Unravelling Regioselectivity of Leuconostoc citreum ABK-1 Alternansucrase by Acceptor Site Engineering
Abstract
1. Introduction
2. Results
2.1. Effect of Substitution at W675 Position to Activity and Kinetic Study
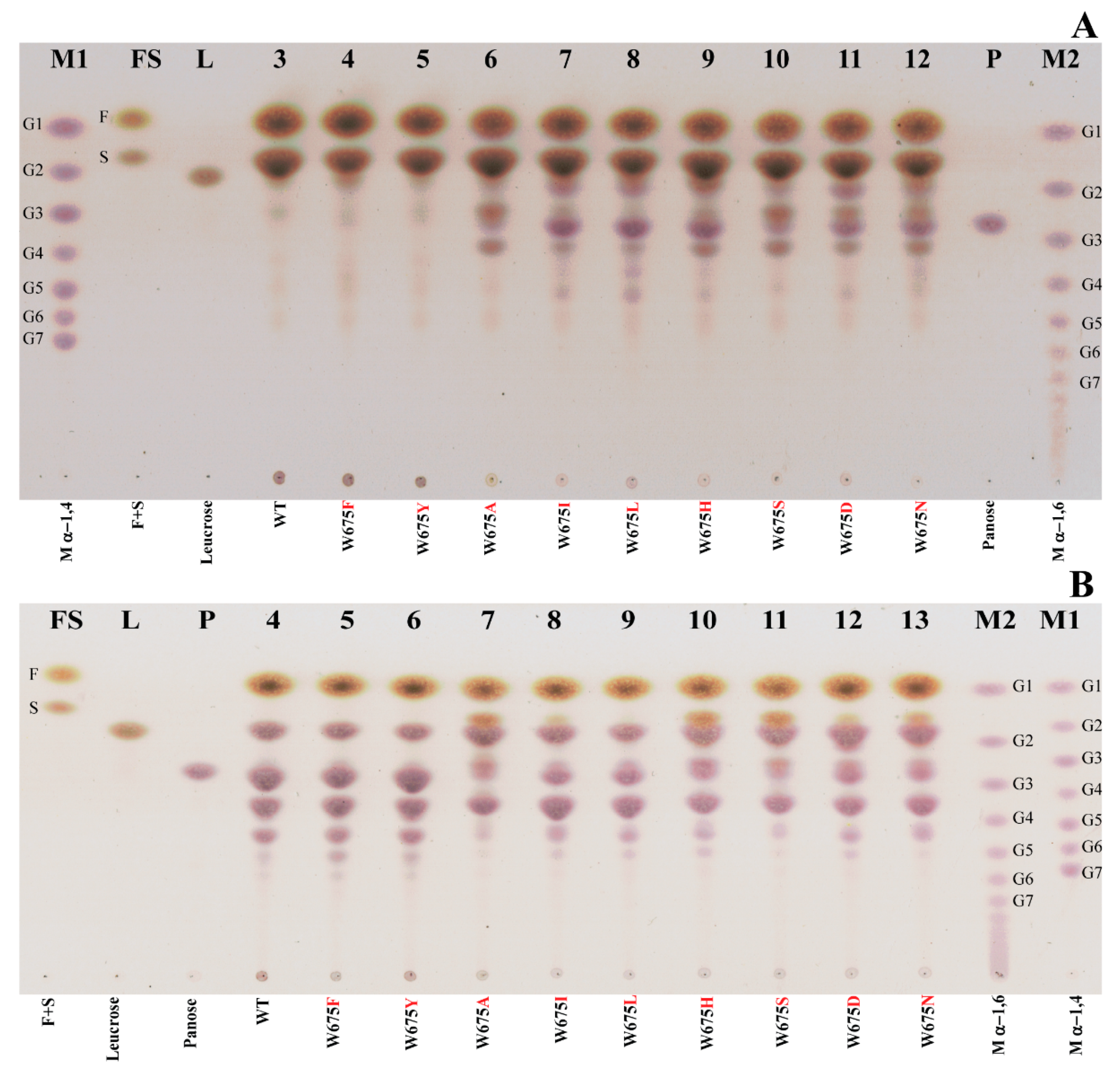
2.2. Product Analysis
2.2.1. Sucrose Reaction
2.2.2. Maltose-Acceptor Reaction
2.2.3. Products Comparison between WT and W675A
2.3. Molecular Modelling and Simulations
3. Discussion
| Parameters | WT | W675Y | W675F | W675A | W675L | |||||||||||
| Total activity | Km or k (mM) | 25.5 | ± | 6.1 | 14.2 | ± | 2.0 | 16.6 | ± | 2.1 | 43.0 | ± | 4.7 | 46.4 | ± | 6.0 |
| kcat (s−1) | 788.2 | ± | 86.6 | 110.9 | ± | 2.6 | 58.4 | ± | 1.4 | 12.3 | ± | 0.4 | 11.9 | ± | 0.4 | |
| kcat/Km (s−1 mM−1) | 30.9 | ± | 14.1 | 7.8 | ± | 1.3 | 3.5 | ± | 0.6 | 0.3 | ± | 0.1 | 0.3 | ± | 0.1 | |
| Tranglycosylation | Km or k (mM) | 33.4 | ± | 8.7 | 14.7 | ± | 2.4 | 18.0 | ± | 2.8 | 106.0 | ± | 17.6 | 92.7 | ± | 14.9 |
| kcat (s−1) | 815.6 | ± | 112 | 91.1 | ± | 2.6 | 47.1 | ± | 1.4 | 9.9 | ± | 0.6 | 9.2 | ± | 0.6 | |
| kcat/Km (s−1 mM−1) | 24.4 | ± | 12.8 | 6.2 | ± | 1.1 | 2.6 | ± | 0.5 | 0.09 | ± | 0.04 | 0.1 | ± | 0.04 | |
| Hydrolysis | Km or k (mM) | 8.4 | ± | 1.8 | 11.2 | ± | 2.9 | 4.0 | ± | 1.8 | 10.2 | ± | 1.8 | 10.8 | ± | 1.6 |
| kcat (s−1) | 56.0 | ± | 1.6 | 19.6 | ± | 0.8 | 11.2 | ± | 0.4 | 3.8 | ± | 0.1 | 3.5 | ± | 0.1 | |
| kcat/Km (s−1 mM−1) | 6.7 | ± | 0.9 | 1.8 | ± | 0.3 | 2.8 | ± | 0.2 | 0.4 | ± | 0.1 | 0.3 | ± | 0.05 | |
| Parameter | W675I | W675H | W675S | W675D | W675N | |||||||||||
| Total activity | Km or k (mM) | 53.1 | ± | 4.6 | 185.1 | ± | 22.7 | 63.6 | ± | 8.3 | 115.5 | ± | 10.7 | 69.9 | ± | 11.1 |
| kcat (s−1) | 7.3 | ± | 0.2 | 1.6 | ± | 0.2 | 10.3 | ± | 0.4 | 2.4 | ± | 0.1 | 6.8 | ± | 0.4 | |
| kcat/Km (s−1 mM−1) | 0.1 | ± | 0.04 | 0.01 | ± | 0.01 | 0.2 | ± | 0.1 | 0.02 | ± | 0.01 | 0.1 | ± | 0.03 | |
| Hill factor (n) | 1.9 | 0.2 | ||||||||||||||
| Tranglycosylation | Km or k (mM) | 79.0 | ± | 10.4 | 185.1 | ± | 22.7 | 160.6 | ± | 26.2 | 226.9 | ± | 93.4 | 90.9 | ± | 22.5 |
| kcat (s−1) | 5.0 | ± | 0.2 | 1.6 | ± | 0.2 | 9.0 | ± | 0.7 | 1.7 | ± | 0.5 | 4.1 | ± | 0.6 | |
| kcat/Km (s−1 mM−1) | 0.1 | ± | 0.0 | 0.01 | ± | 0.01 | 0.1 | ± | 0.03 | 0.01 | ± | 0.005 | 0.05 | ± | 0.03 | |
| Hill factor (n) | 1.9 | 0.2 | 1.4 | 0.3 | 1.5 | 0.4 | ||||||||||
| Hydrolysis | Km or k (mM) | 20.3 | ± | 4.9 | 185.1 | ± | 22.7 | 10.6 | ± | 1.9 | 6.9 | ± | 2.2 | 2.9 | ± | 1.9 |
| kcat (s−1) | 2.4 | ± | 0.1 | 0.01 | ± | 0.001 | 2.9 | ± | 0.1 | 0.8 | ± | 0.03 | 1.9 | ± | 0.1 | |
| kcat/Km (s−1 mM−1) | 0.1 | ± | 0.02 | 0.00004 | ± | 0.00003 | 0.3 | ± | 0.04 | 0.1 | ± | 0.01 | 0.7 | ± | 0.04 | |
| Hill factor (n) | 1.9 | 0.2 | ||||||||||||||
4. Materials and Methods
4.1. Mutagenesis and Enzyme Preparation
4.2. Enzymatic Assay
4.3. Kinetic Study
4.4. Product Production
4.4.1. Sucrose Reaction
4.4.2. Maltose-Acceptor Reaction
4.4.3. Polymer Preparation
4.5. Product Characterizations
4.5.1. Thin-Layer Chromatography (TLC) Analysis
4.5.2. High-Performance Anion-Exchange Chromatography with Pulsed Amperometric Detection (HPAEC-PAD) Analysis
4.5.3. High Pressure Size Exclusion Chromatography (HPSEC) Analysis
4.5.4. Separation of Oligosaccharides
4.5.5. Nuclear Magnetic Resonance Spectroscopy (NMR) Analysis
4.5.6. Dynamic Light Scattering (DLS) Analysis
4.5.7. Product Analysis by Partial Hydrolysis
4.6. Molecular Dynamics Simulations
5. Conclusions
Supplementary Materials
Author Contributions
Funding
Institutional Review Board Statement
Informed Consent Statement
Data Availability Statement
Acknowledgments
Conflicts of Interest
References
- Esko, J.D.; Kimata, K.; Lindahl, U. Chapter 17: Proteoglycans and sulfated glycosaminoglycans. In Essentials of Glycobiology; Cold Spring Harbor Laboratory Press: Cold Spring Harbor, NY, USA, 2009. [Google Scholar]
- Seeberger, P.H. Automated oligosaccharide synthesis. Chem. Soc. Rev. 2008, 37, 19–28. [Google Scholar] [CrossRef] [PubMed]
- Joseph, A.A.; Pardo-Vargas, A.; Seeberger, P.H. Total Synthesis of Polysaccharides by Automated Glycan Assembly. J. Am. Chem. Soc. 2020, 142, 8561–8564. [Google Scholar] [CrossRef] [PubMed]
- Leemhuis, H.; Pijning, T.; Dobruchowska, J.M.; van Leeuwen, S.S.; Kralj, S.; Dijkstra, B.W.; Dijkhuizen, L. Glucansucrases: Three-dimensional structures, reactions, mechanism, α-glucan analysis and their implications in biotechnology and food applications. J. Biotechnol. 2013, 163, 250–272. [Google Scholar] [CrossRef]
- Lombard, V.; Golaconda Ramulu, H.; Drula, E.; Coutinho, P.M.; Henrissat, B. The carbohydrate-active enzymes database (CAZy) in 2013. Nucleic Acids Res. 2014, 42, D490–D495. [Google Scholar] [CrossRef] [PubMed]
- Ferreira, A.S.; Silva, I.N.; Oliveira, V.H.; Cunha, R.; Moreira, L.M. Insights into the role of extracellular polysaccharides in Burkholderia adaptation to different environments. Front. Cell. Infect. Microbiol. 2011, 1, 16. [Google Scholar] [CrossRef]
- Broadbent, J.R.; McMahon, D.J.; Welker, D.L.; Oberg, C.J.; Moineau, S. Biochemistry, genetics, and applications of exopolysaccharide production in Streptococcus thermophilus: A review. J. Dairy Sci. 2003, 86, 407–423. [Google Scholar] [CrossRef]
- Kuhaudomlarp, S.; Patron, N.J.; Henrissat, B.; Rejzek, M.; Saalbach, G.; Field, R.A. Identification of Euglena gracilis β-1, 3-glucan phosphorylase and establishment of a new glycoside hydrolase (GH) family GH149. J. Biol. Chem. 2018, 293, 2865–2876. [Google Scholar] [CrossRef]
- Gangoiti, J.; Pijning, T.; Dijkhuizen, L. Biotechnological potential of novel glycoside hydrolase family 70 enzymes synthesizing α-glucans from starch and sucrose. Biotechnol. Adv. 2018, 36, 196–207. [Google Scholar] [CrossRef]
- Wangpaiboon, K.; Waiyaseesang, N.; Panpetch, P.; Charoenwongpaiboon, T.; Nepogodiev, S.A.; Ekgasit, S.; Field, R.A.; Pichayangkura, R. Characterisation of insoluble α-1, 3-/α-1, 6 mixed linkage glucan produced in addition to soluble α-1, 6-linked dextran by glucansucrase (DEX-N) from Leuconostoc citreum ABK-1. Int. J. Biol. Macromol. 2020, 152, 473–482. [Google Scholar] [CrossRef]
- Cote, G.L. Low-viscosity α-d-glucan fractions derived from sucrose which are resistant to enzymatic digestion. Carbohydr. Polym. 1992, 19, 249–252. [Google Scholar] [CrossRef]
- Münkel, F.; Bechtner, J.; Eckel, V.; Fischer, A.; Herbi, F.; Jakob, F.; Wefers, D. Detailed structural characterization of glucans produced by glucansucrases from Leuconostoc citreum TMW 2.1194. J. Agric. Food Chem. 2019, 67, 6856–6866. [Google Scholar] [CrossRef]
- Côté, G.L.; Robyt, J.F. Isolation and partial characterization of an extracellular glucansucrase from Leuconostoc mesenteroides NRRL B-1355 that synthesizes an alternating (1→6),(1→3)-α-D-glucan. Carbohydr. Res. 1982, 101, 57–74. [Google Scholar] [CrossRef]
- Wangpaiboon, K.; Padungros, P.; Nakapong, S.; Charoenwongpaiboon, T.; Rejzek, M.; Field, R.A.; Pichyangkura, R. An α-1, 6-and α-1, 3-linked glucan produced by Leuconostoc citreum ABK-1 alternansucrase with nanoparticle and film-forming properties. Sci. Rep. 2018, 8, 8340. [Google Scholar] [CrossRef] [PubMed]
- Côté, G.L.; Fobyt, J.F. Acceptor reactions of alternansucrase from Leuconostoc mesenteroides NRRL B-1355. Carbohydr. Res. 1982, 111, 127–142. [Google Scholar] [CrossRef]
- Côté, G.L.; Dunlap, C.A.; Vermillion, K.E. Glucosylation of raffinose via alternansucrase acceptor reactions. Carbohydr. Res. 2009, 344, 1951–1959. [Google Scholar] [CrossRef] [PubMed]
- Côté, G.L. Acceptor products of alternansucrase with gentiobiose. Production of novel oligosaccharides for food and feed and elimination of bitterness. Carbohydr. Res. 2009, 344, 187–190. [Google Scholar] [CrossRef] [PubMed]
- Charoenwongpaiboon, T.; Supraditaporn, K.; Klaimon, P.; Wangpaiboon, K.; Pichyangkura, R.; Issaragrisil, S.; Lorthongpanich, C. Effect of alternan versus chitosan on the biological properties of human mesenchymal stem cells. RSC Adv. 2019, 9, 4370–4379. [Google Scholar] [CrossRef]
- Sanz, M.L.; Côté, G.L.; Gibson, G.R.; Rastall, R.A. Prebiotic properties of alternansucrase maltose-acceptor oligosaccharides. J. Agric. Food Chem. 2005, 53, 5911–5916. [Google Scholar] [CrossRef]
- Joucla, G.; Pizzut, S.; Monsan, P.; Remaud-Simeon, M. Construction of a fully active truncated alternansucrase partially deleted of its carboxy-terminal domain. FEBS Lett. 2006, 580, 763–768. [Google Scholar] [CrossRef]
- Wangpaiboon, K.; Pitakchatwong, C.; Panpetch, P.; Charoenwongpaiboon, T.; Field, R.A.; Pichyangkura, R. Modified properties of alternan polymers arising from deletion of SH3-like motifs in Leuconostoc citreum ABK-1 alternansucrase. Carbohydr. Polym. 2019, 220, 103–109. [Google Scholar] [CrossRef]
- Molina, M.; Moulis, C.; Monties, N.; Pizzut-Serin, S.; Guieysse, D.; Morel, S.; Cioci, G.; Remaud-Siméon, M. Deciphering an Undecided Enzyme: Investigations of the Structural Determinants Involved in the Linkage Specificity of Alternansucrase. ACS Catal. 2019, 9, 2222–2237. [Google Scholar] [CrossRef]
- Vujičić-Žagar, A.; Pijning, T.; Kralj, S.; López, C.A.; Eeuwema, W.; Dijkhuizen, L.; Dijkstra, B.W. Crystal structure of a 117 kDa glucansucrase fragment provides insight into evolution and product specificity of GH70 enzymes. Proc. Natl. Acad. Sci. USA 2010, 107, 21406–21411. [Google Scholar] [CrossRef] [PubMed]
- Claverie, M.; Cioci, G.; Vuillemin, M.; Monties, N.; Roblin, P.; Lippens, G.; Remaud-Simeon, M.; Moulis, C. Investigations on the determinants responsible for low molar mass dextran formation by DSR-M dextransucrase. ACS Catal. 2017, 7, 7106–7119. [Google Scholar] [CrossRef]
- Asensio, J.L.; Ardá, A.; Cañada, F.J.; Jimenez-Barbero, J. Carbohydrate–aromatic interactions. Acc. Chem. Res. 2013, 46, 946–954. [Google Scholar] [CrossRef]
- Charoenwongpaiboon, T.; Sitthiyotha, T.; Ayutthaya, P.P.N.; Wangpaiboon, K.; Chunsrivirot, S.; Prousoontorn, M.H.; Pichyangkura, R. Modulation of fructooligosaccharide chain length and insight into the product binding motif of Lactobacillus reuteri 121 inulosucrase. Carbohydr. Polym. 2019, 209, 111–121. [Google Scholar] [CrossRef]
- Vuillemin, M.; Claverie, M.; Brison, Y.; Séverac, E.; Bondy, P.; Morel, S.; Monsan, P.; Moulis, C.; Remaud-Siméon, M. Characterization of the First α-(1→ 3) Branching Sucrases of the GH70 Family. J. Biol. Chem. 2016, 291, 7687–7702. [Google Scholar] [CrossRef] [PubMed]
- Fabre, E.; Bozonnet, S.; Arcache, A.; Willemot, R.-M.; Vignon, M.; Monsan, P.; Remaud-Simeon, M. Role of the two catalytic domains of DSR-E dextransucrase and their involvement in the formation of highly α-1, 2 branched dextran. J. Bacteriol. 2005, 187, 296–303. [Google Scholar] [CrossRef]
- Brison, Y.; Pijning, T.; Malbert, Y.; Fabre, É.; Mourey, L.; Morel, S.; Potocki-Véronèse, G.; Monsan, P.; Tranier, S.; Remaud-Siméon, M. Functional and structural characterization of α-(1→2) branching sucrase derived from DSR-E glucansucrase. J. Biol. Chem. 2012, 287, 7915–7924. [Google Scholar] [CrossRef] [PubMed]
- Van Leeuwen, S.S.; Kralj, S.; van Geel-Schutten, I.H.; Gerwig, G.J.; Dijkhuizen, L.; Kamerling, J.P. Structural analysis of the α-D-glucan (EPS180) produced by the Lactobacillus reuteri strain 180 glucansucrase GTF180 enzyme. Carbohydr. Res. 2008, 343, 1237–1250. [Google Scholar] [CrossRef]
- Meng, X.; Pijning, T.; Tietema, M.; Dobruchowska, J.M.; Yin, H.; Gerwig, G.J.; Kralj, S.; Dijkhuizen, L. Characterization of the glucansucrase GTF180 W1065 mutant enzymes producing polysaccharides and oligosaccharides with altered linkage composition. Food Chem. 2017, 217, 81–90. [Google Scholar] [CrossRef]
- Côté, G.L.; Sheng, S.; Dunlap, C.A. Alternansucrase acceptor products. Biocatal. Biotrans. 2008, 26, 161–168. [Google Scholar] [CrossRef]
- Robyt, J.F.; Eklund, S.H. Relative, quantitative effects of acceptors in the reaction of Leuconostoc mesenteroides B-512F dextransucrase. Carbohydr. Res. 1983, 121, 279–286. [Google Scholar] [CrossRef]
- Kralj, S.; van Geel-Schutten, G.; Van Der Maarel, M.; Dijkhuizen, L. Biochemical and molecular characterization of Lactobacillus reuteri 121 reuteransucrase. Microbiology 2004, 150, 2099–2112. [Google Scholar] [CrossRef]
- Heincke, K.; Demuth, B.; Jördening, H.-J.; Buchholz, K. Kinetics of the dextransucrase acceptor reaction with maltose—experimental results and modeling. Enzym. Microb. Technol. 1999, 24, 523–534. [Google Scholar] [CrossRef]
- Ito, K.; Ito, S.; Shimamura, T.; Weyand, S.; Kawarasaki, Y.; Misaka, T.; Abe, K.; Kobayashi, T.; Cameron, A.D.; Iwata, S. Crystal structure of glucansucrase from the dental caries pathogen Streptococcus mutans. J. Mol. Biol. 2011, 408, 177–186. [Google Scholar] [CrossRef] [PubMed]
- Heckman, K.L.; Pease, L.R. Gene splicing and mutagenesis by PCR-driven overlap extension. Nat. Protoc. 2007, 2, 924. [Google Scholar] [CrossRef]
- Miller, G.L. Use of dinitrosalicylic acid reagent for determination of reducing sugar. Anal. Chem. 1959, 31, 426–428. [Google Scholar] [CrossRef]
- Case, D.; Ben-Shalom, I.; Brozell, S.; Cerutti, D.; Cheatham, T., III; Cruzeiro, V.; Darden, T.; Duke, R.; Ghoreishi, D.; Gilson, M. Amber 18; University of California: San Francisco, CA, USA, 2018. [Google Scholar]
- Arnold, K.; Bordoli, L.; Kopp, J.; Schwede, T. The SWISS-MODEL workspace: A web-based environment for protein structure homology modelling. Bioinformatics 2006, 22, 195–201. [Google Scholar] [CrossRef] [PubMed]
- Biasini, M.; Bienert, S.; Waterhouse, A.; Arnold, K.; Studer, G.; Schmidt, T.; Kiefer, F.; Cassarino, T.G.; Bertoni, M.; Bordoli, L. SWISS-MODEL: Modelling protein tertiary and quaternary structure using evolutionary information. Nucleic Acids Res. 2014, 42, W252–W258. [Google Scholar] [CrossRef] [PubMed]
- Guex, N.; Peitsch, M.C.; Schwede, T. Automated comparative protein structure modeling with SWISS-MODEL and Swiss-PdbViewer: A historical perspective. Electrophoresis 2009, 30, S162–S173. [Google Scholar] [CrossRef] [PubMed]
- Kiefer, F.; Arnold, K.; Künzli, M.; Bordoli, L.; Schwede, T. The SWISS-MODEL Repository and associated resources. Nucleic Acids Res. 2008, 37, D387–D392. [Google Scholar] [CrossRef] [PubMed]
- Gordon, J.C.; Myers, J.B.; Folta, T.; Shoja, V.; Heath, L.S.; Onufriev, A. H++: A server for estimating p K as and adding missing hydrogens to macromolecules. Nucleic Acids Res. 2005, 33, W368–W371. [Google Scholar] [CrossRef] [PubMed]
- Jensen, M.H.; Mirza, O.; Albenne, C.; Remaud-Simeon, M.; Monsan, P.; Gajhede, M.; Skov, L.K. Crystal structure of the covalent intermediate of amylosucrase from Neisseria polysaccharea. Biochemistry 2004, 43, 3104–3110. [Google Scholar] [CrossRef]
- Frisch, M.; Trucks, G.; Schlegel, H.; Scuseria, G.; Robb, M.; Cheeseman, J.; Scalmani, G.; Barone, V.; Mennucci, B.; Petersson, G. Gaussian 09, Revision C; Gaussian Inc.: Wallingford, CT, USA, 2009. [Google Scholar]
- Kanjanatanin, P.; Pichyangkura, R.; Sitthiyotha, T.; Charoenwongpaiboon, T.; Wangpaiboon, K.; Chunsrivirot, S. Computational design of Bacillus licheniformis RN-01 levansucrase for control of the chain length of levan-type fructooligosaccharides. Int. J. Biol. Macromol. 2019, 140, 1239–1248. [Google Scholar] [CrossRef]
- Sitthiyotha, T.; Pichyangkura, R.; Chunsrivirot, S. Molecular dynamics provides insight into how N251A and N251Y mutations in the active site of Bacillus licheniformis RN-01 levansucrase disrupt production of long-chain levan. PLoS ONE 2018, 13, e0204915. [Google Scholar] [CrossRef]
- Punnatin, P.; Chanchao, C.; Chunsrivirot, S. Molecular dynamics reveals insight into how N226P and H227Y mutations affect maltose binding in the active site of α-glucosidase II from European honeybee, Apis mellifera. PLoS ONE 2020, 15, e0229734. [Google Scholar] [CrossRef]
- Klaewkla, M.; Pichyangkura, R.; Charoenwongpaiboon, T.; Wangpaiboon, K.; Chunsrivirot, S. Computational design of oligosaccharide producing levansucrase from Bacillus licheniformis RN-01 to improve its thermostability for production of levan-type fructooligosaccharides from sucrose. Int. J. Biol. Macromol. 2020, 160, 252–263. [Google Scholar] [CrossRef]
- Na Ayutthaya, P.P.; Chanchao, C.; Chunsrivirot, S. Insight into the substrate specificity change caused by the Y227H mutation of α-glucosidase III from the European honeybee (Apis mellifera) through molecular dynamics simulations. PLoS ONE 2018, 13, e0198484. [Google Scholar] [CrossRef]
- Mokmak, W.; Chunsrivirot, S.; Assawamakin, A.; Choowongkomon, K.; Tongsima, S. Molecular dynamics simulations reveal structural instability of human trypsin inhibitor upon D50E and Y54H mutations. J. Mol. Model. 2013, 19, 521–528. [Google Scholar] [CrossRef] [PubMed]
- Mokmak, W.; Chunsrivirot, S.; Hannongbua, S.; Yuthavong, Y.; Tongsima, S.; Kamchonwongpaisan, S. Molecular Dynamics of Interactions between Rigid and Flexible Antifolates and Dihydrofolate Reductase from Pyrimethamine-Sensitive and Pyrimethamine-Resistant Plasmodium falciparum. Chem. Biol. Drug Des. 2014, 84, 450–461. [Google Scholar] [CrossRef] [PubMed]
- Feig, M.; Karanicolas, J.; Brooks, C.L., III. MMTSB Tool Set: Enhanced sampling and multiscale modeling methods for applications in structural biology. J. Mol. Graph. Model. 2004, 22, 377–395. [Google Scholar] [CrossRef] [PubMed]
- Nivedha, A.K.; Thieker, D.F.; Makeneni, S.; Hu, H.; Woods, R.J. Vina-Carb: Improving glycosidic angles during carbohydrate docking. J. Chem. Theory Comput. 2016, 12, 892–901. [Google Scholar] [CrossRef] [PubMed]







Publisher’s Note: MDPI stays neutral with regard to jurisdictional claims in published maps and institutional affiliations. |
© 2021 by the authors. Licensee MDPI, Basel, Switzerland. This article is an open access article distributed under the terms and conditions of the Creative Commons Attribution (CC BY) license (http://creativecommons.org/licenses/by/4.0/).
Share and Cite
Wangpaiboon, K.; Sitthiyotha, T.; Chunsrivirot, S.; Charoenwongpaiboon, T.; Pichyangkura, R. Unravelling Regioselectivity of Leuconostoc citreum ABK-1 Alternansucrase by Acceptor Site Engineering. Int. J. Mol. Sci. 2021, 22, 3229. https://doi.org/10.3390/ijms22063229
Wangpaiboon K, Sitthiyotha T, Chunsrivirot S, Charoenwongpaiboon T, Pichyangkura R. Unravelling Regioselectivity of Leuconostoc citreum ABK-1 Alternansucrase by Acceptor Site Engineering. International Journal of Molecular Sciences. 2021; 22(6):3229. https://doi.org/10.3390/ijms22063229
Chicago/Turabian StyleWangpaiboon, Karan, Thassanai Sitthiyotha, Surasak Chunsrivirot, Thanapon Charoenwongpaiboon, and Rath Pichyangkura. 2021. "Unravelling Regioselectivity of Leuconostoc citreum ABK-1 Alternansucrase by Acceptor Site Engineering" International Journal of Molecular Sciences 22, no. 6: 3229. https://doi.org/10.3390/ijms22063229
APA StyleWangpaiboon, K., Sitthiyotha, T., Chunsrivirot, S., Charoenwongpaiboon, T., & Pichyangkura, R. (2021). Unravelling Regioselectivity of Leuconostoc citreum ABK-1 Alternansucrase by Acceptor Site Engineering. International Journal of Molecular Sciences, 22(6), 3229. https://doi.org/10.3390/ijms22063229

