Identifying Genome-Wide Sequence Variations and Candidate Genes Implicated in Self-Incompatibility by Resequencing Fragaria viridis
Abstract
1. Introduction
2. Results
2.1. Traits of Fruit and Pollen Tubes in Styles
2.2. Genome Sequencing and Mapping of Reads to the Reference
2.3. Detection and Characteristics of Single-Nucleotide Polymorphisms (SNPs), Structural Variations (SVs), and Indels
2.4. Distribution of SNPs, Indels, and SVs
2.5. The Annotation and Function Analysis of SNPs, Indels, and SVs
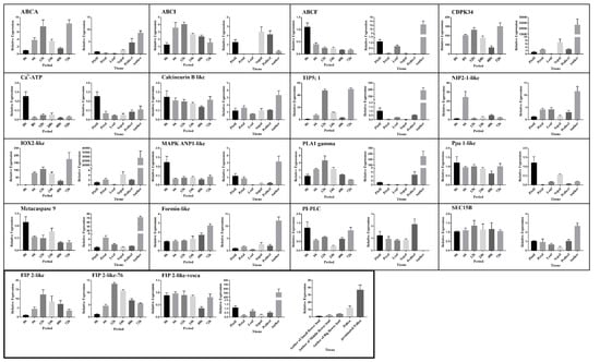
2.6. RT-qPCR Analysis
2.7. Cloning and Sequence Analysis of FIP2-Like
2.8. Transient Expression Assay
3. Discussion
3.1. Resequencing Plays an Important Role in the Study of Genetic Variations
3.2. Impact Factor Analysis on Self-Incompatibility Intensity of Differential Trait Samples
3.3. Analysis of the Potential Functions of Six Candidate Genes
3.4. The Functional Verification of FIP2-Like
4. Materials and Methods
4.1. Materials and Sample Selection
4.2. Fruit-Set Rate Statistics and Dynamic Observation of Pollen Tube Growth
4.3. Resequencing and Mapping
4.4. Detection of SNPs, Indels, and SVs Polymorphisms
4.5. Annotation of SNPs, Indels, and SVs
4.6. Search and Prediction of Genes Related to Self-Incompatibility
4.7. RT-qPCR
4.8. Cloning and Sequence Analysis of FIP2-like
4.9. Visualization of F-Actin Organization In Vitro
4.10. Subcellular Localization of FIP2-Like
4.11. Transient Expression Assay
5. Conclusions
Supplementary Materials
Author Contributions
Funding
Acknowledgments
Conflicts of Interest
Abbreviations
| SNP | Single-nucleotide polymorphism |
| Indel | Insertion and deletion |
| SV | Structure Variation |
| GSI | gametophytic self-incompatibility |
| SI | self-incompatibility |
| SC | self-compatibility |
| PCD | programmed cell death |
| s-ODN | sense oligodeoxynucleotides |
| as-ODN | antisense oligodeoxynucleotides |
| GM | germination medium |
| PBS | phosphate buffer saline |
| NR | NCBI non-redundant protein |
| CGO | cluster of ortholog genes |
| GO | gene ontology |
| KEGG | Kyoto encyclopedia of genes and genomes |
| RT-qPCR | Reverse transcription and quantitative real-time PCR |
| FIP | FH protein interacting protein |
| ABC | ATP-binding cassette |
| CDPK | calcium-dependent protein kinase |
| TIP | tonoplast membrane intrinsic protein |
| IOX | inositol oxygenase |
| PLA1IIgamma | phospholipase A1-IIgamma |
| FH | Formin Homology |
References
- Sargent, D.J.; Geibel, M.; Hawkins, J.A.; Wilkinson, M.J.; Battey, N.H.; Simpson, D.W. Quantitative and qualitative differences in morphological traits revealed between diploid Fragaria species. Ann. Bot. 2004, 94, 787–796. [Google Scholar] [CrossRef] [PubMed]
- Staudt, G. Cytogenetische untersuchungen an Fragaria orientalis, Los. und ihre Bedeutung Für Artbildung und Geschlechtsdifferenzierung in der Gattung Fragaria, L. Zeitschrift Induktive Abstammungs Vererbungslehre 1952, 84, 361–416. [Google Scholar]
- Evans, W.D.; Jones, J.K. Incompatibility of Fragaria. Can. J. Genet. Cytol. 1967, 9, 831–836. [Google Scholar] [CrossRef]
- Sassa, H. Molecular mechanism of the S-RNase-based gametophytic self-incompatibility in fruit trees of Rosaceae. Breed. Sci. 2016, 66, 116–121. [Google Scholar] [CrossRef] [PubMed]
- Bošković, R.I.; Sargent, D.J.; Tobutt, K.R. Genetic evidence that two independent S-loci control RNase- based self-incompatibility in diploid strawberry. J. Exp. Bot. 2010, 61, 755–763. [Google Scholar] [CrossRef] [PubMed]
- Ge, C.F.; Zhang, H.Y.; Chen, B.Y.; Cai, B.H.; Qiao, Y.S. Characteristics and evaluation of self- ross progenies of Fragaria viridis Duch. J. Plant Genet. Resour. 2014, 15, 630–638. [Google Scholar]
- Velasco, R.; Zharkikh, A.; Affourtit, J.; Dhingra, A.; Cestaro, A.; Kalyanaraman, A.; Fontana, P.; Bhatnagar, S.K.; Troggio, M.; Pruss, D.; et al. The genome of the domesticated apple (Malus × domestica Borkh.). Nat. Genet. 2010, 42, 833–839. [Google Scholar] [CrossRef] [PubMed]
- Wu, J.; Wang, Z.W.; Shi, Z.B.; Zhang, S.; Ming, R.; Zhu, S.L.; Khan, M.A.; Tao, S.T.; Korban, S.S.; Wang, H.; et al. The genome of the pear (Pyrus bretschneideri Rehd.). Genome Res. 2013, 23, 396–408. [Google Scholar] [CrossRef] [PubMed]
- Shulaev, V.; Sargent, D.J.; Crowhurst, R.N.; Mockler, T.C.; Folkerts, O.; Delcher, A.L.; Jaiswal, P.; Mockaitis, K.; Liston, A.; Mane, S.P.; et al. The genome of woodland strawberry (Fragaria vesca). Nat. Genet. 2010, 43, 109–116. [Google Scholar] [CrossRef] [PubMed]
- Verde, I.; Abbott, A.G.; Scalabrin, S.; Jung, S.; Shu, S.; Marroni, F.; Zhebentyayeva, T.; Dettori, M.T.; Grimwood, J.; Cattonaro, F.; et al. The high-quality draft genome of peach (Prunus persica) identifies unique patterns of genetic diversity, domestication and genome evolution. Nat. Genet. 2013, 45, 487. [Google Scholar] [CrossRef] [PubMed]
- Zhang, Q.X.; Chen, W.B.; Sun, L.D.; Zhao, F.Y.; Huang, B.Q.; Yang, W.R.; Tao, Y.; Wang, J.; Yuan, Z.Q.; Fan, G.Y.; et al. The genome of Prunus mume. Nat. Commun. 2012, 3, 1318. [Google Scholar] [CrossRef] [PubMed]
- Tennessen, J.A.; Govindarajulu, R.; Liston, A.; Ashman, T.L. Targeted sequence capture provides insight into genome structure and genetics of male sterility in a gynodioecious diploid strawberry, Fragaria vesca ssp. bracteata (Rosaceae). G3 Genes, Genomes Genet. 2013, 3, 1341–1351. [Google Scholar] [CrossRef] [PubMed]
- Darwish, O.; Shahan, R.; Liu, Z.; Slovin, J.P.; Alkharouf, N.W. Re-annotation of the woodland strawberry (Fragaria vesca) genome. BMC Genom. 2015, 16, 29. [Google Scholar] [CrossRef] [PubMed]
- Edger, P.P.; VanBuren, R.; Colle, M.; Poorten, T.J.; Wai, C.M.; Niederhuth, C.E.; Alger, E.I.; Ou, S.J.; Acharya, C.B.; Wang, J.; et al. Single-molecule sequencing and optical mapping yields an improved genome of woodland strawberry (Fragaria vesca) with chromosome-scale contiguity. GigaScience 2017, 7, gix124. [Google Scholar] [CrossRef] [PubMed]
- Li, Y.; Wei, W.; Feng, J.; Luo, H.; Pi, M.; Liu, Z.; Kang, C. Genome re-annotation of the wild strawberry Fragaria vesca using extensive Illumina-and SMRT-based RNA-seq datasets. DNA Res. 2017, 25, 61–70. [Google Scholar] [CrossRef] [PubMed]
- Tennessen, J.A.; Govindarajulu, R.; Ashman, T.L.; Liston, A. Evolutionary origins and dynamics of octoploid strawberry subgenomes revealed by dense targeted capture linkage maps. Genome Biol. Evol. 2014, 6, 3295–3313. [Google Scholar] [CrossRef] [PubMed]
- Hollender, C.A.; Kang, C.; Darwish, O.; Geretz, A.; Matthews, B.F.; Slovin, J.; Alkharouf, N.; Liu, Z.C. Floral transcriptomes in woodland strawberry uncover developing receptacle and anther gene networks. Plant Physiol. 2014, 165, 1062–1075. [Google Scholar] [CrossRef] [PubMed]
- Sargent, D.J.; Passey, T.; Šurbanovski, N.; Lopez, G.E.; Kuchta, P.; Davik, J.; Harrison, R.; Passey, A.; Whitehouse, A.B.; Simpson, D.W. A microsatellite linkage map for the cultivated strawberry (Fragaria x ananassa) suggests extensive regions of homozygosity in the genome that may have resulted from breeding and selection. Theor. Appl. Genet. 2012, 124, 1229–1240. [Google Scholar] [CrossRef] [PubMed]
- Bassil, N.V.; Davis, T.M.; Zhang, H.; Ficklin, S.; Mittmann, M.; Webster, T.; Mahoney, L.; Wood, D.; Alperin, E.S.; Rosyara, U.R.; et al. Development and preliminary evaluation of a 90 K Axiom® SNP array for the allo-octoploid cultivated strawberry Fragaria× ananassa. BMC Genom. 2015, 16, 155. [Google Scholar] [CrossRef] [PubMed]
- Cao, K.; Zhou, Z.; Wang, Q.; Guo, J.; Zhao, P.; Zhu, G.R.; Fang, W.C.; Chen, C.W.; Wang, X.W.; Wang, X.L.; et al. Genome-wide association study of 12 agronomic traits in peach. Nat. Commun. 2016, 7, 13246. [Google Scholar] [CrossRef] [PubMed]
- Kunihisa, M.; Moriya, S.; Abe, K.; Okada, K.; Haji, T.; Hayashi, T.; Kawahara, Y.; Itoh, R.; Itoh, T.; Katayose, Y.; et al. Genomic dissection of a ‘Fuji’ apple cultivar: Re-sequencing, SNP marker development, definition of haplotypes, and QTL detection. Breed. Sci. 2016, 66, 499–515. [Google Scholar] [CrossRef] [PubMed]
- Lee, H.S.; Kim, G.H.; Kwon, S.I.; Kim, J.H.; Kwon, Y.S.; Choi, C. Analysis of ‘Fuji’ apple somatic variants from next-generation sequencing. Genet. Mol. Res. 2016, 15, 17–36. [Google Scholar] [CrossRef] [PubMed]
- Wang, L.; Peng, Q.; Zhao, J.; Ren, F.; Zhou, H.; Wang, W.; Liao, L.; Owitti, A.; Jiang, Q.; Han, Y.P. Evolutionary origin of Rosaceae-specific active non-autonomous hAT elements and their contribution to gene regulation and genomic structural variation. Plant Mol. Biol. 2016, 91, 179–191. [Google Scholar] [CrossRef] [PubMed]
- Cao, K.; Zheng, Z.; Wang, L.; Liu, X.; Zhu, G.G.; Fang, W.C.; Cheng, S.F.; Zeng, P.; Chen, C.W.; Wang, X.W.; et al. Comparative population genomics reveals the domestication history of the peach, Prunus persica, and human influences on perennial fruit crops. Genome Biol. 2014, 15, 415. [Google Scholar] [CrossRef] [PubMed]
- Xing, L.; Zhang, D.; Song, X.; Weng, K.; Shen, Y.W.; Li, Y.M.; Zhao, C.P.; Ma, J.J.; An, N.; Han, M.Y. Genome-wide sequence variation identification and floral-associated trait comparisons based on the re-sequencing of the ‘Nagafu No. 2’and ‘Qinguan’varieties of apple (Malus domestica Borkh.). Front. Plant Sci. 2016, 7, 908. [Google Scholar] [CrossRef] [PubMed]
- Xu, Y.S.; Gao, Z.H.; Tao, J.M.; Jiang, W.H.; Zhang, S.J.; Wang, Q.N.; Qu, S.C. Genome-wide detection of SNP and SV variations to reveal early ripening-related genes in grape. PLoS ONE 2016, 11, e0147749. [Google Scholar] [CrossRef] [PubMed]
- Samad, S.; Kurokura, T.; Koskela, E.; Toivainen, T.; Patel, V.; Mouhu, K.; Sargent, D.J.; Hytönen, T. Additive QTLs on three chromosomes control flowering time in woodland strawberry (Fragaria vesca L.). Hortic. Res. 2017, 4, 17020. [Google Scholar] [CrossRef] [PubMed]
- Franklin-Tong, N.V.E.; Franklin, F.C.H. Gametophytic self-incompatibility inhibits pollen tube growth using different mechanisms. Trends Plant Sci. 2003, 8, 598–605. [Google Scholar] [CrossRef] [PubMed]
- Wu, J.; Gu, C.; Khan, M.A.; Wu, J.Y.; Gao, Y.B.; Wang, C.L.; Korban, S.S.; Zhang, S.L. Molecular determinants and mechanisms of gametophytic self-incompatibility in fruit trees of Rosaceae. Crit. Rev. Plant Sci. 2013, 32, 53–68. [Google Scholar] [CrossRef]
- Gu, Z.; Meng, D.; Yang, Q.; Yuan, H.; Wang, A.; Li, W.; Chen, Q.J.; Zhang, Y.; Wang, D.M.; Li, T.Z. A CBL gene, MdCBL5, controls the calcium signal and influences pollen tube growth in apple. Tree Genet. Genom. 2015, 11, 27. [Google Scholar] [CrossRef]
- Qu, H.; Zhang, Z.; Wu, F.; Wang, Y. The role of Ca2+ and Ca2+ channels in the gametophytic self-incompatibility of Pyrus pyrifolia. Cell Calcium 2016, 60, 299–308. [Google Scholar] [CrossRef] [PubMed]
- Wang, C.L.; Wu, J.; Xu, G.H.; Gao, Y.B.; Chen, G.; Wu, J.Y.; Wu, H.Q.; Zhang, S.L. S-RNase disrupts tip-localized reactive oxygen species and induces nuclear DNA degradation in incompatible pollen tubes of Pyrus pyrifolia. J. Cell Sci. 2010, 123, 4301–4309. [Google Scholar] [CrossRef] [PubMed]
- Shi, D.; Tang, C.; Wang, R.; Gu, C.; Wu, X.; Hu, S.; Jiao, J.; Zhang, S.L. Transcriptome and phytohormone analysis reveals a comprehensive phytohormone and pathogen defence response in pear self-/cross-pollination. Plant Cell Rep. 2017, 36, 1785–1799. [Google Scholar] [CrossRef] [PubMed]
- Lee, C.B.; Kim, S.; McClure, B. A pollen protein, NaPCCP, that binds pistil arabinogalactan proteins also binds phosphatidylinositol 3-phosphate and associates with the pollen tube endomembrane system. Plant Physiol. 2009, 149, 791–802. [Google Scholar] [CrossRef] [PubMed]
- Qu, H.; Guan, Y.; Wang, Y.; Zhang, S.L. PLC-mediated signaling pathway in pollen tubes regulates the gametophytic self-incompatibility of pyrus species. Front. Plant Sci. 2017, 8, 1164. [Google Scholar] [CrossRef] [PubMed]
- Li, W.; Meng, D.; Gu, Z.; Qing, Y.; Hui, Y.; Yang, L.; Chen, Q.J.; Yu, J.; Liu, C.S.; Li, T.Z. Apple S-RNase triggers inhibition of tRNA aminoacylation by interacting with a soluble inorganic pyrophosphatase in growing self-pollen tubes in vitro. New Phytol. 2018, 218, 579–593. [Google Scholar] [CrossRef] [PubMed]
- Wang, C.L.; Xu, G.H.; Jiang, X.T.; Chen, G.; Wu, J.; Wu, H.Q.; Zhang, S.L. S-RNase triggers mitochondrial alteration and DNA degradation in the incompatible pollen tube of Pyrus pyrifolia in vitro. Plant J. 2009, 57, 220–229. [Google Scholar] [CrossRef] [PubMed]
- Graaf, B.H.; Knuiman, B.A.; Derksen, J.; Mariani, C. Characterization and localization of the transmitting tissue-specific PELPIII proteins of Nicotiana tabacum. J. Exp. Bot. 2003, 54, 55–63. [Google Scholar] [CrossRef] [PubMed]
- Liu, Z.; Xu, G.; Zhang, S. Pyrus pyrifolia stylar S-RNase induces alterations in the actin cytoskeleton in self-pollen and tubes in vitro. Protoplasma 2007, 232, 61. [Google Scholar] [CrossRef] [PubMed]
- Xu, G.; Zhang, S.; Yang, Y.; Zhao, C.P.; Wolukau, J.N. Influence of endogenous and exogenous RNases on the variation of pollen cytosolic-free Ca2+ in Pyrus serotina Rehd. Acta Physiologiae Plantarum 2008, 30, 233. [Google Scholar] [CrossRef]
- Matsumoto, D.; Tao, R. Isolation of pollen-expressed actin as a candidate protein interacting with S-RNase in Prunus avium L. J. Jpn.Soc. Hortic. Sci. 2012, 81, 41–47. [Google Scholar] [CrossRef]
- Bai, H.; Cao, Y.; Quan, J.; Dong, L.; Li, Z.Y.; Zhu, Y.B.; Zhu, L.H.; Dong, Z.P.; Li, D.Y. Identifying the genome-wide sequence variations and developing new molecular markers for genetics research by re-sequencing a landrace cultivar of foxtail millet. PLoS ONE 2013, 8, e73514. [Google Scholar] [CrossRef] [PubMed]
- Ge, C.F.; Du, J.K.; Xiong, J.S.; Wang, S.H.; Qiao, Y.S.; Wang, C.Y. Integrative Analysis of Transcriptome and Proteome Provides Comprehensive Insights into the Mechanism of Fragaria viridis Self-Incompatibility. Unpublished work. 2018. [Google Scholar]
- Lam, H.M.; Xu, X.; Liu, X.; Chen, W.; Yang, G.; Wong, F.; Li, M.; He, W.; Qin, N.; Wang, B.; et al. Resequencing of 31 wild and cultivated soybean genomes identifies patterns of genetic diversity and selection. Nat. Genet. 2010, 42, 1053–1059. [Google Scholar] [CrossRef] [PubMed]
- Xu, X.; Liu, X.; Ge, S.; Jensen, J.D.; Hu, F.Y.; Li, X.; Dong, Y.; Gutenkunst, R.N.; Fang, L.; Huang, L.; et al. Resequencing 50 accessions of cultivated and wild rice yields markers for identifying agronomically important genes. Nat. Biotechnol. 2012, 30, 105–111. [Google Scholar] [CrossRef] [PubMed]
- Jiang, S.K.; Sun, S.C.; Bai, L.M.; Ding, G.H.; Wang, T.T.; Xia, T.S.; Jiang, H.; Zhang, X.J.; Zhang, F.M. Resequencing and variation identification of whole genome of the japonica rice variety ‘Longdao24’ with high yield. PLoS ONE 2017, 12, e0181037. [Google Scholar] [CrossRef] [PubMed]
- Lei, J.J.; Xue, L.; Dai, H.P.; Deng, M.Q. Study on Taxonomy of the Strawberry Genus (Fragaria) in the Word. Advances in Strawberry Research (IV); Zhang, Y.T., Lei, J.J., Eds.; China Agriculture Press: Beijing, China, 2015; pp. 349–360. [Google Scholar]
- Staudt, G.; DiMeglio, L.M.; Davis, T.M.; Gerstberger, P. Fragaria × bifera Duch.: Origin and taxonomy. Botanische Jahrbücher Systematik Pflanzengeschichte Pflanzengeographie 2003, 125, 53–72. [Google Scholar] [CrossRef]
- Lin, J.; Davis, T.M. S1 analysis of long PCR heteroduplexes: Detection of chloroplast indel polymorphisms in Fragaria. Theor. Appl. Genet. 2000, 101, 415–420. [Google Scholar] [CrossRef]
- Hazzouri, K.M.; Flowers, J.M.; Visser, H.J.; Khierallah, H.S.M.; Rosas, U.; Pham, G.M.; Meyer, R.S.; Johansen, C.K.; Fresquez, Z.A.; Masmoudi, K.; et al. Whole genome re-sequencing of date palms yields insights into diversification of a fruit tree crop. Nat. Commun. 2015, 6, 8824. [Google Scholar] [CrossRef] [PubMed]
- Lee, W.; Jiang, Z.; Liu, J.; Haverty, P.M.; Guan, Y.H.; Stinson, J.M.; Yue, P.; Zhang, Y.; Pant, K.P.; Bhatt, D.; et al. The mutation spectrum revealed by paired genome sequences from a lung cancer patient. Nature 2010, 465, 473. [Google Scholar] [CrossRef] [PubMed]
- Pleasance, E.D.; Cheetham, R.K.; Stephens, P.J.; McBride, D.J.; Humphray, S.J.; Greenman, C.D.; Varela., I.; Lin, M.L.; Ordóñez, G.R.; Bignell, G.R.; et al. A comprehensive catalogue of somatic mutations from a human cancer genome. Nature 2010, 463, 191–196. [Google Scholar] [CrossRef] [PubMed]
- Slovin, J.P.; Kyle, S.; Folta, K.M. An inbred line of the diploid strawberry Fragaria vesca f.semperflorensfor genomic and molecular genetic studies in the Rosaceae. Plant Methods 2009, 5, 15. [Google Scholar] [CrossRef] [PubMed]
- Meng, D.; Gu, Z.; Li, W.; Wang, A.; Yuan, H.; Yang, Q.; Li, T.Z. Apple MdABCF assists in the transportation of S-RNase into pollen tubes. Plant J. 2014, 78, 990–1002. [Google Scholar] [CrossRef] [PubMed]
- Meng, D.; Gu, Z.; Yuan, H.; Wang, A.; Li, W.; Yang, Q.; Zhu, Y.D.; Li, T.Z. The microtubule cytoskeleton and pollen tube Golgi vesicle system are required for in vitro S-RNase internalization and gametic self-incompatibility in apple. Plant Cell Physiol. 2014, 55, 977–989. [Google Scholar] [CrossRef] [PubMed]
- Kunz, C.; Chang, A.; Faure, J.D.; Clarke, A.E.; Polya, G.M.; Anderson, M.A. Phosphorylation of style S-RNases by Ca2+-dependent protein kinases from pollen tubes. Sex. Plant Reprod. 1996, 9, 25–34. [Google Scholar] [CrossRef]
- Kizildemir, M.; Bolat, I.; Ak, B.E. Effects of foliar boron applications to almond on some pollen features and fruit set. In Proceedings of the VII International Symposium on Mineral Nutrition of Fruit Crops, Chanthaburi, Thailand, 19–25 May 2012; Volume 984, pp. 171–177. [Google Scholar]
- Fang, K.; Zhang, W.; Xing, Y.Q.; Yang, L.; Cao, Q.Q.; Qin, L. Boron toxicity causes multiple effects on Malus domestica pollen tube growth. Front. Plant Sci. 2016, 7, 208. [Google Scholar] [CrossRef] [PubMed]
- Tanaka, N.; Uraguchi, S.; Saito, A.; Kajikawa, M.; Kasai, K.; Sato, Y.; Nagamura, Y.; Fujiwara, T. Roles of pollen-specific boron efflux transporter, OsBOR4, in the rice fertilization process. Plant Cell Physiol. 2013, 54, 2011–2019. [Google Scholar] [CrossRef] [PubMed]
- Kanter, U.; Usadel, B.; Guerineau, F.; Li, Y.; Pauly, M.; Tenhaken, R. The inositol oxygenase gene family of Arabidopsis is involved in the biosynthesis of nucleotide sugar precursors for cell-wall matrix polysaccharides. Planta 2005, 221, 243–254. [Google Scholar] [CrossRef] [PubMed]
- Lorence, A.; Chevone, B.I.; Mendes, P.; Nessler, C.L. Myo-inositol oxygenase offers a possible entry point into plant ascorbate biosynthesis. Plant Physiol. 2004, 134, 1200–1205. [Google Scholar] [CrossRef] [PubMed]
- Sharma, P.; Dubey, R.S. Drought induces oxidative stress and enhances the activities of antioxidant enzymes in growing rice seedlings. Plant Growth Regul. 2005, 46, 209–221. [Google Scholar] [CrossRef]
- Hatakeyama, K.; Ishiguro, S.; Okada, K.; Takasaki, T.; Hinata, K. Antisense inhibition of a nuclear gene, BrDAD1, in Brassica causes male sterility that is restorable with jasmonic acid treatment. Mol. Breed. 2003, 11, 325–336. [Google Scholar] [CrossRef]
- Banno, H.; Chua, N.H. Characterization of the Arabidopsis formin-like protein AFH1 and its interacting protein. Plant Cell Physiol. 2000, 41, 617. [Google Scholar] [CrossRef] [PubMed]
- Soellick, T.R.; Uhrig, J.F. Development of an optimized interaction-mating protocol for large-scale yeast two-hybrid analyses. Genome Biol. 2001, 2, 1–7. [Google Scholar] [CrossRef]
- Herrero, M.; Dickinson, H.G. Pollen tube development in Petunia hybrida following compatible and incompatible intraspecific matings. J. Cell Sci. 1981, 47, 365–383. [Google Scholar] [PubMed]
- Cheung, A.Y.; Wu, H. Overexpression of an Arabidopsis formin stimulates supernumerary actin cable formation from pollen tube cell membrane. Plant Cell 2004, 16, 257–269. [Google Scholar] [CrossRef] [PubMed]
- Chen, J.; Wang, P.; De, B.G.; Zhang, H.H.J.; Tang, C.; Zhang, S.L.; Wu, J.Y. Phosphatidic acid counteracts S-RNase signaling in pollen by stabilizing the actin cytoskeleton. Plant Cell 2018, 30, 1023–1039. [Google Scholar] [CrossRef] [PubMed]
- Li, J.H.; Su, X.X.; Wang, Y.L.; Yang, W.; Pan, Y.; Su, C.G.; Zhang, X.G. Genome-wide identification and expression analysis of the BTB domain-containing protein gene family in tomato. Genes Genom. 2018, 40, 1–15. [Google Scholar] [CrossRef] [PubMed]
- Cabe, M.; Rademacher, D.J.; Karlsson, A.B.; Cherukuri, S.; Bakowska, J.C. PB1 and UBA domains of p62 are essential for aggresome-like induced structure formation. Biochem. Biophys. Res. Commun. 2018, 504, 2306–2311. [Google Scholar] [CrossRef] [PubMed]
- Skoblov, M.; Marakhonov, A.; Marakasova, E.; Guskova, A.; Chandhoke, V.; Birerdinc, A.; Baranova, A. Protein partners of KCTD proteins provide insights about their functional roles in cell differentiation and vertebrate development. Bioessays 2013, 35, 586–596. [Google Scholar] [CrossRef] [PubMed]
- Davies, E.L.; Lim, J.G.Y.; Joo, W.J.; Tam, C.H.; Fuller, M.T. The transcriptional regulator lola is required for stem cell maintenance and germ cell differentiation in the Drosophila testis. Dev. Biol. 2013, 373, 310–321. [Google Scholar] [CrossRef] [PubMed]
- Melnick, A.; Ahmad, K.F.; Arai, S.; Polinger, A.; Ball, H.; Borden, K.L.; Carlile, G.W.; Prive, G.G.; Licht, J.D. In-depth mutational analysis of the promyelocytic leukemia zinc finger BTB/POZ domain reveals motifs and residues required for biological and transcriptional functions. Mol. Cell Biol. 2000, 20, 6550–6567. [Google Scholar] [CrossRef] [PubMed]
- Melnick, A.; Carlile, G.; Ahmad, K.F.; Kiang, C.L.; Corcoran, C.; Bardwell, V.; Prive, G.G.; Licht, J.D. Critical residues within the BTB domain of PLZF and Bcl-6 modulate interaction with corepressors. Mol. Cell. Biol. 2002, 22, 1804–1818. [Google Scholar] [CrossRef] [PubMed]
- Bonchuk, A.; Denisov, S.; Georgiev, P.; Maksimenko, O. Drosophila BTB/POZ domains of “ttk group” can form multimers and selectively interact with each other. J. Mol. Biol. 2011, 412, 423–436. [Google Scholar] [CrossRef] [PubMed]
- Weber, H.; Bernhardt, A.; Dieterle, M.; Hano, P.; Mutlu, A.; Estelle, M.; Genschik, P.; Hellmann, H. Arabidopsis AtCUL3a and AtCUL3b form complexes with members of the BTB/POZ-MATH protein family. Plant Physiol. 2005, 137, 83–93. [Google Scholar] [CrossRef] [PubMed]
- Wang, Z.W.; Zhao, M.Z.; Qiao, Y.M.; Wu, W.M.; Yuan, J. Study on pollen viability of strawberry. J. Northeast Agric. Univ. 2010, 41, 48–52. [Google Scholar]
- Voyiatzis, D.G.; Paraskevopoulou-Paroussi, G. Factors affecting the quality and in vitro germination capacity of strawberry pollen. J. Hortic. Sci. Biotechnol. 2002, 77, 200–203. [Google Scholar] [CrossRef]
- Hiratsuka, S.; Zhang, S.L.; Nakagawa, E.; Kawai, W. Selective inhibition of the growth of incompatible pollen tubes by S-protein in the Japanese pear. Sex. Plant Reprod. 2001, 13, 209–215. [Google Scholar] [CrossRef]
- Li, H.; Durbin, R. Fast and Accurate Short Read Alignment with Burrows–Wheeler Transform; Oxford University Press: Oxford, UK, 2009. [Google Scholar]
- Li, H.; Handsaker, B.; Wysoker, A.; Fennell, T.; Ruan, J.; Homer, N.; Gabor, N.; Marth, G.; Abecasis, G.; Durbin, R. The sequence Alignment/Map (SAM) format and SAMtools. Transpl. Proc. 2009, 19, 1653–1654. [Google Scholar]
- McKenna, A.; Hanna, M.; Banks, E.; Sivachenko, A.; Cibulskis, K.; Kernytsky, A.; Garimella, K.; Altshuler, D.; Gabriel, S.; Daly, M.; et al. The genome analysis toolkit: A MapReduce framework for analyzing next-generation DNA sequencing data. Genome Res. 2010, 20, 1297–1303. [Google Scholar] [CrossRef] [PubMed]
- Ye, K.; Schulz, M.H.; Long, Q.; Apweiler, R.; Ning, Z.; Notes, A. Pindel: A pattern growth approach to detect break points of large deletions and medium sized insertions from paired-end short reads. Bioinformatics 2009, 25, 2865. [Google Scholar] [CrossRef] [PubMed]
- Chen, K.; Wallis, J.W.; Mclellan, M.D.; Larson, D.E.; Kalicki, J.M.; Pohl, C.S.; McGrath, S.D.; Wendl, M.C.; Zhang, Q.Y.; Locke, D.P.; et al. BreakDancer: An algorithm for high-resolution mapping of genomic structural variation. Nat. Methods 2009, 6, 677. [Google Scholar] [CrossRef] [PubMed]
- Cingolani, P.; Platts, A.; Wang, L.L.; Coon, M.; Nguyen, T.; Wang, L.; Land, S.J.; Lu, X.Y.; Ruden, D.M. A program for annotating and predicting the effects of single nucleotide polymorphisms. Fly 2012, 6, 80–92. [Google Scholar] [CrossRef] [PubMed]
- Altschul, S.F.; Madden, T.L. A new generation of protein database search programs. Nucleic Acids Res. 1997, 13, 148. [Google Scholar]
- Deng, Y.Y.; Li, J.Q.; Wu, S.F.; Zhu, Y.P.; Chen, Y.W.; He, F.C. Integrated nr database in protein annotation system and its localization. Comput. Eng. 2006, 32, 71–72. [Google Scholar]
- Ashburner, M.; Ball, C.A.; Blake, J.A.; Botstein, D.; Butler, H.; Cherry, J.M.; Davis, A.P.; Dolinski, K.; Dwight, S.S.; Eppig, J.T.; et al. Gene ontology: Tool for the unification of biology. Nat. Genet. 2000, 25, 25–29. [Google Scholar] [CrossRef] [PubMed]
- Tatusov, R.L.; Galperin, M.Y.; Natale, D.A.; Koonin, E.V. The COG database: A tool for genome-scale analysis of protein functions and evolution. Nucleic Acids Res. 2000, 28, 33–36. [Google Scholar] [CrossRef] [PubMed]
- Kanehisa, M.; Goto, S.; Kawashima, S.; Okuno, Y.; Hattori, M. The KEGG resource for deciphering the genome. Nucleic Acids Res. 2004, 32, D277. [Google Scholar] [CrossRef] [PubMed]
- Livak, K.J.; Schmittgen, T.D. Analysis of relative gene expression data using real-time quantitative PCR and the 2−ΔΔCT method. Methods 2001, 25, 402–408. [Google Scholar] [CrossRef] [PubMed]
- Jia, H.; Yang, J.; Liesche, J.; Liu, X.; Hu, Y.; Si, W.; Guo, J.; Li, J. Ethylene promotes pollen tube growth by affecting actin filament organization via the cGMP-dependent pathway in Arabidopsis thaliana. Protoplasma 2017, 255, 1–12. [Google Scholar] [CrossRef] [PubMed]










| Lines | F. vesca 41 | Ls | Ls-S1-2 | Ls-S2-02 | Ls-S2-11 | Ls-S2-28 | Ls-S2-30 | Ls-S2-37 | Ls-S2-49 | Ls-S2-53 | Ls-S2-57 | Ls-S2-61 | Ls-S2-63 | Ls-S2-76 |
|---|---|---|---|---|---|---|---|---|---|---|---|---|---|---|
| Fruit-set rate | 100% | 20% | 25% | 30% | 40% | 18% | 80% | 11% | 16% | 2% | 12% | 18% | 12% | 75% |
| Aberration rate | 0% | 100% | 100% | 100% | 68% | 86% | 60% | 67% | 86% | 100% | 100% | 100% | 83% | 32% |
| Lines | F. vesca 41 | Ls-S2-53 | Ls-S2-76 |
|---|---|---|---|
| 0 h | 0% (0/150) | ||
| 6 h | |||
| 12 h | |||
| 24 h | 80% (120/150) | 0% (0/150) | 12% (18/150) |
| 48 h | 100% (150/150) | 6% (9/150) | 90% (135/150) |
| 72 h | 100% (150/150) | 6% (9/150) | 89% (134/150) |
| Sample | Total_Reads | Clean_Reads | Clean-Base | Q30 (%) | Mapped (%) | Depth | GC (%) | Cov_Ratio_1× (%) | Duplication (%) | Mean Mapping Quality |
|---|---|---|---|---|---|---|---|---|---|---|
| Ls-S2-53 | 72,849,376 | 63,518,251 | 19,055,475,300 | 91.34 | 91.64 | 80.379 | 39.17 | 90.64 | 33.24% | 52.0563 |
| Ls-S2-76 | 66,877,412 | 58,811,565 | 17,643,469,500 | 91.20 | 92.48 | 75.067 | 39.00 | 90.60 | 31.72% | 52.0845 |
| Gene | Variation Type | Location | F. vesca 41 | Ls-S2-53 | Ls-S2-76 |
|---|---|---|---|---|---|
| FIP2-like | Syn | 29162859 | A | G | G |
| Syn | 29162874 | C | T | T | |
| FRAME_SHIFT | 29162967 | CAC | CAC, A | A | |
| Syn | 29163022 | G | G, T | T | |
| Nonsyn | 29163188 | T | C | C | |
| Syn | 29163231 | T | C | C | |
| Nonsyn | 29163281 | A | G | G | |
| Nonsyn | 29163300 | G | T | T | |
| Syn | 29163420 | C | T | T | |
| Syn | 29163461 | A | A, C | C | |
| Nonsyn | 29163566 | A | C | C | |
| Syn | 29163618 | G | A | A | |
| Syn | 29163639 | C | T | T | |
| Nonsyn | 29163668 | T | T, C | T | |
| FRAME_SHIFT | 29163671 | ACTGTAAATTTGTC AAGTCAAATATCC GGGGA | AATGTAAATTTGTC AAGTCAAATATCC GGGGA, A | AATGTAAATTTGTC AAGTCAAATATCC GGGGA | |
| Syn | 29163735 | G | G, A | G | |
| Syn | 29163764 | G | A | A | |
| Syn | 29163836 | C | T | T |
© 2019 by the authors. Licensee MDPI, Basel, Switzerland. This article is an open access article distributed under the terms and conditions of the Creative Commons Attribution (CC BY) license (http://creativecommons.org/licenses/by/4.0/).
Share and Cite
Du, J.; Lv, Y.; Xiong, J.; Ge, C.; Iqbal, S.; Qiao, Y. Identifying Genome-Wide Sequence Variations and Candidate Genes Implicated in Self-Incompatibility by Resequencing Fragaria viridis. Int. J. Mol. Sci. 2019, 20, 1039. https://doi.org/10.3390/ijms20051039
Du J, Lv Y, Xiong J, Ge C, Iqbal S, Qiao Y. Identifying Genome-Wide Sequence Variations and Candidate Genes Implicated in Self-Incompatibility by Resequencing Fragaria viridis. International Journal of Molecular Sciences. 2019; 20(5):1039. https://doi.org/10.3390/ijms20051039
Chicago/Turabian StyleDu, Jianke, Yan Lv, Jinsong Xiong, Chunfeng Ge, Shahid Iqbal, and Yushan Qiao. 2019. "Identifying Genome-Wide Sequence Variations and Candidate Genes Implicated in Self-Incompatibility by Resequencing Fragaria viridis" International Journal of Molecular Sciences 20, no. 5: 1039. https://doi.org/10.3390/ijms20051039
APA StyleDu, J., Lv, Y., Xiong, J., Ge, C., Iqbal, S., & Qiao, Y. (2019). Identifying Genome-Wide Sequence Variations and Candidate Genes Implicated in Self-Incompatibility by Resequencing Fragaria viridis. International Journal of Molecular Sciences, 20(5), 1039. https://doi.org/10.3390/ijms20051039

