Discoidin Domain Receptor 2 Regulates AT1R Expression in Angiotensin II-Stimulated Cardiac Fibroblasts via Fibronectin-Dependent Integrin-β1 Signaling
Abstract
1. Introduction
2. Results
2.1. DDR2 Mediates Ang II-Stimulated Fibronectin Expression in Cardiac Fibroblasts
2.2. Transcriptional Regulation of Fibronectin by DDR2-Activated YAP Transcription Co-Activator
2.3. Functional Significance of Fibronectin Expression in Cardiac Fibroblasts
2.3.1. A Role for Fibronectin in Ang II-Dependent cIAP2 Expression and Apoptosis Resistance in Cardiac Fibroblasts Exposed to Oxidative Stress
2.3.2. Fibronectin Mediates Ang II-Dependent Increases in Collagen Type I Expression
2.3.3. Fibronectin Mediates Ang II-Stimulated AT1 Receptor Expression in Cardiac Fibroblasts
2.4. Fibronectin Regulates Ang II-Mediated AT1R Expression through Integrin-β1/Integrin-Linked Kinase Signaling Pathway
2.5. DDR2 Knockdown Attenuates Ang II-Stimulated Expression of AT1R in Cardiac Fibroblasts
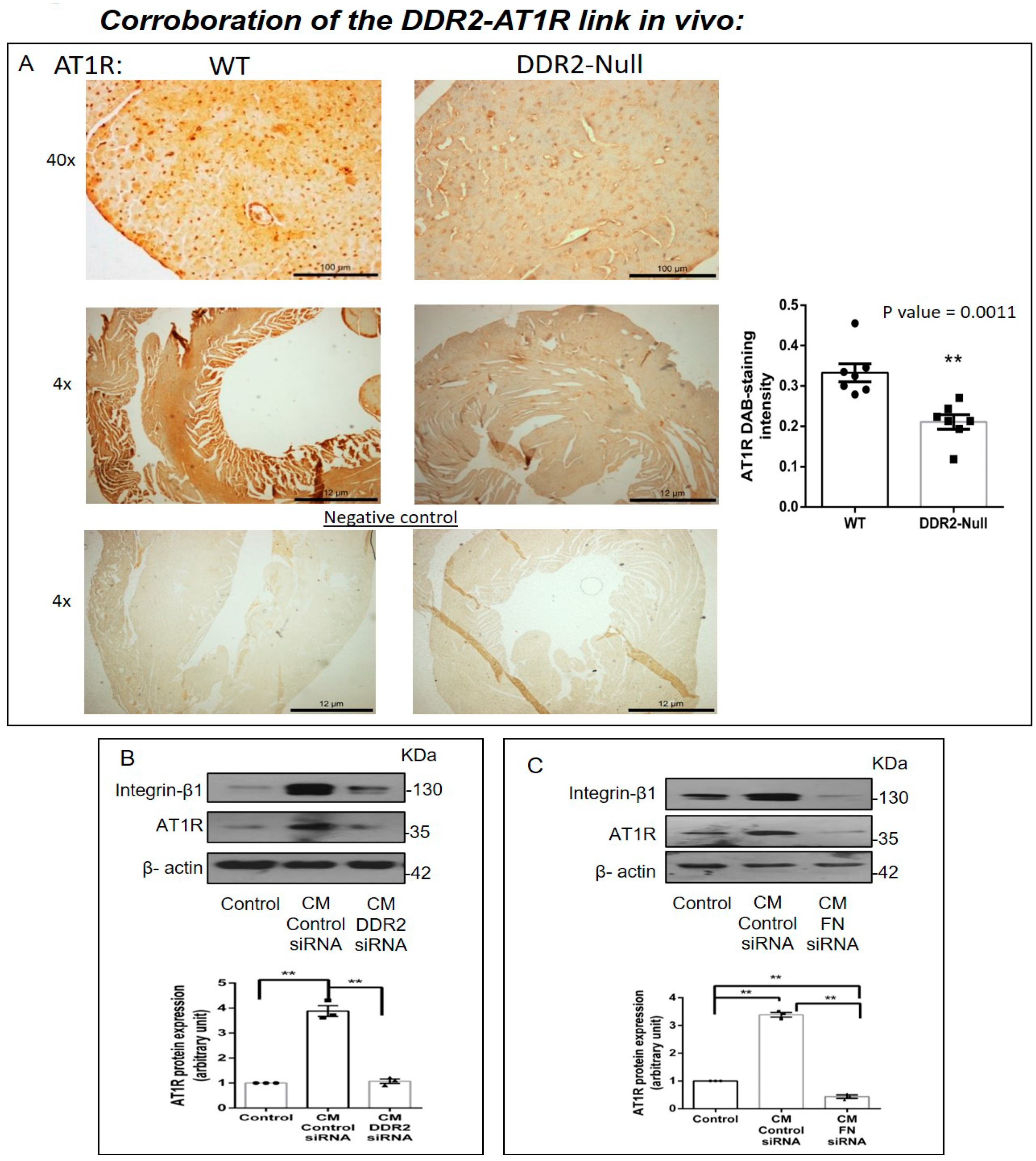
2.6. AT1R Levels in DDR2-Null Mouse Hearts
2.7. Cardiac Fibroblasts Influence AT1R Expression in H9c2 Cells via DDR2-Dependent Paracrine Mechanisms
3. Discussion
4. Materials and Methods
4.1. Isolation of Cardiac Fibroblasts
4.2. Western Blot Analysis
4.3. RNA Interference and Overexpression
4.4. Chromatin Immunoprecipitation (ChIP) Assay
4.5. In Vivo Study and Histology
4.6. Conditioned Medium Experiments
4.7. Statistical Analysis
Author Contributions
Funding
Institutional Review Board Statement
Informed Consent Statement
Data Availability Statement
Acknowledgments
Conflicts of Interest
References
- Humeres, C.; Frangogiannis, N.G. Fibroblasts in the Infarcted, Remodeling, and Failing Heart. JACC Basic Transl. Sci. 2019, 4, 449–467. [Google Scholar] [CrossRef] [PubMed]
- George, M.; Vijayakumar, A.; Dhanesh, S.B.; James, J.; Shivakumar, K. Molecular Basis and Functional Significance of Angiotensin II-Induced Increase in Discoidin Domain Receptor 2 Gene Expression in Cardiac Fibroblasts. J. Mol. Cell. Cardiol. 2016, 90, 59–69. [Google Scholar] [CrossRef] [PubMed]
- To, W.S.; Midwood, K.S. Plasma and Cellular Fibronectin: Distinct and Independent Functions during Tissue Repair. Fibrogenesis Tissue Repair. 2011, 4, 21. [Google Scholar] [CrossRef] [PubMed]
- Valiente-Alandi, I.; Potter, S.J.; Salvador, A.M.; Schafer, A.E.; Schips, T.; Carrillo-Salinas, F.; Gibson, A.M.; Nieman, M.L.; Perkins, C.; Sargent, M.A.; et al. Inhibiting Fibronectin Attenuates Fibrosis and Improves Cardiac Function in a Model of Heart Failure. Circulation 2018, 138, 1236–1252. [Google Scholar] [CrossRef]
- Sopel, M.J.; Rosin, N.L.; Lee, T.D.G.; Légaré, J.-F. Myocardial Fibrosis in Response to Angiotensin II Is Preceded by the Recruitment of Mesenchymal Progenitor Cells. Lab. Investig. 2011, 91, 565–578. [Google Scholar] [CrossRef]
- Harikrishnan, V.; Titus, A.S.; Cowling, R.T.; Kailasam, S. Collagen Receptor Cross-Talk Determines α-Smooth Muscle Actin-Dependent Collagen Gene Expression in Angiotensin II-Stimulated Cardiac Fibroblasts. J. Biol. Chem. 2019, 294, 19723–19739. [Google Scholar] [CrossRef]
- Titus, A.S.; Harikrishnan, V.; Kailasam, S. Coordinated Regulation of Cell Survival and Cell Cycle Pathways by DDR2-Dependent SRF Transcription Factor in Cardiac Fibroblasts. Am. J. Physiol.-Heart Circ. Physiol. 2020, 318, H1538–H1558. [Google Scholar] [CrossRef]
- Grither, W.R.; Longmore, G.D. Inhibition of Tumor–Microenvironment Interaction and Tumor Invasion by Small-Molecule Allosteric Inhibitor of DDR2 Extracellular Domain. Proc. Natl. Acad. Sci. USA 2018, 115, E7786–E7794. [Google Scholar] [CrossRef]
- Zhang, Z.; Vuori, K.; Reed, J.C.; Ruoslahti, E. The Alpha 5 Beta 1 Integrin Supports Survival of Cells on Fibronectin and Up-Regulates Bcl-2 Expression. Proc. Natl. Acad. Sci. USA 1995, 92, 6161. [Google Scholar] [CrossRef]
- Globus, R.K.; Doty, S.B.; Lull, J.C.; Holmuhamedov, E.; Humphries, M.J.; Damsky, C.H. Fibronectin Is a Survival Factor for Differentiated Osteoblasts. J. Cell Sci. 1998, 111, 1385. [Google Scholar] [CrossRef]
- Anwar, A.R.; Moqbel, R.; Walsh, G.M.; Kay, A.B.; Wardlaw, A.J. Adhesion to Fibronectin Prolongs Eosinophil Survival. J. Exp. Med. 1993, 177, 839–843. [Google Scholar] [CrossRef] [PubMed]
- Lin, F.; Ren, X.-D.; Pan, Z.; Macri, L.; Zong, W.-X.; Tonnesen, M.G.; Rafailovich, M.; Bar-Sagi, D.; Clark, R.A.F. Fibronectin Growth Factor-Binding Domains Are Required for Fibroblast Survival. J. Investig. Dermatol. 2011, 131, 84–98. [Google Scholar] [CrossRef]
- Altrock, E.; Sens, C.; Wuerfel, C.; Vasel, M.; Kawelke, N.; Dooley, S.; Sottile, J.; Nakchbandi, I.A. Inhibition of Fibronectin Deposition Improves Experimental Liver Fibrosis. J. Hepatol. 2015, 62, 625–633. [Google Scholar] [CrossRef]
- Liu, X.; Liu, R.; Hou, F.; Cui, L.; Li, C.-Y.; Chi, C.; Yi, E.; Wen, Y.; Yin, C. Fibronectin Expression Is Critical for Liver Fibrogenesis in Vivo and in Vitro. Mol. Med. Rep. 2016, 14, 3669–3675. [Google Scholar] [CrossRef] [PubMed]
- Hernnas, J.; Nettelbladt, O.; Bjermer, L.; Sarnstrand, B.; Malmstrom, A.; Hallgren, R. Alveolar Accumulation of Fibronectin and Hyaluronan Precedes Bleomycin-Induced Pulmonary Fibrosis in the Rat. Eur. Respir. J. 1992, 5, 404. [Google Scholar] [PubMed]
- Muro, A.F.; Moretti, F.A.; Moore, B.B.; Yan, M.; Atrasz, R.G.; Wilke, C.A.; Flaherty, K.R.; Martinez, F.J.; Tsui, J.L.; Sheppard, D.; et al. An Essential Role for Fibronectin Extra Type III Domain A in Pulmonary Fibrosis. Am. J. Respir. Crit. Care Med. 2008, 177, 638–645. [Google Scholar] [CrossRef]
- Konstandin, M.H.; Völkers, M.; Collins, B.; Quijada, P.; Quintana, M.; Torre, A.; Ormachea, L.; Din, S.; Gude, N.; Toko, H.; et al. Fibronectin Contributes to Pathological Cardiac Hypertrophy but Not Physiological Growth. Basic Res. Cardiol. 2013, 108, 375. [Google Scholar] [CrossRef]
- Philip, L.; Shivakumar, K. CIAP-2 Protects Cardiac Fibroblasts from Oxidative Damage: An Obligate Regulatory Role for ERK1/2 MAPK and NF-ΚB. J. Mol. Cell. Cardiol. 2013, 62, 217–226. [Google Scholar] [CrossRef]
- Anupama, V.; George, M.; Dhanesh, S.B.; Chandran, A.; James, J.; Shivakumar, K. Molecular Mechanisms in H2O2-Induced Increase in AT1 Receptor Gene Expression in Cardiac Fibroblasts: A Role for Endogenously Generated Angiotensin II. J. Mol. Cell. Cardiol. 2016, 97, 295–305. [Google Scholar] [CrossRef] [PubMed]
- Fogerty, F.J.; Akiyama, S.K.; Yamada, K.M.; Mosher, D.F. Inhibition of Binding of Fibronectin to Matrix Assembly Sites by Anti-Integrin (Alpha 5 Beta 1) Antibodies. J. Cell Biol. 1990, 111, 699–708. [Google Scholar] [CrossRef]
- Balzac, F.; Belkin, A.M.; Koteliansky, V.E.; Balabanov, Y.V.; Altruda, F.; Silengo, L.; Tarone, G. Expression and Functional Analysis of a Cytoplasmic Domain Variant of the Beta 1 Integrin Subunit. J. Cell Biol. 1993, 121, 171–178. [Google Scholar] [CrossRef] [PubMed]
- Reszka, A.A.; Hayashi, Y.; Horwitz, A.F. Identification of Amino Acid Sequences in the Integrin Beta 1 Cytoplasmic Domain Implicated in Cytoskeletal Association. J. Cell Biol. 1992, 117, 1321–1330. [Google Scholar] [CrossRef]
- Sastry, S.K.; Horwitz, A.F. Integrin Cytoplasmic Domains: Mediators of Cytoskeletal Linkages and Extra- and Intracellular Initiated Transmembrane Signaling. Curr. Opin. Cell Biol. 1993, 5, 819–831. [Google Scholar] [CrossRef]
- Puzon-McLaughlin, W.; Yednock, T.A.; Takada, Y. Regulation of Conformation and Ligand Binding Function of Integrin A5β1 by the Β1 Cytoplasmic Domain*. J. Biol. Chem. 1996, 271, 16580–16585. [Google Scholar] [CrossRef]
- Dedhar, S.; Williams, B.; Hannigan, G. Integrin-Linked Kinase (ILK): A Regulator of Integrin and Growth-Factor Signalling. Trends Cell Biol. 1999, 9, 319–323. [Google Scholar] [CrossRef]
- Cowling, R.T.; Yeo, S.J.; Kim, I.J.; Park, J.I.; Gu, Y.; Dalton, N.D.; Peterson, K.L.; Greenberg, B.H. Discoidin Domain Receptor 2 Germline Gene Deletion Leads to Altered Heart Structure and Function in the Mouse. Am. J. Physiol. Heart Circ. Physiol. 2014, 307, H773–H781. [Google Scholar] [CrossRef][Green Version]
- Pinto, A.R.; Ilinykh, A.; Ivey, M.J.; Kuwabara, J.T.; D’Antoni, M.L.; Debuque, R.; Chandran, A.; Wang, L.; Arora, K.; Rosenthal, N.A.; et al. Revisiting Cardiac Cellular Composition. Circ. Res. 2016, 118, 400–409. [Google Scholar] [CrossRef]
- Nobakht, N.; Kamgar, M.; Rastogi, A.; Schrier, R.W. Limitations of Angiotensin Inhibition. Nat. Rev. Nephrol. 2011, 7, 356–359. [Google Scholar] [CrossRef]
- Wolf, G.; Ritz, E. Combination Therapy with ACE Inhibitors and Angiotensin II Receptor Blockers to Halt Progression of Chronic Renal Disease: Pathophysiology and Indications. Kidney Int. 2005, 67, 799–812. [Google Scholar] [CrossRef] [PubMed]
- Baltatzi, M.; Savopoulos, C.; Hatzitolios, A. Role of Angiotensin Converting Enzyme Inhibitors and Angiotensin Receptor Blockers in Hypertension of Chronic Kidney Disease and Renoprotection. Study Results. Hippokratia 2011, 15, 27–32. [Google Scholar] [PubMed]
- Hastings, J.F.; Skhinas, J.N.; Fey, D.; Croucher, D.R.; Cox, T.R. The Extracellular Matrix as a Key Regulator of Intracellular Signalling Networks. Br. J. Pharmacol. 2019, 176, 82–92. [Google Scholar] [CrossRef]
- Kusindarta, D.L.; Wihadmadyatami, H. The Role of Extracellular Matrix in Tissue Regeneration. In Tissue Regeneration; El-Sayed Kaoud, H.A., Ed.; IntechOpen: Rijeka, Croatia, 2018; Chapter 5; p. 65. ISBN 978-1-78923-261-5. [Google Scholar]
- Dobaczewski, M.; de Haan, J.J.; Frangogiannis, N.G. The Extracellular Matrix Modulates Fibroblast Phenotype and Function in the Infarcted Myocardium. J. Cardiovasc. Transl. Res. 2012, 5, 837–847. [Google Scholar] [CrossRef]
- Sainio, A.; Järveläinen, H. Extracellular Matrix-Cell Interactions: Focus on Therapeutic Applications. Cell. Signal. 2020, 66, 109487. [Google Scholar] [CrossRef] [PubMed]
- Bagchi, R.A.; Lin, J.; Wang, R.; Czubryt, M.P. Regulation of Fibronectin Gene Expression in Cardiac Fibroblasts by Scleraxis. Cell Tissue Res. 2016, 366, 381–391. [Google Scholar] [CrossRef]
- Ehanire, T.; Ren, L.; Bond, J.; Medina, M.; Li, G.; Bashirov, L.; Chen, L.; Kokosis, G.; Ibrahim, M.; Selim, A.; et al. Angiotensin II Stimulates Canonical TGF-β Signaling Pathway through Angiotensin Type 1 Receptor to Induce Granulation Tissue Contraction. J. Mol. Med. Berl. Ger. 2015, 93, 289–302. [Google Scholar] [CrossRef]
- Liu, F.; Lagares, D.; Choi, K.M.; Stopfer, L.; Marinković, A.; Vrbanac, V.; Probst, C.K.; Hiemer, S.E.; Sisson, T.H.; Horowitz, J.C.; et al. Mechanosignaling through YAP and TAZ Drives Fibroblast Activation and Fibrosis. Am. J. Physiol.-Lung Cell. Mol. Physiol. 2014, 308, L344–L357. [Google Scholar] [CrossRef]
- Francisco, J.; Zhang, Y.; Jeong, J.I.; Mizushima, W.; Ikeda, S.; Ivessa, A.; Oka, S.; Zhai, P.; Tallquist, M.D.; Del Re, D.P. Blockade of Fibroblast YAP Attenuates Cardiac Fibrosis and Dysfunction Through MRTF-A Inhibition. JACC Basic Transl. Sci. 2020, 5, 931–945. [Google Scholar] [CrossRef]
- Furtado, M.B.; Nim, H.T.; Boyd, S.E.; Rosenthal, N.A. View from the Heart: Cardiac Fibroblasts in Development, Scarring and Regeneration. Development 2016, 143, 387–397. [Google Scholar] [CrossRef] [PubMed]
- Mayorga, M.; Bahi, N.; Ballester, M.; Comella, J.X.; Sanchis, D. Bcl-2 Is a Key Factor for Cardiac Fibroblast Resistance to Programmed Cell Death. J. Biol. Chem. 2004, 279, 34882–34889. [Google Scholar] [CrossRef] [PubMed]
- Weber, K.T. Cardiac Interstitium in Health and Disease: The Fibrillar Collagen Network. J. Am. Coll. Cardiol. 1989, 13, 1637–1652. [Google Scholar] [CrossRef]
- Humphries, J.D.; Chastney, M.R.; Askari, J.A.; Humphries, M.J. Signal Transduction via Integrin Adhesion Complexes. Curr. Opin. Cell Biol. 2019, 56, 14–21. [Google Scholar] [CrossRef] [PubMed]
- Kadry, Y.A.; Calderwood, D.A. Chapter 22: Structural and Signaling Functions of Integrins. Biochim. Biophys. Acta Biomembr. 2020, 1862, 183206. [Google Scholar] [CrossRef] [PubMed]
- Margadant, C.; Sonnenberg, A. Integrin–TGF-β Crosstalk in Fibrosis, Cancer and Wound Healing. EMBO Rep. 2010, 11, 97–105. [Google Scholar] [CrossRef]
- Hunyady, L.; Catt, K.J. Pleiotropic AT1 Receptor Signaling Pathways Mediating Physiological and Pathogenic Actions of Angiotensin II. Mol. Endocrinol. 2006, 20, 953–970. [Google Scholar] [CrossRef] [PubMed]
- Young-Pearse, T.L.; Bai, J.; Chang, R.; Zheng, J.B.; LoTurco, J.J.; Selkoe, D.J. A Critical Function for β-Amyloid Precursor Protein in Neuronal Migration Revealed by in Utero RNA Interference. J. Neurosci. 2007, 27, 14459. [Google Scholar] [CrossRef]
- Kumaran, C.; Shivakumar, K. Calcium- and Superoxide Anion-Mediated Mitogenic Action of Substance P on Cardiac Fibroblasts. Am. J. Physiol. Heart Circ. Physiol. 2002, 282, H1855–H1862. [Google Scholar] [CrossRef]
- Schindelin, J.; Arganda-Carreras, I.; Frise, E.; Kaynig, V.; Longair, M.; Pietzsch, T.; Preibisch, S.; Rueden, C.; Saalfeld, S.; Schmid, B.; et al. Fiji: An Open-Source Platform for Biological-Image Analysis. Nat. Method. 2012, 9, 676–682. [Google Scholar] [CrossRef] [PubMed]







Publisher’s Note: MDPI stays neutral with regard to jurisdictional claims in published maps and institutional affiliations. |
© 2021 by the authors. Licensee MDPI, Basel, Switzerland. This article is an open access article distributed under the terms and conditions of the Creative Commons Attribution (CC BY) license (https://creativecommons.org/licenses/by/4.0/).
Share and Cite
Titus, A.S.; Venugopal, H.; Ushakumary, M.G.; Wang, M.; Cowling, R.T.; Lakatta, E.G.; Kailasam, S. Discoidin Domain Receptor 2 Regulates AT1R Expression in Angiotensin II-Stimulated Cardiac Fibroblasts via Fibronectin-Dependent Integrin-β1 Signaling. Int. J. Mol. Sci. 2021, 22, 9343. https://doi.org/10.3390/ijms22179343
Titus AS, Venugopal H, Ushakumary MG, Wang M, Cowling RT, Lakatta EG, Kailasam S. Discoidin Domain Receptor 2 Regulates AT1R Expression in Angiotensin II-Stimulated Cardiac Fibroblasts via Fibronectin-Dependent Integrin-β1 Signaling. International Journal of Molecular Sciences. 2021; 22(17):9343. https://doi.org/10.3390/ijms22179343
Chicago/Turabian StyleTitus, Allen Sam, Harikrishnan Venugopal, Mereena George Ushakumary, Mingyi Wang, Randy T. Cowling, Edward G. Lakatta, and Shivakumar Kailasam. 2021. "Discoidin Domain Receptor 2 Regulates AT1R Expression in Angiotensin II-Stimulated Cardiac Fibroblasts via Fibronectin-Dependent Integrin-β1 Signaling" International Journal of Molecular Sciences 22, no. 17: 9343. https://doi.org/10.3390/ijms22179343
APA StyleTitus, A. S., Venugopal, H., Ushakumary, M. G., Wang, M., Cowling, R. T., Lakatta, E. G., & Kailasam, S. (2021). Discoidin Domain Receptor 2 Regulates AT1R Expression in Angiotensin II-Stimulated Cardiac Fibroblasts via Fibronectin-Dependent Integrin-β1 Signaling. International Journal of Molecular Sciences, 22(17), 9343. https://doi.org/10.3390/ijms22179343

