Design and Pharmacodynamics of Recombinant Fungus Defensin NZL with Improved Activity against Staphylococcus hyicus In Vitro and In Vivo
Abstract
1. Introduction
2. Results
2.1. Characterization and Expression of Peptide
2.2. Structure Analysis
2.3. Antimicrobial Activity of NZL
2.3.1. MIC Determination
2.3.2. Time-Killing Curves
2.3.3. Intracellular Antibacterial Activity
2.4. Toxicity and Stability of NZL
2.5. Effects of NZL and Fluorescein Isothiocyanate (FITC)-Labeled NZL on S. hyicus Membrane
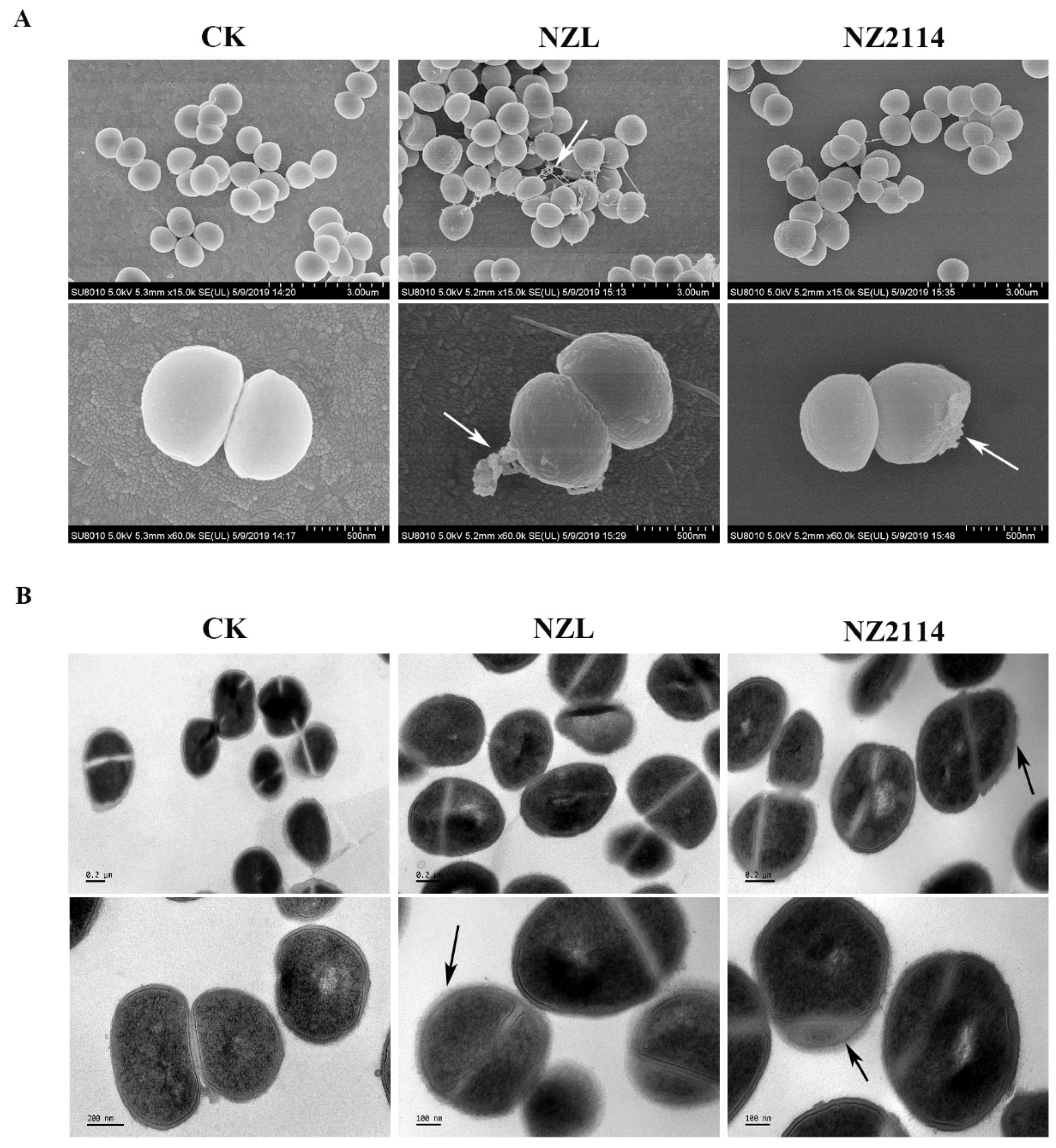
2.6. Morphological Observations
2.7. Super-Resolution Microscopy Image
2.8. Efficacy of NZL in Mice
2.8.1. Protection of Mice
2.8.2. Inhibition of Bacterial Translocation
2.8.3. Regulation of Cytokines
2.8.4. Protection of the Organ Injury
3. Discussion
4. Materials and Methods
4.1. Bacterial Strains, Cell Line, and Model Animals
4.2. Peptide Design, Expression and Purification
4.3. Structure Analysis
4.4. Antimicrobial Activity Assays
4.4.1. MIC
4.4.2. Time-Killing Curves
4.4.3. Intracellular Antibacterial Activity
4.5. Hemolysis, Cytotoxicity, and Stability of Peptides
4.5.1. Hemolysis
4.5.2. Cytotoxicity
4.5.3. Stability
4.6. Membrane Permeabilization Assay
4.6.1. Effects of NZL on S. hyicus Membrane
4.6.2. Effects of FITC-Labeled NZL on S. hyicus Membrane
4.7. Morphological Observations
4.8. Super-Resolution Microscopy Image
4.9. Efficacy of NZL in Mice
4.10. Statistical Analysis
Author Contributions
Funding
Institutional Review Board Statement
Informed Consent Statement
Data Availability Statement
Acknowledgments
Conflicts of Interest
References
- Casanova, C.; Iselin, L.; von Steiger, N.; Droz, S.; Sendi, P. Staphylococcus hyicus bacteremia in a farmer. J. Clin. Microbiol. 2011, 49, 4377–4378. [Google Scholar] [CrossRef]
- Foster, A.P. Staphylococcal skin disease in livestock. Vet. Dermatol. 2012, 23, 342–351. [Google Scholar] [CrossRef] [PubMed]
- Tanabe, T.; Sato, H.; Sato, H.; Watanabe, K.; Hirano, M.; Hirose, K.; Kurokawa, S.; Nakano, K.; Saito, H.; Maehara, N. Correlation between occurrence of exudative epidermitis and exfoliative toxin-producing ability of Staphylococcus hyicus. Vet. Microbiol. 1996, 48, 9–17. [Google Scholar] [CrossRef]
- Wang, M.; Hu, J.; Zhu, L.; Guo, C.; Lu, H.; Guo, C.; Li, X.; Wang, X. A fatal suppurative pneumonia in piglets caused by a pathogenic coagulase-positive strain of Staphylococcus hyicus. Vet. Res. Commun. 2017, 41, 139–146. [Google Scholar] [CrossRef] [PubMed]
- Aarestrup, F.M.; Jensen, L.B. Trends in antimicrobial susceptibility in relation to antimicrobial usage and presence of resistance genes in Staphylococcus hyicus isolated from exudative epidermitis in pigs. Vet. Microbiol. 2002, 89, 83–94. [Google Scholar] [CrossRef]
- Park, J.; Friendship, R.M.; Poljak, Z.; Weese, J.S.; Dewey, C.E. An investigation of exudative epidermitis (greasy pig disease) and antimicrobial resistance patterns of Staphylococcus hyicus and Staphylococcus aureus isolated from clinical cases. Can. Vet. J. 2013, 54, 139–144. [Google Scholar]
- Park, J.; Friendship, R.M.; Weese, J.S.; Poljak, Z.; Dewey, C.E. An investigation of resistance to β-lactam antimicrobials among staphylococci isolated from pigs with exudative epidermitis. BMC Vet. Res. 2013, 9, 211. [Google Scholar] [CrossRef]
- Futagawa-Saito, K.; Ba-Thein, W.; Fukuyasu, T. Antimicrobial susceptibilities of exfoliative toxigenic and non-toxigenic Staphylococcus hyicus strains in Japan. J. Vet. Med. Sci. 2009, 71, 681–684. [Google Scholar] [CrossRef]
- Liu, H.; Yang, N.; Mao, R.; Teng, D.; Hao, Y.; Wang, X.; Wang, J. A new high-yielding antimicrobial peptide NZX and its antibacterial activity against Staphylococcus hyicus in vitro/vivo. Appl. Microbiol. Biotechnol. 2020, 104, 1555–1568. [Google Scholar] [CrossRef]
- Bahar, A.A.; Ren, D. Antimicrobial peptides. Pharmaceuticals 2013, 6, 1543–1575. [Google Scholar] [CrossRef]
- Da Cunha, N.B.; Cobacho, N.B.; Viana, J.F.C.; Lima, L.A.; Sampaio, K.B.O.; Dohms, S.S.M.; Ferreira, A.C.R.; de la Fuente-Núñez, C.; Costa, F.F.; Franco, O.L.; et al. The next generation of antimicrobial peptides (AMPs) as molecular therapeutic tools for the treatment of diseases with social and economic impacts. Drug Discov. Today 2017, 22, 234–248. [Google Scholar] [CrossRef] [PubMed]
- Seo, M.D.; Won, H.S.; Kim, J.H.; Mishig-Ochir, T.; Lee, B.J. Antimicrobial peptides for therapeutic applications: A review. Molecules 2012, 17, 12276–12286. [Google Scholar] [CrossRef] [PubMed]
- Pen, G.H.; Yang, N.; Teng, D.; Mao, R.Y.; Hao, Y.; Wang, J.H. A review on the use of antimicrobial peptides to combat porcine viruses. Antibiotics 2020, 9, 801. [Google Scholar] [CrossRef] [PubMed]
- Mygind, P.H.; Fischer, R.L.; Schnorr, K.M.; Hansen, M.T.; Sönksen, C.P.; Ludvigsen, S.; Raventós, D.; Buskov, S.; Christensen, B.; De Maria, L.; et al. Plectasin is a peptide antibiotic with therapeutic potential from a saprophytic fungus. Nature 2005, 437, 975–980. [Google Scholar] [CrossRef]
- Schneider, T.; Kruse, T.; Wimmer, R.; Wiedemann, I.; Sass, V.; Pag, U.; Jansen, A.; Nielsen, A.K.; Mygind, P.H.; Raventós, D.S.; et al. Plectasin, a fungal defensin, targets the bacterial cell wall precursor Lipid II. Science 2010, 328, 1168–1172. [Google Scholar] [CrossRef]
- Zhang, Y.; Teng, D.; Mao, R.; Wang, X.; Xi, D.; Hu, X.; Wang, J. High expression of a plectasin-derived peptide NZ2114 in Pichia pastoris and its pharmacodynamics, postantibiotic and synergy against Staphylococcus aureus. Appl. Microbiol. Biotechnol. 2014, 98, 681–694. [Google Scholar] [CrossRef]
- Andes, D.; Craig, W.; Nielsen, L.A.; Kristensen, H.H. In vivo pharmacodynamic characterization of a novel plectasin antibiotic, NZ2114, in a murine infection model. Antimicrob. Agents Chemother. 2009, 53, 3003–3009. [Google Scholar] [CrossRef]
- Brinch, K.S.; Tulkens, P.M.; Van Bambeke, F.; Frimodt-Møller, N.; Høiby, N.; Kristensen, H.H. Intracellular activity of the peptide antibiotic NZ2114: Studies with Staphylococcus aureus and human THP-1 monocytes, and comparison with daptomycin and vancomycin. J. Antimicrob. Chemother. 2010, 65, 1720–1724. [Google Scholar] [CrossRef]
- Ostergaard, C.; Sandvang, D.; Frimodt-Møller, N.; Kristensen, H.H. High cerebrospinal fluid (CSF) penetration and potent bactericidal activity in CSF of NZ2114, a novel plectasin variant, during experimental pneumococcal meningitis. Antimicrob. Agents Chemother. 2009, 53, 1581–1585. [Google Scholar] [CrossRef]
- Xiong, Y.Q.; Hady, W.A.; Deslandes, A.; Rey, A.; Fraisse, L.; Kristensen, H.H.; Yeaman, M.R.; Bayer, A.S. Efficacy of NZ2114, a novel plectasin-derived cationic antimicrobial peptide antibiotic, in experimental endocarditis due to methicillin-resistant Staphylococcus aureus. Antimicrob. Agents Chemother. 2011, 55, 5325–5330. [Google Scholar] [CrossRef]
- Lyu, Y.; Chen, T.; Shang, L.; Yang, Y.; Li, Z.; Zhu, J.; Shan, A. Design of Trp-rich dodecapeptides with broad-spectrum antimicrobial potency and membrane-disruptive mechanism. J. Med. Chem. 2019, 62, 6941–6957. [Google Scholar] [CrossRef] [PubMed]
- Huang, Y.; Huang, J.; Chen, Y. Alpha-helical cationic antimicrobial peptides: Relationships of structure and function. Protein Cell 2010, 1, 143–152. [Google Scholar] [CrossRef] [PubMed]
- Zelezetsky, I.; Tossi, A. Alpha-helical antimicrobial peptides—Using a sequence template to guide structure-activity relationship studies. Biochim. Biophys. Acta 2006, 1758, 1436–1449. [Google Scholar] [CrossRef] [PubMed]
- Zhang, Y.; Teng, D.; Wang, X.; Mao, R.; Cao, X.; Hu, X.; Zong, L.; Wang, J. In vitro and in vivo characterization of a new recombinant antimicrobial peptide, MP1102, against methicillin-resistant Staphylococcus aureus. Appl. Microbiol. Biotechnol. 2015, 99, 6255–6266. [Google Scholar] [CrossRef]
- Chen, H.; Mao, R.; Teng, D.; Wang, X.; Hao, Y.; Feng, X.; Wang, J. Design and pharmacodynamics of recombinant NZ2114 histidine mutants with improved activity against methicillin-resistant Staphylococcus aureus. AMB Express 2017, 7, 46. [Google Scholar] [CrossRef] [PubMed]
- Yang, N.; Teng, D.; Mao, R.; Hao, Y.; Wang, X.; Wang, Z.; Wang, X.; Wang, J. A recombinant fungal defensin-like peptide-P2 combats multidrug-resistant Staphylococcus aureus and biofilms. Appl. Microbiol. Biotechnol. 2019, 103, 5193–5213. [Google Scholar] [CrossRef]
- Li, B.; Yang, N.; Wang, X.; Hao, Y.; Mao, R.; Li, Z.; Wang, Z.; Teng, D.; Wang, J. An enhanced variant designed from DLP4 cationic peptide against Staphylococcus aureus CVCC 546. Front. Microbiol. 2020, 11, 1057. [Google Scholar] [CrossRef]
- Eckert, R. Road to clinical efficacy: Challenges and novel strategies for antimicrobial peptide development. Future Microbiol. 2011, 6, 635–651. [Google Scholar] [CrossRef]
- Arsenakis, I.; Boyen, F.; Haesebrouck, F.; Maes, D.G.D. Autogenous vaccination reduces antimicrobial usage and mortality rates in a herd facing severe exudative epidermitis outbreaks in weaned pigs. Vet. Rec. 2018, 182, 744. [Google Scholar] [CrossRef]
- Wegener, H.C.; Watts, J.L.; Salmon, S.A.; Yancey, R.J., Jr. Antimicrobial susceptibility of Staphylococcus hyicus isolated from exudative epidermitis in pigs. J. Clin. Microbiol. 1994, 32, 793–795. [Google Scholar] [CrossRef]
- Fjell, C.D.; Hiss, J.A.; Hancock, R.E.; Schneider, G. Designing antimicrobial peptides: Form follows function. Nat. Rev. Drug Discov. 2011, 11, 37–51. [Google Scholar] [CrossRef] [PubMed]
- Barreto-Santamaría, A.; Patarroyo, M.E.; Curtidor, H. Designing and optimizing new antimicrobial peptides: All targets are not the same. Crit. Rev. Clin. Lab. Sci. 2019, 56, 351–373. [Google Scholar] [CrossRef]
- Fox, J.L. Antimicrobial peptides stage a comeback. Nat. Biotechnol. 2013, 31, 379–382. [Google Scholar] [CrossRef] [PubMed]
- Zasloff, M. Antimicrobial Peptides: Do They Have a Future as Therapeutics? Springer: Cham, Switzerland, 2016; pp. 147–154. [Google Scholar]
- Lee, D.G.; Kim, H.N.; Park, Y.; Kim, H.K.; Choi, B.H.; Choi, C.H.; Hahm, K.S. Design of novel analogue peptides with potent antibiotic activity based on the antimicrobial peptide, HP (2–20), derived from N-terminus of Helicobacter pylori ribosomal protein L1. Biochim. Biophys. Acta 2002, 1598, 185–194. [Google Scholar] [CrossRef]
- Chen, Y.; Guarnieri, M.T.; Vasil, A.I.; Vasil, M.L.; Mant, C.T.; Hodges, R.S. Role of peptide hydrophobicity in the mechanism of action of alpha-helical antimicrobial peptides. Antimicrob. Agents Chemother. 2007, 51, 1398–1406. [Google Scholar] [CrossRef]
- Jiang, Z.; Vasil, A.I.; Hale, J.D.; Hancock, R.E.; Vasil, M.L.; Hodges, R.S. Effects of net charge and the number of positively charged residues on the biological activity of amphipathic alpha-helical cationic antimicrobial peptides. Biopolymers 2008, 90, 369–383. [Google Scholar] [CrossRef]
- Tenland, E.; Krishnan, N.; Rnnholm, A.; Kalsum, S.; Puthia, M.; Mörgelin, M.; Davoudi, M.; Otrocka, M.; Alaridah, N.; Glegola-Madejska, I.; et al. A novel derivative of the fungal antimicrobial peptide plectasin is active against Mycobacterium tuberculosis. Tuberculosis 2018, 113, 231–238. [Google Scholar] [CrossRef]
- Yang, S.T.; Shin, S.Y.; Lee, C.W.; Kima, Y.C.; Hahmb, K.S.; Kim, J.I. Selective cytotoxicity following Arg-to-Lys substitution in tritrpticin adopting a unique amphipathic turn structure. FEBS Lett. 2003, 540, 229–233. [Google Scholar] [CrossRef]
- Wiegand, I.; Hilpert, K.; Hancock, R.E. Agar and broth dilution methods to determine the minimal inhibitory concentration (MIC) of antimicrobial substances. Nat. Protoc. 2008, 3, 163–175. [Google Scholar] [CrossRef]
- Li, Z.; Teng, D.; Mao, R.; Wang, X.; Hao, Y.; Wang, X.; Wang, J. Improved antibacterial activity of the marine peptide N6 against intracellular Salmonella Typhimurium by conjugating with the cell-penetrating peptide Tat(11) via a cleavable linker. J. Med. Chem. 2018, 61, 7991–8000. [Google Scholar] [CrossRef]
- Wang, X.; Wang, X.; Teng, D.; Mao, R.; Hao, Y.; Yang, N.; Li, Z.; Wang, J. Increased intracellular activity of MP1102 and NZ2114 against Staphylococcus aureus in vitro and in vivo. Sci. Rep. 2018, 8, 4204. [Google Scholar] [CrossRef] [PubMed]
- Zhang, L.J.; Gallo, R.L. Antimicrobial peptides. Curr. Biol. 2016, 26, R14–R19. [Google Scholar] [CrossRef] [PubMed]
- Andersson, D.I.; Hughes, D.; Kubicek-Sutherland, J.Z. Mechanisms and consequences of bacterial resistance to antimicrobial peptides. Drug Resist. Update 2016, 26, 43–57. [Google Scholar] [CrossRef]
- Melo, M.N.; Ferre, R.; Castanho, M.A. Antimicrobial peptides: Linking partition, activity and high membrane-bound concentrations. Nat. Rev. Microbiol. 2009, 7, 245–250. [Google Scholar] [CrossRef] [PubMed]
- Boman, H.G.; Agerberth, B.; Boman, A. Mechanisms of action on Escherichia coli of cecropin P1 and PR-39, two antibacterial peptides from pig intestine. Infect. Immun. 1993, 61, 2978–2984. [Google Scholar] [CrossRef]
- Yang, N.; Liu, X.; Teng, D.; Li, Z.; Wang, X.; Mao, R.; Wang, X.; Hao, Y.; Wang, J. Antibacterial and detoxifying activity of NZ17074 analogues with multi-layers of selective antimicrobial actions against Escherichia coli and Salmonella enteritidis. Sci. Rep. 2017, 7, 3392. [Google Scholar] [CrossRef]
- De Leeuw, E.; Li, C.; Zeng, P.; Li, C.; Diepeveen-de Buin, M.; Lu, W.Y.; Breukink, E.; Lu, W. Functional interaction of human neutrophil peptide-1 with the cell wall precursor lipid II. FEBS Lett. 2010, 584, 1543–1548. [Google Scholar] [CrossRef]
- Sass, V.; Schneider, T.; Wilmes, M.; Körner, C.; Tossi, A.; Novikova, N.; Shamova, O.; Sahl, H.G. Human beta-defensin 3 inhibits cell wall biosynthesis in Staphylococci. Infect. Immun. 2010, 78, 2793–2800. [Google Scholar] [CrossRef]
- Zhu, W.L.; Lan, H.; Park, I.S.; Kim, J.I.; Hai, Z.J.; Hahm, K.S.; Song, Y.S. Design and mechanism of action of a novel bacteria-selective antimicrobial peptide from the cell-penetrating peptide Pep-1. Biochem. Biophys. Res. Commun. 2006, 349, 769–774. [Google Scholar] [CrossRef]
- Tan, P.; Lai, Z.; Zhu, Y.; Shao, C.; Akhtar, M.U.; Li, W.; Zheng, X.; Shan, A. Multiple strategy optimization of specifically targeted antimicrobial peptide based on structure–activity relationships to enhance bactericidal efficiency. ACS Biomater. Sci. Eng. 2020, 6, 398–414. [Google Scholar] [CrossRef]
- Jiao, J.; Mao, R.; Teng, D.; Wang, X.; Hao, Y.; Yang, N.; Wang, X.; Feng, X.; Wang, J. In vitro and in vivo antibacterial effect of NZ2114 against Streptococcus suis type 2 infection in mice peritonitis models. AMB Express 2017, 7, 44. [Google Scholar] [CrossRef]
- Li, B.; Yang, N.; Shan, Y.; Wang, X.; Hao, Y.; Mao, R.; Teng, D.; Fan, H.; Wang, J. Therapeutic potential of a designed CSαβ peptide ID13 in Staphylococcus aureus-induced endometritis of mice. Appl. Microbiol. Biotechnol. 2020, 104, 6693–6705. [Google Scholar] [CrossRef]
- Hao, Y.; Yang, N.; Wang, X.; Teng, D.; Mao, R.; Wang, X.; Li, Z.; Wang, J. Killing of Staphylococcus aureus and Salmonella enteritidis and neutralization of lipopolysaccharide by 17-residue bovine lactoferricins: Improved activity of Trp/Ala-containing molecules. Sci. Rep. 2017, 7, 44278. [Google Scholar] [CrossRef] [PubMed]
- Li, Z.; Mao, R.; Teng, D.; Hao, Y.; Chen, H.; Wang, X.; Wang, X.; Yang, N.; Wang, J. Antibacterial and immunomodulatory activities of insect defensins-DLP2 and DLP4 against multidrug-resistant Staphylococcus aureus. Sci. Rep. 2017, 7, 12124. [Google Scholar] [CrossRef] [PubMed]
- Zhao, F.; Yang, N.; Wang, X.; Mao, R.; Hao, Y.; Li, Z.; Wang, X.; Teng, D.; Fan, H.; Wang, J. In vitro/vivo Mechanism of Action of MP1102 with Low/Nonresistance against Streptococcus suis Type 2 Strain CVCC 3928. Front. Cell. Infect. Microbiol. 2019, 9, 48. [Google Scholar] [CrossRef] [PubMed]
- Song, J.; Wang, J.; Zhan, N.; Sun, T.; Yu, W.; Zhang, L.; Shan, A.; Zhang, A. Therapeutic potential of Trp-rich engineered amphiphiles by single hydrophobic amino acid end-tagging. ACS Appl. Mater. Interfaces 2019, 11, 43820–43834. [Google Scholar] [CrossRef] [PubMed]








| Peptide | Sequences a | MW b | Net Charge | Hydrophobicity | Instability Index | A1 c | A2 d |
|---|---|---|---|---|---|---|---|
| NZ2114 | GFGCNGPWNEDDLRCHNHCKSIKGYKGGYCAKGGFVCKCY | 4417.03 | 3 | 0.350 | 25.49 | 4 | 4 |
| 1 | GFGCNGPWSEDDIRCHNHCKSIKGYKGGYCAKGGFVCKCY | 4390.00 | 3 | 0.366 | 22.41 | – | – |
| 2 | GFGCNGPWSEDDLKCHNHCKSIKGYKGGYCARGGFVCKCY | 4390.00 | 3 | 0.364 | 20.29 | – | – |
| 3 | GFGCNGPWTEDDLKCHNHCKSIKGYKGGYCASKGFVCKCY | 4406.04 | 3 | 0.371 | 13.44 | – | – |
| 4 | GFGCNGPWTEDDIKCHNHCKSIKGYKGGYCAKGGFVCKCY | 4376.01 | 3 | 0.374 | 16.53 | – | – |
| 5 | GFGCNGPWTEDDIRCHNHCKSIKGYKGGYCASKGFVCKCY | 4434.05 | 3 | 0.373 | 15.57 | – | – |
| 6 (NZL) | GFGCNGPWSEDDIQCHNHCKSIKGYKGGYCAKGGFVCKCY | 4361.94 | 2 | 0.386 | 20.52 | 2 | 1 |
| 7 | GFGCNGPWSEDDLQCHNHCKSIKGYKGGYCARGGFVCKCY | 4389.96 | 2 | 0.383 | 28.67 | 2 | 4 |
| 8 | GFGCNGPWSEDDIRCHNHCKSIKGYKGGYCASAGFVCKCY | 4362.93 | 2 | 0.398 | 21.45 | 64 | 128 |
| 9 | GFGCNGPWQEDDLKCHNHCKSIKGYKGGYCASAGFVCKCY | 4375.97 | 2 | 0.391 | 19.32 | 4 | 8 |
| 10 | GFGCNGPWTEDDIQCHNHCKSIKGYKGGYCARGGFVCKCY | 4403.98 | 2 | 0.393 | 16.77 | >128 | >128 |
| 11 | GFGCNGPWTEDDLKCHNHCKSIKGYKGGYCASAGFVCKCY | 4348.95 | 2 | 0.403 | 15.57 | – | – |
| Strains | MICs | |||||
|---|---|---|---|---|---|---|
| CRO | NZL | NZ2114 | ||||
| μg/mL | μM | μg/mL | μM | μg/mL | μM | |
| S. aureus ATCC 43300 | 8 | 12.09 | 2 | 0.46 | 4 | 0.91 |
| S. aureus ATCC 25923 | 4 | 6.04 | 4 | 0.92 | 8 | 1.81 |
| S. hyicus NCTC 10350 | 8 | 12.09 | 4 | 0.92 | 4 | 0.91 |
| S. hyicus ACCC 61734 | 4 | 6.04 | 1 | 0.23 | 4 | 0.91 |
Publisher’s Note: MDPI stays neutral with regard to jurisdictional claims in published maps and institutional affiliations. |
© 2021 by the authors. Licensee MDPI, Basel, Switzerland. This article is an open access article distributed under the terms and conditions of the Creative Commons Attribution (CC BY) license (https://creativecommons.org/licenses/by/4.0/).
Share and Cite
Liu, H.; Yang, N.; Teng, D.; Mao, R.; Hao, Y.; Ma, X.; Wang, J. Design and Pharmacodynamics of Recombinant Fungus Defensin NZL with Improved Activity against Staphylococcus hyicus In Vitro and In Vivo. Int. J. Mol. Sci. 2021, 22, 5435. https://doi.org/10.3390/ijms22115435
Liu H, Yang N, Teng D, Mao R, Hao Y, Ma X, Wang J. Design and Pharmacodynamics of Recombinant Fungus Defensin NZL with Improved Activity against Staphylococcus hyicus In Vitro and In Vivo. International Journal of Molecular Sciences. 2021; 22(11):5435. https://doi.org/10.3390/ijms22115435
Chicago/Turabian StyleLiu, He, Na Yang, Da Teng, Ruoyu Mao, Ya Hao, Xuanxuan Ma, and Jianhua Wang. 2021. "Design and Pharmacodynamics of Recombinant Fungus Defensin NZL with Improved Activity against Staphylococcus hyicus In Vitro and In Vivo" International Journal of Molecular Sciences 22, no. 11: 5435. https://doi.org/10.3390/ijms22115435
APA StyleLiu, H., Yang, N., Teng, D., Mao, R., Hao, Y., Ma, X., & Wang, J. (2021). Design and Pharmacodynamics of Recombinant Fungus Defensin NZL with Improved Activity against Staphylococcus hyicus In Vitro and In Vivo. International Journal of Molecular Sciences, 22(11), 5435. https://doi.org/10.3390/ijms22115435

