Cancer Chemopreventive Ability of Conjugated Linolenic Acids
Abstract
:1. Introduction
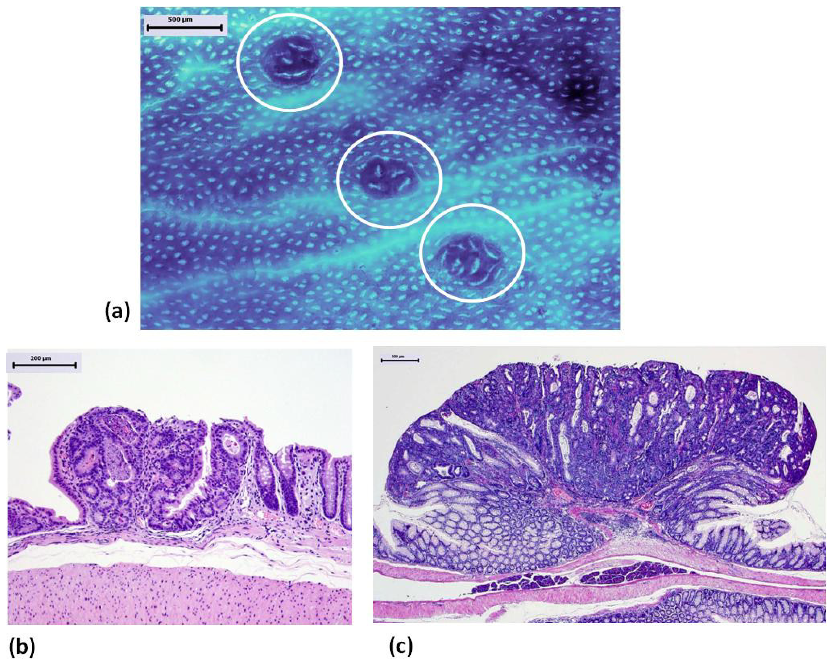
2. CLN Inhibits Colon Carcinogenesis in Vivo Studies
3. Growth-Inhibitory Effects of CLN in Vitro Studies
4. Molecular Mechanisms by Which CLN Exert Anti-Carcinogenesis and Anti-Tumor Growth Effects
5. Conclusion and Future Perspectives
Acknowledgments
- Conflict of InterestThe authors declare no conflict of interest.
References
- Chin, S.F.; Liu, W.; Storkson, J.M.; Ha, Y.L.; Pariza, M.W. Dietary sources of conjugated dienoic isomers of linoleic acid, a newly recognized class of anticarcinogens. J. Food Comp. Anal 1992, 5, 185–197. [Google Scholar]
- Chisholm, M.J.; Hopkins, C.Y. Conjugated fatty acids in some cucurbitaceae seed oils. Can. J. Biochem 1967, 45, 1081–1086. [Google Scholar]
- Liu, L.; Hammond, E.G.; Nikolau, B.J. In vivo studies of the biosynthesis of [alpha]-eleostearic acid in the seed of Momordica charantia L. Plant Physiol 1997, 113, 1343–1349. [Google Scholar]
- Bhaskar, N.; Kinami, T.; Miyashita, K.; Park, S.B.; Endo, Y.; Fujimoto, K. Occurrence of conjugated polyenoic fatty acids in seaweeds from the Indian Ocean. Z. Naturforsch. C 2004, 59, 310–314. [Google Scholar]
- Lopez, A.; Gerwick, W.H. Two new icosapentaenoic acids from the temperate red seaweed Ptilota filicina J. Agardh. Lipids 1987, 22, 190–194. [Google Scholar]
- Wise, M.L.; Hamberg, M.; Gerwick, W.H. Biosynthesis of conjugated triene-containing fatty acids by a novel isomerase from the red marine alga Ptilota filicina. Biochemistry 1994, 33, 15223–15232. [Google Scholar]
- Hildebrand, D.F. Plant lipid biochemistry: Occurrence or unusual fatty acids in plants. 2010. Available online: http://lipidlibrary.aocs.org/plantbio/unusualfa/index.htm accessed on 29 July 2011.
- Takagi, T.; Itabashi, Y. Occurrence of mixtures of geometrical isomers of conjugated octadecatrienoic acids in some seed oils: Analysis by open tubular gas liquid chromatography and high performance liquid chromatography. Lipids 1981, 16, 546–551. [Google Scholar]
- Suzuki, R.; Arato, S.; Noguchi, R.; Miyashita, K.; Tachikawa, O. Occurrence of conjugated linolenic acid in flesh and seed of bitter gourd. J. Oleo Sci 2001, 50, 753–758. [Google Scholar]
- Hopkins, C.Y.; Chisholm, M.J. Isolation of natural isomer of linoleic acid from seed oil. J. Am. Oil Chem. Soc 1964, 41, 42–44. [Google Scholar]
- Bagby, M.O.; Smith, C.R., Jr; Wolff, I.A. Stereochemistry of alpha-parinaric acid from impatiens edgeworthii seed oil. Lipids 1966, 1, 263–267. [Google Scholar]
- Spitzer, V.; Marx, F.; Pfeilsticker, K. Electron impact mass spectra of the oxazoline derivatives of some conjugated diene and triene C18 fatty acids. J. Am. Oil Chem. Soc 1994, 71, 873–876. [Google Scholar]
- Kelley, N.S.; Hubbard, N.E.; Erickson, K.L. Conjugated linoleic acid isomers and cancer. J. Nutr 2007, 137, 2599–2607. [Google Scholar]
- Reynolds, C.M.; Roche, H.M. Conjugated linoleic acid and inflammatory cell signalling. Prostaglandins Leukot Essent. Fatty Acids 2010, 82, 199–204. [Google Scholar]
- Hennessy, A.A.; Ross, R.P.; Devery, R.; Stanton, C. The health promoting properties of the conjugated isomers of alpha-linolenic acid. Lipids 2011, 46, 105–119. [Google Scholar]
- Koba, K.; Akahoshi, A.; Yamasaki, M.; Tanaka, K.; Yamada, K.; Iwata, T.; Kamegai, T.; Tsutsumi, K.; Sugano, M. Dietary conjugated linolenic acid in relation to CLA differently modifies body fat mass and serum and liver lipid levels in rats. Lipids 2002, 37, 343–350. [Google Scholar]
- Miranda, J.; Fernandez-Quintela, A.; Macarulla, M.T.; Churruca, I.; Garcia, C.; Rodriguez, V.M.; Simon, E.; Portillo, M.P. A comparison between CLNA and CLA effects on body fat, serum parameters and liver composition. J. Physiol. Biochem 2009, 65, 25–32. [Google Scholar]
- Nerurkar, P.; Ray, R.B. Bitter melon: antagonist to cancer. Pharm. Res 2010, 27, 1049–1053. [Google Scholar]
- Boussetta, T.; Raad, H.; Letteron, P.; Gougerot-Pocidalo, M.A.; Marie, J.C.; Driss, F.; El-Benna, J. Punicic acid a conjugated linolenic acid inhibits TNFalpha-induced neutrophil hyperactivation and protects from experimental colon inflammation in rats. PLoS One 2009, 4. [Google Scholar] [CrossRef]
- Bartsch, H.; Nair, J.; Owen, R.W. Dietary polyunsaturated fatty acids and cancers of the breast and colorectum: emerging evidence for their role as risk modifiers. Carcinogenesis 1999, 20, 2209–2218. [Google Scholar]
- Rao, C.V.; Hirose, Y.; Indranie, C.; Reddy, B.S. Modulation of experimental colon tumorigenesis by types and amounts of dietary fatty acids. Cancer Res 2001, 61, 1927–1933. [Google Scholar]
- Reddy, B.S.; Tanaka, T.; Simi, B. Effect of different levels of dietary trans fat or corn oil on azoxymethane-induced colon carcinogenesis in F344 rats. J. Natl. Cancer Inst 1985, 75, 791–798. [Google Scholar]
- Wynder, E.L.; Kajitani, T.; Ishikawa, S.; Dodo, H.; Takano, A. Environmental factors of cancer of the colon and rectum. II. Japanese epidemiological data. Cancer 1969, 23, 1210–1220. [Google Scholar]
- International Agency for Research on Cancer. Available online: http://globocan.iarc.fr/factsheets/cancers/colorectal.asp accessed on 29 July 2011.
- Alexander, D.D.; Cushing, C.A. Red meat and colorectal cancer: A critical summary of prospective epidemiologic studies. Obes. Res 2011, 12, e472–e493. [Google Scholar]
- Center, M.M.; Jemal, A.; Smith, R.A.; Ward, E. Worldwide variations in colorectal cancer. CA Cancer J. Clin 2009, 59, 366–378. [Google Scholar]
- Chan, A.T.; Giovannucci, E.L. Primary prevention of colorectal cancer. Gastroenterology 2010, 138, 2029–2043. [Google Scholar]
- Herszenyi, L.; Tulassay, Z. Epidemiology of gastrointestinal and liver tumors. Eur. Rev. Med. Pharmacol. Sci 2010, 14, 249–258. [Google Scholar]
- Le Marchand, L.; Wilkens, L.R.; Kolonel, L.N.; Hankin, J.H.; Lyu, L.C. Associations of sedentary lifestyle, obesity, smoking, alcohol use, and diabetes with the risk of colorectal cancer. Cancer Res 1997, 57, 4787–4794. [Google Scholar]
- Reddy, B.S. Dietary fat and colon cancer: animal model studies. Lipids 1992, 27, 807–813. [Google Scholar]
- Rosenberg, D.W.; Giardina, C.; Tanaka, T. Mouse models for the study of colon carcinogenesis. Carcinogenesis 2009, 30, 183–196. [Google Scholar]
- Tanaka, T. Colorectal carcinogenesis: Review of human and experimental animal studies. J. Carcinog 2009, 8. [Google Scholar] [CrossRef]
- Kohno, H.; Suzuki, R.; Noguchi, R.; Hosokawa, M.; Miyashita, K.; Tanaka, T. Dietary conjugated linolenic acid inhibits azoxymethane-induced colonic aberrant crypt foci in rats. Jpn. J. Cancer Res 2002, 93, 133–142. [Google Scholar]
- Suzuki, R.; Yasui, Y.; Kohno, H.; Miyamoto, S.; Hosokawa, M.; Miyashita, K.; Tanaka, T. Catalpa seed oil rich in 9t,11t,13c-conjugated linolenic acid suppresses the development of colonic aberrant crypt foci induced by azoxymethane in rats. Oncol. Rep 2006, 16, 989–996. [Google Scholar]
- Noguchi, R.; Yasui, Y.; Suzuki, R.; Hosokawa, M.; Fukunaga, K.; Miyashita, K. Dietary effects of bitter gourd oil on blood and liver lipids of rats. Arch. Biochem. Biophys 2001, 396, 207–212. [Google Scholar]
- Kohno, H.; Maeda, M.; Honjo, S.; Murakami, M.; Shimada, R.; Masuda, S.; Sumida, T.; Azuma, Y.; Ogawa, H.; Tanaka, T. Prevention of colonic preneoplastic lesions by the beta-cryptoxanthin and hesperidin rich powder prepared from Citrus Unshiu Marc. Juice in male F344 rats. J. Toxicol. Pathol 1999, 12, 209–215. [Google Scholar]
- Tanaka, T.; Kohno, H.; Shimada, R.; Kagami, S.; Yamaguchi, F.; Kataoka, S.; Ariga, T.; Murakami, A.; Koshimizu, K.; Ohigashi, H. Prevention of colonic aberrant crypt foci by dietary feeding of garcinol in male F344 rats. Carcinogenesis 2000, 21, 1183–1189. [Google Scholar]
- Tanaka, T.; Shimizu, M.; Kohno, H.; Yoshitani, S.; Tsukio, Y.; Murakami, A.; Safitri, R.; Takahashi, D.; Yamamoto, K.; Koshimizu, K.; et al. Chemoprevention of azoxymethane-induced rat aberrant crypt foci by dietary zerumbone isolated from Zingiber zerumbet. Life Sci 2001, 69, 1935–1945. [Google Scholar]
- Zheng, Y.; Kramer, P.M.; Olson, G.; Lubet, R.A.; Steele, V.E.; Kelloff, G.J.; Pereira, M.A. Prevention by retinoids of azoxymethane-induced tumors and aberrant crypt foci and their modulation of cell proliferation in the colon of rats. Carcinogenesis 1997, 18, 2119–2125. [Google Scholar]
- Tanaka, T.; Miyamoto, S.; Suzuki, R.; Yasui, Y. Chemoprevention of colon carcinogenesis by dietary non-nutritive compounds. Curr. Topics Neutraceut. Res 2006, 4, 127–152. [Google Scholar]
- Tanaka, T.; Oyama, T.; Yasui, Y. Dietary supplements and colorectal cancer. Curr. Topics Neutraceut. Res 2008, 6, 165–188. [Google Scholar]
- Tanaka, T.; Sugie, S. Inhibition of colon carcinogenesis by dietary non-nutritive compounds. J. Toxicol. Pathol 2007, 20, 215–235. [Google Scholar]
- Yasui, Y.; Hosokawa, M.; Kohno, H.; Tanaka, T.; Miyashita, K. Growth inhibition and apoptosis induction by all-trans-conjugated linolenic acids on human colon cancer cells. Anticancer Res 2006, 26, 1855–1860. [Google Scholar]
- Yasui, Y.; Hosokawa, M.; Kohno, H.; Tanaka, T.; Miyashita, K. Troglitazone and 9cis, 11trans, 13trans-conjugated linolenic acid: Comparison of their antiproliferative and apoptosis-inducing effects on different colon cancer cell lines. Chemotherapy 2006, 52, 220–225. [Google Scholar]
- Yasui, Y.; Hosokawa, M.; Sahara, T.; Suzuki, R.; Ohgiya, S.; Kohno, H.; Tanaka, T.; Miyashita, K. Bitter gourd seed fatty acid rich in 9c,11t,13t-conjugated linolenic acid induces apoptosis and up-regulates the GADD45, p53 and PPARgamma in human colon cancer Caco-2 cells. Prostaglandins Leukot Essent. Fatty Acids 2005, 73, 113–119. [Google Scholar]
- Kohno, H.; Yasui, Y.; Suzuki, R.; Hosokawa, M.; Miyashita, K.; Tanaka, T. Dietary seed oil rich in conjugated linolenic acid from bitter melon inhibits azoxymethane-induced rat colon carcinogenesis through elevation of colonic PPARgamma expression and alteration of lipid composition. Int. J. Cancer 2004, 110, 896–901. [Google Scholar]
- Kohno, H.; Suzuki, R.; Yasui, Y.; Hosokawa, M.; Miyashita, K.; Tanaka, T. Pomegranate seed oil rich in conjugated linolenic acid suppresses chemically induced colon carcinogenesis in rats. Cancer Sci 2004, 95, 481–486. [Google Scholar]
- Yasui, Y.; Kim, M.; Oyama, T.; Tanaka, T. Colorectal carcinogenesis and suppression of tumor development by inhibition of enzymes and molecular targets. Curr. Enzym. Inhib 2009, 5, 1–26. [Google Scholar]
- Yasui, Y.; Kim, M.; Tanaka, T. PPAR Ligands for Cancer Chemoprevention. PPAR Res 2008, 2008. [Google Scholar] [CrossRef]
- Tanaka, T.; Kohno, H.; Yoshitani, S.; Takashima, S.; Okumura, A.; Murakami, A.; Hosokawa, M. Ligands for peroxisome proliferator-activated receptors alpha and gamma inhibit chemically induced colitis and formation of aberrant crypt foci in rats. Cancer Res 2001, 61, 2424–2428. [Google Scholar]
- Tsuzuki, T.; Tokuyama, Y.; Igarashi, M.; Miyazawa, T. Tumor growth suppression by alpha-eleostearic acid, a linolenic acid isomer with a conjugated triene system, via lipid peroxidation. Carcinogenesis 2004, 25, 1417–1425. [Google Scholar]
- Tsuzuki, T.; Igarashi, M.; Miyazawa, T. Conjugated eicosapentaenoic acid (EPA) inhibits transplanted tumor growth via membrane lipid peroxidation in nude mice. J. Nutr 2004, 134, 1162–1166. [Google Scholar]
- Noguchi, R.; Yasui, Y.; Hosokawa, M.; Fukunaga, K.; Miyashita, K. Biaconversion of Conjugated Licolenic acid to Conjugated Linoleic Acid. In Essential Fatty Acids and Eicosanoids; Huang, Y.S., Lin, S.J., Huang, P.C., Eds.; AOCS Press: Champaign, IL, USA, 2003; pp. 353–359. [Google Scholar]
- Ha, Y.L.; Grimm, N.K.; Pariza, M.W. Anticarcinogens from fried ground beef: Heat-altered derivatives of linoleic acid. Carcinogenesis 1987, 8, 1881–1887. [Google Scholar]
- Ip, C.; Chin, S.F.; Scimeca, J.A.; Pariza, M.W. Mammary cancer prevention by conjugated dienoic derivative of linoleic acid. Cancer Res 1991, 51, 6118–6124. [Google Scholar]
- Ip, C.; Singh, M.; Thompson, H.J.; Scimeca, J.A. Conjugated linoleic acid suppresses mammary carcinogenesis and proliferative activity of the mammary gland in the rat. Cancer Res 1994, 54, 1212–1215. [Google Scholar]
- Sarkar, F.H.; Adsule, S.; Li, Y.; Padhye, S. Back to the future: COX-2 inhibitors for chemoprevention and cancer therapy. Mini Rev. Med. Chem 2007, 7, 599–608. [Google Scholar]
- Suzuki, R.; Noguchi, R.; Ota, T.; Abe, M.; Miyashita, K.; Kawada, T. Cytotoxic effect of conjugated trienoic fatty acids on mouse tumor and human monocytic leukemia cells. Lipids 2001, 36, 477–482. [Google Scholar]
- Igarashi, M.; Miyazawa, T. Preparation and fractionation of conjugated trienes from alpha-linolenic acid and their growth-inhibitory effects on human tumor cells and fibroblasts. Lipids 2005, 40, 109–113. [Google Scholar]
- Beppu, F.; Hosokawa, M.; Tanaka, L.; Kohno, H.; Tanaka, T.; Miyashita, K. Potent inhibitory effect of trans9, trans11 isomer of conjugated linoleic acid on the growth of human colon cancer cells. J. Nutr. Biochem 2006, 17, 830–836. [Google Scholar]
- Gupta, R.A.; Dubois, R.N. Controversy: PPARgamma as a target for treatment of colorectal cancer. Am. J. Physiol. Gastrointest. Liver Physiol 2002, 283, G266–G269. [Google Scholar]
- Sporn, M.B.; Suh, N.; Mangelsdorf, D.J. Prospects for prevention and treatment of cancer with selective PPARgamma modulators (SPARMs). Trends Mol. Med 2001, 7, 395–400. [Google Scholar]
- McCarty, M.F. Activation of PPARgamma may mediate a portion of the anticancer activity of conjugated linoleic acid. Med. Hypotheses 2000, 55, 187–188. [Google Scholar]
- Tontonoz, P.; Hu, E.; Spiegelman, B.M. Stimulation of adipogenesis in fibroblasts by PPAR gamma 2, a lipid-activated transcription factor. Cell 1994, 79, 1147–1156. [Google Scholar]
- DuBois, R.N.; Gupta, R.; Brockman, J.; Reddy, B.S.; Krakow, S.L.; Lazar, M.A. The nuclear eicosanoid receptor, PPARgamma, is aberrantly expressed in colonic cancers. Carcinogenesis 1998, 19, 49–53. [Google Scholar]
- Kitamura, S.; Miyazaki, Y.; Shinomura, Y.; Kondo, S.; Kanayama, S.; Matsuzawa, Y. Peroxisome proliferator-activated receptor gamma induces growth arrest and differentiation markers of human colon cancer cells. Jpn. J. Cancer Res 1999, 90, 75–80. [Google Scholar]
- Elstner, E.; Muller, C.; Koshizuka, K.; Williamson, E.A.; Park, D.; Asou, H.; Shintaku, P.; Said, J.W.; Heber, D.; Koeffler, H.P. Ligands for peroxisome proliferator-activated receptorgamma and retinoic acid receptor inhibit growth and induce apoptosis of human breast cancer cells in vitro and in BNX mice. Proc. Natl. Acad. Sci. USA 1998, 95, 8806–8811. [Google Scholar]
- Kubota, T.; Koshizuka, K.; Williamson, E.A.; Asou, H.; Said, J.W.; Holden, S.; Miyoshi, I.; Koeffler, H.P. Ligand for peroxisome proliferator-activated receptor gamma (troglitazone) has potent antitumor effect against human prostate cancer both in vitro and in vivo. Cancer Res 1998, 58, 3344–3352. [Google Scholar]
- Yoshida, K.; Hirose, Y.; Tanaka, T.; Yamada, Y.; Kuno, T.; Kohno, H.; Katayama, M.; Qiao, Z.; Sakata, K.; Sugie, S.; et al. Inhibitory effects of troglitazone, a peroxisome proliferator-activated receptor gamma ligand, in rat tongue carcinogenesis initiated with 4-nitroquinoline 1-oxide. Cancer Sci 2003, 94, 365–371. [Google Scholar]
- Shimada, T.; Kojima, K.; Yoshiura, K.; Hiraishi, H.; Terano, A. Characteristics of the peroxisome proliferator activated receptor gamma (PPARgamma) ligand induced apoptosis in colon cancer cells. Gut 2002, 50, 658–664. [Google Scholar]
- Yang, W.L.; Frucht, H. Activation of the PPAR pathway induces apoptosis and COX-2 inhibition in HT-29 human colon cancer cells. Carcinogenesis 2001, 22, 1379–1383. [Google Scholar]
- Clay, C.E.; Namen, A.M.; Atsumi, G.; Willingham, M.C.; High, K.P.; Kute, T.E.; Trimboli, A.J.; Fonteh, A.N.; Dawson, P.A.; Chilton, F.H. Influence of J series prostaglandins on apoptosis and tumorigenesis of breast cancer cells. Carcinogenesis 1999, 20, 1905–1911. [Google Scholar]
- Kohno, H.; Yoshitani, S.; Takashima, S.; Okumura, A.; Hosokawa, M.; Yamaguchi, N.; Tanaka, T. Troglitazone, a ligand for peroxisome proliferator-activated receptor gamma, inhibits chemically-induced aberrant crypt foci in rats. Jpn. J. Cancer Res 2001, 92, 396–403. [Google Scholar]
- Tsubouchi, Y.; Sano, H.; Kawahito, Y.; Mukai, S.; Yamada, R.; Kohno, M.; Inoue, K.; Hla, T.; Kondo, M. Inhibition of human lung cancer cell growth by the peroxisome proliferator-activated receptor-gamma agonists through induction of apoptosis. Biochem. Biophys. Res. Commun 2000, 270, 400–405. [Google Scholar]
- Zweibaum, A. Differentiation of human colon cancer cells: A new approach to cancer of the colon. Ann. Gastroenterol. Hepatol 1993, 29, 257–261, discussion 261–262. [Google Scholar]
- Zweibaum, A. Differentiation of human colon cancer cells: A new approach to colon cancer. Bull. Acad. Natl. Med 1993, 177, 63–71, discussion 71–63. [Google Scholar]
- Grivicich, I.; Regner, A.; da Rocha, A.B.; Kayser, G.B.; Schunemann, D.P.; Grass, L.B.; Alves, P.A.; Henriques, J.A.; Schwartsmann, G. The irinotecan/5-fluorouracil combination induces apoptosis and enhances manganese superoxide dismutase activity in HT-29 human colon carcinoma cells. Chemotherapy 2005, 51, 93–102. [Google Scholar]
- Han, C.; Demetris, A.J.; Michalopoulos, G.K.; Zhan, Q.; Shelhamer, J.H.; Wu, T. PPARgamma ligands inhibit cholangiocarcinoma cell growth through p53–dependent GADD45 and p21 pathway. Hepatology 2003, 38, 167–177. [Google Scholar]
- Nagamine, M.; Okumura, T.; Tanno, S.; Sawamukai, M.; Motomura, W.; Takahashi, N.; Kohgo, Y. PPAR gamma ligand-induced apoptosis through a p53-dependent mechanism in human gastric cancer cells. Cancer Sci 2003, 94, 338–343. [Google Scholar]
- Takekawa, M.; Saito, H. A family of stress-inducible GADD45-like proteins mediate activation of the stress-responsive MTK1/MEKK4 MAPKKK. Cell 1998, 95, 521–530. [Google Scholar]
- Smith, M.L.; Chen, I.T.; Zhan, Q.; Bae, I.; Chen, C.Y.; Gilmer, T.M.; Kastan, M.B.; O’Connor, P.M.; Fornace, A.J., Jr. Interaction of the p53-regulated protein Gadd45 with proliferating cell nuclear antigen. Science 1994, 266, 1376–1380. [Google Scholar]
- Balakumar, P.; Rose, M.; Ganti, S.S.; Krishan, P.; Singh, M. PPAR dual agonists: are they opening Pandora’s Box? Pharmacol. Res 2007, 56, 91–98. [Google Scholar]
- Basch, E.; Gabardi, S.; Ulbricht, C. Bitter melon (Momordica charantia): A review of efficacy and safety. Am. J. Health Syst. Pharm 2003, 60, 356–359. [Google Scholar]
- Tenenbaum, A.; Motro, M.; Fisman, E.Z. Dual and pan-peroxisome proliferator-activated receptors (PPAR) co-agonism: The bezafibrate lessons. Cardiovasc. Diabetol 2005, 4. [Google Scholar] [CrossRef]




© 2011 by the authors; licensee MDPI, Basel, Switzerland. This article is an open-access article distributed under the terms and conditions of the Creative Commons Attribution license (http://creativecommons.org/licenses/by/3.0/).
Share and Cite
Tanaka, T.; Hosokawa, M.; Yasui, Y.; Ishigamori, R.; Miyashita, K. Cancer Chemopreventive Ability of Conjugated Linolenic Acids. Int. J. Mol. Sci. 2011, 12, 7495-7509. https://doi.org/10.3390/ijms12117495
Tanaka T, Hosokawa M, Yasui Y, Ishigamori R, Miyashita K. Cancer Chemopreventive Ability of Conjugated Linolenic Acids. International Journal of Molecular Sciences. 2011; 12(11):7495-7509. https://doi.org/10.3390/ijms12117495
Chicago/Turabian StyleTanaka, Takuji, Masashi Hosokawa, Yumiko Yasui, Rikako Ishigamori, and Kazuo Miyashita. 2011. "Cancer Chemopreventive Ability of Conjugated Linolenic Acids" International Journal of Molecular Sciences 12, no. 11: 7495-7509. https://doi.org/10.3390/ijms12117495
APA StyleTanaka, T., Hosokawa, M., Yasui, Y., Ishigamori, R., & Miyashita, K. (2011). Cancer Chemopreventive Ability of Conjugated Linolenic Acids. International Journal of Molecular Sciences, 12(11), 7495-7509. https://doi.org/10.3390/ijms12117495
