Abstract
Steviol glycosides (SGs) with zero calories and high-intensity sweetness are the best substitutes of sugar for the human diet. Uridine diphosphate dependent glycosyltransferase (UGT) UGT76G1, as a key enzyme for the biosynthesis of SGs with a low heterologous expression level, hinders its application. In this study, a suitable fusion partner, Smt3, was found to enhance the soluble expression of UGT76G1 by 60%. Additionally, a novel strategy to improve the expression of Smt3-UGT76G1 was performed, which co-expressed endogenous genes prpD and malK in Escherichia coli. Notably, this is the first report of constructing an efficient E. coli expression system by regulating prpD and malK expression, which remarkably improved the expression of Smt3-UGT76G1 by 200% as a consequence. Using the high-expression strain E. coli BL21 (DE3) M/P-3-S32U produced 1.97 g/L of Smt3-UGT76G1 with a yield rate of 61.6 mg/L/h by fed-batch fermentation in a 10 L fermenter. The final yield of rebadioside A (Reb A) and rebadioside M (Reb M) reached 4.8 g/L and 1.8 g/L, respectively, when catalyzed by Smt3-UGT76G1 in the practical UDP-glucose regeneration transformation system in vitro. This study not only carried out low-cost biotransformation of SGs but also provided a novel strategy for improving expression of heterologous proteins in E. coli.
1. Introduction
Nowadays, more and more countries are facing a serious public health burden from the consumption of high-calorie sugars such as glucose, fructose, and sucrose [1,2,3]. Diets high in such high-calorie sugar are recognized to cause a serious health problem such as obesity, diabetes, hypertension and cardiac blockage [4,5]. Some countries have levied sugar taxes to reduce sugar consumption [1]. However, a more promising strategy for this problem is to exploit alternative sweeteners with low- or zero-calorie [1]. At present, artificial sweeteners such as aspartame and sucralose are widely used but have not displaced sugar because of their unfavorable effect on health including glucose intolerance and failure to cause weight reduction [6]. Steviol glycosides (SGs) as natural zero-calorie sweeteners with desirable high-intensity sweetness are recognized as the attractive sugar substitutes [7,8].
SGs commonly extracted from stevia plants especially from the leaves of Stevia rebaudiana Bertoni. SGs consists of a common diterpenoid steviol backbone and a variable glycone composed mainly of glucose molecules linked by β-glycosidic bonds to the steviol aglycone at the C13-hydroxyl and/or C19-carboxylate [1]. To date, more and more different SGs are identified in stevia plants, among which stevioside (St) and rebadioside A (Reb A) constantly account for the largest proportion [9]. However, the bitter aftertaste of St and Reb A restricts SGs utilization for human consumption and limits their application in the food industry. Reb D (penta-glycoside) and Reb M (hexa-glycoside) which are trace components in stevia plants, but their sweetness potency is up to 350 times greater than that of sucrose and notably have no bitter aftertaste, are recognized to be high-quality sweeteners and the best substitute for sugar [10]. While the production of Reb D and Reb M could not rely on extracting from stevia plants due to their less than 0.1% dry weight content. The enzymatic conversion from St or Reb A by various glycosyltransferases should be a promising strategy.
To date, substantial efforts have been made to reveal glucosylation enzymes and successfully excavated more and more uridine diphosphate (UDP)-dependent glucosyltransferases (UGTs) [11,12,13,14]. The UGTs with high regioselectivity and substrate specificity have attracted remarkable attention due to their great potential application in biotechnology [15,16,17]. In the metabolic glycosylation grid of Stevia rebaudiana Bertoni, glucosyltransferase UGT85C2 transfers glucose to the C13-hydroxyl position of the steviol backbone, forming a β-d-glucoside, whereas UGT74G1 is responsible for glucosylating the C19-carboxylic acid-activated group to form an ester. Subsequently, UGT91D2 and UGT76G1 directly catalyze the formation of 1, 2-β-d- and 1, 3-β-d-glucoside bonds at the C13- and C19- positions, respectively [18]. With these four enzymes, the biosynthesis of almost all SGs including St, Reb A, Reb D and Reb M, could be identified [19]. Based on previous reports, the content levels of the main SGs in stevia are presumably markedly influenced by the UGT76G1 which is the key enzyme for the yield of Reb A and Reb M [20]. Furthermore, the E. coli expression system has ever been proven as a reliable approach for the heterologous expression of glycosyltransferases [21,22]. But, low catalytic activity and difficult soluble heterologous expression remarkably hinders their practical applications [22]. Here, a series of strategies were carried out to improve the soluble expression of UGT76G1 in Escherichia coli. And it is the first report that through coordinately regulated the overexpression of endogenous prpD and malK to remarkably enhanced the expression of recombinant proteins in a novel E. coli expression system. Moreover, recombinant glycosyltransferase produced by the engineered strain constructed in this work has proven to be efficient in high yield of Reb A and Reb M in vitro enzymatic biotransformation.
2. Results and Discussion
2.1. Enhanced Soluble Expression of UGT76G1 in E. coli BL21 (DE3) by Fusion Partners
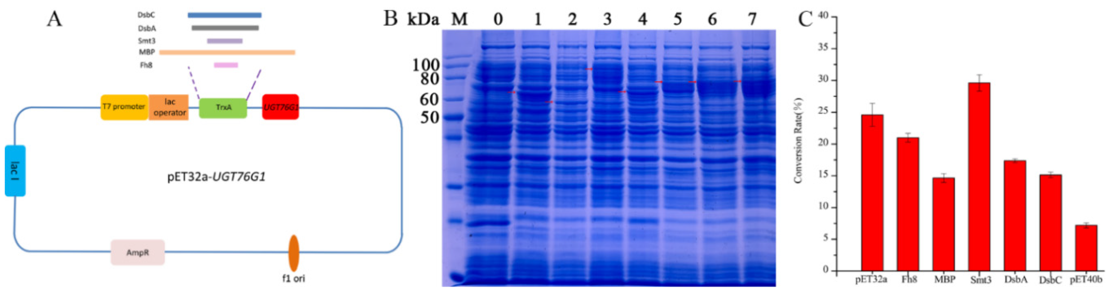
First of all, three plasmids pET32a (+), pET22b (+), and pET26b (+) have been used for the expression of UGT76G1. Through SDS-PAGE analysis results, we found that the soluble expression of UGT76G1 was relatively higher with pET32a-UGT76G1 or pET22b-UGT76G1 than that with plasmid pET26b-UGT76G1 (Figure S1A). Besides, it showed that recombinant enzymes expressed in different plasmids result in different conversion rates from St to Reb A (Figure S1B). The soluble recombinant enzyme expressed by plasmid pET32a-UGT76G1 showed the highest activity which could completely convert St to Reb A in 12 h (Figure S1B). While the correspondent conversion rates by the recombinant UGT76G1s from E. coil BL21 (pET22b-UGT76G1) and E. coil BL21 (pET26b-UGT76G1) were 70% and 9.8% respectively. It is probably because the TrxA fusion partner of pET32a in the N terminal of the recombinant enzyme (TrxA-UGT76G1) enhanced its soluble expression. So the conversion rate from St to Reb A by TrxA-UGT76G1 showed at least 30% higher than that by UGT76G1 (pET22b-UGT76G1) with the same volume dosage of the crude extract enzymes. And previous research also concluded that fusion partners could enhance the soluble expression of heterologous enzymes in E. coli cells [21,23,24]. Thus, we selected other five fusion partners (Fh8, MBP, Smt3, DsbA and DsbC) to find a more suitable fusion partner for the soluble expression of UGT76G1 (Figure 1A). The pET32a-UGT76G1 and pET40b-UGT76G1 were used as controls. According to the sodium dodecyl sulfate polyacrylamide gel electrophoresis (SDS-PAGE) analysis, the fusion partner TrxA (pET32a) and Smt3 made remarkable higher soluble expression of recombinant UGT76G1 (Figure 1B). Similarly, the catalytic activities of the recombinant fusion enzymes TrxA-UGT76G1 and Smt3-UGT76G1 showed relatively higher expressions than those of others (Figure 1C). The highest conversion rate from St to Reb A was 30% by the fusion enzyme Smt3-UGT76G1 in 3 h which is 20% higher than that by TrxA-UGT76G1 (Figure 1C). Besides, pET-DsbC-32 and pET40b have the same fusion partner (DsbC) and both produced the same fusion enzymes DsbC-UGT76G1. While the activity of the fusion enzymes expressed with pET-DsbC-32-UGT76G1 showed two-times higher than that with pET40b-UGT76G1 (Figure 1C). It indicated that the plasmid skeleton of pET32a is more suitable for screening the fusion partners to get higher expression of UGT76G1.
Figure 1.
Expression of UGT76G1 with different fusion partners. (A): Construction diagram for fusion expression plasmids; (B): SDS-PAGE for different recombinant fusion enzymes in the whole cell crushing fluids. M: proteins standard markers; 0: the whole cell crushing fluid of E. coli BL21 (pET32a); 1: expression of TrxA-UGT76G1; 2: expression of Fh8-UGT76G1; 3: expression of MBP-UGT76G1; 4: expression of Smt3-UGT76G1; 5: expression of DsbA-UGT76G1; 6: expression of DsbC-UGT76G1; 7: expression of DsbC(pET40b)-UGT76G1; (C): the different conversion rates from St to Reb A in 3 h reaction by different recombinant enzymes. Data in panel C are presented as mean ± SD (n = 3).
2.2. Overexpression of UGT76G1 by Co-Expression with prpD and malK
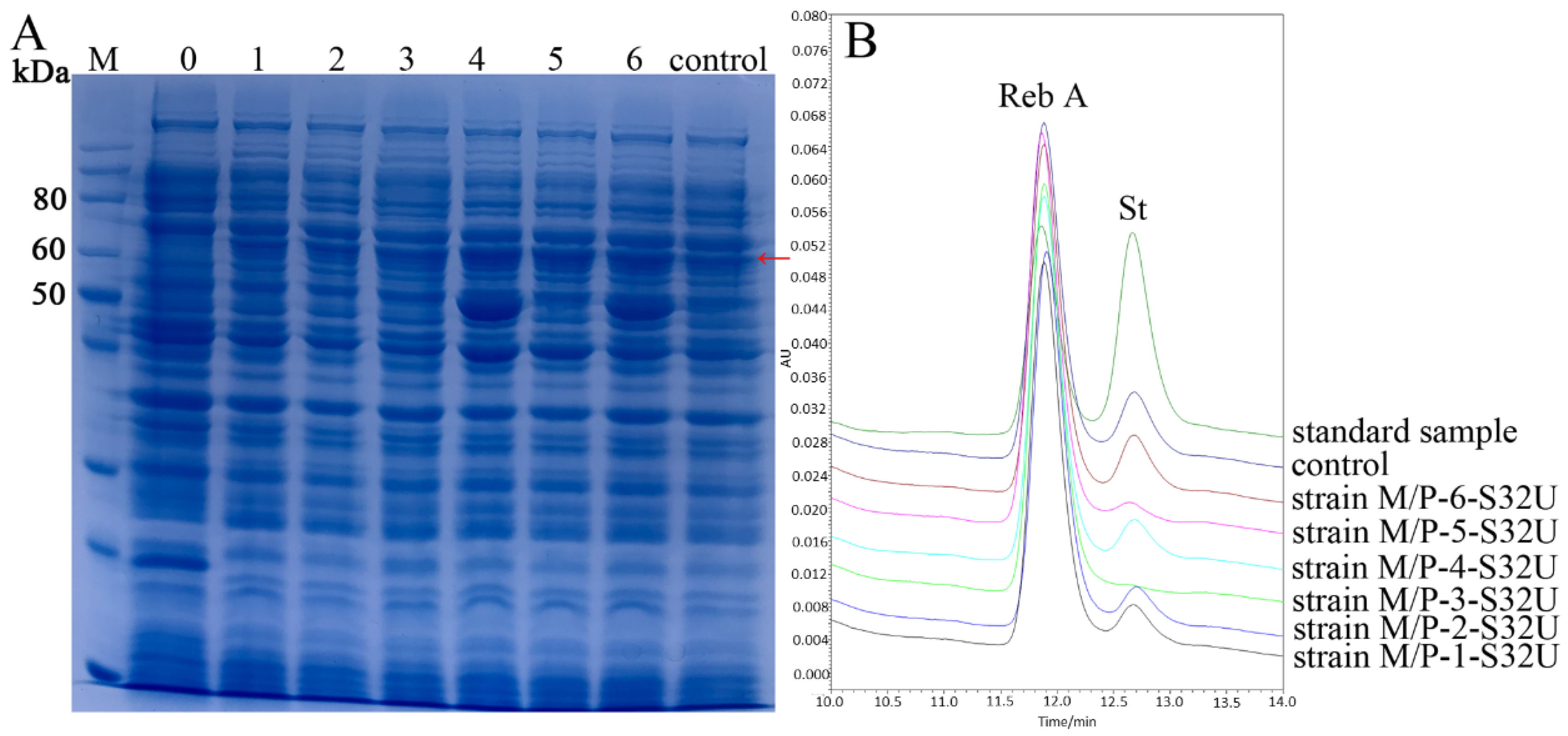
In our previous work, we firstly found that the enhanced expression of endogenous gene prpD or malK (ethanol regulated) could obviously improve the expression of heterologous catalase [25,26]. The malK and prpD gene regulates the maltose ATP-binding cassette (ABC) transporter and propanoate metabolism respectively to enhance the carbon metabolism and energy metabolism (TCA cycle) of E. coli cells to improve the synthesis of heterologous proteins [26]. However, the effects by coordinately regulated the overexpression of endogenous prpD and malK remain further to reveal and whether this strategy could be valid for the heterologous expression of plant genes is also not clear. In order to verify the actual effects on the expression of Smt-UGT76G1 by coordinately regulating the overexpression of endogenous prpD and malK, we constructed a novel E. coli overexpression system (E. coli BL21 (DE3) M/P-(1–6)) which contains six strains harbouring recombinant plasmids pACYC-184-prpD, pACYC-184-malK, pACYC-Duet1-prpDI-malKI, pACYC-Duet2-prpDC-malKI, pACYC-Duet3-prpDI-malKC, and pACYC-Duet4-prpDC-malKC, respectively in this work (Figure 2 and Table 1). And each of the six recombinant expression strains was used to express the fusion recombinant UGT76G1 through plasmid pET-Smt3-32-UGT76G1. The relative soluble expressions (Figure 3A) corresponded to the relative conversion rates from St to Reb A (Figure 3B) by the six recombinant strains. All of the co-expression of prpD or/and malK with Smt3-UGT76G1 could improve the conversion rate of St compared with the individual expression of Smt3-UGT76G1 (Figure 3B). Among them, the recombinant enzyme Smt3-UGT76G1 produced by strain M/P-3-S32U could completely convert St to Reb A in 6 h which showed the highest activity (Figure 3B). And the recombinant Smt3-UGT76G1 produced by strain M/P-5-S32U also showed high activity with slightly lower than that of strain M/P-3-S32U (Figure 3B). The results of SDS-PAGE analysis also showed the enhanced soluble expression of Smt3-UGT76G1 by co-expression of prpD or/and malK, especially by co-expression of both prpD and malK (Figure 3A). According to the conversion rates from St to Reb A by Smt3-UGT76G1 enzymes from different expression strains, the transglycosylation activity of the recombinant Smt3-UGT76G1 in strain M/P-3-S32U showed ≥200% increased than that of Smt3-UGT76G1 in strain S32U. And compared with strain S32U, strain M/P-4-S32U and strain M/P-5-S32U produced 83% and 126% higher transglycosylation activity, respectively. It indicated that coordinately regulating the overexpression of prpD and malK made the higher enhancement of expression of the recombinant Smt3-UGT76G1. Besides, for soluble expression of Smt3-UGT76G1, the enhanced expression of both prpD and malK synchronized with the target protein is the best choice. When constitutively overexpressed both prpD and malK, the growth of strain M/P-6-S32U showed remarkable lower than other strains which resulted in relatively lower expression of Smt3-UGT76G1 (Figure S2 and Figure 3). However, we assured that overexpression of endogenous gene prpD and malK simultaneously indeed could remarkably enhance the expression of heterologous Smt3-UGT76G1 at least in this work. And this is the first report to explore the combinatorial co-expression strategies of prpD and malK to enhance the expression of the heterologous protein.
Figure 2.
Diagram for the construction of plasmids in the overexpression system E. coli BL21 (DE3) M/P-(1–6). pACYC Duet1 was the original plasmid which harbouring two identical inducible promoters (T7 promoter and lac operator); pACYC Duet2 substituted the first inducible promter of pACYC Duet1 by a constitutive promoter (tet promoter); pACYC Duet3 substituted the second inducible promter of pACYC Duet1 by a constitutive promoter (tet promoter); pACYC Duet4 substituted both the inducible promters of pACYC Duet1 by constitutive promoters (tet promoter).
Table 1.
Strains and plasmids in the efficient expression system.
Figure 3.
Overexpression of Smt3-UGT76G1 in the overexpression system E. coli BL21 (DE3) M/P-(1-6). (A): SDS-PAGE of the total soluble proteins of recombinant strains in expression system E. coli BL21 (DE3) M/P-(1–6)-S32U. M means protein marker; 0 means the total soluble proteins of E. coli BL21 (DE3) which harbouring plasmid pET32-Smt3; 1–6 means the total soluble proteins of recombinant strains in the expression system, respectively; control means the total soluble proteins of strain S32U; all of the total soluble proteins were diluted twice to load on the SDS-PAGE; The red arrow indicates the target protein (Smt3-UGT76G1). (B): The testing results of HPLC of the transglycosylation products from St by the coarse enzymes of recombinant strains in expression system. standard sample means the substrates which harbouring the same amount of pure St and Reb A; control means the transglycosylation products by the coarse enzyme of strain S32U; strain M/P-1-S32U~strain M/P-6-S32U means the transglycosylation products by the coarse enzymes of recombinant strains in expression system.
2.3. Scale-Up Production of Glycosyltransferase Smt3-UGT76G1 by Fed-Batch Fermentation in a 10 L Fermenter
We have successfully constructed an efficient expression strain (M/P-3-S32U) for the soluble production of the recombinant glycosyltransferase Smt3-UGT76G1. Then we respectively used the recombinant strains M/P-3-S32U and S32U for scaling up fed-batch fermentation in a 10 L fermenter. The growth profiles showed that both of the strains reached the highest density at 28–32 h (Figure 4A,B). Compared with strain S32U, the fermentation density of strain M/P-3-S32U was a little higher (Figure 4A,B). However, the protein expression of the recombinant enzyme Smt3-UGT76G1 was remarkably higher by strain M/P-3-S32U than strain S32U (Figure 4C,D). After 32 h fermentation, strain M/P-3-S32U produced the highest soluble amount (1.97 g/L) of recombinant glycosyltransferase Smt3-UGT76G1 (Figure 4C). In that case, the yield rate of Smt3-UGT76G1 was 61.6 mg/L/h. It indicated that the efficient expression strain M/P-3-S32U showed prospective for industrial production of glycosyltransferase.
Figure 4.
Scaling up fermentation of the recombinant strains in a 10 L fermenter. (A): the growth profile of stain M/P-3-S32U; (B): the growth profile of strain S32U; (C): SDS-PAGE of the soluble proteins produced by strain M/P-3-S32U at different fermentation times; (D): SDS-PAGE of the soluble proteins produced by strain S32U in different fermentation times; The red arrows indicate the target proteins (Smt3-UGT76G1); Data presented in panels B and C as mean ± SD (n = 3).
2.4. Biotransformation of SGs by the Recombinant UGT76G1 in Vitro Enzymatic Catalysis
As previously reported, UGT76G1 catalyzes the transfer of a glucose moiety in a β (1–3) manner to an existing glucose residue (Figure 5) at both the C13 and C19 positions of the steviol aglycone [1]. It means that UGT76G1 could catalyze the biotransformation from St and Reb D to Reb A and Reb M, respectively. Moreover, in order to qualify for the practical application value of the recombinant glycosyltranferase Smt3-UGT76G1, we used fusion enzyme Smt3-UGT76G1 and its tag deleted enzyme UGT76G1 (Figure S3) respectively to catalyze both reactions in vitro using a UDP-glucose regeneration reaction system. In the biotransformation from St to Reb A, both Smt3-UGT76G1 and UGT76G1 showed very high catalysis activity which could completely transfer St to Reb A within 2 h (Figure 5B,C). However, during 12 h biotransformation, Smt3-UGT76G1 and UGT76G1 transferred Reb D to Reb M with conversion rates of 70.3% and 72.2% respectively (Figure 5E,F). According to these results, it could be concluded that the fusion enzyme Smt3-UGT76G1 has the similar catalysis activity with its tag deleted enzyme UGT76G1 (Figure 5). In other words, the fusion partner Smt3 did not affect the catalytic activity of UGT76G1 which could skip the tag removal step in the practical applications. Moreover, the velocity of substrate consumption and product production showed that the rate of the glycosylation to C19 is slower than that to the C13 by Smt3-UGT76G1 (Figure 5). Consistently with previous reports [1,18,20]. The final yield of Reb A and Reb M was reached 4.8 g/L and 1.8 g/L in this practical UDP-glucose regeneration transformation system in vitro. It indicated that the recombinant glycosyltransferase Smt3-UGT76G1 is a promising candidate for the industrial production of SGs.
Figure 5.
Transglycosylation reactions by the recombinant UGT76G1 in vitro enzymatic catalysis. (A): reaction formula of transglycosylation converted St to Reb A in the UDP-glucose regeneration transglycosylation system; (B): transglycosylation results converted St to Reb A catalyzed by UGT76G1 (deleted fusion partner) in different reaction times; (C): transglycosylation results converted St to Reb A catalyzed by Smt3-UGT76G1 in different reaction times; (D): reaction formula of transglycosylation converted Reb D to Reb M in the UDP-glucose regeneration transglycosylation system; (E): transglycosylation results converted Reb D to Reb M catalyzed by UGT76G1 (deleted fusion partner) in different reaction times; (F): transglycosylation results converted Reb D to Reb M catalyzed by Smt3-UGT76G1 in different reaction times.
3. Materials and Methods
3.1. Gene Cloning and Plasmids Construction for Fusion Expression
The codon-optimized gene (UGT76G1) derived from Stevia rebaudiana UGT76G1 mRNA (AY345974) was synthesized by General Biosystems Co. Ktd (Anhui, China) and then cloned into pET-32a (+)/pET-40b (+) directly connected to the enterokinase (EK) cleavage site following the TrxA/DsbC fusion partner gene of plasmid. Encoding gene for Arabidopsis thaliana sucrose synthase SUS1 (GenBank accession number: 832206), with codons optimized for E. coli heterologous expression, was synthesized and cloned into the E. coli expression vector pET22b. The resultant recombinant plasmids called pET32a-UGT76G1 and pET40b-UGT76G1 and pET22b-SUS1, respectively. Gene (Table S1) encoding each of the five solubility-enhancer proteins Fh8, MBP, Smt3, DsbA and DsbC was separately cloned into pET-32a (+) substituting TrxA in situ (Figure 1A). The resultant recombinant plasmids were named pET-Fh8-32, pET-MBP-32, pET-Smt3-32, pET-DsbA-32, and pET-DsbC-32, respectively. When the gene UGT76G1 was cloned into these plasmids, they were called pET-Fh8-32-UGT76G1, pET-MBP-32-UGT76G1, pET-Smt3-32-UGT76G1, pET-DsbA-32-UGT76G1, and pET-DsbC-32-UGT76G1, respectively. The gene UGT76G1 was also cloned into the multiple cloning sites of pET-22b (+) and pET-26b (+) respectively for expression. The recombinant plasmids were constructed using seamless cloning kit (GenScript Co., Ltd., Nanjing, China) with PCR amplification with the appropriate primers (Table S2). The E. coli strain BL21 (DE3) was used as the host for protein expression.
3.2. Construction of E. coli Overexpression System by Co-Expressing the Endogenous Genes prpD and malK
Endogenous genes prpD and malK were cloned using primers (Table S2) and the genomic DNA of E. coli BL21 (DE3) as a template. Then genes prpD and malK were separately cloned into the plasmid pACYC-184 following the constitutive tet promoter. The resultant recombinant plasmids were named as pACYC-184-prpD and pACYC-184-malK, respectively (Figure 2). Genes prpD and malK were separately cloned into the two multiple cloning sites (MCSs) of plasmid pACYC-Duet1 to get a recombinant plasmid as pACYC-Duet1-prpDI-malKI (Figure 2). The two MCSs of plasmid pACYC-Duet1 have the same inducible promoter which consist of T7 promoter and lac operator (Figure 2). The first inducible promoter of pACYC-Duet1-prpDI-malKI was substituted by the tet promoter from pACYC-184 to form pACYC-Duet2-prpDC-malKI (Figure 2). Similarly, the second inducible promoter of pACYC-Duet1-prpDI-malKI was displaced by the tet promoter from pACYC-184 to generate pACYC-Duet3-prpDI-malKC (Figure 2). When both of the two inducible promoters were replaced by the tet promoters from pACYC-184, the resultant recombinant plasmid was named as pACYC-Duet4-prpDC-malKC (Figure 2). Transformation of the E. coli BL21 (DE3) with the six recombinant plasmids pACYC-184-prpD, pACYC-184-malK, pACYC-Duet1-prpDI-malKI, pACYC-Duet2-prpDC-malKI, pACYC-Duet3-prpDI-malKC, and pACYC-Duet4-prpDC-malKC lead to the formation of a novel efficient expression system E. coli BL21 (DE3) M/P-(1–6) listed in Table 1. And then transformed the plasmid pET-Smt3-32-UGT76G1 to the recombinant strains in the expression system to form recombinant strains from strain M/P-1-S32U to strain M/P-6-S32U (Table 1).
3.3. Cultivation of the Recombinant Strains
For shake flask cultivation, 20 μL of glycerol stock strain was inoculated into 20 mL LB medium (supplemented with 100 mg L−1 ampicillin or 50 mg L−1 kanamycin) and then was cultivated at 37 °C in a rotary shaker at 220 rpm for 12 h. 500 μL of above seed culture was inoculated in 25 mL terrific broth (TB) medium (supplemented with 100 mg L−1 ampicillin or 50 mg L−1 kanamycin) in a 100 mL shake flask and then was cultivated at 37 °C and 220 rpm. When the optical density at 600 nm reached 0.6–0.8, 0.01 mM isopropyl-β-d-thiogalactoside (IPTG) was added to induce expression of the recombinant proteins [26]. After that, the culture temperature was reduced to 25 °C, and it was cultivated at 220 rpm for another 24 h [25].
For fermentation in a 10 L fermenter, 10% (v/v) concentration of inoculum was inoculated into 4 L of fermentation medium for cultivation at 37 °C. The synthetic medium used for batch fermentation contained 10.0 g L−1 glycerol, 1.7 g L−1 MgSO4·7H2O, 1.0 g L−1 ammonium citrate, 2.0 g L−1 NaCl, 4.0 g L−1 (NH4)2HPO4, 1.0 g L−1 (NH4)2SO4, 6.0 g L−1 KH2PO4, 3.0 g L−1 K2HPO4·H2O and 10.0 mL L−1 trace metal solution. The trace mental solution contained 5.0 g L−1 CaCl2, 1.3 g L−1 sodium acetate, 0.25 g L−1 CoCl2, 1.25 g L−1 EDTA, 1.5 g L−1 MnCl2, 0.18 g L−1 ZnSO4, 3.0 g L−1 CuSO4, 10.0 g L−1 FeSO4, 0.3 g L−1 Na2B4O7·10H2O and 20.0 mL L−1 phosphoric acid. When the dissolved oxygen (DO) starts to go up, glucose feeding with an initial rate of 5 g/L/h was started, in which constantly adjust the feeding rate to keep the specific growth rate of cells at 0.25 h−1 and the concentration of glucose was less than 5 g/L [27]. Oxygen concentration was kept at 30% by controlling the impeller speed (300–650 rpm) and the air flow rate (0.167–0.833 vvm). The pH was kept at 7.0 by addition of 25% NH4OH or lactic acid when required. The yield rate of the target protein was calculated by means as the average production in per liter per hour throughout the fermentation.
3.4. Preparation of the Recombinant Proteins and SDS-PAGE
The preparation of the recombinant enzymes was performed as our previous report [25]. The cultivation broth was treated with ultrasonication at 50 Hz for 5 min in ice water. The disrupted mixture was centrifuged at 13,800× g for 5 min. The supernatant was the soluble protein fraction and the disrupted pellet was the intracellular denatured protein fraction as inclusion body. The recombinant proteins in each fraction were determined by sodium dodecyl sulfate polyacrylamide gel electrophoresis (SDS-PAGE) under denatured conditions. Electrophoresis was performed with a 5% stacking gel and a 12% separating gel. Protein bands were visualized by staining with Coomassie Brilliant Blue R-250 dye. Content of target protein on the gel of SDS-PAGE was estimated by software BandScan5.0.
3.5. Active Assay of Glycosyltransferase by HPLC
The glycosyltransferase activity of the recombinant UGT76G1 was evaluated by the conversion rate from the substrate to the goal product. The reaction mixture with a total volume of 200 μL contained 40 μL soluble glycosyltransferase samples, 20 μL of rebaudioside A (100 mM) or rebaudioside D (20 mM), 20 μL of UDP-glucose (60 mM), and 120 μL of sodium phosphate buffer (50 mM, pH 7.0). Reactions were performed at 35 °C with 220 rpm shaking for 3–24 h. The reaction was terminated by adding 160 μL of methanol solution (60%, v/v) and 16 μL of 2 N sulfuric acid solution. The mixed solution was then centrifuged at 13,800× g for 10 min and the supernatant was carried out by membrane filtration for product analysis by high performance liquid chromatography (HPLC). The steviol glycosides (SGs) concentration was determined using an Innoval C18 ODS-2 column (250 mm × 4.6 mm, Bonna-Agela Technologies, Tianjin, China) maintained at 40 °C with UV detection at 210 nm in a Waters e2695 HPLC system. The mobile phase was consistent of 68% acetonitrile and 32% water and the flow rate was 0.5 mL/min, the injection volume was 10 µL. St (50%, mixed with 50% RebA), Reb A (50%, mixed with 50% St) and Reb D standard (97.6%) for HPLC was purchased from Shanghai PureOne Biotechnology Co., Ltd. (Shanghai, China). The conversion rate (%) indicated the yield of target products which were calculated as follows:
where A0 (St) and A0 (Reb D) represent the initial concentration of the substrates St and Reb D respectively, and A1 (Reb A) and At (Reb M) respectively represent the increased concentration of terminal products Reb A and Reb M after reaction.
Conversion rate of St (%) = (A1 (Reb A))/(A0 (St)) × (805/967) × 100
Conversion rate of Reb D (%) = (At (Reb M))/(A0 (Reb D)) × 1129/1291) × 100
3.6. Enzymatic Biotransformation of SGs Using Recombinant UGT76G1 In Vitro
For in vitro enzymatic synthesis of Reb A or Reb M by the recombinant UGT76G1, the UDP-glucose regeneration reacting system was performed as previous reports [10,28] with minor modification. The reaction solutions (20 mL) mixing St with the final concentration of 10 mM or Reb D with the final concentration of 2 mM, 80 mM (final concentration) of sucrose, recombinant UGT76G1 0.4 g/L (final concentration), and SUS1 0.2 g/L (final concentration) in sodium phosphate buffer (50 mM, pH 7.0) were reacted in 50 mL flasks at 35 °C for 3–12 h with shaking at 220 rpm. During reaction, the samples were removed at defined time points, and their reaction was terminated by adding 160 μL of methanol solution (60%, v/v) and 16 μL of 2 N sulfuric acid solution. They were then centrifuged at 13,800× g for 10 min and the supernatant was immediately analyzed by HPLC according to above-mentioned method.
4. Conclusions
In the current work, we successively used the fusion partner, co-expression of prpD and malK simultaneously, and fed-batch fermentation to increase the heterologous expression of glycosyltransferase encoding gene UGT76G1 in E. coli. The final yield of the soluble recombinant enzyme Smt3-UGT76G1 was up to 1.97 g/L which showed a well scale production potential. Its application in biotransformation of SGs showed high yield of Reb A (4.8 g/L) from St and Reb M (1.8 g/L) from Reb D respectively. The high expression level of the recombinant glycosyltransferase Smt3-UGT76G1 in E. coli would make the low cost of production of SGs and promote the development of sweeteners industry. Besides, this article revealed a novel strategy for the enhanced expression of heterologous proteins in E. coli.
5. Patents
The research results about the construction of novel efficient E. coli expression system in this work has been applied for a Chinese invention patent. The patent name was “An enhanced bio-robust Escherichia coli chassis cell and its construction method and applications”. The patent acceptance number was 202010661070.7.
Supplementary Materials
Supplementary materials can be found at https://www.mdpi.com/1422-0067/21/16/5752/s1.
Author Contributions
Conceptualization, H.Z.; methodology, W.S. and X.F.; software, X.F.; validation, H.Z.; formal analysis, J.X., X.Z. and S.Y.; investigation, H.Z. and X.Z.; resources, M.T.; data curation, W.S., X.F. and J.Z.; writing—original draft preparation, W.S.; writing—review and editing, H.Z.; visualization, W.S.; supervision, H.S. and Y.M.; project administration, H.S.; funding acquisition, H.Z., H.S. and Y.M. All authors have read and agreed to the published version of the manuscript.
Funding
This research was funded by the National Natural Science Fund of China (Grant 31701534), the Tianjin outstanding talent training program, the Tianjin Science & Technology Planning Project (Grant 16YFZCSY00790 and 15PTCYSY00020) and Tianjin Synthetic Biotechnology Innovation Capacity Improvement Project (Grant TSBICIP-KJGG-006).
Acknowledgments
We would like to thank all of the editors and reviewers for their constructive suggestions to improve this article.
Conflicts of Interest
The authors declare no conflict of interest.
Abbreviations
| UGTs | Uridine diphosphate dependent glucosyltransferases |
| SGs | Steviol glycosides |
| MCSs | Multiple cloning sites |
| DO | Dissolved oxygen |
| SDS-PAGE | Sodium dodecyl sulfate polyacrylamide gel electrophoresis |
| IPTG | Isopropyl-β-d-thiogalactoside |
| PCR | Polymerase chain reaction |
| OD600nm | Optical density at 600 nm |
References
- Yang, T.; Zhang, J.; Ke, D.; Yang, W.; Tang, M.; Jiang, J.; Cheng, G.; Li, J.; Cheng, W.; Wei, Y.; et al. Hydrophobic recognition allows the glycosyltransferase UGT76G1 to catalyze its substrate in two orientations. Nat. Commun. 2019, 10, 3214. [Google Scholar] [CrossRef] [PubMed]
- Xu, Y.; Wang, L.; He, J.; Bi, Y.; Li, M.; Wang, T.; Wang, L.; Jiang, Y.; Dai, M.; Lu, J.; et al. Prevalence and control of diabetes in Chinese adults. JAMA 2013, 310, 948–959. [Google Scholar] [CrossRef] [PubMed]
- Ogden, C.L.; Carroll, M.D.; Kit, B.K.; Flegal, K.M. Prevalence of Childhood and Adult Obesity in the United States, 2011–2012. JAMA J. Am. Med. Assoc. 2014, 311, 806–814. [Google Scholar] [CrossRef] [PubMed]
- Abdelsalam, N.R.; Botros, W.A.; Khaled, A.E.; Ghonema, M.A.; Hussein, S.G.; Ali, H.M.; Elshikh, M.S. Comparison of uridine diphosphate-glycosyltransferase UGT76G1 genes from some varieties of Stevia rebaudiana Bertoni. Sci. Rep. 2019, 9, 8559. [Google Scholar] [CrossRef] [PubMed]
- Wu, D.; Hu, D.; Chen, H.; Shi, G.M.; Fetahu, I.S.; Wu, F.Z.; Rabidou, K.; Fang, R.; Tan, L.; Xu, S.Y.; et al. Glucose-regulated phosphorylation of TET2 by AMPK reveals a pathway linking diabetes to cancer. Nature 2018, 559, 637–641. [Google Scholar] [CrossRef] [PubMed]
- Mooradian, A.D.; Smith, M.; Tokuda, M. The role of artificial and natural sweeteners in reducing the consumption of table sugar: A narrative review. Clin. Nutr. ESPEN 2017, 18, 1–8. [Google Scholar] [CrossRef]
- Philippaert, K.; Pironet, A.; Mesuere, M.; Sones, W.; Vermeiren, L.; Kerselaers, S.; Pinto, S.; Segal, A.; Antoine, N.; Gysemans, C.; et al. Steviol glycosides enhance pancreatic beta-cell function and taste sensation by potentiation of TRPM5 channel activity. Nat. Commun. 2017, 8, 14733. [Google Scholar] [CrossRef]
- Plaza-Diaz, J.; Pastor-Villaescusa, B.; Rueda-Robles, A.; Abadia-Molina, F.; Ruiz-Ojeda, F.J. Plausible Biological Interactions of Low- and Non-Calorie Sweeteners with the Intestinal Microbiota: An Update of Recent Studies. Nutrients 2020, 12, 1153. [Google Scholar] [CrossRef]
- Adari, B.R.; Alavala, S.; George, S.A.; Meshram, H.M.; Tiwari, A.K.; Sarma, A.V. Synthesis of rebaudioside-A by enzymatic transglycosylation of stevioside present in the leaves of Stevia rebaudiana Bertoni. Food Chem. 2016, 200, 154–158. [Google Scholar] [CrossRef]
- Chen, L.; Sun, P.; Zhou, F.; Li, Y.; Chen, K.; Jia, H.; Yan, M.; Gong, D.; Ouyang, P. Synthesis of rebaudioside D, using glycosyltransferase UGTSL2 and in situ UDP-glucose regeneration. Food Chem. 2018, 259, 286–291. [Google Scholar] [CrossRef]
- Nidetzky, B.; Gutmann, A.; Zhong, C. Leloir Glycosyltransferases as Biocatalysts for Chemical Production. ACS Catal. 2018, 8, 6283–6300. [Google Scholar] [CrossRef]
- Yin, Q.G.; Han, X.Y.; Han, Z.X.; Chen, Q.F.; Shi, Y.H.; Gao, H.; Zhang, T.Y.; Dong, G.Q.; Xiong, C.; Song, C.; et al. Genome-wide analyses reveals a glucosyltransferase involved in rutin and emodin glucoside biosynthesis in tartary buckwheat. Food Chem. 2020, 318, 126478. [Google Scholar] [CrossRef] [PubMed]
- Ding, F.; Liu, F.; Shao, W.; Chu, J.; Wu, B.; He, B. Efficient Synthesis of Crocins from Crocetin by a Microbial Glycosyltransferase from Bacillus subtilis 168. J. Agric. Food Chem. 2018, 66, 11701–11708. [Google Scholar] [CrossRef] [PubMed]
- Speeckaert, N.; Adamou, N.M.; Hassane, H.A.; Baldacci-Cresp, F.; Mol, A.; Goeminne, G.; Boerjan, W.; Duez, P.; Hawkins, S.; Neutelings, G.; et al. Characterization of the UDP-glycosyltransferase UGT72 Family in Poplar and Identification of Genes Involved in the Glycosylation of Monolignols. Int. J. Mol. Sci. 2020, 21, 5018. [Google Scholar] [CrossRef] [PubMed]
- Li, J.; Yang, J.G.; Mu, S.C.; Shang, N.; Liu, C.; Zhu, Y.M.; Cai, Y.; Liu, P.; Lin, J.P.; Liu, W.D.; et al. Efficient O-Glycosylation of Triterpenes Enabled by Protein Engineering of Plant Glycosyltransferase UGT74AC1. ACS Catal. 2020, 10, 3629–3639. [Google Scholar] [CrossRef]
- Dewitte, G.; Walmagh, M.; Diricks, M.; Lepak, A.; Gutmann, A.; Nidetzky, B.; Desmet, T. Screening of recombinant glycosyltransferases reveals the broad acceptor specificity of stevia UGT-76G1. J. Biotechnol. 2016, 233, 49–55. [Google Scholar] [CrossRef]
- Lu, J.; Yao, L.; Li, J.X.; Liu, S.J.; Hu, Y.Y.; Wang, S.H.; Liang, W.X.; Huang, L.Q.; Dai, Y.J.; Wang, J.; et al. Characterization of UDP-Glycosyltransferase Involved in Biosynthesis of Ginsenosides Rg1 and Rb1 and Identification of Critical Conserved Amino Acid Residues for Its Function. J. Agric. Food Chem. 2018, 66, 9446–9455. [Google Scholar] [CrossRef]
- Olsson, K.; Carlsen, S.; Semmler, A.; Simon, E.; Mikkelsen, M.D.; Moller, B.L. Microbial production of next-generation stevia sweeteners. Microb. Cell Factories 2016, 15, 207. [Google Scholar] [CrossRef]
- Ghaheri, M.; Kahrizi, D.; Bahrami, G.; Mohammadi-Motlagh, H.R. Study of gene expression and steviol glycosides accumulation in Stevia rebaudiana Bertoni under various mannitol concentrations. Mol. Biol. Rep. 2019, 46, 7–16. [Google Scholar] [CrossRef]
- Lee, S.G.; Salomon, E.; Yu, O.; Jez, J.M. Molecular basis for branched steviol glucoside biosynthesis. Proc. Natl. Acad. Sci. USA 2019, 116, 13131–13136. [Google Scholar] [CrossRef]
- Chen, L.; Sun, P.; Li, Y.; Yan, M.; Xu, L.; Chen, K.; Ouyang, P. A fusion protein strategy for soluble expression of Stevia glycosyltransferase UGT76G1 in Escherichia coli. 3 Biotech 2017, 7, 356. [Google Scholar] [CrossRef] [PubMed]
- Nik-Pa, N.I.M.; Sobri, M.F.M.; Abd-Aziz, S.; Ibrahim, M.F.; Kamal Bahrin, E.; Mohammed Alitheen, N.B.; Ramli, N. Combined Optimization of Codon Usage and Glycine Supplementation Enhances the Extracellular Production of a beta-Cyclodextrin Glycosyltransferase from Bacillus sp. NR5 UPM in Escherichia coli. Int. J. Mol. Sci. 2020, 21, 3919. [Google Scholar] [CrossRef] [PubMed]
- Kim, S.; Lee, S.B. Soluble expression of archaeal proteins in Escherichia coli by using fusion-partners. Protein Expr. Purif. 2008, 62, 116–119. [Google Scholar] [CrossRef] [PubMed]
- Nguyen, T.K.M.; Ki, M.R.; Son, R.G.; Pack, S.P. The NT11, a novel fusion tag for enhancing protein expression in Escherichia coli. Appl. Microbiol. Biot. 2019, 103, 2205–2216. [Google Scholar] [CrossRef]
- Yu, Z.; Zheng, H.; Zhao, X.; Li, S.; Xu, J.; Song, H. High level extracellular production of a recombinant alkaline catalase in E. coli BL21 under ethanol stress and its application in hydrogen peroxide removal after cotton fabrics bleaching. Bioresour. Technol. 2016, 214, 303–310. [Google Scholar] [CrossRef]
- Zheng, H.; Yu, Z.; Shu, W.; Fu, X.; Zhao, X.; Yang, S.; Tan, M.; Xu, J.; Liu, Y.; Song, H. Ethanol effects on the overexpression of heterologous catalase in Escherichia coli BL21 (DE3). Appl. Microbiol. Biotechnol. 2019, 103, 1441–1453. [Google Scholar] [CrossRef]
- Zhen, J.; Tan, M.; Fu, X.P.; Shu, W.J.; Zhao, X.Y.; Yang, S.B.; Xu, J.Y.; Ma, Y.H.; Zheng, H.C.; Song, H. High-level extracellular production of an alkaline pectate lyase in E. coli BL21 (DE3) and its application in bioscouring of cotton fabric. 3 Biotech 2020, 10, 49. [Google Scholar] [CrossRef]
- Pei, J.; Chen, A.; Zhao, L.; Cao, F.; Ding, G.; Xiao, W. One-Pot Synthesis of Hyperoside by a Three-Enzyme Cascade Using a UDP-Galactose Regeneration System. J. Agric. Food Chem. 2017, 65, 6042–6048. [Google Scholar] [CrossRef]
© 2020 by the authors. Licensee MDPI, Basel, Switzerland. This article is an open access article distributed under the terms and conditions of the Creative Commons Attribution (CC BY) license (http://creativecommons.org/licenses/by/4.0/).




