A 7-Hydroxy 4-Methylcoumarin Enhances Melanogenesis in B16-F10 Melanoma Cells
Abstract
1. Introduction
2. Results
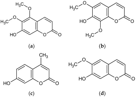
2.1. The Effect of the 7-Hydroxy Coumarin Derivatives on the Viability of B16-F10 Cells
2.2. The Effect of the 7-Hydroxy Coumarin Derivatives on the Melanin Content and Tyrosinase Activity of B16-F10 Cells
2.3. The Effect of 7H-4M on the Expression of Melanogenic Enzymes and MITF
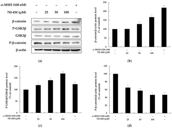
2.4. The Effect of 7H-4M on the Wnt/β-Catenin Signaling Pathway
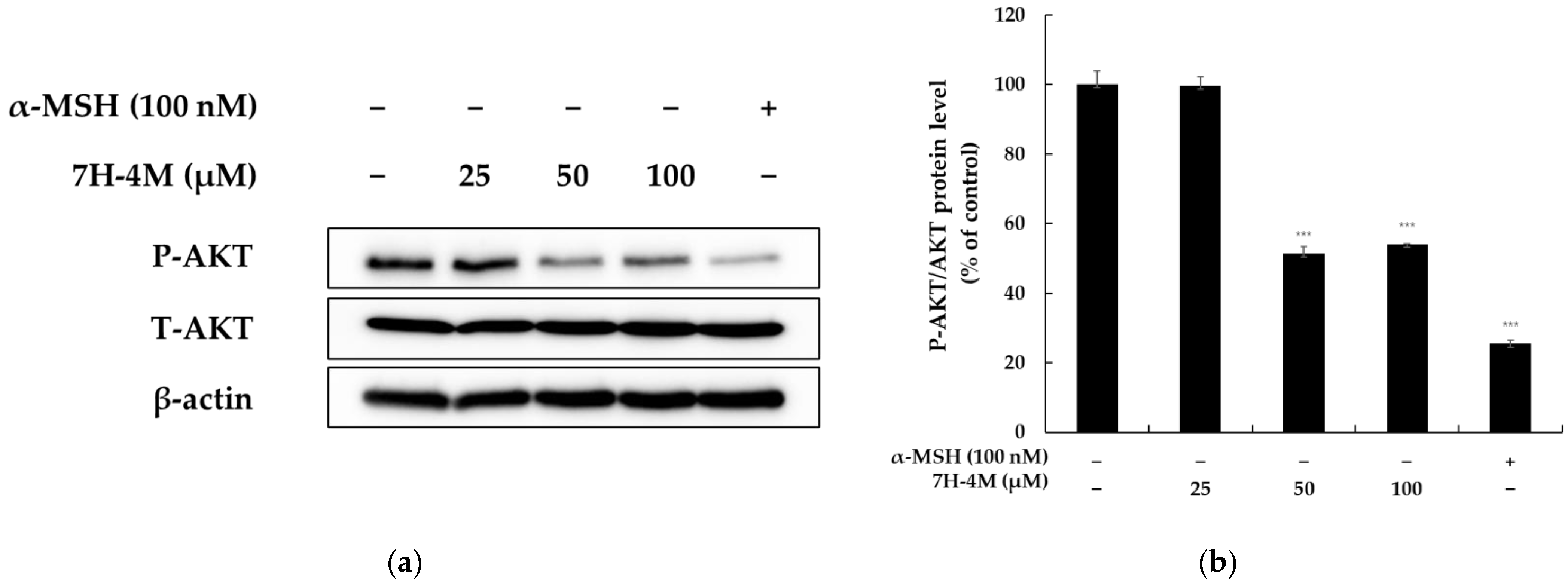
2.5. The Effect of 7H-4M on the AKT Signaling Pathway
2.6. The Effect of 7H-4M on the PKA/CREB Signaling Pathway
2.7. The Effect of 7H-4M on the MAPK Signaling Pathway
2.8. Effects of 7H-4M on Signaling Pathways by Specific Inhibitors
2.9. Human Primary Irritation Test of 7H-4M
3. Discussion
4. Materials and Methods
4.1. Materials
4.2. Cell Culture
4.3. MTT Assay
4.4. Measurement of the Melanin Content
4.5. Measurement of Tyrosinase Activity
4.6. Western Blot Analysis
4.7. Primary Skin Irritation Test
4.8. Statistical Analyses
5. Conclusions
Author Contributions
Funding
Institutional Review Board Statement
Informed Consent Statement
Data Availability Statement
Conflicts of Interest
Sample Availability
References
- Mujtaba, S.F.; Masih, A.P.; Alqasmi, I.; Alsulimani, A.; Khan, F.H.; Haque, S. Oxidative-Stress-Induced Cellular Toxicity and Glycoxidation of Biomolecules by Cosmetic Products under Sunlight Exposure. Antioxidants 2021, 10, 1008. [Google Scholar] [CrossRef]
- Yardman-Frank, J.M.; Fisher, D.E. Skin pigmentation and its control: From ultraviolet radiation to stem cells. Exp. Dermatol. 2021, 30, 560–571. [Google Scholar] [CrossRef]
- Leung, A.K.C.; Lam, J.M.; Leong, K.F.; Hon, K.L. Vitiligo: An Updated Narrative Review. Curr. Pediatr. Rev. 2021, 17, 76–91. [Google Scholar] [CrossRef] [PubMed]
- Wang, H.M.; Qu, L.Q.; Ng, J.P.L.; Zeng, W.; Yu, L.; Song, L.L.; Wong, V.K.W.; Xia, C.L.; Law, B.Y.K. Natural Citrus flavanone 5-demethylnobiletin stimulates melanogenesis through the activation of cAMP/CREB pathway in B16F10 cells. Phytomedicine 2022, 98, 153941. [Google Scholar] [CrossRef]
- Oh, S.Y.; Hyun, C.G. Chrysoeriol Enhances Melanogenesis in B16F10 Cells Through the Modulation of the MAPK, AKT, PKA, and Wnt/β-Catenin Signaling Pathways. Nat. Prod. Commun. 2022, 17, 1934578X2110692. [Google Scholar] [CrossRef]
- Wang, Q.Q.; Zhang, S.G.; Jiao, J.; Dai, P.; Zhang, W.H. Novel Fluorinated 7-Hydroxycoumarin Derivatives Containing an Oxime Ether Moiety: Design, Synthesis, Crystal Structure and Biological Evaluation. Molecules 2021, 26, 372. [Google Scholar] [CrossRef] [PubMed]
- Sunagawa, Y.; Kawaguchi, S.; Miyazaki, Y.; Katanasaka, Y.; Funamoto, M.; Shimizu, K.; Shimizu, S.; Hamabe-Horiike, T.; Kawase, Y.; Komiyama, M.; et al. Auraptene, a citrus peel-derived natural product, prevents myocardial infarction-induced heart failure by activating PPARα in rats. Phytomedicine 2022, 107, 154457. [Google Scholar] [CrossRef]
- Kim, T.; Hyun, C.G. Imperatorin Positively Regulates Melanogenesis through Signaling Pathways Involving PKA/CREB, ERK, AKT, and GSK3β/β-Catenin. Molecules 2022, 27, 6512. [Google Scholar] [CrossRef]
- Lee, Y.; Hyun, C.G. Mechanistic Insights into the Ameliorating Effect of Melanogenesis of Psoralen Derivatives in B16F10 Melanoma Cells. Molecules 2022, 27, 2613. [Google Scholar] [CrossRef]
- Lee, N.; Chung, Y.C.; Kim, Y.B.; Park, S.M.; Kim, B.S.; Hyun, C.G. 7,8-Dimethoxycoumarin stimulates melanogenesis via MAPKs mediated MITF upregulation. Pharmazie 2020, 75, 107–111. [Google Scholar] [CrossRef]
- Kang, J.K.; Chung, Y.C.; Hyun, C.G. Anti-Inflammatory Effects of 6-Methylcoumarin in LPS-Stimulated RAW 264.7 Macrophages via Regulation of MAPK and NF-κB Signaling Pathways. Molecules 2021, 26, 5351. [Google Scholar] [CrossRef] [PubMed]
- Kang, J.K.; Hyun, C.G. 4-Hydroxy-7-Methoxycoumarin Inhibits Inflammation in LPS-activated RAW264.7 Macrophages by Suppressing NF-κB and MAPK Activation. Molecules 2020, 25, 4424. [Google Scholar] [CrossRef] [PubMed]
- Veselinović, J.B.; Veselinović, A.M.; Ilic-Tomic, T.; Davis, R.; O’Connor, K.; Pavic, A.; Nikodinovic-Runic, J. Potent anti-melanogenic activity and favorable toxicity profile of selected 4-phenyl hydroxycoumarins in the zebrafish model and the computational molecular modeling studies. Bioorg. Med. Chem. 2017, 25, 6286–6296. [Google Scholar] [CrossRef]
- Bhattacharyya, S.S.; Paul, S.; De, A.; Das, D.; Samadder, A.; Boujedaini, N.; Khuda-Bukhsh, A.R. Poly (lactide-co-glycolide) acid nanoencapsulation of a synthetic coumarin: Cytotoxicity and bio-distribution in mice, in cancer cell line and interaction with calf thymus DNA as target. Toxicol. Appl. Pharmacol. 2011, 253, 270–281. [Google Scholar] [CrossRef]
- Manosroi, A.; Chaikul, P.; Abe, M.; Manosroi, W.; Manosroi, J. Melanogenesis of methyl myristate loaded niosomes in B16F10 melanoma cells. J. Biomed. Nanotechnol. 2013, 9, 626–638. [Google Scholar] [CrossRef]
- Zang, D.; Niu, C.; Aisa, H.A. Amine derivatives of furocoumarin induce melanogenesis by activating Akt/GSK-3β/β-catenin signal pathway. Drug Des. Devel. Ther. 2019, 13, 623–632. [Google Scholar] [CrossRef]
- Han, S.Y.; Jang, T.W.; Park, H.J.; Oh, S.S.; Lee, J.B.; Myoung, S.M.; Park, J.H. Nypa fruticans Wurmb inhibits melanogenesis in isobutylmethylxanthine-treated melanoma via the PI3K/AKT/mTOR/CREB and MAPK signaling pathways. Exp. Ther. Med. 2022, 24, 754. [Google Scholar] [CrossRef] [PubMed]
- Venugopala, K.N.; Rashmi, V.; Odhav, B. Review on natural coumarin lead compounds for their pharmacological activity. Biomed. Res. Int. 2013, 2013, 963248. [Google Scholar] [CrossRef]
- Kim, S.Y.; Koo, Y.K.; Koo, J.Y.; Ngoc, T.M.; Kang, S.S.; Bae, K.; Kim, Y.S.; Yun-Choi, H.S. Platelet anti-aggregation activities of compounds from Cinnamomum cassia. J. Med. Food 2010, 13, 1069–1074. [Google Scholar] [CrossRef]
- Sousa, B.C.M.; Castro, S.P.; Lourido, K.A.; Kasper, A.A.M.; Paulino, G.D.S.; Delarmelina, C.; Duarte, M.C.T.; Sartoratto, A.; Vieira, T.A.; Lustosa, D.C.; et al. Identification of Coumarins and Antimicrobial Potential of Ethanolic Extracts of Dipteryx odorata and Dipteryx punctata. Molecules 2022, 27, 5837. [Google Scholar] [CrossRef]
- Kim, Y.H.; Lee, S.Y.; Kim, E.Y.; Kim, K.H.; Koong, M.K.; Lee, K.A. The Antioxidant Auraptene Improves Aged Oocyte Quality and Embryo Development in Mice. Antioxidants 2022, 12, 87. [Google Scholar] [CrossRef] [PubMed]
- El-Attar, M.S.; Sadeek, S.A.; Abd El-Hamid, S.M.; Elshafie, H.S. Spectroscopic Analyses and Antimicrobial Activity of Novel Ciprofloxacin and 7-Hydroxy-4-methylcoumarin, the Plant-Based Natural Benzopyrone Derivative. Int. J. Mol. Sci. 2022, 23, 8019. [Google Scholar] [CrossRef] [PubMed]
- Pérez, M.; García, M.; Ruiz, D.; Autino, J.C.; Romanelli, G.; Blustein, G. Antifouling activity of green-synthesized 7-hydroxy-4-methylcoumarin. Mar. Environ. Res. 2016, 113, 134–140. [Google Scholar] [CrossRef] [PubMed]
- Chang, W.S.; Chiang, H.C. Structure-activity relationship of coumarins in xanthine oxidase inhibition. Anticancer Res. 1995, 15, 1969–1973. [Google Scholar]
- Kabeya, L.M.; Fuzissaki, C.N.; Taleb-Contini, S.H.; da C Ferreira, A.M.; Naal, Z.; Santos, E.O.; Figueiredo-Rinhel, A.S.; Azzolini, A.E.; Vermelho, R.B.; Malvezzi, A.; et al. 7-Hydroxycoumarin modulates the oxidative metabolism, degranulation and microbial killing of human neutrophils. Chem. Biol. Interact. 2013, 206, 63–75. [Google Scholar] [CrossRef]
- Kim, G.B.; Hyun, C.G. The hyaluronan synthesis inhibitor 7-hydroxy-4-methylcoumarin inhibits LPS-induced inflammatory response in RAW 264.7 macrophage cells. J. Appl. Biol. Chem. 2021, 64, 263–268. [Google Scholar] [CrossRef]
- Miri, R.; Nejati, M.; Saso, L.; Khakdan, F.; Parshad, B.; Mathur, D.; Parmar, V.S.; Bracke, M.E.; Prasad, A.K.; Sharma, S.K.; et al. Structure-activity relationship studies of 4-methylcoumarin derivatives as anticancer agents. Pharm. Biol. 2016, 54, 105–110. [Google Scholar] [CrossRef]
- Mamat, N.; Dou, J.; Lu, X.; Eblimit, A.; Haji Akber, A. Isochlorogenic acid A promotes melanin synthesis in B16 cell through the β-catenin signal pathway. Acta Biochim. Biophys. Sin. 2017, 49, 800–807. [Google Scholar] [CrossRef]
- Niu, C.; Yin, L.; Aisa, H.A. Novel Furocoumarin Derivatives Stimulate Melanogenesis in B16 Melanoma Cells by Up-Regulation of MITF and TYR Family via Akt/GSK3β/β-Catenin Signaling Pathways. Int. J. Mol. Sci. 2018, 19, 746. [Google Scholar] [CrossRef]
- Cheng, Z.J.; Dai, G.F.; Hsu, J.L.; Lin, J.J.; Wu, W.T.; Su, C.C.; Wu, Y.J. Antimelanogenesis Effect of Methyl Gallate through the Regulation of PI3K/Akt and MEK/ERK in B16F10 Melanoma Cells. Evid. Based Complement. Alternat. Med. 2022, 2022, 5092655. [Google Scholar] [CrossRef]
- Choi, H.; Yoon, J.H.; Youn, K.; Jun, M. Decursin prevents melanogenesis by suppressing MITF expression through the regulation of PKA/CREB, MAPKs, and PI3K/Akt/GSK-3β cascades. Biomed. Pharmacother. 2022, 147, 112651. [Google Scholar] [CrossRef] [PubMed]
- An, X.; Lv, J.; Wang, F. Pterostilbene inhibits melanogenesis, melanocyte dendricity and melanosome transport through cAMP/PKA/CREB pathway. Eur. J. Pharmacol. 2022, 932, 175231. [Google Scholar] [CrossRef] [PubMed]
- Choi, M.H.; Yang, S.H.; Kim, N.D.; Shin, H.J. Nomilin from Yuzu Seed Has In Vitro Antioxidant Activity and Downregulates Melanogenesis in B16F10 Melanoma Cells through the PKA/CREB Signaling Pathway. Antioxidants 2022, 11, 1636. [Google Scholar] [CrossRef] [PubMed]
- Kim, H.M.; Hyun, C.G. Miglitol, an Oral Antidiabetic Drug, Downregulates Melanogenesis in B16F10 Melanoma Cells through the PKA, MAPK, and GSK3β/β-Catenin Signaling Pathways. Molecules 2022, 28, 115. [Google Scholar] [CrossRef] [PubMed]
- Wu, K.C.; Hseu, Y.C.; Shih, Y.C.; Sivakumar, G.; Syu, J.T.; Chen, G.L.; Lu, M.T.; Chu, P.C. Calycosin, a Common Dietary Isoflavonoid, Suppresses Melanogenesis through the Downregulation of PKA/CREB and p38 MAPK Signaling Pathways. Int. J. Mol. Sci. 2022, 23, 1358. [Google Scholar] [CrossRef]
- Zhao, N.; Su, X.; Li, H.; Li, Z.; Wang, Y.; Chen, J.; Zhuang, W. Schisandrin B inhibits α-melanocyte-stimulating hormone-induced melanogenesis in B16F10 cells via downregulation of MAPK and CREB signaling pathways. Biosci. Biotechnol. Biochem. 2021, 85, 834–841. [Google Scholar] [CrossRef]











| No. | Test Sample | No. of Respondents | 20 min after Removal | 24 h after Removal | Reaction Grade (R) * | ||||||||
|---|---|---|---|---|---|---|---|---|---|---|---|---|---|
| +1 | +2 | +3 | +4 | +1 | +2 | +3 | +4 | 24 h | 48 h | Mean | |||
| 1 | 7H-4M (50 μM) | 0 | - | - | - | - | - | - | - | - | 0 | 0 | 0 |
| 2 | 7H-4M (100 μM) | 0 | - | - | - | - | - | - | - | - | 0 | 0 | 0 |
| 3 | Squalene | 0 | - | - | - | - | - | - | - | - | 0 | 0 | 0 |
Disclaimer/Publisher’s Note: The statements, opinions and data contained in all publications are solely those of the individual author(s) and contributor(s) and not of MDPI and/or the editor(s). MDPI and/or the editor(s) disclaim responsibility for any injury to people or property resulting from any ideas, methods, instructions or products referred to in the content. |
© 2023 by the authors. Licensee MDPI, Basel, Switzerland. This article is an open access article distributed under the terms and conditions of the Creative Commons Attribution (CC BY) license (https://creativecommons.org/licenses/by/4.0/).
Share and Cite
Kim, T.; Kim, K.B.; Hyun, C.-G. A 7-Hydroxy 4-Methylcoumarin Enhances Melanogenesis in B16-F10 Melanoma Cells. Molecules 2023, 28, 3039. https://doi.org/10.3390/molecules28073039
Kim T, Kim KB, Hyun C-G. A 7-Hydroxy 4-Methylcoumarin Enhances Melanogenesis in B16-F10 Melanoma Cells. Molecules. 2023; 28(7):3039. https://doi.org/10.3390/molecules28073039
Chicago/Turabian StyleKim, Taejin, Kwan Bo Kim, and Chang-Gu Hyun. 2023. "A 7-Hydroxy 4-Methylcoumarin Enhances Melanogenesis in B16-F10 Melanoma Cells" Molecules 28, no. 7: 3039. https://doi.org/10.3390/molecules28073039
APA StyleKim, T., Kim, K. B., & Hyun, C.-G. (2023). A 7-Hydroxy 4-Methylcoumarin Enhances Melanogenesis in B16-F10 Melanoma Cells. Molecules, 28(7), 3039. https://doi.org/10.3390/molecules28073039

