Abstract
The aim of this review is to provide an overview of various retinal cell degeneration models in animal induced by chemicals (N-methyl-d-aspartate- and CoCl2-induced), autoimmune (experimental autoimmune encephalomyelitis), mechanical stress (optic nerve crush-induced, light-induced) and ischemia (transient retinal ischemia-induced). The target regions, pathology and proposed mechanism of each model are described in a comparative fashion. Animal models of retinal cell degeneration provide insight into the underlying mechanisms of the disease, and will facilitate the development of novel effective therapeutic drugs to treat retinal cell damage.
Keywords:
retinal cell degeneration; NMDA; CoCl2; EAE; ischemia; nerve crush; light-induced; animal model 1. Introduction
Diseases that cause visual dysfunction may be divided into functional (e.g., ametropia, myopia, hyperopia, astigmatism, etc.), dysregulation functional (e.g., presbyopia) and organic (e.g., cataracts and glaucoma) categories, with retinal disease being the most common cause of blindness. In particular, glaucoma is an example of a disease that involves retinal neuronal death, and it has been believed that the underlying pathology is due to increased intraocular pressure followed by obstruction of aqueous humor outflow. In addition to this mechanical cause of glaucoma pathology, glutamate neurotoxicity is also thought to be an important cause of retinopathy in glaucoma [1,2].
In many eye diseases that lead to blindness, retinal nerve cell degeneration is a major factor as a direct cause of vision loss. Ultimately, it is necessary to identify the basic pathology of these retinal diseases in order to develop novel treatments. However, clinical data alone does not provide a complete understanding of the pathological processes underlying retinal diseases, therefore use of appropriate preclinical models has been used to provide a better understanding of the underlying pathologies. The results of many lines of basic research have indicated that ischemia, glutamic acid disorders, inflammation, nutritional factor deficiency, oxidative stress, etc. may be involved in the nerve cell degeneration that occurs in retinal disease.
Glaucoma is a disease that results in mechanical depression of the optic nerve head, leading to tunnel vision, and, if left untreated, progressive retinal neuropathy, visual impairment and, eventually, blindness. Glaucoma has been often associated with elevated intraocular pressure (IOP), producing ischemia, which results in glutamate release, and this initiates the death of neurons that express N-methyl-d-aspartate (NMDA)-type glutamate receptors (e.g., ganglion cells and a subset of amacrine cells [3]). However, recent evidence suggested that there were no significant differences in vitreal glutamate concentration between normal control eyes and glaucomatous eyes both in monkeys and in human [4,5]. Furtheremore, IOP elevation is not detected in a significant subset of individuals with glaucoma, such as those classified with normal tension glaucoma (NTG). NTG is a subset of primary open-angle glaucoma that exhibits statistically normal intraocular pressure, but shows glaucomatous optic neuropathy and results in visual field defects. Epidemiological studies indicate that NTG represents 20%–90% of all primary open-angle glaucoma, with percentages varying by race [6,7]. Interestingly, IOP still seems to play a role in normal tension glaucoma because a substantial number of patients with NTG as well as other forms of primary open-angle glaucoma benefit from lowering of intraocular pressure [8]. Thus, NTG may be caused by the vulnerability of optic nerves to normal range of intraocular pressure. In addition, in another subset of individuals with glaucoma, reducing IOP does not prevent disease progression. Thus, it is important to understand the pathophysiology of IOP-independent mechanisms that lead to retinal ganglion cell (RGC) loss. Many factors such as glutamate excitotoxicity, increased matrix metalloproteinase expression, TNF-α upregulation, increased nitric oxide synthase-2 expression, and oxidative stress are largely included in the molecular mechanism of glaucoma, although the pathopyisiology of glutamate optic neuropathy is not well understood in the present time [9].
2. NMDA-Induced Retinal Ganglion Cell Degeneration
Glutamate is an excitatory neurotransmitter, and excessive extracellular glutamate in glaucoma stimulates NMDA receptors (NMDAR), which are involved in the retinal neuronal cell death [10,11,12]. Loss of RGCs is a distinctive feature of several retinal diseases, such as glaucoma, retinal ischemia, and diabetic retinopathy [13,14,15]. Since RGCs have high permeability to calcium ions, it is believed that NMDAR-mediated excitotoxicity plays a major role in RGC death [16].
NMDARs form heterotetramers of two GluN1 and two GluN2 subunits, with GluN2 subunits (GluN2A–D) being the major determinants of the pharmacological and biophysical properties of NMDARs. All NMDAR subunits are expressed in RGCs in the retina. In glutamate aspartate transporter-deficient mice, NMDA-induced excitotoxic retinal cell death and RGC degeneration is primarily mediated by GluN2B- and GluN2D- but not GluN2A- or GluN2C-containing NMDARs [12]. Thus, inhibiting GluN2B and GluN2D activity may be a novel therapeutic approach for treating certain retinal diseases.
The glutamate transporter is the only mechanism by which glutamate is removed from the extracellular fluid in the retina [17]. Harada et al. reported that mice deficient in the glutamate transporters glutamate/aspartate transporter (GLAST) or excitatory amino acid carrier 1 (EAAC1) demonstrate spontaneous RGC loss and optic nerve degeneration without elevated IOP, while administration of glutamate receptor blocker prevented RGC loss [18].
During development and following axonal damage, exposure to excitotoxins and other pathological situations, RGCs and other retinal neurons die by apoptosis. It is believed that glutamate-induced excitotoxicity is responsible for the selective loss of retinal neurons after retinal ischemia as well as in glaucoma [19]. Intravitreal injection of NMDA is a good model for in vivo neuronal apoptosis [10,20,21]. NMDA causes fragmentation of internucleosomal retinal neuron DNA as well as apoptosis-specific activation of the enzyme, caspase-3 [21,22]. Interestingly, we observed fragmented DNA transport in dendrites of retinal neurons during apoptotic cell death induced by intravitreal NMDA injection [23]. It has been hypothesized that similar DNA transport may occur in other forms of neuronal apoptosis, since a similar phenomenon occurs in dendrites of gerbil hippocampal CA1 pyramidal neurons during ischemia-induced apoptosis [24]. Therefore, it is possible that the movement of fragmented DNA affects regulation and maintenance of retinal neuronal networks. Interestingly, endogenous tPA, but not uPA, acts as a facilitator in NMDA-induced RGC cell loss, but the mechanism of this does appear to be associated with cleavage of plasminogen into plasmin in the fibrinolytic cascade [25,26,27].
Thus, animal models of NMDA-induced retinal cell degeneration, such as intraocular NMDA injection, glutamate transporter or specific NMDAR deficit mice, are useful models of RGC loss not only for drug discovery research [28,29,30,31,32,33,34,35], but for research into the regeneration of RGC [36,37]. For example, we have attempted retinal regeneration by transplantation of human embryonic stem cells after RGC loss induced by NMDA injection [38,39]. Differentiated embryonic stem (ES) cells growing along the retinal surface 30 days after transplantation developed fine neuronal cell processes around cell nuclei and neuronal networks extended into the retinal inner plexiform layer [40]. We have also reported in vivo differentiation of human ES cells into retinal ganglion-like cells in NMDA-induced RGC mouse model [41,42]. ES cells may be useful for neural tissue regeneration in the adult mammalian retina although it will be necessary to control teratoma growth. To reduce the teratoma formation and to induce neuronal differentiation after ES cells implantation in adult mice [38] and in nude mice [39], the folate antagonist methotrexate appears to be a very useful tool for cell-replacement therapy.
3. CoCl2-Induced Retinal Photoreceptor Cell Degeneration
The majority of genetic mutations that result in retinal degeneration affect both the retinal pigment epithelium as well as sensory retina. For example, retinitis pigmentosa, which is a cause of blindness and visual impairment in younger people, is characterized by a gradual loss of photoreceptors through incompletely understood mechanisms [43]. Mutations in a number of different genes (including rhodopsin, the beta subunit of cGMP phosphodiesterase and peripherin) have been identified as the primary genetic lesion in different forms of retinitis pigmentosa [44]. Age-related macular degeneration (AMD) is a complex genetic disorder that involves the retinal pigment epithelium and mutations in one or more genes that contribute to an individual's susceptibility for developing the disease [45,46]. To date, there are no cures for these genetic diseases, and successful future treatments based on cell replacement or gene therapy will only be achieved if we have a greater understanding of the underlying pathophysiological processes [47,48]. To this end, animal models of retinal degeneration have been developed, and use of these models has led to a better understanding of disease pathology and to the development of possible therapeutic strategies. A well-established animal model of retinal degeneration, the rd mouse model, involves a mutation of the rod-specific phosphodiesterase that leads to the rapid and marked death of rod photoreceptors within the first few postnatal weeks [49]. Within 2 months, this loss of rod photorecptors results in subsequent cone degeneration and blindness [50]. Other animal models of spontaneous retinal degeneration have been discovered by screening mice from genetically independent mouse strains [51,52]. While the role of genes in retinal degeneration is well established [43,53,54], less is known about environmental and metabolic factors that contribute to the degenerative process. The loss of photoreceptors themselves produce metabolic changes in the remaining retina, and it has been hypothesized that the local retinal oxygen environment is an underlying pathophysiological factor [48], since manipulation of environmental oxygen levels modulates the rate of photoreceptor degeneration [53,54].
Cobalt chloride (CoCl2) has been widely used as a hypoxia-mimicking agent in both in vivo [55] and in vitro studies [56]. Both cobalt and hypoxia affect a similar group of genes on a global gene expression level [57,58,59]. Cobalt is essential for human health because of its critical role in the synthesis of vitamin B12 [60]; however, excess exposure of cobalt can lead to tissue and cellular toxicity. CoCl2 binds directly to HIF-1α thereby inhibiting its binding to the von Hippel-Lindau protein, (a mediator of HIF-1α degradation) and and causing HIF-1α to accumulate. In addtion, CoCl2 gives rise to local hypoxia [61]. Hypoxia produced by chemical agents is a widely used model [62,63,64], since it is easy to control the level of hypoxia by varying the concentration of the hypoxic agent, but, at least in studies involving the retina, CoCl2 has mainly been used in vitro experiments. We have used a low dose of CoCl2 in in vivo studies, performing intravitreal injection of CoCl2 to induce selective photoreceptor cell degeneration in mice (Figure 1) and rats, which produces DNA fragmentation in the outer nuclear layer [65]. Interestingly, Hara et al. reported that expression of septins 8, one of cytoskeletal GTP-binding proteins restricted to the nuclei of photoreceptor cells of mice and rats, was decreased after intravitreal injection of CoCl2, and its disappearance was concomitant with photoreceptor cell degeneration [66]. This implies that septin 8 has specific key functions in retinal photoreceptor cells.
The retinal morphology observed 2 weeks after CoCl2 injection mimics retinal degeneration seen in the mutant rd mouse model, suggesting that photoreceptor cell degenerations in both the genetic and metabolic models at least some of the same pathophysiological processes. In addition to manipulating the oxygen environment to affect photoreceptor cells degeneration, CoCl2-treated animals can be used to study tissue regeneration. The rd mouse is commonly used as a recipient animal to assess the capacity of grafted neural progenitor cells [67] or embryonic stem cells [68] to grow. However, as an alternative to using animals with gene mutations, the CoCl2 injection model may be also used to evaluate tissue regeneration.
Of note, by using a green fluorescent vascular endothelium zebrafish transgenic line treated with CoCl2 24 h postfertilization, Wu and colleages described a potential retinopathy of prematurity model; they observed, a significantly increase in the number of vascular branches and sprouts in the central retinal vascular trunks [69]. A clearer understanding of the mechanism of prematurity retinopathy development may come from use of this simple zebrafish model of prematurity retinopathy might provide, and may facilitate research into new treatment methods.
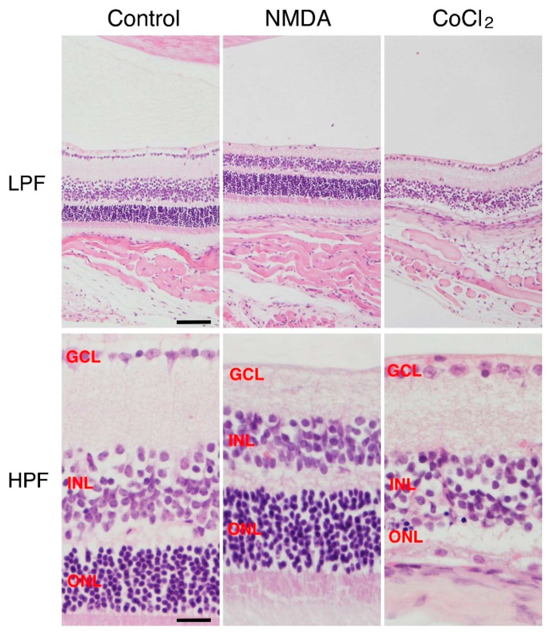
Figure 1.
Retinal cell degeneration induced by NMDA and CoCl2 in mice. Representative photographs show a vehicle-treated normal control retina, NMDA-treated retina (15 mM NMDA, 2 μL/eye) and CoCl2-treated retina (9 mM CoCl2, 2 μL/eye) at 7 days after intravitreal injection. The NMDA-treated retina demonstrates disappearance of ganglion cells in GCL and CoCl2-treated retina shows degeneration of photoreceptor cells in ONL. LPF, low-power field; HPF, high-power field; NMDA, N-methyl-d-aspartate; GCL, ganglion cell layer; INL, inner nuclear layer; ONL, outer nuclear layer. Scale bars in left upper and left lower panels indicate 80 μm and 20 μm, respectively.
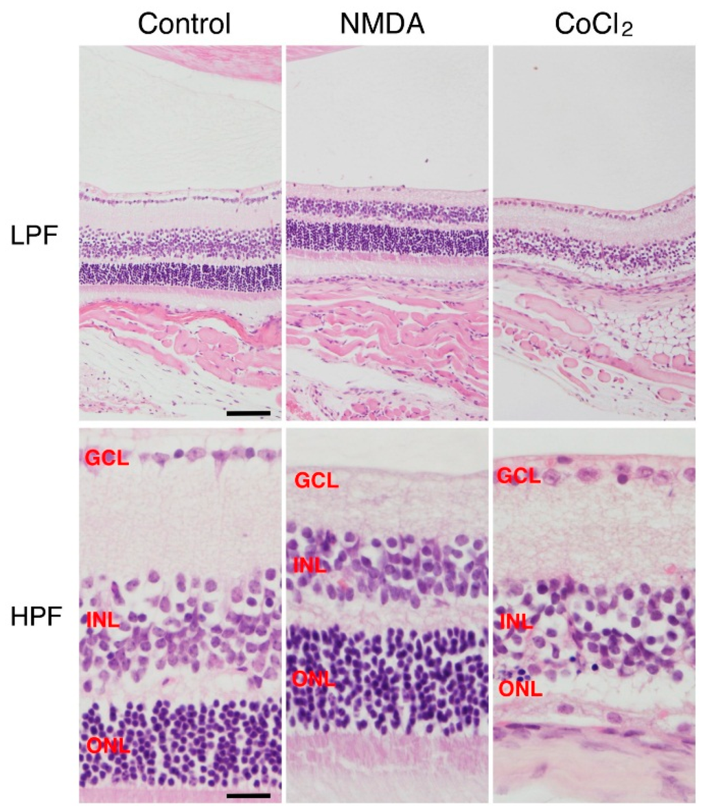
Figure 1.
Retinal cell degeneration induced by NMDA and CoCl2 in mice. Representative photographs show a vehicle-treated normal control retina, NMDA-treated retina (15 mM NMDA, 2 μL/eye) and CoCl2-treated retina (9 mM CoCl2, 2 μL/eye) at 7 days after intravitreal injection. The NMDA-treated retina demonstrates disappearance of ganglion cells in GCL and CoCl2-treated retina shows degeneration of photoreceptor cells in ONL. LPF, low-power field; HPF, high-power field; NMDA, N-methyl-d-aspartate; GCL, ganglion cell layer; INL, inner nuclear layer; ONL, outer nuclear layer. Scale bars in left upper and left lower panels indicate 80 μm and 20 μm, respectively.

4. Demyelination and Retinal Cell Degeneration of Experimental Autoimmune Encephalomyelitis (EAE) as a Model for Multiple Sclerosis
Multiple sclerosis (MS) is an immune-mediated, demyelinating and neurodegenerative disease that currently lacks any neuroprotective therapies. Since the visual system is a relatively accessible sensory system that includes white matter that is affected by neuroinflammatory process in MS, it provides a good target to monitor nerve loss and repair. Optic neuritis, which occurs as a result of inflammation of the optic nerve and is often the presenting feature of MS, can result in loss of vision due to impulse conduction failure through demyelination [70,71], axonal transection and loss in the optic nerve followed by depletion of retinal ganglion cells (RGC) in the retina. Optic neuritis is associated with retinal nerve fibre layer thinning during the progression of MS, and individuals with MS develop retinal nerve loss with regard to the diagnosis of optic neuritis [72]. Therefore, monitoring axonal loss due to optic neuritis would be a valuable method of assessing the effectiveness of therapeutic strategies targeting neurodegeneration during inflammatory central nervous system (CNS) diseases [73].
Experimental autoimmune encephalomyelitis (EAE) is the most commonly used paradigm for MS, and can be induced in mice by immunization with myelin antigens [74]. Neuronal loss, including RGC apoptosis in eyes with optic neuritis, also occurs in EAE [75]. However, the clinical course and level of neuronal damage in MS and EAE is variable. A study of mechanisms and kinetics of RGC loss in C57/BL6 mice immunized with myelin oligodendrocyte glycoprotein to induce a chronic EAE disease indicated that differences in the course of clinical disease during optic nerve inflammation may trigger distinct mechanisms of neuronal damage, or RGCs in different rodent strains may have variable resistance to neuronal degeneration [76].
Infiltration of inflammatory cells mediate demyelination and axonal injury in EAE models of experimental optic neuritis, and axonal injury triggers RGC death occurs by apoptosis. EAE not only affects activation of apoptotic signals, but also causes a glial response in the retina [77]. Neuroprotective therapies will likely need to be initiated prior to axonal injury to prevent permanent RGC loss from optic neuritis to preserve neuronal function [78]. There are many reports that have described prevention of RGC loss in EAE. For example, corticosteroids attenuated both optic neuritis and RGC loss when treatment was initiated before onset of optic nerve inflammation, EAE. Once inflammation has started, corticosteroids are less effective, suggesting that chronic immunomodulation may prevent recurrent optic neuritis and RGC damage [79]. HE3286, (17α-ethynyl-5-androstene-3β,7β,17β-triol), a synthetic derivative of a natural steroid, exerts anti-inflammatory effects in several disease models, suppresses inflammation, reduces demyelination and axonal loss, and promotes RGC survival and preservation of function [80]. Calpain, a member of calcium-dependent, non-lysosomal cysteine protease family that is ubiquitously expressed in mammals, inhibits expression of proapoptotic proteins and the proinflammatory molecule, nuclear NF-κB, in the retina of Lewis rats with acute EAE. These data indicate that calpain inhibition might be a useful supplement to immunomodulatory therapies such as corticosteroids in optic neuritis, due to its neuroprotective effect on RGCs [81,82]. Brambilla et al. reported transgenic inhibition of astroglial NF-κB ameliorates optic nerve damage and also retinal ganglion cell loss in experimental optic neuritis [83] suggesting that the NF-κB system may play a crucial role in EAE development. Administration of NMDA receptor antagonists protects RGC and axons, as well as reduces optic nerve demyelination in EAE, indicating that NMDA receptor blockade protected RGCs directly and that the protection is independent of effects on oligodendrocytes. Moreover, increased RGC survival was observed before the onset of optic nerve demyelination—when RGC degeneration had already started. These results indicate an important pathophysiological role for NMDA receptor-mediated glutamate toxicity during the induction phase of this disease model and highlight a potential target for therapeutic neuroprotection in human optic neuritis [84]. Furthermore, it has also been reported that inflammatory damage of axons in the optic nerve and subsequent loss of RGCs in the retina in EAE was inhibited by the systemic administration of a sodium channel blocker (oxcarbazepine) or intraocular treatment with siRNA targeting caspase-2 [74] and by an N-type voltage-dependent calcium channel blocker [85]. Importantly, recent evidence suggested that the most widely used disease-modifying drugs for MS targeting inflammation are ineffective in preventing permanent disability [86]. Interestingly, Talla et al. has reported that NADH-dehydrogenase type-2 expression in mitochondria of RGCs suppressed irreversible visual loss and retinal cell degeneration in the EAE animal model of MS [87]. Since mitochondrial dysfunction has been proposed as a cause of axonal degeneration in MS patients [88], targeting the dysfunctional NADH-dehydrogenase type-2 of EAE responsible for loss of respiration, mitochondrial oxidative stress and apoptosis may be a novel approach to ameliorate neuronal and axonal loss that that is not addressed by current disease modifying drugs for MS [87].
Besides the EAE model, toxin-induced demyelinating models, such as the cuprizone (bis-cyclohexanone-oxalyldihydrazone) [89,90], lysophosphatidyl choline [91] and the ethidium bromide [92] models, have been used to study the molecular factors contributing to demyelination processes. The cuprizone model has been used as a retinal demyelination model, and Namekawa et al. [93] reported that cuprizone demyelinates optic nerves and the extent of demyelination is attenuated in mice overexpressing Dock3, an atypical guanine nucleotide exchange factor. Moreover, impairment of visual function by cuprizone treatment (as demonstrated by multifocal electroretinograms) is prevented by Dock3 overexpression.
5. Retinal Cell Degeneration Induced by Optic Nerve Crush Injury
Injury to the optic nerve (ON) is associated with various ocular diseases and abnormalities, such as glaucoma, traumatic optic neuropathy, ischemic optic neuropathy, and compressive optic neuropathy, all of which lead to RGC loss via apoptosis [94]. One animal model in widespread use for the study of RGC loss is optic nerve crush, which leads to the initiation of caspase cascades and apoptosis of RGC in a predictable manner [95]. The involvement of specific caspases in optic neuropathy, glaucoma, and RGC death has been previously implicated [96]. For example, in the ON of glaucoma patients, more axons were found to express caspase-3, while in the animal model, ON crush activates caspase-2 [97] and ON axotomy activates caspases-3, -6, -8, and -9 in RGCs [98,99,100,101,102]. More recently, Choudhury et al. reported caspase-7 is a critical mediator of optic nerve crush-induced RGC death [96]. Additionally, in another animal models, it has been reported that chronic ocular hypertension in rat model activates caspases-3, -8, and -9 [98,99,100,101,102,103,104,105] and retinal transient ischemia activates caspases-2 and -3 [106,107]. Various compounds were studied for development research using this optic nerve crush model [108,109,110,111]. For example, Dock3 overexpression and p38 inhibition synergistically stimulate neuroprotection and axon generation after optic nerve crush [112].
It has been reported that trophic factors, such as brain-derived neurotrophic factor (BDNF), protect RGCs and promote axon regeneration in an ON model [113]. Recently, Harada et al. [114] reported that glial BDNF signaling plays an important role in retinal glial cells in the early stage of neural protection after ON injury using TrkB receptor deleted mice. A similar result was also reported in glutamate-induced retinal degeneration model [115].
In fish, persistent neurogenesis and the capacity to regenerate neurons leading to repair and restoration of function in a damaged retinal tissue of adult animals has been recognized for decades. Most recent studies of persistent neurogenesis and regeneration in the retina have used the zebrafish as an experimental model because of the many well-known advantages of this species: ease of maintaining and breeding, the availability of genetic tools including mutants and transgenic lines, and a rapidly growing community of zebrafish researchers [116]. Typically, nerve injury of adult mammalian CNS neurons results in retrograde neuronal degeneration and cell death. However, while the RGCs of rats do not regenerate and become apoptotic after optic nerve injury, goldfish RGCs can survive and regrow their axons after injury. Koriyama et al. also reported different pAkt-Bax expression in goldfish and rats after optic nerve crush as a key factor [117].
6. Transient Ischemia-Induced Retinal Cell Degeneration
The retina is part of the CNS, and therefore cell death pathways that are produced in response to ischemic damage in the retina mirror those found in other areas of the CNS undergoing similar trauma [118]. Among the experimental models of cerebral ischemia, the most common are focal models that either permanently or transiently occlude blood flow of middle cerebral artery (MCA) [119,120]. Filamentous MCA occlusion (fMCAO) is the most frequently used focal cerebral ischemia model in rodents [121]. Steele et al. reported that fMCAO induced retinal ischemic damage because the ophthalmic artery originated from the internal carotid artery and is proximal to the origin of the MCA [122]. As the ophthalmic artery predominantly supplies the inner retina and it is proximal to the origin of MCA, occlusion of the MCA will simultaneously interrupt the vascular supply to the retina and the whole eye, resulting in retinal ischemia [123]. fMCAO is a useful model for studies aimed at understanding the changes that lead to retinal damage in these patients and may be used to develop novel therapeutic agents [122].
Addition to fMCAO, many studies have shown that retinal cell damage may be induced by transient retinal ischemia, for example by increasing IOP above the arterial blood pressure [123,124,125] or by ligating the optic nerve together with the central retinal artery for some period [124,125]. These retinal transient ischemic models have been widely used for development of therapeutic compound or tools [126,127,128,129,130]. However, increasing IOP may also produce mechanical damage to neuronal cells due to the high pressure itself, whereas nerve ligation may cause indirect effects due to interruption of neuronal transport, and also to a possible ligation of collateral blood supplies. We have developed a highly reproducible transient ischemia of the rat retina produced by photochemical induction of a thrombotic occlusion, with a combination of intravenous injection of photo-sensitive Rose Bengal dye and green laser irradiation of the central retinal artery, and its subsequent thrombolytic reperfusion with tPA [131]. After the transient retinal ischemia-induced by this method, RGC loss were clearly observed [131]. The photochemically induced retinal ischemic model might be a useful tool for pharmacotherapy research.
Retinal vein occlusion (RVO) is the second most common retinal vascular disease after diabetic retinopathy [132]. However, since there is currently no definitive treatment for RVO, a reliable animal model of RVO is needed in pharmacotherapy research. For this purpose, several methods, namely mechanical ligation [133], endothelin-1 injection [134] and light coagulation [135], were used for inducing RVO in rats, cats, or rabbits. Currently, the most common method to induce RVO in rats is laser photocoagulation with a photosensitizer [136]. Recently, Chen et al. [137] have developed a reproducible and reliable animal rat RVO model that is produced by photochemically-induced ischemia using erythrosin B, and mimicks key features of human RVO. A similar model in miniature pig has also been developed [138].
Retinal ischemia results in irreversible morphological and functional changes, and the tissue damage and functional deficits that follow periods of transient ischemia reflect the combined effects of several interrelated pathophysiological pathways that result in drastic changes in ion movements, neurotransmitter levels and metabolites. Among them, a great deal of evidence suggested that glutamate release and activation of NMDA and non-NMDA receptors clearly play an important role in retinal ischemic injury [139]. The glutamate toxicity after retinal ischemia was caused in conjunction with other pathological cascade, such as TNF/TNF receptor 1 activation [140].
7. Light-Induced Retinal Cell Degeneration
Age-related macular degeneration (AMD), a common and painless eye condition, is a leading cause of vision loss for people older than 50 years, but the molecular mechanism underlying AMD is unkown [141]. Light-induced retinal damage, a well-established in vivo model for retinal degeneration, mimicks most of the essential characteristics of human AMD and has been widely used to investigate the mechanisms of neuroretinal dysfunction [142]. Light is a double-edged sword in the visual system; that is, light triggers the well-known visual transduction cascade by its action on rhodopsin, but light exposure can also induce apoptosis in the retinal cells including photoreceptors and RGCs [142,143]. Although the exact molecular and pathophysiologic mechanism of light-induced photoreceptor and RGC damage remain unclear, recently, several mechanisms were proposed, such as up-regulation of pyruvate kinase isozyme type M2 (PKM2) for RGC loss [144] and increased expression of the proton-sensing G protein-coupled receptor Gpr65 for photoreceptor degeneration [145]. It has also been reported that functional autophagy plays key roles of light-induced retinopathy [146].
Interestingly, it has been reported that various stressors, such as mechanical injury, bright light, and ischemia, protect the retina against light-induced photoreceptor degeneration [147,148,149]. Casson et al. demonstrated that RGC loss induced by optic nerve transection or intravitreal NMDA-injection protect light-induced photoreceptor degeneration [150].
8. Conclusions
In this review, we described various animal models of retinal cell degeneration induced by chemical, autoimmune, mechanical stress and ischemia. Their target region, pathology and proposed mechanism of each model are summarized in Table 1. Both NMDA and CoCl2 are used to specifically induce loss of RGCs and retinal photoreceptor cells, respectively. These chemical models are easily applied to mice and other animals. The autoimmune model, EAE, secondarily induces specific RGC loss due to demyelination and axonal injury. Optic nerve crush injury, one method of mechanical stress, induces selective RGC loss via caspase activation. Various compounds have been studied for drug development research using this model. In vivo retina ischemia models, which produce degeneration of RGC, photoreceptor cell and amacrine cells, are useful to study various cell death pathways such as apoptosis. Light-induced retinal degeneration mainly affects RGC and photoreceptor cells, mimics most of the essential characteristics of human AMD and has been widely used to study the mechanism of retinal dysfunction. Thus, a variety of animal models of retinal degeneration have been used to elucidate key mechanisms underlying retinal cell degeneration in order to develop novel effective therapeutic drugs to treat retinal cell damage.
Table 1.
Summary of animal models for retinal cell degeneration.
| Target Region | Pathology | Proposed Mechanism | Reference | |
|---|---|---|---|---|
| NMDA-induced retinal cell degeneration | RGC | RGC loss | NMDAR, (GlunN2B and Glun2D) activation glutamate transporter deficit | [10,11,12,16,18] |
| CoCl2-induced retinal cell degeneration | Photoreceptor | photoreceptor cell loss | HIF-1alpha, hypoxia, septin8? | [59,61,66] |
| Experimental autoimmune encephalomyelitis (EAE) | Myeline | demyelination and axonal injurycaused RGC loss | dysfunctional NADH-dehydrogenase type-2, Dock3 | [87,88,93] |
| Optic nerve crush injury | Optic nerve | RGC loss | caspase activation | [95,96] |
| Transient ischemia-induced retinalcell degeneration | Retina | Degeneration of RGC, Photoreceptor cells andAmacrine cells | glutamate release and NMDA/non-NMDA receptor activation, Activation of TNF/TNF-R system, etc. | [139,140] |
| Light-induced retinal cell degeneration | RGC, photoreceptor | RGC loss photoreceptor cell loss | up-regulation of PKM2 for RGC loss increased expression of Gpr65 for photoreceptor loss | [144,145] |
Retinal and optic nerve degenerative diseases are major causes of blindness. Basic preclinical research examining nerve protection and regeneration therapy in eye diseases, including glaucoma, have explored many approaches, such as use of stem cells and ES cells for transplantation in MCAO stroke model were performed [125]. We also attempted retinal regeneration by transplantation of ES cells after retinal degeneration induced by NMDA [39,40]. Overexpression of Dock3 also contributes to both neuroprotection and axon regeneration in retinal degeneration induced by optic nerve injury model and demyelinating model [95,114]. The animal models of retinal diseases described in this review have already yielded important findings, and will ultimately lead to effective novel therapies for the treatment of retinal cell degeneration.
Author Contributions
Masayuki Niwa and Akira Hara both contributed to the review, concept and writing of this manuscript. Hitomi Aoki, Akihiro Hirata, Hiroyuki Tomita and Paul G. Green wrote and edited it.
Conflicts of Interest
The authors declare no conflict of interest.
References
- Bresnick, G.H. Excitotoxins: A possible new mechanism for the pathogenesis of ischemic retinal damage. Arch. Ophthalmol. 1989, 107, 339–341. [Google Scholar] [CrossRef] [PubMed]
- Schumer, R.A.; Podos, S.M. The nerve of glaucoma! Arch. Ophthalmol. 1994, 112, 37–44. [Google Scholar] [CrossRef] [PubMed]
- Osborne, N.N.; Ugarte, M.; Chao, M.; Chidlow, G.; Bae, J.H.; Wood, J.P.; Nash, M.S. Neuroprotection in relation to retinal ischemia and relevance to glaucoma. Surv. Ophthalmol. 1999, 43, S102–S128. [Google Scholar] [CrossRef]
- Carter-Dawson, L.; Crawford, M.L.; Harwerth, R.S.; Smith, E.L., 3rd; Feldman, R.; Shen, F.F.; Mitchell, C.K.; Whitetree, A. Vitreal glutamate concentration in monkeys with experimental glaucoma. Investig. Ophthalmol. Vis. Sci. 2002, 43, 2633–2637. [Google Scholar]
- Honkanen, R.A.; Baruah, S.; Zimmerman, M.B.; Khanna, C.L.; Weaver, Y.K.; Narkiewicz, J.; Waziri, R.; Gehrs, K.M.; Weingeist, T.A.; Boldt, H.C.; et al. Vitreous amino acid concentrations in patients with glaucoma undergoing vitrectomy. Arch. Ophthalmol. 2003, 121, 183–188. [Google Scholar] [CrossRef] [PubMed]
- Agarwal, R.; Gupta, S.K.; Agarwal, P.; Saxena, R.; Agrawal, S.S. Current concepts in the pathophysiology of glaucoma. Indian J. Ophthalmol. 2009, 57, 257–266. [Google Scholar] [PubMed]
- Klein, B.E.; Klein, R.; Sponsel, W.E.; Franke, T.; Cantor, L.B.; Martone, J.; Menage, M.J. Prevalence of glaucoma: The Beaver dam EYE Study. Ophthalmology 1992, 99, 1499–1504. [Google Scholar] [CrossRef]
- Bonomi, L.; Marchini, G.; Marraffa, M.; Bernardi, P.; de Franco, I.; Perfetti, S.; Varotto, A.; Tenna, V. Prevalence of glaucoma and intraocular pressure distribution in a defined population: The Egna-Neumarkt Study. Ophthalmology 1998, 105, 209–215. [Google Scholar] [CrossRef]
- Anderson, D.R.; Normal Tension Glaucoma Study. Collaborative normal tension glaucoma study. Curr. Opin. Ophthalmol. 2003, 14, 86–90. [Google Scholar] [CrossRef] [PubMed]
- Lam, T.T.; Abler, A.S.; Kwong, J.M.; Tso, M.O. N-methyl-d-aspartate (NMDA)-induced apoptosis in rat retina. Investig. Ophthalmol. Vis. Sci. 1999, 40, 2391–2397. [Google Scholar]
- Izumi, Y.; Hammerman, S.B.; Kirby, C.O.; Benz, A.M.; Olney, J.W.; Zorumski, C.F. Involvement of glutamate in ischemic neurodegeneration in isolated retina. Vis. Neurosci. 2003, 20, 97–107. [Google Scholar] [CrossRef] [PubMed]
- Bai, N.; Aida, T.; Yanagisawa, M.; Katou, S.; Sakimura, K.; Mishina, M.; Tanaka, K. NMDA receptor subunits have different roles in, NMDA-induced neurotoxicity in the retina. Mol. Brain 2013, 6, 34. [Google Scholar] [CrossRef] [PubMed]
- Casson, R.J. Possible role of excitotoxicity in the pathogenesis of glaucoma. Clin. Exp. Ophthalmol. 2006, 34, 54–63. [Google Scholar] [CrossRef] [PubMed]
- Kaur, C.; Foulds, W.S.; Ling, E.A. Hypoxia-ischemia and retinal ganglion cell damage. Clin. Ophthalmol. 2008, 2, 879–889. [Google Scholar] [CrossRef] [PubMed]
- Hernández, C.; Simó, R. Neuroprotection in diabetic retinopathy. Curr. Diabetes Rep. 2012, 12, 329–337. [Google Scholar] [CrossRef] [PubMed]
- Ferreira, I.L.; Duarte, C.B.; Carvalho, A.P. Ca2+ influx through glutamate receptor-associated channels in retina cells correlates with neuronal cell death. Eur. J. Pharmacol. 1996, 302, 153–162. [Google Scholar] [CrossRef]
- Danbolt, N.C. Glutamate uptake. Prog. Neurobiol. 2001, 65, 1–105. [Google Scholar] [CrossRef]
- Harada, T.; Harada, C.; Nakamura, K.; Quah, H.M.; Okumura, A.; Namekata, K.; Saeki, T.; Aihara, M.; Yoshida, H.; Mitani, A.; et al. The potential role of glutamate transporters in the pathogenesis of normal tension glaucoma. J. Clin. Investig. 2007, 117, 1763–1770. [Google Scholar] [CrossRef] [PubMed]
- Kwong, J.M.; Lam, T.T.; Caprioli, J. Hyperthermic pre-conditioning protects retinal neurons from N-methyl-d-aspartate (NMDA)-induced apoptosis in rat. Brain Res. 2003, 970, 119–130. [Google Scholar] [CrossRef]
- Li, Y.; Schlamp, C.L.; Nickells, R.W. Experimental induction of retinal ganglion cell death in adult mice. Investig. Ophthalmol. Vis. Sci. 1999, 40, 1004–1008. [Google Scholar]
- Mattson, M.P.; Duan, W. ”Apoptotic” biochemical cascades in synaptic compartments: Roles in adaptive plasticity and neurodegenerative disorders. J. Neurosci. Res. 1999, 58, 152–166. [Google Scholar] [CrossRef]
- Macfarlane, B.V.; Wright, A.; Benson, H.A. Reversible blockade of retrograde axonal transport in the rat sciatic nerve by vincristine. J. Pharm. Pharmacol. 1997, 49, 97–101. [Google Scholar] [CrossRef] [PubMed]
- Hara, A.; Niwa, M.; Kumada, M.; Kitaori, N.; Yamamoto, T.; Kozawa, O.; Mori, H. Fragmented, DNA transport in dendrites of retinal neurons during apoptotic cell death. Brain Res. 2004, 1007, 183–187. [Google Scholar] [CrossRef] [PubMed]
- Hara, A.; Niwa, M.; Iwai, T.; Nakashima, M.; Bunai, Y.; Uematsu, T.; Yoshimi, N.; Mori, H. Neuronal apoptosis studied by a sequential, TUNEL technique: A method for tract-tracing. Brain Res. Brain Res. Protoc. 1999, 4, 140–146. [Google Scholar] [CrossRef]
- Kumada, M.; Niwa, M.; Wang, X.; Matsuno, H.; Hara, A.; Mori, H.; Matsuo, O.; Yamamoto, T.; Kozawa, O. Endogenous tissue type plasminogen activator facilitates, NMDA-induced retinal damage. Toxicol. Appl. Pharmacol. 2004, 200, 48–53. [Google Scholar] [CrossRef] [PubMed]
- Kumada, M.; Niwa, M.; Hara, A.; Matsuno, H.; Mori, H.; Ueshima, S.; Matsuo, O.; Yamamoto, T.; Kozawa, O. Tissue type plasminogen activator facilitates, NMDA-receptor-mediated retinal apoptosis through an independent fibrinolytic cascade. Investig. Ophthalmol. Vis. Sci. 2005, 46, 1504–1507. [Google Scholar] [CrossRef] [PubMed]
- Mali, R.S.; Cheng, M.; Chintala, S.K. Plasminogen activators promote excitotoxicity-induced retinal damage. FASEB J. 2005, 19, 1280–1289. [Google Scholar] [CrossRef] [PubMed]
- Huang, L.; Balsara, R.D.; Castellino, F.J. Synthetic conantokin peptides potently inhibit N-methyl-d-aspartate receptor-mediated currents of retinal ganglion cells. J. Neurosci. Res. 2014, 92, 1767–1774. [Google Scholar] [CrossRef] [PubMed]
- Sakamoto, K.; Suzuki, Y.; Kurauchi, Y.; Mori, A.; Nakahara, T.; Ishii, K. Hydrogen sulfide attenuates NMDA-induced neuronal injury via its anti-oxidative activity in the rat retina. Exp. Eye Res. 2014, 120, 90–96. [Google Scholar] [CrossRef] [PubMed]
- El-Azab, M.F.; Baldowski, B.R.; Mysona, B.A.; Shanab, A.Y.; Mohamed, I.N.; Abdelsaid, M.A.; Matragoon, S.; Bollinger, K.E.; Saul, A.; El-Remessy, A.B. Deletion of thioredoxin-interacting protein preserves retinal neuronal function by preventing inflammation and vascular injury. Br. J. Pharmacol. 2014, 171, 1299–1313. [Google Scholar] [CrossRef] [PubMed]
- Ueda, K.; Nakahara, T.; Mori, A.; Sakamoto, K.; Ishii, K. Protective effects of TGF-β inhibitors in a rat model of NMDA-induced retinal degeneration. Eur. J. Pharmacol. 2013, 699, 188–193. [Google Scholar] [CrossRef] [PubMed]
- Chen, F.; Jiang, L.; Shen, C.; Wan, H.; Xu, L.; Wang, N.; Jonas, J.B. Neuroprotective effect of epigallocatechin-3-gallate against N-methyl-d-aspartate-induced excitotoxicity in the adult rat retina. Acta Ophthalmol. 2012, 90, e609–e615. [Google Scholar] [CrossRef] [PubMed]
- Inokuchi, Y.; Imai, S.; Nakajima, Y.; Shimazawa, M.; Aihara, M.; Araie, M.; Hara, H. Edaravone, a free radical scavenger, protects against retinal damage in vitro and in vivo. J. Pharmacol. Exp. Ther. 2009, 329, 687–698. [Google Scholar] [CrossRef] [PubMed]
- Ju, W.K.; Kim, K.Y.; Angert, M.; Duong-Polk, K.X.; Lindsey, J.D.; Ellisman, M.H.; Weinreb, R.N. Memantine blocks mitochondrial OPA1 and cytochrome c release and subsequent apoptotic cell death in glaucomatous retina. Investig. Ophthalmol. Vis. Sci. 2009, 50, 707–716. [Google Scholar] [CrossRef] [PubMed]
- Suemori, S.; Shimazawa, M.; Kawase, K.; Satoh, M.; Nagase, H.; Yamamoto, T.; Hara, H. Metallothionein, an endogenous antioxidant, protects against retinal neuron damage in mice. Investig. Ophthalmol. Vis. Sci. 2006, 47, 3975–3982. [Google Scholar] [CrossRef] [PubMed]
- Fischer, A.J.; Reh, T.A. Exogenous growth factors stimulate the regeneration of ganglion cells in the chicken retina. Dev. Biol. 2002, 251, 367–379. [Google Scholar] [CrossRef] [PubMed]
- Sattayasai, J.; Zappia, J.; Ehrlich, D. Differential effects of excitatory amino acids on photoreceptors of the chick retina: An electron-microscopical study using the zinc-iodide-osmium technique. Vis. Neurosci. 1989, 2, 237–245. [Google Scholar] [CrossRef] [PubMed]
- Hara, A.; Niwa, M.; Kumada, M.; Aoki, H.; Kunisada, T.; Oyama, T.; Yamamoto, T.; Kozawa, O.; Mori, H. Intraocular injection of folate antagonist methotrexate induces neuronal differentiation of embryonic stem cells transplanted in the adult mouse retina. Brain Res. 2006, 1085, 33–42. [Google Scholar] [CrossRef] [PubMed]
- Hara, A.; Taguchi, A.; Aoki, H.; Hatano, Y.; Niwa, M.; Yamada, Y.; Kunisada, T. Folate antagonist, methotrexate induces neuronal differentiation of human embryonic stem cells transplanted into nude mouse retina. Neurosci. Lett. 2010, 477, 138–143. [Google Scholar] [CrossRef] [PubMed]
- Hara, A.; Niwa, M.; Kunisada, T.; Yoshimura, N.; Katayama, M.; Kozawa, O.; Mori, H. Embryonic stem cells are capable of generating a neuronal network in the adult mouse retina. Brain Res. 2004, 999, 216–221. [Google Scholar] [CrossRef] [PubMed]
- Aoki, H.; Hara, A.; Niwa, M.; Motohashi, T.; Suzuki, T.; Kunisada, T. Transplantation of cells from eye-like structures differentiated from embryonic stem cells in vitro and in vivo regeneration of retinal ganglion-like cells. Graefes Arch. Clin. Exp. Ophthalmol. 2008, 246, 255–265. [Google Scholar] [CrossRef] [PubMed]
- Aoki, H.; Hara, A.; Niwa, M.; Yamada, Y.; Kunisada, T. In vitro and in vivo differentiation of human embryonic stem cells into retina-like organs and comparison with that from mouse pluripotent epiblast stem cells. Dev. Dyn. 2009, 238, 2266–2279. [Google Scholar] [CrossRef] [PubMed]
- Berson, E.L. Retinitis pigmentosa. Investig. Ophthalmol. Vis. Sci. 1993, 34, 1659–1676. [Google Scholar]
- Kennan, A.; Aherne, A.; Humphries, P. Light in retinitis pigmentosa. Trends Genet. 2005, 21, 103–110. [Google Scholar] [CrossRef] [PubMed]
- Green, W.R. Histopathology of age-related macular degeneration. Mol. Vis. 1999, 5, 27. [Google Scholar] [PubMed]
- Zack, D.J.; Dean, M.; Molday, R.S.; Nathans, J.; Redmond, T.M.; Stone, E.M.; Swaroop, A.; Valle, D.; Weber, B.H. What can we learn about age-related macular degeneration from other retinal diseases? Mol. Vis. 1999, 5, 30. [Google Scholar] [PubMed]
- Delyfer, M.N.; Léveillard, T.; Mohand-Saïd, S.; Hicks, D.; Picaud, S.; Sahel, J.A. Inherited retinal degenerations: Therapeutic prospects. Biol. Cell 2004, 96, 261–269. [Google Scholar] [CrossRef] [PubMed]
- Yu, D.Y.; Cringle, S.J. Retinal degeneration and local oxygen metabolism. Exp. Eye Res. 2005, 80, 745–751. [Google Scholar] [CrossRef] [PubMed]
- Bowes, C.; Li, T.; Danciger, M.; Baxter, L.C.; Applebury, M.L.; Farber, D.B. Retinal degeneration in the rd mouse is caused by a defect in the β subunit of rod cGMP-phosphodiesterase. Nature 1990, 347, 677–680. [Google Scholar] [CrossRef] [PubMed]
- Jiménez, A.J.; García-Fernández, J.M.; González, B.; Foster, R.G. The spatio-temporal pattern of photoreceptor degeneration in the aged rd/rd mouse retina. Cell Tissue Res. 1996, 284, 193–202. [Google Scholar] [PubMed]
- Chang, B.; Heckenlively, J.R.; Hawes, N.L.; Roderick, T.H. New mouse primary retinal degeneration (rd-3). Genomics 1993, 16, 45–49. [Google Scholar] [CrossRef] [PubMed]
- Hawes, N.L.; Chang, B.; Hageman, G.S.; Nusinowitz, S.; Nishina, P.M.; Schneider, B.S.; Smith, R.S.; Roderick, T.H.; Davisson, M.T.; Heckenlively, J.R. Retinal degeneration 6 (rd6): A new mouse model for human retinitis punctata albescens. Investig. Ophthalmol. Vis. Sci. 2000, 41, 3149–3157. [Google Scholar]
- Maslim, J.; Valter, K.; Egensperger, R.; Holländer, H.; Stone, J. Tissue oxygen during a critical developmental period controls the death and survival of photoreceptors. Investig. Ophthalmol. Vis. Sci. 1997, 38, 1667–1677. [Google Scholar]
- Valter, K.; Maslim, J.; Bowers, F.; Stone, J. Photoreceptor dystrophy in the RCS rat: Roles of oxygen, debris, and bFGF. Investig. Ophthalmol. Vis. Sci. 1998, 39, 2427–2442. [Google Scholar]
- Badr, G.A.; Zhang, J.Z.; Tang, J.; Kern, T.S.; Ismail-Beigi, F. Glut1 and glut3 expression, but not capillary density, is increased by cobalt chloride in rat cerebrum and retina. Brain Res. Mol. Brain Res. 1999, 64, 24–33. [Google Scholar] [CrossRef]
- Wang, G.L.; Semenza, G.L. Desferrioxamine induces erythropoietin gene expression and hypoxia-inducible factor 1DNA-binding activity: Implications for models of hypoxia signal transduction. Blood 1993, 82, 3610–3615. [Google Scholar] [PubMed]
- Ji, Z.; Yang, G.; Shahzidi, S.; Tkacz-Stachowska, K.; Suo, Z.; Nesland, J.M.; Peng, Q. Induction of hypoxia-inducible factor-1α overexpression by cobalt chloride enhances cellular resistance to photodynamic therapy. Cancer Lett. 2006, 244, 182–189. [Google Scholar] [CrossRef] [PubMed]
- Lee, S.G.; Lee, H.; Rho, H.M. Transcriptional repression of the human p53 gene by cobalt chloride mimicking hypoxia. FEBS Lett. 2001, 507, 259–263. [Google Scholar] [CrossRef]
- Vengellur, A.; Woods, B.G.; Ryan, H.E.; Johnson, R.S.; LaPres, J.J. Gene expression profiling of the hypoxia signaling pathway in hypoxia-inducible factor 1α null mouse embryonic fibroblasts. Gene Expr. 2003, 11, 181–197. [Google Scholar] [CrossRef] [PubMed]
- Roessner, C.A.; Santander, P.J.; Scott, A.I. Multiple biosynthetic pathways for vitamin B12: Variations on a central theme. Vitam. Horm. 2001, 61, 267–297. [Google Scholar] [PubMed]
- Yuan, Y.; Hilliard, G.; Ferguson, T.; Millhorn, D.E. Cobalt inhibits the interaction between hypoxia-inducible factor-alpha and von Hippel-Lindau protein by direct binding to hypoxia-inducible factor-α. J. Biol. Chem. 2003, 278, 15911–15916. [Google Scholar] [CrossRef] [PubMed]
- Liu, X.H.; Kirschenbaum, A.; Yao, S.; Stearns, M.E.; Holland, J.F.; Claffey, K.; Levine, A.C. Upregulation of vascular endothelial growth factor by cobalt chloride-simulated hypoxia is mediated by persistent induction of cyclooxygenase-2 in a metastatic human prostate cancer cell line. Clin. Exp. Metastasis 1999, 17, 687–694. [Google Scholar] [CrossRef] [PubMed]
- Minchenko, A.; Bauer, T.; Salceda, S.; Caro, J. Hypoxic stimulation of vascular endothelial growth factor expression in vitro and in vivo. Lab. Investig. 1994, 71, 374–379. [Google Scholar] [PubMed]
- Matsumoto, M.; Makino, Y.; Tanaka, T.; Tanaka, H.; Ishizaka, N.; Noiri, E.; Fujita, T.; Nangaku, M. Induction of renoprotective gene expression by cobalt ameliorates ischemic injury of the kidney in rats. J. Am. Soc. Nephrol. 2003, 14, 1825–1832. [Google Scholar] [CrossRef] [PubMed]
- Hara, A.; Niwa, M.; Aoki, H.; Kumada, M.; Kunisada, T.; Oyama, T.; Yamamoto, T.; Kozawa, O.; Mori, H. A new model of retinal photoreceptor cell degeneration induced by a chemical hypoxia-mimicking agent, cobalt chloride. Brain Res. 2006, 1109, 192–200. [Google Scholar] [CrossRef] [PubMed]
- Hara, A.; Taguchi, A.; Niwa, M.; Aoki, H.; Yamada, Y.; Ito, H.; Nagata, K.; Kunisada, T.; Mori, H. Localization of septin 8 in murine retina, and spatiotemporal expression of septin 8 in a murine model of photoreceptor cell degeneration. Neurosci. Lett. 2007, 423, 205–210. [Google Scholar] [CrossRef] [PubMed]
- Lu, B.; Kwan, T.; Kurimoto, Y.; Shatos, M.; Lund, R.D.; Young, M.J. Transplantation of EGF-responsive neurospheres from GFP transgenic mice into the eyes of rd mice. Brain Res. 2002, 943, 292–300. [Google Scholar] [CrossRef]
- Meyer, J.S.; Katz, M.L.; Maruniak, J.A.; Kirk, M.D. Neural differentiation of mouse embryonic stem cells in vitro and after transplantation into eyes of mutant mice with rapid retinal degeneration. Brain Res. 2004, 1014, 131–144. [Google Scholar] [CrossRef] [PubMed]
- Wu, Y.C.; Chang, C.Y.; Kao, A.; Hsi, B.; Lee, S.H.; Chen, Y.H.; Wang, I.J. Hypoxia-induced retinal neovascularization in zebrafish embryos: A potential model of retinopathy of prematurity. PLoS ONE 2015, 10, e0126750. [Google Scholar] [CrossRef] [PubMed]
- Compston, A.; Coles, A. Multiple sclerosis. Lancet 2008, 372, 1502–1517. [Google Scholar] [CrossRef]
- Arnold, A.C. Evolving management of optic neuritis and multiple sclerosis. Am. J. Ophthalmol. 2005, 139, 1101–1108. [Google Scholar] [CrossRef] [PubMed]
- Beck, R.W.; Gal, R.L.; Bhatti, M.T.; Brodsky, M.C.; Buckley, E.G.; Chrousos, G.A.; Corbett, J.; Eggenberger, E.; Goodwin, J.A.; Katz, B.; et al. Visual function more than 10 years after optic neuritis: Experience of the optic neuritis treatment trial. Am. J. Ophthalmol. 2004, 137, 77–83. [Google Scholar] [PubMed]
- Talman, L.S.; Bisker, E.R.; Sackel, D.J.; Long, D.A.; Galetta, K.M., Jr.; Ratchford, J.N.; Lile, D.J.; Farrell, S.K.; Loguidice, M.J.; Remington, G.; et al. Longitudinal study of vision and retinal nerve fiber layer thickness in multiple sclerosis. Ann. Neurol. 2010, 67, 749–760. [Google Scholar] [PubMed]
- Lidster, K.; Jackson, S.J.; Ahmed, Z.; Munro, P.; Coffey, P.; Giovannoni, G.; Baker, M.D.; Baker, D. Neuroprotection in a novel mouse model of multiple sclerosis. PLoS ONE 2013, 8, e79188. [Google Scholar] [CrossRef] [PubMed]
- Lublin, F.D. Role of myelin antigens in murine relapsing experimental allergic encephalomyelitis. J. Clin. Lab. Immunol. 1984, 13, 179–182. [Google Scholar] [PubMed]
- Quinn, T.A.; Dutt, M.; Shindler, K.S. Optic neuritis and retinal ganglion cell loss in a chronic murine model of multiple sclerosis. Front. Neurol. 2011, 2, 50. [Google Scholar] [CrossRef] [PubMed]
- Horstmann, L.; Schmid, H.; Heinen, A.P.; Kurschus, F.C.; Dick, H.B.; Joachim, S.C. Inflammatory demyelination induces glia alterations and ganglion cell loss in the retina of an experimental autoimmune encephalomyelitis model. J. Neuroinflamm. 2013, 10, 120. [Google Scholar] [CrossRef] [PubMed]
- Shindler, K.S.; Ventura, E.; Dutt, M.; Rostami, A. Inflammatory demyelination induces axonal injury and retinal ganglion cell apoptosis in experimental optic neuritis. Exp. Eye Res. 2008, 87, 208–213. [Google Scholar] [CrossRef] [PubMed]
- Dutt, M.; Tabuena, P.; Ventura, E.; Rostami, A.; Shindler, K.S. Timing of corticosteroid therapy is critical to prevent retinal ganglion cell loss in experimental optic neuritis. Investig. Ophthalmol. Vis. Sci. 2010, 51, 1439–1445. [Google Scholar] [CrossRef] [PubMed]
- Khan, R.S.; Dine, K.; Luna, E.; Ahlem, C.; Shindler, K.S. HE3286 reduces axonal loss and preserves retinal ganglion cell function in experimental optic neuritis. Investig. Ophthalmol. Vis. Sci. 2014, 55, 5744–5751. [Google Scholar] [CrossRef] [PubMed]
- Smith, A.W.; Das, A.; Guyton, M.K.; Ray, S.K.; Rohrer, B.; Banik, N.L. Calpain inhibition attenuates apoptosis of retinal ganglion cells in acute optic neuritis. Investig. Ophthalmol. Vis. Sci. 2011, 52, 4935–4941. [Google Scholar] [CrossRef] [PubMed]
- Das, A.; Guyton, M.K.; Smith, A.; Wallace, G., IV; McDowell, M.L.; Matzelle, D.D.; Ray, S.K.; Banik, N.L. Calpain inhibitor attenuated optic nerve damage in acute optic neuritis in rats. J. Neurochem. 2013, 124, 133–146. [Google Scholar] [CrossRef] [PubMed]
- Brambilla, R.; Dvoriantchikova, G.; Barakat, D.; Ivanov, D.; Bethea, J.R.; Shestopalov, V.I. Transgenic inhibition of astroglial NF-κB protects from optic nerve damage and retinal ganglion cell loss in experimental optic neuritis. J. Neuroinflamm. 2012, 9, 213. [Google Scholar] [CrossRef] [PubMed]
- Sühs, K.W.; Fairless, R.; Williams, S.K.; Heine, K.; Cavalié, A.; Diem, R. N-Methyl-d-aspartate receptor blockade is neuroprotective in experimental autoimmune optic neuritis. J. Neuropathol. Exp. Neurol. 2014, 73, 507–518. [Google Scholar] [CrossRef] [PubMed]
- Gadjanski, I.; Boretius, S.; Williams, S.K.; Lingor, P.; Knöferle, J.; Sättler, M.B.; Fairless, R.; Hochmeister, S.; Sühs, K.W.; Michaelis, T.; et al. Role of n-type voltage-dependent calcium channels in autoimmune optic neuritis. Ann. Neurol. 2009, 66, 81–93. [Google Scholar] [CrossRef] [PubMed]
- Shirani, A.; Zhao, Y.; Karim, M.E.; Evans, C.; Kingwell, E.; van der Kop, M.L.; Oger, J.; Gustafson, P.; Petkau, J.; Tremlett, H. Association between use of interferon β and progression of disability in patients with relapsing-remitting multiple sclerosis. JAMA 2012, 308, 247–256. [Google Scholar] [CrossRef] [PubMed]
- Talla, V.; Yu, H.; Chou, T.H.; Porciatti, V.; Chiodo, V.; Boye, S.L.; Hauswirth, W.W.; Lewin, A.S.; Guy, J. NADH-dehydrogenase type-2 suppresses irreversible visual loss and neurodegeneration in the EAE animal model of MS. Mol. Ther. 2013, 21, 1876–1888. [Google Scholar] [CrossRef] [PubMed]
- Dutta, R.; McDonough, J.; Yin, X.; Peterson, J.; Chang, A.; Torres, T.; Gudz, T.; Macklin, W.B.; Lewis, D.A.; Fox, R.J.; et al. Mitochondrial dysfunction as a cause of axonal degeneration in multiple sclerosis patients. Ann. Neurol. 2006, 59, 478–489. [Google Scholar] [CrossRef] [PubMed]
- Nilsson, G. A new colour reaction on copper and ceratin carbonyl compounds. Acta Chem. Scand. 1950, 4, 205–208. [Google Scholar] [CrossRef]
- Praet, J.; Guglielmetti, C.; Berneman, Z.; van der Linden, A.; Ponsaerts, P. Cellular and molecular neuropathology of the cuprizone mouse model: Clinical relevance for multiple sclerosis. Neurosci. Biobehav. Rev. 2014, 485–505. [Google Scholar] [CrossRef] [PubMed]
- Payne, T.; Newmark, J.; Reid, K.H. The focally demyelinated rat fimbria: A new in vitro model for the study of acute demyelination in the central nervous system. Exp. Neurol. 1991, 114, 66–72. [Google Scholar] [CrossRef]
- Beckmann, D.V.; Carvalho, F.B.; Mazzanti, C.M.; dos Santos, R.P.; Andrades, A.O.; Aiello, G.; Rippilinger, A.; Graça, D.L.; Abdalla, F.H.; Oliveira, L.S.; et al. Neuroprotective role of quercetin in locomotor activities and cholinergic neurotransmission in rats experimentally demyelinated with ethidium bromide. Life Sci. 2014, 103, 79–87. [Google Scholar] [CrossRef] [PubMed]
- Namekata, K.; Kimura, A.; Harada, C.; Yoshida, H.; Matsumoto, Y.; Harada, T. Dock3 protects myelin in the cuprizone model for demyelination. Cell Death Dis. 2014, 5, e1395. [Google Scholar] [CrossRef] [PubMed]
- Berson, D.M.; Dunn, F.A.; Takao, M. Phototransduction by retinal ganglion cells that set the circadian clock. Science 2002, 295, 1070–1073. [Google Scholar] [CrossRef] [PubMed]
- Berkelaar, M.; Clarke, D.B.; Wang, Y.C.; Bray, G.M.; Aguayo, A.J. Axotomy results in delayed death and apoptosis of retinal ganglion cells in adult rats. J. Neurosci. 1994, 14, 4368–4374. [Google Scholar] [PubMed]
- Choudhury, S.; Liu, Y.; Clark, A.F.; Pang, I.H. Caspase-7: A critical mediator of optic nerve injury-induced retinal ganglion cell death. Mol. Neurodegener. 2015, 10, 40. [Google Scholar] [CrossRef] [PubMed]
- Ahmed, Z.; Kalinski, H.; Berry, M.; Almasieh, M.; Ashush, H.; Slager, N.; Brafman, A.; Spivak, I.; Prasad, N.; Mett, I.; et al. Ocular neuroprotection by siRNA targeting caspase-2. Cell Death Dis. 2011, 2, e173. [Google Scholar] [CrossRef] [PubMed]
- Kermer, P.; Klocker, N.; Labes, M.; Thomsen, S.; Srinivasan, A.; Bahr, M. Activation of caspase-3 in axotomized rat retinal ganglion cells in vivo. FEBS Lett. 1999, 453, 361–364. [Google Scholar] [CrossRef]
- Kermer, P.; Ankerhold, R.; Klocker, N.; Krajewski, S.; Reed, J.C.; Bahr, M. Caspase-9: Involvement in secondary death of axotomized rat retinal ganglion cells in vivo. Mol. Brain Res. 2000, 85, 144–150. [Google Scholar] [CrossRef]
- Weishaupt, J.H.; Diem, R.; Kermer, P.; Krajewski, S.; Reed, J.C.; Bahr, M. Contribution of caspase-8 to apoptosis of axotomized rat retinal ganglion cells in vivo. Neurobiol. Dis. 2003, 13, 124–135. [Google Scholar] [CrossRef]
- Cheung, Z.H.; Chan, Y.M.; Siu, F.K.; Yip, H.K.; Wu, W.; Leung, M.C.; So, K.F. Regulation of caspase activation in axotomized retinal ganglion cells. Mol. Cell. Neurosci. 2004, 25, 383–393. [Google Scholar] [CrossRef] [PubMed]
- Monnier, P.P.; D’Onofrio, P.M.; Magharious, M.; Hollander, A.C.; Tassew, N.; Szydlowska, K.; Tymianski, M.; Koeberle, P.D. Involvement of caspase-6 and caspase-8 in neuronal apoptosis and the regenerative failure of injured retinal ganglion cells. J. Neurosci. 2011, 31, 10494–10505. [Google Scholar] [CrossRef] [PubMed]
- Hänninen, V.A.; Pantcheva, M.B.; Freeman, E.E.; Poulin, N.R.; Grosskreutz, C.L. Activation of caspase 9 in a rat model of experimental glaucoma. Curr. Eye Res. 2002, 25, 389–395. [Google Scholar] [CrossRef] [PubMed]
- Tahzib, N.G.; Ransom, N.L.; Reitsamer, H.A.; McKinnon, S.J. Alpha-fodrin is cleaved by caspase-3 in a chronic ocular hypertension (COH) rat model of glaucoma. Brain Res. Bull. 2004, 62, 491–495. [Google Scholar] [CrossRef]
- Kim, H.S.; Park, C.K. Retinal ganglion cell death is delayed by activation of retinal intrinsic cell survival program. Brain Res. 2005, 1057, 17–28. [Google Scholar] [CrossRef] [PubMed]
- Lam, T.T.; Abler, A.S.; Tso, M.O. Apoptosis and caspases after ischemia-reperfusion injury in rat retina. Investig. Ophthalmol. Vis. Sci. 1999, 40, 967–975. [Google Scholar]
- Produit-Zengaffinen, N.; Pournaras, C.J.; Schorderet, D.F. Retinal ischemia-induced apoptosis is associated with alteration in Bax and Bcl-x(L) expression rather than modifications in Bak and Bcl-2. Mol. Vis. 2009, 15, 2101–2110. [Google Scholar] [PubMed]
- Grosskreutz, C.L.; Hänninen, V.A.; Pantcheva, M.B.; Huang, W.; Poulin, N.R.; Dobberfuhl, A.P. FK506 blocks activation of the intrinsic caspase cascade after optic nerve crush. Exp. Eye Res. 2005, 80, 681–686. [Google Scholar] [CrossRef] [PubMed]
- Tsai, R.K.; Chang, C.H.; Wang, H.Z. Neuroprotective effects of recombinant human granulocyte colony-stimulating factor (G-CSF) in neurodegeneration after optic nerve crush in rats. Exp. Eye Res. 2008, 87, 242–250. [Google Scholar] [CrossRef] [PubMed]
- Kanamori, A.; Naka, M.; Fukuda, M.; Nakamura, M.; Negi, A. Tafluprost protects rat retinal ganglion cells from apoptosis in vitro and in vivo. Graefes Arch. Clin. Exp. Ophthalmol. 2009, 247, 1353–1360. [Google Scholar] [CrossRef] [PubMed]
- Biermann, J.; Grieshaber, P.; Goebel, U.; Martin, G.; Thanos, S.; Di Giovanni, S.; Lagrèze, W.A. Valproic acid-mediated neuroprotection and regeneration in injured retinal ganglion cells. Investig. Ophthalmol. Vis. Sci. 2010, 51, 526–534. [Google Scholar] [CrossRef] [PubMed]
- Semba, K.; Namekata, K.; Kimura, A.; Harada, C.; Katome, T.; Yoshida, H.; Mitamura, Y.; Harada, T. Dock3 overexpression and p38 MAPK inhibition synergistically stimulate neuroprotection and axon regeneration after optic nerve injury. Neurosci. Lett. 2014, 581, 89–93. [Google Scholar] [CrossRef] [PubMed]
- Mansour-Robaey, S.; Clarke, D.B.; Wang, Y.C.; Bray, G.M.; Aguayo, A.J. Effects of ocular injury and administration of brain-derived neurotrophic factor on survival and regrowth of axotomized retinal ganglion cells. Proc. Natl. Acad. Sci. USA 1994, 91, 1632–1636. [Google Scholar] [CrossRef] [PubMed]
- Harada, C.; Azuchi, Y.; Noro, T.; Guo, X.; Kimura, A.; Namekata, K.; Harada, T. TrkB Signaling in Retinal Glia Stimulates Neuroprotection after Optic Nerve Injury. Am. J. Pathol. 2015. [Google Scholar] [CrossRef] [PubMed]
- Harada, C.; Guo, X.; Namekata, K.; Kimura, A.; Nakamura, K.; Tanaka, K.; Parada, L.F.; Harada, T. Glia- and neuron-specific functions of TrkB signalling during retinal degeneration and regeneration. Nat. Commun. 2011, 2, 189. [Google Scholar] [CrossRef] [PubMed]
- Lenkowski, J.R.; Raymond, P.A. Müller glia: Stem cells for generation and regeneration of retinal neurons in teleost fish. Prog. Retin. Eye Res. 2014, 40, 94–123. [Google Scholar] [CrossRef] [PubMed]
- Koriyama, Y.; Homma, K.; Kato, S. Activation of cell survival signals in the goldfish retinal ganglion cells after optic nerve injury. Adv. Exp. Med. Biol. 2006, 572, 333–337. [Google Scholar] [PubMed]
- Tamura, A.; Graham, D.I.; McCulloch, J.; Teasdale, G.M. Focal cerebral ischaemia in the rat: 1. Description of technique and early neuropathological consequences following middle cerebral artery occlusion. J. Cereb. Blood Flow Metab. 1981, 1, 53–60. [Google Scholar] [CrossRef] [PubMed]
- Longa, E.Z.; Weinstein, P.R.; Carlson, S.; Cummins, R. Reversible middle cerebral artery occlusion without craniectomy in rats. Stroke 1989, 20, 84–91. [Google Scholar] [CrossRef] [PubMed]
- D’Onofrio, P.M.; Koeberle, P.D. What can we learn about stroke from retinal ischemia models? Acta Pharmacol. Sin. 2013, 34, 91–103. [Google Scholar] [CrossRef] [PubMed]
- Koizumi, J.; Yoshida, Y.; Nakazawa, T.; Ooneda, G. Experimental studies of ischemic brain edema: A new experimental model of cerebral embolism in rats in which recirculation can be introduced in the ischemic area. Jpn. J. Stroke 1986, 8, 1–8. [Google Scholar] [CrossRef]
- Steele, E.C.; Guo, Q., Jr.; Namura, S. Filamentous middle cerebral artery occlusion causes ischemic damage to the retina in mice. Stroke 2008, 39, 2099–2104. [Google Scholar] [CrossRef] [PubMed]
- Muthaian, R.; Minhas, G.; Anand, A. Pathophysiology of stroke and stroke-induced retinal ischemia: Emerging role of stem cells. J. Cell. Physiol. 2012, 227, 1269–1679. [Google Scholar] [CrossRef] [PubMed]
- Joo, C.K.; Choi, J.S.; Ko, H.W.; Park, K.Y.; Sohn, S.; Chun, M.H.; Oh, Y.J.; Gwag, B.J. Necrosis and apoptosis after retinal ischemia: Involvement of NMDA-mediated excitotoxicity and p53. Investig. Ophthalmol. Vis. Sci. 1999, 40, 713–772. [Google Scholar]
- Kuroiwa, S.; Katai, N.; Shibuki, H.; Kurokawa, T.; Umihira, J.; Nikaido, T.; Kametani, K.; Yoshimura, N. Expression of cell cycle-related genes in dying cells in retinal ischemic injury. Investig. Ophthalmol. Vis. Sci. 1998, 39, 610–617. [Google Scholar]
- Perlman, J.I.; McCole, S.M.; Pulluru, P.; Chang, C.J.; Lam, T.T.; Tso, M.O. Disturbances in the distribution of neurotransmitters in the rat retina after ischemia. Curr. Eye Res. 1996, 15, 589–596. [Google Scholar] [CrossRef]
- Halder, S.K.; Matsunaga, H.; Yamaguchi, H.; Ueda, H. Novel neuroprotective action of prothymosin α-derived peptide against retinal and brain ischemic damages. J. Neurochem. 2013, 125, 713–723. [Google Scholar] [CrossRef] [PubMed]
- Wang, X.; Niwa, M.; Hara, A.; Matsuno, H.; Kawase, K.; Kozawa, O.; Mow, H.; Uematsu, T. Neuronal degradation in mouse retina after a transient ischemia and protective effect of hypothermia. Neurol. Res. 2002, 24, 730–735. [Google Scholar] [CrossRef] [PubMed]
- Lin, P.K.; Ke, C.Y.; Khor, C.N.; Cai, Y.J.; Lee, Y.J. Involvement of SDF1a and STAT3 in granulocyte colony-stimulating factor rescues optic ischemia-induced retinal function loss by mobilizing hematopoietic stem cells. Investig. Ophthalmol. Vis. Sci. 2013, 54, 1920–1930. [Google Scholar] [CrossRef] [PubMed]
- Miyaki, K.; Matsubara, A.; Nishiwaki, A.; Tomida, K.; Morita, H.; Yoshida, M.; Ogura, Y. Pitavastatin attenuates leukocyte-endothelial interactions induced by ischemia-reperfusion injury in the rat retina. Curr. Eye Res. 2009, 34, 10–17. [Google Scholar] [CrossRef] [PubMed]
- Daugeliene, L.; Niwa, M.; Hara, A.; Matsuno, H.; Yamamoto, T.; Kitazawa, Y.; Uematsu, T. Transient ischemic injury in the rat retina caused by thrombotic occlusion-thrombolytic reperfusion. Investig. Ophthalmol. Vis. Sci. 2000, 41, 2743–2747. [Google Scholar]
- Wong, T.Y.; Scott, I.U. Retinal-vein occlusion. N. Engl. J. Med. 2010, 363, 2135–2144. [Google Scholar] [CrossRef] [PubMed]
- Hayashi, A.; Imai, K.; Kim, H.C.; de Juan, E., Jr. Activation of protein tyrosine phosphorylation after retinal branch vein occlusion in cats. Investig. Ophthalmol. Vis. Sci. 1997, 38, 372–380. [Google Scholar]
- Takei, K.; Sato, T.; Nonoyama, T.; Miyauchi, T.; Goto, K.; Hommura, S. A new model of transient complete obstruction of retinal vessels induced by endothelin-1 injection into the posterior vitreous body in rabbits. Graefes Arch. Clin. Exp. Ophthalmol. 1993, 231, 476–481. [Google Scholar] [CrossRef] [PubMed]
- Linner, E. Occlusion of the retinal veins in rabbits induced by light coagulation. Acta Ophthalmol. 1961, 39, 739–740. [Google Scholar] [CrossRef]
- Zhang, Y.; Fortune, B.; Atchaneeyasakul, L.O.; McFarland, T.; Mose, K.; Wallace, P.; Main, J.; Wilson, D.; Appukuttan, B.; Stout, J.T. Natural history and histology in a rat model of laser-induced photothrombotic retinal vein occlusion. Curr. Eye Res. 2008, 33, 365–376. [Google Scholar] [CrossRef] [PubMed]
- Chen, W.; Wu, Y.; Zheng, M.; Gu, Q.; Zheng, Z.; Xia, X. Establishing an experimental rat model of photodynamically-induced retinal vein occlusion using erythrosin B. Int. J. Ophthalmol. 2014, 7, 232–238. [Google Scholar] [PubMed]
- Pournaras, C.J.; Petropoulos, I.K.; Pournaras, J.A.; Stangos, A.N.; Gilodi, N.; Rungger-Brändle, E. The rationale of retinal endovascular fibrinolysis in the treatment of retinal vein occlusion: From experimental data to clinical application. Retina 2012, 32, 1566–1573. [Google Scholar] [CrossRef] [PubMed]
- Osborne, N.N.; Casson, R.J.; Wood, J.P.; Chidlow, G.; Graham, M.; Melena, J. Retinal ischemia: Mechanisms of damage and potential therapeutic strategies. Prog. Retin. Eye Res. 2004, 23, 91–147. [Google Scholar] [CrossRef] [PubMed]
- Fontaine, V.; Mohand-Said, S.; Hanoteau, N.; Fuchs, C.; Pfizenmaier, K.; Eisel, U. Neurodegenerative and neuroprotective effects of tumor Necrosis factor (TNF) in retinal ischemia: Opposite roles of TNF receptor 1 and TNF receptor 2. J. Neurosci. 2002, 22, 216. [Google Scholar]
- Randolph, S.A. Age-related macular degeneration. Workplace Health Saf. 2014, 62, 352. [Google Scholar] [CrossRef] [PubMed]
- Marc, R.E.; Jones, B.W.; Watt, C.B.; Vazquez-Chona, F.; Vaughan, D.K.; Organisciak, D.T. Extreme retinal remodeling triggered by light damage: Implications for age related macular degeneration. Mol. Vis. 2008, 14, 782–806. [Google Scholar] [PubMed]
- Wenzel, A.; Grimm, C.; Samardzija, M.; Remé, C.E. Molecular mechanisms of light-induced photoreceptor apoptosis and neuroprotection for retinal degeneration. Prog. Retin. Eye Res. 2005, 24, 275–306. [Google Scholar] [CrossRef] [PubMed]
- Yang, X.; Chen, H.; Zhu, M.; Zhu, R.; Qin, B.; Fang, H.; Dai, M.; Sang, A.; Liu, X. Up-Regulation of PKM2 Relates to Retinal Ganglion Cell Apoptosis After Light-Induced Retinal Damage in Adult Rats. Cell. Mol. Neurobiol. 2015, 35, 1175–1186. [Google Scholar] [CrossRef] [PubMed]
- Ail, D.; Rüfenacht, V.; Caprara, C.; Samardzija, M.; Kast, B.; Grimm, C. Increased expression of the proton-sensing G protein-coupled receptor Gpr65 during retinal degeneration. Neuroscience 2015, 301, 496–507. [Google Scholar] [CrossRef] [PubMed]
- Chen, Y.; Perusek, L.; Maeda, A. Autophagy in light-induced retinal damage. Exp. Eye Res. 2016, 144, 64–72. [Google Scholar] [CrossRef] [PubMed]
- Faktorovich, E.G.; Steinberg, R.H.; Yasumura, D.; Matthes, M.T.; LaVail, M.M. Basic fibroblast growth factor and local injury protect photoreceptors from light damage in the rat. J. Neurosci. 1992, 12, 3554–3567. [Google Scholar] [PubMed]
- Liu, C.; Peng, M.; Laties, A.M.; Wen, R. Preconditioning with bright light evokes a protective response against light damage in the rat retina. J. Neurosci. 1998, 18, 1337–1344. [Google Scholar] [PubMed]
- Casson, R.J.; Wood, J.P.; Melena, J.; Chidlow, G.; Osborne, N.N. The effect of ischemic preconditioning on light-induced photoreceptor injury. Investig. Ophthalmol. Vis. Sci. 2003, 44, 1348–1354. [Google Scholar] [CrossRef]
- Casson, R.J.; Chidlow, G.; Wood, J.P.; Vidal-Sanz, M.; Osborne, N.N. The effect of retinal ganglion cell injury on light-induced photoreceptor degeneration. Investig. Ophthalmol. Vis. Sci. 2004, 45, 685–693. [Google Scholar] [CrossRef] [Green Version]
© 2016 by the authors; licensee MDPI, Basel, Switzerland. This article is an open access article distributed under the terms and conditions of the Creative Commons by Attribution (CC-BY) license (http://creativecommons.org/licenses/by/4.0/).