Different Fruit-Specific Promoters Drive AtMYB12 Expression to Improve Phenylpropanoid Accumulation in Tomato
Abstract
1. Introduction
2. Results
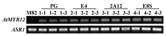
2.1. Effects of Fruit-Specific Promoters Regulating AtMYB12 Expression in Tomato Fruits
2.2. Expression of AtMYB12 Driven by Different Fruit Specific Promoters Increased Phenylpropanoid Accumulation in Varying Degrees
2.3. Expression of AtMYB12 Alters the Genes Expressed in the Phenylpropanoid Biosynthesis Pathway
2.4. Expressing of AtMYB12 with Fruit Specific Promoters Lead to a Significant Rise of Total Antioxidant Capacity
3. Discussion
4. Materials and Methods
4.1. Plant Materials and Growth Conditions
4.2. Strain Construction and Transformation
4.3. Quantifcation of Phenylpropanoid
4.4. Quantitative Reverse-Transcription PCR(qRT-PCR)
4.5. Total Antioxidant Activity
4.6. Statistical Analyses
5. Conclusions
Supplementary Materials
Author Contributions
Funding
Institutional Review Board Statement
Informed Consent Statement
Data Availability Statement
Conflicts of Interest
Sample Availability
References
- Bravo, L. Polyphenols: Chemistry, dietary sources, metabolism, and nutritional significance. Nutr. Rev. 1998, 56, 317–333. [Google Scholar] [CrossRef] [PubMed]
- Zhang, Y.; Butelli, E.; Alseekh, S.; Tohge, T.; Rallapalli, G.; Luo, J.; Kawar, P.G.; Hill, L.; Santino, A.; Fernie, A.R.; et al. Multi-level engineering facilitates the production of phenylpropanoid compounds in tomato. Nat. Commun. 2015, 6, 8635. [Google Scholar] [CrossRef] [PubMed]
- Tohge, T.; Scossa, F.; Wendenburg, R.; Frasse, P.; Balbo, I.; Watanabe, M.; Alseekh, S.; Jadhav, S.S.; Delfin, J.C.; Lohse, M.; et al. Exploiting natural variation in tomato to define pathway structure and metabolic regulation of fruit polyphenolics in the lycopersicum complex. Mol. Plant 2020, 13, 1027–1046. [Google Scholar] [CrossRef] [PubMed]
- Ding, X.Y.; Zhang, H.M.; Li, M.; Yin, Z.Y.; Chu, Z.H.; Zhao, X.Y.; Li, Y.; Ding, X.H. AtMYB12-expressing transgenic tobacco increases resistance to several phytopathogens and aphids. Front. Agron. 2021. [Google Scholar] [CrossRef]
- Brunetti, C.; Fini, A.; Sebastiani, F.; Gori, A.; Tattini, M. Modulation of phytohormone signaling: A primary function of flavonoids in plant-environment interactions. Front. Plant Sci. 2018, 9, 1042. [Google Scholar] [CrossRef]
- Yang, W.; Xu, X.N.; Li, Y.; Wang, Y.Z.; Li, M.; Wang, Y.; Ding, X.H.; Chu, Z.H. Rutin-mediated priming of plant resistance to three bacterial pathogens initiating the early sa signal pathway. PLoS ONE 2016, 11, e0146910. [Google Scholar] [CrossRef]
- Jia, Z.H.; Zou, B.H.; Wang, X.M.; Qiu, J.; Ma, H.; Gou, Z.H.; Song, S.S.; Dong, H.S. Quercetin-induced H2O2 mediates the pathogen resistance against Pseudomonas syringae pv. Tomato DC3000 in Arabidopsis thaliana. Biochem. Biophys. Res. Commun. 2010, 396, 522–527. [Google Scholar] [CrossRef]
- Martínez, G.; Regente, M.; Jacobi, S.; Rio, M.D.; Pinedo, M.; Canal, L.D.L. Chlorogenic acid is a fungicide active against phytopathogenic fungi. Pestic. Biochem. Physiol. 2017, 140, 30–35. [Google Scholar] [CrossRef]
- Su, M.M.; Liu, F.; Luo, Z.; Wu, H.H.; Zhang, X.X.; Wang, D.Y.; Zhu, Y.Z.; Sun, Z.L.; Xu, W.M.; Miao, Y. The antibacterial activity and mechanism of chlorogenic acid against foodborne pathogen Pseudomonas aeruginosa. Foodborne Pathog. Dis. 2019, 16, 823–830. [Google Scholar] [CrossRef]
- Agati, G.; Brunetti, C.; Di Ferdinando, M.; Ferrini, F.; Pollastri, S.; Tattini, M. Functional roles of flavonoids in photoprotection: New evidence, lessons from the past. Plant Physiol. Biochem. 2013, 72, 35–45. [Google Scholar] [CrossRef]
- Li, B.; Fan, R.; Sun, G.; Sun, T.; Fan, Y.; Bai, S.; Guo, S.; Huang, S.; Liu, J.; Zhang, H.; et al. Flavonoids improve drought tolerance of maize seedlings by regulating the homeostasis of reactive oxygen species. Plant Soil 2021, 461, 389–405. [Google Scholar] [CrossRef]
- Brunetti, C.; Di Ferdinando, M.; Fini, A.; Pollastri, S.; Tattini, M. Flavonoids as antioxidants and developmental regulators: Relative significance in plants and humans. Int. J. Mol. Sci. 2013, 14, 3540–3555. [Google Scholar] [CrossRef]
- Korkina, L.; Kostyuk, V.; De Luca, C.; Pastore, S. Plant phenylpropanoids as emerging anti-inflammatory agents. Mini-Rev. Med. Chem. 2011, 11, 823–835. [Google Scholar] [CrossRef]
- Carvalho, A.A.; Andrade, L.N.; de Sousa, E.B.V.; de Sousa, D.P. Antitumor phenylpropanoids found in essential oils. Biomed. Res. Int. 2015, 2015, 21. [Google Scholar] [CrossRef]
- El-Khadragy, M.F.; Al-Megrin, W.A.; Alomar, S.; Alkhuriji, A.F.; Metwally, D.M.; Mahgoub, S.; Amin, H.K.; Habotta, O.A.; Moneim, A.E.A.; Albeltagy, R.S. Chlorogenic acid abates male reproductive dysfunction in arsenic-exposed mice via attenuation of testicular oxido-inflammatory stress and apoptotic responses. Chem. Biol. Interact. 2021, 333, 109333. [Google Scholar] [CrossRef] [PubMed]
- Clifford, M.N.; Kerimi, A.; Williamson, G. Bioavailability and metabolism of chlorogenic acids (acyl-quinic acids) in humans. Compr. Rev. Food. Sci. Food Saf. 2020, 19, 1299–1352. [Google Scholar] [CrossRef] [PubMed]
- Bagdas, D.; Gul, Z.; Meade, J.A.; Cam, B.; Cinkilic, N.; Gurun, M.S. Pharmacologic overview of chlorogenic acid and its metabolites in chronic pain and inflammation. Curr. Neuropharmacol. 2020, 18, 216–228. [Google Scholar] [CrossRef]
- Tufarelli, V.; Casalino, E.; D’Alessandro, A.G.; Laudadio, V. Dietary phenolic compounds: Biochemistry, metabolism and significance in animal and human health. Curr. Drug Metab. 2017, 18, 905–913. [Google Scholar] [CrossRef]
- Chiara, D.L.; Francesca, C.; Simone, B.; Creina, S.; Patrizia, R. Polyphenols and human health: The role of bioavailability. Nutrients 2021, 13, 273. [Google Scholar] [CrossRef]
- Salvamani, S.; Gunasekaran, B.; Shaharuddin, N.A.; Ahmad, S.A.; Shukor, M.Y. Antiartherosclerotic effects of plant flavonoids. Biomed. Res. Int. 2014, 2014. [Google Scholar] [CrossRef] [PubMed]
- Zhou, Q.Y.; Pan, H.; Li, J. Molecular insights into potential contributions of natural polyphenols to lung cancer treatment. Cancers 2019, 11, 1565. [Google Scholar] [CrossRef]
- Survay, N.S.; Upadhyaya, C.P.; Kumar, B.; Young, K.E.; Yoon, D.Y.; Park, S.W. New genera of flavonols and flavonol derivatives as therapeutic molecules. J. Korean Soc. Biol. Chem. 2011, 54, 1–18. [Google Scholar] [CrossRef]
- Chua, L.S. A review on plant-based rutin extraction methods and its pharmacological activities. J. Ethnopharmacol. 2013, 150, 805–817. [Google Scholar] [CrossRef]
- Pathak, L.; Agrawal, Y.; Dhir, A. Natural polyphenols in the management of major depression. Expert. Opin. Investig. Drugs 2013, 22, 863–880. [Google Scholar] [CrossRef]
- Naseri, R.; Farzaei, F.; Fakhri, S.; El-Senduny, F.F.; Altouhamy, M.; Bahramsoltani, R.; Ebrahimi, F.; Rahimi, R.; Farzaei, M.H. Polyphenols for diabetes associated neuropathy: Pharmacological targets and clinical perspective. J. Pharm. Sci. 2019, 27, 781–798. [Google Scholar] [CrossRef] [PubMed]
- Amato, A.; Terzo, S.; Mule, F. Natural compounds as beneficial antioxidant agents in neurodegenerative disorders: A focus on alzheimer’s disease. Antioxidants 2019, 8, 608. [Google Scholar] [CrossRef]
- Liu, J.; Osbourn, A.; Ma, P. MYB transcription factors as regulators of phenylpropanoid metabolism in plants. Mol. Plant 2015, 8, 689–708. [Google Scholar] [CrossRef]
- Vimolmangkang, S.; Han, Y.; Wei, G.; Korban, S.S. An apple MYB transcription factor, MdMYB3, is involved in regulation of anthocyanin biosynthesis and flower development. BMC Plant Biol. 2013, 13, 176. [Google Scholar] [CrossRef]
- Ashutosh, P.; Prashant, M.; Dharmendra, C.; Reena, Y.; Ridhi, G.; Sweta, B.; Indraneel, S.; Ritu, T.; Kumar, T.P. AtMYB12 expression in tomato leads to large scale differential modulation in transcriptome and flavonoid content in leaf and fruit tissues. Sci. Rep. 2015, 5, 12412. [Google Scholar] [CrossRef]
- Wang, S.L.; Chu, Z.H.; Jia, R.; Dan, F.; Shen, X.L.; Li, Y.; Ding, X.H. SlMYB12 regulates flavonol synthesis in three different cherry tomato varieties. Sci. Rep. 2018, 8, 387–392. [Google Scholar] [CrossRef]
- Frank, M.; Harald, K.; Pawel, B.; Bernd, W. The arabidopsis transcription factor MYB12 is a flavonol-specific regulator of phenylpropanoid biosynthesis. Plant Physiol. 2005, 138, 1083–1096. [Google Scholar] [CrossRef]
- Kowalczyk, T.; Wieczfinska, J.; Skala, E.; Sliwinski, T.; Sitarek, P. Transgenesis as a tool for the efficient production of selected secondary metabolites from plant in vitro cultures. Plants 2020, 9, 132. [Google Scholar] [CrossRef]
- Pandey, R.; Gupta, A.; Chowdhary, A.; Pal, R.K.; Rajam, M.V. Over-expression of mouse ornithine decarboxylase gene under the control of fruit-specific promoter enhances fruit quality in tomato. Plant Mol. Biol. 2015, 87, 249–260. [Google Scholar] [CrossRef]
- Madhulatha, P.; Gupta, A.; Gupta, S.; Kumar, A.; Pal, R.K.; Rajam, M.V. Fruit-specific over-expression of human S-adenosylmethionine decarboxylase gene results in polyamine accumulation and affects diverse aspects of tomato fruit development and quality. J. Plant Biochem. Biot. 2014, 23, 151–160. [Google Scholar] [CrossRef]
- Bhat, D.S.; Anjanasree, K.N.; Lenka, S.K.; Bansal, K.C. Isolation and characterization of fruit-specific promoters ACS4 and EXP1 from tomato (Solanum lycopersicum L.). J. Plant Biochem. Biot. 2010, 19, 51–57. [Google Scholar] [CrossRef]
- Deikman, J.; Kline, R.; Fischer, R.L. Organization of ripening and ethylene regulatory regions in a fruit-specific promoter from tomato (Lycopersicon-esculentum). Plant Physiol. 1992, 100, 2013–2017. [Google Scholar] [CrossRef] [PubMed]
- He, Z.M.; Jiang, X.L.; Qi, Y.; Luo, D.Q. Assessment of the utility of the tomato fruit-specific E8 promoter for driving vaccine antigen expression. Genetica 2008, 133, 207–214. [Google Scholar] [CrossRef] [PubMed]
- Kurokawa, N.; Hirai, T.; Takayama, M.; Hiwasa-Tanase, K.; Ezura, H. An E8 promoter-hsp terminator cassette promotes the high-level accumulation of recombinant protein predominantly in transgenic tomato fruits: A case study of miraculin. Plant Cell Rep. 2013, 32, 529–536. [Google Scholar] [CrossRef]
- Kesanakurti, D.; Kolattukudy, P.E.; Kirti, P.B. Fruit-specific overexpression of wound-induced tap1 under E8 promoter in tomato confers resistance to fungal pathogens at ripening stage. Physiol. Plantarum. 2012, 146, 136–148. [Google Scholar] [CrossRef]
- Goulao, L.F.; Cosgrove, D.J.; Oliveira, C.M. Cloning, characterisation and expression analyses of cDNA clones encoding cell wall-modifying enzymes isolated from ripe apples. Postharvest. Biol. Technol. 2008, 48, 37–51. [Google Scholar] [CrossRef]
- Griffiths, A.; Prestage, S.; Linforth, R.; Zhang, J.L.; Taylor, A.; Grierson, D. Fruit-specific lipoxygenase suppression in antisense-transgenic tomatoes. Postharvest. Biol. Technol. 1999, 17, 163–173. [Google Scholar] [CrossRef]
- Vanhaaren, M.J.J.; Houck, C.M. Strong negative and positive regulatory elements contribute to the high-level fruit-specific expression of the tomato 2A11 gene. Plant Mol. Biol. 1991, 17, 615–630. [Google Scholar] [CrossRef]
- Li, Y.; Chen, M.; Wang, S.L.; Ning, J.; Ding, X.H.; Chu, Z.H. AtMYB11 regulates caffeoylquinic acid and flavonol synthesis in tomato and tobacco. Plant Cell Tissue Organ Cult. 2015, 122, 309–319. [Google Scholar] [CrossRef]
- Xu, R.; Goldman, S.; Coupe, S.; Deikman, J. Ethylene control of E4 transcription during tomato fruit ripening involves two cooperative cis elements. Plant Mol. Biol. 1996, 31, 1117–1127. [Google Scholar] [CrossRef] [PubMed]
- Penarrubia, L.; Aguilar, M.; Margossian, L.; Fischer, R.L. An antisense gene stimulates ethylene hormone production during tomato fruit ripening. Plant Cell 1992, 4, 681–687. [Google Scholar] [CrossRef]
- Bird, C.R.; Smith, C.J.S.; Ray, J.A.; Moureau, P.; Bevan, M.W.; Bird, A.S.; Hughes, S.; Morris, P.C.; Grierson, D.; Schuch, W. The tomato polygalacturonase gene and ripening-specific expression in transgenic plants. Plant Mol. Biol. 1988, 11, 651–662. [Google Scholar] [CrossRef]
- Mao, Z.C.; Yu, Q.J.; Zhen, W.; Guo, J.Y.; Hu, Y.L.; Gao, Y.; Lin, Z.P. Expression of ipt gene driven by tomato fruit specific promoter and its effects on fruit development of tomato. Chin. Sci. Bull. 2002, 47, 928–933. [Google Scholar] [CrossRef]
- Pear, J.R.; Ridge, N.; Rasmusgen, R.; Rose, R.E.; Houck, C.M. Isolation and characterization of a fruit-specific cdna and the corresponding genomic clone from tomato. Plant Mol. Biol. 1989, 13, 639–651. [Google Scholar] [CrossRef] [PubMed]
- Barreca, D.; Trombetta, D.; Smeriglio, A.; Mandalari, G.; Romeo, O.; Felice, M.R.; Gattuso, G.; Nabavi, S.M. Food flavonols: Nutraceuticals with complex health benefits and functionalities. Trends Food Sci. Technol. 2021, 17, 194–204. [Google Scholar] [CrossRef]
- Kimura, S.; Sinha, N. Tomato (Solanum lycopersicum): A model fruit-bearing crop. Cold Spring Harb. Protoc. 2008, 2008. [Google Scholar] [CrossRef]
- Meng, X.L.; Zhao, X.C.; Ding, X.Y.; Li, Y.; Cao, G.D.; Chu, Z.H.; Su, X.L.; Liu, Y.C.; Chen, X.F.; Guo, J.; et al. Integrated functional omics analysis of flavonoid-related metabolism in atmyb12 transcript factor overexpressed tomato. J. Agric. Food Chem. 2020, 68, 6776–6787. [Google Scholar] [CrossRef]
- Yin, T.; Zhang, S.L.; Liu, J.M.; Chen, D.M. Approaches to improve heterogeneous gene expression in transgenic plants. J. Agr. Sci. Camb. 2006, 3, 75–81. [Google Scholar] [CrossRef]
- Ambawat, S.; Sharma, P.; Yadav, N.R.; Yadav, R.C. MYB transcription factor genes as regulators for plant responses: An overview. Physiol. Mol. Biol. Plants 2013, 19, 307–321. [Google Scholar] [CrossRef]
- Saito, K.; Yonekura-Sakakibara, K.; Nakabayashi, R.; Higashi, Y.; Yamazaki, M.; Tohge, T.; Fernie, A.R. The flavonoid biosynthetic pathway in arabidopsis: Structural and genetic diversity. Plant Physiol. Biochem. 2013, 72, 21–34. [Google Scholar] [CrossRef]
- Zhao, L.X. Cloning and DNA sequence analysis of element responsive to ethylene in E8 promoter of the tomato. Acta Hortic. 2004, 2, 204. [Google Scholar] [CrossRef]
- Zhang, H.; Tsao, R. Dietary polyphenols, oxidative stress and antioxidant and anti-inflammatory effects. Curr. Opin. Food Sci. 2016, 8, 33–42. [Google Scholar] [CrossRef]
- Araujo, J.R.; Goncalves, P.; Martel, F. Chemopreventive effect of dietary polyphenols in colorectal cancer cell lines. Nutr. Res. 2011, 31, 77–87. [Google Scholar] [CrossRef]
- Zhang, Y.; De Stefano, R.; Robine, M.; Butelli, E.; Bulling, K.; Hill, L.; Rejzek, M.; Martin, C.; Schoonbeek, H.J. Different reactive oxygen species scavenging properties of flavonoids determine their abilities to extend the shelf life of tomato. Plant Physiol. 2015, 169, 1568–1583. [Google Scholar] [CrossRef][Green Version]
- Carter, J.D.; Pereira, A.; Dickerman, A.W.; Veilleux, R.E. An active Ac/Ds transposon system for activation tagging in tomato cultivar M82 using clonal propagation. Plant Physiol. 2013, 162, 145–156. [Google Scholar] [CrossRef]
- HAMZA, S.; CHUPEAU, Y. Re-evaluation of conditions for plant regeneration and Agrobacterium-mediated transformation from tomato (Lycopersicon esculentum). J. Exp. Bot. 1993, 44, 1837–1845. [Google Scholar] [CrossRef]





| Line | diCQA 1 (mg/g) FW 4 | Fold Increase | QueRut 2 (mg/g) FW | Fold Increase | KaeRut 3 (mg/g) FW | Fold Increase | Phenylpro-Panoids (mg/g) FW | Fold Increase |
|---|---|---|---|---|---|---|---|---|
| M82 5 | 0.23 ± 0.05 a | 0.59 ± 0.07 a | 0.15 ± 0.02 a | 0.97 ± 0.11 a | ||||
| PPGA 6-1 | 0.46 ± 0.09 b | 2.00 | 1.25 ± 0.15 b | 2.12 | 1.02 ± 0.16 b | 6.80 | 2.73 ± 0.19 b | 2.81 |
| PPGA-2 | 0.85 ± 0.17 b | 3.70 | 2.01 ± 0.17 b | 3.41 | 0.90 ± 0.10 b | 6.00 | 3.76 ± 0.23 b | 3.88 |
| PPGA-3 | 1.02 ± 0.11 b | 4.43 | 2.11 ± 0.13 b | 3.58 | 1.03 ± 0.09 b | 6.87 | 4.16 ± 0.17 b | 4.29 |
| PPGA-4 | 0.94 ± 0.02 b | 4.09 | 1.74 ± 0.10 b | 2.95 | 0.81 ± 0.12 b | 5.40 | 3.49 ± 0.20 b | 3.60 |
| PPGA-5 | 0.76 ± 0.09 b | 3.30 | 1.67 ± 0.09 b | 2.83 | 0.92 ± 0.15 b | 6.13 | 3.35 ± 0.15 b | 3.45 |
| PPGA-6 | 0.67 ± 0.04 b | 2.91 | 1.36 ± 0.04 b | 2.31 | 1.04 ± 0.09 b | 6.93 | 3.07 ± 0.09 b | 3.16 |
| PPGA-7 | 0.88 ± 0.07 b | 3.83 | 1.50 ± 0.07 b | 2.54 | 1.02 ± 0.10 b | 6.80 | 3.40 ± 0.15 b | 3.51 |
| PPGA-8 | 0.64 ± 0.05 b | 2.78 | 1.45 ± 0.05 b | 2.46 | 0.95 ± 0.05 b | 6.33 | 3.04 ± 0.09 b | 3.13 |
| PPGA-9 | 0.71 ± 0.10 b | 3.09 | 1.40 ± 0.05 b | 2.37 | 0.72 ± 0.09 b | 4.80 | 2.83 ± 0.11 b | 2.92 |
| PPGA-10 | 0.82 ± 0.04 b | 3.57 | 1.55 ± 0.09 b | 2.63 | 0.74 ± 0.12 b | 4.93 | 3.11 ± 0.18 b | 3.21 |
| Line | diCQA 1 (mg/g) FW 4 | Fold Increase | QueRut 2 (mg/g) FW | Fold Increase | KaeRut 3 (mg/g) FW | Fold Increase | Phenylpro-Panoids (mg/g) FW | Fold Increase |
|---|---|---|---|---|---|---|---|---|
| M82 5 | 0.23 ± 0.04 a | 0.59 ± 0.01 a | 0.15 ± 0.02 a | 0.97 ± 0.06 a | ||||
| PE4A 6-1 | 1.45 ± 0.07 b | 6.30 | 2.35 ± 0.28 b | 3.98 | 0.68 ± 0.14 b | 4.53 | 4.48 ± 0.11 b | 4.62 |
| PE4A-2 | 1.35 ± 0.15 b | 5.87 | 2.02 ± 0.15 b | 3.42 | 0.73 ± 0.07 b | 4.87 | 4.11 ± 0.09 b | 4.24 |
| PE4A-3 | 1.31 ± 0.18 b | 5.70 | 2.01 ± 0.33 b | 3.41 | 0.55 ± 0.08 b | 3.67 | 3.87 ± 0.04 b | 3.99 |
| PE4A-4 | 1.01 ± 0.08 b | 4.39 | 1.88 ± 0.42 b | 3.19 | 0.21 ± 0.01 b | 1.40 | 3.10 ± 0.02 b | 3.20 |
| PE4A-5 | 0.67 ± 0.02 b | 2.91 | 1.73 ± 0.10 b | 2.93 | 0.20 ± 0.09 b | 1.33 | 2.60 ± 0.04 b | 2.68 |
| PE4A-6 | 0.81 ± 0.07 b | 3.52 | 2.02 ± 0.01 b | 3.42 | 0.44 ± 0.07 b | 2.93 | 3.27 ± 0.10 b | 3.37 |
| PE4A-7 | 0.59 ± 0.11 b | 2.57 | 1.99 ± 0.84 b | 3.37 | 0.36 ± 0.17 b | 2.40 | 2.93 ± 0.09 b | 3.02 |
| PE4A-8 | 0.47 ± 0.08 b | 2.04 | 2.46 ± 0.66 b | 4.17 | 0.52 ± 0.02 b | 3.47 | 3.46 ± 0.15 b | 3.57 |
| PE4A-9 | 0.62 ± 0.11 b | 2.70 | 2.05 ± 0.07 b | 3.47 | 0.35 ± 0.14 b | 2.33 | 3.02 ± 0.04 b | 3.11 |
| PE4A-10 | 0.77 ± 0.02 b | 3.35 | 1.93 ± 0.10 b | 3.27 | 0.74 ± 0.04 b | 4.93 | 3.45 ± 0.07 b | 3.56 |
| Line | diCQA 1 (mg/g) FW 4 | Fold Increase | QueRut 2 (mg/g) FW | Fold Increase | KaeRut 3 (mg/g) FW | Fold Increase | Phenylpro-Panoids (mg/g) FW | Fold Increase |
|---|---|---|---|---|---|---|---|---|
| M82 5 | 0.23 ± 0.01 a | 0.59 ± 0.07 a | 0.15 ± 0.01 a | 0.97 ± 0.03 a | ||||
| P2AA 6-1 | 0.56 ± 0.07 b | 2.43 | 3.51 ± 0.21 b | 5.95 | 1.03 ± 0.06 b | 6.87 | 5.10 ± 0.21 b | 5.26 |
| P2AA-2 | 0.65 ± 0.03 b | 2.83 | 3.45 ± 0.15 b | 5.85 | 0.89 ± 0.04 b | 5.93 | 5.00 ± 0.19 b | 5.15 |
| P2AA-3 | 0.32 ± 0.04 b | 1.39 | 3.13 ± 0.10 b | 5.31 | 1.22 ± 0.08 b | 8.13 | 4.68 ± 0.11 b | 4.82 |
| P2AA-4 | 0.79 ± 0.06 b | 3.43 | 2.85 ± 0.09 b | 4.83 | 0.95 ± 0.04 b | 6.33 | 4.58 ± 0.07 b | 4.72 |
| P2AA-5 | 1.21 ± 0.10 b | 5.26 | 2.68 ± 0.07 b | 4.54 | 1.12 ± 0.09 b | 7.47 | 5.02 ± 0.13 b | 5.18 |
| P2AA-6 | 1.03 ± 0.06 b | 4.48 | 1.55 ± 0.06 b | 2.63 | 0.54 ± 0.02 b | 3.60 | 3.13 ± 0.04 b | 3.23 |
| P2AA-7 | 0.95 ± 0.01 b | 4.13 | 3.01 ± 0.17 b | 5.10 | 1.73 ± 0.13 b | 11.53 | 5.70 ± 0.23 b | 5.88 |
| P2AA-8 | 1.12 ± 0.04 b | 4.87 | 2.02 ± 0.11 b | 3.42 | 1.25 ± 0.09 b | 8.33 | 4.40 ± 0.15 b | 4.54 |
| P2AA-9 | 0.89 ± 0.02 b | 3.87 | 2.01 ± 0.04 b | 3.41 | 0.71 ± 0.02 b | 4.73 | 3.60 ± 0.09 b | 3.71 |
| P2AA-10 | 1.02 ± 0.05 b | 4.43 | 2.42 ± 0.11 b | 4.10 | 1.01 ± 0.06 b | 6.73 | 4.44 ± 0.20 b | 4.58 |
| Line | diCQA 1 (mg/g) FW 4 | Fold Increase | QueRut 2 (mg/g) FW | Fold Increase | KaeRut 3 (mg/g) FW | Fold Increase | Phenylpro-Panoids (mg/g) FW | Fold Increase |
|---|---|---|---|---|---|---|---|---|
| M82 5 | 0.23 ± 0.02 a | 0.59 ± 0.02 a | 0.15 ± 0.01 a | 0.97 ± 0.05 a | ||||
| PE8SA 6-1 | 2.84 ± 0.09 b | 12.35 | 10.25 ± 0.41 b | 17.37 | 2.32 ± 0.10 b | 15.47 | 15.41 ± 0.26 b | 15.89 |
| PE8SA-2 | 2.15 ± 0.04 b | 9.35 | 5.12 ± 0.26 b | 8.68 | 2.00 ± 0.07 b | 13.33 | 9.28 ± 0.21 b | 9.57 |
| PE8SA-3 | 1.32 ± 0.01 b | 5.74 | 3.15 ± 0.10 b | 5.34 | 1.01 ± 0.08 b | 6.73 | 5.49 ± 0.14 b | 5.66 |
| PE8SA-4 | 0.56 ± 0.02 b | 2.43 | 1.12 ± 0.07 b | 1.90 | 3.01 ± 0.11 b | 20.07 | 4.70 ± 0.11 b | 4.85 |
| PE8SA-5 | 1.22 ± 0.03 b | 5.30 | 6.12 ± 0.21 b | 10.37 | 2.14 ± 0.09 b | 14.27 | 9.48 ± 0.17 b | 9.77 |
| PE8SA-6 | 1.95 ± 0.09 b | 8.48 | 2.15 ± 0.10 b | 3.64 | 0.90 ± 0.01 b | 6.00 | 5.01 ± 0.10 b | 5.16 |
| PE8SA-7 | 1.02 ± 0.03 b | 4.43 | 5.15 ± 0.25 b | 8.73 | 0.55 ± 0.06 b | 3.67 | 6.72 ± 0.09 b | 6.93 |
| PE8SA-8 | 0.49 ± 0.08 b | 2.13 | 9.23 ± 0.33 b | 15.64 | 1.25 ± 0.09 b | 8.33 | 10.96 ± 0.21 b | 11.30 |
| PE8SA-9 | 0.98 ± 0.04 b | 4.26 | 4.22 ± 0.17 b | 7.15 | 0.85 ± 0.07 b | 5.67 | 6.05 ± 0.15 b | 6.24 |
| PE8SA-10 | 0.87 ± 0.01 b | 3.78 | 3.92 ± 0.11 b | 6.64 | 0.68 ± 0.02 b | 4.53 | 5.48 ± 0.18 b | 5.65 |
| Line | diCQA 1 (mg/g) FW 4 | Fold Increase | QueRut 2 (mg/g) FW | Fold Increase | KaeRut 3 (mg/g) FW | Fold Increase | Phenylpro-Panoids (mg/g) FW | Fold Increase |
|---|---|---|---|---|---|---|---|---|
| M82 5 | 0.21 ± 0.02 a | 0.51 ± 0.05 a | 0.12 ± 0.01 a | 0.84 ± 0.02 a | ||||
| PPGA 6-1 | 0.43 ± 0.06 b | 2.05 | 1.29 ± 0.07 b | 2.53 | 0.76 ± 0.01 b | 6.33 | 2.48 ± 0.10 b | 2.95 |
| PPGA-4 | 0.93 ± 0.06 b | 4.43 | 1.69 ± 0.07 b | 3.31 | 0.62 ± 0.01 b | 5.17 | 3.24 ± 0.10 b | 3.86 |
| PPGA-5 | 0.75 ± 0.09 b | 3.57 | 1.71 ± 0.09 b | 3.35 | 0.65 ± 0.06 b | 5.42 | 3.11 ± 0.09 b | 3.70 |
| PPGA-10 | 0.50 ± 0.06 b | 2.67 | 1.71 ± 0.09 b | 3.35 | 0.52 ± 0.03 b | 4.33 | 2.73 ± 0.08 b | 3.25 |
| PE4 7A-1 | 1.40 ± 0.05 b | 6.67 | 2.20 ± 0.16 b | 4.31 | 0.55 ± 0.03 b | 4.58 | 4.15 ± 0.14 b | 4.94 |
| PE4A-3 | 1.24 ± 0.01 b | 5.90 | 1.85 ± 0.11 b | 3.63 | 0.50 ± 0.02 b | 4.17 | 3.59 ± 0.10 b | 4.27 |
| PE4A-4 | 1.04 ± 0.04 b | 4.95 | 1.64 ± 0.03 b | 3.22 | 0.23 ± 0.01 b | 1.92 | 2.91 ± 0.03 b | 3.46 |
| PE4A-6 | 0.83 ± 0.09 b | 3.95 | 1.88 ± 0.03 b | 3.69 | 0.37 ± 0.03 b | 3.08 | 3.08 ± 0.11 b | 3.67 |
| P2AA 8-2 | 0.65 ± 0.03 b | 3.10 | 2.76 ± 0.33 b | 5.41 | 0.90 ± 0.01 b | 7.50 | 4.31 ± 0.10 b | 5.13 |
| P2AA-5 | 1.08 ± 0.19 b | 5.14 | 2.63 ± 0.11 b | 5.16 | 0.82 ± 0.03 b | 6.83 | 4.53 ± 0.10 b | 5.39 |
| P2AA-7 | 0.92 ± 0.03 b | 4.38 | 2.68 ± 0.03 b | 5.25 | 1.29 ± 0.01 b | 10.75 | 4.89 ± 0.03 b | 5.82 |
| P2AA-9 | 0.69 ± 0.05 b | 3.29 | 2.34 ± 0.05 b | 4.59 | 0.67 ± 0.01 b | 5.58 | 3.70 ± 0.07 b | 4.40 |
| PE8SA 9-1 | 2.54 ± 0.03 b | 12.10 | 8.27 ± 0.14 b | 16.22 | 1.72 ± 0.08 b | 14.33 | 12.53 ± 0.19 b | 14.91 |
| PE8SA-2 | 2.08 ± 0.20 b | 9.90 | 5.81 ± 0.17 b | 11.39 | 0.99 ± 0.01 b | 8.25 | 8.88 ± 0.20 b | 10.57 |
| PE8SA-6 | 1.65 ± 0.04 b | 7.85 | 4.01 ± 0.01 b | 7.86 | 0.77 ± 0.02 b | 6.42 | 6.43 ± 0.25 b | 7.65 |
| PE8SA-8 | 0.57 ± 0.17 b | 4.75 | 5.48 ± 0.44 b | 10.75 | 0.94 ± 0.01 b | 7.83 | 6.99 ± 0.21 b | 8.32 |
Publisher’s Note: MDPI stays neutral with regard to jurisdictional claims in published maps and institutional affiliations. |
© 2022 by the authors. Licensee MDPI, Basel, Switzerland. This article is an open access article distributed under the terms and conditions of the Creative Commons Attribution (CC BY) license (https://creativecommons.org/licenses/by/4.0/).
Share and Cite
Ding, X.; Yin, Z.; Wang, S.; Liu, H.; Chu, X.; Liu, J.; Zhao, H.; Wang, X.; Li, Y.; Ding, X. Different Fruit-Specific Promoters Drive AtMYB12 Expression to Improve Phenylpropanoid Accumulation in Tomato. Molecules 2022, 27, 317. https://doi.org/10.3390/molecules27010317
Ding X, Yin Z, Wang S, Liu H, Chu X, Liu J, Zhao H, Wang X, Li Y, Ding X. Different Fruit-Specific Promoters Drive AtMYB12 Expression to Improve Phenylpropanoid Accumulation in Tomato. Molecules. 2022; 27(1):317. https://doi.org/10.3390/molecules27010317
Chicago/Turabian StyleDing, Xiangyu, Ziyi Yin, Shaoli Wang, Haoqi Liu, Xiaomeng Chu, Jiazong Liu, Haipeng Zhao, Xinyu Wang, Yang Li, and Xinhua Ding. 2022. "Different Fruit-Specific Promoters Drive AtMYB12 Expression to Improve Phenylpropanoid Accumulation in Tomato" Molecules 27, no. 1: 317. https://doi.org/10.3390/molecules27010317
APA StyleDing, X., Yin, Z., Wang, S., Liu, H., Chu, X., Liu, J., Zhao, H., Wang, X., Li, Y., & Ding, X. (2022). Different Fruit-Specific Promoters Drive AtMYB12 Expression to Improve Phenylpropanoid Accumulation in Tomato. Molecules, 27(1), 317. https://doi.org/10.3390/molecules27010317

