Targeting the PD-1/PD-L1 Pathway in Renal Cell Carcinoma
Abstract
:1. Introduction
2. Histologic Subtypes and Related Molecular Pathways
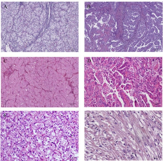
2.1. Clear Cell Renal Cell Carcinoma
2.2. Non-Clear Cell Renal Cell Carcinoma
3. Anti-Tumour Immune Response and Interaction with Angiogenesis
3.1. The Anti-Tumour Immune Response
3.2. Interaction between Angiogenesis and the Anti-Tumour Immune Response
4. Clinical Trials Targeting the PD-L1/PD-1 Pathway
4.1. Immune Checkpoint Inhibitors Alone or in Combination
4.2. Association of Immune Checkpoint Inhibitors and Tyrosine Kinase Inhibitors
5. Biomarkers and their Limitations
5.1. Response Evaluation for Immunotherapy
5.2. Immunohistochemical Markers
5.3. Gene Expression Signatures Related to ICI
5.4. Tumour Mutational Burden
6. Conclusions
Author Contributions
Funding
Acknowledgments
Conflicts of Interest
References
- Ferlay, J.; Soerjomataram, I.; Dikshit, R.; Eser, S.; Mathers, C.; Rebelo, M.; Parkin, D.M.; Forman, D.; Bray, F. Cancer incidence and mortality worldwide: Sources, methods and major patterns in GLOBOCAN 2012. Int. J. Cancer 2015, 136, E359–E386. [Google Scholar] [CrossRef]
- Levi, F.; Ferlay, J.; Galeone, C.; Lucchini, F.; Negri, E.; Boyle, P.; La Vecchia, C. The changing pattern of kidney cancer incidence and mortality in Europe. BJU Int. 2008, 101, 949–958. [Google Scholar] [CrossRef]
- King, S.C.; Pollack, L.A.; Li, J.; King, J.B.; Master, V.A. Continued increase in incidence of renal cell carcinoma, especially in young patients and high grade disease: United States 2001 to 2010. J. Urol. 2014, 191, 1665–1670. [Google Scholar] [CrossRef]
- Moch, H.; Cubilla, A.L.; Humphrey, P.A.; Reuter, V.E.; Ulbright, T.M. The 2016 WHO Classification of Tumours of the Urinary System and Male Genital Organs-Part A: Renal, Penile, and Testicular Tumours. Eur. Urol. 2016, 70, 93–105. [Google Scholar] [CrossRef]
- Malouf, G.G.; Comperat, E.; Yao, H.; Mouawad, R.; Lindner, V.; Rioux-Leclercq, N.; Verkarre, V.; Leroy, X.; Dainese, L.; Classe, M.; et al. Unique Transcriptomic Profile of Collecting Duct Carcinomas Relative to Upper Tract Urothelial Carcinomas and other Kidney Carcinomas. Sci. Rep. 2016, 6, 30988. [Google Scholar] [CrossRef] [PubMed]
- Kaelin, W.G., Jr. The von Hippel-Lindau tumor suppressor protein and clear cell renal carcinoma. Clin. Cancer Res. 2007, 13 Pt 2, 680s–684s. [Google Scholar] [CrossRef]
- Banumathy, G.; Cairns, P. Signaling pathways in renal cell carcinoma. Cancer Biol. 2010, 10, 658–664. [Google Scholar] [CrossRef]
- Cancer Genome Atlas Research Network. Comprehensive molecular characterization of clear cell renal cell carcinoma. Nature 2013, 499, 43–49. [Google Scholar] [CrossRef] [PubMed]
- Cancer Genome Atlas Research Network; Linehan, W.M.; Spellman, P.T.; Ricketts, C.J.; Creighton, C.J.; Fei, S.S.; Davis, C.; Wheeler, D.A.; Murray, B.A.; Schmidt, L.; et al. Comprehensive Molecular Characterization of Papillary Renal-Cell Carcinoma. N. Engl. J. Med. 2016, 374, 135–145. [Google Scholar]
- Davis, C.F.; Ricketts, C.J.; Wang, M.; Yang, L.; Cherniack, A.D.; Shen, H.; Buhay, C.; Kang, H.; Kim, S.C.; Fahey, C.C.; et al. The somatic genomic landscape of chromophobe renal cell carcinoma. Cancer Cell 2014, 26, 319–330. [Google Scholar] [CrossRef]
- Argani, P. MiT family translocation renal cell carcinoma. Semin. Diagn. Pathol. 2015, 32, 103–113. [Google Scholar] [CrossRef] [PubMed]
- Malouf, G.G.; Monzon, F.A.; Couturier, J.; Molinie, V.; Escudier, B.; Camparo, P.; Su, X.; Yao, H.; Tamboli, P.; Lopez-Terrada, D.; et al. Genomic heterogeneity of translocation renal cell carcinoma. Clin. Cancer Res. 2013, 19, 4673–4684. [Google Scholar] [CrossRef] [PubMed]
- Chen, F.; Zhang, Y.; Senbabaoglu, Y.; Ciriello, G.; Yang, L.; Reznik, E.; Shuch, B.; Micevic, G.; De Velasco, G.; Shinbrot, E.; et al. Multilevel Genomics-Based Taxonomy of Renal Cell Carcinoma. Cell. Rep. 2016, 14, 2476–2489. [Google Scholar] [CrossRef] [PubMed]
- Amin, M.B.; Smith, S.C.; Agaimy, A.; Argani, P.; Comperat, E.M.; Delahunt, B.; Epstein, J.I.; Eble, J.N.; Grignon, D.J.; Hartmann, A.; et al. Collecting duct carcinoma versus renal medullary carcinoma: An appeal for nosologic and biological clarity. Am. J. Surg. Pathol. 2014, 38, 871–874. [Google Scholar] [CrossRef] [PubMed]
- Srigley, J.R.; Delahunt, B.; Eble, J.N.; Egevad, L.; Epstein, J.I.; Grignon, D.; Hes, O.; Moch, H.; Montironi, R.; Tickoo, S.K.; et al. The International Society of Urological Pathology (ISUP) Vancouver Classification of Renal Neoplasia. Am. J. Surg. Pathol. 2013, 37, 1469–1489. [Google Scholar] [CrossRef] [PubMed]
- Pal, S.K.; Choueiri, T.K.; Wang, K.; Khaira, D.; Karam, J.A.; Van Allen, E.; Palma, N.A.; Stein, M.N.; Johnson, A.; Squillace, R.; et al. Characterization of Clinical Cases of Collecting Duct Carcinoma of the Kidney Assessed by Comprehensive Genomic Profiling. Eur. Urol. 2016, 70, 516–521. [Google Scholar] [CrossRef] [PubMed]
- Beckermann, K.E.; Sharma, D.; Chaturvedi, S.; Msaouel, P.; Abboud, M.R.; Allory, Y.; Bourdeaut, F.; Calderaro, J.; de Cubas, A.A.; Derebail, V.K.; et al. Renal Medullary Carcinoma: Establishing Standards in Practice. J. Oncol. Pract. 2017, 13, 414–421. [Google Scholar] [CrossRef] [PubMed]
- Carlo, M.I.; Chaim, J.; Patil, S.; Kemel, Y.; Schram, A.M.; Woo, K.; Coskey, D.; Nanjangud, G.J.; Voss, M.H.; Feldman, D.R.; et al. Genomic Characterization of Renal Medullary Carcinoma and Treatment Outcomes. Clin. Genitourin. Cancer 2017, 15, e987–e994. [Google Scholar] [CrossRef] [PubMed]
- Malouf, G.G.; Ali, S.M.; Wang, K.; Balasubramanian, S.; Ross, J.S.; Miller, V.A.; Stephens, P.J.; Khayat, D.; Pal, S.K.; Su, X.; et al. Genomic Characterization of Renal Cell Carcinoma with Sarcomatoid Dedifferentiation Pinpoints Recurrent Genomic Alterations. Eur. Urol. 2016, 70, 348–357. [Google Scholar] [CrossRef]
- Gajewski, T.F.; Schreiber, H.; Fu, Y.X. Innate and adaptive immune cells in the tumor microenvironment. Nat. Immunol. 2013, 14, 1014–1022. [Google Scholar] [CrossRef] [PubMed]
- Chen, D.S.; Mellman, I. Oncology meets immunology: The cancer-immunity cycle. Immunity 2013, 39, 1–10. [Google Scholar] [CrossRef] [PubMed]
- Ferguson, T.A.; Choi, J.; Green, D.R. Armed response: How dying cells influence T-cell functions. Immunol. Rev. 2011, 241, 77–88. [Google Scholar] [CrossRef] [PubMed]
- Franciszkiewicz, K.; Boissonnas, A.; Boutet, M.; Combadiere, C.; Mami-Chouaib, F. Role of chemokines and chemokine receptors in shaping the effector phase of the antitumor immune response. Cancer Res. 2012, 72, 6325–6332. [Google Scholar] [CrossRef] [PubMed]
- Chen, D.S.; Irving, B.A.; Hodi, F.S. Molecular pathways: Next-generation immunotherapy--inhibiting programmed death-ligand 1 and programmed death-1. Clin. Cancer Res. 2012, 18, 6580–6587. [Google Scholar] [CrossRef] [PubMed]
- Gabrilovich, D.I.; Nagaraj, S. Myeloid-derived suppressor cells as regulators of the immune system. Nat. Rev. Immunol. 2009, 9, 162–174. [Google Scholar] [CrossRef] [PubMed]
- Gabrilovich, D.I.; Chen, H.L.; Girgis, K.R.; Cunningham, H.T.; Meny, G.M.; Nadaf, S.; Kavanaugh, D.; Carbone, D.P. Production of vascular endothelial growth factor by human tumors inhibits the functional maturation of dendritic cells. Nat. Med. 1996, 2, 1096–1103. [Google Scholar] [CrossRef] [PubMed]
- Gabrilovich, D.; Ishida, T.; Oyama, T.; Ran, S.; Kravtsov, V.; Nadaf, S.; Carbone, D.P. Vascular endothelial growth factor inhibits the development of dendritic cells and dramatically affects the differentiation of multiple hematopoietic lineages in vivo. Blood 1998, 92, 4150–4166. [Google Scholar] [PubMed]
- Henze, A.T.; Mazzone, M. The impact of hypoxia on tumor-associated macrophages. J. Clin. Investig. 2016, 126, 3672–3679. [Google Scholar] [CrossRef]
- Sica, A.; Massarotti, M. Myeloid suppressor cells in cancer and autoimmunity. J. Autoimmun. 2017, 85, 117–125. [Google Scholar] [CrossRef]
- Voron, T.; Colussi, O.; Marcheteau, E.; Pernot, S.; Nizard, M.; Pointet, A.L.; Latreche, S.; Bergaya, S.; Benhamouda, N.; Tanchot, C.; et al. VEGF-A modulates expression of inhibitory checkpoints on CD8+ T cells in tumors. J. Exp. Med. 2015, 212, 139–148. [Google Scholar] [CrossRef]
- Tian, L.; Goldstein, A.; Wang, H.; Ching Lo, H.; Sun Kim, I.; Welte, T.; Sheng, K.; Dobrolecki, L.E.; Zhang, X.; Putluri, N.; et al. Mutual regulation of tumour vessel normalization and immunostimulatory reprogramming. Nature 2017, 544, 250–254. [Google Scholar] [CrossRef] [PubMed]
- Thienpont, B.; Lambrechts, D. It’s T Time for Normal Blood Vessels. Dev. Cell 2017, 41, 125–126. [Google Scholar] [CrossRef] [PubMed]
- Fyfe, G.; Fisher, R.I.; Rosenberg, S.A.; Sznol, M.; Parkinson, D.R.; Louie, A.C. Results of treatment of 255 patients with metastatic renal cell carcinoma who received high-dose recombinant interleukin-2 therapy. J. Clin. Oncol. 1995, 13, 688–696. [Google Scholar] [CrossRef] [PubMed]
- Negrier, S.; Escudier, B.; Lasset, C.; Douillard, J.Y.; Savary, J.; Chevreau, C.; Ravaud, A.; Mercatello, A.; Peny, J.; Mousseau, M.; et al. Recombinant human interleukin-2, recombinant human interferon alfa-2a, or both in metastatic renal-cell carcinoma. Groupe Francais d’Immunotherapie. N. Engl. J. Med. 1998, 338, 1272–1278. [Google Scholar] [CrossRef] [PubMed]
- Motzer, R.J.; Escudier, B.; McDermott, D.F.; George, S.; Hammers, H.J.; Srinivas, S.; Tykodi, S.S.; Sosman, J.A.; Procopio, G.; Plimack, E.R.; et al. Nivolumab versus Everolimus in Advanced Renal-Cell Carcinoma. N. Engl. J. Med. 2015, 373, 1803–1813. [Google Scholar] [CrossRef] [PubMed]
- Hammers, H.J.; Plimack, E.R.; Infante, J.R.; Rini, B.I.; McDermott, D.F.; Lewis, L.D.; Voss, M.H.; Sharma, P.; Pal, S.K.; Razak, A.R.A.; et al. Safety and Efficacy of Nivolumab in Combination With Ipilimumab in Metastatic Renal Cell Carcinoma: The CheckMate 016 Study. J. Clin. Oncol. 2017, 35, 3851–3858. [Google Scholar] [CrossRef] [PubMed]
- Antonia, S.J.; Lopez-Martin, J.A.; Bendell, J.; Ott, P.A.; Taylor, M.; Eder, J.P.; Jager, D.; Pietanza, M.C.; Le, D.T.; de Braud, F.; et al. Nivolumab alone and nivolumab plus ipilimumab in recurrent small-cell lung cancer (CheckMate 032): A multicentre, open-label, phase 1/2 trial. Lancet Oncol. 2016, 17, 883–895. [Google Scholar] [CrossRef]
- Larkin, J.; Chiarion-Sileni, V.; Gonzalez, R.; Grob, J.J.; Cowey, C.L.; Lao, C.D.; Schadendorf, D.; Dummer, R.; Smylie, M.; Rutkowski, P.; et al. Combined Nivolumab and Ipilimumab or Monotherapy in Untreated Melanoma. N. Engl. J. Med. 2015, 373, 23–34. [Google Scholar] [CrossRef]
- Motzer, R.J.; Tannir, N.M.; McDermott, D.F.; Aren Frontera, O.; Melichar, B.; Choueiri, T.K.; Plimack, E.R.; Barthelemy, P.; Porta, C.; George, S.; et al. Nivolumab plus Ipilimumab versus Sunitinib in Advanced Renal-Cell Carcinoma. N. Engl. J. Med. 2018, 378, 1277–1290. [Google Scholar] [CrossRef]
- Xie, G.; Gu, D.; Zhang, L.; Chen, S.; Wu, D. A rapid and systemic complete response to stereotactic body radiation therapy and pembrolizumab in a patient with metastatic renal cell carcinoma. Cancer Biol. 2017, 18, 547–551. [Google Scholar] [CrossRef]
- Koshkin, V.S.; Barata, P.C.; Zhang, T.; George, D.J.; Atkins, M.B.; Kelly, W.J.; Vogelzang, N.J.; Pal, S.K.; Hsu, J.; Appleman, L.J.; et al. Clinical activity of nivolumab in patients with non-clear cell renal cell carcinoma. J. Immunother. Cancer 2018, 6, 9. [Google Scholar] [CrossRef] [PubMed]
- Amin, A.; Plimack, E.R.; Ernstoff, M.S.; Lewis, L.D.; Bauer, T.M.; McDermott, D.F.; Carducci, M.; Kollmannsberger, C.; Rini, B.I.; Heng, D.Y.C.; et al. Safety and efficacy of nivolumab in combination with sunitinib or pazopanib in advanced or metastatic renal cell carcinoma: The CheckMate 016 study. J. Immunother. Cancer 2018, 6, 109. [Google Scholar] [CrossRef] [PubMed]
- McDermott, D.F.; Huseni, M.A.; Atkins, M.B.; Motzer, R.J.; Rini, B.I.; Escudier, B.; Fong, L.; Joseph, R.W.; Pal, S.K.; Reeves, J.A.; et al. Clinical activity and molecular correlates of response to atezolizumab alone or in combination with bevacizumab versus sunitinib in renal cell carcinoma. Nat. Med. 2018, 24, 749–757. [Google Scholar] [CrossRef] [PubMed]
- Akaza, H.; Fukuyama, T. Axitinib for the treatment of advanced renal cell carcinoma. Expert Opin. Pharm. 2014, 15, 283–297. [Google Scholar] [CrossRef] [PubMed]
- Choueiri, T.K.; Larkin, J.; Oya, M.; Thistlethwaite, F.; Martignoni, M.; Nathan, P.; Powles, T.; McDermott, D.; Robbins, P.B.; Chism, D.D.; et al. Preliminary results for avelumab plus axitinib as first-line therapy in patients with advanced clear-cell renal-cell carcinoma (JAVELIN Renal 100): An open-label, dose-finding and dose-expansion, phase 1b trial. Lancet Oncol. 2018, 19, 451–460. [Google Scholar] [CrossRef]
- Motzer, R.J.; Penkov, K.; Haanen, J.; Rini, B.; Albiges, L.; Campbell, M.T.; Venugopal, B.; Kollmannsberger, C.; Negrier, S.; Uemura, M.; et al. Avelumab plus Axitinib versus Sunitinib for Advanced Renal-Cell Carcinoma. N. Engl. J. Med. 2019, 380, 1103–1115. [Google Scholar] [CrossRef] [PubMed]
- Rini, B.I.; Plimack, E.R.; Stus, V.; Gafanov, R.; Hawkins, R.; Nosov, D.; Pouliot, F.; Alekseev, B.; Soulieres, D.; Melichar, B.; et al. Pembrolizumab plus Axitinib versus Sunitinib for Advanced Renal-Cell Carcinoma. N. Engl. J. Med. 2019, 380, 1116–1127. [Google Scholar] [CrossRef]
- Eisenhauer, E.A.; Therasse, P.; Bogaerts, J.; Schwartz, L.H.; Sargent, D.; Ford, R.; Dancey, J.; Arbuck, S.; Gwyther, S.; Mooney, M.; et al. New response evaluation criteria in solid tumours: Revised RECIST guideline (version 1.1). Eur. J. Cancer 2009, 45, 228–247. [Google Scholar] [CrossRef]
- De Velasco, G.; Krajewski, K.M.; Albiges, L.; Awad, M.M.; Bellmunt, J.; Hodi, F.S.; Choueiri, T.K. Radiologic Heterogeneity in Responses to Anti-PD-1/PD-L1 Therapy in Metastatic Renal Cell Carcinoma. Cancer Immunol. Res. 2016, 4, 12–17. [Google Scholar] [CrossRef]
- Seymour, L.; Bogaerts, J.; Perrone, A.; Ford, R.; Schwartz, L.H.; Mandrekar, S.; Lin, N.U.; Litiere, S.; Dancey, J.; Chen, A.; et al. iRECIST: Guidelines for response criteria for use in trials testing immunotherapeutics. Lancet Oncol. 2017, 18, e143–e152. [Google Scholar] [CrossRef]
- Hodi, F.S.; Ballinger, M.; Lyons, B.; Soria, J.C.; Nishino, M.; Tabernero, J.; Powles, T.; Smith, D.; Hoos, A.; McKenna, C.; et al. Immune-Modified Response Evaluation Criteria In Solid Tumors (imRECIST): Refining Guidelines to Assess the Clinical Benefit of Cancer Immunotherapy. J. Clin. Oncol. 2018, 36, 850–858. [Google Scholar] [CrossRef] [PubMed]
- Le Lay, J.; Jarraya, H.; Lebellec, L.; Penel, N. irRECIST and iRECIST: The devil is in the details. Ann. Oncol. 2017, 28, 1676–1678. [Google Scholar] [CrossRef] [PubMed]
- Wolchok, J.D.; Hoos, A.; O’Day, S.; Weber, J.S.; Hamid, O.; Lebbe, C.; Maio, M.; Binder, M.; Bohnsack, O.; Nichol, G.; et al. Guidelines for the evaluation of immune therapy activity in solid tumors: Immune-related response criteria. Clin. Cancer Res. 2009, 15, 7412–7420. [Google Scholar] [CrossRef] [PubMed]
- Pignon, J.C.; Jegede, O.; Shukla, S.A.; Braun, D.A.; Horak, C.E.; Wind-Rotolo, M.; Ishii, Y.; Catalano, P.J.; Grosha, J.; Flaifel, A.; et al. irRECIST for the Evaluation of Candidate Biomarkers of Response to Nivolumab in Metastatic Clear Cell Renal Cell Carcinoma: Analysis of a Phase II Prospective Clinical Trial. Clin. Cancer Res. 2019. [Google Scholar] [CrossRef] [PubMed]
- Erlmeier, F.; Weichert, W.; Schrader, A.J.; Autenrieth, M.; Hartmann, A.; Steffens, S.; Ivanyi, P. Prognostic impact of PD-1 and its ligands in renal cell carcinoma. Med. Oncol. 2017, 34, 99. [Google Scholar] [CrossRef] [PubMed]
- Tsao, M.S.; Kerr, K.M.; Kockx, M.; Beasley, M.B.; Borczuk, A.C.; Botling, J.; Bubendorf, L.; Chirieac, L.; Chen, G.; Chou, T.Y.; et al. PD-L1 Immunohistochemistry Comparability Study in Real-Life Clinical Samples: Results of Blueprint Phase 2 Project. J. Thorac. Oncol. 2018, 13, 1302–1311. [Google Scholar] [CrossRef] [PubMed]
- Basu, A.; Yearley, J.H.; Annamalai, L.; Pryzbycin, C.; Rini, B. Association of PD-L1, PD-L2, and Immune Response Markers in Matched Renal Clear Cell Carcinoma Primary and Metastatic Tissue Specimens. Am. J. Clin. Pathol. 2019, 151, 217–225. [Google Scholar] [CrossRef] [PubMed]
- Lopez, J.I.; Pulido, R.; Cortes, J.M.; Angulo, J.C.; Lawrie, C.H. Potential impact of PD-L1 (SP-142) immunohistochemical heterogeneity in clear cell renal cell carcinoma immunotherapy. Pathol. Res. Pract. 2018, 214, 1110–1114. [Google Scholar] [CrossRef]
- He, X.H.; Xu, L.H.; Liu, Y. Identification of a novel splice variant of human PD-L1 mRNA encoding an isoform-lacking Igv-like domain. Acta Pharm. Sin. 2005, 26, 462–468. [Google Scholar] [CrossRef]
- Cogswell, J.; Inzunza, H.D.; Wu, Q.; Feder, J.N.; Mintier, G.; Novotny, J.; Cardona, D.M. An Analytical Comparison of Dako 28-8 PharmDx Assay and an E1L3N Laboratory-Developed Test in the Immunohistochemical Detection of Programmed Death-Ligand 1. Mol. Diagn. 2017, 21, 85–93. [Google Scholar] [CrossRef]
- Kim, K.S.; Sekar, R.R.; Patil, D.; Dimarco, M.A.; Kissick, H.T.; Bilen, M.A.; Osunkoya, A.O.; Master, V.A. Evaluation of programmed cell death protein 1 (PD-1) expression as a prognostic biomarker in patients with clear cell renal cell carcinoma. Oncoimmunology 2018, 7, e1413519. [Google Scholar] [CrossRef] [PubMed]
- Shin, S.J.; Jeon, Y.K.; Kim, P.J.; Cho, Y.M.; Koh, J.; Chung, D.H.; Go, H. Clinicopathologic Analysis of PD-L1 and PD-L2 Expression in Renal Cell Carcinoma: Association with Oncogenic Proteins Status. Ann. Surg. Oncol. 2016, 23, 694–702. [Google Scholar] [CrossRef]
- Kammerer-Jacquet, S.F.; Medane, S.; Bensalah, K.; Bernhard, J.C.; Yacoub, M.; Dupuis, F.; Ravaud, A.; Verhoest, G.; Mathieu, R.; Peyronnet, B.; et al. Correlation of c-MET Expression with PD-L1 Expression in Metastatic Clear Cell Renal Cell Carcinoma Treated by Sunitinib First-Line Therapy. Target Oncol. 2017, 12, 487–494. [Google Scholar] [CrossRef] [PubMed]
- Lalani, A.A.; Gray, K.P.; Albiges, L.; Callea, M.; Pignon, J.C.; Pal, S.; Gupta, M.; Bhatt, R.S.; McDermott, D.F.; Atkins, M.B.; et al. Differential expression of c-Met between primary and metastatic sites in clear-cell renal cell carcinoma and its association with PD-L1 expression. Oncotarget 2017, 8, 103428–103436. [Google Scholar] [CrossRef]
- Choueiri, T.K.; Fay, A.P.; Gray, K.P.; Callea, M.; Ho, T.H.; Albiges, L.; Bellmunt, J.; Song, J.; Carvo, I.; Lampron, M.; et al. PD-L1 expression in nonclear-cell renal cell carcinoma. Ann. Oncol. 2014, 25, 2178–2184. [Google Scholar] [CrossRef] [PubMed]
- Beuselinck, B.; Job, S.; Becht, E.; Karadimou, A.; Verkarre, V.; Couchy, G.; Giraldo, N.; Rioux-Leclercq, N.; Molinie, V.; Sibony, M.; et al. Molecular Subtypes of Clear Cell Renal Cell Carcinoma Are Associated with Sunitinib Response in the Metastatic Setting. Clin. Cancer Res. 2015, 21, 1329–1339. [Google Scholar] [CrossRef] [PubMed]
- Hakimi, A.A.; Voss, M.H.; Kuo, F.; Sanchez, A.; Liu, M.; Nixon, B.G.; Vuong, L.; Ostrovnaya, I.; Chen, Y.B.; Reuter, V.; et al. Transcriptomic Profiling of the Tumor Microenvironment Reveals Distinct Subgroups of Clear cell Renal Cell Cancer—Data from a Randomized Phase III Trial. Cancer Discov. 2019. [Google Scholar] [CrossRef]
- Yarchoan, M.; Hopkins, A.; Jaffee, E.M. Tumor Mutational Burden and Response Rate to PD-1 Inhibition. N. Engl. J. Med. 2017, 377, 2500–2501. [Google Scholar] [CrossRef]
- De Velasco, G.; Miao, D.; Voss, M.H.; Hakimi, A.A.; Hsieh, J.J.; Tannir, N.M.; Tamboli, P.; Appleman, L.J.; Rathmell, W.K.; Van Allen, E.M.; et al. Tumor Mutational Load and Immune Parameters across Metastatic Renal Cell Carcinoma Risk Groups. Cancer Immunol. Res. 2016, 4, 820–822. [Google Scholar] [CrossRef]
- Alexandrov, L.B.; Nik-Zainal, S.; Wedge, D.C.; Aparicio, S.A.; Behjati, S.; Biankin, A.V.; Bignell, G.R.; Bolli, N.; Borg, A.; Borresen-Dale, A.L.; et al. Signatures of mutational processes in human cancer. Nature 2013, 500, 415–421. [Google Scholar] [CrossRef]
- Turajlic, S.; Litchfield, K.; Xu, H.; Rosenthal, R.; McGranahan, N.; Reading, J.L.; Wong, Y.N.S.; Rowan, A.; Kanu, N.; Al Bakir, M.; et al. Insertion-and-deletion-derived tumour-specific neoantigens and the immunogenic phenotype: A pan-cancer analysis. Lancet Oncol. 2017, 18, 1009–1021. [Google Scholar] [CrossRef]


| Checkpoint Inhibitor | Target | Antibody for PD-L1 IHC | PD-L1 Assessment |
|---|---|---|---|
| Ipilimumab | CTLA-4 | Not applicable | Not applicable |
| Nivolumab | PD-1 | Dako 28-8 | % tumour cells |
| Pembrolizumab | PD-1 | Dako 22C3 | % tumour cells |
| Atezolizumab | PD-L1 | Ventana SP142 | % immune cells |
| Durvalumab | PD-L1 | Ventana SP263 | Not available |
| Avelumab | PD-L1 | Dako 7310 | % immune cells |
| NCT Number/Study Name | Targeting Agents | Comparison | Phase | Histology | Primary Endpoint | Therapy Setting | Status |
|---|---|---|---|---|---|---|---|
| NCT01668784/CheckMate 025 | nivolumab | everolimus | III | ccRCC | OS | at least second line | published |
| NCT02231749/CheckMate 214 | Nivolumab + ipilimumab | sunitinib | III | ccRCC | PFS, OS, ORR | first line | published |
| NCT03260894 | Pembrolizumab + epacadostat | sunitinib/pazopanib | III | ccRCC | ORR | first line | active not recruiting |
| NCT02853344/Keynote-427 | pembrolizumab | - | II | cc/nccRCC | ORR | all lines | active not recruiting |
| NCT02964078 | pembrolizumab+interleukin-2 | - | II | ccRCC | ORR | all lines | active not recruiting |
| NCT02960906/BIONIKK | nivolumab/ipilimumab/VEGFR-TKI | - | II | ccRCC | ORR | first line | recruiting |
| NCT03469713/NIVES | Nivolumab + SBRT | - | II | ccRCC | ORR | at least second line | recruiting |
| NCT02446860/ADAPTeR | nivolumab | - | II | ccRCC | Safety | pre and post-operative | recruiting |
| NCT02819596/Calypso | Durvalumab +/tremelimumab/savolitinib | - | II | cc/pRCC | DLT, OR | at least second line | recruiting |
| NCT03308396 | Durvalumab + guadecitabine | - | I/II | ccRCC | safe dose/ORR | at least second line | recruiting |
| NCT02989714 | Nivolumab + interleukin-2 | - | I/II | ccRCC | safety | third line | recruiting |
| NCT03024996/IMmotion010 | atezolizumab | placebo | III | ccRCC | DFS | adjuvant | recruiting |
| NCT03055013 | nivolumab | observation | III | ccRCC | DFS | adjuvant | recruiting |
| NCT03138512/CheckMate 914 | Nivolumab + ipilimumab | placebo | III | ccRCC | DFS | adjuvant | recruiting |
| NCT03142334/Keynote-564 | pembrolizumab | placebo | III | ccRCC | DFS | adjuvant | recruiting |
| NCT02575222 | nivolumab | - | I | ccRCC | safety | neo-adjuvant | active not recruiting |
| NCT03177239/ANZUP1602 | Nivolumab + ipilimumab | - | II | nccRCC | ORR | all lines | recruiting |
| NCT03075423/SUNIFORECAST | Nivolumab + ipilimumab | sunitinib | II | nccRCC | OS | first line | recruiting |
| Study Name | Comparator Arms | N ITT | Median FU | OS ITT | HR (95% CI) | PFS ITT | HR (95% CI) | ORR (%) | CR (%) | Grade ≥ 3 (%) |
|---|---|---|---|---|---|---|---|---|---|---|
| CheckMate 214 | Ipilumab + nivolumab | 550 | 25.2 | Nr * | 0.63 | 11.6 * | 0.82 | 42 * | 9 * | 46 |
| sunitinib | 546 | 26 * | (0.44–0.89) | 8.4 * | (0.64–1.05) | 27 * | 1 * | 35 | ||
| JAVELIN Renal 101 | Avelumab + axitinib | 442 | 11.6 | na | 13.8 | 0.69 | 51.4 | 3.4 | 71.2 | |
| sunitinib | 446 | 10.7 | na | 8.4 | (0.56–0.84) | 25.7 | 1.8 | 71.5 | ||
| Keynote 426 | Pembrolizumab + axitinib | 432 | 12.8 | na | 15.1 | 0.69 | 59.3 | 5.8 | 75.8 | |
| sunitinib | 429 | na | 11.1 | (0.57–0.84) | 35.7 | 1.9 | 70.6 | |||
| IMmotion 151 | Atezolizumab + bevacizumab | 454 | 15 | na | 11.2 | 0.83 | 37 | 5 | 40 | |
| sunitinib | 461 | na | 8.4 | (0.70–0.97) | 33 | 2 | 54 |
| NCT Number/Study Name | Targeting Agents | Comparison | Phase | Histology | Primary Endpoint | Therapy Setting | Status |
|---|---|---|---|---|---|---|---|
| NCT02684006/Javelin Renal 101 | Avelumab + axitinib | sunitinib | III | ccRCC | PFS, OS | first line | published |
| NCT02853331/Keynote 426 | Pembrolizumab + axitinib | sunitinib | III | ccRCC | PFS, OS | first line | published |
| NCT02420821/IMmotion 151 | Atezolizumab + bevacizumab | sunitinib | III | ccRCC | PFS, OS | first line | active not recruiting |
| NCT02811861/CLEAR | Lenvatinib + everolimus/pembrolizumab | sunitinib | III | ccRCC | PFS | first line | recruiting |
| NCT03141177/CheckMate 9ER | Nivolumab + cabozantinib | sunitinib | III | ccRCC | PFS | first line | recruiting |
| NCT01984242/IMmotion 150 | Atezolizumab +/- bevacizumab | sunitinib | II | ccRCC | PFS | first line | Published |
| NCT02014636/Keynote-018 | Pembrolizumab + pazopanib | pazopanib/pembrolizumab | II | ccRCC | safety, efficacy | first line | active not recruiting |
| NCT02348008 | Pembrolizumab + bevacizumab | - | I/II | ccRCC | safe dose, efficacy | at least second line | active not recruiting |
| NCT02348008 | Pembrolizumab + bevacizumab | - | I/II | ccRCC | safe dose, efficacy | at least second line | active not recruiting |
| NCT03024437 | Atezolizumab + bevacizumab + entinostat | - | I/II | ccRCC | safe dose, ORR | at least second line | recruiting |
| NCT03172754 | nivolumab + axitinib | - | I/II | ccRCC | safety | at least second line | recruiting |
| NCT02493751/Javelin Renal 100 | Avelumab + axitinib | - | I/II | ccRCC | DLT | first line | Published |
| NCT02501096 | Pembrolizumab + lenvatinib | - | I/II | ccRCC | DLT, ORR | all lines | recruiting |
| NCT03200587 | Avelumab + cabozantinib | - | Ib | ccRCC | safe dose | all lines | recruiting |
| NCT01472081/CheckMate 016 | Nivolumab + sunitinib/pazopanib/ipilimumab | nivolumab | I | ccRCC | safety, tolerability | at least second line | Published |
| NCT02133742 | Pembrolizumab + axitinib | - | I | ccRCC | DLT | first line | Published |
| NCT02724878 | Atezolizumab + bevacizumab | - | II | nccRCC | ORR | all lines | recruiting |
| NCT03635892 | Nivolumab + cabozantinib | II | nccRCC | ORR | all lines | recruiting | |
| NCT03595124 | Nivolumab + axitinib | - | II | tRCC | PFS | all lines | recruiting |
© 2019 by the authors. Licensee MDPI, Basel, Switzerland. This article is an open access article distributed under the terms and conditions of the Creative Commons Attribution (CC BY) license (http://creativecommons.org/licenses/by/4.0/).
Share and Cite
Kammerer-Jacquet, S.-F.; Deleuze, A.; Saout, J.; Mathieu, R.; Laguerre, B.; Verhoest, G.; Dugay, F.; Belaud-Rotureau, M.-A.; Bensalah, K.; Rioux-Leclercq, N. Targeting the PD-1/PD-L1 Pathway in Renal Cell Carcinoma. Int. J. Mol. Sci. 2019, 20, 1692. https://doi.org/10.3390/ijms20071692
Kammerer-Jacquet S-F, Deleuze A, Saout J, Mathieu R, Laguerre B, Verhoest G, Dugay F, Belaud-Rotureau M-A, Bensalah K, Rioux-Leclercq N. Targeting the PD-1/PD-L1 Pathway in Renal Cell Carcinoma. International Journal of Molecular Sciences. 2019; 20(7):1692. https://doi.org/10.3390/ijms20071692
Chicago/Turabian StyleKammerer-Jacquet, Solène-Florence, Antoine Deleuze, Judikaël Saout, Romain Mathieu, Brigitte Laguerre, Gregory Verhoest, Frédéric Dugay, Marc-Antoine Belaud-Rotureau, Karim Bensalah, and Nathalie Rioux-Leclercq. 2019. "Targeting the PD-1/PD-L1 Pathway in Renal Cell Carcinoma" International Journal of Molecular Sciences 20, no. 7: 1692. https://doi.org/10.3390/ijms20071692
APA StyleKammerer-Jacquet, S.-F., Deleuze, A., Saout, J., Mathieu, R., Laguerre, B., Verhoest, G., Dugay, F., Belaud-Rotureau, M.-A., Bensalah, K., & Rioux-Leclercq, N. (2019). Targeting the PD-1/PD-L1 Pathway in Renal Cell Carcinoma. International Journal of Molecular Sciences, 20(7), 1692. https://doi.org/10.3390/ijms20071692
