A Novel Nano-Antimicrobial Polymer Engineered with Chitosan Nanoparticles and Bioactive Peptides as Promising Food Biopreservative Effective against Foodborne Pathogen E. coli O157-Caused Epithelial Barrier Dysfunction and Inflammatory Responses
Abstract
:1. Introduction
2. Results
2.1. Effects of CNMs at Different Working Concentrations on The Cytotoxicity of IPEC-J2 Cells
2.2. Cytotoxicity of Safe Concentrations of CNMs on IPEC-J2 Cells Treated for Different Times
2.3. Killing Curve and Antimicrobial Activity of CNMs
2.4. CNMs Effectively Inhibited E. coli O157-Induced Cellular Damage
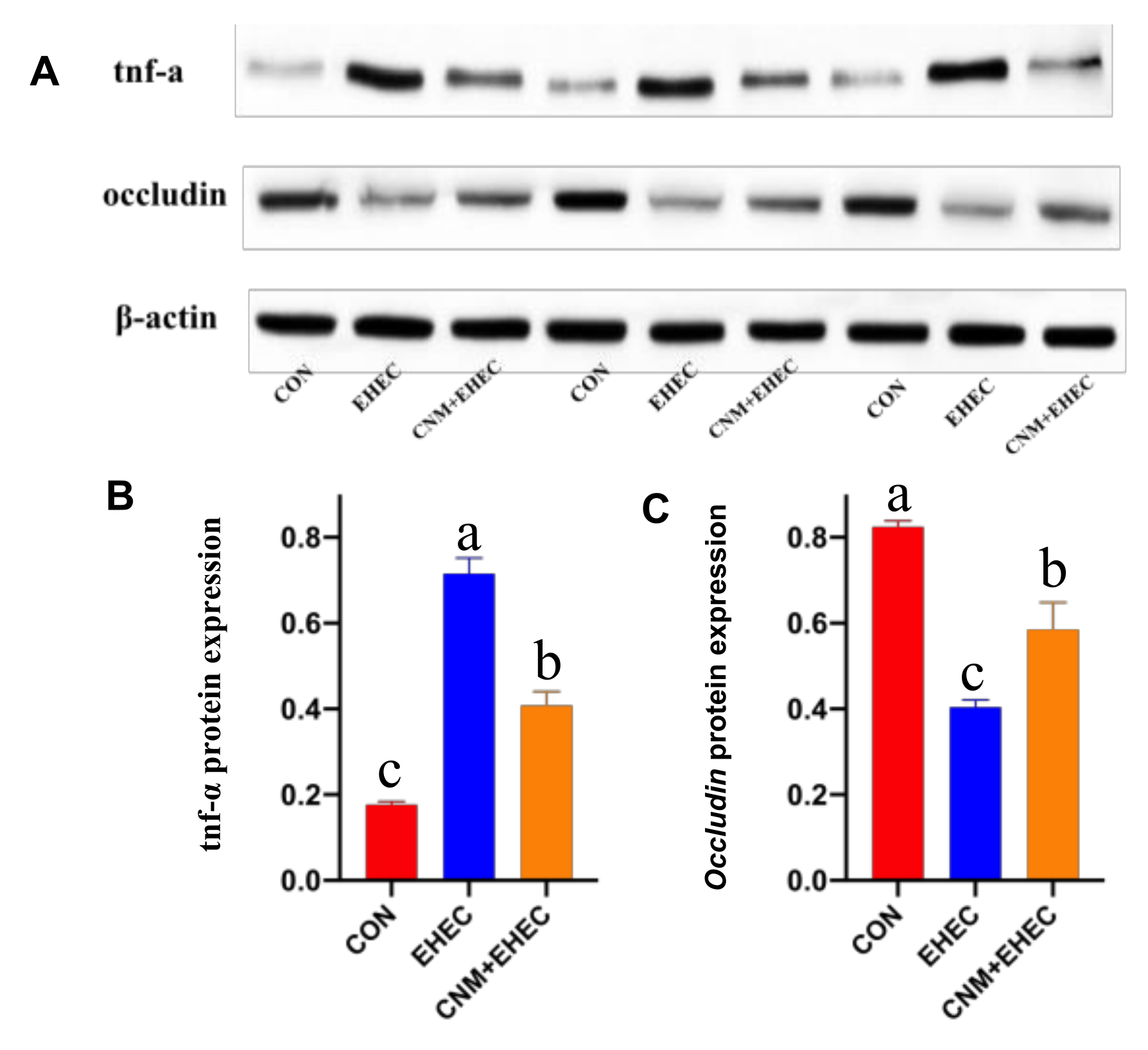
2.5. CNMs Improved Occludin Expression and Inhibited TNF-α Expression
2.6. CNMs Relieved Inflammatory Responses by Decreasing Proinflammatory Cytokine Levels
2.7. CNMs Attenuated Proinflammation by Inhibiting Mitogen-Activated Protein Kinase and Nuclear Factor Κb Pathway Activation
2.8. CNMs Improved Cell Damage and Inflammatory Responses by Attenuating Oxidative Stress Caused by E. coli O157 Infection
3. Discussion
4. Materials and Methods
4.1. Preparation of Chitosan Nanoparticles
4.2. Bioconjugation of Microcin J25 to CNs
4.3. Cell and Culture Conditions
4.4. Cytotoxicity Analysis
4.5. Antimicrobial Activity Curves
4.6. Adherence Assay
4.7. Measurement of TEER and LDH
4.8. Determination of Proinflammatory Cytokines
4.9. Real-Time PCR for mRNA Expression Analysis
4.10. Western Blot and Immunofluorescence Analysis
4.11. Determination of Antioxidant Activity
4.12. ROS Assay
4.13. Statistical Analysis
5. Conclusions
Author Contributions
Funding
Data Availability Statement
Acknowledgments
Conflicts of Interest
References
- Sethi, S.; Murphy, T.F. Bacterial infection in chronic obstructive pulmonary disease in 2000: A state-of-the-art review. Clin. Microbiol. Rev. 2001, 14, 336–363. [Google Scholar] [CrossRef] [PubMed] [Green Version]
- Gandhi, N.R.; Nunn, P.; Dheda, K.; Schaaf, H.S.; Zignol, M.; van Soolingen, D.; Jensen, P.; Bayona, J. Multidrug-resistant and extensively drug-resistant tuberculosis: A threat to global control of tuberculosis. Lancet 2010, 375, 1830–1843. [Google Scholar] [CrossRef]
- Fukuda, S.; Toh, H.; Hase, K.; Oshima, K.; Nakanishi, Y.; Yoshimura, K.; Tobe, T.; Clarke, J.M.; Topping, D.L.; Suzuki, T.; et al. Bifidobacteria can protect from enteropathogenic infection through production of acetate. Nature 2011, 469, 543–547. [Google Scholar] [CrossRef]
- Kumarasamy, K.K.; Toleman, M.A.; Walsh, T.R.; Bagaria, J.; Butt, F.; Balakrishnan, R.; Chaudhary, U.; Doumith, M.; Giske, C.G.; Irfan, S.; et al. Emergence of a new antibiotic resistance mechanism in India, Pakistan, and the UK: A molecular, biological, and epidemiological study. Lancet Infect. Dis. 2010, 10, 597–602. [Google Scholar] [CrossRef]
- Scallan, E.; Hoekstra, R.M.; Angulo, F.J.; Tauxe, R.V.; Widdowson, M.A.; Roy, S.L.; Jones, J.L.; Griffin, P.M. Foodborne illness acquired in the United States-major pathogens. Emerg. Infect. Dis. 2011, 17, 7–15. [Google Scholar] [CrossRef] [PubMed]
- Rangel, J.M.; Sparling, P.H.; Crowe, C.; Griffin, P.M.; Swerdlow, D.L. Epidemiology of Escherichia coli O157:H7 outbreaks, United States, 1982–2002. Emerg. Infect. Dis. 2005, 11, 603–609. [Google Scholar] [CrossRef] [PubMed]
- Wei, X.B.; Zhang, L.L.; Zhang, R.J.; Koci, M.; Si, D.Y.; Ahmad, B.; Cheng, J.H.; Wang, J.Y.; Aihemaiti, M.; Zhang, M.Y. A novel cecropin-ll37 hybrid eptide protects mice against EHEC Infection-mediated changes in gut microbiota, intestinal inflammation, and impairment of mucosal barrier functions. Front. Immunol. 2020, 11, 1361. [Google Scholar] [CrossRef] [PubMed]
- Farber, J.M. Food safety advice for the soul. Food Prot. 2016, 79 (Suppl. A), 2. [Google Scholar]
- Andersson, D.I.; Hughes, D. Antibiotic resistance and its cost: Is it possible to reverse resistance? Nat. Rev. Microbiol. 2010, 8, 260–271. [Google Scholar] [CrossRef] [PubMed]
- Yelin, I.; Kishony, R. Antibiotic resistance. Cell 2018, 172, 1136–1136.e1. [Google Scholar] [CrossRef] [PubMed]
- Hvistendahl, M. Public health. China takes aim at rampant antibiotic resistance. Science 2012, 336, 795. [Google Scholar] [CrossRef] [PubMed]
- CDC. Antibiotic resistance threats in the United States; U.S. Department of Health and Human Services: Atlanta, GA, USA; p. 2013.
- Hu, D.F.; Zou, L.Y.; Gao, Y.F.; Jin, Q.; Ji, J. Emerging nanobiomaterials against bacterial infections in postantibiotic era. VIEW 2020, 1, 20200014. [Google Scholar] [CrossRef]
- Ding, X.; Duan, S.; Ding, X.; Liu, R.; Xu, F.J. Versatile antibacterial materials: An emerging arsenal for combatting bacterial pathogens. Adv. Funct. Mater. 2018, 28, 1802140. [Google Scholar] [CrossRef]
- Li, Z.; Behrens, A.M.; Ginat, N.; Tzeng, S.Y.; Lu, X.; Sivan, S.; Langer, R.; Jaklenec, A. Biofilm-inspired encapsulation of probiotics for the treatment of complex infections. Adv. Mater. 2018, 30, e1803925. [Google Scholar] [CrossRef]
- Mills, J.J.; Robinson, K.R.; Zehnder, T.E.; Pierce, J.G. Synthesis and biological evaluation of the antimicrobial natural product lipoxazolidinone A. Angew. Chem. 2018, 57, 8682–8686. [Google Scholar] [CrossRef] [PubMed]
- Soltani, S.; Hammami, R.; Cotter, P.D.; Rebuffat, S.; Said, L.B.; Gaudreau, H.; Bédard, F.; Biron, E.; Drider, D.; Fliss, I. Bacteriocins as a new generation of antimicrobials: Toxicity aspects and regulations. FEMS. Microbiol. Rev. 2021, 45, fuaa039. [Google Scholar] [CrossRef] [PubMed]
- Baquero, F.; Moreno, F. The microcins. FEMS Microbiol. Lett. 1984, 23, 117–124. [Google Scholar] [CrossRef]
- Sassone-Corsi, M.; Nuccio, S.P.; Liu, H.; Hernandez, D.; Vu, C.T.; Takahashi, A.A.; Edwards, R.A.; Raffatellu, M. Microcins mediate competition among enterobacteriaceae in the inflamed gut. Nature 2016, 540, 280–283. [Google Scholar] [CrossRef] [PubMed]
- Ma, Z.X.; Garrido-Maestu, A.; Jeong, K.C. Application, mode of action, and in vivo activity of chitosan and its micro- and nanoparticles as antimicrobial agents: A review. Carbohydr. Polym. 2017, 176, 257–265. [Google Scholar] [CrossRef] [PubMed]
- Garrido-Maestu, A.; Ma, Z.X.; Paik, S.Y.; Chen, N.S.; Ko, S.; Tong, Z.H.; Jeong, K.C. Engineering of chitosan-derived nanoparticles to enhance antimicrobial activity against foodborne pathogen Escherichia coli O157:H7. Carbohydr. Polym. 2018, 197, 623–630. [Google Scholar] [CrossRef] [PubMed]
- Ma, Z.X.; Kim, D.; Adesogan, A.T.; Ko, S.; Galvao, K.N.; Jeong, K.C. Chitosan microparticles exert broad-spectrum antimicrobial activity against antibiotic-resistant microorganisms without increasing resistance. ACS Appl. Mater. Interfaces 2016, 8, 10700–10709. [Google Scholar] [CrossRef] [PubMed]
- Jeon, S.J.; Oh, M.; Yeo, W.S.; Galvão, K.N.; Jeong, K.C. Underlying mechanism of antimicrobial activity of chitosan microparticles and implications for the treatment of infectious diseases. PLoS ONE 2014, 9, e92723. [Google Scholar]
- Yu, H.T.; Ma, Z.X.; Meng, S.Y.; Qiao, S.Y.; Zeng, X.F.; Tong, Z.H.; Jeong, K.C. A novel nanohybrid antimicrobial based on chitosan nanoparticles and antimicrobial peptide microcin J25 with low toxicity. Carbohydr. Polym. 2021, 253, 117309. [Google Scholar] [CrossRef] [PubMed]
- Yu, H.T.; Li, N.; Zeng, X.F.; Liu, L.; Wang, Y.M.; Wang, G.; Cai, S.; Huang, S.; Ding, X.L.; Song, Q.L.; et al. A comprehensive antimicrobial activity evaluation of the recombinant microcin J25 against the foodborne pathogens Salmonella and E. coli O157:H7 by using a matrix of conditions. Front. Microbiol. 2019, 10, 1954. [Google Scholar] [CrossRef] [Green Version]
- Yu, H.T.; Wang, Y.M.; Zeng, X.F.; Cai, S.; Wang, G.; Liu, L.; Huang, S.; Li, N.; Liu, H.B.; Ding, X.L.; et al. Therapeutic administration of the recombinant antimicrobial peptide microcin J25 effectively enhances host defenses against gut inflammation and epithelial barrier injury induced by enterotoxigenic Escherichia coli infection. FASEB J. 2020, 34, 1018–1037. [Google Scholar] [CrossRef] [PubMed] [Green Version]
- Ding, X.L.; Yu, H.T.; Qiao, S.Y. Lasso peptide microcin j25 effectively enhances gut barrier function and modulates inflammatory response in an enterotoxigenic Escherichia coli-challenged mouse model. Int. J. Mol. Sci. 2020, 21, 6500. [Google Scholar] [CrossRef] [PubMed]
- Yu, H.T.; Ding, X.L.; Shang, L.J.; Zeng, X.F.; Liu, H.B.; Li, N.; Huang, S.; Wang, Y.M.; Wang, G.; Cai, S.; et al. Protective ability of biogenic antimicrobial peptide microcin j25 against enterotoxigenic Escherichia coli-induced intestinal epithelial dysfunction and inflammatory responses IPEC-J2 cells. Front. Cell. Infect. Microbiol. 2018, 8, 242. [Google Scholar] [CrossRef] [PubMed] [Green Version]
- Yu, H.T.; Shang, L.J.; Zeng, X.F.; Li, N.; Liu, H.B.; Cai, S.; Huang, S.; Wang, G.; Wang, Y.M.; Song, Q.L.; et al. Risks related to high-dosage recombinant antimicrobial peptide Microcin J25 in mice model: Intestinal microbiota, intestinal barrier Function, and immune regulation. J. Agric. Food Chem. 2018, 66, 11301–11310. [Google Scholar] [CrossRef]
- Yang, F.J.; Wang, A.N.; Zeng, X.F.; Hou, C.L.; Liu, H.; Qiao, S.Y. Lactobacillus reuteri I5007 modulates tight junction protein expression in IPEC-J2 cells with LPS stimulation and in newborn piglets under normal conditions. BMC Microbiol. 2015, 15, 32. [Google Scholar] [CrossRef] [PubMed] [Green Version]
- Zhao, P.F.; Piao, X.S.; Pan, L.; Zeng, Z.K.; Li, Q.Y.; Xu, X.; Wang, H.L. Forsythia suspensa extract attenuates lipopolysaccharide-induced inflammatory liver injury in rats via promoting antioxidant defense mechanisms. Anim. Sci. J. 2017, 88, 873–881. [Google Scholar] [CrossRef] [PubMed]
- Long, S.F.; Piao, X.S. Effects of dietary Forsythia suspensa extract supplementation to lactating sows and nursery pigs on post-weaning performance, antioxidant capacity, nutrient digestibility, immunoglobulins and intestinal health. J. Anim. Sci. 2021, 99, skab142. [Google Scholar] [CrossRef]
- Davis, M.F.; Iverson, S.A.; Baron, P.; Vasse, A.; Silbergeld, E.K.; Lautenbach, E.; Morris, D.O. Household transmission of meticillin-resistant Staphylococcus aureus and other staphylococci. Lancet Infect. Dis. 2012, 12, 703–716. [Google Scholar] [CrossRef]
- Czaplewski, L.; Bax, R.; Clokie, M.; Dawson, M.; Fairhead, H.; Fischetti, V.A.; Foster, S.; Gilmore, B.F.; Hancock, R.E.W.; Harper, D.; et al. Alternatives to antibiotics-a pipeline portfolio review. Lancet Infect. Dis. 2016, 16, 239–251. [Google Scholar] [CrossRef] [Green Version]
- Martens, E.; Demain, A.L. The antibiotic resistance crisis, with a focus on the United States. J. Antibiot. 2017, 70, 520–526. [Google Scholar] [CrossRef] [PubMed] [Green Version]
- Segura-Egea, J.J.; Gould, K.; Sen, B.H.; Jonasson, P.; Cotti, E.; Mazzoni, A.; Sunay, H.; Tjaderhane, L.; Dummer, P.M.H. Antibiotics in Endodontics: A review. Int. Endod. J. 2017, 50, 1169–1184. [Google Scholar] [CrossRef] [PubMed]
- Gálvez, A.; Abriouel, H.; López, R.L.; Omar, N.B. Bacteriocin-based strategies for food biopreservation. Int. J. Food Microbiol. 2007, 120, 51–70. [Google Scholar] [CrossRef] [PubMed]
- Ansari, A. Bacteriocin from LAB for medical and health applications. In Beneficial Microorganisms in Medical and Health Applications; Springer: Cham, Switzerland, 2015; pp. 199–221. [Google Scholar]
- CDC. About Antimicrobial Resistance, Centers for Disease Control and Prevention. 2018. Available online: https://www.cdc.gov/drugresistance/about.html (accessed on 10 March 2020).
- Jeon, S.J.; Ma, Z.X.; Kang, M.; Galvão, K.N.; Jeong, K.C. Application of chitosan microparticles for treatment of metritis and in vivo evaluation of broad spectrum antimicrobial activity in cow uteri. Biomaterials 2016, 110, 71–80. [Google Scholar] [CrossRef] [PubMed] [Green Version]
- Ma, Z.X.; Garrido-Maestu, A.; Lee, J.; Chon, J.; Jeong, D.; Yue, Y.R.; Sung, K.; Park, Y.; Jeong, K.C. Comprehensive in vitro and in vivo risk assessments of chitosan microparticles using human epithelial cells and Caenorhabditis elegans. J. Hazard. Mater. 2017, 341, 248–256. [Google Scholar] [CrossRef] [PubMed]
- Ma, Z.X.; Kang, M.; Meng, S.Y.; Tong, Z.H.; Yoon, S.D.; Jang, Y.; Jeong, K.C. Selective killing of Shiga toxin-producing Escherichia coli with antibody-conjugated chitosan nanoparticles in the gastrointestinal tract. ACS Appl. Mater. Interfaces 2020, 12, 18332–18341. [Google Scholar] [CrossRef] [PubMed]
- Jiao, N.; Wu, Z.L.; Ji, Y.; Wang, B.; Dai, Z.L.; Wu, G.Y. L-glutamate enhances barrier and antioxidative functions in intestinal porcine epithelial cells. J. Nutr. 2015, 145, 2258–2264. [Google Scholar] [CrossRef] [PubMed] [Green Version]
- Rooks, M.G.; Garrett, W.S. Gut microbiota, metabolites and host immunity. Nat. Rev. Immunol. 2016, 16, 341–352. [Google Scholar] [CrossRef] [PubMed]
- Hand, T.W.; Vujkovic-Cvijin, I.; Ridaura, V.K.; Belkaid, Y. Linking the microbiota, chronic disease, and the immune system. Trends Endocrinol. Metab. 2016, 27, 831–843. [Google Scholar] [CrossRef] [PubMed] [Green Version]
- Mehandru, S.; Colombel, J.F. The intestinal barrier, an arbitrator turned provocateur in IBD. Nat. Rev. Gastroenterol. Hepatol. 2021, 18, 83–84. [Google Scholar] [CrossRef] [PubMed]
- Grosheva, I.; Zheng, D.P.; Levy, M.; Polansky, O.; Lichtenstein, A.; Golani, O.; Dori-Bachash, M.; Moresi, C.; Shapiro, H.; Mare-Roumani, S.D.; et al. High-Throughput screen identifies host and microbiota regulators of intestinal barrier function. Gastroenterology 2020, 159, 1807–1823. [Google Scholar] [CrossRef] [PubMed]
- Feldman, G.J.; Mullin, J.M.; Ryan, M.P. Occludin: Structure, function and regulation. Adv. Drug Deliv. Rev. 2005, 57, 883–917. [Google Scholar] [CrossRef]
- Zhang, M.; Sun, K.J.; Wu, Y.J.; Yang, Y.; Tso, P.; Wu, Z.L. Interactions between intestinal microbiota and host immune response in inflammatory bowel disease. Front. Immunol. 2017, 8, 942. [Google Scholar] [CrossRef] [Green Version]
- Digby-Bell, J.L.; Atreya, R.; Monteleone, G.; Powell, N. Interrogating host immunity to predict treatment response in inflammatory bowel disease. Nat. Rev. Gastroenterol. Hepatol. 2020, 17, 9–20. [Google Scholar] [CrossRef]
- Belkaid, Y.; Bouladoux, N.; Hand, T.W. Effector and memory T cell responses to commensal bacteria. Trends Immunol. 2013, 34, 299–306. [Google Scholar] [CrossRef] [PubMed] [Green Version]
- Zong, X.; Song, D.G.; Wang, T.H.; Xia, X.; Hu, W.Y.; Han, F.F.; Wang, Y.Z. LFP-20, a porcine lactoferrin peptide, ameliorates LPS-induced inflammation via the MyD88/NF-kappa B and MyD88/MAP signaling pathways. Dev. Comp. Immunol. 2015, 52, 123–131. [Google Scholar] [CrossRef] [PubMed]
- Wang, F.; Gao, F.; Lan, M.B.; Yuan, H.H.; Huang, Y.P.; Liu, J.W. Oxidative stress contributes to silica nanoparticle-induced cytotoxicity in human embryonic kidney cells. Toxicol. In Vitro 2009, 23, 808–815. [Google Scholar] [CrossRef] [PubMed]
- Shukla, R.K.; Sharma, V.; Pandey, A.K.; Singh, S.; Sultana, S.; Dhawan, A. ROS mediated genotoxicity induced by titanium dioxide nanoparticles in human epidermal cells. Toxicol. In Vitro 2011, 25, 231–241. [Google Scholar] [CrossRef] [PubMed]
- Xia, T.; Kovochich, M.; Liong, M.; Madler, L.; Gilbert, B.; Shi, H.B.; Yeh, J.I.; Zink, J.I.; Nel, A.E. Comparison of the mechanism of toxicity of zinc oxide and cerium oxide nanoparticles based on dissolution and oxidative stress properties. ACS Nano 2008, 2, 2121–2134. [Google Scholar] [CrossRef] [PubMed] [Green Version]
- Valko, M.; Rhodes, C.J.; Moncol, J.; Izakovic, M.; Mazur, M. Free radicals, metals and antioxidants in oxidative stress-induced cancer. Chem. Biol. Interacti. 2006, 160, 1–40. [Google Scholar] [CrossRef] [PubMed]
- Yin, J.; Ren, W.K.; Liu, G.; Duan, J.; Yang, G.; Wu, L.; Li, T.; Yin, Y.L. Birth oxidative stress and the development of an antioxidant system in newborn piglets. Free Radic. Res. 2013, 47, 1027–1035. [Google Scholar] [CrossRef]
- Kohanski, M.A.; DePristo, M.A.; Collins, J.J. Sublethal antibiotic treatment leads to multidrug resistance via radical-induced mutagenesis. Mol. Cell 2010, 37, 311–320. [Google Scholar] [CrossRef] [PubMed] [Green Version]
- Zeng, Z.K.; Li, Q.Y.; Piao, X.S.; Liu, J.D.; Zhao, P.F.; Xu, X.; Zhang, S.; Niu, S. Forsythia suspensa extract attenuates corticosterone-induced growth inhibition, oxidative injury, and immune depression in broilers. Poult. Sci. 2014, 93, 1774–1781. [Google Scholar] [CrossRef] [PubMed]
- Sun, W.J.; Zhu, J.W.; Li, S.; Tang, C.H.; Zhao, Q.Y.; Zhang, J.M. Selenium supplementation protects against oxidative stress-induced cardiomyocyte cell cycle arrest through activation of PI3K/AKT. Metallomics 2020, 12, 1965–1978. [Google Scholar] [CrossRef] [PubMed]









| Gene | Primer Sequence | Product Size |
|---|---|---|
| β-actin | F:5’-TGCGGGACATCAAGGAGAAG-3’ | 216 |
| R: 5’-AGTTGAAGGTGGTCTCGTGG-3’ | ||
| TNF-α | F:5’-ATTCAGGGATGTGTGGCCTG-3’ | 120 |
| R: 5’-CCAGATGTCCCAGGTTGCAT-3’ | ||
| IL-6 | F: 5’-TGGATAAGCTGCAGTCACAG-3’ | 109 |
| R: 5’-ATTATCCGAATGGCCCTCAG-3’ | ||
| IL-22 | F: 5’-TCTCGGTGTAGAGCAAGG-3’ | 146 |
| R: 5’-TTCCCAAAGTGCTGGTATT-3’ | ||
| TLR4 | F:5’-CTCCAGCTTTCCAGAACTGC-3’ | 192 |
| R: 5’-AGGTTTGTCTCAACGGCAAC-3’ | ||
| NF-KB | F:5’-CTCGCACAAGGAGACATGAA-3’ | 147 |
| R:5’-ACTCAGCCGGAAGGCATTAT-3’ | ||
| IL-17 | F:5’-CAGCAAGCTCCAGCTCATCCATC-3’ | 92 |
| R:5’-CAGCAGAAGCAGCAGTGACAGG-3’ | ||
| Claudin-1 | F: 5’-GCTGGGTTTCATCCTGGCTTCT-3’ | 110 |
| R: 5’-CCTGAGCGGTCACGATGTTGTC-3’ | ||
| Occludin | F: 5’-GTGGTAACTTGGAGGCGTCTTC-3’ | 102 |
| R: 5’-CCGTCGTGTAGTCTGTCTCGTA-3’ |
Publisher’s Note: MDPI stays neutral with regard to jurisdictional claims in published maps and institutional affiliations. |
© 2021 by the authors. Licensee MDPI, Basel, Switzerland. This article is an open access article distributed under the terms and conditions of the Creative Commons Attribution (CC BY) license (https://creativecommons.org/licenses/by/4.0/).
Share and Cite
Kuang, M.; Yu, H.; Qiao, S.; Huang, T.; Zhang, J.; Sun, M.; Shi, X.; Chen, H. A Novel Nano-Antimicrobial Polymer Engineered with Chitosan Nanoparticles and Bioactive Peptides as Promising Food Biopreservative Effective against Foodborne Pathogen E. coli O157-Caused Epithelial Barrier Dysfunction and Inflammatory Responses. Int. J. Mol. Sci. 2021, 22, 13580. https://doi.org/10.3390/ijms222413580
Kuang M, Yu H, Qiao S, Huang T, Zhang J, Sun M, Shi X, Chen H. A Novel Nano-Antimicrobial Polymer Engineered with Chitosan Nanoparticles and Bioactive Peptides as Promising Food Biopreservative Effective against Foodborne Pathogen E. coli O157-Caused Epithelial Barrier Dysfunction and Inflammatory Responses. International Journal of Molecular Sciences. 2021; 22(24):13580. https://doi.org/10.3390/ijms222413580
Chicago/Turabian StyleKuang, Ming, Haitao Yu, Shiyan Qiao, Tao Huang, Jiaqi Zhang, Mingchao Sun, Xiumei Shi, and Han Chen. 2021. "A Novel Nano-Antimicrobial Polymer Engineered with Chitosan Nanoparticles and Bioactive Peptides as Promising Food Biopreservative Effective against Foodborne Pathogen E. coli O157-Caused Epithelial Barrier Dysfunction and Inflammatory Responses" International Journal of Molecular Sciences 22, no. 24: 13580. https://doi.org/10.3390/ijms222413580
APA StyleKuang, M., Yu, H., Qiao, S., Huang, T., Zhang, J., Sun, M., Shi, X., & Chen, H. (2021). A Novel Nano-Antimicrobial Polymer Engineered with Chitosan Nanoparticles and Bioactive Peptides as Promising Food Biopreservative Effective against Foodborne Pathogen E. coli O157-Caused Epithelial Barrier Dysfunction and Inflammatory Responses. International Journal of Molecular Sciences, 22(24), 13580. https://doi.org/10.3390/ijms222413580
