Impact of Porcine Pancreas Decellularization Conditions on the Quality of Obtained dECM
Abstract
:1. Introduction
2. Results
2.1. The Amount of Residual DNA Concentration
2.2. Proteomic Analysis of Powdered dECM
2.3. Contents of the Remaining Triton X-100 Detergent in the Final Product
2.4. Total Fat Content
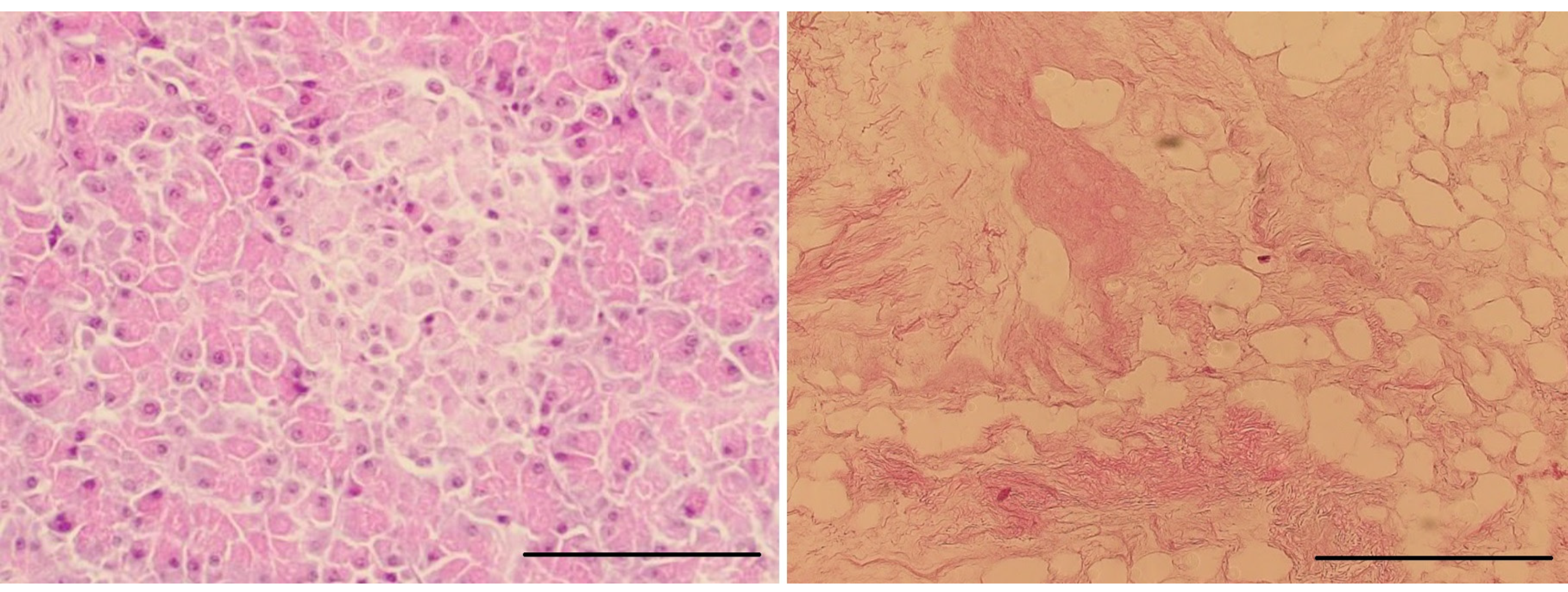
2.5. Histological Analysis
2.6. SEM/TEM Analysis
2.7. Cytotoxicity Evaluation
3. Discussion
4. Materials and Methods
4.1. DNA Evaluation
4.2. Mass Spectrometry Analysis
4.3. Assessment of the Content of Detergent Used in the Final Product of the Process
4.4. Total Fat Content Assessment
4.5. Histological Analysis
4.6. SEM Evaluation
4.7. TEM Evaluation
4.8. Cytotoxicity Evaluation
4.9. Statistical Analysis
5. Patents
Author Contributions
Funding
Institutional Review Board Statement
Informed Consent Statement
Data Availability Statement
Conflicts of Interest
References
- Widmaier, E.; Raff, H.; Strang, K. Vander’s Human Physiology, 14th ed.; McGraw-Hill Education: New York, NY, USA, 2015; ISBN 1259294099. [Google Scholar]
 - Badylak, S.F.; Weiss, D.J.; Caplan, A.; MacChiarini, P. Engineered whole organs and complex tissues. Lancet 2012, 379, 943–952. [Google Scholar] [CrossRef]
 - Rustad, K.C.; Sorkin, M.; Levi, B.; Longaker, M.T.; Gurtner, G.C. Strategies for organ level tissue engineering. Organogenesis 2010, 6, 151–157. [Google Scholar] [CrossRef] [Green Version]
 - Zhang, L.G.; Khademhosseini, A.; Webster, T.J. Tissue and Organ Regeneration: Advances in Micro- and Nanotechnology, 1st ed.; Pan Stanford Publishing: Singapore, 2014; ISBN 9789814411677. [Google Scholar]
 - Dzobo, K.; Thomford, N.E.; Senthebane, D.A.; Shipanga, H.; Rowe, A.; Dandara, C.; Pillay, M.; Shirley, K.; Motaung, C.M. Advances in regenerative medicine and tissue engineering: Innovation and transformation of medicine. Stem Cells Int. 2018, 2018, 1–24. [Google Scholar] [CrossRef] [Green Version]
 - Vijayavenkataraman, S.; Yan, W.-C.; Lu, W.F.; Wang, C.-H.; Fuh, J.Y.H. 3D bioprinting of tissues and organs for regenerative medicine. Adv. Drug Deliv. Rev. 2018, 132, 296–332. [Google Scholar] [CrossRef]
 - Shin, Y.J.; Shafranek, R.T.; Tsui, J.H.; Walcott, J.; Nelson, A.; Kim, D.-H. 3D bioprinting of mechanically tuned bioinks derived from cardiac decellularized extracellular matrix. Acta Biomater. 2021, 119, 75–88. [Google Scholar] [CrossRef]
 - Badylak, S.F. The extracellular matrix as a scaffold for tissue reconstruction. Semin. Cell Dev. Biol. 2002, 13, 377–383. [Google Scholar] [CrossRef] [PubMed]
 - Badylak, S.F.; Freytes, D.O.; Gilbert, T.W. Extracellular matrix as a biological scaffold material: Structure and function. Acta Biomater. 2009, 5, 1–13. [Google Scholar] [CrossRef] [PubMed]
 - Hynes, R.O. The extracellular matrix: Not just pretty fibrils. Science 2009, 326, 1216–1219. [Google Scholar] [CrossRef] [PubMed] [Green Version]
 - Kim, S.-H.; Turnbull, J.; Guimond, S. Extracellular matrix and cell signalling: The dynamic cooperation of integrin, proteoglycan and growth factor receptor. J. Endocrinol. 2011, 209, 139–151. [Google Scholar] [CrossRef] [Green Version]
 - Kleinman, H.K.; Philp, D.; Hoffman, M.P. Role of the extracellular matrix in morphogenesis. Curr. Opin. Biotechnol. 2003, 14, 526–532. [Google Scholar] [CrossRef]
 - Choudhury, D.; Tun, H.W.; Wang, T.; Naing, M.W. Organ-Derived Decellularized Extracellular Matrix: A Game Changer for Bioink Manufacturing? Trends Biotechnol. 2018, 36, 787–805. [Google Scholar] [CrossRef]
 - Hoshiba, T. Cultured cell-derived decellularized extracellular matrix (cultured cell-derived dECM): Future applications and problems—A mini review. Curr. Opin. Biomed. Eng. 2021, 17, 1–7. [Google Scholar] [CrossRef]
 - Yu, C.; Ma, X.; Zhu, W.; Wang, P.; Miller, K.L.; Stupin, J.; Koroleva-Maharajh, A.; Hairabedian, A.; Chen, S. Scanningless and continuous 3D bioprinting of human tissues with decellularized extracellular matrix. Biomaterials 2019, 194, 1–13. [Google Scholar] [CrossRef] [PubMed]
 - Gilbert, T.W.; Sellaro, T.L.; Badylak, S.F. Decellularization of tissues and organs. Biomaterials 2006, 27, 3675–3683. [Google Scholar] [CrossRef] [PubMed]
 - Brown, B.N.; Badylak, S.F. Extracellular matrix as an inductive scaffold for functional tissue reconstruction. Transl. Res. 2014, 163, 268–285. [Google Scholar] [CrossRef] [Green Version]
 - Krishtul, S.; Baruch, L.; Machluf, M. Processed Tissue–Derived Extracellular Matrices: Tailored Platforms Empowering Diverse Therapeutic Applications. Adv. Funct. Mater. 2020, 30, 1–26. [Google Scholar] [CrossRef]
 - Crapo, P.M.; Gilbert, T.W.; Badylak, S.F. An overview of tissue and whole organ decellularization processes. Biomaterials 2011, 32, 3233–3243. [Google Scholar] [CrossRef] [Green Version]
 - Kabirian, F.; Mozafari, M. Decellularized ECM-derived bioinks: Prospects for the future. Methods 2020, 171, 108–118. [Google Scholar] [CrossRef]
 - Kasimir, M.-T.; Rieder, E.; Seebacher, G.; Silberhumer, G.; Wolner, E.; Weigel, G.; Simon, P. Comparison of different decellularization procedures of porcine heart valves. Int. J. Artif. Organs 2003, 26, 421–427. [Google Scholar] [CrossRef]
 - Faulk, D.M.; Carruthers, C.A.; Warner, H.J.; Kramer, C.R.; Reing, J.E.; Zhang, L.; D’Amore, A.; Badylak, S.F. The effect of detergents on the basement membrane complex of a biologic scaffold material. Acta Biomater. 2014, 10, 183–193. [Google Scholar] [CrossRef] [Green Version]
 - Reing, J.E.; Zhang, L.; Myers-Irvin, J.; Cordero, K.E.; Freytes, D.O.; Heber-Katz, E.; Bedelbaeva, K.; McIntosh, D.; Dewilde, A.; Braunhut, S.J.; et al. Degradation products of extracellular matrix affect cell migration and proliferation. Tissue Eng. Part A 2009, 15, 605–614. [Google Scholar] [CrossRef]
 - Taylor, D.A.; Sampaio, L.C.; Ferdous, Z.; Gobin, A.S.; Taite, L.J. Decellularized matrices in regenerative medicine. Acta Biomater. 2018, 74, 74–89. [Google Scholar] [CrossRef]
 - Manalastas, T.M.; Dugos, N.; Ramos, G.; Mondragon, J.M. Effect of Decellularization Parameters on the Efficient Production of Kidney Bioscaffolds. Appl. Biochem. Biotechnol. 2021, 193, 1239–1251. [Google Scholar] [CrossRef]
 - Cebotari, S.; Tudorache, I.; Jaekel, T.; Hilfiker, A.; Dorfman, S.; Ternes, W.; Haverich, A.; Lichtenberg, A. Detergent Decellularization of Heart Valves for Tissue Engineering: Toxicological Effects of Residual Detergents on Human Endothelial Cells. Artif. Organs 2010, 34, 206–210. [Google Scholar] [CrossRef]
 - Bowes, J.H.; Moss, J.A. The effect of gamma radiation on collagen. Radiat. Res. 1962, 16, 211–223. [Google Scholar] [CrossRef]
 - Liu, B.; Harrell, R.; Davis, R.H.; Dresden, M.H.; Spira, M. The effect of gamma irradiation on injectable human amnion collagen. J. Biomed. Mater. Res. 1989, 23, 833–844. [Google Scholar] [CrossRef] [PubMed]
 - Cheung, D.T.; Perelman, N.; Tong, D.; Nimni, M.E. The effect of γ-irradiation on collagen molecules, isolated α-chains, and crosslinked native fibers. J. Biomed. Mater. Res. 1990, 24, 581–589. [Google Scholar] [CrossRef] [PubMed]
 - Seddon, A.M.; Curnow, P.; Booth, P.J. Membrane proteins, lipids and detergents: Not just a soap opera. Biochim. Biophys. Acta Biomembr. 2004, 1666, 105–117. [Google Scholar] [CrossRef] [PubMed] [Green Version]
 - Peloso, A.; Dhal, A.; Zambon, J.P.; Li, P.; Orlando, G.; Atala, A.; Soker, S. Current achievements and future perspectives in whole-organ bioengineering. Stem Cell Res. Ther. 2015, 6, 1–11. [Google Scholar] [CrossRef] [Green Version]
 - Vavken, P.; Joshi, S.; Murray, M.M. TRITON-X is most effective among three decellularization agents for ACL tissue engineering. J. Orthop. Res. 2009, 27, 1612–1618. [Google Scholar] [CrossRef] [Green Version]
 - Dayeh, V.R.; Chow, S.L.; Schirmer, K.; Lynn, D.H.; Bols, N.C. Evaluating the toxicity of Triton X-100 to protozoan, fish, and mammalian cells using fluorescent dyes as indicators of cell viability. Ecotoxicol. Environ. Saf. 2004, 57, 375–382. [Google Scholar] [CrossRef]
 - le Maire, M.; Champeil, P.; Møller, J.V. Interaction of membrane proteins and lipids with solubilizing detergents. Biochim. Biophys. Acta 2000, 1508, 86–111. [Google Scholar] [CrossRef] [Green Version]
 - Pavlović, B.; Cvijetić, N.; Dragačević, L.; Ivković, B.; Vujić, Z.; Kuntić, V. Direct UV Spectrophotometry and HPLC determination of triton X-100 in split virus influenza vaccine. J. AOAC Int. 2016, 99, 396–400. [Google Scholar] [CrossRef]
 - Zhu, Y.; Wang, D.; Yao, X.; Wang, M.; Zhao, Y.; Lu, Y.; Wang, Z.; Guo, Y. Biomimetic hybrid scaffold of electrospun silk fibroin and pancreatic decellularized extracellular matrix for islet survival. J. Biomater. Sci. Polym. Ed. 2021, 32, 151–165. [Google Scholar] [CrossRef] [PubMed]
 - Gilpin, A.; Yang, Y. Decellularization Strategies for Regenerative Medicine: From Processing Techniques to Applications. Biomed Res. Int. 2017, 2017, 1–13. [Google Scholar] [CrossRef] [Green Version]
 - Nagata, S.; Hanayama, R.; Kawane, K. Autoimmunity and the Clearance of Dead Cells. Cell 2010, 140, 619–630. [Google Scholar] [CrossRef] [Green Version]
 - Pang, K.; Du, L.; Wu, X. A rabbit anterior cornea replacement derived from acellular porcine cornea matrix, epithelial cells and keratocytes. Biomaterials 2010, 31, 7257–7265. [Google Scholar] [CrossRef] [PubMed]
 - Sullivan, D.C.; Mirmalek-Sani, S.-H.; Deegan, D.B.; Baptista, P.M.; Aboushwareb, T.; Atala, A.; Yoo, J.J. Decellularization methods of porcine kidneys for whole organ engineering using a high-throughput system. Biomaterials 2012, 33, 7756–7764. [Google Scholar] [CrossRef] [PubMed]
 - Gilpin, S.E.; Guyette, J.P.; Gonzalez, G.; Ren, X.; Asara, J.M.; Mathisen, D.J.; Vacanti, J.P.; Ott, H.C. Perfusion decellularization of human and porcine lungs: Bringing the matrix to clinical scale. J. Hear. Lung Transplant. 2014, 33, 298–308. [Google Scholar] [CrossRef] [PubMed]
 - Syed, O.; Walters, N.J.; Day, R.M.; Kim, H.-W.; Knowles, J.C. Evaluation of decellularization protocols for production of tubular small intestine submucosa scaffolds for use in oesophageal tissue engineering. Acta Biomater. 2014, 10, 5043–5054. [Google Scholar] [CrossRef] [Green Version]
 - O’Neill, J.D.; Anfang, R.; Anandappa, A.; Costa, J.; Javidfar, J.; Wobma, H.M.; Singh, G.; Freytes, D.O.; Bacchetta, M.D.; Sonett, J.R.; et al. Decellularization of human and porcine lung tissues for pulmonary tissue engineering. Ann. Thorac. Surg. 2013, 96, 1046–1056. [Google Scholar] [CrossRef] [PubMed] [Green Version]
 - Zhou, J.; Fritze, O.; Schleicher, M.; Wendel, H.-P.; Schenke-Layland, K.; Harasztosi, C.; Hu, S.; Stock, U.A. Impact of heart valve decellularization on 3-D ultrastructure, immunogenicity and thrombogenicity. Biomaterials 2010, 31, 2549–2554. [Google Scholar] [CrossRef] [PubMed]
 - Jank, B.J.; Xiong, L.; Moser, P.T.; Guyette, J.P.; Ren, X.; Cetrulo, C.L.; Leonard, D.A.; Fernandez, L.; Fagan, S.P.; Ott, H.C. Engineered composite tissue as a bioartificial limb graft. Biomaterials 2015, 61, 246–256. [Google Scholar] [CrossRef] [PubMed] [Green Version]
 - Gharenaz, N.M.; Movahedin, M.; Mazaheri, Z. Three-dimensional culture of mouse spermatogonial stem cells using a decellularised testicular scaffold. Cell J. 2020, 21, 410–418. [Google Scholar] [CrossRef]
 - Grauss, R.W.; Hazekamp, M.G.; Oppenhuizen, F.; Van Munsteren, C.J.; Gittenberger-de Groot, A.C.; DeRuiter, M.C. Histological evaluation of decellularised porcine aortic valves: Matrix changes due to different decellularisation methods. Eur. J. Cardio-Thorac. Surg. 2005, 27, 566–571. [Google Scholar] [CrossRef] [PubMed]
 - Scarritt, M.E.; Pashos, N.C.; Bunnell, B.A. A review of cellularization strategies for tissue engineering of whole organs. Front. Bioeng. Biotechnol. 2015, 3, 1–17. [Google Scholar] [CrossRef] [PubMed] [Green Version]
 - Sackett, S.D.; Tremmel, D.M.; Ma, F.; Feeney, A.K.; Maguire, R.M.; Brown, M.E.; Zhou, Y.; Li, X.; O’Brien, C.; Li, L.; et al. Extracellular matrix scaffold and hydrogel derived from decellularized and delipidized human pancreas. Sci. Rep. 2018, 8, 1–16. [Google Scholar] [CrossRef]
 












| Variants | p-Value | 
|---|---|
| CUT/PBS/24 °C, GROUND/PBS/4 °C | <0.0001 | 
| CUT/PBS/4 °C, GROUND/PBS/4 °C | <0.0001 | 
| CUT/WA/24 °C, GROUND/PBS/4 °C | <0.0001 | 
| CUT/WA/4 °C, GROUND/PBS/4 °C | <0.0001 | 
| GROUND/PBS/24 °C, GROUND/PBS/4 °C | <0.0001 | 
| GROUND/PBS/4 °C, GROUND/NH3 · H2O/24 °C | <0.0001 | 
| GROUND/PBS/4 °C, GROUND/NH3 · H2O/4 °C | <0.0001 | 
| Variants | p-Value | 
|---|---|
| GROUND/PBS/4 °C, GROUND/NH3 · H2O/4 °C | 0.0030 | 
| GROUND/PBS/4 °C, GROUND/NH3 · H2O/24 °C | 0.0467 | 
| CUT/NH3 · H2O/4 °C, GROUND/PBS/4 °C | 0.0100 | 
| CUT/NH3 · H2O/24 °C, GROUND/PBS/4 °C | <0.0001 | 
| CUT/PBS/24 °C, GROUND/PBS/4 °C | 0.0019 | 
Publisher’s Note: MDPI stays neutral with regard to jurisdictional claims in published maps and institutional affiliations.  | 
© 2021 by the authors. Licensee MDPI, Basel, Switzerland. This article is an open access article distributed under the terms and conditions of the Creative Commons Attribution (CC BY) license (https://creativecommons.org/licenses/by/4.0/).
Share and Cite
Klak, M.; Łojszczyk, I.; Berman, A.; Tymicki, G.; Adamiok-Ostrowska, A.; Sierakowski, M.; Olkowski, R.; Szczepankiewicz, A.A.; Kamiński, A.; Dobrzyń, A.; et al. Impact of Porcine Pancreas Decellularization Conditions on the Quality of Obtained dECM. Int. J. Mol. Sci. 2021, 22, 7005. https://doi.org/10.3390/ijms22137005
Klak M, Łojszczyk I, Berman A, Tymicki G, Adamiok-Ostrowska A, Sierakowski M, Olkowski R, Szczepankiewicz AA, Kamiński A, Dobrzyń A, et al. Impact of Porcine Pancreas Decellularization Conditions on the Quality of Obtained dECM. International Journal of Molecular Sciences. 2021; 22(13):7005. https://doi.org/10.3390/ijms22137005
Chicago/Turabian StyleKlak, Marta, Ilona Łojszczyk, Andrzej Berman, Grzegorz Tymicki, Anna Adamiok-Ostrowska, Maciej Sierakowski, Radosław Olkowski, Andrzej Antoni Szczepankiewicz, Artur Kamiński, Agnieszka Dobrzyń, and et al. 2021. "Impact of Porcine Pancreas Decellularization Conditions on the Quality of Obtained dECM" International Journal of Molecular Sciences 22, no. 13: 7005. https://doi.org/10.3390/ijms22137005
APA StyleKlak, M., Łojszczyk, I., Berman, A., Tymicki, G., Adamiok-Ostrowska, A., Sierakowski, M., Olkowski, R., Szczepankiewicz, A. A., Kamiński, A., Dobrzyń, A., & Wszoła, M. (2021). Impact of Porcine Pancreas Decellularization Conditions on the Quality of Obtained dECM. International Journal of Molecular Sciences, 22(13), 7005. https://doi.org/10.3390/ijms22137005
        
                                                
