Linalool Induces Cell Cycle Arrest and Apoptosis in Leukemia Cells and Cervical Cancer Cells through CDKIs
Abstract
:1. Introduction
2. Results and Discussion
2.1. Cytotoxicity Assay



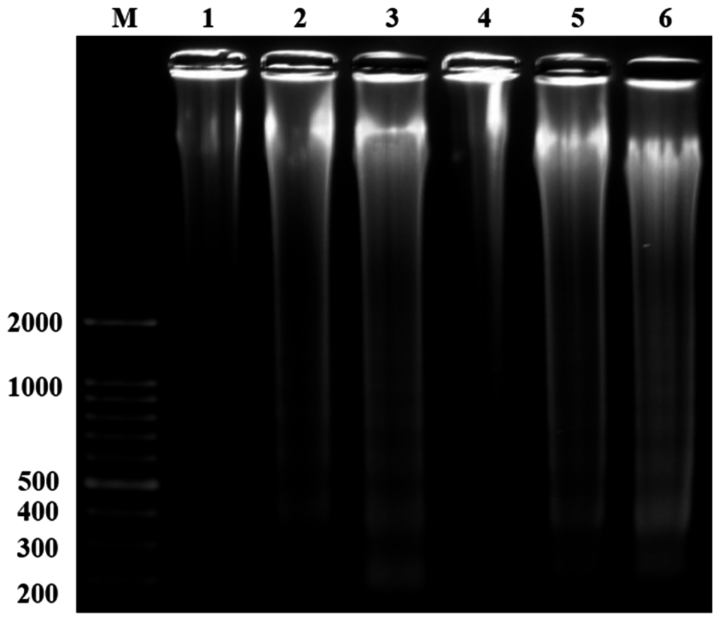
2.2. Cell Damage Assay

2.3. Cell Growth Assay

2.4. Apoptosis Pathway Assay

| No. | Gene Name | Oligo | Folds | |
|---|---|---|---|---|
| U937 | HeLa | |||
| 1 | EGF | CTGTAGGGGAAAAGGACAGTAATGACTAAGAAACTCCGAAGCCTC | <1 | 1.44 |
| 2 | EGFR | AGCGGTGCTATCCTTAGGTATTCCACATTCTCAGCTGTGGGCTATTGGTC | <1 | 1.23 |
| 3 | Erk-1 (MAPK3) | GAGCCAGCGCTTCCTCCACTGTGATCCGTTTATTGGGGTTAAAGGTTAAC | <1 | 1.22 |
| 4 | Erk-2 (MAPK1) | CGAGGAACAGCTCACAGCCCTAACACAAGTTACCACATGCAGAGCAAATC | <1 | 1.24 |
| 5 | PI3K (PIK3CA) | GCTGTTGAACTGCAGTGCACCTTTCAAGCCGCCTTTGCACTGAATTTGCA | <1 | <1 |
| 6 | AKT (AKT1) | CATCTGGGCCGTGAACTCCTCATCAAAATACCTGGTGTCAGTCTCCGACG | <1 | 1.32 |
| 7 | PTEN | GTGTCATGCATGCAGATGGAAGGGGTGGAACTGTGCACTAAAGTGGGGGC | <1 | 1.15 |
| 8 | B-catanin (CTNNB1) | AAACTCAGCTTGGTTAGTGTGTCAGGCACTTTCTGAGATACCAGCCCACC | <1 | 1.19 |
| 9 | COX-2 (PTGS2) | ACAAACCCCGTACAGTTCTCTCTGAGGCACTAGCCTCTTTGCATCCATCT | <1 | 1.15 |
| 10 | Cyclin D1 (CCND1) | CGTGCCTGGAAGTCAACGGTAGCAGCGCAATAAGAAAATGGAGCT | <1 | <1 |
| 11 | Cyclin E (CCNE1) | TTTCTTTGCTCGGGCTTTGTCCAGCAAATCCAAGCTGTCTCTGTGGGTCT | <1 | <1 |
| 12 | Cyclin A (CCNA2) | AGGTAGGTCTGGTGAAGGTCCATGAGACAAGGCTTAAGACTTTCCAGGGT | <1 | <1 |
| 13 | Cyclin B | CCGACCCAGTAGGTATTTTGGTCTGACTGCTTGCTCTTCCTCAAGTTGTC | <1 | <1 |
| 14 | p21 (CDKN1A) | GTGGCATGCCCTGTCCATAGCCTCTACTGCCACCATCTTAAAATGTCTGA | 2.08 | 1.21 |
| 15 | p27 (PSMD9) | GGAATTCGCCCAATAGGAAGGCTTTGGAATTGAGTGTGAGAACCTGTGGC | 1.55 | 1.21 |
| 16 | p16 (CDKN2A) | ACCTTCGGTGACTGATGATCTAAGTTTCCCGAGGTTTCTCAGAGC | 1.80 | 1.23 |
| 17 | p18 (CDKN2C) | TCTGGCCGCATCATGAATGACAGCGAAACCAGTTCGGTCTTTCAAATCGG | 1.87 | 1.32 |
| 18 | p53 | GGCCCCTACCTAGAATGTGGCTGATTGTAAACTAACCCTTAACTG | 2.45 | 1.19 |
| 19 | Bcl-XL (BCL2L1) | GAGTCCTGGTCCTTGCATCTTTATCCCAAGCAGCCTGAATCCCTAGTCAA | <1 | <1 |
| 20 | Bcl-2 | GCTGCACTTTGAGCCATGCTGATGTCTCTGGAATCTAAAGGTCGTACCAC | <1 | <1 |
| 21 | Bax (BCL2L4) | TGCCATAATTTATGGAGGAAAAACACAGTCCAAGGCAGCTGGGGGCCTCA | 1.32 | <1 |
| 22 | caspase 9 (CASP9) | CTGGGTGCAATGGTGCACGCCTGTAGTAAGAGCTACTTGGGAGGGTCACT | 1.50 | 1.25 |
| 23 | caspase 8 (CASP8) | ATAGTGTTATATCTAAATAGTACCATCGGCCAGGCGCGGTGGCTC | 1.54 | <1 |
| 24 | caspase 3 (CASP3) | ATCTCCCGTGAAATGTCATACTGACAGCCAGTGAGACTTGGTGCAGTGAC | 1.49 | 1.34 |
| 25 | VEGF (VEGFA) | ATTGAAACCTTATTTCAAAGGAATGTGTGCTGGGGAGCCAGGGGATCGGG | <1 | <1 |
| 26 | VEGFR (VEGFR1) | TGTGGGCTAGGAAACAAGGCACGGGTCCCTAAAATTAACATCTCGGTGTC | <1 | 1.27 |
| 27 | VEGFR (VEGFR2) | CACTGTGCCCAGCCACCCCCTCTTCCATTTTAGAAATGATGGGTACAGTA | <1 | 1.19 |
| 28 | MMP-2 | ATTCTTCAGGGCTCTTTCTACAGGACAGAGGGACTAGAGCTTACT | <1 | 1.17 |
| 29 | MMP-3 | ACCGGCAAGATACAGATTCACGCTCAAGTTCCCTTGAGTGTGACTCGAGT | <1 | <1 |
| 30 | MMP-9 | AGCCCACCTCCACTCCTCCCTTTCCTCCAGAACAGAATACCAGTT | 1.85 | <1 |
| 31 | MMP-13 | AATAAGTGCCAAGCACCCTCCCCAAGTATCAATAGGCACTGTGGGAAGTG | <1 | <1 |
| 32 | E-cadherin (CDH1) | CCTACCCCTCAACTAACCCCCTTTAGGGCCACATTTTCTTCTTGCTCCTA | 1.72 | <1 |
| - | Bata-actin (BA) | AACATAATCTGAGTCATCTTCTCTCTGTTGGCCTTGGGGTTCAGGGGGGC | 1.00 | 1.00 |
3. Experimental Section
3.1. Cell Viability Assay
3.2. DNA Damage Assay
3.3. Cell Cycle Determination
3.4. Total RNA Extraction and First Strand cDNA Synthesis
3.5. Preparation of Apoptosis Pathway Detection Chip
3.6. Apoptosis Pathway Detection Chip Assay
3.7. Statistical Analysis
4. Conclusions
Acknowledgments
Author Contributions
Conflicts of Interest
References
- World Health Organization. National Cancer Control Programmes; World Health Organization: Geneve, Switzerland, 2013. [Google Scholar]
- Xu, R.; Yu, Y.; Zheng, S.; Zhao, X.; Dong, Q.; He, Z.; Liang, Y.; Lu, Q.; Fang, Y.; Gan, X.; et al. Overexpression of Shp2 tyrosine phosphatase is implicated in leukemogenesis in adult human leukemia. Blood 2005, 106, 3142–3149. [Google Scholar] [CrossRef] [PubMed]
- Li, H.T.; Wu, H.M.; Chen, H.L.; Liu, C.M.; Chen, C.Y. The pharmacological activities of (−)-anonaine. Molecules 2013, 18, 8257–8263. [Google Scholar] [CrossRef] [PubMed]
- Costa, E.V.; da Cruz, P.E.; de Lourenco, C.C.; de Souza Moraes, V.R.; de Lima Nogueira, P.C.; Salvador, M.J. Antioxidant and antimicrobial activities of aporphinoids and other alkaloids from the bark of Annona salzmannii A. DC. (Annonaceae). Nat. Prod. Res. 2013, 27, 1002–1006. [Google Scholar] [CrossRef] [PubMed]
- Chen, C.Y.; Cheng, K.C.; Chang, A.Y.; Lin, Y.T.; Hseu, Y.C.; Wang, H.M. 10-Shogaol, an antioxidant from Zingiber officinale for skin cell proliferation and migration enhancer. Int. J. Mol. Sci. 2012, 13, 1762–1777. [Google Scholar] [CrossRef] [PubMed]
- Lown, J.W.; Chen, H.H. Studies on the effects of the antitumor agent camptothecin and derivatives on deoxyribonucleic acid. Mechanism of the scission of deoxyribonucleic acid by photoactivated camptothecin. Biochem. Pharmacol. 1980, 29, 905–915. [Google Scholar] [CrossRef]
- Pommier, Y. DNA topoisomerase I and II in cancer chemotherapy: Update and perspectives. Cancer Chemother. Pharmacol. 1993, 32, 103–108. [Google Scholar] [CrossRef] [PubMed]
- Wall, M.E.; Wani, M.C. Camptothecin and taxol: From discovery to clinic. J. Ethnopharmacol. 1996, 51, 239–253. [Google Scholar] [CrossRef]
- Hartwell, J.L.; Schrecker, A.W. The chemistry of Podophyllum. Prog. Chem. Org. Nat. Prod. 1958, 15, 83–166. [Google Scholar]
- Imbert, T.F. Discovery of podophyllotoxins. Biochimie 1998, 80, 207–222. [Google Scholar] [CrossRef]
- Stahelin, H.; von Wartburg, A. From podophyllotoxin glucoside to etoposide. Prog. Drug Res. 1989, 33, 169–266. [Google Scholar] [PubMed]
- Constantinou, A.; Mehta, R.; Runyan, C.; Rao, K.; Vaughan, A.; Moon, R. Flavonoids as DNA topoisomerase antagonists and poisons: Structure-activity relationships. J. Nat. Prod. 1995, 58, 217–225. [Google Scholar] [CrossRef] [PubMed]
- Trielli, M.O.; Andreassen, P.R.; Lacroix, F.B.; Margolis, R.L. Differential Taxol-dependent arrest of transformed and nontransformed cells in the G1 phase of the cell cycle, and specific-related mortality of transformed cells. J. Cell Biol. 1996, 135, 689–700. [Google Scholar] [CrossRef] [PubMed]
- Kato, R.; Nakadate, T.; Yamamoto, S.; Sugimura, T. Inhibition of 12-O-tetradecanoylphorbol-13-acetate-induced tumor promotion and ornithine decarboxylase activity by quercetin: Possible involvement of lipoxygenase inhibition. Carcinogenesis 1983, 4, 1301–1305. [Google Scholar] [CrossRef] [PubMed]
- Deschner, E.E.; Ruperto, J.; Wong, G.; Newmark, H.L. Quercetin and rutin as inhibitors of azoxymethanol-induced colonic neoplasia. Carcinogenesis 1991, 12, 1193–1196. [Google Scholar] [CrossRef] [PubMed]
- Chiang, L.C.; Chiang, W.; Chang, M.Y.; Ng, L.T.; Lin, C.C. Antiviral activity of Plantago major extracts and related compounds in vitro. Antivir. Res. 2002, 55, 53–62. [Google Scholar] [CrossRef]
- Chiang, L.C.; Chiang, W.; Chang, M.Y.; Lin, C.C. In vitro cytotoxic, antiviral and immunomodulatory effects of Plantago major and Plantago asiatica. Am. J. Chin. Med. 2003, 31, 225–234. [Google Scholar] [CrossRef] [PubMed]
- Chiang, L.C.; Chiang, W.; Chang, M.Y.; Ng, L.T.; Lin, C.C. Antileukemic activity of selected natural products in Taiwan. Am. J. Chin. Med. 2003, 31, 37–46. [Google Scholar] [CrossRef] [PubMed]
- Chiang, L.C.; Ng, L.T.; Chiang, W.; Chang, M.Y.; Lin, C.C. Immunomodulatory activities of flavonoids, monoterpenoids, triterpenoids, iridoid glycosides and phenolic compounds of Plantago species. Planta Medica 2003, 69, 600–604. [Google Scholar] [PubMed]
- Chang, M.Y.; Shen, Y.L. Linalool exhibits cytotoxic effects by activating antitumor immunity. Molecules 2014, 19, 6694–6706. [Google Scholar] [CrossRef] [PubMed]
- Paik, S.Y.; Koh, K.H.; Beak, S.M.; Paek, S.H.; Kim, J.A. The essential oils from Zanthoxylum schinifolium pericarp induce apoptosis of HepG2 human hepatoma cells through increased production of reactive oxygen species. Biol. Pharm. Bull. 2005, 28, 802–807. [Google Scholar] [CrossRef] [PubMed]
- Jana, S.; Patra, K.; Sarkar, S.; Jana, J.; Mukherjee, G.; Bhattacharjee, S.; Mandal, D.P. Antitumorigenic potential of linalool is accompanied by modulation of oxidative stress: An in vivo study in sarcoma-180 solid tumor model. Nutr. Cancer 2014, 66, 835–848. [Google Scholar] [CrossRef] [PubMed]
- Russo, R.; Ciociaro, A.; Berliocchi, L.; Cassiano, M.G.; Rombola, L.; Ragusa, S.; Bagetta, G.; Blandini, F.; Corasaniti, M.T. Implication of limonene and linalyl acetate in cytotoxicity induced by bergamot essential oil in human neuroblastoma cells. Fitoterapia 2013, 89, 48–57. [Google Scholar] [CrossRef] [PubMed]
- Ryzhakova, O.S.; Solov‘eva, N.I. Matrix metalloproteinases (MMP)—MMP-1,-2,-9 and its endogenous activity regulators in transformed by E7 oncogene HPV16 and HPV18 cervical carcinoma cell line. Biomeditsinskaia Khimiia 2013, 59, 530–540. (in Russian). [Google Scholar] [CrossRef] [PubMed][Green Version]
- Surh, Y.J.; Hurh, Y.J.; Kang, J.Y.; Lee, E.; Kong, G.; Lee, S.J. Resveratrol, an antioxidant present in red wine, induces apoptosis in human promyelocytic leukemia (HL-60) cells. Cancer Lett. 1999, 140, 1–10. [Google Scholar] [CrossRef]
- Xiao, D.; Herman-Antosiewicz, A.; Antosiewicz, J.; Xiao, H.; Brisson, M.; Lazo, J.S.; Singh, S.V. Diallyl trisulfide-induced G2-M phase cell cycle arrest in human prostate cancer cells is caused by reactive oxygen species-dependent destruction and hyperphosphorylation of Cdc25C. Oncogene 2005, 24, 6256–6268. [Google Scholar] [CrossRef] [PubMed]
- Komata, T.; Kanzawa, T.; Takeuchi, H.; Germano, I.M.; Schreiber, M.; Kondo, Y.; Kondo, S. Antitumour effect of cyclin-dependent kinase inhibitors (p16(INK4A), p18(INK4C), p19(INK4D), p21(WAF1/CIP1) and p27(KIP1)) on malignant glioma cells. Br. J. Cancer 2003, 88, 1277–1280. [Google Scholar] [CrossRef] [PubMed]
- Hsu, C.C.; Lai, W.L.; Chuang, K.C.; Lee, M.H.; Tsai, Y.C. The inhibitory activity of linalool against the filamentous growth and biofilm formation in Candida albicans. Med. Mycol. 2013, 51, 473–482. [Google Scholar] [CrossRef] [PubMed]
- Raut, J.S.; Shinde, R.B.; Chauhan, N.M.; Karuppayil, S.M. Terpenoids of plant origin inhibit morphogenesis, adhesion, and biofilm formation by Candida albicans. Biofouling 2013, 29, 87–96. [Google Scholar] [CrossRef] [PubMed]
- Zore, G.B.; Thakre, A.D.; Jadhav, S.; Karuppayil, S.M. Terpenoids inhibit Candida albicans growth by affecting membrane integrity and arrest of cell cycle. Phytomedicine 2011, 18, 1181–1190. [Google Scholar] [CrossRef] [PubMed]
- Djenane, D.; Aider, M.; Yanguela, J.; Idir, L.; Gomez, D.; Roncales, P. Antioxidant and antibacterial effects of Lavandula and Mentha essential oils in minced beef inoculated with E. coli O157:H7 and S. aureus during storage at abuse refrigeration temperature. Meat Sci. 2012, 92, 667–674. [Google Scholar] [CrossRef] [PubMed]
- Liu, K.; Chen, Q.; Liu, Y.; Zhou, X.; Wang, X. Isolation and biological activities of decanal, linalool, valencene, and octanal from sweet orange oil. J. Food Sci. 2012, 77, C1156–C1161. [Google Scholar] [CrossRef] [PubMed]
- Letizia, C.S.; Cocchiara, J.; Lalko, J.; Api, A.M. Fragrance material review on linalool. Food Chem. Toxicol. 2003, 41, 943–964. [Google Scholar] [CrossRef]
- Lapczynski, A.; Letizia, C.S.; Api, A.M. Addendum to Fragrance material review on linalool. Food Chem. Toxicol. 2008, 46 (Suppl. 11), S190–S192. [Google Scholar] [CrossRef] [PubMed]
- Carson, C.F.; Riley, T.V. Antimicrobial activity of the major components of the essential oil of Melaleuca alternifolia. J. Appl. Bacteriol. 1995, 78, 264–269. [Google Scholar] [CrossRef] [PubMed]
- Ravizza, R.; Gariboldi, M.B.; Molteni, R.; Monti, E. Linalool, a plant-derived monoterpene alcohol, reverses doxorubicin resistance in human breast adenocarcinoma cells. Oncol. Rep. 2008, 20, 625–630. [Google Scholar] [CrossRef] [PubMed]
- Held, S.; Schieberle, P.; Somoza, V. Characterization of alpha-terpineol as an anti-inflammatory component of orange juice by in vitro studies using oral buccal cells. J. Agric. Food Chem. 2007, 55, 8040–8046. [Google Scholar] [CrossRef] [PubMed]
- Gu, Y.; Ting, Z.; Qiu, X.; Zhang, X.; Gan, X.; Fang, Y.; Xu, X.; Xu, R. Linalool preferentially induces robust apoptosis of a variety of leukemia cells via upregulating p53 and cyclin-dependent kinase inhibitors. Toxicology 2010, 268, 19–24. [Google Scholar] [CrossRef] [PubMed]
- Zhu, R.; Zou, S.T.; Wan, J.M.; Li, W.; Li, X.L.; Zhu, W. BTG1 inhibits breast cancer cell growth through induction of cell cycle arrest and apoptosis. Oncol. Rep. 2013, 30, 2137–2144. [Google Scholar] [CrossRef] [PubMed]
- Huang, M.Y.; Yen, L.C.; Liu, H.C.; Liu, P.P.; Chung, F.Y.; Wang, T.N.; Wang, J.Y.; Lin, S.R. Significant overexpression of DVL1 in Taiwanese colorectal cancer patients with liver metastasis. Int. J. Mol. Sci. 2013, 14, 20492–20507. [Google Scholar] [CrossRef] [PubMed]
- Wang, J.Y.; Yeh, C.S.; Chen, Y.F.; Wu, C.H.; Hsieh, J.S.; Huang, T.J.; Huang, S.Y.; Lin, S.R. Development and evaluation of a colorimetric membrane-array method for the detection of circulating tumor cells in the peripheral blood of Taiwanese patients with colorectal cancer. Int. J. Mol. Med. 2006, 17, 737–747. [Google Scholar] [CrossRef] [PubMed]
- Chang, M.Y.; Yu, Y.P.; Tsai, J.R.; Sheu, C.C.; Chong, I.W.; Lin, S.R. Combined oligonucleotide microarray-bioinformatics and constructed membrane arrays to analyze the biological pathways in the carcinogenesis of human lung adenocarcinoma. Oncol. Rep. 2007, 18, 569–579. [Google Scholar] [CrossRef] [PubMed]
© 2015 by the authors; licensee MDPI, Basel, Switzerland. This article is an open access article distributed under the terms and conditions of the Creative Commons by Attribution (CC-BY) license (http://creativecommons.org/licenses/by/4.0/).
Share and Cite
Chang, M.-Y.; Shieh, D.-E.; Chen, C.-C.; Yeh, C.-S.; Dong, H.-P. Linalool Induces Cell Cycle Arrest and Apoptosis in Leukemia Cells and Cervical Cancer Cells through CDKIs. Int. J. Mol. Sci. 2015, 16, 28169-28179. https://doi.org/10.3390/ijms161226089
Chang M-Y, Shieh D-E, Chen C-C, Yeh C-S, Dong H-P. Linalool Induces Cell Cycle Arrest and Apoptosis in Leukemia Cells and Cervical Cancer Cells through CDKIs. International Journal of Molecular Sciences. 2015; 16(12):28169-28179. https://doi.org/10.3390/ijms161226089
Chicago/Turabian StyleChang, Mei-Yin, Den-En Shieh, Chung-Chi Chen, Ching-Sheng Yeh, and Huei-Ping Dong. 2015. "Linalool Induces Cell Cycle Arrest and Apoptosis in Leukemia Cells and Cervical Cancer Cells through CDKIs" International Journal of Molecular Sciences 16, no. 12: 28169-28179. https://doi.org/10.3390/ijms161226089
APA StyleChang, M.-Y., Shieh, D.-E., Chen, C.-C., Yeh, C.-S., & Dong, H.-P. (2015). Linalool Induces Cell Cycle Arrest and Apoptosis in Leukemia Cells and Cervical Cancer Cells through CDKIs. International Journal of Molecular Sciences, 16(12), 28169-28179. https://doi.org/10.3390/ijms161226089
