A Novel Amino Acid Substitution, Fibrinogen Bβp.Pro234Leu, Associated with Hypofibrinogenemia Causing Impairment of Fibrinogen Assembly and Secretion
Abstract
1. Introduction
2. Results
2.1. Patient Description
2.2. Coagulation Screening Tests and DNA Sequence Analysis
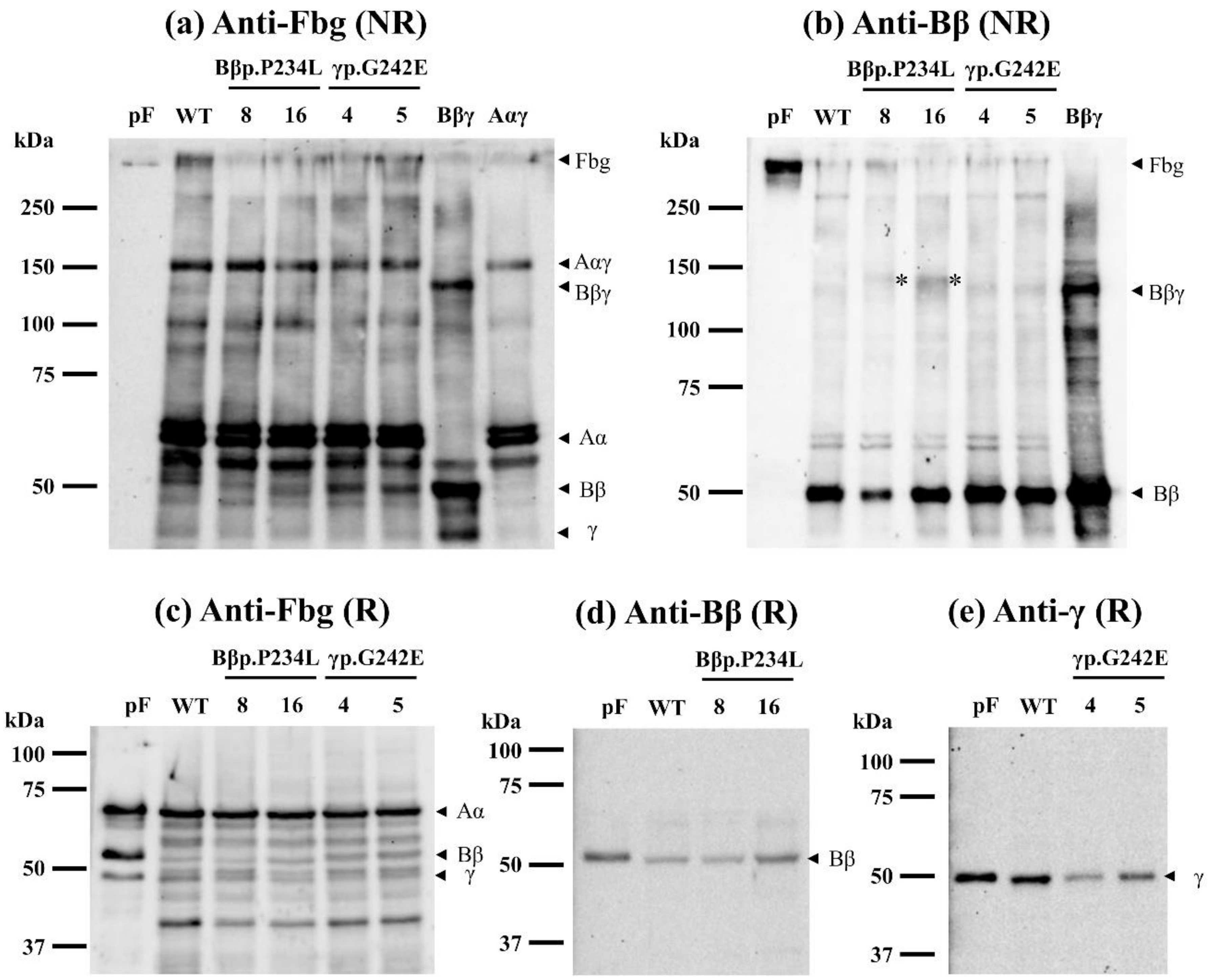
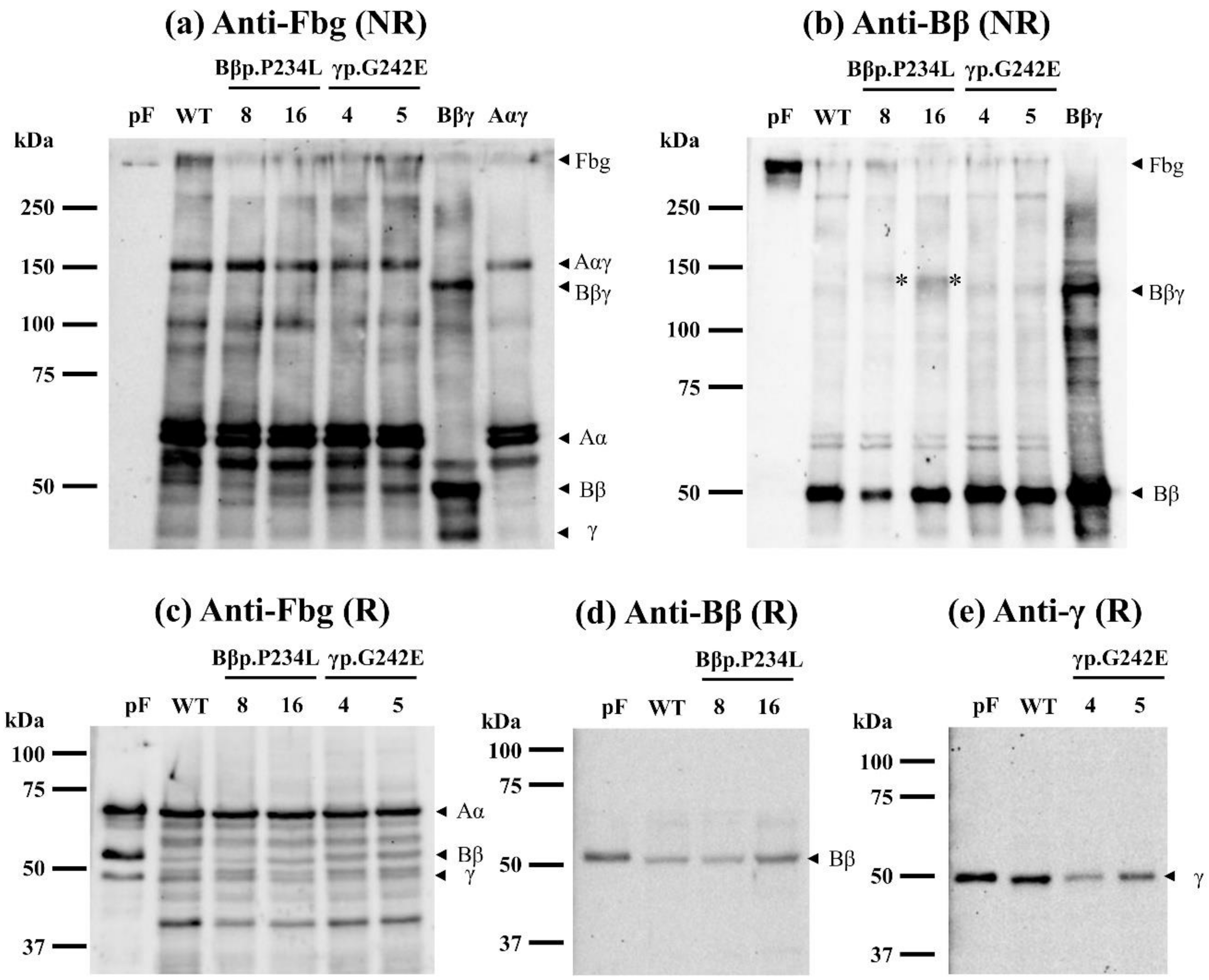
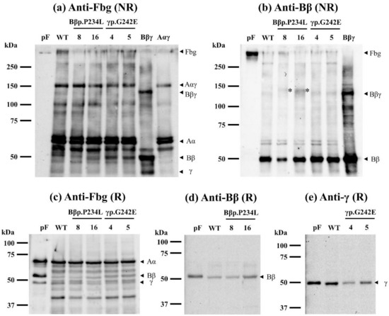
2.3. Secretion and Synthesis of Variant Fibrinogen in CHO Cells
2.4. Characterization of Purified Plasma Fibrinogens and Thrombin-Catalyzed Fibrin Polymerization
2.5. Identification of Contact Residues and Multiple Amino Acid Sequence Alignment of the Mutation Site
2.6. In-Silico Molecular Analysis
3. Discussion
4. Materials and Methods
4.1. Coagulation Screening Tests and DNA Sequencing of the Fibrinogen Gene
4.2. Establishment of Variant Fibrinogen-Producing Chinese Hamster Ovary Cells
4.3. Enzyme-Linked Immunosorbent Assay (ELISA) and Immunoblotting Analysis
4.4. Purification of Plasma Fibrinogen
4.5. Thrombin-Catalyzed Fibrin Polymerization
4.6. Identification of Contact Residues between the Bβ and γ Chains
4.7. Multiple Amino Acid Sequence Alignment of the Mutation Site
4.8. In-Silico Molecular Analysis
4.9. Statistical Analysis
5. Conclusions
Author Contributions
Funding
Acknowledgments
Conflicts of Interest
References
- Weisel, J.W.; Litvinov, R.I. Fibrin Formation, Structure and Properties. Subcell. Biochem. 2017, 82, 405–456. [Google Scholar] [CrossRef] [PubMed]
- Farrell, D.H.; Huang, S.; Davie, E.W. Processing of the carboxyl 15-amino acid extension in the alpha-chain of fibrinogen. J. Biol. Chem. 1993, 268, 10351–10355. [Google Scholar] [PubMed]
- Weisel, J.W. Fibrinogen and fibrin. Adv. Protein Chem. 2005, 70, 247–299. [Google Scholar] [CrossRef] [PubMed]
- Human Fibrinogen Database. Groupe D’etude sur L’hemostase et la Thrombose Human Fibrinogen Database Release 50; Human Fibrinogen Database: Paris, France, 2020. [Google Scholar]
- Casini, A.; Undas, A.; Palla, R.; Thachil, J.; de Moerloose, P. Diagnosis and classification of congenital fibrinogen disorders: Communication from the SSC of the ISTH. J. Thromb. Haemost. 2018, 16, 1887–1890. [Google Scholar] [CrossRef]
- Neerman-Arbez, M.; Casini, A. Clinical Consequences and Molecular Bases of Low Fibrinogen Levels. Int. J. Mol. Sci. 2018, 19, 192. [Google Scholar] [CrossRef]
- Simurda, T.; Brunclikova, M.; Asselta, R.; Caccia, S.; Zolkova, J.; Kolkova, Z.; Loderer, D.; Skornova, I.; Hudecek, J.; Lasabova, Z.; et al. Genetic Variants in the FGB and FGG Genes Mapping in the Beta and Gamma Nodules of the Fibrinogen Molecule in Congenital Quantitative Fibrinogen Disorders Associated with a Thrombotic Phenotype. Int. J. Mol. Sci. 2020, 21, 4616. [Google Scholar] [CrossRef]
- Smith, N.; Bornikova, L.; Noetzli, L.; Guglielmone, H.; Minoldo, S.; Backos, D.S.; Jacobson, L.; Thornburg, C.D.; Escobar, M.; White-Adams, T.C.; et al. Identification and characterization of novel mutations implicated in congenital fibrinogen disorders. Res. Pract. Thromb. Haemost. 2018, 2, 800–811. [Google Scholar] [CrossRef]
- Holm, B.; Godal, H.C. Quantitation of the three normally-occurring plasma fibrinogens in health and during so-called “acute phase” by SDS electrophoresis of fibrin obtained from EDTA-plasma. Thromb. Res. 1984, 35, 279–290. [Google Scholar] [CrossRef]
- Holm, B.; Nilsen, D.W.; Kierulf, P.; Godal, H.C. Purification and characterization of 3 fibrinogens with different molecular weights obtained from normal human plasma. Thromb. Res. 1985, 37, 165–176. [Google Scholar] [CrossRef]
- Sievers, F.; Wilm, A.; Dineen, D.; Gibson, T.J.; Karplus, K.; Li, W.; Lopez, R.; McWilliam, H.; Remmert, M.; Söding, J.; et al. Fast, scalable generation of high-quality protein multiple sequence alignments using Clustal Omega. Mol. Syst. Biol. 2011, 7, 539. [Google Scholar] [CrossRef]
- Waterhouse, A.M.; Procter, J.B.; Martin, D.M.A.; Clamp, M.; Barton, G.J. Jalview Version 2—A multiple sequence alignment editor and analysis workbench. Bioinformatics 2009, 25, 1189–1191. [Google Scholar] [CrossRef] [PubMed]
- UniProt Consortium. UniProt: A worldwide hub of protein knowledge. Nucleic Acids Res. 2019, 47, D506–D515. [Google Scholar] [CrossRef] [PubMed]
- Thompson, J.D.; Gibson, T.J.; Higgins, D.G. Multiple sequence alignment using ClustalW and ClustalX. Curr. Protoc. Bioinform. 2002. [Google Scholar] [CrossRef] [PubMed]
- Marchi, R.; Brennan, S.; Mijares, M. A novel mutation in the fibrinogen γ-chain 216 Gly>Glu causes hypofibrinogenemia. Thromb. Res. 2016, 147, 61–62. [Google Scholar] [CrossRef] [PubMed]
- Bauduer, F.; Mimoun, A.; Ménard, F.; de Mazancourt, P. The fibrinogen FGG p.Gly242Glu: A rare mutation associated with hypofibrinogenemia. Blood Coagul. Fibrinolysis 2018, 29, 415–416. [Google Scholar] [CrossRef] [PubMed]
- Zhang, J.Z.; Redman, C.M. Role of interchain disulfide bonds on the assembly and secretion of human fibrinogen. J. Biol. Chem. 1994, 269, 652–658. [Google Scholar] [PubMed]
- Neerman-Arbez, M.; de Moerloose, P.; Casini, A. Laboratory and Genetic Investigation of Mutations Accounting for Congenital Fibrinogen Disorders. Semin. Thromb. Hemost. 2016, 42, 356–365. [Google Scholar] [CrossRef]
- Kaido, T.; Yoda, M.; Kamijo, T.; Taira, C.; Higuchi, Y.; Okumura, N. Comparison of molecular structure and fibrin polymerization between two Bβ-chain N-terminal region fibrinogen variants, Bβp.G45C and Bβp.R74C. Int. J. Hematol. 2020, 112, 331–340. [Google Scholar] [CrossRef]
- Terasawa, F.; Okumura, N.; Kitano, K.; Hayashida, N.; Shimosaka, M.; Okazaki, M.; Lord, S.T. Hypofibrinogenemia Associated With a Heterozygous Missense Mutation γ153Cys to Arg (Matsumoto IV): In Vitro Expression Demonstrates Defective Secretion of the Variant Fibrinogen. Blood 1999, 94, 4122–4131. [Google Scholar] [CrossRef]
- Yoda, M.; Kaido, T.; Taira, C.; Higuchi, Y.; Arai, S.; Okumura, N. Congenital fibrinogen disorder with a compound heterozygote possessing two novel FGB mutations, one qualitative and the other quantitative. Thromb. Res. 2020, 196, 152–158. [Google Scholar] [CrossRef]
- Betts, L.; Merenbloom, B.K.; Lord, S.T. The structure of fibrinogen fragment D with the “A” knob peptide GPRVVE. J. Thromb. Haemost. 2006, 4, 1139–1141. [Google Scholar] [CrossRef] [PubMed]
- Kostelansky, M.S.; Betts, L.; Gorkun, O.V.; Lord, S.T. 2.8 Å Crystal Structures of Recombinant Fibrinogen Fragment D with and without Two Peptide Ligands: GHRP Binding to the “b” Site Disrupts Its Nearby Calcium-binding Site. Biochemistry 2002, 41, 12124–12132. [Google Scholar] [CrossRef] [PubMed]
- Spraggon, G.; Everse, S.J.; Doolittle, R.F. Crystal structures of fragment D from human fibrinogen and its crosslinked counterpart from fibrin. Nature 1997, 389, 455–462. [Google Scholar] [CrossRef] [PubMed]
- Kollman, J.M.; Pandi, L.; Sawaya, M.R.; Riley, M.; Doolittle, R.F. Crystal structure of human fibrinogen. Biochemistry 2009, 48, 3877–3886. [Google Scholar] [CrossRef]
- Yang, Z.; Kollman, J.M.; Pandi, L.; Doolittle, R.F. Crystal structure of native chicken fibrinogen at 2.7 A resolution. Biochemistry 2001, 40, 12515–12523. [Google Scholar] [CrossRef]
- Yang, Z.; Spraggon, G.; Pandi, L.; Everse, S.J.; Riley, M.; Doolittle, R.F. Crystal structure of fragment D from lamprey fibrinogen complexed with the peptide Gly-His-Arg-Pro-amide. Biochemistry 2002, 41, 10218–10224. [Google Scholar] [CrossRef]
- Schrodinger, LLC. The PyMOL Molecular Graphics System, Version 2.0; Schrodinger, LLC.: New York, NY, USA, 2015. [Google Scholar]
- Sali, A.; Blundell, T.L. Comparative protein modelling by satisfaction of spatial restraints. J. Mol. Biol. 1993, 234, 779–815. [Google Scholar] [CrossRef]
- Kanda, Y. Investigation of the freely available easy-to-use software “EZR” for medical statistics. Bone Marrow Transplant. 2013, 48, 452–458. [Google Scholar] [CrossRef]
- R Core Team. R: A Language and Environment for Statistical Computing; R Foundation for Statistical Computing: Vienna, Austria, 2018. [Google Scholar]






Publisher’s Note: MDPI stays neutral with regard to jurisdictional claims in published maps and institutional affiliations. |
© 2020 by the authors. Licensee MDPI, Basel, Switzerland. This article is an open access article distributed under the terms and conditions of the Creative Commons Attribution (CC BY) license (http://creativecommons.org/licenses/by/4.0/).
Share and Cite
Kaido, T.; Yoda, M.; Kamijo, T.; Arai, S.; Taira, C.; Higuchi, Y.; Okumura, N. A Novel Amino Acid Substitution, Fibrinogen Bβp.Pro234Leu, Associated with Hypofibrinogenemia Causing Impairment of Fibrinogen Assembly and Secretion. Int. J. Mol. Sci. 2020, 21, 9422. https://doi.org/10.3390/ijms21249422
Kaido T, Yoda M, Kamijo T, Arai S, Taira C, Higuchi Y, Okumura N. A Novel Amino Acid Substitution, Fibrinogen Bβp.Pro234Leu, Associated with Hypofibrinogenemia Causing Impairment of Fibrinogen Assembly and Secretion. International Journal of Molecular Sciences. 2020; 21(24):9422. https://doi.org/10.3390/ijms21249422
Chicago/Turabian StyleKaido, Takahiro, Masahiro Yoda, Tomu Kamijo, Shinpei Arai, Chiaki Taira, Yumiko Higuchi, and Nobuo Okumura. 2020. "A Novel Amino Acid Substitution, Fibrinogen Bβp.Pro234Leu, Associated with Hypofibrinogenemia Causing Impairment of Fibrinogen Assembly and Secretion" International Journal of Molecular Sciences 21, no. 24: 9422. https://doi.org/10.3390/ijms21249422
APA StyleKaido, T., Yoda, M., Kamijo, T., Arai, S., Taira, C., Higuchi, Y., & Okumura, N. (2020). A Novel Amino Acid Substitution, Fibrinogen Bβp.Pro234Leu, Associated with Hypofibrinogenemia Causing Impairment of Fibrinogen Assembly and Secretion. International Journal of Molecular Sciences, 21(24), 9422. https://doi.org/10.3390/ijms21249422
