Lomeguatrib Increases the Radiosensitivity of MGMT Unmethylated Human Glioblastoma Multiforme Cell Lines
Abstract
:1. Introduction
2. Results
2.1. T98G Is more Radioresistant Than LN18 and U118
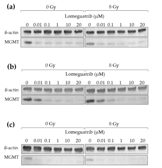
2.2. Lomeguatrib Decreases MGMT Protein Levels
2.3. High Dose Lomeguatrib Changes Cell Cycle Distribution
2.4. Lomeguatrib Does Not Affect Cell Proliferation
2.5. Irradiation Does Not Change MGMT Protein Levels
2.6. Lomeguatrib Exhibits a Radiosensitizing Effect Only at Low Doses
2.7. High Dose Lomeguatrib Decreases Radiation-Induced G2/M Arrest
2.8. Lomeguatrib Does Not Affect Radiation-Induced Apoptosis
3. Discussion
4. Materials and Methods
4.1. Cell Lines and Culture Conditions
4.2. Lomeguatrib and Radiation Treatment
4.3. Colony-Forming Assay (CFA)
4.4. AlamarBlue Proliferation Assay
4.5. Western Blot
4.6. Cell Cycle Flow Cytometry
4.7. Quantification of Apoptosis
4.8. Statistical Analysis
Author Contributions
Funding
Institutional Review Board Statement
Informed Consent Statement
Data Availability Statement
Conflicts of Interest
References
- Ostrom, Q.T.; Gittleman, H.; Farah, P.; Ondracek, A.; Chen, Y.; Wolinsky, Y.; Stroup, N.E.; Kruchko, C.; Barnholtz-Sloan, J.S. CBTRUS statistical report: Primary brain and central nervous system tumors diagnosed in the United States in 2006–2010. Neuro-Oncology 2013, 15, ii1–ii56. [Google Scholar] [CrossRef] [PubMed] [Green Version]
- Furnari, F.B.; Fenton, T.; Bachoo, R.M.; Mukasa, A.; Stommel, J.M.; Stegh, A.; Hahn, W.C.; Ligon, K.L.; Louis, D.N.; Brennan, C. Malignant astrocytic glioma: Genetics, biology, and paths to treatment. Genes Dev. 2007, 21, 2683–2710. [Google Scholar] [CrossRef] [Green Version]
- Louis, D.N.; Perry, A.; Reifenberger, G.; Von Deimling, A.; Figarella-Branger, D.; Cavenee, W.K.; Ohgaki, H.; Wiestler, O.D.; Kleihues, P.; Ellison, D.W. The 2016 World Health Organization classification of tumors of the central nervous system: A summary. Acta Neuropathol. 2016, 131, 803–820. [Google Scholar] [CrossRef] [Green Version]
- Stewart, B.; Wild, C.P. World cancer report 2014. Public Health 2019, 16, 511–519. [Google Scholar]
- Fernandes, C.; Costa, A.; Osório, L.; Lago, R.C.; Linhares, P.; Carvalho, B.; Caeiro, C. Current standards of care in glioblastoma therapy. Exon Publ. 2017, 197–241. [Google Scholar] [CrossRef] [Green Version]
- Li, Y.M.; Suki, D.; Hess, K.; Sawaya, R. The influence of maximum safe resection of glioblastoma on survival in 1229 patients: Can we do better than gross-total resection? J. Neurosurg. 2016, 124, 977–988. [Google Scholar] [CrossRef] [Green Version]
- Hottinger, A.F.; Stupp, R.; Homicsko, K. Standards of care and novel approaches in the management of glioblastoma multiforme. Chin. J. Cancer 2014, 33, 32. [Google Scholar] [CrossRef] [Green Version]
- Stupp, R.; Mason, W.P.; Van Den Bent, M.J.; Weller, M.; Fisher, B.; Taphoorn, M.J.; Belanger, K.; Brandes, A.A.; Marosi, C.; Bogdahn, U. Radiotherapy plus concomitant and adjuvant temozolomide for glioblastoma. N. Engl. J. Med. 2005, 352, 987–996. [Google Scholar] [CrossRef]
- Roy, S.; Lahiri, D.; Maji, T.; Biswas, J. Recurrent glioblastoma: Where we stand. South Asian J. Cancer 2015, 4, 163. [Google Scholar] [CrossRef]
- Newlands, E.; Stevens, M.; Wedge, S.; Wheelhouse, R.T.; Brock, C. Temozolomide: A review of its discovery, chemical properties, pre-clinical development and clinical trials. Cancer Treat. Rev. 1997, 23, 35–61. [Google Scholar] [CrossRef]
- Barciszewska, A.-M.; Gurda, D.; Głodowicz, P.; Nowak, S.; Naskręt-Barciszewska, M.Z. A new epigenetic mechanism of temozolomide action in glioma cells. PLoS ONE 2015, 10, e0136669. [Google Scholar] [CrossRef] [PubMed] [Green Version]
- Brennand, J.; Margison, G.P. Reduction of the toxicity and mutagenicity of alkylating agents in mammalian cells harboring the Escherichia coli alkyltransferase gene. Proc. Natl. Acad. Sci. USA 1986, 83, 6292–6296. [Google Scholar] [CrossRef] [PubMed] [Green Version]
- Mitra, G.; Pauly, G.T.; Kumar, R.; Pei, G.K.; Hughes, S.H.; Moschel, R.C.; Barbacid, M. Molecular analysis of O6-substituted guanine-induced mutagenesis of ras oncogenes. Proc. Natl. Acad. Sci. USA 1989, 86, 8650–8654. [Google Scholar] [CrossRef] [PubMed] [Green Version]
- Zhang, J.; Stevens, M.F.G.; Tracey, D.B. Temozolomide: Mechanisms of action, repair and resistance. Curr. Mol. Pharmacol. 2012, 5, 102–114. [Google Scholar] [CrossRef]
- Pegg, A.; Byers, T. Repair of DNA containing O6-alkylguanine. FASEB J. 1992, 6, 2302–2310. [Google Scholar] [CrossRef]
- Tano, K.; Shiota, S.; Collier, J.; Foote, R.S.; Mitra, S. Isolation and structural characterization of a cDNA clone encoding the human DNA repair protein for O6-alkylguanine. Proc. Natl. Acad. Sci. USA 1990, 87, 686–690. [Google Scholar] [CrossRef] [Green Version]
- Hegi, M.E.; Diserens, A.-C.; Gorlia, T.; Hamou, M.-F.; De Tribolet, N.; Weller, M.; Kros, J.M.; Hainfellner, J.A.; Mason, W.; Mariani, L. MGMT gene silencing and benefit from temozolomide in glioblastoma. N. Engl. J. Med. 2005, 352, 997–1003. [Google Scholar] [CrossRef] [Green Version]
- McElhinney, R.S.; Donnelly, D.J.; McCormick, J.E.; Kelly, J.; Watson, A.J.; Rafferty, J.A.; Elder, R.H.; Middleton, M.R.; Willington, M.A.; McMurry, T.B.H. Inactivation of O6-alkylguanine-DNA alkyltransferase. 1. Novel O6-(hetarylmethyl) guanines having basic rings in the side chain. J. Med. Chem. 1998, 41, 5265–5271. [Google Scholar] [CrossRef]
- Middleton, M.R.; Kelly, J.; Thatcher, N.; Donnelly, D.J.; McElhinney, R.S.; McMurry, T.B.H.; McCormick, J.E.; Margison, G.P. O6-(4-bromothenyl) guanine improves the therapeutic index of temozolomide against A375M melanoma xenografts. Int. J. Cancer 2000, 85, 248–252. [Google Scholar] [CrossRef]
- Pegg, A.E.; Boosalis, M.; Samson, L.; Moschel, R.C.; Byers, T.L.; Swenn, K.; Dolan, M.E. Mechanism of inactivation of human O6-alkylguanine-DNA alkyltransferase by O6-benzylguanine. Biochemistry 1993, 32, 11998–12006. [Google Scholar] [CrossRef] [PubMed]
- Quinn, J.A.; Desjardins, A.; Weingart, J.; Brem, H.; Dolan, M.E.; Delaney, S.M.; Vredenburgh, J.; Rich, J.; Friedman, A.H.; Reardon, D.A. Phase I trial of temozolomide plus O6-benzylguanine for patients with recurrent or progressive malignant glioma. J. Clin. Oncol. 2005, 23, 7178–7187. [Google Scholar] [CrossRef] [PubMed]
- Quinn, J.A.; Jiang, S.X.; Reardon, D.A.; Desjardins, A.; Vredenburgh, J.J.; Rich, J.N.; Gururangan, S.; Friedman, A.H.; Bigner, D.D.; Sampson, J.H. Phase II trial of temozolomide plus O6-benzylguanine in adults with recurrent, temozolomide-resistant malignant glioma. J. Clin. Oncol. 2009, 27, 1262. [Google Scholar] [CrossRef] [Green Version]
- Dungey, F.A.; Löser, D.A.; Chalmers, A.J. Replication-dependent radiosensitization of human glioma cells by inhibition of poly (ADP-Ribose) polymerase: Mechanisms and therapeutic potential. Int. J. Radiat. Oncol. Biol. Phys. 2008, 72, 1188–1197. [Google Scholar] [CrossRef] [PubMed]
- Jue, T.R.; Nozue, K.; Lester, A.J.; Joshi, S.; Schroder, L.B.; Whittaker, S.P.; Nixdorf, S.; Rapkins, R.W.; Khasraw, M.; McDonald, K.L. Veliparib in combination with radiotherapy for the treatment of MGMT unmethylated glioblastoma. J. Transl. Med. 2017, 15, 61. [Google Scholar] [CrossRef] [Green Version]
- Robins, H.I.; Zhang, P.; Gilbert, M.R.; Chakravarti, A.; de Groot, J.F.; Grimm, S.A.; Wang, F.; Lieberman, F.S.; Krauze, A.; Trotti, A.M. A randomized phase I/II study of ABT-888 in combination with temozolomide in recurrent temozolomide resistant glioblastoma: An NRG oncology RTOG group study. J. Neuro-Oncol. 2016, 126, 309–316. [Google Scholar] [CrossRef] [PubMed] [Green Version]
- Bajan, S.; Hutvagner, G. RNA-Based Therapeutics: From Antisense Oligonucleotides to miRNAs. Cells 2020, 9, 137. [Google Scholar] [CrossRef] [PubMed] [Green Version]
- Hong, D.S.; Kang, Y.-K.; Borad, M.; Sachdev, J.; Ejadi, S.; Lim, H.Y.; Brenner, A.J.; Park, K.; Lee, J.-L.; Kim, T.-Y. Phase 1 study of MRX34, a liposomal miR-34a mimic, in patients with advanced solid tumours. Br. J. Cancer 2020, 122, 1630–1637. [Google Scholar] [CrossRef]
- Kirstein, A.; Schmid, T.E.; Combs, S.E. The role of miRNA for the treatment of MGMT unmethylated glioblastoma multiforme. Cancers 2020, 12, 1099. [Google Scholar] [CrossRef]
- Reinhard, J.; Eichhorn, U.; Wiessler, M.; Kaina, B. Inactivation of O6-methylguanine-DNA methyltransferase by glucose-conjugated inhibitors. Int. J. Cancer 2001, 93, 373–379. [Google Scholar] [CrossRef]
- Clemons, M.; Kelly, J.; Watson, A.J.; Howell, A.; McElhinney, R.; McMurry, T.; Margison, G.P. O6-(4-bromothenyl) guanine reverses temozolomide resistance in human breast tumour MCF-7 cells and xenografts. Br. J. Cancer 2005, 93, 1152–1156. [Google Scholar] [CrossRef] [Green Version]
- St-Coeur, P.-D.; Poitras, J.J.; Cuperlovic-Culf, M.; Touaibia, M. Investigating a signature of temozolomide resistance in GBM cell lines using metabolomics. J. Neuro-Oncol. 2015, 125, 91–102. [Google Scholar] [CrossRef] [PubMed]
- Taspinar, M.; Ilgaz, S.; Ozdemir, M.; Ozkan, T.; Oztuna, D.; Canpinar, H.; Rey, J.A.; Sunguroğlu, A.; Castresana, J.S.; Ugur, H.C. Effect of lomeguatrib–temozolomide combination on MGMT promoter methylation and expression in primary glioblastoma tumor cells. Tumor Biol. 2013, 34, 1935–1947. [Google Scholar] [CrossRef] [PubMed]
- Ugur, H.C.; Taspinar, M.; Ilgaz, S.; Sert, F.; Canpinar, H.; Rey, J.A.; Castresana, J.S.; Sunguroglu, A. Chemotherapeutic resistance in anaplastic astrocytoma cell lines treated with a temozolomide–lomeguatrib combination. Mol. Biol. Rep. 2014, 41, 697–703. [Google Scholar] [CrossRef] [PubMed]
- Signorell, R.D.; Papachristodoulou, A.; Xiao, J.; Arpagaus, B.; Casalini, T.; Grandjean, J.; Thamm, J.; Steiniger, F.; Luciani, P.; Brambilla, D. Preparation of PEGylated liposomes incorporating lipophilic lomeguatrib derivatives for the sensitization of chemo-resistant gliomas. Int. J. Pharm. 2018, 536, 388–396. [Google Scholar] [CrossRef] [PubMed] [Green Version]
- Pawlik, T.M.; Keyomarsi, K. Role of cell cycle in mediating sensitivity to radiotherapy. Int. J. Radiat. Oncol. Biol. Phys. 2004, 59, 928–942. [Google Scholar] [CrossRef]
- Iliakis, G.; Wang, Y.; Guan, J.; Wang, H. DNA damage checkpoint control in cells exposed to ionizing radiation. Oncogene 2003, 22, 5834–5847. [Google Scholar] [CrossRef] [Green Version]
- Taylor, W.R.; Stark, G.R. Regulation of the G2/M transition by p53. Oncogene 2001, 20, 1803–1815. [Google Scholar] [CrossRef] [Green Version]
- O’Farrell, P.H. Triggering the all-or-nothing switch into mitosis. Trends Cell Biol. 2001, 11, 512–519. [Google Scholar] [CrossRef] [Green Version]
- Kastan, M.B.; Bartek, J. Cell-cycle checkpoints and cancer. Nature 2004, 432, 316–323. [Google Scholar] [CrossRef]
- Giacinti, C.; Giordano, A. RB and cell cycle progression. Oncogene 2006, 25, 5220–5227. [Google Scholar] [CrossRef] [PubMed] [Green Version]
- Network, C.G.A.R. Comprehensive genomic characterization defines human glioblastoma genes and core pathways. Nature 2008, 455, 1061. [Google Scholar]
- Hall, E.J.; Giaccia, A.J. Radiobiology for the Radiologist; Lippincott Williams & Wilkins: Philadelphia, PA, USA, 2006; Volume 6. [Google Scholar]
- Shi, Y.; Wang, Y.; Qian, J.; Yan, X.; Han, Y.; Yao, N.; Ma, J. MGMT expression affects the gemcitabine resistance of pancreatic cancer cells. Life Sci. 2020, 259, 118148. [Google Scholar] [CrossRef] [PubMed]







| Cell Line | Lomeguatrib (µM) | Doubling Time (h) | p-Value |
|---|---|---|---|
| LN18 | 0 | 16.4 ± 5.4 | |
| 1 | 16.1 ± 4.8 | 0.9541 | |
| 20 | 22.6 ± 5.3 | 0.3065 | |
| T98G | 0 | 16.1 ± 1.8 | |
| 1 | 25.2 ± 1.8 | 0.5238 | |
| 20 | 30.6 ± 4.2 | 0.5135 | |
| U118 | 0 | 20.1 ± 4.8 | |
| 1 | 18.0 ± 7.3 | 0.7425 | |
| 20 | 21.4 ± 9.7 | 0.8757 |
| Cell Line | Lomeguatrib | D50 (Gy) a | SER (50%) b | α (Gy−1) c | ß (Gy−2) c |
|---|---|---|---|---|---|
| LN18 | 0 µM | 2.27 ± 0.24 | 1 | 0.2353 ± 0.1358 | 0.0333 ± 0.0192 |
| 1 µM | 1.71 ± 0.16 | 1.36 ± 0.08 | 0.3974 ± 0.1408 | 0.0059 ± 0.0029 | |
| 20 µM | 3.05 ± 0.04 | 0.76 ± 0.06 | 0.1517 ± 0.0876 | 0.0249 ± 0.0144 | |
| T98G | 0 µM | 3.29 ± 0.12 | 1 | 0.1264 ± 0.0730 | 0.0255 ± 0.0174 |
| 1 µM | 2.54 ± 0.18 | 1.30 ± 0.05 | 0.2439 ± 0.1408 | 0.0116 ± 0.0067 | |
| 20 µM | 4.72 ± 0.08 | 0.70 ± 0.01 | 0.0456 ± 0.0263 | 0.0214 ± 0.0123 | |
| U118 | 0 µM | 1.67 ± 0.11 | 1 | 0.3789 ± 0.1694 | 0.0246 ± 0.0110 |
| 1 µM | 1.36 ± 0.09 | 1.32 ± 0.12 | 0.4360 ± 0.2517 | 0.0581 ± 0.0366 | |
| 20 µM | 2.51 ± 0.20 | 0.66 ± 0.08 | 0.1637 ± 0.0819 | 0.0474 ± 0.0237 |
| Cell Line | Comparison | p-Value | ||
|---|---|---|---|---|
| G1 | G2/M | S | ||
| LN18 | 0 Gy 0 µM–0 Gy 1 µM | 0.7216 | 0.2716 | 0.5557 |
| 0 Gy 0 µM–8 Gy 0 µM | <0.0001 | <0.0001 | 0.0957 | |
| 0 Gy 1 µM–8 Gy 1 µM | <0.0001 | 0.0002 | 0.3799 | |
| 8 Gy 0 µM–8 Gy 1 µM | 0.6659 | 0.9615 | 0.6854 | |
| 0 Gy 0 µM–0 Gy 20 µM | 0.8523 | 0.9020 | 0.9125 | |
| 0 Gy 0 µM–8 Gy 0 µM | 0.0025 | 0.0003 | 0.0849 | |
| 0 Gy 20 µM–8 Gy 20 µM | 0.0100 | 0.0374 | 0.6565 | |
| 8 Gy 0 µM–8 Gy 20 µM | 0.0332 | 0.0085 | 0.0687 | |
| T98G | 0 Gy 0 µM–0 Gy 1 µM | 0.8923 | 0.3786 | 0.8771 |
| 0 Gy 0 µM–8 Gy 0 µM | 0.0580 | 0.0003 | 0.1098 | |
| 0 Gy 1 µM–8 Gy 1 µM | 0.0419 | 0.0002 | 0.0510 | |
| 8 Gy 0 µM–8 Gy 1 µM | 0.7003 | 0.9021 | 0.8021 | |
| 0 Gy 0 µM–0 Gy 20 µM | 0.6737 | 0.0140 | 0.1019 | |
| 0 Gy 0 µM–8 Gy 0 µM | 0.0006 | 0.0024 | 0.9001 | |
| 0 Gy 20 µM–8 Gy 20 µM | 0.0025 | 0.0001 | 0.1456 | |
| 8 Gy 0 µM–8 Gy 20 µM | 0.0342 | 0.0511 | 0.9310 | |
| U118 | 0 Gy 0 µM–0 Gy 1 µM | 0.1068 | 0.7759 | 0.8115 |
| 0 Gy 0 µM–8 Gy 0 µM | <0.0001 | <0.0001 | 0.0007 | |
| 0 Gy 1 µM–8 Gy 1 µM | <0.0001 | <0.0001 | 0.0041 | |
| 8 Gy 0 µM–8 Gy 1 µM | 0.6896 | 0.0941 | 0.0532 | |
| 0 Gy 0 µM–0 Gy 20 µM | 0.2950 | 0.0545 | 0.6297 | |
| 0 Gy 0 µM–8 Gy 0 µM | 0.0047 | 0.0006 | 0.2414 | |
| 0 Gy 20 µM–8 Gy 20 µM | 0.0124 | 0.0019 | 0.1552 | |
| 8 Gy 0 µM–8 Gy 20 µM | 0.0809 | 0.2753 | 0.7805 | |
Publisher’s Note: MDPI stays neutral with regard to jurisdictional claims in published maps and institutional affiliations. |
© 2021 by the authors. Licensee MDPI, Basel, Switzerland. This article is an open access article distributed under the terms and conditions of the Creative Commons Attribution (CC BY) license (https://creativecommons.org/licenses/by/4.0/).
Share and Cite
Kirstein, A.; Schilling, D.; Combs, S.E.; Schmid, T.E. Lomeguatrib Increases the Radiosensitivity of MGMT Unmethylated Human Glioblastoma Multiforme Cell Lines. Int. J. Mol. Sci. 2021, 22, 6781. https://doi.org/10.3390/ijms22136781
Kirstein A, Schilling D, Combs SE, Schmid TE. Lomeguatrib Increases the Radiosensitivity of MGMT Unmethylated Human Glioblastoma Multiforme Cell Lines. International Journal of Molecular Sciences. 2021; 22(13):6781. https://doi.org/10.3390/ijms22136781
Chicago/Turabian StyleKirstein, Anna, Daniela Schilling, Stephanie E. Combs, and Thomas E. Schmid. 2021. "Lomeguatrib Increases the Radiosensitivity of MGMT Unmethylated Human Glioblastoma Multiforme Cell Lines" International Journal of Molecular Sciences 22, no. 13: 6781. https://doi.org/10.3390/ijms22136781
APA StyleKirstein, A., Schilling, D., Combs, S. E., & Schmid, T. E. (2021). Lomeguatrib Increases the Radiosensitivity of MGMT Unmethylated Human Glioblastoma Multiforme Cell Lines. International Journal of Molecular Sciences, 22(13), 6781. https://doi.org/10.3390/ijms22136781

