Infiltration of Immune Competent Cells into Primary Tumors and Their Surrounding Connective Tissues in Xenograft and Syngeneic Mouse Models
Abstract
1. Introduction
2. Results
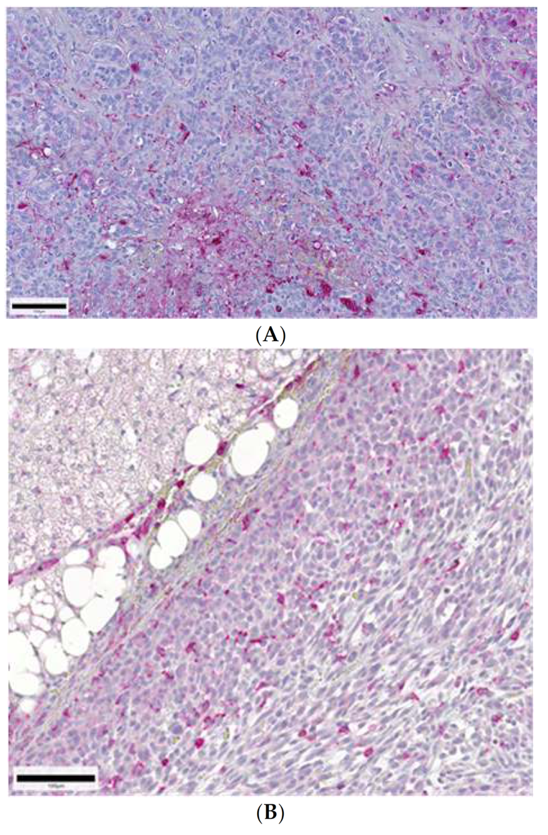
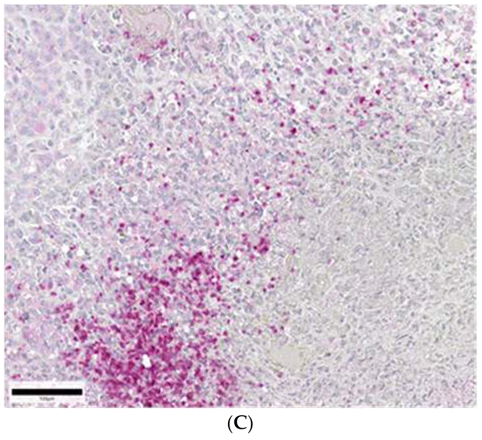
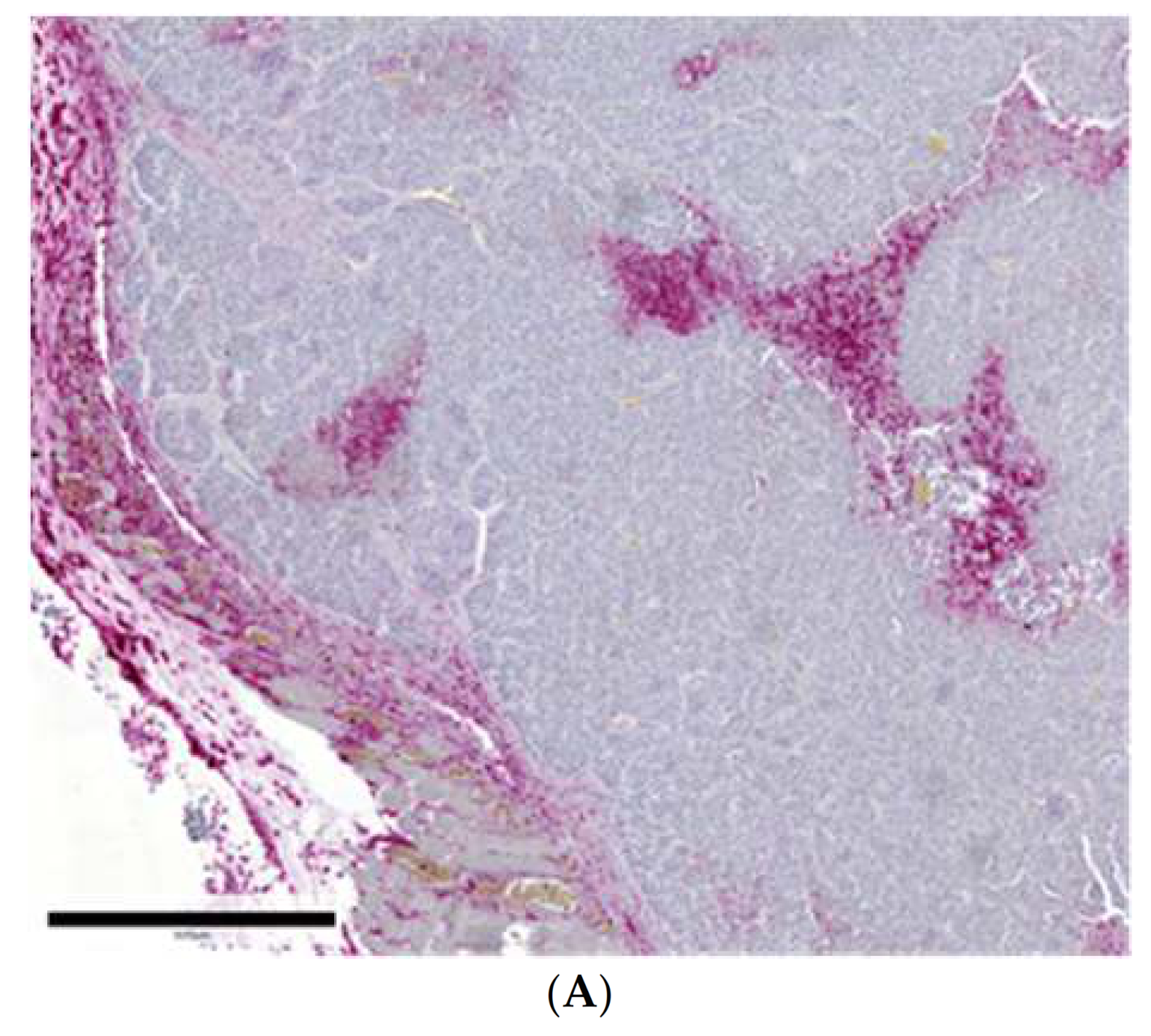
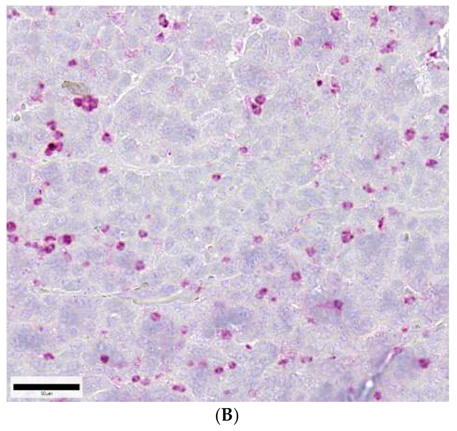
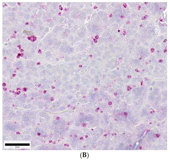
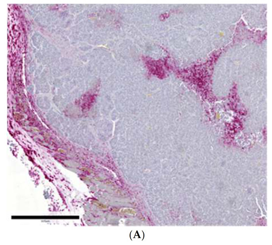
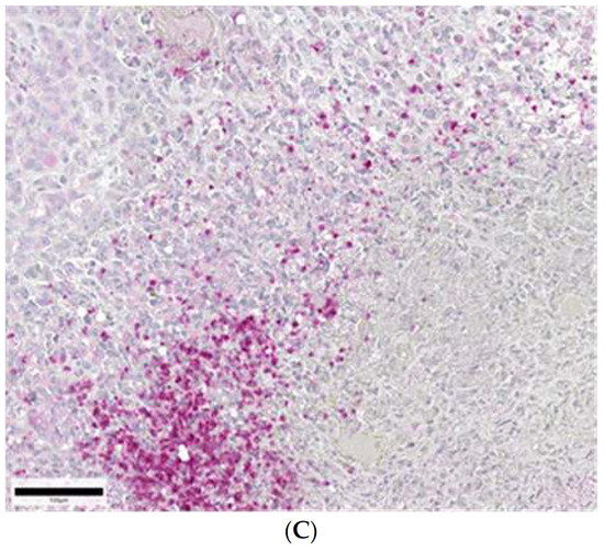
2.1. Human Primary Xenograft Tumors
2.1.1. Breast Cancer
2.1.2. Colon Cancer
2.1.3. Melanoma
2.1.4. Ovarian Cancer
2.1.5. Neuroblastoma
2.1.6. Pancreatic Cancer
2.1.7. Prostate Cancer
2.1.8. Small Cell Lung Cancer
2.2. Syngeneic Primary WAP-T1 and WAP-T-NP8 Tumors
2.2.1. Hyperplasia (HP)
2.2.2. Dysplasia/DCIS (G0)
2.2.3. Dysplasia Grade 1 (G1)
2.2.4. Dysplasia Grade 2 (G2)
2.2.5. Dysplasia Grade 3 (G3)
2.2.6. Dysplasia Grade 4 (G4)
3. Discussion
4. Materials and Methods
4.1. Syngeneic WAP-T Mammary Carcinomas
4.2. Xenografted Human Tumors in Scid Mice
4.3. Histology and Immuno- and Lectin Histochemistry
4.4. Antibody Staining
4.4.1. Pan-Leukocyte Marker CD45
4.4.2. NK Cell Marker CD11b
4.4.3. Macrophage Marker CD68
4.4.4. Dendritic Cell Marker BSA-I
5. Conclusions
Author Contributions
Funding
Institutional Review Board Statement
Informed Consent Statement
Data Availability Statement
Acknowledgments
Conflicts of Interest
References
- Kobold, S.; Duewell, P.; Schnurr, M.; Subklewe, M.; Rothenfusser, S.; Endres, S. Immunotherapy in tumors. Dtsch. Arztebl. Online 2015, 112, 809–815. [Google Scholar] [CrossRef] [PubMed][Green Version]
- Allavena, P.; Sica, A.; Solinas, G.; Porta, C.; Mantovani, A. The inflammatory micro-environment in tumor progression: The role of tumor-associated macrophages. Crit. Rev. Oncol. Hematol. 2008, 66, 1–9. [Google Scholar] [CrossRef] [PubMed]
- Colotta, F.; Allavena, P.; Sica, A.; Garlanda, C.; Mantovani, A. Cancer-related inflammation, the seventh hallmark of cancer: Links to genetic instability. Carcinogenesis 2009, 30, 1073–1081. [Google Scholar] [CrossRef] [PubMed]
- Sica, A.; Allavena, P.; Mantovani, A. Cancer related inflammation: The macrophage connection. Cancer Lett. 2008, 267, 204–215. [Google Scholar] [CrossRef]
- Márquez-Rodas, I.; Cerezuela, P.; Soria, A.; Berrocal, A.; Riso, A.; González-Cao, M.; Martín-Algarra, S. Immune checkpoint inhibitors: Therapeutic advances in melanoma. Ann. Transl. Med. 2015, 3, 267. [Google Scholar] [CrossRef]
- Postow, M.A.; Callahan, M.K.; Wolchok, J.D. Immune checkpoint blockade in cancer therapy. J. Clin. Oncol. 2015, 33, 1974–1982. [Google Scholar] [CrossRef]
- Deppert, W.; Bruns, M. Cancer immunotherapy: Weak beats strong. Aging 2016, 8, 2607–2608. [Google Scholar] [CrossRef][Green Version]
- Hamid, O.; Boasberg, P.D.; Rosenthal, K.; O’Day, S.J. Systemic treatment of metastatic melanoma: New approaches. J. Surg. Oncol. 2011, 104, 425–429. [Google Scholar] [CrossRef]
- Krummel, M.F.; Allison, J.P. Ctla-4 engagement inhibits il-2 accumulation and cell cycle progression upon activation of resting t cells. J. Exp. Med. 1996, 183, 2533–2540. [Google Scholar] [CrossRef]
- Horst, H.A.; Horny, H.P. Frequency distribution of lymphoreticular infiltrates in invasive carcinoma of the female breast. Cancer Detect. Prev. 1988, 11, 297–301. [Google Scholar]
- Bruns, M.; Wanger, J.; Utermöhlen, O.; Deppert, W. An inducible transgenic mouse breast cancer model for the analysis of tumor antigen specific cd8+ t-cell responses. Oncotarget 2015, 6, 38487–38503. [Google Scholar] [CrossRef]
- Bruns, M.; Wanger, J.; Schumacher, U.; Deppert, W. T-cell epitope strength in wap-t mouse mammary carcinomas is an important determinant in pd1/pd-l1 immune checkpoint blockade therapy. Oncotarget 2016, 7, 64543–64559. [Google Scholar] [CrossRef][Green Version]
- Wegwitz, F.; Kluth, M.-A.; Mänz, C.; Otto, B.; Gruner, K.; Heinlein, C.; Kühl, M.; Warnecke, G.; Schumacher, U.; Deppert, W.; et al. Tumorigenic wap-t mouse mammary carcinoma cells: A model for a self-reproducing homeostatic cancer cell system. PLoS ONE 2010, 5, e12103. [Google Scholar] [CrossRef][Green Version]
- Schulze-Garg, C.; Löhler, J.; Gocht, A.; Deppert, W. A transgenic mouse model for the ductal carcinoma in situ (dcis) of the mammary gland. Oncogene 2000, 19, 1028–1037. [Google Scholar] [CrossRef]
- Custer, R.P.; Bosma, G.C.; Bosma, M.J. Severe combined immunodeficiency (scid) in the mouse. Pathology, reconstruction, neoplasm. Am. J. Pathol. 1985, 120, 464–477. [Google Scholar]
- van der Weyden, L.; Arends, M.J.; Campbell, A.D.; Bald, T.; Wardle-Jones, H.; Griggs, N.; del Castillo, M.; Valesco-Herrera, M.d.C.; Tüting, T.; Sansom, O.J.; et al. Genome-wide in vivo screen identifies novel host regulators of metastatic colonization. Nature 2017, 541, 233–236. [Google Scholar] [CrossRef]
- Brodbeck, T.; Nehmann, N.; Bethge, A.; Wedemann, G.; Schumacher, U. Perforin-dependent direct cytotoxicity in natural killer cells induces considerable knockdown of spontaneous lung metastases and computer modelling-proven tumor cell dormancy in a ht29 human colon cancer xenograft mouse model. Mol. Cancer 2014, 13, 244. [Google Scholar] [CrossRef]
- Heine, M.; Nollau, P.; Masslo, C.; Nielsen, P.; Freund, B.; Bruns, O.T.; Reimer, R.; Hohenberg, H.; Peldschus, K.; Ittrich, H.; et al. Investigations on the usefulness of ceacams as potential imaging targets for molecular imaging purposes. PLoS ONE 2011, 6, e28030. [Google Scholar] [CrossRef][Green Version]
- Heine, M.; Freund, B.; Nielsen, P.; Jung, C.; Reimer, R.; Hohenberg, H.; Zangemeister-Wittke, U.; Wester, H.-J.; Lüers, G.H.; Schumacher, U. High interstitial fluid pressure is associated with low tumor penetration of diagnostic monoclonal antibodies applied for molecular imaging purposes. PLoS ONE 2012, 7, e36258. [Google Scholar] [CrossRef]
- Wang, Z.; Wu, Z.; Liu, Y.; Han, W. New development in car-t cell therapy. J. Hematol. Oncol. 2017, 10, 53. [Google Scholar] [CrossRef]
- Mlecnik, B.; Bindea, G.; Kirilovsky, A.; Angell, H.K.; Obenauf, A.C.; Tosolini, M.; Church, S.E.; Maby, P.; Vasaturo, A.; Angelova, M.; et al. The tumor microenvironment and immunoscore are critical determinants of dissemination to distant metastasis. Sci. Transl. Med. 2016, 8, 327ra26. [Google Scholar] [CrossRef]
- Galon, J.; Mlecnik, B.; Bindea, G.; Angell, H.K.; Berger, A.; Lagorce, C.; Lugli, A.; Zlobec, I.; Hartmann, A.; Bifulco, C.; et al. Towards the introduction of the ‘immunoscore’ in the classification of malignant tumours. J. Pathol. 2014, 199–209. [Google Scholar] [CrossRef]
- Knips, J.; Czech-Sioli, M.; Spohn, M.; Heiland, M.; Moll, I.; Grundhoff, A.; Schumacher, U.; Fischer, N. Spontaneous lung metastasis formation of human merkel cell carcinoma cell lines transplanted into scid mice. Int. J. Cancer 2017, 141, 160–171. [Google Scholar] [CrossRef]
- Schwankhaus, N.; Gathmann, C.; Wicklein, D.; Riecken, K.; Schumacher, U.; Valentiner, U. Cell adhesion molecules in metastatic neuroblastoma models. Clin. Exp. Metastasis 2014, 31, 483–496. [Google Scholar] [CrossRef]
- Sodeur, S.; Ullrich, S.; Gustke, H.; Zangemeister-Wittke, U.; Schumacher, U. Increased numbers of spontaneous sclc metastasis in absence of nk cells after subcutaneous inoculation of different sclc cell lines into pfp/rag2 double knock out mice. Cancer Lett. 2009, 282, 146–151. [Google Scholar] [CrossRef]
- Valentiner, U.; Valentiner, F.-U.; Schumacher, U. Expression of cd44 is associated with a metastatic pattern of human neuroblastoma cells in a scid mouse xenograft model. Tumour Biol. 2008, 29, 152–160. [Google Scholar] [CrossRef]
- Thies, A.; Mauer, S.; Fodstad, O.; Schumacher, U. Clinically proven markers of metastasis predict metastatic spread of human melanoma cells engrafted in scid mice. Br. J. Cancer 2007, 96, 609–616. [Google Scholar] [CrossRef]
- Schumacher, U.; Adam, E. Lectin histochemical HPA-binding pattern of human breast and colon cancers is associated with metastases formation in severe combined immunodeficient mice. Histochem. J. 1997, 29, 677–684. [Google Scholar] [CrossRef]
- Schreiber, S.; Gocht, A.; Wegwitz, F.; Deppert, W.; Schumacher, U. Lectin histochemistry of murine wap-t mammary cancer reveals similar glycoconjugate changes to those in human breast cancer. Anticancer Res. 2014, 34, 7045–7053. [Google Scholar]
- Schröder, C.; Schumacher, U.; Müller, V.; Wirtz, R.M.; Streichert, T.; Richter, U.; Wicklein, D.; Milde-Langosch, K. The transcription factor fra-2 promotes mammary tumour progression by changing the adhesive properties of breast cancer cells. Eur. J. Cancer 2010, 46, 1650–1660. [Google Scholar] [CrossRef]
- Valentiner, U.; Hall, D.M.; Brooks, S.A.; Schumacher, U. Hpa binding and metastasis formation of human breast cancer cell lines transplanted into severe combined immunodeficient (scid) mice. Cancer Lett. 2005, 219, 233–242. [Google Scholar] [CrossRef] [PubMed]
- Oliveira-Ferrer, L.; Rößler, K.; Haustein, V.; Schröder, C.; Wicklein, D.; Maltseva, D.; Khaustova, N.; Samatov, T.; Tonevitsky, A.; Mahner, S.; et al. C-fos suppresses ovarian cancer progression by changing adhesion. Br. J. Cancer 2014, 110, 753–763. [Google Scholar] [CrossRef] [PubMed]
- Gebauer, F.; Wicklein, D.; Stubke, K.; Nehmann, N.; Schmidt, A.; Salamon, J.; Peldschus, K.; Nentwich, M.F.; Adam, G.; Tolstonog, G.; et al. Selectin binding is essential for peritoneal carcinomatosis in a xenograft model of human pancreatic adenocarcinoma in pfp--/rag2-- mice. Gut 2013, 62, 741–750. [Google Scholar] [CrossRef] [PubMed]
- Lange, T.; Ullrich, S.; Müller, I.; Nentwich, M.F.; Stübke, K.; Feldhaus, S.; Knies, C.; Hellwinkel, O.J.; Vessella, R.L.; Abramjuk, C.; et al. Human prostate cancer in a clinically relevant xenograft mouse model: Identification of beta(1,6)-branched oligosaccharides as a marker of tumor progression. Clin. Cancer Res. 2012, 18, 1364–1373. [Google Scholar] [CrossRef]
- Thies, A.; Dautel, P.; Meyer, A.; Pfüller, U.; Schumacher, U. Low-dose mistletoe lectin-i reduces melanoma growth and spread in a scid mouse xenograft model. Br. J. Cancer 2008, 98, 106–112. [Google Scholar] [CrossRef]
- Dewhirst, M.W.; Secomb, T.W. Transport of drugs from blood vessels to tumour tissue. Nat. Rev. Cancer 2017, 17, 738–750. [Google Scholar] [CrossRef]









| Entity | Cell Line | (n) | |
|---|---|---|---|
| Breast cancer | scid | T47D; MDA.MB.231; DU4475; MCF7 | 106 |
| Colon cancer | scid | CaCo; SW480; LS; HT29 | 103 |
| Melanoma | scid | Fem-X1; LOXIMVI; MV3; M-14 | 101 |
| Ovarian cancer | scid | OC2; OVCAR3 | 51 |
| Neuroblastoma | scid | Lan1; IMR32 | 52 |
| Pancreatic cancer | scid | PaCa5072; PaCa5061 | 51 |
| Prostate cancer | pfp/rag2 | PC3; LUCAP; DU145; LNCAP | 66 |
| Small cell lung cancer | pfp/rag2 | SW-2; H69AR; NCI-H69 | 66 |
| Location | Short Cut | Color |
|---|---|---|
| Adjacent adipose tissue | Adj.Ad.Tiss. | blue |
| Tumor capsule | Tum.Caps. | white |
| Intratumoral septae | Intra.Sept. | grey |
| Epithelial tumor tissue | Epithel.Tum.Tiss. | black |
| Hyperplasia (HP) | Hyperplasia | n = 10 |
| Dysplasia/DCIS (G0) | Non-invasive, intraepithelial neoplasia, forms of dysplasia and carcinoma in situ | n = 10 |
| Grade 1 (G1) | Well-differentiated invasive adenocarcinoma (low-grade) | n = 10 |
| Grade 2 (G2) | Moderately (to poorly) differentiated invasive adenocarcinomas (low-grade) | n = 10 |
| Grade 3 (G3) | Poorly differentiated (to undifferentiated) invasive adenocarcinomas (high-grade) | n = 10 |
| Grade 4 (G4) | Undifferentiated invasive adenocarcinomas with anaplastic changes (high-grade) | n = 10 |
Publisher’s Note: MDPI stays neutral with regard to jurisdictional claims in published maps and institutional affiliations. |
© 2021 by the authors. Licensee MDPI, Basel, Switzerland. This article is an open access article distributed under the terms and conditions of the Creative Commons Attribution (CC BY) license (https://creativecommons.org/licenses/by/4.0/).
Share and Cite
Metzen, M.; Bruns, M.; Deppert, W.; Schumacher, U. Infiltration of Immune Competent Cells into Primary Tumors and Their Surrounding Connective Tissues in Xenograft and Syngeneic Mouse Models. Int. J. Mol. Sci. 2021, 22, 4213. https://doi.org/10.3390/ijms22084213
Metzen M, Bruns M, Deppert W, Schumacher U. Infiltration of Immune Competent Cells into Primary Tumors and Their Surrounding Connective Tissues in Xenograft and Syngeneic Mouse Models. International Journal of Molecular Sciences. 2021; 22(8):4213. https://doi.org/10.3390/ijms22084213
Chicago/Turabian StyleMetzen, Marlon, Michael Bruns, Wolfgang Deppert, and Udo Schumacher. 2021. "Infiltration of Immune Competent Cells into Primary Tumors and Their Surrounding Connective Tissues in Xenograft and Syngeneic Mouse Models" International Journal of Molecular Sciences 22, no. 8: 4213. https://doi.org/10.3390/ijms22084213
APA StyleMetzen, M., Bruns, M., Deppert, W., & Schumacher, U. (2021). Infiltration of Immune Competent Cells into Primary Tumors and Their Surrounding Connective Tissues in Xenograft and Syngeneic Mouse Models. International Journal of Molecular Sciences, 22(8), 4213. https://doi.org/10.3390/ijms22084213
