Staphylea bumalda Alleviates Dextran Sulfate Sodium-Induced Ulcerative Colitis in Mice by Regulating Inflammatory Cytokines, Oxidative Stress, and Maintaining Gut Homeostasis
Abstract
1. Introduction
2. Results
2.1. Qualitative and Quantitative Analysis Results of the Main Components of SBE
2.2. Effects of SBE on Acute Toxicity in ICR Mice
2.3. Effects of SBE on Body Weight, DAI, and Colon Length of UC Mice
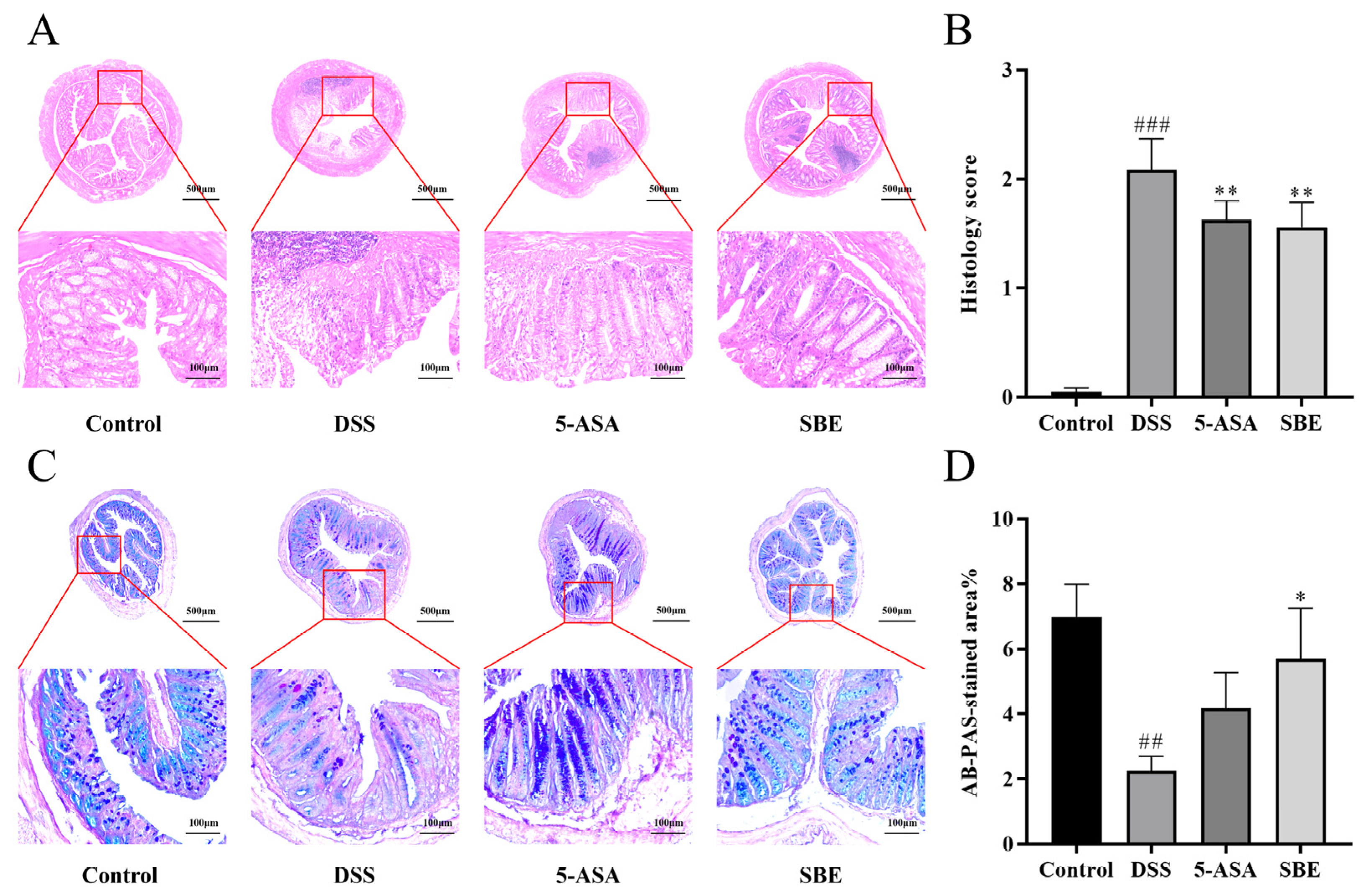
2.4. Effects of SBE on Colon Histopathological Changes in UC Mice
2.5. Effects of SBE on Inflammatory Factors and Oxidative Stress Indexes of UC Mice
2.6. Effect of SBE on the mRNA Expression of Related Genes in the Colon Tissue of UC Mice
2.7. Effects of SBE on Gut Microbiota Diversity of UC Mice
3. Discussion
4. Materials and Methods
4.1. Materials and Reagents
4.2. Experimental Animal
4.3. Experimental Method
4.3.1. Qualitative and Quantitative Analysis of the Main Components in SBE by HPLC and LC/MS Methods
4.3.2. Acute Toxicity Study of SBE in ICR Mice
4.3.3. Animal Experiments and Dosing Determination
4.3.4. Evaluation of DAI
4.3.5. Colonic Histological Analysis
4.3.6. Determination of Inflammatory Factors in Blood Serum
4.3.7. Determination of MPO, NO, GSH, CAT, and SOD Levels in Colon Tissue
4.3.8. Detection of mRNA Expression of Related Genes in Colon Tissue-Related Signaling Pathways by RT-qPCR
4.3.9. Analysis of Gut Microbiota
4.3.10. Statistical Analysis
5. Conclusions
Supplementary Materials
Author Contributions
Funding
Institutional Review Board Statement
Informed Consent Statement
Data Availability Statement
Conflicts of Interest
References
- Tan, D. Developing peral flower characteristic vegetables to help poor mountainous areas get rid of poverty and become rich. J. Change Veg. 2020, 18, 40–41. [Google Scholar]
- Sueyoshi, E.; Yu, Q.; Matsunami, K.; Otsuka, H. Three new olefinic acetogenin glycosides from leaves of Staphylea bumalda DC. J. Nat. Med. 2009, 63, 61–64. [Google Scholar] [CrossRef] [PubMed]
- Liu, Z.; Zhang, H.; Liu, T. Study on the Biological Characteristics of Staphylea bumalda DC. For. Res. 2007, 05, 705–709. [Google Scholar]
- Yao, Y.; Jing, J.; Ling, J.; Wang, W. Research on main components, bioactivities of Staphylea bumalda DC. and its development and application progress. Food Mach. 2022, 38, 213–218. [Google Scholar]
- Liu, B.; Qin, Y.; Zhang, D.; Wang, L.; Bai, M. Analysis of Nutrient Components in Leaf and Flower Bud of Staphylea bumalda. J. Zhejiang For. Sci. Technol. 2018, 38, 27–32. [Google Scholar]
- Maleki, S.J.; Crespo, J.F.; Cabanillas, B. Anti-inflammatory effects of flavonoids. Food Chem. 2019, 299, 125124. [Google Scholar] [CrossRef]
- Duan, J.; Gao, B. Advances in chemical constituent and pharmacology of medicinal plants of staphyleaceae. Ginseng Res. 2019, 31, 52–60. [Google Scholar]
- Chen, X.; Yang, Y.; Yang, X.; Zhu, G.; Lu, X.; Jia, F.; Diao, B.; Yu, S.; Ali, A.; Zhang, H.; et al. Investigation of flavonoid components and their associated antioxidant capacity in different pigmented rice varieties. Food Res. Int. 2022, 161, 111726. [Google Scholar] [CrossRef]
- Wang, L.; Gao, M.; Kang, G.; Huang, H. The Potential Role of Phytonutrients Flavonoids Influencing Gut Microbiota in the Prophylaxis and Treatment of Inflammatory Bowel Disease. Front. Nutr. 2021, 8, 798038. [Google Scholar] [CrossRef]
- Chen, L.; Teng, H.; Jia, Z.; Battino, M.; Miron, A.; Yu, Z.; Cao, H.; Xiao, J. Intracellular signaling pathways of inflammation modulated by dietary flavonoids: The most recent evidence. Crit. Rev. Food Sci. Nutr. 2018, 58, 2908–2924. [Google Scholar] [CrossRef]
- Kobayashi, T.; Siegmund, B.; Le Berre, C.; Wei, S.C.; Ferrante, M.; Shen, B.; Bernstein, C.N.; Danese, S.; Peyrin-Biroulet, L.; Hibi, T. Ulcerative colitis. Nat. Rev. Dis. Primers 2020, 6, 74. [Google Scholar] [CrossRef] [PubMed]
- Burisch, J.; Zhao, M.; Odes, S.; De Cruz, P.; Vermeire, S.; Bernstein, C.N.; Kaplan, G.G.; Duricova, D.; Greenberg, D.; Melberg, H.O.; et al. The cost of inflammatory bowel disease in high-income settings: A Lancet Gastroenterology & Hepatology Commission. Lancet Gastroenterol. Hepatol. 2023, 8, 458–492. [Google Scholar]
- Le Berre, C.; Honap, S.; Peyrin-Biroulet, L. Ulcerative colitis. Lancet 2023, 402, 571–584. [Google Scholar] [CrossRef]
- Liu, S.; Zhao, W.; Lan, P.; Mou, X. The microbiome in inflammatory bowel diseases: From pathogenesis to therapy. Protein Cell 2021, 12, 331–345. [Google Scholar] [CrossRef] [PubMed]
- Ungaro, R.; Mehandru, S.; Allen, P.B.; Peyrin-Biroulet, L.; Colombel, J.F. Ulcerative colitis. Lancet 2017, 389, 1756–1770. [Google Scholar] [CrossRef]
- Niu, W.; Chen, X.; Xu, R.; Dong, H.; Yang, F.; Wang, Y.; Zhang, Z.; Ju, J. Polysaccharides from natural resources exhibit great potential in the treatment of ulcerative colitis: A review. Carbohydr. Polym. 2021, 254, 117189. [Google Scholar] [CrossRef]
- Mithul Aravind, S.; Wichienchot, S.; Tsao, R.; Ramakrishnan, S.; Chakkaravarthi, S. Role of dietary polyphenols on gut microbiota, their metabolites and health benefits. Food Res. Int. 2021, 142, 110189. [Google Scholar] [CrossRef] [PubMed]
- Shakoor, H.; Feehan, J.; Apostolopoulos, V.; Platat, C.; Al Dhaheri, A.S.; Ali, H.I.; Ismail, L.C.; Bosevski, M.; Stojanovska, L. Immunomodulatory Effects of Dietary Polyphenols. Nutrients 2021, 13, 728. [Google Scholar] [CrossRef]
- Xue, J.C.; Yuan, S.; Meng, H.; Hou, X.T.; Li, J.; Zhang, H.M.; Chen, L.L.; Zhang, C.H.; Zhang, Q.G. The role and mechanism of flavonoid herbal natural products in ulcerative colitis. Biomed. Pharmacother. Biomed. Pharmacother. 2023, 158, 114086. [Google Scholar] [CrossRef]
- Yang, Y.; Wang, Y.; Zhao, L.; Wang, F.; Li, M.; Wang, Q.; Luo, H.; Zhao, Q.; Zeng, J.; Zhao, Y.; et al. Chinese herbal medicines for treating ulcerative colitis via regulating gut microbiota-intestinal immunity axis. Chin. Herb. Med. 2023, 15, 181–200. [Google Scholar] [CrossRef]
- Jin, M.J.; Kim, I.S.; Rehman, S.U.; Dong, M.S.; Na, C.S.; Yoo, H.H. A Liquid Chromatography-Tandem Mass Spectrometry Method for Simultaneous Quantitation of 10 Bioactive Components in Rhus verniciflua Extracts. J. Chromatogr. Sci. 2016, 54, 390–396. [Google Scholar]
- Blando, F.; Russo, R.; Negro, C.; De Bellis, L.; Frassinetti, S. Antimicrobial and Antibiofilm Activity against Staphylococcus aureus of Opuntia ficus-indica (L.) Mill. Cladode Polyphenolic Extracts. Antioxidants 2019, 8, 117. [Google Scholar] [CrossRef]
- Lahtinen, M.H.; Kynkäänniemi, E.; Jian, C.; Salonen, A.; Pajari, A.M.; Mikkonen, K.S. Metabolic Fate of Lignin in Birch Glucuronoxylan Extracts as Dietary Fiber Studied in a Rat Model. Mol. Nutr. Food Res. 2023, 67, e2300201. [Google Scholar] [CrossRef]
- Akdeniz, M.; Yilmaz, M.A.; Ertas, A.; Yener, I.; Firat, M.; Aydin, F.; Kolak, U. Method validation of 15 phytochemicals in Hypericum lysimachioides var. spathulatum by LC–MS/MS, and fatty acid, essential oil, and aroma profiles with biological activities. J. Food Meas. Charact. 2020, 14, 3194–3205. [Google Scholar] [CrossRef]
- Chen, Y.; Yu, H.; Wu, H.; Pan, Y.; Wang, K.; Jin, Y.; Zhang, C. Characterization and Quantification by LC-MS/MS of the Chemical Components of the Heating Products of the Flavonoids Extract in Pollen Typhae for Transformation Rule Exploration. Molecules 2015, 20, 18352–18366. [Google Scholar] [CrossRef]
- Wianowska, D.; Dawidowicz, A.L.; Bernacik, K.; Typek, R. Determining the true content of quercetin and its derivatives in plants employing SSDM and LC–MS analysis. Eur. Food Res. Technol. 2016, 243, 27–40. [Google Scholar] [CrossRef]
- Ndam, Y.N.; Nyegue, M.A.; Mounjouenpou, P.; Kansci, G.; Kenfack, M.J.; Eugene, E. LC-MS quantification of scopoletin in cassava ( Manihot Esculenta Crantz) varieties, local derived foods, and activity on some food spoilage fungi. J. Food Process. Preserv. 2020, 44, e14387. [Google Scholar]
- Zheng, T.; Wong, E.C.; Yue, G.G.; Li, X.X.; Wu, K.H.; Lau, D.T.; Shaw, P.C.; Simmonds, M.S.; Lau, C.B. Identification and quantification of tricin present in medicinal herbs, plant foods and by-products using UPLC-QTOF-MS. Chem. Pap. 2021, 75, 4579–4588. [Google Scholar] [CrossRef]
- Chernonosov, A.A.; Karpova, E.A.; Lyakh, E.M. Identification of phenolic compounds in Myricaria bracteata leaves by high-performance liquid chromatography with a diode array detector and liquid chromatography with tandem mass spectrometry. Rev. Bras. Farmacogn. 2017, 27, 576–579. [Google Scholar] [CrossRef]
- Wang, H.; Chen, L.; Yang, B.; Du, J.; Chen, L.; Li, Y.; Guo, F. Structures, Sources, Identification/Quantification Methods, Health Benefits, Bioaccessibility, and Products of Isorhamnetin Glycosides as Phytonutrients. Nutrients 2023, 15, 1947. [Google Scholar] [CrossRef]
- Tao, Y.; Li, W.; Liang, W.; Van Breemen, R.B. Identification and quantification of gingerols and related compounds in ginger dietary supplements using high-performance liquid chromatography-tandem mass spectrometry. J. Agric. Food Chem. 2009, 57, 10014–10021. [Google Scholar] [CrossRef]
- Kumar, A.; Devaraj, V.C.; Giri, K.C.; Giri, S.; Rajagopal, S.; Mullangi, R. Development and validation of a highly sensitive LC-MS/MS-ESI method for the determination of nobiletin in rat plasma: Application to a pharmacokinetic study. Biomed. Chromatogr. BMC 2012, 26, 1464–1471. [Google Scholar] [CrossRef]
- Yuan, Y.; Zhang, H.; Sun, F.; Sun, S.; Zhu, Z.; Chai, Y. Biopharmaceutical and pharmacokinetic characterization of asiatic acid in Centella asiatica as determined by a sensitive and robust HPLC-MS method. J. Ethnopharmacol. 2015, 163, 31–38. [Google Scholar] [CrossRef]
- Kokotkiewicz, A.; Luczkiewicz, M.; Sowiński, P.; Głód, D.; Goryński, K.; Buciński, A. Isolation and structure elucidation of phenolic compounds from Cyclopia subternata Vogel (honeybush) intact plant and in vitro cultures. Food Chem. 2012, 133, 1373–1382. [Google Scholar] [CrossRef]
- Li, P.; Jia, J.; Zhang, D.; Xie, J.; Xu, X.; Wei, D. In vitro and in vivo antioxidant activities of a flavonoid isolated from celery (Apium graveolens L. var. dulce). Food Funct. 2014, 5, 50–56. [Google Scholar] [CrossRef]
- Qiu, F.; Fine, D.D.; Wherritt, D.J.; Lei, Z.; Sumner, L.W. PlantMAT: A Metabolomics Tool for Predicting the Specialized Metabolic Potential of a System and for Large-Scale Metabolite Identifications. Anal. Chem. 2016, 88, 11373–11383. [Google Scholar] [CrossRef]
- Nishidono, Y.; Saifudin, A.; Nishizawa, M.; Fujita, T.; Nakamoto, M.; Tanaka, K. Identification of the Chemical Constituents in Ginger (Zingiber officinale) Responsible for Thermogenesis. Nat. Prod. Commun. 2018, 13, 1934578X1801300. [Google Scholar] [CrossRef]
- Zhang, S.; Cao, Y.; Huang, Y.; Zhang, S.; Wang, G.; Fang, X.; Bao, W.; Aqueous, M. oleifera leaf extract alleviates DSS-induced colitis in mice through suppression of inflammation. J. Ethnopharmacol. 2024, 318, 116929. [Google Scholar] [CrossRef]
- Rodríguez-Daza, M.C.; Pulido-Mateos, E.C.; Lupien-Meilleur, J.; Guyonnet, D.; Desjardins, Y.; Roy, D. Polyphenol-Mediated Gut Microbiota Modulation: Toward Prebiotics and Further. Front. Nutr. 2021, 8, 689456. [Google Scholar] [CrossRef]
- Zhou, Z.; He, W.; Tian, H.; Zhan, P.; Liu, J. Thyme (Thymus vulgaris L.) polyphenols ameliorate DSS-induced ulcerative colitis of mice by mitigating intestinal barrier damage, regulating gut microbiota, and suppressing TLR4/NF-κB-NLRP3 inflammasome pathways. Food Funct. 2023, 14, 1113–1132. [Google Scholar] [CrossRef]
- Jiminez, J.A.; Uwiera, T.C.; Abbott, D.W.; Uwiera, R.R.E.; Inglis, G.D. Impacts of resistant starch and wheat bran consumption on enteric inflammation in relation to colonic bacterial community structures and short-chain fatty acid concentrations in mice. Gut Pathog. 2016, 8, 67. [Google Scholar] [CrossRef]
- Guo, K.; Yao, Z.; Yang, T. Intestinal microbiota-mediated dietary fiber bioavailability. Front. Nutr. 2022, 9, 1003571. [Google Scholar] [CrossRef]
- Zhou, G.; Chen, L.; Sun, Q.; Mo, Q.G.; Sun, W.C.; Wang, Y.W. Maqui berry exhibited therapeutic effects against DSS-induced ulcerative colitis in C57BL/6 mice. Food Funct. 2019, 10, 6655–6665. [Google Scholar] [CrossRef]
- Tang, L.; Luo, W.; Chen, H. Research Progress of Chemical Constituents and Pharmacological Effects of Euscaphis Plants. Chem. Ind. For. Prod. 2023, 43, 153–170. [Google Scholar]
- Man, X.; Tan, Y.; Pei, G. Research progress on chemical constituents and pharmacological activities of Euscaphis plants from China. Nat. Prod. Res. Dev. 2019, 31, 723–730. [Google Scholar]
- Cheng, C.; Zhang, W.; Zhang, C.; Ji, P.; Wu, X.; Sha, Z.; Chen, X.; Wang, Y.; Chen, Y.; Cheng, H.; et al. Hyperoside Ameliorates DSS-Induced Colitis through MKRN1-Mediated Regulation of PPARγ Signaling and Th17/Treg Balance. J. Agric. Food Chem. 2021, 69, 15240–15251. [Google Scholar] [CrossRef]
- Sharma, A.; Tirpude, N.V.; Kumari, M.; Padwad, Y. Rutin prevents inflammation-associated colon damage via inhibiting the p38/MAPKAPK2 and PI3K/Akt/GSK3β/NF-κB signalling axes and enhancing splenic Tregs in DSS-induced murine chronic colitis. Food Funct. 2021, 12, 8492–8506. [Google Scholar] [CrossRef]
- Hwang, D.; Kang, M.J.; Kang, C.W.; Kim, G.D. Kaempferol-3-O-β-rutinoside suppresses the inflammatory responses in lipopolysaccharide-stimulated RAW264.7 cells via the NF-κB and MAPK pathways. Int. J. Mol. Med. 2019, 44, 2321–2328. [Google Scholar] [CrossRef]
- Wirtz, S.; Popp, V.; Kindermann, M.; Gerlach, K.; Weigmann, B.; Fichtner-Feigl, S.; Neurath, M.F. Chemically induced mouse models of acute and chronic intestinal inflammation. Nat. Protoc. 2017, 12, 1295–1309. [Google Scholar] [CrossRef]
- Erben, U.; Loddenkemper, C.; Doerfel, K.; Spieckermann, S.; Haller, D.; Heimesaat, M.M.; Zeitz, M.; Siegmund, B.; Kühl, A.A. A guide to histomorphological evaluation of intestinal inflammation in mouse models. Int. J. Clin. Exp. Pathol. 2014, 7, 4557–4576. [Google Scholar]
- Yan, Y.X.; Shao, M.J.; Qi, Q.; Xu, Y.S.; Yang, X.Q.; Zhu, F.H.; He, S.J.; He, P.L.; Feng, C.L.; Wu, Y.W.; et al. Artemisinin analogue SM934 ameliorates DSS-induced mouse ulcerative colitis via suppressing neutrophils and macrophages. Acta Pharmacol. Sin. 2018, 39, 1633–1644. [Google Scholar] [CrossRef] [PubMed]
- Yang, Q.Y.; Ma, L.L.; Zhang, C.; Lin, J.Z.; Han, L.; He, Y.N.; Xie, C.G. Exploring the Mechanism of Indigo Naturalis in the Treatment of Ulcerative Colitis Based on TLR4/MyD88/NF-κB Signaling Pathway and Gut Microbiota. Front. Pharmacol. 2021, 12, 674416. [Google Scholar] [CrossRef] [PubMed]
- Kim, S.Y.; Jin, C.Y.; Kim, C.H.; Yoo, Y.H.; Choi, S.H.; Kim, G.Y.; Yoon, H.M.; Park, H.T.; Choi, Y.H. Isorhamnetin alleviates lipopolysaccharide-induced inflammatory responses in BV2 microglia by inactivating NF-κB, blocking the TLR4 pathway and reducing ROS generation. Int. J. Mol. Med. 2019, 43, 682–692. [Google Scholar] [CrossRef] [PubMed]
- Zhang, Z.; Liu, J.; Shen, P.; Cao, Y.; Lu, X.; Gao, X.; Fu, Y.; Liu, B.; Zhang, N. Zanthoxylum bungeanum pericarp extract prevents dextran sulfate sodium-induced experimental colitis in mice via the regulation of TLR4 and TLR4-related signaling pathways. Int. Immunopharmacol. 2016, 41, 127–135. [Google Scholar] [CrossRef] [PubMed]
- Li, Q.; Cui, Y.; Xu, B.; Wang, Y.; Lv, F.; Li, Z.; Li, H.; Chen, X.; Peng, X.; Chen, Y.; et al. Main active components of Jiawei Gegen Qinlian decoction protects against ulcerative colitis under different dietary environments in a gut microbiota-dependent manner. Pharmacol. Res. 2021, 170, 105694. [Google Scholar] [CrossRef]
- Bloom, S.M.; Bijanki, V.N.; Nava, G.M.; Sun, L.; Malvin, N.P.; Donermeyer, D.L.; Dunne, W.M., Jr.; Allen, P.M.; Stappenbeck, T.S. Commensal Bacteroides species induce colitis in host-genotype-specific fashion in a mouse model of inflammatory bowel disease. Cell Host Microbe 2011, 9, 390–403. [Google Scholar] [CrossRef]
- Zhao, H.; Ding, T.; Chen, Y.; Yang, W.; Rao, J.; Liu, D.; Yi, B. Arecoline aggravates acute ulcerative colitis in mice by affecting intestinal microbiota and serum metabolites. Front. Immunol. 2023, 14, 1197922. [Google Scholar] [CrossRef]
- Jin, C.; Liu, J.; Jin, R.; Yao, Y.; He, S.; Lei, M.; Peng, X. Linarin ameliorates dextran sulfate sodium-induced colitis in C57BL/6J mice via the improvement of intestinal barrier, suppression of inflammatory responses and modulation of gut microbiota. Food Funct. 2022, 13, 10574–10586. [Google Scholar] [CrossRef]
- Liu, J.; Cai, J.; Fan, P.; Dong, X.; Zhang, N.; Tai, J.; Cao, Y. Salidroside alleviates dextran sulfate sodium-induced colitis in mice by modulating the gut microbiota. Food Funct. 2023, 14, 7506–7519. [Google Scholar] [CrossRef]
- Fan, L.; Zuo, S.; Tan, H.; Hu, J.; Cheng, J.; Wu, Q.; Nie, S. Preventive effects of pectin with various degrees of esterification on ulcerative colitis in mice. Food Funct. 2020, 11, 2886–2897. [Google Scholar] [CrossRef]
- Singh, V.; Johnson, K.; Yin, J.; Lee, S.; Lin, R.; Yu, H.; In, J.; Foulke-Abel, J.; Zachos, N.C.; Donowitz, M.; et al. Chronic Inflammation in Ulcerative Colitis Causes Long-Term Changes in Goblet Cell Function. Cell Mol. Gastroenterol. Hepatol. 2022, 13, 219–232. [Google Scholar] [CrossRef]








| No. | Rt (min) | m/z | Identification | Formula | Ion Mode |
|---|---|---|---|---|---|
| 1 | 5.39 | 152.03456 | 3,4-Dihydroxybenzoic acid [21] | C7H6O4 | − |
| 2 | 5.55 | 239.05609 | Eucomic acid [22] | C11H12O6 | − |
| 3 | 5.58 | 399.09357 | Sinapinic acid-O-glucuronide [23] | C17H20O11 | − |
| 4 | 6.34 | 465.10275 | Hyperoside [24] | C21H20O12 | + |
| 5 | 6.35 | 609.14667 | Rutin [25] | C27H30O16 | − |
| 6 | 6.51 | 447.09328 | Quercitrin [26] | C21H20O11 | − |
| 7 | 6.65 | 191.03455 | Scopoletin [27] | C10H8O4 | − |
| 8 | 7.00 | 330.13217 | Tricin [28] | C17H14O7 | + |
| 9 | 7.45 | 318.29907 | Myricetin [29] | C15H10O8 | + |
| 10 | 7.75 | 478.10577 | Isorhamnetin-3-O-β-D-Glucoside [30] | C22H22O12 | − |
| 11 | 7.77 | 434.15781 | Apigenin 7-O-β-glucoside | C21H20O10 | + |
| 12 | 8.53 | 293.21255 | Gingerol [31] | C17H26O4 | − |
| 13 | 8.90 | 400.30431 | Nobiletin [32] | C21H22O8 | + |
| 14 | 8.94 | 488.35620 | Asiatic acid [33] | C30H48O5 | + |
| 15 | 8.96 | 576.40784 | Isorhoifolin [34] | C27H30O14 | + |
| 16 | 9.25 | 559.31256 | Apiin [35] | C26H28O14 | − |
| 17 | 9.99 | 503.32520 | Medicagenic acid [36] | C30H46O6 | + |
| 18 | 10.07 | 379.23434 | Gingerdiol-3,5-diacetate [37] | C21H32O6 | − |
| 19 | 10.28 | 592.38171 | Kaempferol-3-O-rutinoside [25] | C27H30O15 | + |
Disclaimer/Publisher’s Note: The statements, opinions and data contained in all publications are solely those of the individual author(s) and contributor(s) and not of MDPI and/or the editor(s). MDPI and/or the editor(s) disclaim responsibility for any injury to people or property resulting from any ideas, methods, instructions or products referred to in the content. |
© 2024 by the authors. Licensee MDPI, Basel, Switzerland. This article is an open access article distributed under the terms and conditions of the Creative Commons Attribution (CC BY) license (https://creativecommons.org/licenses/by/4.0/).
Share and Cite
Wang, L.; Long, S.; Zeng, Q.; Dong, W.; Li, Y.; Su, J.; Chen, Y.; Zhou, G. Staphylea bumalda Alleviates Dextran Sulfate Sodium-Induced Ulcerative Colitis in Mice by Regulating Inflammatory Cytokines, Oxidative Stress, and Maintaining Gut Homeostasis. Molecules 2024, 29, 5030. https://doi.org/10.3390/molecules29215030
Wang L, Long S, Zeng Q, Dong W, Li Y, Su J, Chen Y, Zhou G. Staphylea bumalda Alleviates Dextran Sulfate Sodium-Induced Ulcerative Colitis in Mice by Regulating Inflammatory Cytokines, Oxidative Stress, and Maintaining Gut Homeostasis. Molecules. 2024; 29(21):5030. https://doi.org/10.3390/molecules29215030
Chicago/Turabian StyleWang, Lu, Sha Long, Qi Zeng, Wanrong Dong, Yaoyao Li, Jiangtao Su, Yuxin Chen, and Gao Zhou. 2024. "Staphylea bumalda Alleviates Dextran Sulfate Sodium-Induced Ulcerative Colitis in Mice by Regulating Inflammatory Cytokines, Oxidative Stress, and Maintaining Gut Homeostasis" Molecules 29, no. 21: 5030. https://doi.org/10.3390/molecules29215030
APA StyleWang, L., Long, S., Zeng, Q., Dong, W., Li, Y., Su, J., Chen, Y., & Zhou, G. (2024). Staphylea bumalda Alleviates Dextran Sulfate Sodium-Induced Ulcerative Colitis in Mice by Regulating Inflammatory Cytokines, Oxidative Stress, and Maintaining Gut Homeostasis. Molecules, 29(21), 5030. https://doi.org/10.3390/molecules29215030

