Low Expression of TBX4 Predicts Poor Prognosis in Patients with Stage II Pancreatic Ductal Adenocarcinoma
Abstract
:1. Introduction
2. Results and Discussion
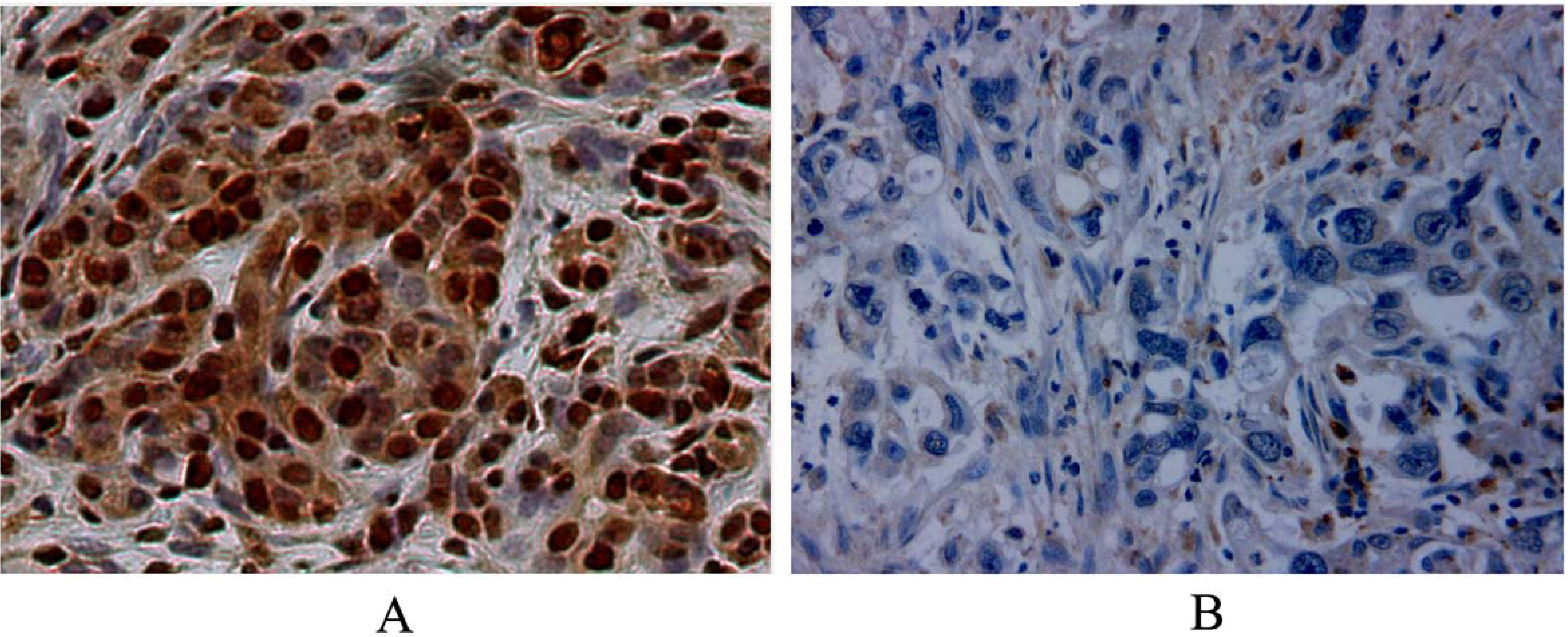
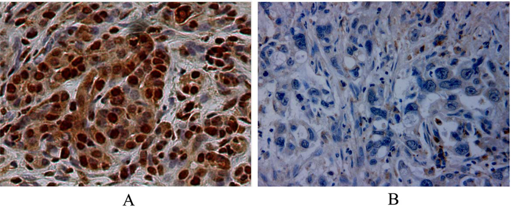
2.1. Expression of TBX4 in PDAC Tissues and Normal Adjacent Pancreas
2.2. Correlation of Clinicopathological Features with TBX4 Expression
2.3. Correlation of TBX4 Expression Level and Overall Survival
2.4. Methylation of Promoter Region CpG Island of TBX4 in PDAC and Normal Pancreas
2.5. Discussion
3. Experimental Section
3.1. Patients
3.2. Immunohistochemistry
3.3. Bisulfite Sequencing
3.4. Statistics
4. Conclusions
Acknowledgments
References
- Raimondi, S; Maisonneuve, P; Lowenfels, AB. Epidemiology of pancreatic cancer: An overview. Nat. Rev. Gastroenterol. Hepatol 2009, 6, 699–708. [Google Scholar]
- Guo, X; Cui, Z. Current diagnosis and treatment of pancreatic cancer in China. Pancreas 2005, 31, 13–22. [Google Scholar]
- Yeo, CJ; Cameron, JL. Prognostic factors in ductal pancreatic cancer. Langenbecks Arch. Surg 1998, 383, 129–133. [Google Scholar]
- Gebhardt, C; Meyer, W; Reichel, M; Wunsch, PH. Prognostic factors in the operative treatment of ductal pancreatic carcinoma. Langenbecks Arch. Surg 2000, 385, 14–20. [Google Scholar]
- Agulnik, SI; Garvey, N; Hancock, S; Ruvinsky, I; Chapman, DL; Agulnik, I; Bollag, R; Papaioannou, V; Silver, LM. Evolution of mouse T-box genes by tandem duplication and cluster dispersion. Genetics 1996, 144, 249–254. [Google Scholar]
- Naiche, LA; Papaioannou, VE. Loss of Tbx4 blocks hindlimb development and affects vascularization and fusion of the allantois. Development 2003, 130, 2681–2693. [Google Scholar]
- Qi, T; Han, J; Cui, Y; Zong, M; Liu, X; Zhu, B. Comparative proteomic analysis for the detection of biomarkers in pancreatic ductal adenocarcinomas. J. Clin. Pathol 2008, 61, 49–58. [Google Scholar]
- Kelemen, LE; Wang, X; Fredericksen, ZS; Pankratz, VS; Pharoah, PD; Ahmed, S; Dunning, AM; Easton, DF; Vierkant, RA; Cerhan, JR; et al. Genetic variation in the chromosome 17q23 amplicon and breast cancer risk. Cancer Epidemiol. Biomark. Prev 2009, 18, 1864–1868. [Google Scholar]
- Yu, J; Ma, X; Cheung, KF; Li, X; Tian, L; Wang, S; Wu, CW; Wu, WK; He, M; Wang, M; et al. Epigenetic inactivation of T-box transcription factor 5, a novel tumor suppressor gene, is associated with colon cancer. Oncogene 2010, 29, 6464–6474. [Google Scholar]
- Song, D; Tian, T-D; Zhou, L; Wang, W; Sun, H-L; Dai, X-W. Expression and clinical significance of tbx2 in pancreatic cancer. Asian Pac. J. Cancer Prev 2009, 10, 118–122. [Google Scholar]
- Rodriguez, M; Aladowicz, E; Lanfrancone, L; Goding, CR. Tbx3 represses E-cadherin expression and enhances melanoma invasiveness. Cancer Res 2008, 68, 7872–7881. [Google Scholar]
- Taneja, P; Maglic, D; Kai, F; Zhu, S; Kendig, RD; Fry, EA; Inoue, K. Classical and novel prognostic markers for breast cancer and their clinical significance. Clin. Med. Insights Oncol 2010, 4, 15–34. [Google Scholar]
- Krcmery, J; Camarata, T; Kulisz, A; Simon, HG. Nucleocytoplasmic functions of the PDZ-LIM protein family: New insights into organ development. Bioessays 2010, 32, 100–108. [Google Scholar]
- Bimber, B; Dettman, RW; Simon, HG. Differential regulation of Tbx5 protein expression and sub-cellular localization during heart development. Dev. Biol 2007, 302, 230–242. [Google Scholar]
- Hasson, P; DeLaurier, A; Bennett, M; Grigorieva, E; Naiche, LA; Papaioannou, VE; Mohun, TJ; Logan, MP. Tbx4 and tbx5 acting in connective tissue are required for limb muscle and tendon patterning. Dev. Cell 2010, 18, 148–156. [Google Scholar]
- Takeuchi, JK; Koshiba-Takeuchi, K; Suzuki, T; Kamimura, M; Ogura, K; Ogura, T. Tbx5 and Tbx4 trigger limb initiation through activation of the Wnt/Fgf signaling cascade. Development 2003, 130, 2729–2739. [Google Scholar]
- Peres, J; Davis, E; Mowla, S; Bennett, DC; Li, JA; Wansleben, S; Prince, S. The highly homologous T-Box transcription factors, TBX2 and TBX3, have distinct roles in the oncogenic process. Genes. Cancer 2010, 1, 272–282. [Google Scholar]
- Peng, L; Liang, J; Wang, H; Song, X; Rashid, A; Gomez, HF; Corley, LJ; Abbruzzese, JL; Fleming, JB; Evans, DB; et al. High levels of nucleolar expression of nucleolin are associated with better prognosis in patients with stage II pancreatic ductal adenocarcinoma. Clin. Cancer Res 2010, 16, 3734–3742. [Google Scholar]
- Stein, T; Cosimo, E; Yu, X; Smith, PR; Simon, R; Cottrell, L; Pringle, MA; Bell, AK; Lattanzio, L; Sauter, G; et al. Loss of reelin expression in breast cancer is epigenetically controlled and associated with poor prognosis. Am. J. Pathol 2010, 177, 2323–2333. [Google Scholar]



| Characteristics | No. of cases (n = 77) | TBX4—high (n = 48) | TBX4—low (n = 29) | P value |
|---|---|---|---|---|
| Age (years) | ||||
| <60 | 27 | 16 | 11 | 0.682 |
| ≥60 | 50 | 32 | 18 | |
| Gender | ||||
| Female | 32 | 20 | 12 | 0.980 |
| Male | 45 | 28 | 17 | |
| Tumor size (cm) | ||||
| ≤2.0 | 17 | 12 | 5 | 0.426 |
| >2.0 | 60 | 36 | 24 | |
| Grade | ||||
| 1 | 20 | 14 | 6 | 0.015 |
| 2 | 45 | 31 | 14 | |
| 3 | 12 | 3 | 9 | |
| Margin status | ||||
| Negative | 58 | 35 | 23 | 0.537 |
| Positive | 19 | 13 | 6 | |
| Lymph node status | ||||
| Negative | 23 | 15 | 8 | 0.734 |
| Positive | 54 | 33 | 21 | |
| Liver metastasis recurrence | ||||
| Negative | 52 | 38 | 14 | 0.005 |
| Positive | 25 | 10 | 15 | |
| Lymphatic invasion | ||||
| Negative | 20 | 12 | 8 | 0.803 |
| Positive | 57 | 36 | 21 | |
| Venous invasion | ||||
| Negative | 31 | 21 | 10 | 0.422 |
| Positive | 46 | 27 | 19 |
| Variables | Univariate | Multivariate | ||
|---|---|---|---|---|
| HR (95% CI) | P | HR (95% CI) | P | |
| Age (years) | 1.049 (0.641–1.716) | 0.846 | - | - |
| <60 vs. ≥60 | ||||
| Gender | 1.534 (0.939–2.506) | 0.079 | - | - |
| Female vs. male | ||||
| Tumor size (cm) | 1.437 (0.811–2.548) | 0.203 | - | - |
| ≤2.0 vs. >2.0 | ||||
| Grade | 1.017 (0.687–1.505) | 0.714 | - | - |
| 1 vs. 2 vs. 3 | ||||
| Margin status | 1.886 (1.079–3.298) | 0.021 | 1.886 (1.049–3.390) | 0.034 |
| Negative vs. Positive | ||||
| Lymph node status | 1.721 (1.037–2.857) | 0.030 | 1.932 (1.124–3.319) | 0.017 |
| Negative vs. Positive | ||||
| Liver metastasis recurrence | 1.994 (1.217–3.269) | 0.004 | 1.455 (0.800–2.648) | 0.219 |
| Negative vs. Positive | ||||
| Lymphatic invasion | 1.110 (0.656–1.879) | 0.692 | - | - |
| Negative vs. Positive | ||||
| Venous invasion | 1.638 (1.015–2.644) | 0.037 | 2.107 (1.224–3.324) | 0.006 |
| Negative vs. Positive | ||||
| TBX4 | 0.545 (0.337–0.881) | 0.010 | 0.503 (0.285–0.888) | 0.018 |
| Low vs. High | ||||
© 2011 by the authors; licensee MDPI, Basel, Switzerland. This article is an open-access article distributed under the terms and conditions of the Creative Commons Attribution license (http://creativecommons.org/licenses/by/3.0/).
Share and Cite
Zong, M.; Meng, M.; Li, L. Low Expression of TBX4 Predicts Poor Prognosis in Patients with Stage II Pancreatic Ductal Adenocarcinoma. Int. J. Mol. Sci. 2011, 12, 4953-4963. https://doi.org/10.3390/ijms12084953
Zong M, Meng M, Li L. Low Expression of TBX4 Predicts Poor Prognosis in Patients with Stage II Pancreatic Ductal Adenocarcinoma. International Journal of Molecular Sciences. 2011; 12(8):4953-4963. https://doi.org/10.3390/ijms12084953
Chicago/Turabian StyleZong, Meijuan, Meng Meng, and Liang Li. 2011. "Low Expression of TBX4 Predicts Poor Prognosis in Patients with Stage II Pancreatic Ductal Adenocarcinoma" International Journal of Molecular Sciences 12, no. 8: 4953-4963. https://doi.org/10.3390/ijms12084953
APA StyleZong, M., Meng, M., & Li, L. (2011). Low Expression of TBX4 Predicts Poor Prognosis in Patients with Stage II Pancreatic Ductal Adenocarcinoma. International Journal of Molecular Sciences, 12(8), 4953-4963. https://doi.org/10.3390/ijms12084953
