Investigation of the Chemical Composition, Antihyperglycemic and Antilipidemic Effects of Bassia eriophora and Its Derived Constituent, Umbelliferone on High-Fat Diet and Streptozotocin-Induced Diabetic Rats
Abstract
1. Introduction
2. Results
2.1. Isolation and Identification of Major Secondary Metabolites
2.2. Effect of TME of B. eriophora and Isolated UFN on Blood Glucose Levels
2.3. Effect of TME of B. eriophora and Isolated UFN on Lipid Profile
2.4. Effect of TME of B. eriophora and Isolated UFN on Insulin Levels and Insulin Resistance
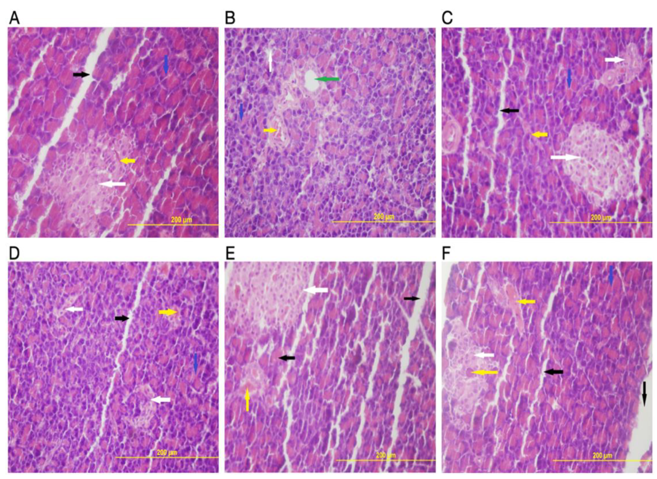
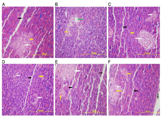
2.5. Histopathological Analysis of Pancreatic Tissue of Diabetic Rats with TME (200 and 400 mg/kg) of B. eriophora and UFN Treatments
2.6. Histopathological Analysis of Adipose Tissue of Diabetic Rats with TME (200 and 400 mg/kg) of B. eriophora and UFN Treatments
3. Discussion
4. Materials and Methods
4.1. General Procedures and Chemicals
4.2. Plant Material
4.3. Extraction and Isolation
4.4. Animals
4.5. Experimental Protocol
4.6. Histopathological Preparation and Examination
4.7. Statistical Analysis of Data
5. Conclusions
Supplementary Materials
Author Contributions
Funding
Institutional Review Board Statement
Informed Consent Statement
Data Availability Statement
Acknowledgments
Conflicts of Interest
Sample Availability
References
- American Diabetes Association. Diagnosis and classification of diabetes mellitus. Diabetes Care 2013, 36 (Suppl. S1), S67–S74. [Google Scholar] [CrossRef]
- International Diabetes Federation. In IDF Diabetes Atlas, 10th ed.; International Diabetes Federation: Brussels, Belgium, 2021.
- World Health Organization. Classification of Diabetes Mellitus; World Health Organization: Geneva, Switzerland, 2019. [Google Scholar]
- Cuschieri, S. Type 2 Diabetes: An Unresolved Disease. In Obesity and Diabetes: Scientific Advances and Best Practice; Faintuch, J., Faintuch, S., Eds.; Springer International Publishing: Cham, Switzerland, 2020; pp. 567–578. [Google Scholar]
- Martín-Timón, I.; Sevillano-Collantes, C.; Segura-Galindo, A.; del Cañizo-Gómez, F.J. Type 2 diabetes and cardiovascular disease: Have all risk factors the same strength? World J. Diabetes 2014, 5, 444. [Google Scholar] [CrossRef] [PubMed]
- Chaudhury, A.; Duvoor, C.; Reddy Dendi, V.S.; Kraleti, S.; Chada, A.; Ravilla, R.; Marco, A.; Shekhawat, N.S.; Montales, M.T.; Kuriakose, K.; et al. Clinical Review of Antidiabetic Drugs: Implications for Type 2 Diabetes Mellitus Management. Front Endocrinol 2017, 8, 6. [Google Scholar] [CrossRef] [PubMed]
- Chandramohan, G.; Ignacimuthu, S.; Pugalendi, K.V. A novel compound from Casearia esculenta (Roxb.) root and its effect on carbohydrate metabolism in streptozotocin-diabetic rats. Eur. J. Pharmacol. 2008, 590, 437–443. [Google Scholar] [CrossRef] [PubMed]
- Kim, S.H.; Hyun, S.H.; Choung, S.Y. Anti-diabetic effect of cinnamon extract on blood glucose in db/db mice. J. Ethnopharmacol. 2006, 104, 119–123. [Google Scholar] [CrossRef]
- Kesari, A.N.; Kesari, S.; Singh, S.K.; Gupta, R.K.; Watal, G. Studies on the glycemic and lipidemic effect of Murraya koenigii in experimental animals. J. Ethnopharmacol. 2007, 112, 305–311. [Google Scholar] [CrossRef] [PubMed]
- Dias, D.A.; Urban, S.; Roessner, U. A historical overview of natural products in drug discovery. Metabolites 2012, 2, 303–336. [Google Scholar] [CrossRef] [PubMed]
- Stefano, B.; Tiezzi, A.; Laghezza Masci, V.; Ovidi, E. Natural products for human health: An historical overview of the drug discovery approaches. Nat. Prod. Res. 2017, 32, 1–25. [Google Scholar] [CrossRef]
- Pan, S.Y.; Zhou, S.F.; Gao, S.H.; Yu, Z.L.; Zhang, S.F.; Tang, M.K.; Sun, J.N.; Ma, D.L.; Han, Y.F.; Fong, W.F.; et al. New Perspectives on How to Discover Drugs from Herbal Medicines: CAM’s Outstanding Contribution to Modern Therapeutics. Evid Based Complement Altern. Med. 2013, 2013, 627375. [Google Scholar] [CrossRef] [PubMed]
- Arulselvan, P.; Fard, M.T.; Tan, W.S.; Gothai, S.; Fakurazi, S.; Norhaizan, M.E.; Kumar, S.S. Role of Antioxidants and Natural Products in Inflammation. Oxidative Med. Cell. Longev. 2016, 2016, 5276130. [Google Scholar] [CrossRef] [PubMed]
- Mao, Q.Q.; Xu, X.Y.; Cao, S.Y.; Gan, R.Y.; Corke, H.; Beta, T.; Li, H.B. Bioactive Compounds and Bioactivities of Ginger (Zingiber officinale Roscoe). Foods 2019, 8, 185. [Google Scholar] [CrossRef]
- Gothai, S.; Ganesan, P.; Park, S.Y.; Fakurazi, S.; Choi, D.K.; Arulselvan, P. Natural Phyto-Bioactive Compounds for the Treatment of Type 2 Diabetes: Inflammation as a Target. Nutrients 2016, 8, 461. [Google Scholar] [CrossRef] [PubMed]
- Osman, A.K.; Al-Ghamdi, F.; Bawadekji, A. Floristic diversity and vegetation analysis of Wadi Arar: A typical desert Wadi of the Northern Border region of Saudi Arabia. Saudi J. Biol. Sci. 2014, 21, 554–565. [Google Scholar] [CrossRef]
- Alqahtani, A.S.; Ullah, R.; Shahat, A.A. Bioactive Constituents and Toxicological Evaluation of Selected Antidiabetic Medicinal Plants of Saudi Arabia. Evid Based Complement Altern. Med. 2022, 2022, 7123521. [Google Scholar] [CrossRef] [PubMed]
- Harvey, A. Natural products in drug discovery. Drug Discov. Today 2008, 13, 894–901. [Google Scholar] [CrossRef]
- Hutchinson, J. The Families of Flowering Plants; Arranged According to A New System Based on Their Probable Phylogeny, 3rd ed.; Clarendon Press: Oxford, UK, 1973; Volume 18, 968p. [Google Scholar]
- Mandaville, J.P.; Saudi Arabia National Commission for Wildlife Conservation and Development. Flora of Eastern Saudi Arabia; Kegan Paul International jointly with the National Commission for Wildlife Conservation and Development: London, UK, 1990; plate 64; 482p. [Google Scholar]
- Migahid, A.M. Flora of Saudi Arabia, 3rd ed.; University Libraries, King Saud University: Riyadh, Saudi Arabia, 1988. [Google Scholar]
- Al Mouslem, A.K. Antidiabetic and Hypolipidemic Potentials of Extract of Picris Babylonica in Streptozotocin-Induced Diabetic Model in Rats. Biomed Pharmacol. J. 2022, 15. [Google Scholar] [CrossRef]
- Khalil, H.E.; Abdelwahab, M.F.; Emeka, P.M.; Badger-Emeka, L.I.; Thirugnanasambantham, K.; Ibrahim, H.M.; Naguib, S.M.; Matsunami, K.; Abdel-Wahab, N.M. Ameliorative Effect of Ocimum forskolei Benth on Diabetic, Apoptotic, and Adipogenic Biomarkers of Diabetic Rats and 3T3-L1 Fibroblasts Assisted by In Silico Approach. Molecules 2022, 27, 2800. [Google Scholar] [CrossRef] [PubMed]
- Khalil, H.E.; Alharbi, A.A.; Ibrahim, I.M. In vitro antidiabetic assessment of Ocimum forskolei L growing in Saudi Arabia. J. Pharmacogn. Phytochem. 2019, 8, 355–357. [Google Scholar]
- Khalil, H.; Aljeshi, Y.; Saleh, F.; Mohamed, T. Assessment of Chemical Composition and the Antimicrobial and Antioxidant Activities of Bassia eriophora growing in Eastern Province of Saudi Arabia. J. Chem. Pharm. Res. 2017, 2017, 210–215. [Google Scholar]
- Musa, A.; Al-Muaikel, N.; Abdel-Bakky, M. Phytochemical and pharmacological evaluations of ethanolic extract of Bassia eriophora. Der Pharma Chem. 2016, 8, 169–178. [Google Scholar]
- Yusufoglu, H. Pharmacognostic and Wound Healing Studies of the Leaves of Bassia eriophora (Family: Chenopodiaceae) on Albino Rats. Annu. Res. Rev. Biol. 2015, 5, 400–408. [Google Scholar] [CrossRef]
- Yusufoglu, H.S. Analgesic, antipyretic, nephritic and antioxidant effects of the aerial parts of Bassia eriophora (Family: Chenopodiaceae) plant on rats. Asian Pac. J. Trop. Dis. 2015, 5, 559–563. [Google Scholar] [CrossRef]
- Norton, J.; Abdul Majid, S.; Allan, D.; Safran, M.; Böer, B.; Richer, R. An Illustrated Checklist of the Flora of Qatar; UNESCO Office in Doha: Doha, Qatar, 2009. [Google Scholar]
- Al-Saleh, G.; El-Din, A.; Abbas, J.; Saeed, N. Phytochemical and Biological Studies of Medicinal Plants in Bahrain: The Family Chenopodiaceae—Part 2. Int. J. Pharmacogn. 2008, 35, 38–42. [Google Scholar] [CrossRef]
- Musa, A.; Alsanea, M.; Alotaibi, N.; Alnusaire, T.; Ahmed, S.; Mostafa, E. In silico Study, Protein Kinase Inhibition and Antiproliferative Potential of Flavonoids Isolated from Bassia eriophora (Schrad.) Growing in KSA. Indian J. Pharm. Educ. Res. 2021, 55, 483–490. [Google Scholar] [CrossRef]
- Al-Yahya, M.A.; Al-Meshal, I.A.; Mossa, J.S.; Al-Badr, A.; Tariq, M. Saudi plants, A Phytochemical and Biological Approach; General Directorate of Research Grants Programs: Riyadh, Saudi Arabia, 1990; pp. 75–80. [Google Scholar]
- Wang, Z.; Zhang, Y.; Yan, H. In situ net fishing of alpha-glucosidase inhibitors from evening primrose (Oenothera biennis) defatted seeds by combination of LC-MS/MS, molecular networking, affinity-based ultrafiltration, and molecular docking. Food Funct. 2022, 13, 2545–2558. [Google Scholar] [CrossRef]
- Galhano dos Santos, R.; Bordado, J.; Mateus, M. 1H-NMR Dataset for hydroxycoumarins - Aesculetin, 4-Methylumbelliferone, and umbelliferone. Data Brief 2016. [Google Scholar] [CrossRef][Green Version]
- Luz, R.; Vieira, I.; Braz-Filho, R.; Moreira, V. 13C-NMR Data from Coumarins from Moraceae Family. Am. J. Anal. Chem. 2015, 06, 851–866. [Google Scholar] [CrossRef]
- Alqethami, A.; Aldhebiani, A.Y. Medicinal plants used in Jeddah, Saudi Arabia: Phytochemical screening. Saudi. J. Biol. Sci. 2021, 28, 805–812. [Google Scholar] [CrossRef]
- Aati, H.; El-Gamal, A.; Shaheen, H.; Kayser, O. Traditional use of ethnomedicinal native plants in the Kingdom of Saudi Arabia. J. Ethnobiol. Ethnomed. 2019, 15, 2. [Google Scholar] [CrossRef]
- Asadi-Samani, M.; Moradi, M.T.; Mahmoodnia, L.; Alaei, S.; Asadi-Samani, F.; Luther, T. Traditional uses of medicinal plants to prevent and treat diabetes; an updated review of ethnobotanical studies in Iran. J. Nephropathol. 2017, 6, 118–125. [Google Scholar] [CrossRef]
- Roman-Pintos, L.M.; Villegas-Rivera, G.; Rodriguez-Carrizalez, A.D.; Miranda-Diaz, A.G.; Cardona-Munoz, E.G. Diabetic Polyneuropathy in Type 2 Diabetes Mellitus: Inflammation, Oxidative Stress, and Mitochondrial Function. J. Diabetes Res. 2016, 2016, 3425617. [Google Scholar] [CrossRef] [PubMed]
- Bravo, R.; Cubero, J.; Franco, L.; Mesa, M.; Galan, C.; Rodriguez, A.B.; Jarne, C.; Barriga, C. Body weight gain in rats by a high-fat diet produces chronodisruption in activity/inactivity circadian rhythm. Chronobiol. Int. 2014, 31, 363–370. [Google Scholar] [CrossRef] [PubMed]
- Marques, C.; Meireles, M.; Norberto, S.; Leite, J.; Freitas, J.; Pestana, D.; Faria, A.; Calhau, C. High-fat diet-induced obesity Rat model: A comparison between Wistar and Sprague-Dawley Rat. Adipocyte 2016, 5, 11–21. [Google Scholar] [CrossRef] [PubMed]
- Mediani, A.; Abas, F.; Maulidiani, M.; Abu Bakar Sajak, A.; Khatib, A.; Tan, C.P.; Ismail, I.S.; Shaari, K.; Ismail, A.; Lajis, N.H. Metabolomic analysis and biochemical changes in the urine and serum of streptozotocin-induced normal- and obese-diabetic rats. J. Physiol. Biochem. 2018, 74, 403–416. [Google Scholar] [CrossRef] [PubMed]
- Lee, Y.F.; Sim, X.Y.; Teh, Y.H.; Ismail, M.N.; Greimel, P.; Murugaiyah, V.; Ibrahim, B.; Gam, L.H. The effects of high-fat diet and metformin on urinary metabolites in diabetes and prediabetes rat models. Biotechnol. Appl. Biochem. 2021, 68, 1014–1026. [Google Scholar] [CrossRef]
- Guo, X.X.; Wang, Y.; Wang, K.; Ji, B.P.; Zhou, F. Stability of a type 2 diabetes rat model induced by high-fat diet feeding with low-dose streptozotocin injection. J. Zhejiang Univ. Sci. B 2018, 19, 559–569. [Google Scholar] [CrossRef]
- Correia-Santos, A.M.; Suzuki, A.; Anjos, J.; Rěgo, T.S.; Almeida, K.C.L.; Boaventura, G. Induction of Type 2 Diabetes by low dose of streptozotocin and high-fat diet-fed in wistar rats. Medicina 2012, 45, 432–440. [Google Scholar]
- Srinivasan, K.; Viswanad, B.; Asrat, L.; Kaul, C.L.; Ramarao, P. Combination of high-fat diet-fed and low-dose streptozotocin-treated rat: A model for type 2 diabetes and pharmacological screening. Pharmacol. Res. 2005, 52, 313–320. [Google Scholar] [CrossRef]
- Makinde, E.A.; Radenahmad, N.; Adekoya, A.E.; Olatunji, O.J. Tiliacora triandra extract possesses antidiabetic effects in high fat diet/streptozotocin-induced diabetes in rats. J. Food Biochem. 2020, 44, e13239. [Google Scholar] [CrossRef]
- Yazdi, H.B.; Hojati, V.; Shiravi, A.; Hosseinian, S.; Vaezi, G.; Hadjzadeh, M.A. Liver Dysfunction and Oxidative Stress in Streptozotocin-Induced Diabetic Rats: Protective Role of Artemisia Turanica. J. Pharmacopunct. 2019, 22, 109–114. [Google Scholar] [CrossRef]
- Alotaibi, M.R.; Fatani, A.J.; Almnaizel, A.T.; Ahmed, M.M.; Abuohashish, H.M.; Al-Rejaie, S.S. In vivo Assessment of Combined Effects of Glibenclamide and Losartan in Diabetic Rats. Med. Princ. Pract. 2019, 28, 178–185. [Google Scholar] [CrossRef] [PubMed]
- Sheu, W.H.; Jeng, C.Y.; Lee, W.J.; Lin, S.Y.; Pei, D.; Chen, Y.T. Simvastatin treatment on postprandial hypertriglyceridemia in type 2 diabetes mellitus patients with combined hyperlipidemia. Metabolism 2001, 50, 355–359. [Google Scholar] [CrossRef] [PubMed]
- Rajaei, Z.; Hadjzadeh, M.A.; Moradi, R.; Ghorbani, A.; Saghebi, A. Antihyperglycemic and antihyperlipidemic effects of hydroalcoholic extract of Securigera securidaca seeds in streptozotocin-induced diabetic rats. Adv. Biomed. Res. 2015, 4, 33. [Google Scholar] [CrossRef] [PubMed]
- Pushparaj, P.; Tan, C.H.; Tan, B.K. Effects of Averrhoa bilimbi leaf extract on blood glucose and lipids in streptozotocin-diabetic rats. J. Ethnopharmacol. 2000, 72, 69–76. [Google Scholar] [CrossRef]
- Oza, M.J.; Kulkarni, Y.A. Formononetin Treatment in Type 2 Diabetic Rats Reduces Insulin Resistance and Hyperglycemia. Front. Pharm. 2018, 9, 739. [Google Scholar] [CrossRef] [PubMed]
- Khat-Udomkiri, N.; Toejing, P.; Sirilun, S.; Chaiyasut, C.; Lailerd, N. Antihyperglycemic effect of rice husk derived xylooligosaccharides in high-fat diet and low-dose streptozotocin-induced type 2 diabetic rat model. Food. Sci. Nutr. 2020, 8, 428–444. [Google Scholar] [CrossRef]
- Ramesh, B.; Pugalendi, V. Antihyperglycemic Effect of Umbelliferone in Streptozotocin-Diabetic Rats. J. Med. Food 2006, 9, 562–566. [Google Scholar] [CrossRef]
- Ramesh, B.; Pugalendi, K.V. Antihyperlipidemic and antidiabetic effects of umbelliferone in streptozotocin diabetic rats. Yale J. Biol. Med. 2005, 78, 189–196. [Google Scholar]
- Sim, M.O.; Ham, J.R.; Lee, H.I.; Seo, K.I.; Lee, M.K. Long-term supplementation of umbelliferone and 4-methylumbelliferone alleviates high-fat diet induced hypertriglyceridemia and hyperglycemia in mice. Chem. Biol. Interact 2014, 216, 9–16. [Google Scholar] [CrossRef]
- Kumar, V.; Ahmed, D.; Verma, A.; Anwar, F.; Ali, M.; Mujeeb, M. Umbelliferone beta-D-galactopyranoside from Aegle marmelos (L.) corr. an ethnomedicinal plant with antidiabetic, antihyperlipidemic and antioxidative activity. BMC Complement. Altern. Med. 2013, 13, 273. [Google Scholar] [CrossRef]
- Adeneye, A.A.; Adeyemi, O.O.; Agbaje, E.O. Anti-obesity and antihyperlipidaemic effect of Hunteria umbellata seed extract in experimental hyperlipidaemia. J. Ethnopharmacol. 2010, 130, 307–314. [Google Scholar] [CrossRef] [PubMed]
- Iyer, D.; Patil, U.K. Evaluation of antihyperlipidemic and antitumor activities of isolated coumarins from Salvadora indica. Pharm. Biol. 2014, 52, 78–85. [Google Scholar] [CrossRef] [PubMed]
- Ramu, R.; P, S.S.; S, N.S.; Zameer, F.; Bl, D.; M, N.N. Correction: Assessment of In Vivo Antidiabetic Properties of Umbelliferone and Lupeol Constituents of Banana (Musa sp. var. Nanjangud Rasa Bale) Flower in Hyperglycaemic Rodent Model. PLoS ONE 2016, 11, e0160048. [Google Scholar] [CrossRef] [PubMed]
- Khalil, H.E.; Ibrahim, H.M.; Ahmed, E.A.; Emeka, P.M.; Alhaider, I.A. Orientin, a Bio-Flavonoid from Trigonella hamosa L., Regulates COX-2/PGE-2 in A549 Cell Lines via miR-26b and miR-146a. Pharmaceuticals 2022, 15, 154. [Google Scholar] [CrossRef] [PubMed]
- Bin-Jumah, M. Antidiabetic Effect of Monolluma quadrangula Is Mediated via Modulation of Glucose Metabolizing Enzymes, Antioxidant Defenses, and Adiponectin in Type 2 Diabetic Rats. Oxidative Med. Cell. Longev. 2019, 2019, 1–11. [Google Scholar] [CrossRef]
- Tabassum, A.; Mahboob, T. Role of peroxisome proliferator-activated receptor-gamma activation on visfatin, advanced glycation end products, and renal oxidative stress in obesity-induced type 2 diabetes mellitus. Hum. Exp. Toxicol. 2018, 37, 1187–1198. [Google Scholar] [CrossRef]
- Davidson, E.P.; Coppey, L.J.; Holmes, A.; Dake, B.; Yorek, M.A. Effect of treatment of high fat fed/low dose streptozotocin-diabetic rats with Ilepatril on vascular and neural complications. Eur. J. Pharmacol. 2011, 668, 497–506. [Google Scholar] [CrossRef]
- Zhang, S.; Xu, H.; Yu, X.; Wu, Y.; Sui, D. Metformin ameliorates diabetic nephropathy in a rat model of low-dose streptozotocin-induced diabetes. Exp. Ther. Med. 2017, 14, 383–390. [Google Scholar] [CrossRef]
- Erten, F.; Orhan, C.; Tuzcu, M.; Er, B.; Defo Deeh, P.B.; Sahin, N.; Ozercan, I.H.; Juturu, V.; Sahin, K. Salacia chinensis exerts its antidiabetic effect by modulating glucose-regulated proteins and transcription factors in high-fat diet fed-streptozotocin-induced type 2 diabetic rats. J. Food Biochem. 2020, 44, e13513. [Google Scholar] [CrossRef]
- Liu, Z.; Li, W.; Li, X.; Zhang, M.; Chen, L.; Zheng, Y.N.; Sun, G.Z.; Ruan, C.C. Antidiabetic effects of malonyl ginsenosides from Panax ginseng on type 2 diabetic rats induced by high-fat diet and streptozotocin. J. Ethnopharmacol. 2013, 145, 233–240. [Google Scholar] [CrossRef]
- Qian, C.; Zhu, C.; Yu, W.; Jiang, X.; Zhang, F. High-Fat Diet/Low-Dose Streptozotocin-Induced Type 2 Diabetes in Rats Impacts Osteogenesis and Wnt Signaling in Bone Marrow Stromal Cells. PLoS ONE 2015, 10, e0136390. [Google Scholar] [CrossRef] [PubMed]
- Khalil, H.E.; Abdelwahab, M.F.; Emeka, P.M.; Badger-Emeka, L.I.; Abdel Hafez, S.M.N.; AlYahya, K.A.; Ahmed, A.-S.F.; Anter, A.F.; Abdel-Wahab, N.M.; Matsunami, K.; et al. Chemical Composition and Valorization of Broccoli Leaf By-Products (Brassica oleracea L. Variety: Italica) to Ameliorate Reno-Hepatic Toxicity Induced by Gentamicin in Rats. Appl. Sci. 2022, 12, 6903. [Google Scholar] [CrossRef]
- Ochocinska, A.; Snitko, R.; Czekuc-Kryskiewicz, E.; Kepka, A.; Szalecki, M.; Janas, R.M. Evaluation of the immunoradiometric and electrochemiluminescence method for the measurement of serum insulin in children. J. Immunoass. Immunochem. 2016, 37, 243–250. [Google Scholar] [CrossRef] [PubMed]
- Onishi, Y.; Hayashi, T.; Sato, K.K.; Ogihara, T.; Kuzuya, N.; Anai, M.; Tsukuda, K.; Boyko, E.J.; Fujimoto, W.Y.; Kikuchi, M. Fasting tests of insulin secretion and sensitivity predict future prediabetes in Japanese with normal glucose tolerance. J. Diabetes Investig. 2010, 1, 191–195. [Google Scholar] [CrossRef] [PubMed]
- Yesilada, E.; Gurbuz, I.; Ergun, E. Effects of Cistus laurifolius L. flowers on gastric and duodenal lesions. J. Ethnopharmacol. 1997, 55, 201–211. [Google Scholar] [CrossRef]








| Ingredients of Commercial Feed | Per 100 g |
|---|---|
| Crude protein | 14.5% |
| Fiber | 4% |
| Fat | 2.5% |
| Calcium | 1% |
| Potassium | 0.5% |
| Sodium | 0.25% |
| Copper | 6 ppm |
| Selenium | 260 ppm |
| Vitamin A | 8500 IU |
| Vitamin D | 650 IU |
| Ingredients of High-Fat Diet | Per 100 g |
|---|---|
| Normal rat chow diet | 50% |
| Lard and Fat oil | 20% |
| Casein protein | 10% |
| Sugar | 20% |
| Groups | Treatments |
|---|---|
| Negative control Diabetic control | No treatment (only distilled water) |
| Positive control STD GLB | 6 mg/kg b.w. of standard GLB dissolved in carboxymethylcellulose (CMC) sodium orally once a day |
| TME 200 | 200 mg/kg b.w. of TME suspended in sterile water once a day |
| TME 400 | 400 mg/kg b.w. of TME suspended in sterile water once a day |
| UFN 50 | 50 mg/kg b.w. of UFN in distilled water once a day |
Publisher’s Note: MDPI stays neutral with regard to jurisdictional claims in published maps and institutional affiliations. |
© 2022 by the authors. Licensee MDPI, Basel, Switzerland. This article is an open access article distributed under the terms and conditions of the Creative Commons Attribution (CC BY) license (https://creativecommons.org/licenses/by/4.0/).
Share and Cite
Al Mouslem, A.K.; Khalil, H.E.; Emeka, P.M.; Alotaibi, G. Investigation of the Chemical Composition, Antihyperglycemic and Antilipidemic Effects of Bassia eriophora and Its Derived Constituent, Umbelliferone on High-Fat Diet and Streptozotocin-Induced Diabetic Rats. Molecules 2022, 27, 6941. https://doi.org/10.3390/molecules27206941
Al Mouslem AK, Khalil HE, Emeka PM, Alotaibi G. Investigation of the Chemical Composition, Antihyperglycemic and Antilipidemic Effects of Bassia eriophora and Its Derived Constituent, Umbelliferone on High-Fat Diet and Streptozotocin-Induced Diabetic Rats. Molecules. 2022; 27(20):6941. https://doi.org/10.3390/molecules27206941
Chicago/Turabian StyleAl Mouslem, Abdulaziz K., Hany Ezzat Khalil, Promise Madu Emeka, and Ghallab Alotaibi. 2022. "Investigation of the Chemical Composition, Antihyperglycemic and Antilipidemic Effects of Bassia eriophora and Its Derived Constituent, Umbelliferone on High-Fat Diet and Streptozotocin-Induced Diabetic Rats" Molecules 27, no. 20: 6941. https://doi.org/10.3390/molecules27206941
APA StyleAl Mouslem, A. K., Khalil, H. E., Emeka, P. M., & Alotaibi, G. (2022). Investigation of the Chemical Composition, Antihyperglycemic and Antilipidemic Effects of Bassia eriophora and Its Derived Constituent, Umbelliferone on High-Fat Diet and Streptozotocin-Induced Diabetic Rats. Molecules, 27(20), 6941. https://doi.org/10.3390/molecules27206941

