Imidazole Analogs of Vascular-Disrupting Combretastatin A-4 with Pleiotropic Efficacy against Resistant Colorectal Cancer Models
Abstract
1. Introduction
2. Results
2.1. Cytotoxic and Vascular-Disrupting Activities of CA-4 Analogous Imidazoles Depend on Specific Substitution Patterns and Correlate with Their Ability to Inhibit Tubulin Polymerization
2.2. Cytotoxic Activities of CA-4 Analogous Imidazoles in an Extended Panel of CRC Cell Lines with Differential Sensitivity to Conventional Chemotherapeutics
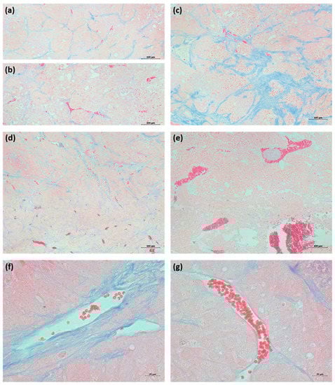
2.3. Lack of Induction of Vascular-Disrupting Effects in CRC Xenograft Tumors Is Associated with Specific Tumor Substructure
2.4. Antitumor Activity of Brimamin and CA-4P in CRC Xenograft Tumor Models
2.5. Antimetastatic Activity of Brimamin in the Resistant DLD-1 Xenograft Tumor Model
2.6. Antimetastatic Activity of Brimamin in an Experimental Metastasis Model
3. Discussion
4. Materials and Methods
4.1. Cell Culture
4.2. Compounds
4.3. Cytotoxicity Assay
4.4. Tubulin Polymerization Assay
4.5. Animal Studies
4.6. Histological Analyses
4.7. Statistical Analyses
5. Conclusions
Author Contributions
Funding
Institutional Review Board Statement
Informed Consent Statement
Data Availability Statement
Conflicts of Interest
References
- Siemann, D.W.; Bibby, M.C.; Dark, G.G.; Dicker, A.P.; Eskens, F.A.; Horsman, M.R.; Marme, D.; Lorusso, P.M. Differentiation and definition of vascular-targeted therapies. Clin. Cancer Res. 2005, 11, 416–420. [Google Scholar] [PubMed]
- Siemann, D.W. The unique characteristics of tumor vasculature and preclinical evidence for its selective disruption by Tumor-Vascular Disrupting Agents. Cancer Treat. Rev. 2011, 37, 63–74. [Google Scholar] [CrossRef] [PubMed]
- Siemann, D.W.; Chaplin, D.J.; Horsman, M.R. Vascular-targeting therapies for treatment of malignant disease. Cancer 2004, 100, 2491–2499. [Google Scholar] [CrossRef]
- Tozer, G.M.; Kanthou, C.; Baguley, B.C. Disrupting tumour blood vessels. Nat. Rev. Cancer 2005, 5, 423–435. [Google Scholar] [CrossRef] [PubMed]
- Kanthou, C.; Tozer, G.M. Tumour targeting by microtubule-depolymerizing vascular disrupting agents. Expert Opin. Ther. Targets 2007, 11, 1443–1457. [Google Scholar] [CrossRef] [PubMed]
- Greene, L.M.; Meegan, M.J.; Zisterer, D.M. Combretastatins: More than just vascular targeting agents? J. Pharmacol. Exp. Ther. 2015, 355, 212–227. [Google Scholar] [CrossRef] [PubMed]
- Bukhari, S.N.A.; Kumar, G.B.; Revankar, H.M.; Qin, H.L. Development of combretastatins as potent tubulin polymerization inhibitors. Bioorg. Chem. 2017, 72, 130–147. [Google Scholar] [CrossRef] [PubMed]
- Seddigi, Z.S.; Malik, M.S.; Saraswati, A.P.; Ahmed, S.A.; Babalghith, A.O.; Lamfon, H.A.; Kamal, A. Recent advances in combretastatin based derivatives and prodrugs as antimitotic agents. Medchemcomm 2017, 8, 1592–1603. [Google Scholar] [CrossRef] [PubMed]
- Mahal, K.; Biersack, B.; Caysa, H.; Schobert, R.; Mueller, T. Combretastatin A-4 derived imidazoles show cytotoxic, antivascular, and antimetastatic effects based on cytoskeletal reorganisation. Investig. New Drugs 2015, 33, 541–554. [Google Scholar] [CrossRef] [PubMed]
- Schobert, R.; Biersack, B.; Dietrich, A.; Effenberger, K.; Knauer, S.; Mueller, T. 4-(3-Halo/amino-4,5-dimethoxyphenyl)-5-aryloxazoles and -N-methylimidazoles that are cytotoxic against combretastatin A resistant tumor cells and vascular disrupting in a cisplatin resistant germ cell tumor model. J. Med. Chem. 2010, 53, 6595–6602. [Google Scholar] [CrossRef] [PubMed]
- Mahal, K.; Biersack, B.; Schruefer, S.; Resch, M.; Ficner, R.; Schobert, R.; Mueller, T. Combretastatin A-4 derived 5-(1-methyl-4-phenyl-imidazol-5-yl)indoles with superior cytotoxic and anti-vascular effects on chemoresistant cancer cells and tumors. Eur. J. Med. Chem. 2016, 118, 9–20. [Google Scholar] [CrossRef] [PubMed]
- Wang, L.; Woods, K.W.; Li, Q.; Barr, K.J.; McCroskey, R.W.; Hannick, S.M.; Gherke, L.; Credo, R.B.; Hui, Y.H.; Marsh, K.; et al. Potent, orally active heterocycle-based combretastatin A-4 analogues: Synthesis, structure-activity relationship, pharmacokinetics, and in vivo antitumor activity evaluation. J. Med. Chem. 2002, 45, 1697–1711. [Google Scholar] [CrossRef] [PubMed]
- Schobert, R.; Effenberger-Neidnicht, K.; Biersack, B. Stable combretastatin A-4 analogues with sub-nanomolar efficacy against chemoresistant HT-29 cells. Int. J. Clin. Pharmacol. Ther. 2011, 49, 71–72. [Google Scholar] [PubMed]
- Heinrich, A.K.; Lucas, H.; Schindler, L.; Chytil, P.; Etrych, T.; Mader, K.; Mueller, T. Improved Tumor-Specific Drug Accumulation by Polymer Therapeutics with pH-Sensitive Drug Release Overcomes Chemotherapy Resistance. Mol. Cancer. Ther. 2016, 15, 998–1007. [Google Scholar] [CrossRef] [PubMed]
- Mueller, T.; Freystein, J.; Lucas, H.; Schmoll, H.J. Efficacy of a Bispecific Antibody Co-Targeting VEGFA and Ang-2 in Combination with Chemotherapy in a Chemoresistant Colorectal Carcinoma Xenograft Model. Molecules 2019, 24, 2865. [Google Scholar] [CrossRef] [PubMed]
- Caysa, H.; Hoffmann, S.; Luetzkendorf, J.; Mueller, L.P.; Unverzagt, S.; Mader, K.; Mueller, T. Monitoring of xenograft tumor growth and response to chemotherapy by non-invasive in vivo multispectral fluorescence imaging. PLoS ONE 2012, 7, e47927. [Google Scholar] [CrossRef]
- Lunt, S.J.; Akerman, S.; Hill, S.A.; Fisher, M.; Wright, V.J.; Reyes-Aldasoro, C.C.; Tozer, G.M.; Kanthou, C. Vascular effects dominate solid tumor response to treatment with combretastatin A-4-phosphate. Int. J. Cancer 2011, 129, 1979–1989. [Google Scholar] [CrossRef] [PubMed][Green Version]
- Vogelzang, N.J.; Bronson, D.; Savino, D.; Vessella, R.L.; Fraley, E.F. A human embryonal-yolk sac carcinoma model system in athymic mice. Cancer 1985, 55, 2584–2593. [Google Scholar] [CrossRef]
- Casper, J.; Schmoll, H.J.; Schnaidt, U.; Fonatsch, C. Cell lines of human germinal cancer. Int. J. Androl. 1987, 10, 105–113. [Google Scholar] [CrossRef] [PubMed]
- Mueller, T.; Pfankuchen, D.B.; Wantoch von Rekowski, K.; Schlesinger, M.; Reipsch, F.; Bendas, G. The Impact of the Low Molecular Weight Heparin Tinzaparin on the Sensitization of Cisplatin-Resistant Ovarian Cancers-Preclinical In Vivo Evaluation in Xenograft Tumor Models. Molecules 2017, 22, 728. [Google Scholar] [CrossRef] [PubMed]






| Compound | Synonyms | R1 | R2 | R3 | Cytotoxic Activity in Cell Lines IC50 (nM), Mean (n = 3), SD ≤ 15% | Tubulin Polymerization (% of Control) Mean ± SD | Vascular-Disrupting Effect Dose (mg/kg) | |||||
|---|---|---|---|---|---|---|---|---|---|---|---|---|
| H12.1 a | 1411HP b | A2780 c | HT29 d | HCT-8 e | DLD-1 f | |||||||
| C 1 | Trimamin | -OMe | -NH2 | -OMe | 138 | 276 | 131 | 128 | 152 | 164 | 37.3 (4.5) | n.a. g |
| C 2 | Climamin | -Cl | -NH2 | -OMe | 27 | 54 | 21 | 31 | 36 | 37 | 13.2 (2.5) | 30 |
| C 3 | Brimamin | -Br | -NH2 | -OMe | 22 | 61 | 19 | 28 | 33 | 35 | 10.8 (1.4) | 30 |
| C 4 | Jimamin | -I | -NH2 | -OMe | 51 | 61 | 46 | 51 | 58 | 55 | 9.8 (1.0) | 30 |
| C 5 | Et-Climamin | -Cl | -NH2 | -OEt | 7.0 | 17 | 6.7 | 15 | 16 | 14 | 8.9 (3.8) | 30 |
| C 6 | Et-Brimamin | -Br | -NH2 | -OEt | 6.7 | 16 | 6.0 | 13 | 15 | 14 | 6.4 (0.3) | 30 |
| C 7 | Et-Jimamin | -I | -NH2 | -OEt | 15 | 46 | 17 | 36 | 39 | 33 | 11.7 (1.6) | n.a. |
| C 8 | Climfluor | -Cl | -F | -OMe | 330 | 831 | 208 | 203 | 198 | 244 | 33.9 (4.5) | n.a. |
| C 9 | Brimfluor | -Br | -F | -OMe | 428 | 1138 | 331 | 368 | 361 | 415 | 42.2 (4.8) | 90 |
| C 10 | Amimfluor | -NH2 | -F | -OMe | >10,000 | >10,000 | >10,000 | >10,000 | >10,000 | >10,000 | 89.5 (4.0) | n.a. |
| C 11 | Amimamin | -NH2 | -NH2 | -OMe | 5870 | 7433 | 4367 | 5197 | 4697 | 5760 | 91.3 (4.1) | n.a. |
| C 12 | Et-Amimamin | -NH2 | -NH2 | -OEt | 835 | 1918 | 524 | 1042 | 575 | 614 | 72.4 (2.2) | 150 |
| CA-4 | Combretastatin A-4 | 1.1 | 4.3 | 1.2 | 90 | 1.8 | 3.1 | 7.3 (2.6) | n.a. | |||
| CA-4P | Fosbretabulin | 2.0 | 3.5 | 1.5 | 65 | 1.8 | 1.9 | 80.2 (4.4) | 300 | |||
Publisher’s Note: MDPI stays neutral with regard to jurisdictional claims in published maps and institutional affiliations. |
© 2021 by the authors. Licensee MDPI, Basel, Switzerland. This article is an open access article distributed under the terms and conditions of the Creative Commons Attribution (CC BY) license (https://creativecommons.org/licenses/by/4.0/).
Share and Cite
Reipsch, F.; Biersack, B.; Lucas, H.; Schobert, R.; Mueller, T. Imidazole Analogs of Vascular-Disrupting Combretastatin A-4 with Pleiotropic Efficacy against Resistant Colorectal Cancer Models. Int. J. Mol. Sci. 2021, 22, 13082. https://doi.org/10.3390/ijms222313082
Reipsch F, Biersack B, Lucas H, Schobert R, Mueller T. Imidazole Analogs of Vascular-Disrupting Combretastatin A-4 with Pleiotropic Efficacy against Resistant Colorectal Cancer Models. International Journal of Molecular Sciences. 2021; 22(23):13082. https://doi.org/10.3390/ijms222313082
Chicago/Turabian StyleReipsch, Franziska, Bernhard Biersack, Henrike Lucas, Rainer Schobert, and Thomas Mueller. 2021. "Imidazole Analogs of Vascular-Disrupting Combretastatin A-4 with Pleiotropic Efficacy against Resistant Colorectal Cancer Models" International Journal of Molecular Sciences 22, no. 23: 13082. https://doi.org/10.3390/ijms222313082
APA StyleReipsch, F., Biersack, B., Lucas, H., Schobert, R., & Mueller, T. (2021). Imidazole Analogs of Vascular-Disrupting Combretastatin A-4 with Pleiotropic Efficacy against Resistant Colorectal Cancer Models. International Journal of Molecular Sciences, 22(23), 13082. https://doi.org/10.3390/ijms222313082

