Cardioprotective Effects of Glycyrrhizic Acid Against Isoproterenol-Induced Myocardial Ischemia in Rats
Abstract
:1. Introduction
2. Results and Discussion
2.1. Body Weight and Heart Weight
2.2. Cardiac Marker Enzymes
2.3. Lipid Hydroperoxides
2.4. 8-Isoprostane
2.5. Superoxide Dismutase
2.6. Total Glutathione
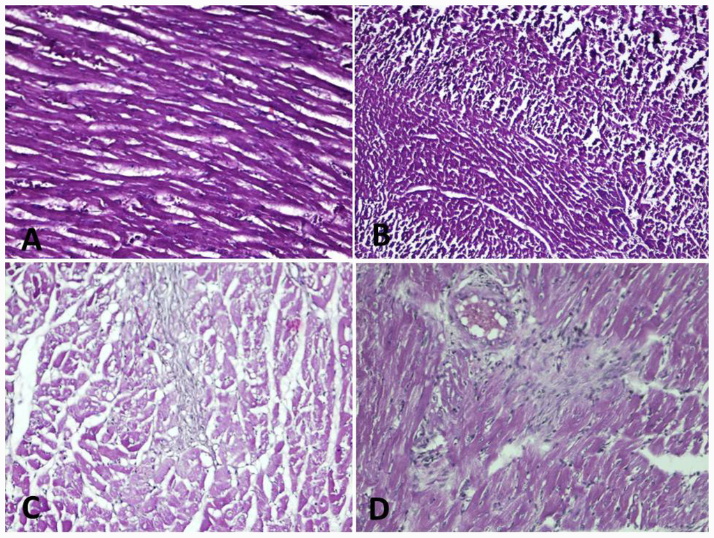
2.7. Histopathological Analyses
3. Discussion
4. Experimental Section
4.1. Lipid Hydroperoxide (LPO) Assay
4.2. 8-Isoprostane (IP) Assay
4.3. Superoxide Dismutase (SOD) Assay
4.4. Total Glutathione (GSH) Assay
4.5. Statistical Analysis
5. Conclusions
Acknowledgments
References
- Lopez, AD; Murray, CC. The global burden of disease, 1990–2020. Nat. Med 1998, 4, 1241–1243. [Google Scholar]
- Petrich, ER; Schanne, OF; Zumino, AP. Electrophysiological Responses to Ischemia and Reperfusion. In Myocardial Ischemia: Mechanism, Reperfusion, Protection; Karmazyn, M, Ed.; Birkhäuser: Basel Switzerland, 1996; pp. 115–133. [Google Scholar]
- Thygesen, K; Alpert, JS; White, HD. Universal definition of myocardial infarction. J. Am. Coll. Cardiol 2007, 50, 2173–2195. [Google Scholar]
- Zhou, R; Xu, Q; Zheng, P; Yan, L; Zheng, J; Dai, G. Cardioprotective effect of fluvastatin on isoproterenol-induced myocardial infarction in rat. Eur. J. Pharmacol 2008, 586, 244–250. [Google Scholar]
- Rajadurai, M; Prince, PSM. Preventive effect of naringin on lipid peroxides and antioxidants in isoproterenol-induced cardiotoxicity in Wistar rats: Biochemical and histopathological evidences. Toxicology 2006, 228, 259–268. [Google Scholar]
- Rathore, N; John, S; Kale, M; Bhatnagar, D. Lipid peroxidation and antioxidant enzymes in isoproterenol induced oxidative stress in rat tissues. Pharmacol. Res 1998, 38, 297–303. [Google Scholar]
- Buttros, JB; Bergamaschi, CT; Ribeiro, DA; Fracalossi, AC; Campos, RR. Cardioprotective actions of ascorbic acid during isoproterenol-induced acute myocardial infarction in rats. Pharmacology 2009, 84, 29–37. [Google Scholar]
- Suchalatha, S; Shyamala, DCS. Protective effect of Terminaliachebula against experimental myocardial injury induced by isoproterenol. Indian J. Exp. Biol 2004, 42, 174–178. [Google Scholar]
- Peer, PA; Trivedi, PC; Nigade, PB; Ghaisas, MM; Deshpande, AD. Cardioprotective effect of Azadirachtaindica A. Juss on isoprenaline induced myocardial infarction in rats. Int. J. Cardiol 2008, 126, 123–126. [Google Scholar]
- Hayashi, H; Sudo, H. Economic importance of licorice. Plant Biotechnol 2009, 26, 101–104. [Google Scholar]
- Lee, CH; Park, SW; Kim, YS; Kang, SS; Kim, JA; Lee, SH; Lee, SM. Protective Mechanism of Glycyrrhizic acid on acute liver injury induced by carbon tetrachloride in mice. Biol. Pharm. Bull 2007, 30, 1898–1904. [Google Scholar]
- Ito, M; Sato, A; Hirabayashi, K; Tanabe, F; Shigeta, S; Baba, M; De Clercq, E; Nakashima, H; Yamamoto, N. Mechanism of inhibitory effect of glychyrrhizin on replication of human immunodeficiency virus (HIV). Antivir. Res 1988, 10, 289–298. [Google Scholar]
- Schrofelbauer, B; Raffetseder, J; Hauner, M; Wolkerstorfer, A; Ernst, W; Szolar, OHJ. Glycyrrhizic acid, the main active compound in liqurice, attenuates pro-inflammatory responses by interfering with membrane-dependants receptor signaling. Biochem. J 2009, 421, 473–482. [Google Scholar]
- Paola, RD; Menegazzi, M; Mazzon, E; Genovese, T; Crisafuli, C; Bosco, MD; Zou, Z; Suzuki, H; Cuzzocrea, S. Protective effects of glycyrrhizic acid in a gut hypoxia (ischemia)-reoxygenation (reperfusion) model. Intensive Care Med 2009, 35, 687–697. [Google Scholar]
- Upaganlawar, A; Gandhi, C; Balaraman, R. Effect of green tea and vitamin E combination in Isoproterenol induced myocardial infarction in rats. Plant Foods Hum. Nutr 2009, 64, 75–80. [Google Scholar]
- Wang, SB; Tian, S; Yang, F; Yang, HG; Yang, XY; Du, GH. Cardioprotective effect of salvianolic acid A on isoproterenol-induced myocardial infarction in rats. Eur. J. Pharmacol 2009, 615, 125–132. [Google Scholar]
- Grimm, D; Elsner, D; Schunkert, H; Pfeifer, M; Griese, D; Bruckschlegel, G; Muders, F; Riegger, GA; Kromer, EP. Development of heart failure following isoproterenol administration in the rat: role of the renin-angiotensin system. Cardiovasc. Res 1998, 37, 91–100. [Google Scholar]
- Saravanan, G; Prakash, J. Effect of garlic (allium sativum) on lipid peroxidation in experimental myocardial infarction in rats. J. Ethnopharmacol 2004, 94, 155–158. [Google Scholar]
- Rosalki, SB; Roberts, R; Katus, HA; Giannitsis, E; Ladenson, JH. Cardiac Biomarkers for detection of myocardial infarction: Perspectives from past to present. Clin. Chem 2004, 50, 2205–2213. [Google Scholar]
- Libby, P. Current concepts of pathogenesis of the acute coronary syndromes. Circulation 2001, 104, 365–372. [Google Scholar]
- Loh, KK; Sahoo, KC; Kishore, K; Ray, R; Nag, TC; Kumari, S; Arya, DS. Effects of thalidomide on isoprenaline-induced acute myocardial injury: A haemodynamic, histopathological and ultrastructural study. Basic Clin. Pharmacol. Toxicol 2007, 100, 233–239. [Google Scholar]
- Christensen, RH; Azzazy, HME. Biochemical markers of the acute coronary syndromes. Clin. Chem 1998, 44, 1855–1864. [Google Scholar]
- Nigam, PK. Biochemical markers of myocardial injury. Indian J. Clin. Biochem 2007, 22, 10–17. [Google Scholar]
- Rotenberg, Z; Weinberger, I; Sagle, A; Fucha, J; Sperling, O; Agmon, J. Lactate dehydrogenase isoenzymes in serum during recent acute myocardial infarction. Clin. Chem 1987, 33, 1419–1420. [Google Scholar]
- Grimm, D; Elsner, D; Schunkert, H; Pfeifer, M; Griese, D; Bruckschlegel, G; Muders, F; Riegger, GA; Kromer, EP. Development of heart failure following isoproterenol administration in the rat: role of the renin-angiotensin system. Cardiovasc. Res 1998, 37, 91–100. [Google Scholar]
- Sies, H. Oxidative stress: Oxidants and antioxidants. Exp. Physiol 1997, 82, 291–295. [Google Scholar]
- Ames, BN; Shigenaga, MK; Hagen, TM. Oxidants, antioxidants, and the degenerative diseases of aging. Proc. Natl. Acad. Sci. USA 1993, 90, 7915–7922. [Google Scholar]
- Ferrari, R; Alfieri, O; Curello, S; Ceconi, C; Cargnoni, A; Marzollo, P; Pardini, A; Caradonna, E; Visioli, O. Occurrence of oxidative stress during reperfusion of the human heart. Circulation 1990, 81, 201–211. [Google Scholar]
- Lefer, DJ; Grabger, DN. Oxidative stress and cardiac disease. Am. J. Med 2000, 109, 315–323. [Google Scholar]
- Gutteridge, JM. Free radicals damage to lipids, amino acids, carbohydrates and nucleic acids, determined by TBA reactivity. Int. J. Biochem 1982, 14, 649–653. [Google Scholar]
- Banerjee, SK; Sood, S; Dinda, AK; Das, TK; Maulik, SK. Chronic oral administration of raw garlic protects against isoproterenol-induced myocardial necrosis in rat. Comp. Biochem. Physiol. Toxicol. Pharmacol 2003, 136, 377–386. [Google Scholar]
- Sathish, V; Ebenazer, KK; Devaki, T. Synergistic effect of nicorandil and amlodipine on tissue defense system during experimental myocardial infarction in rats. Mol. Cell. Biochem 2003, 243, 133–138. [Google Scholar]
- Montuschi, P; Kharitonov, SA; Ciabattoni, G; Corradi, M; Rensen, LV; Geddes, DM. Exhaled 8-isoprostane as a new non-invasive biomarker of oxidative stress in cystic fibrosis. Thorax 2000, 55, 205–209. [Google Scholar]
- Morrow, JD; Awad, JA; Boss, HJ; Blair, IA; Roberts, LJ, 2nd. Non-cyclooxygenase-derived prostanoids (F2-isoprostanes) are formed in situ on phospholipids. Proc. Natl. Acad. Sci USA 1992, 89, 10721–10725. [Google Scholar]
- Morrow, JD; Roberts, LJ. The isoprostanes. Current knowledge and directions for future research. Biochem. Pharmacol 1996, 51, 1–9. [Google Scholar]
- Xia, Z; Kuo, KH; Godin, DV; Walker, MJ; Tao, MCY; Ansley, DM. 15-F2t-isoprostane exacerbates myocardial ischemia-reperfusion injury of isolated rat hearts. Am. J. Physiol. Heart Circ. Physiol 2005, 289, 1366–1372. [Google Scholar]
- Panda, VS; Naik, SR. Cardioprotective activity of Ginkgo bilobaphytosomes in isoproterenol-induced myocardial necrosis in rats: A biochemical and histoarchitectural evaluation. Exp. Toxicol. Pathol 2008, 60, 397–404. [Google Scholar]
- Sharma, M; Kishore, K; Gupta, SK; Joshi, S; Arya, DS. Cardioprotective potential of Ocimum sanctum in isoproterenol induced myocardial infarction in rats. Mol. Cell. Biochem 2001, 225, 75–83. [Google Scholar]
- Akamatsu, H; Komura, J; Asada, Y; Niwa, Y. Mechanism of anti-inflammatory action of glycyrrhizic acid: Effect on neutrophil functions including reactive oxygen species generation. Planta Med 1991, 57, 119–121. [Google Scholar]





| Groups | Body Weight (g) | Heart Weight (g) |
|---|---|---|
| Control | 202.43 ± 4.47 | 0.263 ± 0.021 |
| GA-5 | 196.12 ± 3.21 a | 0.289 ± 0.029 |
| GA-10 | 205.34 ± 4.85 | 0.291 ± 0.020 a |
| GA-20 | 210.09 ± 5.21 a | 0.267 ± 0.031 |
| ISO-Control | 183.56 ± 3.64 a | 0.398 ± 0.031 a b |
| ISO + GA-5 | 190.34 ± 4.21 a b | 0.306 ± 0.008 a b |
| ISO + GA-10 | 195.87 ± 3.20 c | 0.287 ± 0.012 c |
| ISO + GA-20 | 198.34 ± 2.22 c | 0.280 ± 0.020 c |
| Groups | CK-MB (U/L) | LDH (mmol/L) |
|---|---|---|
| Control | 3.763 ± 0.371 | 20.318 ± 1.407 |
| GA-5 | 3.601 ± 0.238 | 18.942 ± 0.751 |
| GA-10 | 3.669 ± 0.412 | 20.308 ± 1.581 |
| GA-20 | 3.593 ± 0.623 | 20.319 ± 0.845 |
| ISO-Control | 10.702 ± 0.741a b | 72.224 ± 2.641a b |
| ISO + GA-5 | 7.562 ± 0.817 a b c | 39.283 ± 2.794a b c |
| ISO + GA-10 | 6.372 ± 0.552 a b c | 34.789 ± 2.981 a b c |
| ISO + GA-20 | 6.455 ± 0.848 a b c | 37.617 ± 3.423 a b c |
| Groups | Necrosis | Pyknosis | Angiogenesis | Scar Formation | Hypertrophy | Macrophage Activity |
|---|---|---|---|---|---|---|
| Control | − | − | − | − | − | − |
| GA-5 | − | − | − | − | − | − |
| GA-10 | − | − | − | − | − | − |
| GA-20 | − | − | − | − | − | − |
| ISO-Control | +++ | ++ | ++ | + | ++ | ++ |
| ISO + GA-5 | ++ | ++ | ++ | + | + | + |
| ISO + GA-10 | + | + | ++ | + | + | + |
| ISO + GA-20 | + | + | +++ | ++ | + | + |
© 2011 by the authors; licensee MDPI, Basel, Switzerland. This article is an open-access article distributed under the terms and conditions of the Creative Commons Attribution license (http://creativecommons.org/licenses/by/3.0/).
Share and Cite
Haleagrahara, N.; Varkkey, J.; Chakravarthi, S. Cardioprotective Effects of Glycyrrhizic Acid Against Isoproterenol-Induced Myocardial Ischemia in Rats. Int. J. Mol. Sci. 2011, 12, 7100-7113. https://doi.org/10.3390/ijms12107100
Haleagrahara N, Varkkey J, Chakravarthi S. Cardioprotective Effects of Glycyrrhizic Acid Against Isoproterenol-Induced Myocardial Ischemia in Rats. International Journal of Molecular Sciences. 2011; 12(10):7100-7113. https://doi.org/10.3390/ijms12107100
Chicago/Turabian StyleHaleagrahara, Nagaraja, Julian Varkkey, and Srikumar Chakravarthi. 2011. "Cardioprotective Effects of Glycyrrhizic Acid Against Isoproterenol-Induced Myocardial Ischemia in Rats" International Journal of Molecular Sciences 12, no. 10: 7100-7113. https://doi.org/10.3390/ijms12107100
APA StyleHaleagrahara, N., Varkkey, J., & Chakravarthi, S. (2011). Cardioprotective Effects of Glycyrrhizic Acid Against Isoproterenol-Induced Myocardial Ischemia in Rats. International Journal of Molecular Sciences, 12(10), 7100-7113. https://doi.org/10.3390/ijms12107100
