Cerebral Hyperperfusion after Revascularization Inhibits Development of Cerebral Ischemic Lesions Due to Artery-to-Artery Emboli during Carotid Exposure in Endarterectomy for Patients with Preoperative Cerebral Hemodynamic Insufficiency: Revisiting the “Impaired Clearance of Emboli” Concept
Abstract
:1. Introduction
2. Results
2.1. Trial Profile
2.2. Clinical Characteristics
2.3. Postoperative Events
2.4. Postoperative Cerebral Hyperperfusion vs. Diffusion-Weighted Imaging (DWI)-Characterized Postoperative Cerebral Ischemic Lesions
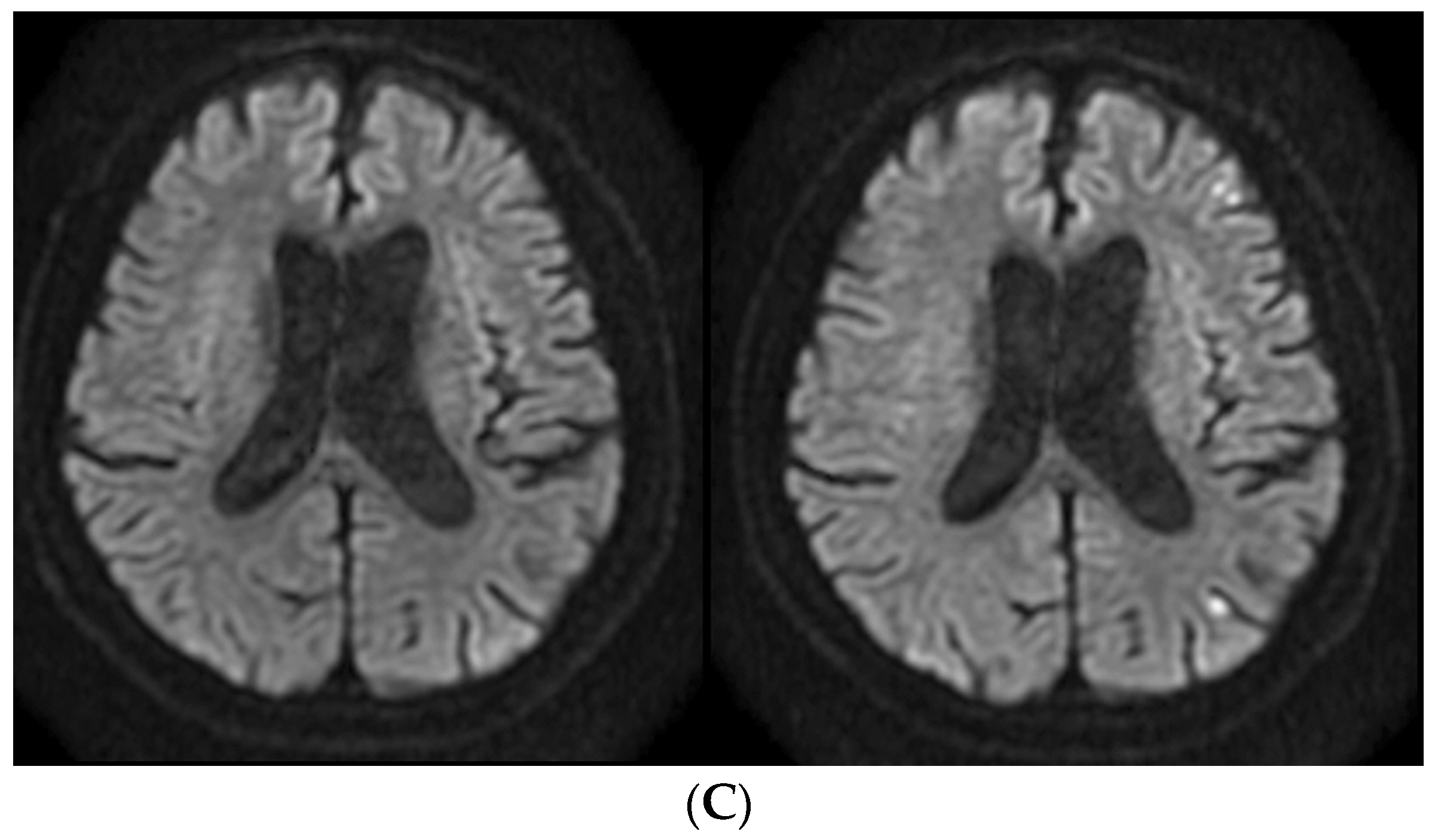
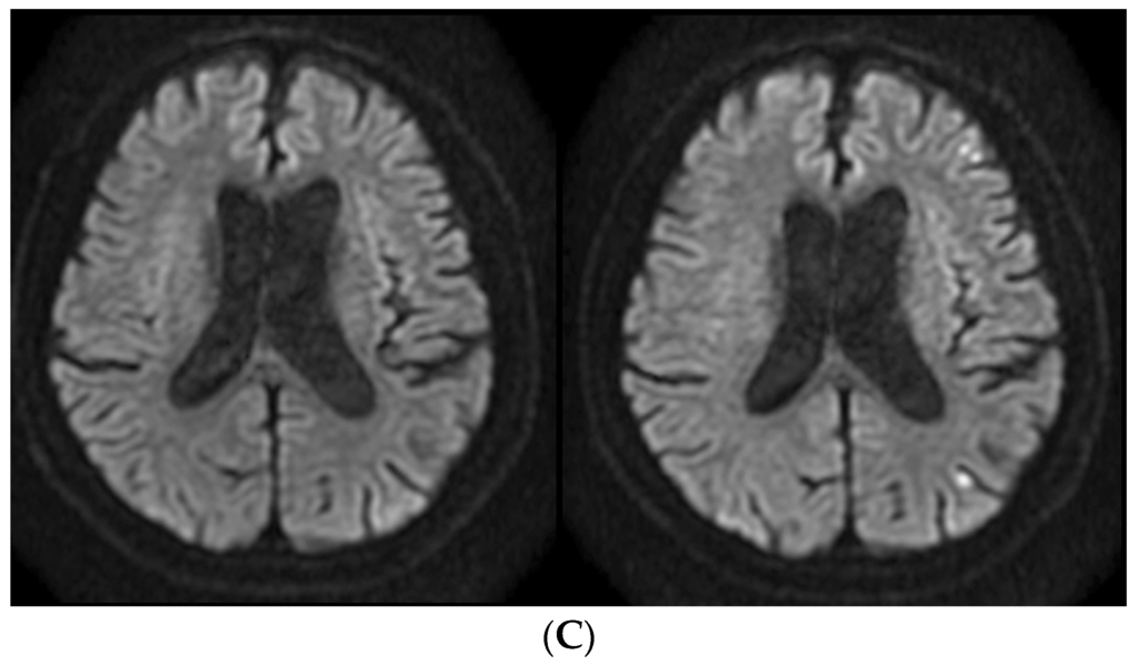
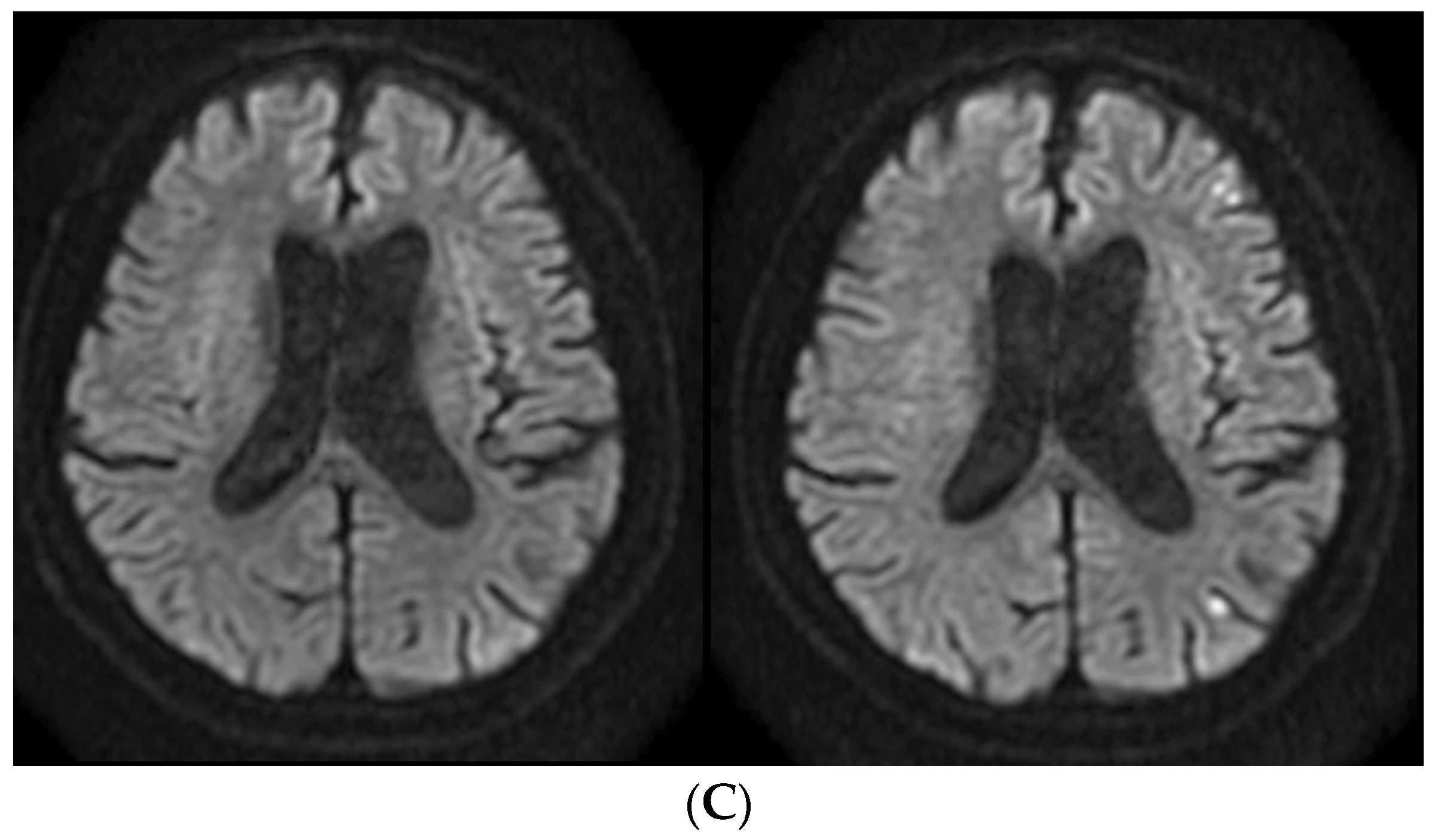
2.5. Case Presentation
3. Discussion
3.1. Findings
3.2. Reason of Patient Exclusion
3.3. Data Interpretation
3.4. Future Directions
3.5. Study Limitations
4. Materials and Methods
4.1. Subjects
4.2. CBF Measurements
4.3. Transcranial Doppler (TCD) Monitoring
4.4. Magnetic Resonance Imaging
4.5. Preoperative, Intraoperative, and Postoperative Management
4.6. Statistical Analysis
5. Conclusions
Acknowledgments
Author Contributions
Conflicts of Interest
Abbreviations
| CEA | Carotid endarterectomy |
| TCD | Transcranial Doppler |
| MCA | Middle cerebral artery |
| MES | Microembolic signals |
| DWI | Diffusion-weighted imaging |
| CVR | Cerebrovascular reactivity |
| CBF | Cerebral blood flow |
| SPECT | Single-photon emission computed tomography |
| ICA | Internal carotid artery |
| EEG | Electroencephalography |
| IMP | [123I]N-isopropyl-p-iodoamphetamine |
| ROI | Region-of-interest |
| SD | Standard deviation |
References
- Caplan, L.R.; Hennerici, M. Impaired clearance of emboli (washout) is an important link between hypoperfusion, embolism, and ischemic stroke. Arch. Neurol. 1998, 55, 1475–1482. [Google Scholar] [CrossRef]
- Caplan, L.R.; Wong, K.S.; Gao, S.; Hennerici, M.G. Is hypoperfusion an important cause of strokes? If so, how? Cerebrovasc. Dis. 2006, 21, 145–153. [Google Scholar] [CrossRef] [PubMed]
- Wong, K.S.; Gao, S.; Chan, Y.L.; Hansberg, T.; Lam, W.W.; Droste, D.W.; Kay, R.; Ringelstein, E.B. Mechanisms of acute cerebral infarctions in patients with middle cerebral artery stenosis: A diffusion-weighted imaging and microemboli monitoring study. Ann. Neurol. 2002, 52, 74–81. [Google Scholar] [CrossRef] [PubMed]
- Schreiber, S.; Serdaroglu, M.; Schreiber, F.; Skalej, M.; Heinze, H.J.; Goertler, M. Simultaneous occurrence and interaction of hypoperfusion and embolism in a patient with severe middle cerebral artery stenosis. Stroke 2009, 40, e478–e480. [Google Scholar] [CrossRef] [PubMed]
- Orlandi, G.; Fanucchi, S.; Gallerini, S.; Sonnoli, C.; Cosottini, M.; Puglioli, M.; Sartucci, F.; Murri, L. Impaired clearance of microemboli and cerebrovascular symptoms during carotid stenting procedures. Arch. Neurol. 2005, 62, 1208–1211. [Google Scholar] [CrossRef] [PubMed]
- Spencer, M.P. Transcranial Doppler monitoring and causes of stroke from carotid endarterectomy. Stroke 1997, 28, 685–691. [Google Scholar] [CrossRef] [PubMed]
- Ackerstaff, R.G.; Moons, K.G.; van de Vlasakker, C.J.; Moll, F.L.; Vermeulen, F.E.; Algra, A.; Spencer, M.P. Association of intraoperative transcranial doppler monitoring variables with stroke from carotid endarterectomy. Stroke 2000, 31, 1817–1823. [Google Scholar] [CrossRef] [PubMed]
- Wolf, O.; Heider, P.; Heinz, M.; Poppert, H.; Sander, D.; Greil, O.; Weiss, W.; Hanke, M.; Eckstein, H.H. Microembolic signals detected by transcranial Doppler sonography during carotid endarterectomy and correlation with serial diffusion-weighted imaging. Stroke 2004, 35, e373–e375. [Google Scholar] [CrossRef] [PubMed]
- Gavrilescu, T.; Babikian, V.L.; Cantelmo, N.L.; Rosales, R.; Pochay, V.; Winter, M. Cerebral microembolism during carotid endarterectomy. Am. J. Surg. 1995, 170, 159–164. [Google Scholar] [CrossRef]
- Rothwell, P.M.; Eliasziw, M.; Gutnikov, S.A.; Fox, A.J.; Taylor, D.W.; Mayberg, M.R.; Warlow, C.P.; Barnett, H.J. Analysis of pooled data from the randomised controlled trials of endarterectomy for symptomatic carotid stenosis. Lancet 2003, 361, 107–116. [Google Scholar] [CrossRef]
- Verhoeven, B.A.; de Vries, J.P.; Pasterkamp, G.; Ackerstaff, R.G.; Schoneveld, A.H.; Velema, E.; de Kleijn, D.P.; Moll, F.L. Carotid atherosclerotic plaque characteristics are associated with microembolization during carotid endarterectomy and procedural outcome. Stroke 2005, 36, 1735–1740. [Google Scholar] [CrossRef] [PubMed]
- Gaunt, M.E.; Martin, P.J.; Smith, J.L.; Rimmer, T.; Cherryman, G.; Ratliff, D.A.; Bell, P.R.; Naylor, A.R. Clinical relevance of intraoperative embolization detected by transcranial Doppler ultrasonography during carotid endarterectomy: A prospective study of 100 patients. Br. J. Surg. 1994, 81, 1435–1439. [Google Scholar] [CrossRef] [PubMed]
- Jansen, C.; Ramos, L.M.; van Heesewijk, J.P.; Moll, F.L.; van Gijn, J.; Ackerstaff, R.G. Impact of microembolism and hemodynamic changes in the brain during carotid endarterectomy. Stroke 1994, 25, 992–997. [Google Scholar] [CrossRef] [PubMed]
- Aso, K.; Ogasawara, K.; Sasaki, M.; Kobayashi, M.; Suga, Y.; Chida, K.; Otawara, Y.; Ogawa, A. Preoperative cerebrovascular reactivity to acetazolamide measured by brain perfusion SPECT predicts development of cerebral ischemic lesions caused by microemboli during carotid endarterectomy. Eur. J. Nucl. Med. Mol. Imaging 2009, 36, 294–301. [Google Scholar] [CrossRef] [PubMed]
- Bernstein, M.; Fleming, J.F.; Deck, J.H. Cerebral hyperperfusion after carotid endarterectomy: A cause of cerebral hemorrhage. Neurosurgery 1984, 15, 50–56. [Google Scholar] [CrossRef] [PubMed]
- Ogasawara, K.; Sakai, N.; Kuroiwa, T.; Hosoda, K.; Iihara, K.; Toyoda, K.; Sakai, C.; Nagata, I.; Ogawa, A. Intracranial hemorrhage associated with cerebral hyperperfusion syndrome following carotid endarterectomy and carotid artery stenting: Retrospective review of 4494 patients. J. Neurosurg. 2007, 107, 1130–1136. [Google Scholar] [CrossRef] [PubMed]
- Piepgras, D.G.; Morgan, M.K.; Sundt, T.M., Jr.; Yanagihara, T.; Mussman, L.M. Intracerebral hemorrhage after carotid endarterectomy. J. Neurosurg. 1988, 68, 532–536. [Google Scholar] [CrossRef] [PubMed]
- Sundt, T.M., Jr.; Sharbrough, F.W.; Piepgras, D.G.; Kearns, T.P.; Messick, J.M., Jr.; O’Fallon, W.M. Correlation of cerebral blood flow and electroencephalographic changes during carotid endarterectomy, with results of surgery and hemodynamics of cerebral ischemia. Mayo Clin. Proc. 1981, 56, 533–543. [Google Scholar] [CrossRef] [PubMed]
- Hosoda, K.; Kawaguchi, T.; Shibata, Y.; Kamei, M.; Kidoguchi, K.; Koyama, J.; Fujita, S.; Tamaki, N. Cerebral vasoreactivity and internal carotid artery flow help to identify patients at risk for hyperperfusion after carotid endarterectomy. Stroke 2001, 32, 1567–1573. [Google Scholar] [CrossRef] [PubMed]
- Ogasawara, K.; Yukawa, H.; Kobayashi, M.; Mikami, C.; Konno, H.; Terasaki, K.; Inoue, T.; Ogawa, A. Prediction and Monitoring of cerebral hyperperfusion after carotid endarterectomy by using single-photon emission computerized tomography scanning. J. Neurosurg. 2003, 99, 504–510. [Google Scholar] [CrossRef] [PubMed]
- Yoshimoto, T.; Houkin, K.; Kuroda, S.; Abe, H.; Kashiwaba, T. Low cerebral blood flow and perfusion reserve induce hyperperfusion after surgical revascularization: Case reports and analysis of cerebral hemodynamics. Surg. Neurol. 1997, 48, 132–139. [Google Scholar] [CrossRef]
- Yadav, J.S.; Wholey, M.H.; Kuntz, R.E.; Fayad, P.; Katzen, B.T.; Mishkel, G.J.; Bajwa, T.K.; Whitlow, P.; Strickman, N.E.; Jaff, M.R.; et al. Protected carotid-artery stenting versus endarterectomy in high-risk patients. N. Engl. J. Med. 2004, 351, 1493–1501. [Google Scholar] [CrossRef] [PubMed]
- Van der Schaaf, I.C.; Horn, J.; Moll, F.L.; Ackerstaff, R.G. Transcranial Doppler monitoring after carotid endarterectomy. Ann. Vasc. Surg. 2005, 19, 19–24. [Google Scholar] [CrossRef] [PubMed]
- Rutgers, D.R.; Blankensteijn, J.D.; van der Grond, J. Preoperative MRA flow quantification in CEA patients: Flow differences between patients who develop cerebral ischemia and patients who do not develop cerebral ischemia during cross-clamping of the carotid artery. Stroke 2000, 31, 3021–3028. [Google Scholar] [CrossRef] [PubMed]
- Grubb, R.L., Jr.; Derdeyn, C.P.; Fritsch, S.M.; Carpenter, D.A.; Yundt, K.D.; Videen, T.O.; Spitznagel, E.L.; Powers, W.J. Importance of hemodynamic factors in the prognosis of symptomatic carotid occlusion. JAMA 1998, 280, 1055–1060. [Google Scholar] [CrossRef] [PubMed]
- Kuroda, S.; Houkin, K.; Kamiyama, H.; Mitsumori, K.; Iwasaki, Y.; Abe, H. Long-term prognosis of medically treated patients with internal carotid or middle cerebral artery occlusion: Can acetazolamide test predict it? Stroke 2001, 32, 2110–2116. [Google Scholar] [CrossRef] [PubMed]
- Schmiedek, P.; Piepgras, A.; Leinsinger, G.; Kirsch, C.M.; Einhüpl, K. Improvement of cerebrovascular reserve capacity by EC-IC arterial bypass surgery in patients with ICA occlusion and hemodynamic cerebral ischemia. J. Neurosurg. 1994, 81, 236–244. [Google Scholar] [CrossRef] [PubMed]
- Ogasawara, K.; Konno, H.; Yukawa, H.; Endo, H.; Inoue, T.; Ogawa, A. Transcranial regional cerebral oxygen saturation monitoring during carotid endarterectomy as a predictor of postoperative hyperperfusion. Neurosurgery 2003, 53, 309–315. [Google Scholar] [CrossRef] [PubMed]
- Ogasawara, K.; Inoue, T.; Kobayashi, M.; Endo, H.; Yoshida, K.; Fukuda, T.; Terasaki, K.; Ogawa, A. Cerebral hyperperfusion following carotid endarterectomy: Diagnostic utility of intraoperative transcranial Doppler ultrasonography compared with single-photon emission computed tomography study. AJNR Am. J. Neuroradiol. 2005, 26, 252–257. [Google Scholar] [PubMed]
- North American Symptomatic Carotid Endarterectomy Trial Collaborators. Beneficial effect of carotid endarterectomy in symptomatic patients with high-grade carotid stenosis. N. Engl. J. Med. 1991, 325, 445–453. [Google Scholar]
- Ogasawara, K.; Ito, H.; Sasoh, M.; Okuguchi, T.; Kobayashi, M.; Yukawa, H.; Terasaki, K.; Ogawa, A. Quantitative measurement of regional cerebrovascular reactivity to acetazolamide using 123I-N-isopropyl-p-iodoamphetamine autoradiography with SPECT: Validation study using H215O with PET. J. Nucl. Med. 2003, 44, 520–525. [Google Scholar] [PubMed]
- Iida, H.; Itoh, H.; Nakazawa, M.; Hatazawa, J.; Nishimura, H.; Onishi, Y.; Uemura, K. Quantitative mapping of regional cerebral blood flow using iodine-123-IMP and SPECT. J. Nucl. Med. 1994, 35, 2019–2030. [Google Scholar] [PubMed]
- Nishimiya, M.; Matsuda, H.; Imabayashi, E.; Kuji, I.; Sato, N. Comparison of SPM and NEUROSTAT in voxelwise statistical analysis of brain SPECT and MRI at the early stage of Alzheimer’s disease. Ann. Nucl. Med. 2008, 22, 921–927. [Google Scholar] [CrossRef] [PubMed]
- Takeuchi, R.; Matsuda, H.; Yoshioka, K.; Yonekura, Y. Cerebral blood flow SPET in transient global amnesia with automated ROI analysis by 3DSRT. Eur. J. Nucl. Med. Mol. Imaging 2004, 31, 578–589. [Google Scholar] [CrossRef] [PubMed]
- Consensus Committee of the Ninth International Cerebral Hemodynamic Symposium. Basic identification criteria of Doppler microembolic signals. Stroke 1995, 26, 1123. [Google Scholar] [CrossRef]





| Variable | DWI-Characterized Ischemic Lesions | p | |
|---|---|---|---|
| Yes | No | ||
| (n = 16) | (n = 16) | ||
| Age (years, mean ± SD) | 72.8 ± 5.4 | 70.7 ± 3.2 | 0.2557 |
| Male sex | 15 (94%) | 14 (88%) | >0.9999 |
| Hypertension | 12 (75%) | 14 (88%) | 0.6539 |
| Preoperative antihypertensive drugs | 10 (63%) | 13 (81%) | 0.4331 |
| Preoperative calcium antagonist | 5 (31%) | 5 (31%) | >0.9999 |
| Preoperative angiotensin receptor blocker | 8 (50%) | 10 (63%) | 0.7224 |
| Diabetes mellitus | 6 (38%) | 7 (44%) | >0.9999 |
| Preoperative antidiabetic drugs | 6 (38%) | 7 (44%) | >0.9999 |
| Dyslipidemia | 7 (44%) | 8 (50%) | >0.9999 |
| Preoperative statins | 5 (31%) | 7 (44%) | 0.7160 |
| Preoperative strong statins * | 2 (12%) | 4 (25%) | 0.6539 |
| Preoperative aspirin | 6 (38%) | 4 (25%) | 0.7043 |
| Preoperative clopidogrel | 10 (63%) | 12 (75%) | 0.7043 |
| Ischemic heart or valvular disease | 3 (19%) | 4 (25%) | >0.9999 |
| Symptomatic lesion | 14 (88%) | 11 (69%) | 0.3944 |
| Degree of ICA stenosis (%, mean ± SD) | 83.1 ± 9.0 | 87.7 ± 8.2 | 0.1258 |
| Bilateral lesions | 4 (25%) | 5 (31%) | >0.9999 |
| Preoperative CBF (mL/100 g/min, mean ± SD) | 31.9 ± 5.8 | 34.4 ± 6.4 | 0.2581 |
| Preoperative CVR to acetazolamide (%, mean ± SD) | 8.7 ± 5.9 | 8.6 ± 8.0 | 0.6783 |
| Preoperative systolic blood pressure (mmHg, mean ± SD) | 134.5 ± 15.8 | 132.5 ± 14.2 | 0.9254 |
| Number of MES (mean ± SD) | 4.6 ± 4.3 | 4.0 ± 3.6 | 0.8932 |
| Interval from first MES to ICA declamping (min, mean ± SD) | 46.1 ± 6.8 | 44.4 ± 6.1 | 0.4848 |
| Interval from last MES to ICA declamping (min, mean ± SD) | 47.2 ± 7.9 | 46.3 ± 5.2 | 0.8353 |
| Mean systolic blood pressure during carotid exposure (mmHg, mean ± SD) | 114.2 ± 14.8 | 113.4 ± 13.0 | 0.9849 |
| Duration of ICA clamping (min, mean ± SD) | 37.2 ± 5.6 | 34.8 ± 5.6 | 0.2191 |
| Mean systolic blood pressure after carotid declamping (mmHg, mean ± SD) | 122.2 ± 15.1 | 120.7 ± 13.1 | 0.9049 |
| Successfully controlled blood pressure after carotid declamping ** (%, mean ± SD) | 84.6 ± 5.3 | 87.2 ± 6.8 | 0.8954 |
| Mean systolic blood pressure in postoperative period (mmHg, mean ± SD) | 128.8 ± 16.8 | 127.1 ± 17.0 | 0.9241 |
| Successfully controlled blood pressure in postoperative period *** (%, mean ± SD) | 74.5 ± 6.8 | 78.3 ± 7.8 | 0.8037 |
| Postoperative CBF (mL/100 g/min, mean ± SD) | 39.6 ± 4.8 | 66.3 ± 15.0 | <0.0001 |
| Cerebral hyperperfusion | 1 (6%) | 13 (81%) | <0.0001 |
© 2016 by the authors; licensee MDPI, Basel, Switzerland. This article is an open access article distributed under the terms and conditions of the Creative Commons Attribution (CC-BY) license (http://creativecommons.org/licenses/by/4.0/).
Share and Cite
Fujimoto, K.; Matsumoto, Y.; Oikawa, K.; Nomura, J.-i.; Shimada, Y.; Fujiwara, S.; Terasaki, K.; Kobayashi, M.; Yoshida, K.; Ogasawara, K. Cerebral Hyperperfusion after Revascularization Inhibits Development of Cerebral Ischemic Lesions Due to Artery-to-Artery Emboli during Carotid Exposure in Endarterectomy for Patients with Preoperative Cerebral Hemodynamic Insufficiency: Revisiting the “Impaired Clearance of Emboli” Concept. Int. J. Mol. Sci. 2016, 17, 1261. https://doi.org/10.3390/ijms17081261
Fujimoto K, Matsumoto Y, Oikawa K, Nomura J-i, Shimada Y, Fujiwara S, Terasaki K, Kobayashi M, Yoshida K, Ogasawara K. Cerebral Hyperperfusion after Revascularization Inhibits Development of Cerebral Ischemic Lesions Due to Artery-to-Artery Emboli during Carotid Exposure in Endarterectomy for Patients with Preoperative Cerebral Hemodynamic Insufficiency: Revisiting the “Impaired Clearance of Emboli” Concept. International Journal of Molecular Sciences. 2016; 17(8):1261. https://doi.org/10.3390/ijms17081261
Chicago/Turabian StyleFujimoto, Kentaro, Yoshiyasu Matsumoto, Kohki Oikawa, Jun-ichi Nomura, Yasuyoshi Shimada, Shunrou Fujiwara, Kazunori Terasaki, Masakazu Kobayashi, Kenji Yoshida, and Kuniaki Ogasawara. 2016. "Cerebral Hyperperfusion after Revascularization Inhibits Development of Cerebral Ischemic Lesions Due to Artery-to-Artery Emboli during Carotid Exposure in Endarterectomy for Patients with Preoperative Cerebral Hemodynamic Insufficiency: Revisiting the “Impaired Clearance of Emboli” Concept" International Journal of Molecular Sciences 17, no. 8: 1261. https://doi.org/10.3390/ijms17081261
APA StyleFujimoto, K., Matsumoto, Y., Oikawa, K., Nomura, J.-i., Shimada, Y., Fujiwara, S., Terasaki, K., Kobayashi, M., Yoshida, K., & Ogasawara, K. (2016). Cerebral Hyperperfusion after Revascularization Inhibits Development of Cerebral Ischemic Lesions Due to Artery-to-Artery Emboli during Carotid Exposure in Endarterectomy for Patients with Preoperative Cerebral Hemodynamic Insufficiency: Revisiting the “Impaired Clearance of Emboli” Concept. International Journal of Molecular Sciences, 17(8), 1261. https://doi.org/10.3390/ijms17081261

