Next Article in Journal
A Carbon Nanofiber Electrochemical Sensor Made of FeMn@C for the Rapid Detection of Tert-Butyl Hydroquinone in Edible Oil
Previous Article in Journal
The Impact of Dietary Habits and Maternal Body Composition on Human Milk Microbiota—Polish Pilot Study
 
 
Font Type:
Arial Georgia Verdana
Font Size:
Aa Aa Aa
Line Spacing:
Column Width:
Background:
Correction

Correction: Nakano et al. Bioactive Evaluation of Ursane-Type Pentacyclic Triterpenoids: β-Boswellic Acid Interferes with the Glycosylation and Transport of Intercellular Adhesion Molecule-1 in Human Lung Adenocarcinoma A549 Cells. Molecules 2022, 27, 3073

Department of Applied Biology, Kyoto Institute of Technology, Matsugasaki, Sakyo-ku, Kyoto 606-8585, Japan
*
Author to whom correspondence should be addressed.
Molecules 2025, 30(13), 2724; https://doi.org/10.3390/molecules30132724
Submission received: 30 March 2025 / Accepted: 28 May 2025 / Published: 25 June 2025
(This article belongs to the Section Natural Products Chemistry)
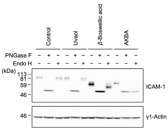
In the original publication [1], there was a mistake in Figure 6 as published. The 1st, 4th, 7th and 10th lanes should be marked with PNGase F (−) and Endo H (−). The corrected Figure 6 appears below.
The authors state that the scientific conclusions are unaffected. This correction was approved by the Academic Editors. The original publication has also been updated.

Reference

  1. Nakano, K.; Sasaki, S.; Kataoka, T. Bioactive Evaluation of Ursane-Type Pentacyclic Triterpenoids: β-Boswellic Acid Interferes with the Glycosylation and Transport of Intercellular Adhesion Molecule-1 in Human Lung Adenocarcinoma A549 Cells. Molecules 2022, 27, 3073. [Google Scholar] [CrossRef] [PubMed]
Figure 6. Effects of ursane-type pentacyclic triterpenoids on the Endo H sensitivity of ICAM-1 N-glycans. A549 cells were preincubated with triterpenoids for 1 h, and then incubated with IL-1α (0.25 ng/mL) for 6 h in the presence of uvaol (100 µM), β-boswellic acid (100 µM) or AKBA (50 µM). Cell lysates were treated with (+) or without (−) PNGase F or Endo H and then analyzed by Western blotting. Blots are representative of three independent experiments.
Figure 6. Effects of ursane-type pentacyclic triterpenoids on the Endo H sensitivity of ICAM-1 N-glycans. A549 cells were preincubated with triterpenoids for 1 h, and then incubated with IL-1α (0.25 ng/mL) for 6 h in the presence of uvaol (100 µM), β-boswellic acid (100 µM) or AKBA (50 µM). Cell lysates were treated with (+) or without (−) PNGase F or Endo H and then analyzed by Western blotting. Blots are representative of three independent experiments.
Molecules 30 02724 g006
Disclaimer/Publisher’s Note: The statements, opinions and data contained in all publications are solely those of the individual author(s) and contributor(s) and not of MDPI and/or the editor(s). MDPI and/or the editor(s) disclaim responsibility for any injury to people or property resulting from any ideas, methods, instructions or products referred to in the content.

Share and Cite

MDPI and ACS Style

Nakano, K.; Sasaki, S.; Kataoka, T. Correction: Nakano et al. Bioactive Evaluation of Ursane-Type Pentacyclic Triterpenoids: β-Boswellic Acid Interferes with the Glycosylation and Transport of Intercellular Adhesion Molecule-1 in Human Lung Adenocarcinoma A549 Cells. Molecules 2022, 27, 3073. Molecules 2025, 30, 2724. https://doi.org/10.3390/molecules30132724

AMA Style

Nakano K, Sasaki S, Kataoka T. Correction: Nakano et al. Bioactive Evaluation of Ursane-Type Pentacyclic Triterpenoids: β-Boswellic Acid Interferes with the Glycosylation and Transport of Intercellular Adhesion Molecule-1 in Human Lung Adenocarcinoma A549 Cells. Molecules 2022, 27, 3073. Molecules. 2025; 30(13):2724. https://doi.org/10.3390/molecules30132724

Chicago/Turabian Style

Nakano, Kaori, Saki Sasaki, and Takao Kataoka. 2025. "Correction: Nakano et al. Bioactive Evaluation of Ursane-Type Pentacyclic Triterpenoids: β-Boswellic Acid Interferes with the Glycosylation and Transport of Intercellular Adhesion Molecule-1 in Human Lung Adenocarcinoma A549 Cells. Molecules 2022, 27, 3073" Molecules 30, no. 13: 2724. https://doi.org/10.3390/molecules30132724

APA Style

Nakano, K., Sasaki, S., & Kataoka, T. (2025). Correction: Nakano et al. Bioactive Evaluation of Ursane-Type Pentacyclic Triterpenoids: β-Boswellic Acid Interferes with the Glycosylation and Transport of Intercellular Adhesion Molecule-1 in Human Lung Adenocarcinoma A549 Cells. Molecules 2022, 27, 3073. Molecules, 30(13), 2724. https://doi.org/10.3390/molecules30132724

Article Metrics

Back to TopTop