Post-Traumatic Caspase-3 Expression in the Adjacent Areas of Growth Plate Injury Site: A Morphological Study
Abstract
:1. Introduction
2. Results and Discussion
2.1. Histology Observations
Day 7
Day 14
Day 30
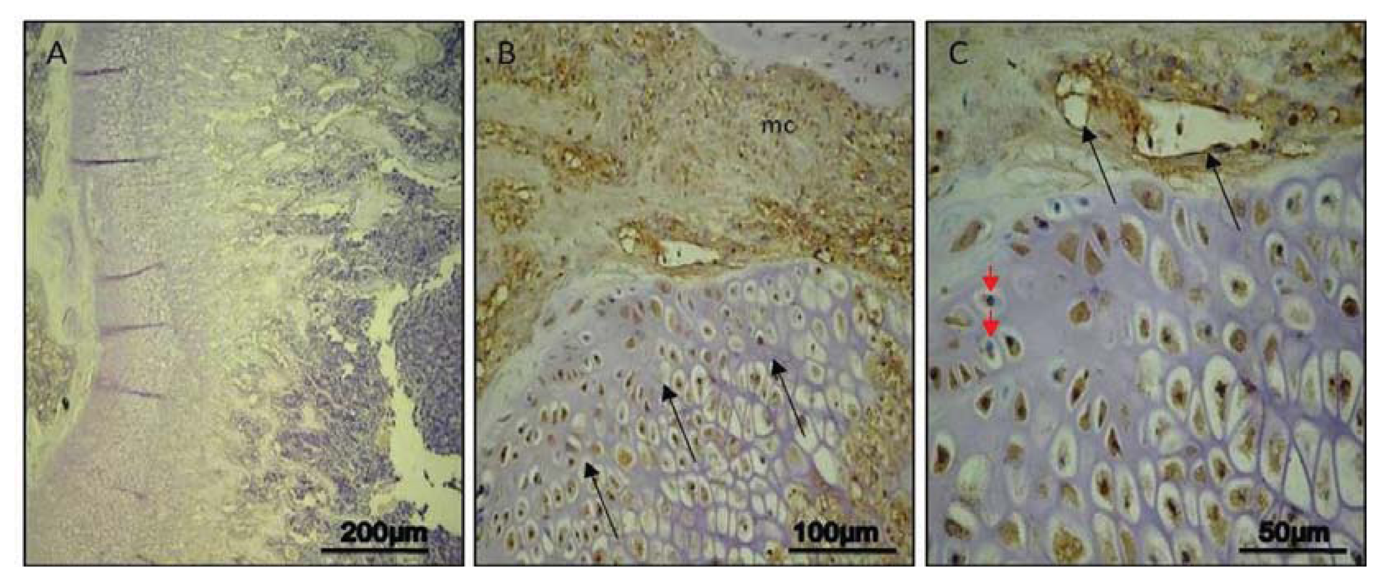
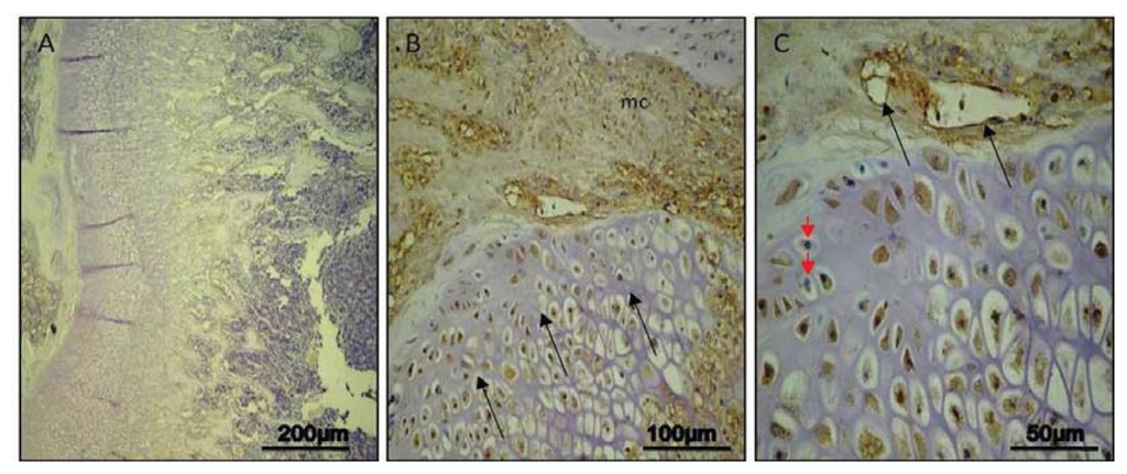
2.2. Immunohistochemistry Observations
Day 7
Day 14
Day 30
2.3. Histomorphometric Analysis
2.4. Western Blot Analysis
2.5. Biochemical Studies
3. Experimental Section
3.1. Animal Studies
3.2. Histology
3.3. Immunohistochemistry
3.4. Evaluation of Immunohistochemistry
3.5. Computerized Morphometry Measurements and Image Analysis
3.6. Western Blot Analysis
3.7. Biochemical Studies
3.8. Statistical Analysis
4. Conclusions
Acknowledgments
Conflict of Interest
References
- Iannotti, J.P. Growth plate physiology and pathology. Orthop. Clin. North. Am 1990, 21, 1–17. [Google Scholar]
- Gaber, S.; Fischerauer, E.E.; Fröhlich, E.; Janezic, G.; Amerstorfer, F.; Weinberg, A.M. Chondrocyte apoptosis enhanced at the growth plate: A physeal response to a diaphyseal fracture. Cell Tissue Res 2009, 335, 539–549. [Google Scholar]
- Mirza, R.; Qiao, S.; Tateyama, K.; Miyamoto, T.; Xiuli, L.; Seo, H. 3β-Hydroxysterol-Delta24 reductase plays an important role in long bone growth by protecting chondrocytes from reactive oxygen species. J. Bone Miner. Metab 2012, 30, 144–153. [Google Scholar]
- Bailey, R.W.; Dubow, H.I. Evolution of the concept of an extensible nail accommodating to normal longitudinal bone growth. Clin. Orthop 1981, 159, 157–170. [Google Scholar]
- Wattenbarger, J.M.; Gruber, H.E.; Phieffer, L.S. Physeal fractures, part I: Histologic features of bone, cartilage, and bar formation in a small animal model. J. Pediatr. Orthop 2002, 22, 703–709. [Google Scholar]
- Xian, C.J.; Zhou, F.H.; McCarty, R.C.; Foster, B.K. Intramembranous ossification mechanism for bone bridge formation at the growth plate cartilage injury site. J. Orthop. Res 2004, 22, 417–426. [Google Scholar]
- Macsai, C.E.; Hopwood, B.; Chung, R.; Foster, B.K.; Xian, C.J. Structural and molecular analyses of bone bridge formation within the growth plate injury site and cartilage degeneration at the adjacent uninjured area. Bone 2011, 49, 904–912. [Google Scholar]
- Ogden, J.A. Skeletal Injury in the Child; Spring-Verlag: New York, NY, USA; p. 2000.
- Lee, M.A.; Nissen, T.P.; Otsuka, N.Y. Utilization of a murine model to investigate the molecular process of transphyseal bone formation. J. Pediatr. Orthop 2000, 20, 802–806. [Google Scholar]
- Nagai, H.; Aoki, M. Inhibition of growth plate angiogenesis and endochondral ossification with diminished expression of MMP-13 in hypertrophic chondrocytes in FGF-2-treated rats. J. Bone Miner. Metab 2002, 20, 142–147. [Google Scholar]
- Kon, T.; Cho, T.J.; Aizawa, T.; Yamazaki, M.; Nooh, N.; Graves, D.; Gerstenfeld, L.C.; Einhorn, T.A. Expression of osteoprotegerin, receptor activator of NF-kappaB ligand (osteoprotegerin ligand) and related proinflammatory cytokines during fracture healing. J. Bone Miner. Res 2001, 16, 1004–1014. [Google Scholar]
- Aizawa, T.; Kon, T.; Einhorn, T.A.; Gerstenfeld, L.C. Induction of apoptosis in chondrocytes by tumor necrosis factor-alpha. J. Orthop. Res 2001, 19, 785–796. [Google Scholar]
- Foster, B.K.; Johnstone, E.W. Management of Growth Plate Injuries. In Paediatric Orthopaedics and Fractures; Benson, M., Fixsen, J., MaCnicol, M., Parsch, K., Eds.; Harcourt Publishers: London, UK, 2000. [Google Scholar]
- Brashear, H.R. Epiphyseal fractures: A microscopic study of the healing process in rats. J. Bone Joint Surg 1959, 41A, 1055–1064. [Google Scholar]
- Zhou, F.H.; Foster, B.K.; Sander, G.; Xian, C.J. Expression of proinflammatory cytokines and growth factors at the injured growth plate cartilage in young rats. Bone 2004, 35, 1307–1315. [Google Scholar]
- Joyce, M.E.; Jingushi, S.; Scully, S.P.; Bolander, M.E. Role of growth factors in fracture healing. Prog. Clin. Biol. Res 1991, 365, 391–416. [Google Scholar]
- Xian, C.J. Roles of epidermal growth factor family in the regulation of postnatal somatic growth. Endocr. Rev 2007, 28, 284–296. [Google Scholar]
- Pichler, K.; Loreto, C.; Leonardi, R.; Reuber, T.; Weinberg, A.M.; Musumeci, G. In rat with glucocorticoid-induced osteoporosis, RANKL is downregulated in bone cells by physical activity (treadmill and vibration stimulation training). Histol. Histopathol 2013, 28, 1185–1196. [Google Scholar]
- Caltabiano, R.; Leonardi, R.; Musumeci, G.; Bartoloni, G.; Rusu, M.C.; Almeida, L.E.; Loreto, C. Apoptosis in temporomandibular joint disc with internal derangement involves mitochondrial-dependent pathways. An in vivo study. Acta Odontol. Scand 2013, 71, 577–583. [Google Scholar]
- Loreto, C.; Musumeci, G.; Castorina, A.; Loreto, C.; Martines, G. Degenerative disc disease of herniated intervertebral discs is associated with extracellular matrix remodelling, vimentin-positive cells and cell death. Ann. Anat 2011, 193, 156–162. [Google Scholar]
- Loreto, C.; Musumeci, G.; Leonardi, R. Chondrocyte-like apoptosis in temporomandibular joint disc internal derangement as a repair-limiting mechanism. An in vivo study. Histol. Histopathol 2009, 24, 293–298. [Google Scholar]
- Cardile, V.; Musumeci, G.; Sicurezza, E.; Caggia, S.; Rusu, M.C.; Leonardi, R.; Loreto, C. TRAIL and its receptors DR5 and DcR2 expression, in Orthodontic Tooth Movement. Histol. Histopathol 2013, 28, 933–940. [Google Scholar]
- Musumeci, G.; Loreto, C.; Leonardi, R.; Castorina, S.; Giunta, S.; Carnazza, M.L.; Trovato, F.M.; Pichler, K.; Weinberg, A.M. The effects of physical activity on apoptosis and lubricin expression in articular cartilage in rats with glucocorticoid-induced osteoporosis. J. Bone Miner. Metab 2013, 31, 274–284. [Google Scholar]
- Musumeci, G.; Loreto, C.; Carnazza, M.L.; Martinez, G. Characterization of apoptosis in articular cartilage derived from the knee joints of patients with osteoarthritis. Knee Surg. Sports Traumatol. Arthrosc 2011, 19, 307–313. [Google Scholar]
- Loreto, C.; Barbagli, G.; Djinovic, R.; Vespasiani, G.; Carnazza, M.L.; Miano, R.; Musumeci, G.; Sansalone, S. Tumor necrosis factor-related apoptosis-inducing ligand (TRAIL) and its death receptor (DR5) in Peyronie’s disease. A biomolecular study of apoptosis activation. J. Sex. Med. 2011, 8, 109–115. [Google Scholar]
- Musumeci, G.; Loreto, C.; Carnazza, M.L.; Strehin, I.; Elisseeff, J. OA cartilage derived chondrocytes encapsulated in poly(ethylene glycol) diacrylate (PEGDA) for the evaluation of cartilage restoration and apoptosis in an in vitro model. Histol. Histopathol 2011, 26, 1265–1278. [Google Scholar]
- Virág, L.; Szabó, C. The therapeutic potential of poly(ADP-ribose) polymerase inhibitors. Pharmacol. Rev 2002, 54, 375–429. [Google Scholar]
- Shakibaei, M.; John, T.; Seifarth, C.; Mobasheri, A. Resveratrol inhibits IL-1 beta-induced stimulation of caspase-3 and cleavage of PARP in human articular chondrocytes in vitro. Ann. N. Y. Acad. Sci 2007, 1095, 554–563. [Google Scholar]
- Shakibaei, M.; Csaki, C.; Nebrich, S.; Mobasheri, A. Resveratrol suppresses interleukin-1beta-induced inflammatory signaling and apoptosis in human articular chondrocytes: Potential for use as a novel nutraceutical for the treatment of osteoarthritis. Biochem. Pharmacol 2008, 76, 1426–1439. [Google Scholar]
- Musumeci, G.; Trovato, F.M.; Imbesi, R.; Castrogiovanni, P. Effects of dietary extra-virgin olive oil on oxidative stress resulting from exhaustive exercise in rat skeletal muscle: A morphological study. Acta Histochem 2013. [Google Scholar] [CrossRef]
- Castrogiovanni, P.; Musumeci, G.; Trovato, F.M.; Avola, R.; Magro, G.; Imbesi, R. Effects of high-tryptophan diet on pre- and postnatal development in rats: A morphological study. Eur. J. Nutr. 2013. [Google Scholar] [CrossRef]
- Musumeci, G.; Carnazza, M.L.; Loreto, C.; Leonardi, R.; Loreto, C. β-Defensin-4 (HBD-4) is expressed in chondrocytes derived from normal and osteoarthritic cartilage encapsulated in PEGDA scaffold. Acta Histochem 2012, 114, 805–812. [Google Scholar]
- Musumeci, G.; Lo Furno, D.; Loreto, C.; Giuffrida, R.; Caggia, S.; Leonardi, R.; Cardile, V. Mesenchymal stem cells from adipose tissue which have been differentiated into chondrocytes in three-dimensional culture express lubricin. Exp. Biol. Med 2011, 236, 1333–1341. [Google Scholar]
- Musumeci, G.; Loreto, C.; Carnazza, M.L.; Coppolino, F.; Cardile, V.; Leonardi, R. Lubricin is expressed in chondrocytes derived from osteoarthritic cartilage encapsulated in poly (ethylene glycol) diacrylate scaffold. Eur. J. Histochem 2011, 55, e31. [Google Scholar]
- Leonardi, R.; Loreto, C.; Talic, N.; Caltabiano, R.; Musumeci, G. Immunolocalization of lubricin in the rat periodontal ligament during experimental tooth movement. Acta Histochem 2012, 114, 700–704. [Google Scholar]
- Musumeci, G.; Carnazza, M.L.; Leonardi, R.; Loreto, C. Expression of β-Defensin-4 in “an in vivo and ex vivo model” of human osteoarthritic knee meniscus. Knee Surg. Sports Traumatol. Arthrosc 2012, 20, 216–222. [Google Scholar]
- Musumeci, G.; Loreto, C.; Clementi, G.; Fiore, C.E.; Martinez, G. An in vivo experimental study on osteopenia in diabetic rats. Acta Histochem 2011, 113, 619–625. [Google Scholar]
- Leonardi, R.; Rusu, M.C.; Loreto, F.; Loreto, C.; Musumeci, G. Immunolocalization and expression of lubricin in the bilaminar zone of the human temporomandibular joint disc. Acta Histochem. 2012, 114, 1–5. [Google Scholar]
- Bradford, M.M. A rapid and sensitive method for the quantitation of microgram quantities of protein utilizing the principle of protein–dye binding. Anal. Biochem 1976, 72, 248–254. [Google Scholar]
- Musumeci, G.; Loreto, C.; Carnazza, M.L.; Cardile, V.; Leonardi, R. Acute injury affects lubricin expression in knee menisci. An immunohistochemical study. Ann. Anat 2013, 195, 151–158. [Google Scholar]
- Musumeci, G.; Leonardi, R.; Carnazza, M.L.; Cardile, V.; Pichler, K.; Weinberg, A.M.; Loreto, C. Aquaporin 1 (AQP1) expression in experimentally induced osteoarthritic knee menisci: An in vivo and in vitro study. Tissue Cell 2013, 45, 145–152. [Google Scholar]








© 2013 by the authors; licensee MDPI, Basel, Switzerland This article is an open access article distributed under the terms and conditions of the Creative Commons Attribution license (http://creativecommons.org/licenses/by/3.0/).
Share and Cite
Musumeci, G.; Castrogiovanni, P.; Loreto, C.; Castorina, S.; Pichler, K.; Weinberg, A.M. Post-Traumatic Caspase-3 Expression in the Adjacent Areas of Growth Plate Injury Site: A Morphological Study. Int. J. Mol. Sci. 2013, 14, 15767-15784. https://doi.org/10.3390/ijms140815767
Musumeci G, Castrogiovanni P, Loreto C, Castorina S, Pichler K, Weinberg AM. Post-Traumatic Caspase-3 Expression in the Adjacent Areas of Growth Plate Injury Site: A Morphological Study. International Journal of Molecular Sciences. 2013; 14(8):15767-15784. https://doi.org/10.3390/ijms140815767
Chicago/Turabian StyleMusumeci, Giuseppe, Paola Castrogiovanni, Carla Loreto, Sergio Castorina, Karin Pichler, and Annelie Martina Weinberg. 2013. "Post-Traumatic Caspase-3 Expression in the Adjacent Areas of Growth Plate Injury Site: A Morphological Study" International Journal of Molecular Sciences 14, no. 8: 15767-15784. https://doi.org/10.3390/ijms140815767
APA StyleMusumeci, G., Castrogiovanni, P., Loreto, C., Castorina, S., Pichler, K., & Weinberg, A. M. (2013). Post-Traumatic Caspase-3 Expression in the Adjacent Areas of Growth Plate Injury Site: A Morphological Study. International Journal of Molecular Sciences, 14(8), 15767-15784. https://doi.org/10.3390/ijms140815767

