg-Hansen, A.; Haunso, S.; Svendsen, J.H. Wide spectrum of desmosomal mutations in Danish patients with arrhythmogenic right ventricular cardiomyopathy. J. Med. Genet. 2010, 47, 736–744. [Google Scholar] [CrossRef] [Green Version]
- Brion, M.; Blanco-Verea, A.; Sobrino, B.; Santori, M.; Gil, R.; Ramos-Luis, E.; Martinez, M.; Amigo, J.; Carracedo, A. Next generation sequencing challenges in the analysis of cardiac sudden death due to arrhythmogenic disorders. Electrophoresis 2014, 35, 3111–3116. [Google Scholar] [CrossRef]
- Ferro, M.D.; Stolfo, D.; Altinier, A.; Gigli, M.; Perrieri, M.; Ramani, F.; Barbati, G.; Pivetta, A.; Brun, F.; Monserrat, L.; et al. Association between mutation status and left ventricular reverse remodelling in dilated cardiomyopathy. Heart 2017, 103, 1704–1710. [Google Scholar] [CrossRef]
- Yesudian, P.D.; Cabral, R.M.; Ladusans, E.; Spinty, S.; Gibbs, J.; Fryer, A.; Christiano, A.M.; Mendelsohn, S.S. Novel compound heterozygous mutations in the desmoplakin gene cause hair shaft abnormalities and culminate in lethal cardiomyopathy. Clin. Exp. Dermatol. 2014, 39, 506–508. [Google Scholar] [CrossRef]
- Walsh, R.; Thomson, K.L.; Ware, J.S.; Funke, B.H.; Woodley, J.; McGuire, K.J.; Mazzarotto, F.; Blair, E.; Seller, A.; Taylor, J.C.; et al. Reassessment of Mendelian gene pathogenicity using 7855 cardiomyopathy cases and 60,706 reference samples. Genet. Med. 2017, 19, 192–203. [Google Scholar] [CrossRef] [Green Version]
- Gandjbakhch, E.; Charron, P.; Fressart, V.; de la Grandmaison, G.L.; Simon, F.; Gary, F.; Vite, A.; Hainque, B.; Hidden-Lucet, F.; Komajda, M.; et al. Plakophilin 2A is the dominant isoform in human heart tissue: Consequences for the genetic screening of arrhythmogenic right ventricular cardiomyopathy. Heart 2011, 97, 844–849. [Google Scholar] [CrossRef] [PubMed]
- Whittock, N.V.; Wan, H.; Morley, S.M.; Garzon, M.C.; Kristal, L.; Hyde, P.; McLean, W.H.; Pulkkinen, L.; Uitto, J.; Christiano, A.M.; et al. Compound heterozygosity for non-sense and mis-sense mutations in desmoplakin underlies skin fragility/woolly hair syndrome. J. Investig. Dermatol. 2002, 118, 232–238. [Google Scholar] [CrossRef] [PubMed]
- Alcalai, R.; Metzger, S.; Rosenheck, S.; Meiner, V.; Chajek-Shaul, T. A recessive mutation in desmoplakin causes arrhythmogenic right ventricular dysplasia, skin disorder, and woolly hair. J. Am. Coll. Cardiol. 2003, 42, 319–327. [Google Scholar] [CrossRef] [Green Version]
- Yu, C.C.; Yu, C.H.; Hsueh, C.H.; Yang, C.T.; Juang, J.M.; Hwang, J.J.; Lin, J.L.; Lai, L.P. Arrhythmogenic right ventricular dysplasia: Clinical characteristics and identification of novel desmosome gene mutations. J. Formos. Med. Assoc. 2008, 107, 548–558. [Google Scholar] [CrossRef] [Green Version]
- Bao, J.; Wang, J.; Yao, Y.; Wang, Y.; Fan, X.; Sun, K.; He, D.S.; Marcus, F.I.; Zhang, S.; Hui, R.; et al. Correlation of ventricular arrhythmias with genotype in arrhythmogenic right ventricular cardiomyopathy. Circ. Cardiovasc. Genet. 2013, 6, 552–556. [Google Scholar] [CrossRef] [Green Version]
- Quarta, G.; Muir, A.; Pantazis, A.; Syrris, P.; Gehmlich, K.; Garcia-Pavia, P.; Ward, D.; Sen-Chowdhry, S.; Elliott, P.M.; McKenna, W.J. Familial evaluation in arrhythmogenic right ventricular cardiomyopathy: Impact of genetics and revised task force criteria. Circulation 2011, 123, 2701–2709. [Google Scholar] [CrossRef]
- Manders, E.M.M.; Verbeek, F.J.; Aten, J.A. Measurement of Colocalization of Objects in Dual-Color Confocal Images. J. Microsc. Oxf. 1993, 169, 375–382. [Google Scholar] [CrossRef] [PubMed]
- Favre, B.; Begre, N.; Borradori, L. A recessive mutation in the DSP gene linked to cardiomyopathy, skin fragility and hair defects impairs the binding of desmoplakin to epidermal keratins and the muscle-specific intermediate filament desmin. Br. J. Dermatol. 2018, 179, 797–799. [Google Scholar] [CrossRef]
- Favre, B.; Begre, N.; Marsili, L.; van Tintelen, J.P.; Borradori, L. Desmoplakin Gene Variants and Risk for Arrhythmogenic Cardiomyopathy. Circ. Genom. Precis. Med. 2018, 11, e002241. [Google Scholar] [CrossRef]
- Fontao, L.; Favre, B.; Riou, S.; Geerts, D.; Jaunin, F.; Saurat, J.; Green, K.J.; Sonnenberg, A.; Borradori, L. Interaction of the Bullous Pemphigoid Antigen 1 (BP230) and Desmoplakin with Intermediate Filaments Is Mediated by Distinct Sequences within Their COOH Terminus. Mol. Biol. Cell 2003, 14, 1978–1992. [Google Scholar] [CrossRef] [PubMed]
- Albrecht, L.V.; Zhang, L.; Shabanowitz, J.; Purevjav, E.; Towbin, J.A.; Hunt, D.F.; Green, K.J. GSK3- and PRMT-1—Dependent modifiations of desmoplakin control desmoplakin—Cytoskeleton dynamics. J. Cell Biol. 2015, 208, 597–612. [Google Scholar] [CrossRef] [Green Version]
- Wang, D.; Liu, D.; Yuchi, J.; He, F.; Jiang, Y.; Cai, S.; Li, J.; Xu, D. MusiteDeep: A deep-learning based webserver for protein post-translational modification site prediction and visualization. Nucl. Acid. Res. 2020, 48, W140–W146. [Google Scholar] [CrossRef] [PubMed] [Green Version]






| PRD | Mutation | Disease | Reference | Bacterial Expression | Consistency Score | SIFT | Misense3D | I-TASSERC-Score |
|---|---|---|---|---|---|---|---|---|
| A | G2056R | Cardiomyopathy, skin and hair abnormalities | Christensen et al. [20] | Insoluble | 8 | Deleterious (0.01) | Structural damage * | 1.58 |
| A | R2083C | Long QT syndrome | Brion et al. [21] | Soluble | 3 | Deleterious (0.04) | No damage | 1.41 |
| A | K2103E | Cardiomyopathy | Dal Ferro et al. [22] | Soluble | 4 | Tolerant (0.20) | No damage | 1.40 |
| A | E2193K | Cardiomyopathy, skin and hair abnormalities | Yesudian et al. [23] | Insoluble | 7 | Tolerant (0.07) | No damage | 1.58 |
| B | G2338R | Cardiomyopathy | Walsh et al. [24] | Insoluble | 8 | Deleterious (0.00) ∫ | Structural damage ** | 1.42 |
| B | E2343K | Cardiomyopathy | Gandjbakhch et al. [25] | Soluble | 4 | Tolerant (0.42) | No damage | 1.43 |
| B | R2366C | Skin and hair abnormalities | Whittock et al. [26] | Soluble | 6 | Deleterious (0.02) ∫ | No damage | 1.42 |
| B | G2375R | Cardiomyopathy, skin and hair abnormalities | Alcalai et al. [27] | Insoluble | 8 | Deleterious (0.00) ∫ | Structural damage ** | 1.41 |
| C | R2639Q | Cardiomyopathy | Yu et al. [28] | Soluble | 5 | Tolerant (0.06) | No damage | 0.61 |
| C | G2647D | Cardiomyopathy | Walsh et al. [24] | Soluble/Insoluble | 6 | Deleterious (0.01) | Structural damage *** | 0.51 |
| C | K2689T | Cardiomyopathy | Bao et al. [29] | Soluble | 6 | Tolerant (0.23) | No damage | 0.59 |
| C | R2759S | Cardiomyopathy | Quarta et al. [30] | Soluble | 5 | Tolerant (0.27) | No damage | 0.53 |
Publisher’s Note: MDPI stays neutral with regard to jurisdictional claims in published maps and institutional affiliations. |
© 2022 by the authors. Licensee MDPI, Basel, Switzerland. This article is an open access article distributed under the terms and conditions of the Creative Commons Attribution (CC BY) license (https://creativecommons.org/licenses/by/4.0/).
Share and Cite
Mohammed, F.; Odintsova, E.; Chidgey, M. Missense Mutations in Desmoplakin Plakin Repeat Domains Have Dramatic Effects on Domain Structure and Function. Int. J. Mol. Sci. 2022, 23, 529. https://doi.org/10.3390/ijms23010529
Mohammed F, Odintsova E, Chidgey M. Missense Mutations in Desmoplakin Plakin Repeat Domains Have Dramatic Effects on Domain Structure and Function. International Journal of Molecular Sciences. 2022; 23(1):529. https://doi.org/10.3390/ijms23010529
Chicago/Turabian StyleMohammed, Fiyaz, Elena Odintsova, and Martyn Chidgey. 2022. "Missense Mutations in Desmoplakin Plakin Repeat Domains Have Dramatic Effects on Domain Structure and Function" International Journal of Molecular Sciences 23, no. 1: 529. https://doi.org/10.3390/ijms23010529
APA StyleMohammed, F., Odintsova, E., & Chidgey, M. (2022). Missense Mutations in Desmoplakin Plakin Repeat Domains Have Dramatic Effects on Domain Structure and Function. International Journal of Molecular Sciences, 23(1), 529. https://doi.org/10.3390/ijms23010529
