Capsaicin-Sensitive Sensory Nerves Are Necessary for the Protective Effect of Ghrelin in Cerulein-Induced Acute Pancreatitis in Rats
Abstract
:1. Introduction
2. Results
2.1. In Vivo Studies
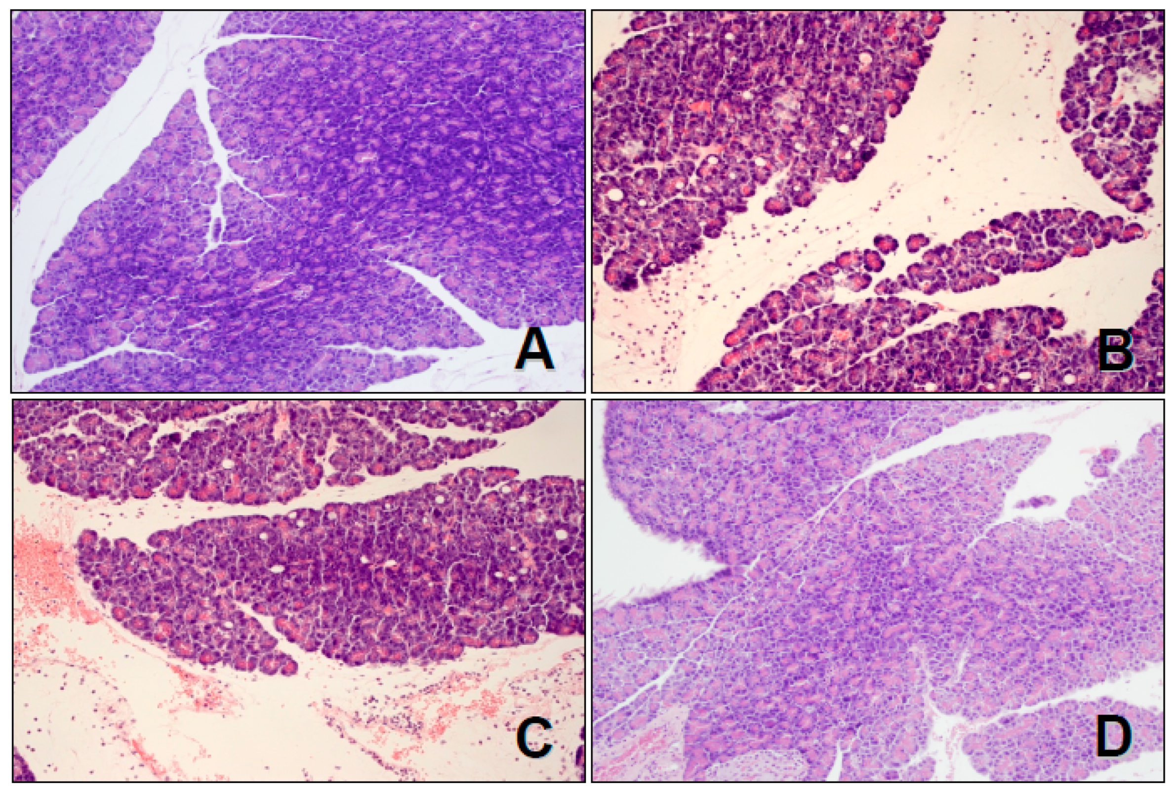
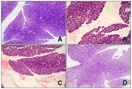
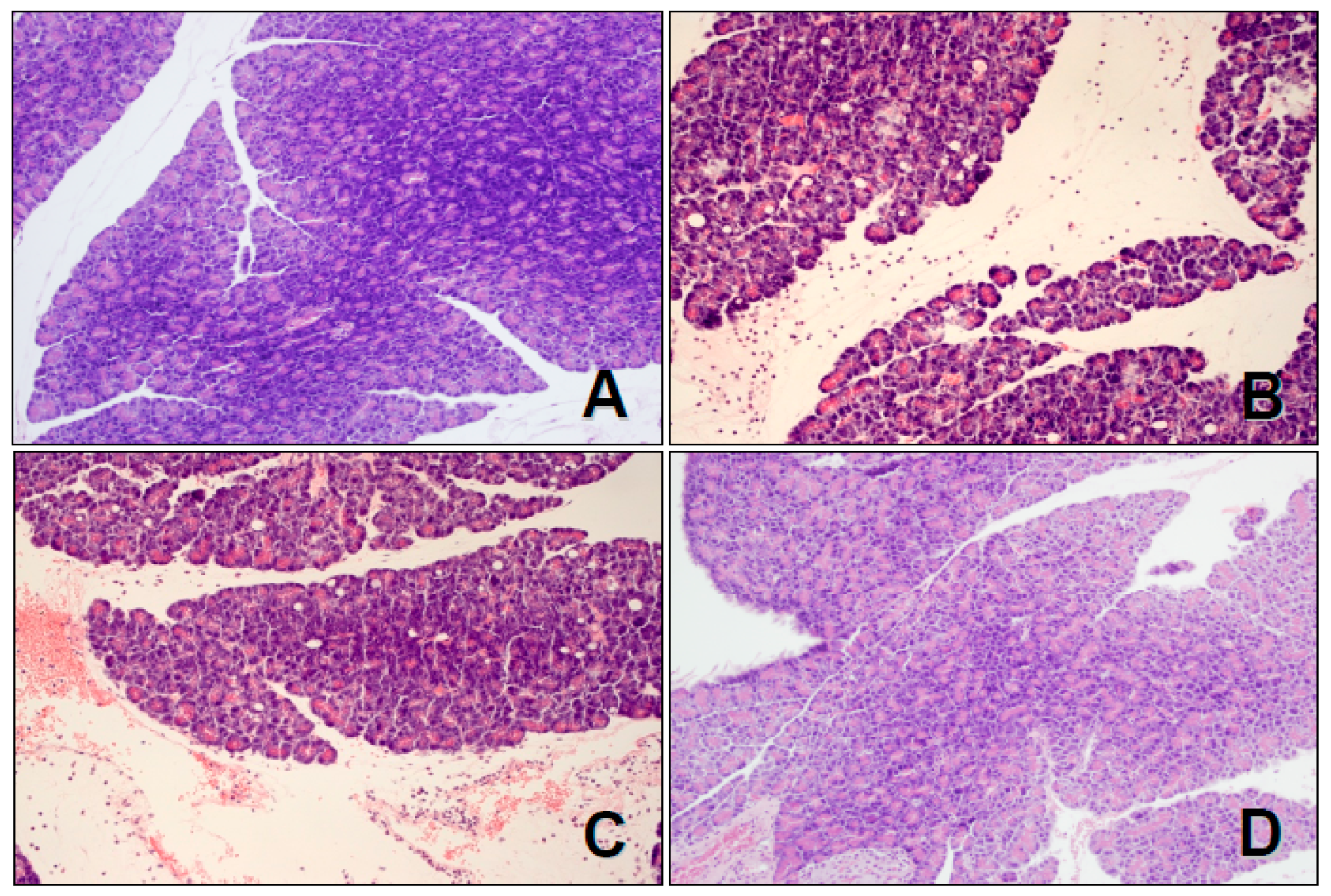
2.1.1. Effect of Ghrelin Administered Intraperitoneally on Pancreatic Weight and Histological Signs of Acute Pancreatitis
2.1.2. Plasma Lipase Activity
2.1.3. Pancreatic Blood Flow
2.1.4. Plasma Concentration of Tumor Necrosis Factor-α (TNF-α) and Interleukin-4
2.2. In Vitro Studies Performed on Isolated Pancreatic Acinar Cells Obtained from Rats with Intact or Deactivated Sensory Nerves
2.2.1. Determination of TNF-α Gene Expression and Protein Synthesis
2.2.2. Determination of Heat Shock Protein 70 (HSP70) Gene Expression and Protein Synthesis
3. Discussion
4. Material and Methods
4.1. In Vivo Studies
4.1.1. Animals and Treatment
- (1)
- Control group: sensory nerves-intact rats treated with saline given as a single intaperitoneal (i.p.) injection followed by subcutaneous (s.c.) infusion for 5 h;
- (2)
- Sensory nerves-intact rats treated with ghrelin given at a dose of 12.5 µg/kg as single i.p. injection followed by s.c. infusion of saline for 5 h;
- (3)
- Sensory nerves-intact rats treated with ghrelin given at a dose of 25 µg/kg as single i.p. injection followed by s.c. infusion of saline for 5 h;
- (4)
- Sensory nerves-intact rats treated with ghrelin given at a dose of 50 µg/kg as single i.p. injection followed by s.c. infusion of saline for 5 h;
- (5)
- Sensory nerves-intact rats treated with saline given as single i.p. injection followed by induction of acute pancreatitis (AP) by s.c. infusion of cerulein for 5 h;
- (6)
- Sensory nerves-intact rats treated with ghrelin given at a dose of 12.5 µg/kg as single i.p. injection followed by induction of AP by s.c. infusion of cerulein for 5 h;
- (7)
- Sensory nerves-intact rats treated with ghrelin given at a dose of 25 µg/kg as single i.p. injection followed by induction of AP by s.c. infusion of cerulein for 5 h;
- (8)
- Sensory nerves-intact rats treated with ghrelin given at a dose of 50 µg/kg as single i.p. injection followed by induction of AP by s.c. infusion of cerulein for 5 h;
- (9)
- Rats with capsaicin deactivation of sensory nerves (CDSN) treated with saline given as single i.p. injection followed by induction of AP by s.c. infusion of cerulein for 5 h;
- (10)
- Rats with CDSN treated with ghrelin given at a dose of 50 µg/kg as single i.p. injection followed by induction of AP by s.c. infusion of cerulein for 5 h; and
- (11)
- Rats with CDSN treated with ghrelin given at a dose of 50 µg/kg as single i.p. injection followed by s.c. infusion of saline for 5 h.
4.1.2. Determination of Pancreatic Blood Flow
4.1.3. Biochemical Parameters
4.1.4. Pancreatic Weight and Histological Examination
- pancreatic edema (0—no edema, 1—interlobar edema, 2—interlobar and moderate intralobular edema, 3—severe interlobula and intralobular edema);
- leukocyte inflammatory infiltration (0—Absent, 1—scarce perivascular infiltration, 2—moderate perivascular and scarce diffuse infiltration, 3—abundant diffuse infiltration);
- vacuolozation of acinar cells (0—absent, 1—involving less than 25% of acinar cells, 2—involving from 25 to 50% acinar cells, 3—involving more than 50% of acinar cells);
- necrosis of acinar cells (0—absent, 1—involving less than 15% of acinar cells, 2—involving from 15 to 35% acinar cells, 3—involving more than 35% of acinar cells); and
- hemorrhage (0—absent, 1 from 1 to 2 foci per slide, 2—from 3 to 5 foci per slide, 3—more than 5 foci per slide).
4.2. In Vitro Studies
- (1)
- acinar cells obtained from control sensory nerves-intact rats treated i.p. with saline; after isolation, acinar cells incubated in cerulein-free solution;
- (2)
- acinar cells obtained from sensory nerves-intact rats treated i.p. with ghrelin at a dose of 50 µg/kg; after isolation, acinar cells incubated in cerulein-free solution;
- (3)
- acinar cells obtained from sensory nerves-intact rats treated i.p. with saline; after isolation, acinar cells incubated in solution containing cerulein at a concentration of 10−8 M;
- (4)
- acinar cells obtained from sensory nerves-intact rats treated i.p. with ghrelin at a dose of 50 µg/kg; after isolation, acinar cells incubated in solution containing cerulein at a concentration of 10−8 M;
- (5)
- acinar cells obtained from rats with CDSN treated i.p. with saline; after isolation, acinar cells incubated in solution containing cerulein at a concentration of 10−8 M;
- (6)
- acinar cells obtained from rats with CDSN treated i.p. with ghrelin at a dose of 50 µg/kg; after isolation, acinar cells incubated in solution containing cerulein at a concentration of 10−8 M; and
- (7)
- acinar cells obtained from rats with CDSN treated i.p. with ghrelin at a dose of 50 µg/kg; after isolation, acinar cells incubated in cerulein-free solution.
4.2.1. Determination of TNF-α and Heat Shock Protein 70 (HSP70) Gene Expression by Reverse Transcription-Polymerase Chain Reaction (RT-PCR)
4.2.2. Determination of TNF-α and HSP70 Protein Synthesis by Immunoblotting
4.3. Statistical Analysis
5. Conclusions
Acknowledgments
Author Contributions
Conflicts of Interest
References
- Kojima, M.; Hosoda, H.; Date, Y.; Nakazato, M.; Matsuo, H.; Kangawa, K. Ghrelin is a growth-hormone releasing acylated peptide from stomach. Nature 1999, 402, 656–660. [Google Scholar] [CrossRef] [PubMed]
- Ariyasu, H.; Takaya, K.; Tagami, T.; Ogawa, Y.; Hosoda, K.; Akamizu, T.; Suda, M.; Koh, T.; Natsui, K.; Toyooka, S.; et al. Stomach is a major source of circulating ghrelin, and feeding state determines plasma ghrelin-like immunoreactivity levels in humans. J. Clin. Endocrinol. Metab. 2001, 86, 4753–4758. [Google Scholar] [CrossRef] [PubMed]
- Ceranowicz, P.; Warzecha, Z.; Dembinski, A. Peptidyl hormones of endocrine cells origin in the gut-their discovery and physiological relevance. J. Physiol. Pharmacol. 2015, 66, 11–27. [Google Scholar] [PubMed]
- Davenport, A.P.; Bonner, T.I.; Foord, S.M.; Harmar, A.J.; Neubig, R.R.; Pin, J.P.; Spedding, M.; Kojima, M.; Kangawa, K. International Union of Pharmacology. LVI. Ghrelin receptor nomenclature, distribution, and function. Pharmacol. Rev. 2005, 57, 541–546. [Google Scholar] [CrossRef] [PubMed]
- Tannenbaum, G.S.; Lapointe, M.; Beaudet, A.; Howard, A.D. Expression of growth hormone secretagogue-receptors by growth hormone-releasing hormone neurons in the mediobasal hypothalamus. Endocrinology 1998, 139, 4420–4423. [Google Scholar] [CrossRef] [PubMed]
- Tschöp, M.; Flora, D.B.; Mayer, J.P.; Heiman, M.L. Hypophysectomy prevents ghrelin-induced adiposity and increases gastric ghrelin secretion in rats. Obes. Res. 2002, 10, 991–999. [Google Scholar] [CrossRef] [PubMed]
- Bagnasco, M.; Tulipano, G.; Melis, M.R.; Argiolas, A.; Cocchi, D.; Muller, E.E. Endogenous ghrelin is an orexigenic peptide acting in the arcuate nucleus in response to fasting. Regul. Pept. 2003, 111, 161–167. [Google Scholar] [CrossRef]
- Yokote, R.; Sato, M.; Matsubara, S.; Ohye, H.; Niimi, M.; Murao, K.; Takahara, J. Molecular cloning and gene expression of growth hormone-releasing peptide receptor in rat tissues. Peptides 1998, 19, 15–20. [Google Scholar] [CrossRef]
- Gnanapavan, S.; Kola, B.; Bustin, S.A.; Morris, D.G.; McGee, P.; Fairclough, P.; Bhattacharya, S.; Carpenter, R.; Grossman, A.B.; Korbonits, M. The tissue distribution of the mRNA of ghrelin and subtypes of its receptor, GHS-R, in humans. J. Clin. Endocrinol. Metab. 2002, 87, 2988–2991. [Google Scholar] [CrossRef] [PubMed]
- Dixit, V.D.; Schaffer, E.M.; Pyle, R.S.; Collins, G.D.; Sakthivel, S.K.; Palaniappan, R.; Lillard, J.W., Jr.; Taub, D.D. Ghrelin inhibits leptin- and activation-induced proinflammatory cytokine expression by human monocytes and T cells. J. Clin. Investig. 2004, 114, 57–66. [Google Scholar] [CrossRef] [PubMed]
- Sibilia, V.; Rindi, G.; Pagani, F.; Rapetti, D.; Locatelli, V.; Torsello, A.; Campanini, N.; Deghenghi, R.; Netti, C. Ghrelin protects against ethanol-induced gastric ulcers in rats: Studies on the mechanisms of action. Endocrinology 2003, 144, 353–359. [Google Scholar] [CrossRef] [PubMed]
- Brzozowski, T.; Konturek, P.C.; Konturek, S.J.; Kwiecień, S.; Drozdowicz, D.; Bielanski, W.; Pajdo, R.; Ptak, A.; Nikiforuk, A.; Pawlik, W.W.; et al. Exogenous and endogenous ghrelin in gastroprotection against stress-induced gastric damage. Regul. Pept. 2004, 120, 39–51. [Google Scholar] [CrossRef] [PubMed]
- Işeri, S.O.; Sener, G.; Yüksel, M.; Contuk, G.; Cetinel, S.; Gedik, N.; Yegen, B.C. Ghrelin against alendronate-induced gastric damage in rats. J. Endocrinol. 2005, 187, 399–406. [Google Scholar] [CrossRef] [PubMed]
- Warzecha, Z.; Kownacki, P.; Ceranowicz, P.; Dembiński, M.; Cieszkowski, J.; Dembiński, A. Ghrelin accelerates the healing of oral ulcers in non-sialoadenectomized and sialoadenectomized rats. J. Physiol. Pharmacol. 2013, 64, 657–668. [Google Scholar] [PubMed]
- Ceranowicz, P.; Warzecha, Z.; Dembinski, A.; Sendur, R.; Cieszkowski, J.; Ceranowicz, D.; Pawlik, W.W.; Kuwahara, A.; Kato, I.; Konturek, P.C. Treatment with ghrelin accelerates the healing of acetic acid-induced gastric and duodenal ulcers in rats. J. Physiol. Pharmacol. 2009, 60, 87–98. [Google Scholar] [PubMed]
- Warzecha, Z.; Ceranowicz, P.; Dembinski, M.; Cieszkowski, J.; Ginter, G.; Ptak-Belowska, A.; Dembinski, A. Involvement of cyclooxygenase-1 and cyclooxygenase-2 activity in the therapeutic effect of ghrelin in the course of ethanol-induced gastric ulcers in rats. J. Physiol. Pharmacol. 2014, 65, 95–106. [Google Scholar] [PubMed]
- Warzecha, Z.; Ceranowicz, D.; Dembiński, A.; Ceranowicz, P.; Cieszkowski, J.; Kuwahara, A.; Kato, I.; Dembiński, M.; Konturek, P.C. Ghrelin accelerates the healing of cysteamine-induced duodenal ulcers in rats. Med. Sci. Monit. 2012, 18, BR181–BR187. [Google Scholar] [CrossRef] [PubMed]
- Konturek, P.C.; Brzozowski, T.; Engel, M.; Burnat, G.; Gaca, P.; Kwiecien, S.; Pajdo, R.; Konturek, S.J. Ghrelin ameliorates colonic inflammation. Role of nitric oxide and sensory nerves. J. Physiol. Pharmacol. 2009, 60, 41–47. [Google Scholar] [PubMed]
- Gonzalez-Rey, E.; Chorny, A.; Delgado, M. Therapeutic action of ghrelin in a mouse model of colitis. Gastroenterology 2006, 130, 1707–1720. [Google Scholar] [CrossRef] [PubMed]
- Pamukcu, O.; Kumral, Z.N.; Ercan, F.; Yegen, B.C.; Ertem, D. Anti-inflammatory effect of obestatin and ghrelin in dextran sulfate sodium-induced colitis in rats. J. Pediatr. Gastroenterol. Nutr. 2013, 57, 211–218. [Google Scholar] [CrossRef] [PubMed]
- Matuszyk, A.; Ceranowicz, D.; Warzecha, Z.; Ceranowicz, P.; Fyderek, K.; Gałązka, K.; Cieszkowski, J.; Bonior, J.; Jaworek, J.; Pihut, M.; et al. The influence of ghrelin on the development of dextran sodium sulfate-induced colitis in rats. BioMed Res. Int. 2015, 2015, 718314. [Google Scholar] [CrossRef] [PubMed]
- Maduzia, D.; Matuszyk, A.; Ceranowicz, D.; Warzecha, Z.; Ceranowicz, P.; Fyderek, K.; Galazka, K.; Dembinski, A. The influence of pretreatment with ghrelin on the development of acetic-acid-induced colitis in rats. J. Physiol. Pharmacol. 2015, 66, 875–885. [Google Scholar] [PubMed]
- Matuszyk, A.; Ceranowicz, P.; Warzecha, Z.; Cieszkowski, J.; Ceranowicz, D.; Gałązka, K.; Bonior, J.; Jaworek, J.; Bartuś, K.; Gil, K.; et al. Exogenous ghrelin accelerates the healing of acetic acid-induced colitis in rats. Int. J. Mol. Sci. 2016, 17, E1455. [Google Scholar] [CrossRef] [PubMed]
- Dembinski, A.; Warzecha, Z.; Ceranowicz, P.; Tomaszewska, R.; Stachura, J.; Konturek, S.J.; Konturek, P.C. Ghrelin attenuates the development of acute pancreatitis in rats. J. Physiol. Pharmacol. 2003, 54, 561–573. [Google Scholar] [PubMed]
- Zhou, X.; Xue, C. Ghrelin inhibits the development of acute pancreatitis and nuclear factor κB activation in pancreas and liver. Pancreas 2009, 38, 752–757. [Google Scholar] [CrossRef] [PubMed]
- Dembiński, A.; Warzecha, Z.; Ceranowicz, P.; Cieszkowski, J.; Pawlik, W.W.; Tomaszewska, R.; Kuśnierz-Cabala, B.; Naskalski, J.W.; Kuwahara, A.; Kato, I. Role of growth hormone and insulin-like growth factor-1 in the protective effect of ghrelin in ischemia/reperfusion-induced acute pancreatitis. Growth Horm. IGF Res. 2006, 16, 348–356. [Google Scholar] [CrossRef] [PubMed]
- Warzecha, Z.; Ceranowicz, P.; Dembinski, A.; Cieszkowski, J.; Kusnierz-Cabala, B.; Tomaszewska, R.; Kuwahara, A.; Kato, I. Therapeutic effect of ghrelin in the course of cerulein-induced acute pancreatitis in rats. J. Physiol. Pharmacol. 2010, 61, 419–427. [Google Scholar] [PubMed]
- Ceranowicz, D.; Warzecha, Z.; Dembinski, A.; Ceranowicz, P.; Cieszkowski, J.; Kusnierz-Cabala, B.; Tomaszewska, R.; Kuwahara, A.; Kato, I. Role of hormonal axis, growth hormone—IGF-1, in the therapeutic effect of ghrelin in the course of cerulein-induced acute pancreatitis. J. Physiol. Pharmacol. 2010, 61, 599–606. [Google Scholar] [PubMed]
- Bukowczan, J.; Warzecha, Z.; Ceranowicz, P.; Kuśnierz-Cabala, B.; Tomaszewska, R.; Dembiński, A. Therapeutic effect of ghrelin in the course of ischemia/reperfusion-induced acute pancreatitis. Curr. Pharm. Des. 2015, 21, 2284–2290. [Google Scholar] [CrossRef] [PubMed]
- Zhou, X.; Xue, C. Ghrelin attenuates acute pancreatitis-induced lung injury and inhibits substance P expression. Am. J. Med. Sci. 2010, 339, 49–54. [Google Scholar] [CrossRef] [PubMed]
- Holzer, P. Capsaicin: Cellular targets, mechanisms of action, and selectivity for thin sensory neurons. Pharmacol. Rev. 1991, 43, 143–201. [Google Scholar] [PubMed]
- Szolcsányi, J. Forty years in capsaicin research for sensory pharmacology and physiology. Neuropeptides 2004, 38, 377–384. [Google Scholar] [CrossRef] [PubMed]
- Caterina, M.J.; Schumacher, M.A.; Tominaga, M.; Rosen, T.A.; Levine, J.D.; Julius, D. The capsaicin receptor: A heat-activated ion channel in the pain pathway. Nature 1997, 389, 816–824. [Google Scholar] [PubMed]
- Hayes, P.; Meadows, H.J.; Gunthorpe, M.J.; Harries, M.H.; Duckworth, D.M.; Cairns, W.; Harrison, D.C.; Clarke, C.E.; Ellington, K.; Prinjha, R.K.; et al. Cloning and functional expression of a human orthologue of rat vanilloid receptor-1. Pain 2000, 88, 205–215. [Google Scholar] [CrossRef]
- Wimalawansa, S.J. The effects of neonatal capsaicin on plasma levels and tissue contents of CGRP. Peptides 1993, 14, 247–252. [Google Scholar] [CrossRef]
- Clementi, G.; Amico-Roxas, M.; Caruso, A.; Cutuli, V.M.; Maugeri, S.; Prato, A. Protective effects of calcitonin gene-related peptide in different experimental models of gastric ulcers. Eur J. Pharmacol. 1993, 238, 101–104. [Google Scholar] [CrossRef]
- Holzer, P.; Lippe, I.T. Stimulation of afferent nerve endings by intragastric capsaicin protects against ethanol-induced damage of gastric mucosa. Neuroscience 1988, 27, 981–987. [Google Scholar] [CrossRef]
- Brzozowski, T.; Konturek, S.J.; Pytko-Polończyk, J.; Warzecha, Z. Gastric adaptation to stress: Role of sensory nerves, salivary glands and adrenal glands. Scand. J. Gastroenterol. 1995, 30, 6–16. [Google Scholar] [CrossRef] [PubMed]
- Takeuchi, K.; Ohuchi, T.; Okabe, S. Capsaicin-sensitive sensory neurons in healing gastric lesions induced by HCl in rats. Dig. Dis. Sci. 1994, 39, 2543–2546. [Google Scholar] [CrossRef] [PubMed]
- Dembinski, A.; Warzecha, Z.; Konturek, P.J.; Ceranowicz, P.; Konturek, S.J. Influence of capsaicin-sensitive afferent neurons and nitric oxide (NO) on cerulein-induced pancreatitis in rats. Int. J. Pancreatol. 1996, 19, 179–189. [Google Scholar] [PubMed]
- Dembiński, A.; Warzecha, Z.; Ceranowicz, P.; Jaworek, J.; Sendur, R.; Knafel, A.; Dembiński, M.; Bilski, J.; Pawlik, W.W.; Tomaszewska, R.; et al. Stimulation of sensory nerves and CGRP attenuate pancreatic damage in ischemia/reperfusion induced pancreatitis. Med. Sci. Monit. 2003, 9, BR418–BR425. [Google Scholar] [PubMed]
- Warzecha, Z.; Dembiński, A.; Jaworek, J.; Ceranowicz, P.; Szlachcic, A.; Walocha, J.; Konturek, S.J. Role of sensory nerves in pancreatic secretion and caerulein-induced pancreatitis. J. Physiol. Pharmacol. 1997, 48, 43–58. [Google Scholar] [PubMed]
- Warzecha, Z.; Dembiński, A.; Ceranowicz, P.; Konturek, P.C.; Stachura, J.; Konturek, S.J.; Niemiec, J. Protective effect of calcitonin gene-related peptide against caerulein-induced pancreatitis in rats. J. Physiol. Pharmacol. 1997, 48, 775–787. [Google Scholar] [PubMed]
- Warzecha, Z.; Dembiński, A.; Ceranowicz, P.; Konturek, P.C.; Stachura, J.; Tomaszewska, R.; Konturek, S.J. Calcitonin gene-related peptide can attenuate or augment pancreatic damage in caerulein-induced pancreatitis in rats. J. Physiol. Pharmacol. 1999, 50, 49–62. [Google Scholar] [PubMed]
- Warzecha, Z.; Dembiński, A.; Ceranowicz, P.; Konturek, P.C.; Niemiec, J.; Stachura, J.; Tomaszewska, R.; Konturek, S.J. The influence of sensory nerves and CGRP on the pancreatic regeneration after repeated episodes of acute pancreatitis in rats. J. Physiol. Pharmacol. 2000, 51, 449–461. [Google Scholar] [PubMed]
- Grady, E.F.; Yoshimi, S.K.; Maa, J.; Valeroso, D.; Vartanian, R.K.; Rahim, S.; Kim, E.H.; Gerard, C.; Gerard, N.; Bunnett, N.W.; et al. Substance P mediates inflammatory oedema in acute pancreatitis via activation of the neurokinin-1 receptor in rats and mice. Br. J. Pharmacol. 2000, 130, 505–512. [Google Scholar] [CrossRef] [PubMed]
- Hegde, A.; Bhatia, M. Neurogenic inflammation in acute pancreatitis. JOP 2005, 6, 417–421. [Google Scholar] [PubMed]
- Li, Q.; Peng, J. Sensory nerves and pancreatitis. Gland Surg. 2014, 3, 284–292. [Google Scholar] [CrossRef] [PubMed]
- Dervenis, C.; Johnson, C.D.; Bassi, C.; Bradley, E.; Imrie, C.W.; McMahon, M.J.; Modlin, I. Diagnosis, objective assessment of severity, and management of acute pancreatitis. Santorini consensus conference. Int. J. Pancreatol. 1999, 25, 195–210. [Google Scholar] [PubMed]
- Fabre, A.; Boulogne, O.; Gaudart, J.; Mas, E.; Olives, J.P.; Sarles, J. Evaluation of serum lipase as predictor of severity of acute pancreatitis in children. J. Pediatr. Gastroenterol. Nutr. 2014, 58, e41–e42. [Google Scholar] [CrossRef] [PubMed]
- Keck, T.; Friebe, V.; Warshaw, A.L.; Antoniu, B.A.; Waneck, G.; Benz, S.; Hopt, U.T.; Fernández-del-Castillo, C. Pancreatic proteases in serum induce leukocyte-endothelial adhesion and pancreatic microcirculatory failure. Pancreatology 2005, 5, 241–250. [Google Scholar] [CrossRef] [PubMed]
- Fink, G.W.; Norman, J.G. Intrapancreatic interleukin-1β gene expression by specific leukocyte populations during acute pancreatitis. J. Surg. Res. 1996, 63, 369–373. [Google Scholar] [CrossRef] [PubMed]
- Kingsnorth, A. Role of cytokines and their inhibitors in acute pancreatitis. Gut 1997, 40, 1–4. [Google Scholar] [CrossRef] [PubMed]
- Adler, G.; Rohr, G.; Kern, H.F. Alteration of membrane fusion as a cause of acute pancreatitis in the rat. Dig. Dis. Sci. 1982, 27, 993–1002. [Google Scholar] [CrossRef] [PubMed]
- Adler, G.; Hahn, C.; Kern, H.F.; Rao, K.N. Cerulein-induced pancreatitis in rats: Increased lysosomal enzyme activity and autophagocytosis. Digestion 1985, 32, 10–18. [Google Scholar] [CrossRef] [PubMed]
- Saluja, A.; Hashimoto, S.; Saluja, M.; Powers, R.E.; Meldolesi, J.; Steer, M.L. Subcellular redistribution of lysosomal enzymes during caerulein-induced pancreatitis. Am. J. Physiol. 1987, 253, G508–G516. [Google Scholar] [PubMed]
- Saito, I.; Hashimoto, S.; Saluja, A.; Steer, M.L.; Meldolesi, J. Intracellular transport of pancreatic zymogens during caerulein supramaximal stimulation. Am. J. Physiol. 1987, 253, G517–G526. [Google Scholar] [PubMed]
- Sah, R.P.; Saluja, A. Molecular mechanisms of pancreatic injury. Curr. Opin. Gastroenterol. 2011, 27, 444–451. [Google Scholar] [CrossRef] [PubMed]
- Robles, L.; Vaziri, N.D.; Ichii, H. Role of oxidative stress in the pathogenesis of pancreatitis: Effect of antioxidant therapy. Pancreat. Disord. Ther. 2013, 3, 112. [Google Scholar] [CrossRef] [PubMed]
- Song, Y.; Buchwald, P. TNF superfamily protein-protein interactions: Feasibility of small-molecule modulation. Curr. Drug Targets 2015, 16, 393–408. [Google Scholar] [CrossRef] [PubMed]
- Malleo, G.; Mazzon, E.; Siriwardena, A.K.; Cuzzocrea, S. TNF-α as a therapeutic target in acute pancreatitis-lessons from experimental models. Sci. World J. 2007, 7, 431–448. [Google Scholar] [CrossRef] [PubMed]
- Malleo, G.; Mazzon, E.; Siriwardena, A.K.; Cuzzocrea, S. Role of tumor necrosis factor-α in acute pancreatitis: From biological basis to clinical evidence. Shock 2007, 28, 130–140. [Google Scholar] [CrossRef] [PubMed]
- Papachristou, G.I. Prediction of severe acute pancreatitis: Current knowledge and novel insights. World J. Gastroenterol. 2008, 14, 6273–6275. [Google Scholar] [CrossRef] [PubMed]
- Hart, P.H.; Vitti, G.F.; Burgess, D.R.; Whitty, G.A.; Piccoli, D.S.; Hamilton, J.A. Potential anti-inflammatory effects of interleukin 4: Suppression of human monocyte tumor necrosis factor α, interleukin 1, and prostaglandin E2. Proc. Natl. Acad. Sci. USA 1989, 86, 3803–3807. [Google Scholar] [CrossRef] [PubMed]
- Vannier, E.; Miller, L.C.; Dinarello, C.A. Coordinated anti-inflammatory effects of interleukin 4: Interleukin 4 suppresses interleukin 1 production but up-regulates gene expression and synthesis of interleukin 1 receptor antagonist. Proc. Natl. Acad. Sci. USA 1992, 89, 4076–4080. [Google Scholar] [CrossRef] [PubMed]
- Zhang, C.; Ge, C.L.; Guo, R.X.; He, S.G. Effect of IL-4 on altered expression of complement activation regulators in rat pancreatic cells during severe acute pancreatitis. World J. Gastroenterol. 2005, 11, 6770–6774. [Google Scholar] [CrossRef] [PubMed]
- Kilciler, G.; Musabak, U.; Bagci, S.; Yesilova, Z.; Tuzun, A.; Uygun, A.; Gulsen, M.; Oren, S.; Oktenli, C.; Karaeren, N. Do the changes in the serum levels of IL-2, IL-4, TNFα, and IL-6 reflect the inflammatory activity in the patients with post-ERCP pancreatitis? Clin. Dev. Immunol. 2008, 2008, 481560. [Google Scholar] [CrossRef] [PubMed]
- Xue, J.; Sharma, V.; Hsieh, M.H.; Chawla, A.; Murali, R.; Pandol, S.J.; Habtezion, A. Alternatively activated macrophages promote pancreatic fibrosis in chronic pancreatitis. Nat. Commun. 2015, 6, 7158. [Google Scholar] [CrossRef] [PubMed]
- Gullo, L.; Cavicchi, L.; Tomassetti, P.; Spagnolo, C.; Freyrie, A.; D’Addato, M. Effects of ischemia on the human pancreas. Gastroenterology 1996, 111, 1033–1038. [Google Scholar] [CrossRef]
- Lonardo, A.; Grisendi, A.; Bonilauri, S.; Rambaldi, M.; Selmi, I.; Tondelli, E. Ischemic necrotizing pancreatitis after cardiac surgery. A case report and review of the literature. Ital. J. Gastroenterol. Hepatol. 1999, 31, 872–875. [Google Scholar] [PubMed]
- Warshaw, A.L.; O’Hara, P.J. Susceptibility of the pancreas to ischemic injury in shock. Ann. Surg. 1978, 188, 197–201. [Google Scholar] [CrossRef] [PubMed]
- Sakorafas, G.H.; Tsiotos, G.G.; Bower, T.C.; Sarr, M.G. Ischemic necrotizing pancreatitis. Two case reports and review of literature. Int. J. Pancreatol. 1998, 24, 117–121. [Google Scholar] [PubMed]
- Vollmar, B.; Menger, M.D. Microcirculatory dysfunction in acute pancreatitis. A new concept of pathogenesis involving vasomotion-associated arteriolar constriction and dilation. Pancreatology 2003, 3, 181–190. [Google Scholar] [CrossRef] [PubMed]
- Waldner, H. Vascular mechanisms to induce acute pancreatitis. Eur. Surg. Res. 1992, 24 (Suppl. S1), 62–67. [Google Scholar] [CrossRef] [PubMed]
- Ceranowicz, P.; Cieszkowski, J.; Warzecha, Z.; Dembiński, A. Experimental models of acute pancreatitis. Postep. Hig. Med. Doswiadczalnej 2015, 69, 264–269. [Google Scholar] [CrossRef] [PubMed]
- Dembiński, A.; Warzecha, Z.; Ceranowicz, P.; Stachura, J.; Tomaszewska, R.; Konturek, S.J.; Sendur, R.; Dembiński, M.; Pawlik, W.W. Pancreatic damage and regeneration in the course of ischemia-induced acute pancreatitis in rats. J. Physiol. Pharmacol. 2001, 52, 221–236. [Google Scholar] [PubMed]
- Klar, E.; Messmer, K.; Warshaw, A.L.; Herfarth, C. Pancreatic ischemia in experimental acute pancreatitis: Mechanism, significance and therapy. Br. J. Surg. 1990, 77, 1205–1210. [Google Scholar] [CrossRef] [PubMed]
- Warzecha, Z.; Dembinski, A.; Ceranowicz, P.; Konturek, S.J.; Tomaszewska, R.; Stachura, J.; Konturek, P.C. IGF-1 stimulates production of interleukin-10 and inhibits development of caerulein-induced pancreatitis. J. Physiol. Pharmacol. 2003, 54, 575–590. [Google Scholar] [PubMed]
- Hernández-Barbáchano, E.; San Román, J.I.; López, M.A.; Coveñas, R.; López-Novoa, J.M.; Calvo, J.J. Beneficial effects of vasodilators in preventing severe acute pancreatitis shock. Pancreas 2006, 32, 335–342. [Google Scholar] [CrossRef] [PubMed]
- Feldman, B.F.; Attix, E.A.; Strombeck, D.R.; O’Neill, S. Biochemical and coagulation changes in a canine model of acute necrotizing pancreatitis. Am. J. Vet. Res. 1981, 42, 805–809. [Google Scholar] [PubMed]
- Lasson, A.; Ohlsson, K. Consumptive coagulopathy, fibrinolysis and protease-antiprotease interactions during acute human pancreatitis. Thromb. Res. 1986, 41, 167–183. [Google Scholar] [CrossRef]
- Salomone, T.; Tosi, P.; Palareti, G.; Tomassetti, P.; Migliori, M.; Guariento, A.; Saieva, C.; Raiti, C.; Romboli, M.; Gullo, L. Coagulative disorders in human acute pancreatitis: Role for the d-dimer. Pancreas 2003, 26, 111–116. [Google Scholar] [CrossRef] [PubMed]
- Maeda, K.; Hirota, M.; Ichihara, A.; Ohmuraya, M.; Hashimoto, D.; Sugita, H.; Takamori, H.; Kanemitsu, K.; Baba, H. Applicability of disseminated intravascular coagulation parameters in the assessment of the severity of acute pancreatitis. Pancreas 2006, 32, 87–92. [Google Scholar] [CrossRef] [PubMed]
- Kakafika, A.; Papadopoulos, V.; Mimidis, K.; Mikhailidis, D.P. Coagulation, platelets, and acute pancreatitis. Pancreas 2007, 34, 15–20. [Google Scholar] [CrossRef] [PubMed]
- Qiu, F.; Lu, X.S.; Huang, Y.K. Effect of low molecular weight heparin on pancreatic micro-circulation in severe acute pancreatitis in a rodent model. Chin. Med. J. 2007, 120, 2260–2263. [Google Scholar] [PubMed]
- Ceranowicz, P.; Dembinski, A.; Warzecha, Z.; Dembinski, M.; Cieszkowski, J.; Rembisz, K.; Konturek, S.J.; Kusnierz-Cabala, B.; Tomaszewska, R.; Pawlik, W.W. Protective and therapeutic effect of heparin in acute pancreatitis. J. Physiol. Pharmacol. 2008, 59 (Suppl. S4), 103–125. [Google Scholar] [PubMed]
- Ceranowicz, P.; Dembiński, M.; Warzecha, Z.; Cieszkowski, J.; Kuśnierz-Cabala, B.; Tomaszewska, R.; Dembiński, A. Healing effect of heparin in the course of edematous, cerulein-induced acute pancreatitis. Przeglad. Gastroenterol. 2009, 4, 199–205. [Google Scholar]
- Ke, L.; Ni, H.B.; Tong, Z.H.; Li, W.Q.; Li, N.; Li, J.S. Efficacy of continuous regional arterial infusion with low-molecular-weight heparin for severe acute pancreatitis in a porcine model. Shock 2014, 41, 443–448. [Google Scholar] [CrossRef] [PubMed]
- Warzecha, Z.; Sendur, P.; Ceranowicz, P.; Dembinski, M.; Cieszkowski, J.; Kusnierz-Cabala, B.; Tomaszewska, R.; Dembinski, A. Pretreatment with low doses of acenocoumarol inhibits the development of acute ischemia/reperfusion-induced pancreatitis. J. Physiol. Pharmacol. 2015, 66, 731–740. [Google Scholar] [PubMed]
- Warzecha, Z.; Sendur, P.; Ceranowicz, P.; Dembiński, M.; Cieszkowski, J.; Kuśnierz-Cabala, B.; Olszanecki, R.; Tomaszewska, R.; Ambroży, T.; Dembiński, A. Protective Effect of Pretreatment with Acenocoumarol in Cerulein-Induced Acute Pancreatitis. Int. J. Mol. Sci. 2016, 17, E1709. [Google Scholar] [CrossRef] [PubMed]
- Rabenstein, T.; Roggenbuck, S.; Framke, B.; Martus, P.; Fischer, B.; Nusko, G.; Muehldorfer, S.; Hochberger, J.; Ell, C.; Hahn, E.G.; et al. Complications of endoscopic sphincterotomy: Can heparin prevent acute pancreatitis after ERCP? Gastrointest. Endosc. 2002, 55, 476–483. [Google Scholar] [CrossRef] [PubMed]
- Ung, K.A.; Rydberg, L.; Modin, S.; Kylebäck, A.; Modin, M. A preventive effect of unfractionated heparin on post-ERCP pancreatitis is suggested by positive effects on laboratory markers. Hepatogastroenterology 2011, 58, 168–173. [Google Scholar] [PubMed]
- Alagözlü, H.; Cindoruk, M.; Karakan, T.; Unal, S. Heparin and insulin in the treatment of hypertriglyceridemia-induced severe acute pancreatitis. Dig. Dis. Sci. 2006, 51, 931–933. [Google Scholar] [CrossRef] [PubMed]
- Date, Y.; Murakami, N.; Toshinai, K.; Matsukura, S.; Niijima, A.; Matsuo, H.; Kangawa, K.; Nakazato, M. Nerve ablation showed a tendency to induce an additional increase in pancreas mass and pancreatic blood flow. Gastroenterology 2002, 123, 1120–1128. [Google Scholar] [CrossRef] [PubMed]
- Gukovskaya, A.S.; Gukovsky, I.; Zaninovic, V.; Song, M.; Sandoval, D.; Gukovsky, S.; Pandol, S.J. Pancreatic acinar cells produce, release, and respond to tumor necrosis factor-α. Role in regulating cell death and pancreatitis. J. Clin. Investig. 1997, 100, 1853–1862. [Google Scholar] [CrossRef] [PubMed]
- Rakonczay, Z.; Takács, T.; Boros, I.; Lonovics, J. Heat shock proteins and the pancreas. J. Cell. Physiol. 2003, 195, 383–391. [Google Scholar] [CrossRef] [PubMed]
- Robert, J.; Ménoret, A.; Basu, S.; Cohen, N.; Srivastava, P.R. Phylogenetic conservation of the molecular and immunological properties of the chaperones GP96 and HSP70. Eur. J. Immunol. 2001, 31, 186–195. [Google Scholar] [CrossRef]
- Frossard, J.L.; Bhagat, L.; Lee, H.S.; Hietaranta, A.J.; Singh, V.P.; Song, A.M.; Steer, M.L.; Saluja, A.K. Both thermal and non-thermal stress protect against caerulein induced pancreatitis and prevent trypsinogen activation in the pancreas. Gut 2002, 50, 78–83. [Google Scholar] [CrossRef] [PubMed]
- Tashiro, M.; Ernst, S.A.; Edwards, J.; Williams, J.A. Hyperthermia induces multiple pancreatic heat shock proteins and protects against subsequent arginine-induced acute pancreatitis in rats. Digestion 2002, 65, 118–126. [Google Scholar] [CrossRef] [PubMed]
- Rakonczay, Z.; Takács, T.; Iványi, B.; Mándi, Y.; Pápai, G.; Boros, I.; Varga, I.S.; Jost, K.; Lonovics, J. The effects of hypo- and hyperthermic pretreatment on sodium taurocholate-induced acute pancreatitis in rats. Pancreas 2002, 24, 83–89. [Google Scholar] [CrossRef] [PubMed]
- Warzecha, Z.; Dembinski, A.; Ceranowicz, P.; Konturek, S.J.; Dembinski, M.; Pawlik, W.W.; Tomaszewska, R.; Stachura, J.; Kusnierz-Cabala, B.; Naskalski, J.W.; et al. Ischemic preconditioning inhibits development of edematous cerulein-induced pancreatitis: Involvement of cyclooxygenases and heat shock protein 70. World J. Gastroenterol. 2005, 11, 5958–5965. [Google Scholar] [CrossRef] [PubMed]
- Takayama, S.; Reed, J.C.; Homma, S. Heat-shock proteins as regulators of apoptosis. Oncogene 2003, 22, 9041–9047. [Google Scholar] [CrossRef] [PubMed]
- Weber, C.K.; Gress, T.; Müller-Pillasch, F.; Lerch, M.M.; Weidenbach, H.; Adler, G. Supramaximal secretagogue stimulation enhances heat shock protein expression in the rat pancreas. Pancreas 1995, 10, 360–367. [Google Scholar] [CrossRef] [PubMed]
- Konturek, P.C.; Dembinski, A.; Warzecha, Z.; Burnat, G.; Ceranowicz, P.; Hahn, E.G.; Dembinski, M.; Tomaszewska, R.; Konturek, S.J. Pioglitazone, a specific ligand of peroxisome proliferator-activated receptor-γ, protects pancreas against acute cerulein-induced pancreatitis. World J. Gastroenterol. 2005, 11, 6322–6329. [Google Scholar] [CrossRef] [PubMed]
- Jaworek, J.; Bonior, J.; Tomaszewska, R.; Jachimczak, B.; Kot, M.; Bielański, W.; Pawlik, W.W.; Sendur, R.; Stachura, J.; Konturek, P.C.; et al. Involvement of cyclooxygenase-derived prostaglandin E2 and nitric oxide in the protection of rat pancreas afforded by low dose of lipopolysaccharide. J. Physiol. Pharmacol. 2001, 52, 107–126. [Google Scholar] [PubMed]
- Jaworek, J.; Bonior, J.; Nawrot, K.; Leja, A.; Sendur, R.; Stachura, J.; Pawlik, W.; Konturek, S. Intracerebroventricular administration of bacterial lipopolysaccharide prevents the development of acute experimental pancreatitis in the rat. Med. Sci. Monit. 2002, 8, BR136–BR143. [Google Scholar] [PubMed]
- Jaworek, J.; Jachimczak, B.; Bonior, J.; Kot, M.; Tomaszewska, R.; Karczewska, E.; Stachura, J.; Pawlik, W.; Konturek, S.J. Protective role of endogenous nitric oxide (NO) in lipopolysaccharide-induced pancreatic damage (a new experimental model of acute pancreatitis). J. Physiol. Pharmacol. 2000, 51, 85–102. [Google Scholar] [PubMed]
- Jaworek, J.; Leja-Szpak, A.; Bonior, J.; Nawrot, K.; Tomaszewska, R.; Stachura, J.; Sendur, R.; Pawlik, W.; Brzozowski, T.; Konturek, S.J. Protective effect of melatonin and its precursor L-tryptophan on acute pancreatitis induced by caerulein overstimulation or ischemia/reperfusion. J. Pineal Res. 2003, 34, 40–52. [Google Scholar] [CrossRef] [PubMed]
- Tomaszewska, R.; Dembiński, A.; Warzecha, Z.; Ceranowicz, P.; Stachura, J. Morphological changes and morphological-functional correlations in acute experimental ischemia/reperfusion pancreatitis in rats. Pol. J. Pathol. 2000, 51, 179–184. [Google Scholar] [PubMed]
- Warzecha, Z.; Sendur, P.; Ceranowicz, P.; Cieszkowski, J.; Dembiński, M.; Sendur, R.; Bonior, J.; Jaworek, J.; Ambroży, T.; Olszanecki, R.; et al. Therapeutic effect of low doses of acenocoumarol in the course of ischemia/reperfusion-induced acute pancreatitis in rats. Int. J. Mol. Sci. 2017, 18, 882. [Google Scholar] [CrossRef] [PubMed]
- Bonior, J.; Ceranowicz, P.; Gajdosz, R.; Kuśnierz-Cabala, B.; Pierzchalski, P.; Warzecha, Z.; Dembiński, A.; Pędziwiatr, M.; Kot, M.; Leja-Szpak, A.; et al. Molecular ghrelin system in the pancreatic acinar cells: The role of the polypeptide, caerulein and sensory nerves. Int. J. Mol. Sci. 2017, 18, 929. [Google Scholar] [CrossRef] [PubMed]
- Amsterdam, A.; Solomon, T.E.; Jamieson, J.D. Sequential dissociation of the exocrine pancreas into lobules, acini, and individual cells. Methods Cell Biol. 1978, 20, 361–378. [Google Scholar] [PubMed]
- Konturek, S.J.; Dembinski, A.; Konturek, P.J.; Warzecha, Z.; Jaworek, J.; Gustaw, P.; Tomaszewska, R.; Stachura, J. Role of platelet activating factor in pathogenesis of acute pancreatitis in rats. Gut 1992, 33, 1268–1274. [Google Scholar] [CrossRef] [PubMed]
- Zaninovic, V.; Gukovskaya, A.S.; Gukovsky, I.; Mouria, M.; Pandol, S.J. Cerulein upregulates ICAM-1 in pancreatic acinar cells, which mediates neutrophil adhesion to these cells. Am. J. Physiol. Gastrointest. Liver Physiol. 2000, 279, G666–G676. [Google Scholar] [PubMed]
- Bonior, J.; Jaworek, J.; Kot, M.; Konturek, S.J.; Pierzchalski, P. Long-lasting effect of infant rats endotoxemia on heat shock protein 60 in the pancreatic acinar cells: Involvement of toll-like receptor 4. Int. J. Inflamm. 2012, 2012, 354904. [Google Scholar] [CrossRef] [PubMed]
- Chomczynski, P.; Sacchi, N. Single-step method of RNA isolation by acid guanidinium thiocyanate-phenol-chloroform extraction. Anal. Biochem. 1987, 162, 156–159. [Google Scholar] [CrossRef]
- Nudel, U.; Zakut, R.; Shani, M.; Neuman, S.; Levy, Z.; Yaffe, D. The nucleotide sequence of the rat cytoplasmic β-actin gene. Nucleic Acids Res. 1983, 11, 1759–1771. [Google Scholar] [CrossRef] [PubMed]
- Shirai, T.; Shimuzu, N.S.; Horiguchi, S.; Ito, H. Cloning and expression in Escherichia coli of the gene for rat tumor necrosis factor. Agric. Biol. Chem. 1989, 53, 1733–1736. [Google Scholar] [CrossRef]
- Sambrook, J.; Fritsch, E.F.; Maniatis, T. Molecular Cloning: A Laboratory Manual, 2nd ed.; Cold Spring Harbor Laboratory Press: New York, NY, USA, 1989. [Google Scholar]











| Groups | Edema (0–3) | Infiltration (0–3) | Vacuolization (0–3) |
|---|---|---|---|
| Intact Sensory Nerves | |||
| Control (saline) | 0 | 0 | 0 |
| CIP | 2–3 | 2–3 | 3 |
| GHRL 12.5 µg/kg | 0 | 0 | 0 |
| GHRL 25 µg/kg | 0 | 0 | 0 |
| GHRL 50 µg/kg | 0 | 0 | 0 |
| GHRL 12.5 µg/kg + CIP | 2–3 | 2 | 2–3 |
| GHRL 25 µg/kg + CIP | 2 | 1–2 | 2–3 |
| GHRL 50 µg/kg + CIP | 1–2 | 1–2 | 2 |
| Capsaicin Deactivation of Sensory Nerves | |||
| Saline | 0 | 0 | 0 |
| CIP | 2–3 | 2–3 | 3 |
| GHRL 50 µg/kg + CIP | 3 | 2–3 | 3 |
| GHRL 50 µg/kg | 0 | 0 | 0 |
| Gene | Sequence 5′ → 3′ | Product (bp) | Annealing Temperature (°C) | Reference |
|---|---|---|---|---|
| β-actin | Sense: TTG TAA CCA ACT GGG ACG ATA TGG | 764 | 60 | [117] |
| Antisense: GAT CTT GAT CTT CAT GGT GCT AGG | ||||
| TNF-α | Sense: TAC TGA ACT TCG GGG TGA TTG GTC C | 295 | 60 | [118] |
| Antisense: CAG CCT TGT CCC TTG AAG AGA ACC | ||||
| HSP70 | Sense: GTG AAG ATC TGC GTC TGC TTG | 590 | 60 | [104] |
| Antisense: TTT GAC AAC AGG CTG GTG AAC C |
© 2017 by the authors. Licensee MDPI, Basel, Switzerland. This article is an open access article distributed under the terms and conditions of the Creative Commons Attribution (CC BY) license (http://creativecommons.org/licenses/by/4.0/).
Share and Cite
Bonior, J.; Warzecha, Z.; Ceranowicz, P.; Gajdosz, R.; Pierzchalski, P.; Kot, M.; Leja-Szpak, A.; Nawrot-Porąbka, K.; Link-Lenczowski, P.; Pędziwiatr, M.; et al. Capsaicin-Sensitive Sensory Nerves Are Necessary for the Protective Effect of Ghrelin in Cerulein-Induced Acute Pancreatitis in Rats. Int. J. Mol. Sci. 2017, 18, 1402. https://doi.org/10.3390/ijms18071402
Bonior J, Warzecha Z, Ceranowicz P, Gajdosz R, Pierzchalski P, Kot M, Leja-Szpak A, Nawrot-Porąbka K, Link-Lenczowski P, Pędziwiatr M, et al. Capsaicin-Sensitive Sensory Nerves Are Necessary for the Protective Effect of Ghrelin in Cerulein-Induced Acute Pancreatitis in Rats. International Journal of Molecular Sciences. 2017; 18(7):1402. https://doi.org/10.3390/ijms18071402
Chicago/Turabian StyleBonior, Joanna, Zygmunt Warzecha, Piotr Ceranowicz, Ryszard Gajdosz, Piotr Pierzchalski, Michalina Kot, Anna Leja-Szpak, Katarzyna Nawrot-Porąbka, Paweł Link-Lenczowski, Michał Pędziwiatr, and et al. 2017. "Capsaicin-Sensitive Sensory Nerves Are Necessary for the Protective Effect of Ghrelin in Cerulein-Induced Acute Pancreatitis in Rats" International Journal of Molecular Sciences 18, no. 7: 1402. https://doi.org/10.3390/ijms18071402
APA StyleBonior, J., Warzecha, Z., Ceranowicz, P., Gajdosz, R., Pierzchalski, P., Kot, M., Leja-Szpak, A., Nawrot-Porąbka, K., Link-Lenczowski, P., Pędziwiatr, M., Olszanecki, R., Bartuś, K., Trąbka, R., Kuśnierz-Cabala, B., Dembiński, A., & Jaworek, J. (2017). Capsaicin-Sensitive Sensory Nerves Are Necessary for the Protective Effect of Ghrelin in Cerulein-Induced Acute Pancreatitis in Rats. International Journal of Molecular Sciences, 18(7), 1402. https://doi.org/10.3390/ijms18071402

