Quantitative Analysis of Carbonic Anhydrase IX Uncovers Hypoxia-Related Functional Differences in Classical Hodgkin Lymphoma Subtypes
Abstract
1. Introduction
2. Results
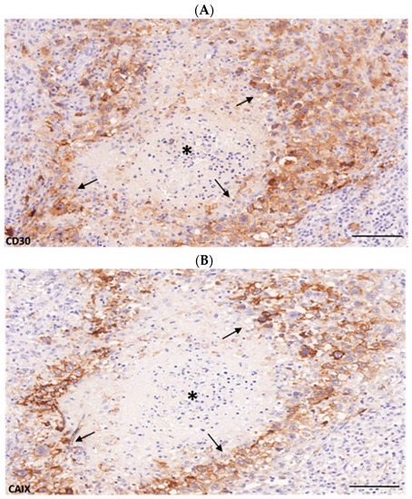
2.1. CD30 and CAIX Expression in Hodgkin’s Lymphoma
2.2. Measurement of CAIX and CD30 Expression on Digital Slides
2.3. Relation of CAIX to CD30 in cHL
3. Discussion
4. Materials and Methods
4.1. Patients and Specimens
4.2. Immunohistochemistry
4.3. Digital Image Analysis and IHC Scoring
4.4. Statistical Analysis
Author Contributions
Funding
Acknowledgements
Conflicts of Interest
Abbreviations
| CAIX | Carbonic anhydrase IX |
| cHL | Classical Hodgkin’s lymphoma |
| HIF1α | Hypoxia Inducible transcriptional Factor-1α |
| HL | Hodgkin lymphoma |
| HRS | Hodgkin–Sternberg–Reed cells |
| IHC | Immunohistochemistry |
| LD | Lymphocyte depleted |
| LR | Lymphocyte rich |
| MC | Mixed cellularity |
| NS | Nodular sclerosis |
| WSD | Whole slide digital analysis |
References
- Swerdlow, S.H.; Campo, E.; Pileri, S.A.; Harris, N.L.; Stein, H.; Siebert, R.; Advani, R.; Ghielmini, M.; Salles, G.A.; Zelenetz, A.D.; et al. The 2016 revision of the World Health Organization classification of lymphoid neoplasms. Blood 2016, 127, 2375–2390. [Google Scholar] [CrossRef] [PubMed]
- Eichenauer, D.A.; Aleman, B.M.P.; André, M.; Federico, M.; Hutchings, M.; Illidge, T.; Engert, A.; Ladetto, M.; ESMO Guidelines Committee. Hodgkin lymphoma: ESMO Clinical Practice Guidelines for diagnosis, treatment and follow-up. Ann. Oncol. 2018, 29, iv19–iv29. [Google Scholar] [CrossRef] [PubMed]
- O’Malley, D.P.; Dogan, A.; Fedoriw, Y.; Medeiros, L.J.; Ok, C.Y.; Salama, M.E. American Registry of Pathology Expert Opinions: Immunohistochemical evaluation of classic Hodgkin lymphoma. Ann. Diagn. Pathol. 2019, 39, 105–110. [Google Scholar] [CrossRef] [PubMed]
- Schwab, U.; Stein, H.; Gerdes, J.; Lemke, H.; Kirchner, H.; Schaadt, M.; Diehl, V. Production of a monoclonal antibody specific for Hodgkin and Sternberg-Reed cells of Hodgkin’s disease and a subset of normal lymphoid cells. Nature 1982, 299, 65–67. [Google Scholar] [CrossRef] [PubMed]
- van der Weyden, C.A.; Pileri, S.A.; Feldman, A.L.; Whisstock, J.; Prince, H.M. Understanding CD30 biology and therapeutic targeting: A historical perspective providing insight into future directions. Blood Cancer J. 2017, 7, e603. [Google Scholar] [CrossRef] [PubMed]
- Horie, R.; Watanabe, T. CD30: Expression and function in health and disease. Semin. Immunol. 1998, 10, 457–470. [Google Scholar] [CrossRef] [PubMed]
- Smith, C.A.; Gruss, H.J.; Davis, T.; Anderson, D.; Farrah, T.; Baker, E.; Sutherland, G.R.; Brannan, C.I.; Copeland, N.G.; Jenkins, N.A.; et al. CD30 antigen, a marker for Hodgkin’s lymphoma, is a receptor whose ligand defines an emerging family of cytokines with homology to TNF. Cell 1993, 73, 1349–1360. [Google Scholar] [CrossRef]
- Semenza, G.L. HIF-1 mediates metabolic responses to intratumoral hypoxia and oncogenic mutations. J. Clin. Investig. 2013, 123, 3664–3671. [Google Scholar] [CrossRef]
- Passam, F.H.; Alexandrakis, M.G.; Kafousi, M.; Fotinou, M.; Darivianaki, K.; Tsirakis, G.; Roussou, P.A.; Stathopoulos, E.N.; Siafakas, N.M. Histological expression of angiogenic factors: VEGF, PDGFRα, and HIF-1α in Hodgkin lymphoma. Pathol. Res. Pract. 2009, 205, 11–20. [Google Scholar] [CrossRef]
- Sedlakova, O. Carbonic anhydrase IX, a hypoxia-induced catalytic component of the pH regulating machinery in tumors. Front. Physiol. 2014, 4, 400. [Google Scholar] [CrossRef]
- Chiche, J.; Ilc, K.; Laferrière, J.; Trottier, E.; Dayan, F.; Mazure, N.M.; Brahimi-Horn, M.C.; Pouysségur, J. Hypoxia-inducible carbonic anhydrase IX and XII promote tumor cell growth by counteracting acidosis through the regulation of the intracellular pH. Cancer Res. 2009, 69, 358–368. [Google Scholar] [CrossRef] [PubMed]
- Tan, E.Y.; Yan, M.; Campo, L.; Han, C.; Takano, E.; Turley, H.; Candiloro, I.; Pezzella, F.; Gatter, K.C.; Millar, E.K.; et al. The key hypoxia regulated gene CAIX is upregulated in basal-like breast tumours and is associated with resistance to chemotherapy. Br. J. Cancer 2009, 100, 405–411. [Google Scholar] [CrossRef] [PubMed]
- Tafreshi, N.K.; Lloyd, M.C.; Proemsey, J.B.; Bui, M.M.; Kim, J.; Gillies, R.J.; Morse, D.L. Evaluation of CAIX and CAXII Expression in Breast Cancer at Varied O2 Levels: CAIX is the Superior Surrogate Imaging Biomarker of Tumor Hypoxia. Mol. Imaging Biol. 2016, 18, 219–231. [Google Scholar] [CrossRef]
- van Kuijk, S.J.A.; Yaromina, A.; Houben, R.; Niemans, R.; Lambin, P.; Dubois, L.J. Prognostic Significance of Carbonic Anhydrase IX Expression in Cancer Patients: A Meta-Analysis. Front. Oncol. 2016, 6, 69. [Google Scholar] [CrossRef] [PubMed]
- Méhes, G.; Matolay, O.; Beke, L.; Czenke, M.; Jóna, Á.; Miltényi, Z.; Illés, Á.; Bedekovics, J. Hypoxia related carbonic anhydrase IX expression is associated with unfavourable response to first-line therapy in classical Hodgkin’s lymphoma. Histopathology 2019, 74, 699–708. [Google Scholar] [CrossRef]
- Farahani, N.; Parwani, A.V.; Pantanowitz, L. Whole slide imaging in pathology: Advantages, limitations, and emerging perspectives. Pathol. Lab. Med. Int. 2015, 7, 23–33. [Google Scholar] [CrossRef]
- Pantanowitz, L.; Sinard, J.H.; Henricks, W.H.; Fatheree, L.A.; Carter, A.B.; Contis, L.; Beckwith, B.A.; Evans, A.J.; Lal, A.; Parwani, A.V.; et al. Validating Whole Slide Imaging for Diagnostic Purposes in Pathology: Guideline from the College of American Pathologists Pathology and Laboratory Quality Center. Arch. Pathol. Lab. Med. 2013, 137, 1710–1722. [Google Scholar] [CrossRef]
- Schäfer, T.; Schäfer, H.; Schmitz, A.; Ackermann, J.; Dichter, N.; Döring, C.; Hartmann, S.; Hansmann, M.L.; Koch, I. Image database analysis of Hodgkin lymphoma. Comput. Biol. Chem. 2013, 46, 1–7. [Google Scholar] [CrossRef]
- Schmitz, A.; Schäfer, T.; Schäfer, H.; Döring, C.; Ackermann, J.; Dichter, N.; Hartmann, S.; Hansmann, M.-L.; Koch, I. Automated Image Analysis of Hodgkin lymphoma. 2012. Available online: http://arxiv.org/abs/1209.3189 (accessed on 18 January 2019).
- Schäfer, H.; Schäfer, T.; Ackermann, J.; Dichter, N.; Döring, C.; Hartmann, S.; Hansmann, M.L.; Koch, I. CD30 cell graphs of Hodgkin lymphoma are not scale-free—An image analysis approach. Bioinformatics 2016, 32, 122–129. [Google Scholar] [CrossRef][Green Version]
- Vaupel, P.; Harrison, L. Tumor Hypoxia: Causative Factors, Compensatory Mechanisms, and Cellular Response. Oncologist 2004, 9, 4–9. [Google Scholar] [CrossRef]
- Sormendi, S.; Wielockx, B. Hypoxia Pathway Proteins As Central Mediators of Metabolism in the Tumor Cells and Their Microenvironment. Front. Immunol. 2018, 9, 40. [Google Scholar] [CrossRef] [PubMed]
- Dhani, N.; Fyles, A.; Hedley, D.; Milosevic, M. The clinical significance of hypoxia in human cancers. Semin. Nucl. Med. 2015, 45, 110–121. [Google Scholar] [CrossRef] [PubMed]
- Glimelius, I.; Qvarnström, F.; Simonsson, M.; Ekwall, A.; Smedby, K.E.; Molin, D.; Amini, R.M. Tissue microarray and digital image analysis: A methodological study with special reference to the microenvironment in Hodgkin lymphoma: Tissue microarray and digital imaging. Histopathology 2012, 61, 26–32. [Google Scholar] [CrossRef] [PubMed]





| N | % | |
|---|---|---|
| CAIX positivity | ||
| Total | 56/101 | 55.44 |
| NS | 46/70 | 65.7 |
| MC | 4/20 | 20.0 |
| LR | 2/7 | 28.6 |
| LD | 4/4 | 100.0 |
| Necrosis | ||
| CAIX+ | 23/27 | 85.0 |
| CAIX- | 4/27 | 14.8 |
| Female | ||
| CAIX+ | 30/48 | 62.5 |
| CAIX- | 18/48 | 37.5 |
| Male | ||
| CAIX+ | 26/53 | 49.0 |
| CAIX- | 27/53 | 50.9 |
| B-symptoms | ||
| CAIX+ | 29/48 | 60.4 |
| CAIX- | 19/48 | 39.5 |
| Age | ||
| Mean | 36.66 | |
| <60 years | 87/101 | 86.1 |
| >60 years | 14/101 | 13.8 |
| n | CD30 Mean | CAIXMean | CAIX/CD30 Ratio | |
|---|---|---|---|---|
| All cases | 101/101 | 45.7 ± 29.3 | 10.54 ± 16.65 | 0.23 ± 0.57 |
| CAIX- total | 45/101 | 37.38 ± 25.34 | 0.37 ± 0.29 | 0.01 ± 0.01 |
| CAIX+ total | 56/101 | 52.37 ± 30.74 | 18.70 ± 18.88 | 0.35 ± 0.61 |
| NS | 46/70 | 49.86 ± 27.49 | 17.46 ± 15.8 | 0.35 ± 0.57 |
| MC | 4/20 | 80.46 ± 52.23 | 11.13 ± 10.62 | 0.13 ± 0.20 |
| LR * | 2/7 | 9.114 ± 9.325 | 7.64 ± 5.63 | 0.83 ± 0.60 |
| LD | 4/4 | 63.16 ± 32.9 | 55.3 ± 36.8 | 0.87 ± 1.12 |
© 2019 by the authors. Licensee MDPI, Basel, Switzerland. This article is an open access article distributed under the terms and conditions of the Creative Commons Attribution (CC BY) license (http://creativecommons.org/licenses/by/4.0/).
Share and Cite
Matolay, O.; Beke, L.; Gyurkovics, A.; Francz, M.; Varjasi, G.; Rejtő, L.; Illés, Á.; Bedekovics, J.; Méhes, G. Quantitative Analysis of Carbonic Anhydrase IX Uncovers Hypoxia-Related Functional Differences in Classical Hodgkin Lymphoma Subtypes. Int. J. Mol. Sci. 2019, 20, 3463. https://doi.org/10.3390/ijms20143463
Matolay O, Beke L, Gyurkovics A, Francz M, Varjasi G, Rejtő L, Illés Á, Bedekovics J, Méhes G. Quantitative Analysis of Carbonic Anhydrase IX Uncovers Hypoxia-Related Functional Differences in Classical Hodgkin Lymphoma Subtypes. International Journal of Molecular Sciences. 2019; 20(14):3463. https://doi.org/10.3390/ijms20143463
Chicago/Turabian StyleMatolay, Orsolya, Lívia Beke, Andrea Gyurkovics, Mónika Francz, Gabriella Varjasi, László Rejtő, Árpád Illés, Judit Bedekovics, and Gábor Méhes. 2019. "Quantitative Analysis of Carbonic Anhydrase IX Uncovers Hypoxia-Related Functional Differences in Classical Hodgkin Lymphoma Subtypes" International Journal of Molecular Sciences 20, no. 14: 3463. https://doi.org/10.3390/ijms20143463
APA StyleMatolay, O., Beke, L., Gyurkovics, A., Francz, M., Varjasi, G., Rejtő, L., Illés, Á., Bedekovics, J., & Méhes, G. (2019). Quantitative Analysis of Carbonic Anhydrase IX Uncovers Hypoxia-Related Functional Differences in Classical Hodgkin Lymphoma Subtypes. International Journal of Molecular Sciences, 20(14), 3463. https://doi.org/10.3390/ijms20143463
