HPLC Analysis and the Antioxidant and Preventive Actions of Opuntia stricta Juice Extract against Hepato-Nephrotoxicity and Testicular Injury Induced by Cadmium Exposure
Abstract
:1. Introduction
2. Results
2.1. Phytochemical Determination and Antioxidant Potentials
2.2. HPLC Analysis of PPJE
2.3. Effects of PPJE Cd-Induced Damage in Rats
2.3.1. Markers of Hepatic and Nephrotoxicity Toxicity
2.3.2. Enzymatic Antioxidants
2.3.3. Lipid Peroxidation and Protein Oxidation Indices
2.3.4. Effects of Cd Exposure on MT Concentration in Rat Liver and Kidney
2.3.5. Cadmium Estimation
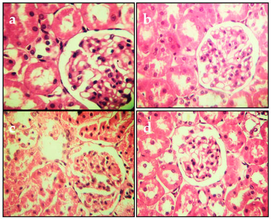
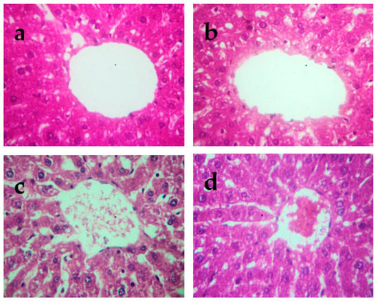
2.4. Effects on Histopathological Changes
3. Discussion
4. Materials and Methods
4.1. Preparation and Extraction of Opuntia Stricta Cladode Powder
4.2. Phytochemical Properties of O. stricta Juice Extract
4.2.1. Determination of Total Phenolic Content
4.2.2. Determination of Total Flavonoids
4.3. Antioxidant Properties of O. stricta
4.3.1. Diphenyl−2-Picrylhydrazyl (DPPH) Radical Scavenging Activity
4.3.2. Free Radical Scavenging Ability with the Use of ABTS Radical Cation (ABTS Assay)
4.4. High-Performance Liquid Chromatography Analysis (HPLC) of PPJE
4.5. Experimental Design
4.6. Biochemical Biomarker Assays
4.7. Enzymatic Antioxidant Status
4.8. Oxidative Stress Biomarkers
4.9. Determination of MT Concentration
4.10. Cadmium Estimation
4.11. Histopathological Studies
4.12. Statistical Analysis
5. Conclusions
Author Contributions
Funding
Institutional Review Board Statement
Informed Consent Statement
Data Availability Statement
Acknowledgments
Conflicts of Interest
Abbreviations
References
- Rehman, A.U.; Nazir, S.; Irshad, R.; Tahir, K.; ur Rehman, K.; Islam, R.U.; Wahab, Z. Toxicity of Heavy Metals in Plants and Animals and Their Uptake by Magnetic Iron Oxide Nanoparticles. J. Mol. Liq. 2021, 321, 114455. [Google Scholar] [CrossRef]
- Adaramoye, O.A.; Akanni, O.O. Modulatory Effects of Methanol Extract of Artocarpus Altilis (Moraceae) on Cadmium-Induced Hepatic and Renal Toxicity in Male Wistar Rats. Pathophysiology 2016, 23, 1–9. [Google Scholar] [CrossRef] [PubMed]
- Dkhil, M.A.; Al-Quraishy, S.; Diab, M.M.S.; Othman, M.S.; Aref, A.M.; Abdel Moneim, A.E. The Potential Protective Role of Physalis peruviana L. Fruit in Cadmium-Induced Hepatotoxicity and Nephrotoxicity. Food Chem. Toxicol. 2014, 74, 98–106. [Google Scholar] [CrossRef] [PubMed]
- Klaassen, C.D.; Liu, J.; Diwan, B.A. Metallothionein Protection of Cadmium Toxicity. Toxicol. Appl. Pharmacol. 2009, 238, 215–220. [Google Scholar] [CrossRef] [Green Version]
- Jihen, E.H.; Fatima, H.; Nouha, A.; Baati, T.; Imed, M.; Abdelhamid, K. Cadmium Retention Increase: A Probable Key Mechanism of the Protective Effect of Zinc on Cadmium-Induced Toxicity in the Kidney. Toxicol. Lett. 2010, 196, 104–109. [Google Scholar] [CrossRef] [PubMed]
- Buraimoh, A.; Bako, I.; Ibrahim, F.B. Hepatoprotective Effect of Ethanolic Leave Extract of Moringa Oleifera on the Histology of Paracetamol Induced Liver Damage in Wistar Rats. Int. J. Anim. Vet. Adv. 2011, 3, 10–13. [Google Scholar]
- Ognjanović, B.I.; Marković, S.D.; Ethordević, N.Z.; Trbojević, I.S.; Stajn, A.S.; Saicić, Z.S. Cadmium-Induced Lipid Peroxidation and Changes in Antioxidant Defense System in the Rat Testes: Protective Role of Coenzyme Q(10) and Vitamin E. Reprod. Toxicol. 2010, 29, 191–197. [Google Scholar] [CrossRef]
- Thijssen, S.; Cuypers, A.; Maringwa, J.; Smeets, K.; Horemans, N.; Lambrichts, I.; Van Kerkhove, E. Low Cadmium Exposure Triggers a Biphasic Oxidative Stress Response in Mice Kidneys. Toxicology 2007, 236, 29–41. [Google Scholar] [CrossRef]
- Schöpfer, J.; Drasch, G.; Schrauzer, G.N. Selenium and Cadmium Levels and Ratios in Prostates, Livers, and Kidneys of Nonsmokers and Smokers. Biol. Trace Elem. Res. 2010, 134, 180–187. [Google Scholar] [CrossRef]
- Heeba, G.H.; Abd-Elghany, M.I. Effect of Combined Administration of Ginger (Zingiber Officinale Roscoe) and Atorvastatin on the Liver of Rats. Phytomedicine 2010, 17, 1076–1081. [Google Scholar] [CrossRef]
- Tesoriere, L.; Allegra, M.; Butera, D.; Livrea, M.A. Absorption, Excretion, and Distribution of Dietary Antioxidant Betalains in LDLs: Potential Health Effects of Betalains in Humans. Am. J. Clin. Nutr. 2004, 80, 941–945. [Google Scholar] [CrossRef] [PubMed] [Green Version]
- Ncibi, S.; Ben Othman, M.; Akacha, A.; Krifi, M.N.; Zourgui, L. Opuntia Ficus Indica Extract Protects against Chlorpyrifos-Induced Damage on Mice Liver. Food Chem. Toxicol. 2008, 46, 797–802. [Google Scholar] [CrossRef] [PubMed]
- Dok-Go, H.; Lee, K.H.; Kim, H.J.; Lee, E.H.; Lee, J.; Song, Y.S.; Lee, Y.-H.; Jin, C.; Lee, Y.S.; Cho, J. Neuroprotective Effects of Antioxidative Flavonoids, Quercetin, (+)-Dihydroquercetin and Quercetin 3-Methyl Ether, Isolated from Opuntia Ficus-Indica Var. Saboten. Brain Res. 2003, 965, 130–136. [Google Scholar] [CrossRef]
- Zou, D.; Brewer, M.; Garcia, F.; Feugang, J.M.; Wang, J.; Zang, R.; Liu, H.; Zou, C. Cactus Pear: A Natural Product in Cancer Chemoprevention. Nutr. J. 2005, 4, 25. [Google Scholar] [CrossRef] [Green Version]
- Ahmad, A.; Viljoen, A. The in Vitro Antimicrobial Activity of Cymbopogon Essential Oil (Lemon Grass) and Its Interaction with Silver Ions. Phytomedicine 2015, 22, 657–665. [Google Scholar] [CrossRef]
- Park, E.H.; Kahng, J.H.; Lee, S.H.; Shin, K.H. An Anti-Inflammatory Principle from Cactus. Fitoterapia 2001, 72, 288–290. [Google Scholar] [CrossRef]
- Gentile, C.; Tesoriere, L.; Allegra, M.; Livrea, M.A.; D’Alessio, P. Antioxidant Betalains from Cactus Pear (Opuntia Ficus-Indica) Inhibit Endothelial ICAM-1 Expression. Ann. N. Y. Acad. Sci. 2004, 1028, 481–486. [Google Scholar] [CrossRef] [Green Version]
- Park, E.H.; Kahng, J.H.; Paek, E.A. Studies on the Pharmacological Action of Cactus: Identification of Its Anti-Inflammatory Effect. Arch. Pharm. Res. 1998, 21, 30–34. [Google Scholar] [CrossRef]
- Han, E.H.; Lim, M.K.; Lee, S.H.; Rahman, M.M.; Lim, Y.H. An oral toxicity test in rats and a genotoxicity study of extracts from the stems of Opuntia ficus-indica var. saboten. BMC Complement. Altern. Med. 2019, 19, 31. [Google Scholar] [CrossRef]
- Sharma, C.; Rani, S.; Kumar, B.; Kumar, A.; Raj, V. Plant opuntia dillenii: A review on its traditional uses, phytochemical and pharmacological properties. EC Pharm. Sci. 2015, 1, 29–43. [Google Scholar]
- Chahdoura, H.; Adouni, K.; Khlifi, A.; Dridi, I.; Haouas, Z.; Neffati, F.; Flamini, G.; Mosbah, H.; Achour, L. Hepatoprotective effect of Opuntia microdasys (Lehm.) Pfeiff flowers against diabetes type II induced in rats. Biomed. Pharmacother. 2017, 94, 79–87. [Google Scholar] [CrossRef] [PubMed]
- Attanzio, A.; Tesoriere, L.; Vasto, S.; Pintaudi, A.M.; Livrea, M.A.; Allegra, M. Short-term cactus pear [Opuntia ficus-indica (L.) Mill] fruit supplementation ameliorates the inflammatory profile and is associated with improved antioxidant status among healthy humans. Food Nutr. Res. 2018, 20, 62. [Google Scholar] [CrossRef] [PubMed] [Green Version]
- Yoshida, Y.; Kiso, M.; Goto, T. Efficiency of the Extraction of Catechins from Green Tea. Food Chem. 1999, 67, 429–433. [Google Scholar] [CrossRef]
- Grace, M.H.; Esposito, D.; Timmers, M.A.; Xiong, J.; Yousef, G.; Komarnytsky, S.; Lila, M.A. Chemical Composition, Antioxidant and Anti-Inflammatory Properties of Pistachio Hull Extracts. Food Chem. 2016, 210, 85–95. [Google Scholar] [CrossRef] [PubMed]
- Amamou, F.; Nemmiche, S.; Meziane, R.K.; Didi, A.; Yazit, S.M.; Chabane-Sari, D. Protective Effect of Olive Oil and Colocynth Oil against Cadmium-Induced Oxidative Stress in the Liver of Wistar Rats. Food Chem. Toxicol. 2015, 78, 177–184. [Google Scholar] [CrossRef] [PubMed]
- Firdaus, S.B.; Ghosh, D.; Chattyopadhyay, A.; Dutta, M.; Paul, S.; Jana, J.; Basu, A.; Bose, G.; Lahiri, H.; Banerjee, B.; et al. Protective Effect of Antioxidant Rich Aqueous Curry Leaf (Murraya Koenigii) Extract against Gastro-Toxic Effects of Piroxicam in Male Wistar Rats. Toxicol. Rep. 2014, 1, 987–1003. [Google Scholar] [CrossRef] [Green Version]
- Zhang, H.; Lei, Y.; Yuan, P.; Li, L.; Luo, C.; Gao, R.; Tian, J.; Feng, Z.; Nice, E.C.; Sun, J. ROS-Mediated Autophagy Induced by Dysregulation of Lipid Metabolism Plays a Protective Role in Colorectal Cancer Cells Treated with Gambogic Acid. PLoS ONE 2014, 9, e96418. [Google Scholar] [CrossRef]
- Huang, Y.-H.; Shih, C.-M.; Huang, C.-J.; Lin, C.-M.; Chou, C.-M.; Tsai, M.-L.; Liu, T.P.; Chiu, J.-F.; Chen, C.-T. Effects of Cadmium on Structure and Enzymatic Activity of Cu, Zn-SOD and Oxidative Status in Neural Cells. J. Cell Biochem. 2006, 98, 577–589. [Google Scholar] [CrossRef]
- Kippler, M.; Lönnerdal, B.; Goessler, W.; Ekström, E.-C.; Arifeen, S.E.; Vahter, M. Cadmium Interacts with the Transport of Essential Micronutrients in the Mammary Gland—A Study in Rural Bangladeshi Women. Toxicology 2009, 257, 64–69. [Google Scholar] [CrossRef]
- Romero-Puertas, M.C.; Rodríguez-Serrano, M.; Corpas, F.J.; Gómez, M.; Del Río, L.A.; Sandalio, L.M. Cadmium-Induced Subcellular Accumulation of O2− and H2O2 in Pea Leaves. Plant Cell Environ. 2004, 27, 1122–1134. [Google Scholar] [CrossRef]
- Nguyen, A.T.; Donaldson, R.P. Metal-Catalyzed Oxidation Induces Carbonylation of Peroxisomal Proteins and Loss of Enzymatic Activities. Arch. Biochem. Biophys. 2005, 439, 25–31. [Google Scholar] [CrossRef] [PubMed]
- Trabelsi, H.; Azzouz, I.; Ferchichi, S.; Tebourbi, O.; Sakly, M.; Abdelmelek, H. Nanotoxicological Evaluation of Oxidative Responses in Rat Nephrocytes Induced by Cadmium. Int. J. Nanomed. 2013, 8, 3447–3453. [Google Scholar] [CrossRef] [Green Version]
- Othman, M.S.; Nada, A.; Zaki, H.S.; Abdel Moneim, A.E. Effect of Physalis peruviana L. on Cadmium-Induced Testicular Toxicity in Rats. Biol. Trace Elem. Res. 2014, 159, 278–287. [Google Scholar] [CrossRef] [PubMed]
- Eneman, J.D.; Potts, R.J.; Osier, M.; Shukla, G.S.; Lee, C.H.; Chiu, J.F.; Hart, B.A. Suppressed Oxidant-Induced Apoptosis in Cadmium Adapted Alveolar Epithelial Cells and Its Potential Involvement in Cadmium Carcinogenesis. Toxicology 2000, 147, 215–228. [Google Scholar] [CrossRef]
- Chang, J.C.; Lin, C.C.; Wu, S.J.; Lin, D.L.; Wang, S.S.; Miaw, C.L.; Ng, L.T. Antioxidative and Hepatoprotective Effects of Physalis Peruviana Extract against Acetaminophen-Induced Liver Injury in Rats. Pharm. Biol. 2008, 46, 724–731. [Google Scholar] [CrossRef] [Green Version]
- Hermenean, A.; Ardelean, A.; Stan, M.; Herman, H.; Mihali, C.-V.; Costache, M.; Dinischiotu, A. Protective Effects of Naringenin on Carbon Tetrachloride-Induced Acute Nephrotoxicity in Mouse Kidney. Chem. Biol. Interact. 2013, 205, 138–147. [Google Scholar] [CrossRef]
- Kondoh, M.; Kamada, K.; Kuronaga, M.; Higashimoto, M.; Takiguchi, M.; Watanabe, Y.; Sato, M. Antioxidant Property of Metallothionein in Fasted Mice. Toxicol. Lett. 2003, 143, 301–306. [Google Scholar] [CrossRef]
- Morales, A.I.; Vicente-Sánchez, C.; Jerkic, M.; Santiago, J.M.; Sánchez-González, P.D.; Pérez-Barriocanal, F.; López-Novoa, J.M. Effect of Quercetin on Metallothionein, Nitric Oxide Synthases and Cyclooxygenase-2 Expression on Experimental Chronic Cadmium Nephrotoxicity in Rats. Toxicol. Appl. Pharmacol. 2006, 210, 128–135. [Google Scholar] [CrossRef]
- Kim, D.-O.; Jeong, S.W.; Lee, C.Y. Antioxidant Capacity of Phenolic Phytochemicals from Various Cultivars of Plums. Food Chem. 2003, 81, 321–326. [Google Scholar] [CrossRef]
- Zhishen, J.; Mengcheng, T.; Jianming, W. The Determination of Flavonoid Contents in Mulberry and Their Scavenging Effects on Superoxide Radicals. Food Chem. 1999, 64, 555–559. [Google Scholar] [CrossRef]
- Ozturk, H.; Kolak, U.; Meriç, Ç. Antioxidant, Anticholinesterase and Antibacterial Activities of Jurinea Consanguinea DC. Rec. Nat. Prod. 2011, 5, 43–51. [Google Scholar]
- Ozgen, M.; Reese, R.N.; Tulio, A.Z.; Scheerens, J.C.; Miller, A.R. Modified 2,2-Azino-Bis-3-Ethylbenzothiazoline-6-Sulfonic Acid (Abts) Method to Measure Antioxidant Capacity of Selected Small Fruits and Comparison to Ferric Reducing Antioxidant Power (FRAP) and 2,2′-Diphenyl-1-Picrylhydrazyl (DPPH) Methods. J. Agric. Food Chem. 2006, 54, 1151–1157. [Google Scholar] [CrossRef] [PubMed]
- Beauchamp, C.; Fridovich, I. Superoxide Dismutase: Improved Assays and an Assay Applicable to Acrylamide Gels. Anal. Biochem. 1971, 44, 276–287. [Google Scholar] [CrossRef]
- Aebi, H. Catalase in Vitro. Methods Enzymol. 1984, 105, 121–126. [Google Scholar] [CrossRef]
- Flohé, L.; Günzler, W.A. Assays of Glutathione Peroxidase. Methods Enzymol. 1984, 105, 114–121. [Google Scholar] [CrossRef]
- Niehaus, W.G.; Samuelsson, B. Formation of Malonaldehyde from Phospholipid Arachidonate during Microsomal Lipid Peroxidation. Eur. J. Biochem. 1968, 6, 126–130. [Google Scholar] [CrossRef]
- Levine, R.L.; Garland, D.; Oliver, C.N.; Amici, A.; Climent, I.; Lenz, A.G.; Ahn, B.W.; Shaltiel, S.; Stadtman, E.R. Determination of Carbonyl Content in Oxidatively Modified Proteins. Methods Enzymol. 1990, 186, 464–478. [Google Scholar] [CrossRef]
- Viarengo, A.; Ponzano, E.; Dondero, F.; Fabbri, R. A simple spectrophotometric method for metallothionein evaluation in marine organisms: An application to Mediterranean and Antarctic molluscs. Mar. Environ. Res. 1997, 44, 69–84. [Google Scholar] [CrossRef]






| Juice Extract of O. stricta Cladode | |
|---|---|
| Total phenol (mg GAE/g DW) | 24.71 ± 3.93 |
| Flavonoids (mg QE/g DW) | 8.48 ± 0.43 |
| ABTS (µM TE/g DW) | 0.061 ± 0.001 |
| Short Name | Retention Time (min) | Composition (µg/g) |
|---|---|---|
| Catechin hydrate | 6.71 | 1.43 |
| Tyrosol | 7.06 | 1.10 |
| 4-Hydroxybenzoic acid | 7.67 | 1.34 |
| Verbascoside | 8.88 | 3.12 |
| Rutin | 8.15 | 1.29 |
| Apigenin 7glucoside | 10.75 | 1.10 |
| Oleuropein | 11.95 | 1.39 |
| Quercetin | 15.40 | 0.21 |
| Pinoresinol | 15.90 | 0.11 |
| Apigenin | 16.74 | 0.27 |
| Luteolin-7-Glu | Nd | Nd |
| Group | ALT | AST | Bilirubin (µmol/L) | Creatinine (mmol/L) | Urea (mmol/L) | ||
|---|---|---|---|---|---|---|---|
| (IU/L) | (IU/L) | Total | Conjugated | Unconjugated | |||
| Control | 22.31 ± 2.31 a | 112.42 ± 9.65 a | 0.43 ± 0.08 a | 0.41 ± 0.07 a | 0.02 ± 0.00 a | 8.51 ± 0.54 a | 38.65 ± 4.65 a |
| PPJE extract | 21.54 ± 1.46 a | 114.54 ± 7.64 a | 0.38 ± 0.09 a | 0.36 ± 0.02 a | 0.02 ± 0.00 a | 11.31 ± 1.32 a | 41.32 ± 7.34 a |
| CdCl2 | 43.54 ± 2.14 c | 135.76 ± 5.74 c | 1.46 ± 0.21 c | 1.14 ± 0.06 b | 0.32 ± 0.04 c | 17.64 ± 2.21 b | 65.81 ± 5.67 c |
| CdCl2 + PPJE extract | 28.64 ± 1.65 b | 123.54 ± 5.82 b | 1.08 ± 0.13 b | 0.94 ± 0.07 b | 0.14 ± 0.06 b | 11.32 ± 1.57 a | 51.64 ± 7.07 b |
| Control | PPJE Extract | CdCl2 | CdCl2 + PPJE Extract | |
|---|---|---|---|---|
| SOD α | 28.28 ± 3.41 d | 27.37 ± 1.74 cd | 14.58 ± 2.54 a | 23.07 ± 2.04 b |
| CAT β | 37.64 ± 2.45 d | 36.85 ± 1.75 c | 19.46 ± 1.82 a | 31.25 ± 3.05 b |
| GPx γ | 362.33 ± 7.84 d | 361.05 ± 7.42 c | 337.32 ± 9.64 a | 353.61 ± 6.54 b |
| LPO δ | 0.74 ± 0.11 b | 0.72 ± 0.08 a | 1.34 ± 0.42 d | 0.93 ± 0.21 c |
| Protein carbonyl ε | 1.81 ± 0.13 b | 1.78 ± 0.21 a | 4.37 ± 0.37 d | 2.36 ± 0.17 c |
| Control | PPJE Extract | CdCl2 | CdCl2 + PPJE Extract | |
|---|---|---|---|---|
| SOD α | 41.44 ± 1.47 c | 42.24 ± 2.45 c | 18.07 ± 1.65 a | 34.51 ± 1.84 b |
| CAT β | 51.31 ± 3.14 c | 52.62 ± 1.84 c | 28.21 ± 2.74 a | 41.21 ± 1.87 b |
| GPx γ | 375.31 ± 3.24 d | 373.34 ± 5.62 c | 342.27 ± 6.04 a | 361.07 ± 7.86 b |
| LPO δ | 0.71 ± 0.12 b | 0.68 ± 0.08 a | 2.31 ± 0.32 d | 1.05 ± 0.11 c |
| Protein carbonyl ε | 1.85 ± 0.23 b | 1.77 ± 0.32 a | 6.34 ± 0.63 d | 2.74 ± 0.14 c |
| Control | PPJE Extract | CdCl2 | CdCl2 + PPJE Extract | |
|---|---|---|---|---|
| SOD α | 38.51 ± 2.07 c | 37.65 ± 1.67 c | 15.32 ± 0.84 a | 27.84 ± 2.23 b |
| CAT β | 47.21 ± 2.54 c | 48.74 ± 1.67 c | 24.82 ± 3.75 a | 38.74 ± 2.34 b |
| GPx γ | 365.31 ± 2.31 c | 364.43 ± 4.08 c | 338.72 ± 5.72 a | 357.63 ± 3.65 b |
| LPO δ | 0.65 ± 0.42 a | 0.66 ± 0.11 a | 2.23 ± 0.22 c | 1.32 ± 0.08 b |
| Protein carbonyl ε | 1.64 ± 0.34 a | 1.63 ± 0.21 a | 5.54 ± 0.37 c | 2.86 ± 0.42 b |
| Groups | Cd Concentration µg g−1 Dry Mass | |
|---|---|---|
| Liver | Kidney | |
| Control | 0.01 ± 0.00 a | 0.01 ± 0.00 a |
| PPJE extract | 0.01 ± 0.00 a | 0.01 ± 0.01 a |
| CdCl2 | 0.46 ± 0.05 c | 1.34 ± 0.08 c |
| CdCl2 + PPJE extract | 0.24 ± 0.03 b | 0.97 ± 0.07 b |
Publisher’s Note: MDPI stays neutral with regard to jurisdictional claims in published maps and institutional affiliations. |
© 2022 by the authors. Licensee MDPI, Basel, Switzerland. This article is an open access article distributed under the terms and conditions of the Creative Commons Attribution (CC BY) license (https://creativecommons.org/licenses/by/4.0/).
Share and Cite
Zhu, X.; Athmouni, K. HPLC Analysis and the Antioxidant and Preventive Actions of Opuntia stricta Juice Extract against Hepato-Nephrotoxicity and Testicular Injury Induced by Cadmium Exposure. Molecules 2022, 27, 4972. https://doi.org/10.3390/molecules27154972
Zhu X, Athmouni K. HPLC Analysis and the Antioxidant and Preventive Actions of Opuntia stricta Juice Extract against Hepato-Nephrotoxicity and Testicular Injury Induced by Cadmium Exposure. Molecules. 2022; 27(15):4972. https://doi.org/10.3390/molecules27154972
Chicago/Turabian StyleZhu, Xiaoli, and Khaled Athmouni. 2022. "HPLC Analysis and the Antioxidant and Preventive Actions of Opuntia stricta Juice Extract against Hepato-Nephrotoxicity and Testicular Injury Induced by Cadmium Exposure" Molecules 27, no. 15: 4972. https://doi.org/10.3390/molecules27154972
APA StyleZhu, X., & Athmouni, K. (2022). HPLC Analysis and the Antioxidant and Preventive Actions of Opuntia stricta Juice Extract against Hepato-Nephrotoxicity and Testicular Injury Induced by Cadmium Exposure. Molecules, 27(15), 4972. https://doi.org/10.3390/molecules27154972

