In Vitro Binding Effects of the Ecdysone Receptor−Binding Domain and PonA in Plutella xylostella
Abstract
1. Introduction
2. Results and Discussion
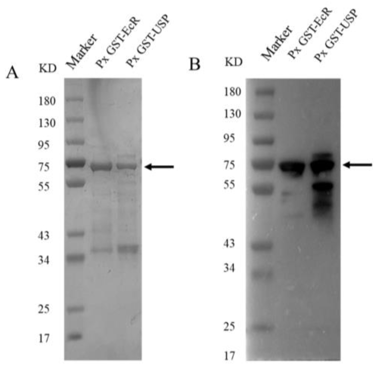
2.1. Identification of the Target Proteins PxGST-EcR and PxGST-USP for Prokaryotic Expression
2.2. TEM Observation of Target Protein Monomer and Dimer
2.3. Zeta Potential Detection
2.4. Specific Binding Experiment of [3H]PonA with EcR/USP
2.5. Binding of Tebufenozide to EcR/USP
2.6. The Binding Mechanism of PxEcR with Different Ligands
3. Materials and Methods
3.1. Chemicals
3.2. Transformation and Expression Identification of Recombinant Plasmids in E. coli
3.3. Purification of Target Proteins
3.4. TEM Observation of Target Protein Monomer and Dimer
3.5. Testing of the Zeta Potential of Target Protein Monomers and Dimers
3.6. Binding Experiments of Ligands with EcR/USP
3.7. Molecular Simulation of the Binding Differences of PxEcR/USP with Different Ligands
4. Conclusions
Author Contributions
Funding
Institutional Review Board Statement
Informed Consent Statement
Data Availability Statement
Acknowledgments
Conflicts of Interest
Sample Availability
References
- Jonathan, M.C.; Adrian, S.H.; Gonzalo, A. Type II nuclear receptors with potential role in Alzheimer disease. Mol. Aspects Med. 2021, 78, 100940. [Google Scholar] [CrossRef]
- Scholtes, C.; Giguere, V. Transcriptional control of energy metabolism by nuclear receptors. Nat. Rev. Mol. Cell Biol. 2022, 23, 750–770. [Google Scholar] [PubMed]
- Jin, L.; Li, Y. Structural and functional insights into nuclear receptor signaling. Adv. Drug Deliv. Rev. 2010, 62, 1218–1226. [Google Scholar] [CrossRef] [PubMed]
- Cao, G.C.; Han, Z.J. Tebufenozide resistance is associated with sex-linked inheritance in Plutella xylostella. Insect Sci. 2015, 22, 235–242. [Google Scholar] [CrossRef] [PubMed]
- Furlong, M.J.; Wright, D.J.; Dosdall, L.M. Diamondback moth ecology and management: Problems, progress, and prospects. Annu. Rev. Entomol. 2013, 58, 517–541. [Google Scholar] [CrossRef]
- Shakeel, M.; Farooq, M.; Nasim, W.; Akram, W.; Khan, F.Z.A.; Jaleel, W.; Zhu, X.; Yin, H.; Li, S.; Fahad, S.; et al. Environment polluting conventional chemical control compared to an environmentally friendly IPM approach for control of diamondback moth, Plutella xylostella (L.), in China: A review. Environ. Sci. Pollut. Res. Int. 2017, 24, 14537–14550. [Google Scholar] [CrossRef]
- Xu, J.; Wang, Z.; Wang, Y.; Ma, H.; Zhu, H.; Liu, J.; Zhou, Y.; Deng, X.; Zhou, X. ABCC2 participates in the resistance of Plutella xylostella to chemical insecticides. Pestic. Biochem. Physiol. 2020, 162, 52–59. [Google Scholar] [CrossRef] [PubMed]
- Song, Y.; Villeneuve, D.L.; Toyota, K.; Iguchi, T.; Tollefsen, K.E. Ecdysone Receptor Agonism Leading to Lethal Molting Disruption in Arthropods: Review and Adverse Outcome Pathway Development. Environ. Sci. Technol. 2017, 51, 4142–4157. [Google Scholar] [CrossRef] [PubMed]
- Iwema, T.; Chaumot, A.; Studer, R.A.; Robinson-Rechavi, M.; Billas, I.M.; Moras, D.; Laudet, V.; Bonneton, F. Structural and evolutionary innovation of the heterodimerization interface between USP and the ecdysone receptor EcR in insects. Mol. Biol. Evol. 2009, 26, 753–768. [Google Scholar] [CrossRef]
- Johnston, D.M.; Sedkov, Y.; Petruk, S.; Riley, K.M.; Fujioka, M.; Jaynes, J.B.; Mazo, A. Ecdysone- and NO-Mediated Gene Regulation by Competing EcR/Usp and E75A Nuclear Receptors during Drosophila development. Mol. Cell 2011, 44, 51–61. [Google Scholar] [CrossRef]
- Hill, R.J.; Billas, I.M.; Bonneton, F.; Graham, L.D.; Lawrence, M.C. Ecdysone receptors: From the Ashburner model to structural biology. Annu. Rev. Entomol. 2013, 58, 251–271. [Google Scholar] [CrossRef] [PubMed]
- Nakagawa, Y.; Henrich, V.C. Arthropod nuclear receptors and their role in molting. FEBS J. 2009, 276, 6128–6157. [Google Scholar] [CrossRef]
- Tohidi-Esfahani, D.; Graham, L.D.; Hannan, G.N.; Simpson, A.M.; Hill, R.J. An ecdysone receptor from the pentatomomorphan, Nezara viridula, shows similar affinities for moulting hormones makisterone A and 20-hydroxyecdysone. Insect Biochem. Mol. Biol. 2011, 41, 77–89. [Google Scholar] [CrossRef]
- Nair, P.M.; Choi, J. Modulation in the mRNA expression of ecdysone receptor gene in aquatic midge, Chironomus riparius upon exposure to nonylphenol and silver nanoparticles. Environ. Toxicol. Pharmacol. 2012, 33, 98–106. [Google Scholar] [CrossRef]
- Weikum, E.R.; Liu, X.; Ortlund, E.A. The nuclear receptor superfamily: A structural perspective. Protein Sci. 2018, 27, 1876–1892. [Google Scholar] [CrossRef] [PubMed]
- Orlowski, M.; Szyszka, M.; Kowalska, A.; Grad, I.; Zoglowek, A.; Rymarczyk, G.; Dobryszycki, P.; Krowarsch, D.; Rastinejad, F.; Kochman, M.; et al. Plasticity of the ecdysone receptor DNA binding domain. Mol. Endocrinol. 2004, 18, 2166–2184. [Google Scholar] [CrossRef] [PubMed]
- Holmwood, G.; Schindler, M. Protein structure based rational design of ecdysone agonists. Bioorg. Med. Chem. 2009, 17, 4064–4070. [Google Scholar] [CrossRef]
- Clayton, G.M.; Peak-Chew, S.Y.; Evans, R.M.; Schwabe, J.W.R. The structure of the ultraspiracle ligand-binding domain reveal a nuclear receptor locked in an inactive conformation. Proc. Natl. Acad. Sci. USA 2001, 98, 1549–1554. [Google Scholar] [CrossRef] [PubMed]
- Bergman, T.; Henrich, V.C.; Schlattner, U.; Lezzi, M. Ligand control of interaction in vivo between ecdysteroid receptor and ultraspiracle ligand-binding domain. Biochem. J. 2004, 378, 779–784. [Google Scholar] [CrossRef]
- Graham, L.D.; Johnson, W.M.; Pawlak-Skrzecz, A.; Eaton, R.E.; Bliese, M.; Howell, L.; Hannan, G.N.; Hill, R.J. Ligand binding by recombinant domains from insect ecdysone receptors. Insect Biochem. Mol. Biol. 2007, 37, 611–626. [Google Scholar] [CrossRef]
- Minakuchi, C.; Nakagawa, Y.; Kamimura, M.; Miyagawa, H. Binding affinity of nonsteroidal ecdysone agonists against the ecdysone receptor complex determines the strength of their molting hormonal activity. Eur. J. Biochem. 2003, 270, 4095–4104. [Google Scholar] [CrossRef] [PubMed]
- Ito-Harashima, S.; Matsuura, M.; Kawanishi, M.; Nakagawa, Y.; Yagi, T. New reporter gene assays for detecting natural and synthetic molting hormone agonists using yeasts expressing ecdysone receptors of various insects. FEBS Open Bio. 2017, 7, 995–1008. [Google Scholar] [CrossRef] [PubMed]
- Yokoi, T.; Nabe, T.; Ishizuka, C.; Hayashi, K.; Ito-Harashima, S.; Yagi, T.; Nakagawa, Y.; Miyagawa, H. A luciferase reporter assay for ecdysone agonists using HEK293T cells. Biosci. Biotechnol. Biochem. 2022, 86, 1490–1496. [Google Scholar] [CrossRef] [PubMed]
- Liu, J.W.; Zacco, A.; Piser, T.M.; Scott, C.W. Microplate gel-filtration method for radioligand-binding assays. Anal. Biochem. 2002, 308, 127–133. [Google Scholar] [CrossRef]
- Hu, X.P.; Ma, X.J.; Cui, J.L.; Liu, H.S.; Zhu, B.; Xie, J.; Liang, P.; Zhang, L. Identification of 1-phenyl-4-cyano-5-aminopyrazoles as novel ecdysone receptor ligands by virtual screening, structural optimization, and biological evaluations. Chem. Biol. Drug Des. 2021, 97, 184–195. [Google Scholar] [CrossRef]
- Tang, B.Z.; Dong, W.; Liang, P.; Zhou, X.G.; Gao, X.W. Cloning, ligand-binding, and temporal expression of ecdysteroid receptors in the diamondback moth, Plutella xylostella. BMC Mol. Biol. 2012, 13, 1–12. [Google Scholar] [CrossRef]
- Marco, G.; Margarethe, S.B. Expression of ecdysteroid receptor and ultraspiracle from Chironomus tentans(Insecta, Diptera) in E. coli and purification in a functional state. Insect Biochem. Mol. Biol. 2002, 32, 167–174. [Google Scholar]
- Rusin, A.; NiedzielaMajka, A.; Rymarczyk, G.; Ozyhar, A. Expression and purification of 6xHis-tagged DNA binding domains of functional ecdysteroid receptor from Drosophila melanogaster. Acta Biochim. Pol. 1996, 43, 611–621. [Google Scholar] [CrossRef]
- Isabelle, M.L.B.; Thomas, I.; Jean-Marie, G.; Mitschler, A.; Natacha, R.; Dino, M. Structural adaptability in the ligand-binding pocket of the ecdysone hormone receptor. Nature 2003, 426, 91–96. [Google Scholar]
- Grebe, M.; Przibilla, S.; Henrich, V.C.; Spindler-Barth, M. Characterization of the ligand-binding domain of the ecdysteroid receptor from Drosophila melanogaster. Biol. Chem. 2003, 384, 105–116. [Google Scholar] [CrossRef]
- Halling, B.P.; Yuhas, D.A.; Eldridge, R.R.; Gilbey, S.N.; Deutsch, V.A.; Herron, J.D. Expression and purification of the hormone binding domain of the Drosophila ecdysone and ultraspiracle receptors. Protein Expr. Purif. 1999, 17, 373–386. [Google Scholar] [CrossRef] [PubMed]
- Morishita, C.; Yokoi, T.; Takimoto, S.; Hosoda, A.; Akamatsu, M.; Tamura, H.; Nakagawa, Y. cDNA cloning of ecdysone receptor (EcR) and ultraspiracle (USP) from Harmonia axyridis and Epilachna vigintioctopunctata and the evaluation of the binding affinity of ecdysone agonists to the in vitro translated EcR/USP heterodimers. J. Pestic. Sci. 2014, 39, 76–84. [Google Scholar] [CrossRef]
- Horoiwa, S.; Yokoi, T.; Masumoto, S.; Minami, S.; Ishizuka, C.; Kishikawa, H.; Ozaki, S.; Kitsuda, S.; Nakagawa, Y.; Miyagawa, H. Structure-based virtual screening for insect ecdysone receptor ligands using MM/PBSA. Bioorg. Med. Chem. 2019, 27, 1065–1075. [Google Scholar] [CrossRef]
- Harada, T.; Nakagawa, Y.; Ogura, T.; Yamada, Y.; Ohe, T.; Miyagawa, H. Virtual screening for ligands of the insect molting hormone receptor. J. Chem. Inf. Model. 2011, 51, 296–305. [Google Scholar] [CrossRef] [PubMed]
- Ogura, T.; Nakagawa, Y.; Swevers, L.; Smagghe, G.; Miyagawa, H. Quantitative evaluation of the molting hormone activity in coleopteran cells established from the Colorado potato beetle, Leptinotarsa decemlineata. Pestic. Biochem. Physiol. 2012, 104, 1–8. [Google Scholar] [CrossRef]
- Oikawa, N.; Nakagawa, Y.; Soya, Y.; Nishimura, K.; Kurihara, N.; Ueno, T.; Fujita, T. Enhancement of N acetylglucosamine incorporation into the cultured integument of Chilo suppressalis by molting hormone and dibenzoylhydrazine insecticides. Pestic. Biochem. Physiol. 1993, 47, 165–170. [Google Scholar] [CrossRef]
- Iwema, T.; Billas, I.M.; Beck, Y.; Bonneton, F.; Nierengarten, H.; Chaumot, A.; Richards, G.; Laudet, V.; Moras, D. Structural and functional characterization of a novel type of ligand-independent RXR-USP receptor. EMBO J. 2007, 26, 3770–3782. [Google Scholar] [CrossRef]
- Carmichael, J.A.; Lawrence, M.C.; Graham, L.D.; Pilling, P.A.; Epa, V.C.; Noyce, L.; Lovrecz, G.; Winkler, D.A.; Pawlak-Skrzecz, A.; Eaton, R.E.; et al. The X-ray structure of a hemipteran ecdysone receptor ligand-binding domain: Comparison with a lepidopteran ecdysone receptor ligand-binding domain and implications for insecticide design. J. Biol. Chem. 2005, 280, 22258–22269. [Google Scholar] [CrossRef]
- Browning, C.; McEwen, A.G.; Mori, K.; Yokoi, T.; Moras, D.; Nakagawa, Y.; Billas, I.M.L. Nonsteroidal ecdysone receptor agonists use a water channel for binding to the ecdysone receptor complex EcR/USP. J. Pestic. Sci. 2021, 46, 88–100. [Google Scholar] [CrossRef]
- Liu, Z.Q.; Yang, P.C. Construction of pET-32 alpha (+) Vector for Protein Expression and Purification. North Am. J. Med. Sci. 2012, 4, 651–655. [Google Scholar]
- Bernier, S.C.; Cantin, L.; Salesse, C. Systematic analysis of the expression, solubility and purification of a passenger protein in fusion with different tags. Protein Expr. Purif. 2018, 152, 92–106. [Google Scholar] [CrossRef] [PubMed]
- Li, X.L.; Liu, H.; Yu, A.L.; Lin, D.; Bao, Z.S.; Wang, Y.Q.; Li, X.Y. Bioinspired self-assembly supramolecular hydrogel for ocular drug delivery. Chin. Chem. Lett. 2021, 32, 3936–3939. [Google Scholar] [CrossRef]
- Hu, Q.; Hu, S.; Fleming, E.; Lee, J.Y.; Luo, Y. Chitosan-caseinate-dextran ternary complex nanoparticles for potential oral delivery of astaxanthin with significantly improved bioactivity. Int. J. Biol. Macromol. 2020, 151, 747–756. [Google Scholar] [CrossRef] [PubMed]
- Lin, D.Q.; Zhong, L.N.; Yao, S.J. Zeta potential as a diagnostic tool to evaluate the biomass electrostatic adhesion during ion-exchange expanded bed application. Biotechnol. Bioeng. 2006, 95, 185–191. [Google Scholar] [CrossRef] [PubMed]
- Molecular Operating Environment (MOE), 2022.02; Chemical Computing Group ULC: Montreal, QC, Canada, 2022.
- Labute, P. The Generalized Born / Volume Integral (GB/VI) Implicit Solvent Model: Estimation of the Free Energy of Hydration Using London Dispersion Instead of Atomic Surface Area. J. Comp. Chem. 2008, 29, 1693–1698. [Google Scholar] [CrossRef]





| Samples | Concentration (µg·mL−1) | Zeta Potentials (mV) |
|---|---|---|
| PxGST−EcR | 0.25 | −4.52 ± 0.56 a |
| PxGST−USP | 0.25 | −4.46 ± 0.01 a |
| PxGST−EcR/GST−USP | 0.25 | −8.56 ± 1.7 b |
| PxGST−EcR/GST−USP−PonA | 0.50 | −8.23 ± 0.1 b |
Disclaimer/Publisher’s Note: The statements, opinions and data contained in all publications are solely those of the individual author(s) and contributor(s) and not of MDPI and/or the editor(s). MDPI and/or the editor(s) disclaim responsibility for any injury to people or property resulting from any ideas, methods, instructions or products referred to in the content. |
© 2023 by the authors. Licensee MDPI, Basel, Switzerland. This article is an open access article distributed under the terms and conditions of the Creative Commons Attribution (CC BY) license (https://creativecommons.org/licenses/by/4.0/).
Share and Cite
Feng, Y.; Cui, J.; Jin, B.; Li, X.; Zhang, X.; Liu, L.; Zhang, L. In Vitro Binding Effects of the Ecdysone Receptor−Binding Domain and PonA in Plutella xylostella. Molecules 2023, 28, 1426. https://doi.org/10.3390/molecules28031426
Feng Y, Cui J, Jin B, Li X, Zhang X, Liu L, Zhang L. In Vitro Binding Effects of the Ecdysone Receptor−Binding Domain and PonA in Plutella xylostella. Molecules. 2023; 28(3):1426. https://doi.org/10.3390/molecules28031426
Chicago/Turabian StyleFeng, Yanjiao, Jialin Cui, Binyan Jin, Xiuzhen Li, Xiaoming Zhang, Libing Liu, and Li Zhang. 2023. "In Vitro Binding Effects of the Ecdysone Receptor−Binding Domain and PonA in Plutella xylostella" Molecules 28, no. 3: 1426. https://doi.org/10.3390/molecules28031426
APA StyleFeng, Y., Cui, J., Jin, B., Li, X., Zhang, X., Liu, L., & Zhang, L. (2023). In Vitro Binding Effects of the Ecdysone Receptor−Binding Domain and PonA in Plutella xylostella. Molecules, 28(3), 1426. https://doi.org/10.3390/molecules28031426

