Spiegelmer-Based Sandwich Assay for Cardiac Troponin I Detection
Abstract
1. Introduction
2. Results
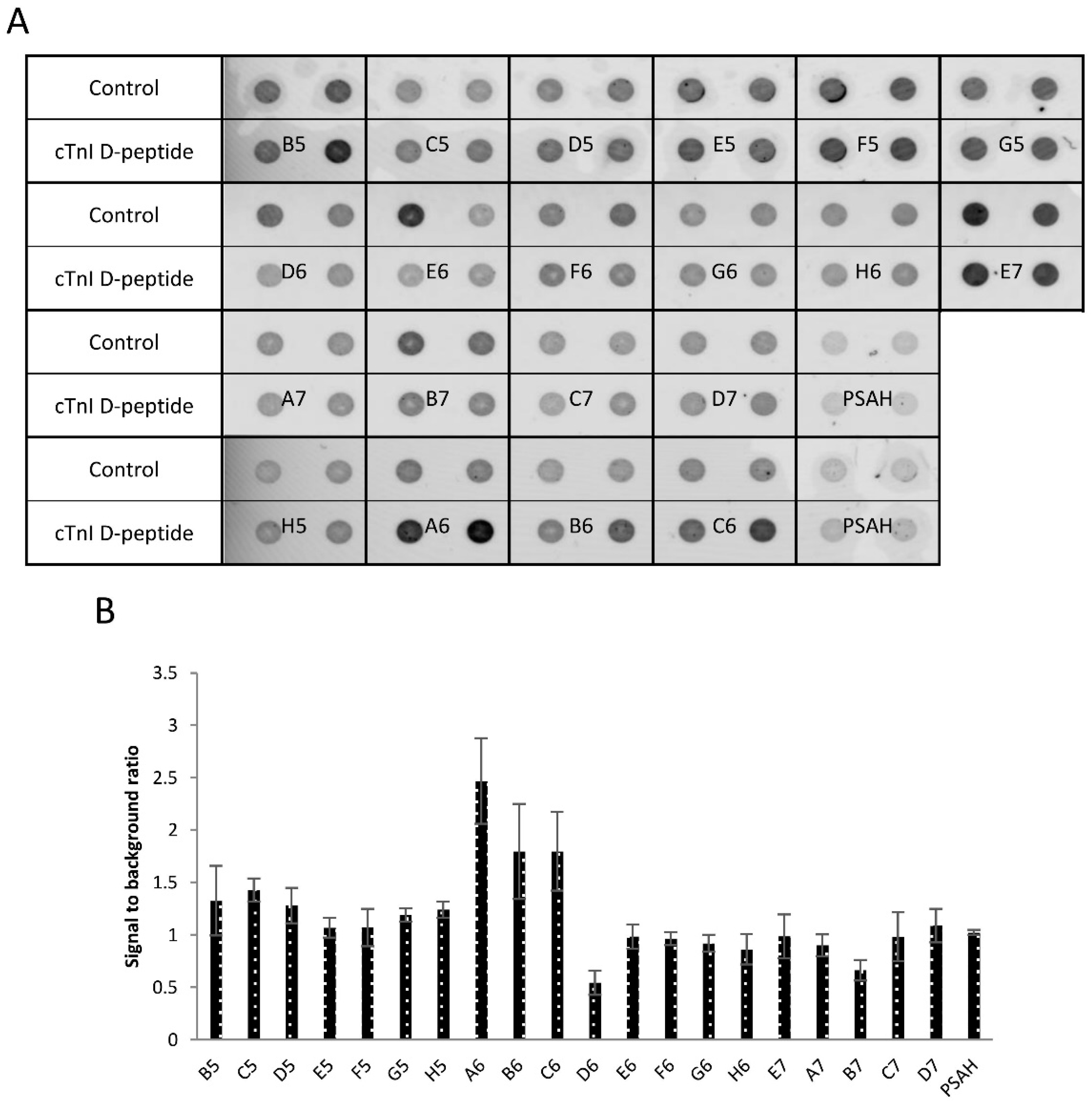
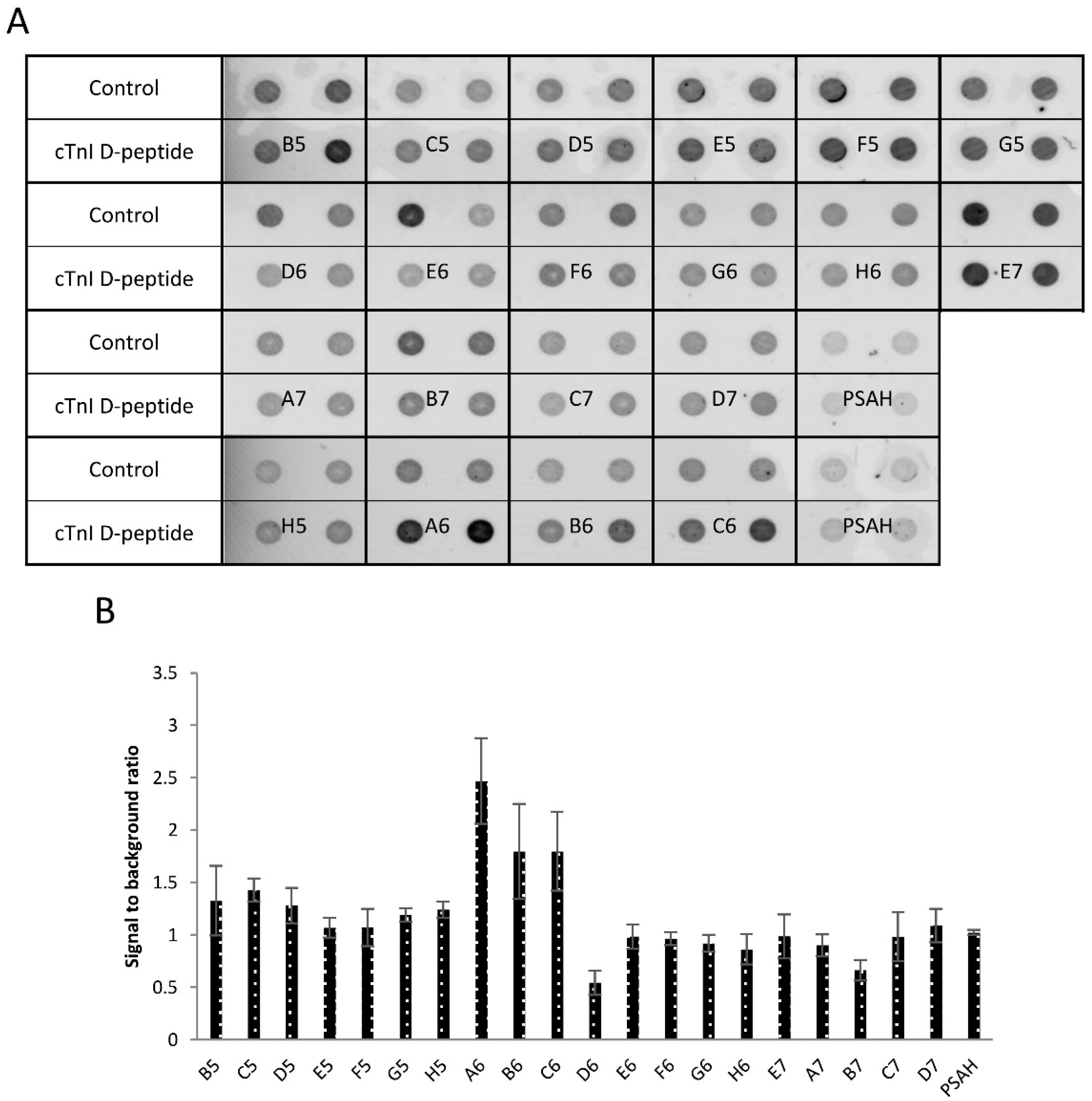
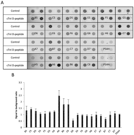
2.1. Selection of cTnI Specific Spiegelmers
2.2. Functional Characterization of the Selected Spiegelmers
2.3. Determination of cTnI Concentration by Spiegelmer Sandwich Assay
3. Discussion
4. Material and Methods
4.1. Random Oligonucleotide Library and Primers
4.2. Selection of cTnI Specific Spiegelmers
4.3. Screening of Oligonucleotides by Filter Binding Assay
4.4. Microspotting of Spiegelmers on Surface Plasmon Resonance Imaging (SPRi) Chips
4.5. SPRi Measurements
4.6. AlphaLisa Measurements
Supplementary Materials
Author Contributions
Funding
Conflicts of Interest
References
- Ilgu, M.; Fazlioglu, R.; Ozturk, M.; Ozsurekci, Y.; Nilsen-Hamilton, M. Aptamers for Diagnostics with Applications for Infectious Diseases. In Recent Advances in Analytical Chemistry; Ince, M., Ince, K.I., Eds.; Munzur University: Tunceli, Turkey, 2019. [Google Scholar] [CrossRef]
- Müller, J.; Becher, T.; Braunstein, J.; Berdel, P.; Gravius, S.; Rohrbach, F.; Oldenburg, J.; Mayer, G.; Pötzsch, B. Profiling of active thrombin in human blood by supramolecular complexes. Angew. Chem. Int. Ed. 2011, 50, 6075–6078. [Google Scholar] [CrossRef] [PubMed]
- Müller, J.; Friedrich, M.; Becher, T.; Braunstein, J.; Kupper, T.; Berdel, P.; Gravius, S.; Rohrbach, F.; Oldenburg, J.; Mayer, G.; et al. Monitoring of plasma levels of activated protein C using a clinically applicable oligonucleotide-based enzyme capture assay. J. Thromb. Haemost. 2012, 10, 390–398. [Google Scholar] [CrossRef]
- Famulok, M.; Mayer, G.; Blind, M. Nucleic acid aptamers - From selection in vitro to applications in vivo. Acc. Chem. Res. 2000, 33, 591–599. [Google Scholar] [CrossRef] [PubMed]
- Kuwahara, M.; Sugimoto, N. Molecular evolution of functional nucleic acids with chemical modifications. Molecules 2010, 15, 5423–5444. [Google Scholar] [CrossRef]
- Vater, A.; Klussmann, S. Turning mirror-image oligonucleotides into drugs: The evolution of Spiegelmer(®) therapeutics. Drug Discov. Today 2015, 20, 147–155. [Google Scholar] [CrossRef] [PubMed]
- Klussmann, S.; Nolte, A.; Bald, R.; Erdmann, V.A.; Fürste, J.P. Mirror-image RNA that binds D-adenosine. Nat. Biotechnol. 1996, 14, 1112–1115. [Google Scholar] [CrossRef]
- Hoehlig, K.; Maasch, C.; Shushakova, N.; Buchner, K.; Huber-Lang, M.; Purschke, W.G.; Vater, A.; Klussmann, S. A novel C5a-neutralizing mirror-image (l-)aptamer prevents organ failure and improves survival in experimental sepsis. Mol. 2013, 21, 2236–2246. [Google Scholar] [CrossRef]
- Schwoebel, F.; van Eijk, L.T.; Zboralski, D.; Sell, S.; Buchner, K.; Maasch, C.; Purschke, W.G.; Humphrey, M.; Zöllner, S.; Eulberg, D.; et al. The effects of the anti-hepcidin Spiegelmer NOX-H94 on inflammation-induced anemia in cynomolgus monkeys. Blood 2013, 121, 2311–2315. [Google Scholar] [CrossRef]
- Olea, C.; Weidmann, J.; Dawson, P.E.; Joyce, G.F. An L-RNA Aptamer that Binds and Inhibits RNase. Chem. Biol. 2015, 22, 1437–1441. [Google Scholar] [CrossRef]
- Gelinas, A.D.; Davies, D.R.; Janjic, N. Embracing proteins: Structural themes in aptamer-protein complexes. Curr. Opin. Struct. Biol. 2016, 36, 122–132. [Google Scholar] [CrossRef]
- Oberthür, D.; Achenbach, J.; Gabdulkhakov, A.; Buchner, K.; Maasch, C.; Falke, S.; Rehders, D.; Klussmann, S.; Betzel, C. Crystal structure of a mirror-image L-RNA aptamer (Spiegelmer) in complex with the natural L-protein target CCL2. Nat. Commun. 2015, 6, 6923. [Google Scholar] [CrossRef] [PubMed]
- Purschke, W.G.; Radtke, F.; Kleinjung, F.; Klussmann, S. A DNA Spiegelmer to staphylococcal enterotoxin B. Nucleic Acids Res. 2003, 31, 3027–3032. [Google Scholar] [CrossRef] [PubMed]
- Szeitner, Z.; Lautner, G.; Nagy, S.K.; Gyurcsányi, R.E.; Mészáros, T. A rational approach for generating cardiac troponin I selective Spiegelmers. Chem. Commun. 2014, 50, 6801–6804. [Google Scholar] [CrossRef] [PubMed]
- Szeitner, Z.; Doleschall, A.; Varga, M.; Keltai, K.; Révész, K.; Gyurcsányi, R.E.; Mészáros, T. Spiegelmers as potential receptors for cTnI diagnostics. Anal. Methods 2017, 9, 5091–5093. [Google Scholar] [CrossRef]
- Ladue, J.S.; Wroblewski, F.; Karmen, A. Serum glutamic oxaloacetic transaminase activity in human acute transmural myocardial infarction. Science 1954, 120, 497–499. [Google Scholar] [CrossRef]
- Garg, P.; Morris, P.; Fazlanie, A.L.; Vijayan, S.; Dancso, B.; Dastidar, A.G.; Plein, S.; Mueller, C.; Haaf, P. Cardiac biomarkers of acute coronary syndrome: From history to high-sensitivity cardiac troponin. Intern. Emerg. Med. 2017, 12, 147–155. [Google Scholar] [CrossRef] [PubMed]
- Katus, H.A.; Remppis, A.; Looser, S.; Hallermeier, K.; Scheffold, T.; Kübler, W. Enzyme linked immuno assay of cardiac troponin T for the detection of acute myocardial infarction in patients. J. Mol. Cell. Cardiol. 1989, 21, 1349–1353. [Google Scholar] [CrossRef]
- Jo, H.; Gu, H.; Jeon, W.; Youn, H.; Her, J.; Kim, S.-K.; Lee, J.; Shin, J.H.; Ban, C. Electrochemical aptasensor of cardiac troponin I for the early diagnosis of acute myocardial infarction. Anal. Chem. 2015, 87, 9869–9875. [Google Scholar] [CrossRef]
- Szeitner, Z.; András, J.; Gyurcsányi, R.E.; Mészáros, T. Is less more? Lessons from aptamer selection strategies. J. Pharm. Biomed. Anal. 2014, 101, 58–65. [Google Scholar] [CrossRef]
- Lowenthal, M.S.; Gasca-Aragon, H.; Schiel, J.E.; Dodder, N.G.; Bunk, D.M. A quantitative LC-MS/MS method for comparative analysis of capture-antibody affinity toward protein antigens. J. Chromatogr Banal. Technol. Biomed. Life Sci. 2011, 879, 2726–2732. [Google Scholar] [CrossRef]
- Li, P.; Chen, Z.; Liu, B.; Li, K.; Wang, H.; Lin, L.; He, L.; Wei, J.; Liu, T. Establishment of a novel homogeneous nanoparticle-based assay for sensitive procalcitonin detection of ultra low-volume serum samples. Int. J. Nanomed. 2018, 13, 5395–5404. [Google Scholar] [CrossRef] [PubMed]
- Fitzgerald, G.; Kerley, R.N.; Kiernan, T.J. High-sensitivity troponin assays: Development and utility in a modern health-care system. Expert Rev. Cardiovasc. 2019, 17, 763–770. [Google Scholar] [CrossRef] [PubMed]
- Nagy, S.K.; Meszaros, T. In vitro translation-based protein kinase substrate identification. Methods Mol. Biol. 2014, 1118, 231–243. [Google Scholar] [CrossRef]




© 2020 by the authors. Licensee MDPI, Basel, Switzerland. This article is an open access article distributed under the terms and conditions of the Creative Commons Attribution (CC BY) license (http://creativecommons.org/licenses/by/4.0/).
Share and Cite
Tolnai, Z.J.; András, J.; Szeitner, Z.; Percze, K.; Simon, L.F.; Gyurcsányi, R.E.; Mészáros, T. Spiegelmer-Based Sandwich Assay for Cardiac Troponin I Detection. Int. J. Mol. Sci. 2020, 21, 4963. https://doi.org/10.3390/ijms21144963
Tolnai ZJ, András J, Szeitner Z, Percze K, Simon LF, Gyurcsányi RE, Mészáros T. Spiegelmer-Based Sandwich Assay for Cardiac Troponin I Detection. International Journal of Molecular Sciences. 2020; 21(14):4963. https://doi.org/10.3390/ijms21144963
Chicago/Turabian StyleTolnai, Zoltán János, Judit András, Zsuzsanna Szeitner, Krisztina Percze, László Ferenc Simon, Róbert E. Gyurcsányi, and Tamás Mészáros. 2020. "Spiegelmer-Based Sandwich Assay for Cardiac Troponin I Detection" International Journal of Molecular Sciences 21, no. 14: 4963. https://doi.org/10.3390/ijms21144963
APA StyleTolnai, Z. J., András, J., Szeitner, Z., Percze, K., Simon, L. F., Gyurcsányi, R. E., & Mészáros, T. (2020). Spiegelmer-Based Sandwich Assay for Cardiac Troponin I Detection. International Journal of Molecular Sciences, 21(14), 4963. https://doi.org/10.3390/ijms21144963

