Exploring the Interactions Between RHAU Peptide and G-Quadruplex Dimers Based on Chromatographic Retention Behaviors
Abstract
1. Introduction
2. Results and Discussion
2.1. CD and UV–Vis Analysis
2.2. SEC Analysis
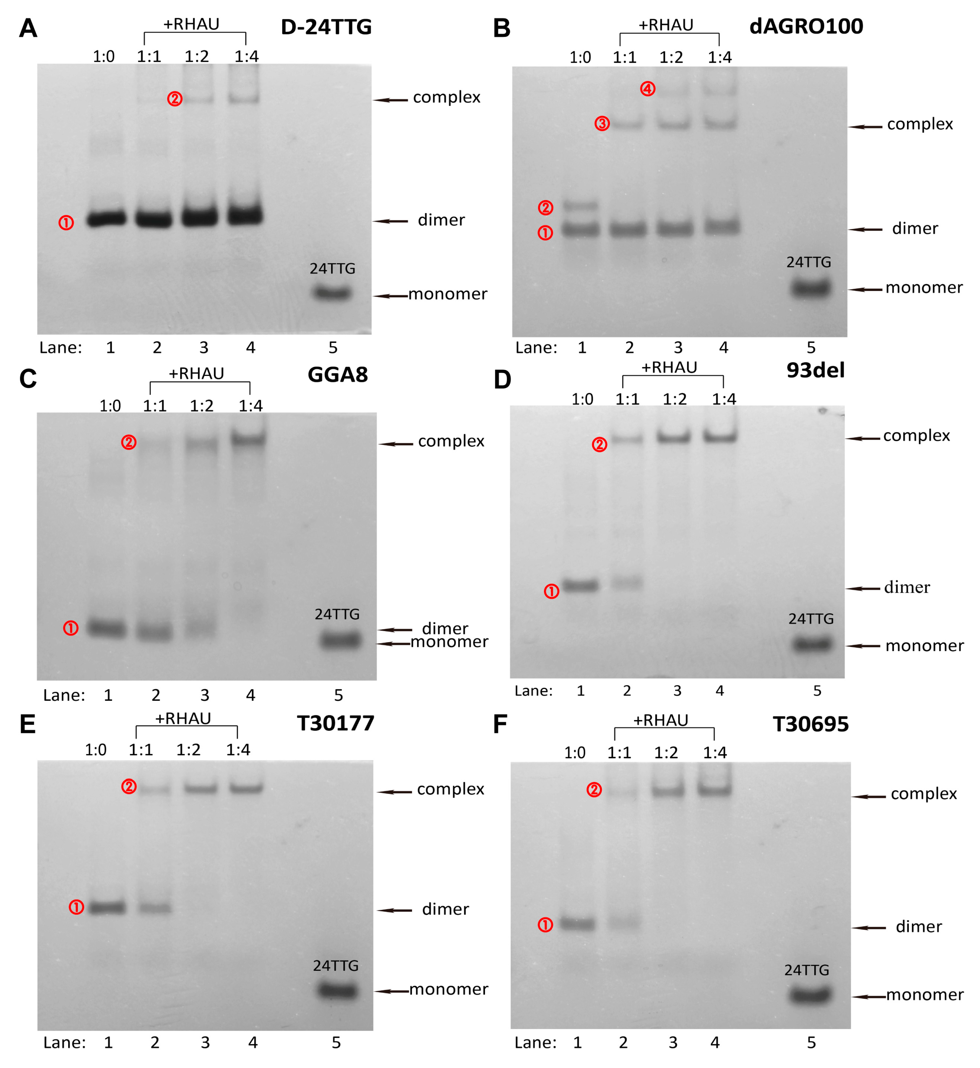
2.3. Native-PAGE Analysis
3. Materials and Methods
3.1. Materials and Reagents
3.2. Sample Preparation
3.3. CD Experiments and UV–Vis Absorption Spectroscopy
3.4. SEC Conditions
3.5. Native-PAGE Experiments
4. Conclusions
Supplementary Materials
Author Contributions
Funding
Institutional Review Board Statement
Informed Consent Statement
Data Availability Statement
Conflicts of Interest
References
- Huppert, J.L. Four-stranded nucleic acids: Structure, function and targeting of G-quadruplexes. Chem. Soc. Rev. 2008, 37, 1375–1384. [Google Scholar] [CrossRef] [PubMed]
- Kolesnikova, S.; Curtis, E.A. Structure and Function of Multimeric G-Quadruplexes. Molecules 2019, 24, 3074. [Google Scholar] [CrossRef] [PubMed]
- Stefan, L.; Denat, F.; Monchaud, D. Deciphering the DNAzyme activity of multimeric quadruplexes: Insights into their actual role in the telomerase activity evaluation assay. J. Am. Chem. Soc. 2011, 133, 20405–20415. [Google Scholar] [CrossRef]
- Adeoye, R.I.; Osalaye, D.S.; Ralebitso-Senior, T.K.; Boddis, A.; Reid, A.J.; Fatokun, A.; Powell, A.K.; Malomo, S.O.; Olorunniji, F.J. Catalytic Activities of Multimeric G-Quadruplex DNAzymes. Catalysts 2019, 9, 613. [Google Scholar] [CrossRef]
- Cheng, Y.; Cheng, M.; Hao, J.; Jia, G.; Monchaud, D.; Li, C. The noncovalent dimerization of a G-quadruplex/hemin DNAzyme improves its biocatalytic properties. Chem. Sci. 2020, 11, 8846–8853. [Google Scholar] [CrossRef]
- Zhang, Y.; Ma, X.; Zhang, J.; Luo, F.; Wang, W.; Cui, X. Design of a High-Sensitivity Dimeric G-Quadruplex/Hemin DNAzyme Biosensor for Norovirus Detection. Molecules 2021, 26, 7352. [Google Scholar] [CrossRef]
- Cheng, Y.; Cheng, M.; Hao, J.; Miao, W.; Zhou, W.; Jia, G.; Li, C. Highly Selective Detection of K+ Based on a Dimerized G-Quadruplex DNAzyme. Anal. Chem. 2021, 93, 6907–6912. [Google Scholar] [CrossRef]
- Song, X.; Ding, Q.; Pu, Y.; Zhang, J.; Sun, R.; Yin, L.; Wei, W.; Liu, S. Application of the Dimeric G-Quadruplex and toehold-mediated strand displacement reaction for fluorescence biosensing of ochratoxin A. Biosens. Bioelectron. 2021, 192, 113537. [Google Scholar] [CrossRef]
- Ma, X.; Lv, M.; Du, F.; Wu, C.; Lou, B.; Zeid, A.M.; Xu, G. Dimeric G-Quadruplex: An Efficient Probe for Ultrasensitive Fluorescence Detection of Mustard Compounds. Anal. Chem. 2022, 94, 4112–4118. [Google Scholar] [CrossRef]
- Jing, S.; Liu, Q.; Jin, Y.; Li, B. Dimeric G-Quadruplex: An Effective Nucleic Acid Scaffold for Lighting Up Thioflavin T. Anal. Chem. 2021, 93, 1333–1341. [Google Scholar] [CrossRef]
- Phan, A.T.; Kuryavyi, V.; Ma, J.B.; Faure, A.; Andréola, M.L.; Patel, D.J. An interlocked dimeric parallel-stranded DNA quadruplex: A potent inhibitor of HIV-1 integrase. Proc. Natl. Acad. Sci. USA 2005, 102, 634–639. [Google Scholar] [CrossRef] [PubMed]
- Mukundan, V.T.; Do, N.Q.; Phan, A.T. HIV-1 integrase inhibitor T30177 forms a stacked dimeric G-quadruplex structure containing bulges. Nucleic Acids Res. 2011, 39, 8984–8991. [Google Scholar] [CrossRef] [PubMed]
- Kuryavyi, V.; Phan, A.T.; Patel, D.J. Solution structures of all parallel-stranded monomeric and dimeric G-quadruplex scaffolds of the human c-kit2 promoter. Nucleic Acids Res. 2010, 38, 6757–6773. [Google Scholar] [CrossRef] [PubMed]
- Trajkovski, M.; da Silva, M.W.; Plavec, J. Unique structural features of interconverting monomeric and dimeric G-quadruplexes adopted by a sequence from the intron of the N-myc gene. J. Am. Chem. Soc. 2012, 134, 4132–4141. [Google Scholar] [CrossRef]
- Li, T.; Wang, E.K.; Dong, S.J. Parallel G-quadruplex-specific fluorescent probe for monitoring DNA structural changes and label-free detection of potassium ion. Anal. Chem. 2010, 82, 7576–7580. [Google Scholar] [CrossRef]
- Nicoludis, J.M.; Barrett, S.P.; Mergny, J.L.; Yatsunyk, L.A. Interaction of human telomeric DNA with N-methyl mesoporphyrin IX. Nucleic Acids Res. 2012, 40, 5432–5447. [Google Scholar] [CrossRef]
- Jin, B.; Zhang, X.; Zheng, W.; Liu, X.; Zhou, J.; Zhang, N.; Wang, F.; Shangguan, D.H. Dicyanomethylene-functionalized squaraine as a highly selective probe for parallel G-quadruplexes. Anal. Chem. 2014, 86, 7063–7070. [Google Scholar] [CrossRef]
- Zhang, L.; Er, J.C.; Ghosh, K.K.; Chung, W.J.; Yoo, J.; Xu, W.; Zhao, W.; Phan, A.T.; Chang, Y.T. Discovery of a structural-element specific G-quadruplex “light-up” probe. Sci. Rep. 2014, 4, 3776. [Google Scholar] [CrossRef]
- Heddi, B.; Cheong, V.V.; Martadinata, H.; Phan, A.T. Insights into G-quadruplex specific recognition by the DEAH-box helicase RHAU: Solution structure of a peptide-quadruplex complex. Proc. Natl. Acad. Sci. USA 2015, 112, 9608–9613. [Google Scholar] [CrossRef]
- Hu, M.H.; Chen, S.B.; Wang, Y.Q.; Zeng, Y.M.; Ou, T.M.; Li, D.; Gu, L.Q.; Huang, Z.S.; Tan, J.H. Accurate high-throughput identification of parallel G-quadruplex topology by a new tetraaryl-substituted imidazole. Biosens. Bioelectron. 2016, 83, 77–84. [Google Scholar] [CrossRef]
- Carle, C.M.; Zaher, H.S.; Chalker, D.L. A Parallel G Quadruplex-Binding Protein Regulates the Boundaries of DNA Elimination Events of Tetrahymena thermophila. PLoS Genet. 2016, 12, e1005842. [Google Scholar] [CrossRef] [PubMed]
- Grande, V.; Doria, F.; Freccero, M.; Wurthner, F. An Aggregating Amphiphilic Squaraine: A Light-up Probe That Discriminates Parallel G-Quadruplexes. Angew. Chem. Int. Ed. 2017, 56, 7520–7524. [Google Scholar] [CrossRef] [PubMed]
- Zuffo, M.; Guedin, A.; Leriche, E.D.; Doria, F.; Pirota, V.; Gabelica, V.; Mergny, J.L.; Freccero, M. More is not always better: Finding the right trade-off between affinity and selectivity of a G-quadruplex ligand. Nucleic Acids Res. 2018, 46, e115. [Google Scholar] [CrossRef] [PubMed]
- Chen, H.; Sun, H.; Chai, Y.; Zhang, S.; Guan, A.; Li, Q.; Yao, L.; Tang, Y. Insulin-like growth factor type I selectively binds to G-quadruplex structures. Biochim. Biophys. Acta Gen. Subj. 2019, 1863, 31–38. [Google Scholar] [CrossRef]
- Roach, R.J.; Garavis, M.; Gonzalez, C.; Jameson, G.B.; Filichev, V.V.; Hale, T.K. Heterochromatin protein 1α interacts with parallel RNA and DNA G-quadruplexes. Nucleic Acids Res. 2020, 48, 682–693. [Google Scholar] [CrossRef]
- Zhao, C.; Wu, L.; Ren, J.; Xu, Y.; Qu, X. Targeting human telomeric higher-order DNA: Dimeric G-quadruplex units serve as preferred binding site. J. Am. Chem. Soc. 2013, 135, 18786–18789. [Google Scholar] [CrossRef]
- Cousins, A.R.; Ritson, D.; Sharma, P.; Stevens, M.F.; Moses, J.E.; Searle, M.S. Ligand selectivity in stabilising tandem parallel folded G-quadruplex motifs in human telomeric DNA sequences. Chem. Commun. 2014, 50, 15202–15205. [Google Scholar] [CrossRef]
- Qi, Q.; Yang, C.; Xia, Y.; Guo, S.; Song, D.; Su, H. Preferential Binding of π-Ligand Porphyrin Targeting 5′-5′ Stacking Interface of Human Telomeric RNA G-Quadruplex Dimer. J. Phys. Chem. Lett. 2019, 10, 2143–2150. [Google Scholar] [CrossRef]
- Hu, M.H.; Lin, X.T.; Liu, B.; Tan, J.H. Dimeric aryl-substituted imidazoles may inhibit ALT cancer by targeting the multimeric G-quadruplex in telomere. Eur. J. Med. Chem. 2020, 186, 111891. [Google Scholar] [CrossRef]
- Pirota, V.; Platella, C.; Musumeci, D.; Benassi, A.; Amato, J.; Pagano, B.; Colombo, G.; Freccero, M.; Doria, F.; Montesarchio, D. On the binding of naphthalene diimides to a human telomeric G-quadruplex multimer model. Int. J. Biol. Macromol. 2021, 166, 1320–1334. [Google Scholar] [CrossRef]
- Creacy, S.D.; Routh, E.D.; Iwamoto, F.; Nagamine, Y.; Akman, S.A.; Vaughn, J.P. G4 resolvase 1 binds both DNA and RNA tetramolecular quadruplex with high affinity and is the major source of tetramolecular quadruplex G4-DNA and G4-RNA resolving activity in HeLa cell lysates. J. Biol. Chem. 2008, 283, 34626–34634. [Google Scholar] [CrossRef] [PubMed]
- Vaughn, J.P.; Creacy, S.D.; Routh, E.D.; Joyner-Butt, C.; Jenkins, G.S.; Pauli, S.; Nagamine, Y.; Akman, S.A. The DEXH protein product of the DHX36 gene is the major source of tetramolecular quadruplex G4-DNA resolving activity in HeLa cell lysates. J. Biol. Chem. 2005, 280, 38117–38120. [Google Scholar] [CrossRef] [PubMed]
- Booy, E.P.; Meier, M.; Okun, N.; Novakowski, S.K.; Xiong, S.; Stetefeld, J.; McKenna, S.A. The RNA helicase RHAU (DHX36) unwinds a G4-quadruplex in human telomerase RNA and promotes the formation of the P1 helix template boundary. Nucleic Acids Res. 2012, 40, 4110–4124. [Google Scholar] [CrossRef] [PubMed]
- Jiang, M.; Hu, H.; Zhao, K.; Di, R.; Huang, X.; Shi, Y.; Yue, Y.; Nie, J.; Yu, S.; Wang, W.; et al. The G4 resolvase RHAU modulates mRNA translation and stability to sustain postnatal heart function and regeneration. J. Biol. Chem. 2021, 296, 100080. [Google Scholar] [CrossRef]
- Booy, E.P.; Howard, R.; Marushchak, O.; Ariyo, E.O.; Meier, M.; Novakowski, S.K.; Deo, S.R.; Dzananovic, E.; Stetefeld, J.; McKenna, S.A. The RNA helicase RHAU (DHX36) suppresses expression of the transcription factor PITX1. Nucleic Acids Res. 2014, 42, 3346–3361. [Google Scholar] [CrossRef]
- Heddi, B.; Cheong, V.V.; Schmitt, E.; Mechulam, Y.; Phan, A.T. Recognition of different base tetrads by RHAU (DHX36): X-ray crystal structure of the G4 recognition motif bound to the 3′-end tetrad of a DNA G-quadruplex. J. Struct. Biol. 2020, 209, 107399. [Google Scholar] [CrossRef]
- Shinohara, K.; Sannohe, Y.; Kaieda, S.; Tanaka, K.; Osuga, H.; Tahara, H.; Xu, Y.; Kawase, T.; Bando, T.; Sugiyama, H. A chiral wedge molecule inhibits telomerase activity. J. Am. Chem. Soc. 2010, 132, 3778–3782. [Google Scholar] [CrossRef]
- Matsugami, A.; Okuizumi, T.; Uesugi, S.; Katahira, M. Intramolecular higher order packing of parallel quadruplexes comprising a G:G:G:G tetrad and a G(:A):G(:A):G(:A):G heptad of GGA triplet repeat DNA. J. Biol. Chem. 2003, 278, 28147–28153. [Google Scholar] [CrossRef]
- Do, N.Q.; Lim, K.W.; Teo, M.H.; Heddi, B.; Phan, A.T. Stacking of G-quadruplexes: NMR structure of a G-rich oligonucleotide with potential anti-HIV and anticancer activity. Nucleic Acids Res. 2011, 39, 9448–9457. [Google Scholar] [CrossRef]
- Chung, W.J.; Heddi, B.; Schmitt, E.; Lim, K.W.; Mechulam, Y.; Phan, A.T. Structure of a left-handed DNA G-quadruplex. Proc. Natl. Acad. Sci. USA 2015, 112, 2729–2733. [Google Scholar] [CrossRef]
- Bakalar, B.; Heddi, B.; Schmitt, E.; Mechulam, Y.; Phan, A.T. A Minimal Sequence for Left-Handed G-Quadruplex Formation. Angew. Chem. Int. Ed. 2019, 58, 2331–2335. [Google Scholar] [CrossRef] [PubMed]
- Wang, J.; Qiao, J.Q.; Zheng, W.J.; Lian, H.Z. Study on the Interaction of a Peptide Targeting Specific G-Quadruplex Structures Based on Chromatographic Retention Behavior. Int. J. Mol. Sci. 2023, 24, 1438. [Google Scholar] [CrossRef] [PubMed]
- Honisch, C.; Ragazzi, E.; Hussain, R.; Brazier, J.; Siligardi, G.; Ruzza, P. Interaction of a Short Peptide with G-Quadruplex-Forming Sequences: An SRCD and CD Study. Pharmaceutics 2021, 13, 1104. [Google Scholar] [CrossRef] [PubMed]
- Li, L.; Lu, J.; Zhou, W.; Li, H.; Yang, X. Studies on the interaction mechanism of aminopyrene derivatives with human tumor-related DNA. J. Photochem. Photobiol. B 2013, 123, 32–40. [Google Scholar] [CrossRef]
- Marzano, M.; Falanga, A.P.; Marasco, D.; Borbone, N.; D’Errico, S.; Piccialli, G.; Roviello, G.N.; Oliviero, G. Evaluation of an Analogue of the Marine ε-PLL Peptide as a Ligand of G-quadruplex DNA Structures. Mar. Drugs 2020, 18, 49. [Google Scholar] [CrossRef]
- Luu, K.N.; Phan, A.T.; Kuryavyi, V.; Lacroix, L.; Patel, D.J. Structure of the human telomere in K+ solution: An intramolecular (3 + 1) G-quadruplex scaffold. J. Am. Chem. Soc. 2006, 128, 9963–9970. [Google Scholar] [CrossRef]
- Yan, Y.; Zhang, D.; Zhou, P.; Li, B.; Huang, S.-Y. HDOCK: A web server for protein-protein and protein-DNA/RNA docking based on a hybrid strategy. Nucleic Acids Res. 2017, 45, W365–W373. [Google Scholar] [CrossRef]
- Chen, M.C.; Tippana, R.; Demeshkina, N.A.; Murat, P.; Balasubramanian, S.; Myong, S.; Ferre-D’Amare, A.R. Structural basis of G-quadruplex unfolding by the DEAH/RHA helicase DHX36. Nature 2018, 558, 465–469. [Google Scholar] [CrossRef]
- Hossain, K.A.; Jurkowski, M.; Czub, J.; Kogut, M. Mechanism of recognition of parallel G-quadruplexes by DEAH/RHAU helicase DHX36 explored by molecular dynamics simulations. Comput. Struct. Biotechnol. J. 2021, 19, 2526–2536. [Google Scholar] [CrossRef]
- Hu, M.H.; Chen, X.; Tan, J.H. Development of a multitasking fluorescent probe for differentiating G-Quadruplex structures. Dye. Pigment. 2019, 170, 107560. [Google Scholar] [CrossRef]
- Ettore, N.; Claudia, R.; Rosa, G.; Angela, A.; Valentina, P.; Alice, T.; Filippo, D.; Domenica, M.; Daniela, M. Selective light-up of dimeric G-quadruplex forming aptamers for efficient VEGF165 detection. Int. J. Biol. Macromol. 2023, 224, 344–357. [Google Scholar] [CrossRef]
- Ye, M.; Chen, E.V.; Pfeil, S.H.; Martin, K.N.; Atrafi, T.; Yun, S.; Martinez, Z.; Yatsunyk, L.A. Homopurine guanine-rich sequences in complex with N-methyl mesoporphyrin IX form parallel G-quadruplex dimers and display a unique symmetry tetrad. Bioorg. Med. Chem. 2023, 77, 117112. [Google Scholar] [CrossRef] [PubMed]






| G4s | DNA Sequences (5′ to 3′) | Description | G4 Conformation |
|---|---|---|---|
| D-24TTG | AGGGTTAGGGTTAGGGTTAGGGTTAGGGTTAGGGTTAGGGTTAGG | Human telomere | Tandem unstacked hybrid dimer [27,37] |
| dAGRO100 | TGGTGGTGGTGGTTGTGGTGGTGGTGTT | Derivative of aptamer AGRO100 | Tandem stacked left-handed dimer [40] |
| GGA8 | GGAGGAGGAGGAGGAGGAGGAGGA | GGA triplet repeats from eukaryotic genomes | Tandem stacked parallel dimer [38] |
| 93del | GGGGTGGGAGGAGGGT | Inhibitors of HIV-1 integrase | Interlocked bimolecular parallel dimer [11] |
| T30177 | GTGGTGGGTGGGTGGGT | Inhibitors of HIV-1 integrase | Stacked parallel dimer with a bulge [12] |
| T30695 | GGGTGGGTGGGTGGGT | Inhibitors of HIV integrase | Stacked parallel dimer [39] |
| 24TTG | TTGGGTTAGGGTTAGGGTTAGGGA | Human telomere | Hybrid monomer [46] |
| G4s | Molecular Weight (Mw) | Peaks | tR/min | Corresponding Substances |
|---|---|---|---|---|
| D-24TTG | 14,682.53 | Peak 1 | 13.553 | Tandem unstacked hybrid dimer |
| Peak 2 | 12.145 | Incompletely folded sequence | ||
| Peak 3 | 13.225 | Dimer–RHAU complex | ||
| dAGRO100 | 8934.77 | Peak 1 | 15.060 | Tandem stacked left-handed dimer |
| Peak 2 | 14.552 | Tandem unstacked left-handed dimer | ||
| Peak 3 | 13.946 | Incompletely folded sequence | ||
| Peak 4 | 14.420 | Dimer–RHAU complex | ||
| GGA8 | 7790.05 | Peak 1 | 15.207 | Tandem stacked parallel dimer |
| Peak 2 | 14.525 | Dimer–RHAU complex (intermediate I) | ||
| Peak 3 | 14.450 | Dimer–RHAU complex (intermediate II) | ||
| Peak 4 | 14.300 | Dimer–RHAU complex (stable state) | ||
| 93del | 5202.35 | Peak 1 | 14.850 | Interlocked bimolecular parallel dimer |
| Peak 2 | 11.0–13.8 | Structures of higher molecular weight | ||
| Peak 3 | 14.086 | Dimer–RHAU complex (intermediate) | ||
| Peak 4 | 13.936 | Dimer–RHAU complex (stable state) | ||
| T30177 | 5448.53 | Peak 1 | 14.777 | Stacked parallel dimer with a bulge |
| Peak 2 | 14.075 | Dimer–RHAU complex (intermediate) | ||
| Peak 3 | 13.947 | Dimer–RHAU complex (stable state) | ||
| T30695 | 5184.33 | Peak 1 | 14.829 | Stacked parallel dimer |
| Peak 2 | 14.197 | Stacked parallel trimer | ||
| Peak 3 | 11.0–14.1 | Stacked parallel multimer | ||
| Peak 4 | 14.272 | Dimer–RHAU complex (intermediate) | ||
| Peak 5 | 14.051 | Dimer–RHAU complex (stable state) | ||
| Peak 6 | 15.050 | Unknown impurity |
Disclaimer/Publisher’s Note: The statements, opinions and data contained in all publications are solely those of the individual author(s) and contributor(s) and not of MDPI and/or the editor(s). MDPI and/or the editor(s) disclaim responsibility for any injury to people or property resulting from any ideas, methods, instructions or products referred to in the content. |
© 2024 by the authors. Licensee MDPI, Basel, Switzerland. This article is an open access article distributed under the terms and conditions of the Creative Commons Attribution (CC BY) license (https://creativecommons.org/licenses/by/4.0/).
Share and Cite
Wang, J.; Qiao, J.-Q.; Liang, C.; Guo, X.-W.; Zhang, M.-Y.; Zheng, W.-J.; Lian, H.-Z. Exploring the Interactions Between RHAU Peptide and G-Quadruplex Dimers Based on Chromatographic Retention Behaviors. Molecules 2024, 29, 5915. https://doi.org/10.3390/molecules29245915
Wang J, Qiao J-Q, Liang C, Guo X-W, Zhang M-Y, Zheng W-J, Lian H-Z. Exploring the Interactions Between RHAU Peptide and G-Quadruplex Dimers Based on Chromatographic Retention Behaviors. Molecules. 2024; 29(24):5915. https://doi.org/10.3390/molecules29245915
Chicago/Turabian StyleWang, Ju, Jun-Qin Qiao, Chao Liang, Xue-Wen Guo, Meng-Ying Zhang, Wei-Juan Zheng, and Hong-Zhen Lian. 2024. "Exploring the Interactions Between RHAU Peptide and G-Quadruplex Dimers Based on Chromatographic Retention Behaviors" Molecules 29, no. 24: 5915. https://doi.org/10.3390/molecules29245915
APA StyleWang, J., Qiao, J.-Q., Liang, C., Guo, X.-W., Zhang, M.-Y., Zheng, W.-J., & Lian, H.-Z. (2024). Exploring the Interactions Between RHAU Peptide and G-Quadruplex Dimers Based on Chromatographic Retention Behaviors. Molecules, 29(24), 5915. https://doi.org/10.3390/molecules29245915

