Inhibitory Effect of Avenanthramides (Avn) on Tyrosinase Activity and Melanogenesis in α-MSH-Activated SK-MEL-2 Cells: In Vitro and In Silico Analysis
Abstract
:1. Introduction
2. Results
2.1. Effects of Avenanthramides (A, B, C) on Cell Viability in α-MSH-Activated SK-MEL-2 Cells
2.2. Inhibitory Effect of Avenanthramides (A, B, C) on Tyrosinase Activity In Vitro and In α-MSH-Activated SK-MEL-2 Cells
2.3. Inhibitory Effect of Avenanthramides (A, B, C) on Melanin Production in α-MSH-Activated SK-MEL-2 Cells
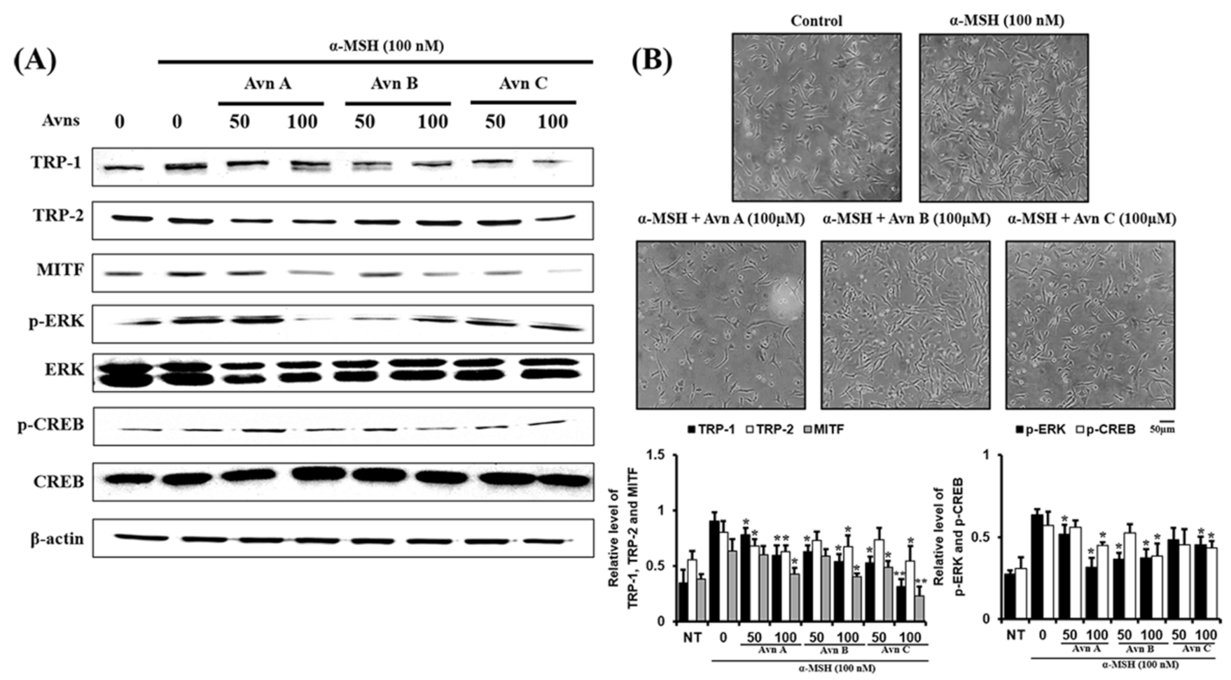
2.4. Inhibitory Effect of AvnA, AvnB, and AvnC on Melanogenesis-Related Protein Expression and Dendrite Extension in α-MSH-Activated SK-MEL-2 Cells
2.5. Molecular Docking Simulation of AvnA, AvnB, and AvnC with Human Tyrosinase
2.6. Derek Nexus for Prediction of Skin Sensitization
3. Discussion
4. Materials and Methods
4.1. Reagents
4.2. Cell Culture
4.3. Measurement of Tyrosinase Inhibitory Activity
4.4. Measurement of Melanin Production
4.5. Western Blotting
4.6. Docking Simulations of the Compounds with Tyrosinase
4.7. Derek Nexus for Prediction of Skin Sensitization
5. Conclusions
Supplementary Materials
Author Contributions
Funding
Institutional Review Board Statement
Informed Consent Statement
Data Availability Statement
Conflicts of Interest
References
- Montilla-Bascón, G.; Broeckling, C.; Hoekenga, O.A.; Prats, E.; Sorrells, M.; Isidro-Sanchez, J. Chromatographic Methods to Evaluate Nutritional Quality in Oat. Adv. Struct. Saf. Stud. 2017, 1536, 115–125. [Google Scholar]
- Sadiq Butt, M.; Tahir-Nadeem, M.; Khan, M.K.; Shabir, R.; Butt, M.S. Oat: Unique Among the Cereals. Eur. J. Nutr. 2008, 47, 68–79. [Google Scholar] [CrossRef]
- Ren, Y.; Yang, X.; Niu, X.; Liu, S.; Ren, G. Chemical characterization of the avenanthramide-rich extract from oat and its effect on D-galactose-induced oxidative stress in mice. J. Agric. Food Chem. 2011, 59, 206–211. [Google Scholar] [CrossRef] [PubMed]
- Chen, C.-Y.; Milbury, P.E.; Kwak, H.-K.; Collins, F.W.; Samuel, P.; Blumberg, J.B. Avenanthramides and Phenolic Acids from Oats Are Bioavailable and Act Synergistically with Vitamin C to Enhance Hamster and Human LDL Resistance to Oxidation. J. Nutr. 2004, 134, 1459–1466. [Google Scholar] [CrossRef] [PubMed] [Green Version]
- Videira, I.F.D.S.; Moura, D.; Magina, S. Mechanisms regulating melanogenesis. An. Bras. Dermatol. 2013, 88, 76–83. [Google Scholar] [CrossRef] [PubMed] [Green Version]
- Briganti, S.; Camera, E.; Picardo, M. Chemical and Instrumental Approaches to Treat Hyperpigmentation. Pigment. Cell Res. 2003, 16, 101–110. [Google Scholar] [CrossRef] [PubMed]
- Desai, S.R. Hyperpigmentation Therapy: A Review. J. Clin. Aesthet. Dermatol. 2014, 7, 13–17. [Google Scholar]
- Solano, F. Melanins: Skin Pigments and Much More—Types, Structural Models, Biological Functions, and Formation Routes. New J. Sci. 2014, 2014, 1–28. [Google Scholar] [CrossRef] [Green Version]
- AlGahtani, H.; Marghalani, S.; Satti, M.; Shirah, B. Levetiracetam-Induced Skin Hyperpigmentation: An Extremely Rare Undesirable Side Effect. J. Epilepsy Res. 2017, 7, 106–108. [Google Scholar] [CrossRef] [Green Version]
- D’Mello, S.A.N.; Finlay, G.J.; Baguley, B.C.; Askarian-Amiri, M.E. Signaling Pathways in Melanogenesis. Int. J. Mol. Sci. 2016, 17, 1144. [Google Scholar] [CrossRef] [Green Version]
- Tsukamoto, K.; Jackson, I.; Urabe, K.; Montague, P.; Hearing, V. A second tyrosinase-related protein, TRP-2, is a melanogenic enzyme termed DOPAchrome tautomerase. EMBO J. 1992, 11, 519–526. [Google Scholar] [CrossRef]
- Ortonne, J.-P.; Bissett, D.L. Latest Insights into Skin Hyperpigmentation. J. Investig. Dermatol. Symp. Proc. 2008, 13, 10–14. [Google Scholar] [CrossRef] [Green Version]
- Kim, Y.-J.; Uyama, H. Tyrosinase inhibitors from natural and synthetic sources: Structure, inhibition mechanism and perspective for the future. Cell. Mol. Life Sci. 2005, 62, 1707–1723. [Google Scholar] [CrossRef] [PubMed]
- Maeda, K.; Fukuda, M. Arbutin: Mechanism of its depigmenting action in human melanocyte culture. J. Pharmacol. Exp. Ther. 1996, 276, 765–769. [Google Scholar] [PubMed]
- Sasaki, A.; Yamano, Y.; Sugimoto, S.; Otsuka, H.; Matsunami, K.; Shinzato, T. Phenolic compounds from the leaves of Breynia officinalis and their tyrosinase and melanogenesis inhibitory activities. J. Nat. Med. 2018, 72, 381–389. [Google Scholar] [CrossRef]
- Chawla, S.; Kvalnes, K.; Wickett, R.; Manga, P.; Boissy, R.E. Deoxyarbutin and its derivatives inhibit tyrosinase activity and melanin synthesis without inducing reactive oxygen species or apoptosis. J. Drugs Dermatol. 2012, 11, e28–e34. [Google Scholar]
- Tasaka, K.; Kamei, C.; Nakano, S.; Takeuchi, Y.; Yamato, M. Effects of certain resorcinol derivatives on the tyrosinase activity and the growth of melanoma cells. Methods Find. Exp. Clin. Pharmacol. 1998, 20, 99–109. [Google Scholar] [CrossRef] [PubMed]
- Ashraf, Z.; Rafiq, M.; Seo, S.-Y.; Babar, M.; Zaidi, N.-U.-S.S. Synthesis, kinetic mechanism and docking studies of vanillin derivatives as inhibitors of mushroom tyrosinase. Bioorg. Med. Chem. 2015, 23, 5870–5880. [Google Scholar] [CrossRef] [PubMed]
- Castanedo-Cazares, J.P.; Lárraga-Piñones, G.; Ehnis-Pérez, A.; Fuentes-Ahumada, C.; Oros-Ovalle, C.; Smoller, B.R.; Torres-Álvarez, B. Topical niacinamide 4% and desonide 0.05% for treatment of axillary hyperpigmentation: A randomized, double-blind, placebo-controlled study. Clin. Cosmet. Investig. Dermatol. 2013, 6, 29. [Google Scholar] [CrossRef] [Green Version]
- Cabanes, J.; Chazarra, S.; Garcia-Carmona, F. Kojic acid, a cosmetic skin whitening agent, is a slow-binding inhibitor of catecholase activity of tyrosinase. J. Pharm. Pharmacol. 1994, 46, 982–985. [Google Scholar] [CrossRef]
- Garcia-Jimenez, A.; Puche, J.A.A.T.P.; Berna, J.; Rodriguez-Lopez, J.N.; Tudela, J.; Garcia-Canovas, F. Action of tyrosinase on alpha and beta-arbutin: A kinetic study. PLoS ONE 2017, 12, e0177330. [Google Scholar]
- Kahn, V. Effect of kojic acid on the oxidation of DL-DOPA, norepinephrine, and dopamine by mushroom tyrosinase. Pigment. Cell Res. 1995, 8, 234–240. [Google Scholar] [CrossRef]
- Goebel, C.; Aeby, P.; Ade, N.; Alépée, N.; Aptula, A.; Araki, D.; Dufour, E.; Gilmour, N.; Hibatallah, J.; Keller, D.; et al. Guiding principles for the implementation of non-animal safety assessment approaches for cosmetics: Skin sensitisation. Regul. Toxicol. Pharmacol. 2012, 63, 40–52. [Google Scholar] [CrossRef] [PubMed] [Green Version]
- Wilm, A.; Kühnl, J.; Kirchmair, J. Computational approaches for skin sensitization prediction. Crit. Rev. Toxicol. 2018, 48, 738–760. [Google Scholar] [CrossRef]
- Barr, F.E.; Saloma, J.S.; Buchele, M.J. Melanin: The Organizing Molecule. Med. Hypotheses 1983, 11, 1–139. [Google Scholar] [CrossRef]
- Murakami, M.; Matsuzaki, F.; Funaba, M. Regulation of Melanin Synthesis by the TGF-beta Family in B16 Melanoma Cells. Mol. Biol. Rep. 2009, 36, 1247–1250. [Google Scholar] [CrossRef]
- Luo, L. RHO GTPASES in neuronal morphogenesis. Nat. Rev. Neurosci. 2000, 1, 173–180. [Google Scholar] [CrossRef]
- Hara, M.; Yaar, M.; Byers, H.R.; Goukassian, D.; Fine, R.E.; Gonsalves, J.; Gilchrest, B.A. Kinesin participates in melanosomal movement along melanocyte dendrites. J. Investig. Dermatol. 2000, 114, 438–443. [Google Scholar] [CrossRef] [Green Version]
- Payne, M.P.; Walsh, P.T. Structure-activity relationships for skin sensitization potential: Development of structural alerts for use in knowledge-based toxicity pre-diction systems. J. Chem. Inf. Comput. Sci. 1994, 34, 154–161. [Google Scholar] [CrossRef]
- Rzepka, Z.; Buszman, E.; Beberok, A.; Wrześniok, D. From tyrosine to melanin: Signaling pathways and factors regulating melanogenesis. Postępy Higieny i Medycyny Doświadczalnej 2016, 70, 695–708. [Google Scholar] [CrossRef] [PubMed]
- Zhou, S.; Sakamoto, K. Pyruvic acid/ethyl pyruvate inhibits melanogenesis in B16F10 melanoma cells through PI3K/AKT, GSK3β, and ROS-ERK signaling pathways. Genes Cells 2018, 24, 60–69. [Google Scholar] [CrossRef] [PubMed] [Green Version]
- Kawano, M.; Matsuyama, K.; Miyamae, Y.; Shinmoto, H.; Kchouk, M.E.; Morio, T.; Shigemori, H.; Isoda, H. Antimelanogenesis effect of Tunisian herb Thymelaea hirsuta extract on B16 murine melanoma cells. Exp. Dermatol. 2007, 16, 977–984. [Google Scholar] [CrossRef] [PubMed]
- Kim, E.-H.; Jeong, H.-S.; Yun, H.-Y.; Baek, K.J.; Kwon, N.S.; Park, K.-C.; Kim, D.-S. Geranylgeranylacetone inhibits melanin synthesis via ERK activation in Mel-Ab cells. Life Sci. 2013, 93, 226–232. [Google Scholar] [CrossRef]
- Zhou, J.; Song, J.; Ping, F.; Shang, J. Enhancement of the p38 MAPK and PKA signaling pathways is associated with the pro-melanogenic activity of Interleukin 33 in primary melanocytes. J. Dermatol. Sci. 2014, 73, 110–116. [Google Scholar] [CrossRef]
- Yamano, T.; Ichihara, M.; Shimizu, M.; Noda, T.; Tsujimoto, Y. Immunomodulatory effects of mono-, di-, and trimethylphenols in mice. Toxicology 2007, 232, 132–137. [Google Scholar] [CrossRef]
- Basketter, D.; Gerberick, G.; Kimber, I.; Loveless, S. The local lymph node assay: A viable alternative to currently accepted skin sensitization tests. Food Chem. Toxicol. 1996, 34, 985–997. [Google Scholar] [CrossRef]
- Lai, X.; Wichers, H.J.; Soler-Lopez, M.; Dijkstra, B.W. Phenylthiourea Binding to Human Tyrosinase-Related Protein 1. Int. J. Mol. Sci. 2020, 21, 915. [Google Scholar] [CrossRef] [Green Version]
- Trott, O.; Olson, A.J. AutoDock Vina: Improving the speed and accuracy of docking with a new scoring function, efficient optimization, and multithreading. J. Comput. Chem. 2010, 31, 455–461. [Google Scholar] [CrossRef] [PubMed] [Green Version]
- Lai, X.; Wichers, H.; Soler-Lopez, M.; Dijkstra, B.W. Structure of Human Tyrosinase Related Protein 1 Reveals a Binuclear Zinc Active Site Important for Melanogenesis. Angew. Chem. Int. Ed. 2017, 56, 9812–9815. [Google Scholar] [CrossRef] [PubMed]
- Mills, J.E.J.; Dean, P.M. Three-dimensional hydrogen-bond geometry and probability information from a crystal survey. J. Comput. Mol. Des. 1996, 10, 607–622. [Google Scholar] [CrossRef] [PubMed]
- Laskowski, R.A.; Swindells, M.B. LigPlot+: Multiple ligand-protein interaction dia-grams for drug discovery. J. Chem. Inf. Model 2011, 51, 2778–2786. [Google Scholar] [CrossRef] [PubMed]






Publisher’s Note: MDPI stays neutral with regard to jurisdictional claims in published maps and institutional affiliations. |
© 2021 by the authors. Licensee MDPI, Basel, Switzerland. This article is an open access article distributed under the terms and conditions of the Creative Commons Attribution (CC BY) license (https://creativecommons.org/licenses/by/4.0/).
Share and Cite
Park, J.-Y.; Choi, H.-J.; Park, T.; Lee, M.-J.; Lim, H.-S.; Yang, W.-S.; Hwang, C.-W.; Park, D.; Kim, C.-H. Inhibitory Effect of Avenanthramides (Avn) on Tyrosinase Activity and Melanogenesis in α-MSH-Activated SK-MEL-2 Cells: In Vitro and In Silico Analysis. Int. J. Mol. Sci. 2021, 22, 7814. https://doi.org/10.3390/ijms22157814
Park J-Y, Choi H-J, Park T, Lee M-J, Lim H-S, Yang W-S, Hwang C-W, Park D, Kim C-H. Inhibitory Effect of Avenanthramides (Avn) on Tyrosinase Activity and Melanogenesis in α-MSH-Activated SK-MEL-2 Cells: In Vitro and In Silico Analysis. International Journal of Molecular Sciences. 2021; 22(15):7814. https://doi.org/10.3390/ijms22157814
Chicago/Turabian StylePark, Jun-Young, Hyun-Ju Choi, Tamina Park, Moon-Jo Lee, Hak-Seong Lim, Woong-Suk Yang, Cher-Won Hwang, Daeui Park, and Cheorl-Ho Kim. 2021. "Inhibitory Effect of Avenanthramides (Avn) on Tyrosinase Activity and Melanogenesis in α-MSH-Activated SK-MEL-2 Cells: In Vitro and In Silico Analysis" International Journal of Molecular Sciences 22, no. 15: 7814. https://doi.org/10.3390/ijms22157814
APA StylePark, J.-Y., Choi, H.-J., Park, T., Lee, M.-J., Lim, H.-S., Yang, W.-S., Hwang, C.-W., Park, D., & Kim, C.-H. (2021). Inhibitory Effect of Avenanthramides (Avn) on Tyrosinase Activity and Melanogenesis in α-MSH-Activated SK-MEL-2 Cells: In Vitro and In Silico Analysis. International Journal of Molecular Sciences, 22(15), 7814. https://doi.org/10.3390/ijms22157814

