Thymoquinone Lowers Blood Glucose and Reduces Oxidative Stress in a Rat Model of Diabetes
Abstract
1. Introduction
2. Material and Methods
2.1. Materials
2.2. Ethics
2.3. Animals
2.4. Induction of Diabetes
2.5. Administration of the Experimental Drug
2.5.1. Sample Collection
2.6. Total Glycated Haemoglobin
2.7. Oxidative Stress Assays
2.7.1. Lipid Peroxidation (LPO)
2.7.2. Total Antioxidant Capacity (TAC)
2.7.3. Determination of Total Serum Nitric Oxide (NO)
2.8. Assessment of Serum Creatinine and Serum Urea
2.8.1. Serum Creatinine
2.8.2. Serum Urea
2.9. Lipid Profiles
2.9.1. Triglycerides
2.9.2. Total Cholesterol
2.9.3. HDL Cholesterol
2.9.4. LDL Cholesterol
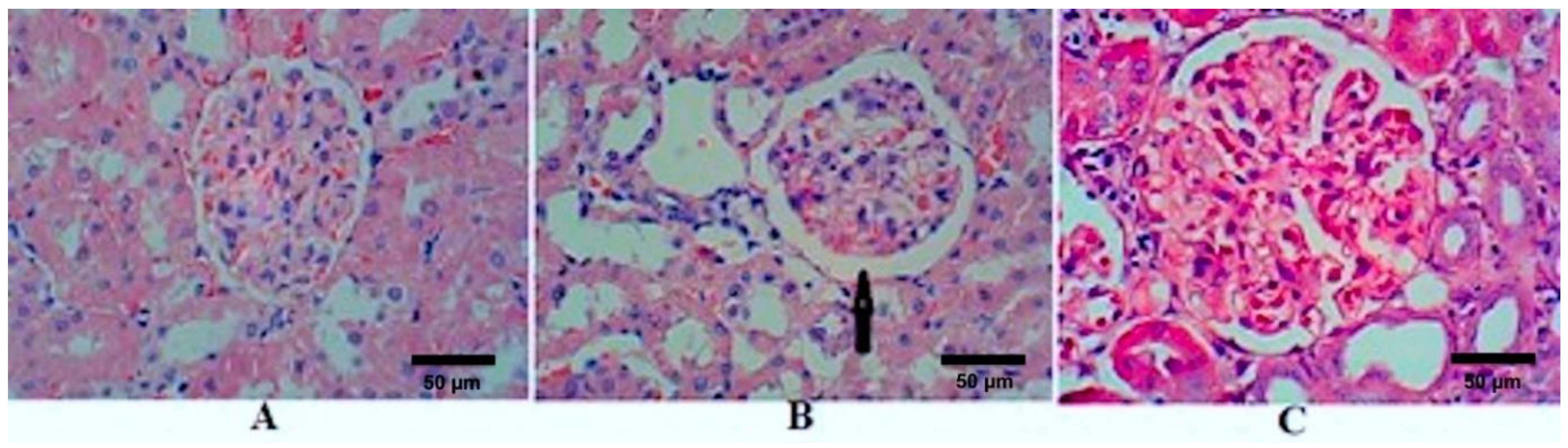
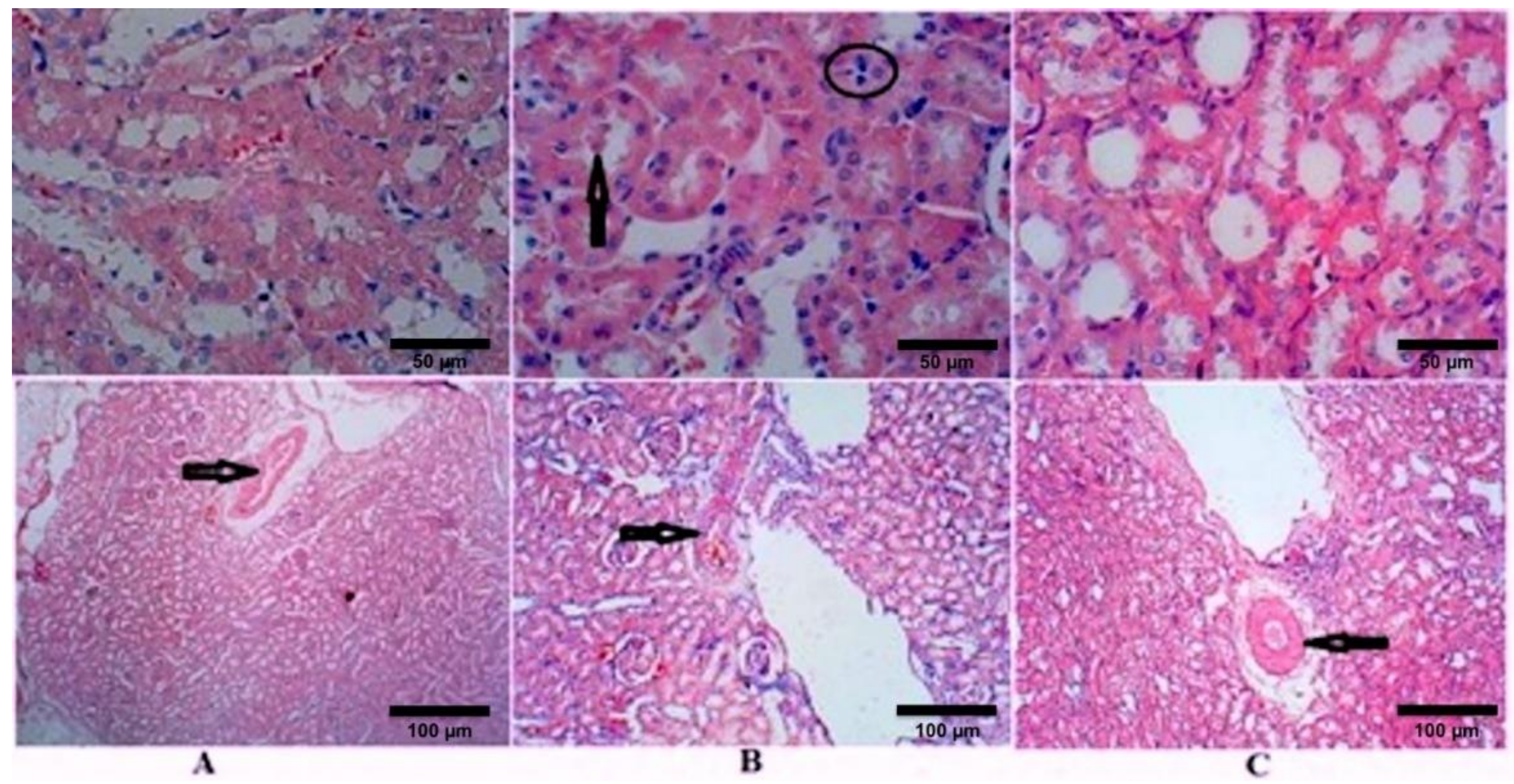
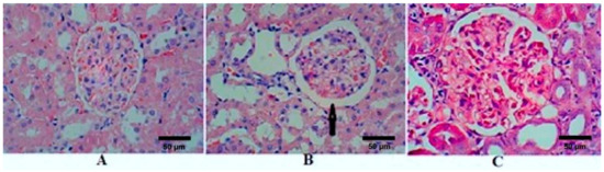
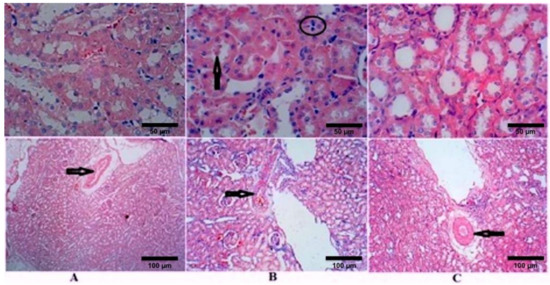
2.10. Histopathological Evaluation of the Kidneys
2.11. Statistics
3. Results
4. Discussion
Author Contributions
Funding
Institutional Review Board Statement
Informed Consent Statement
Data Availability Statement
Acknowledgments
Conflicts of Interest
Sample Availability
Abbreviations
| BGL | blood glucose level |
| BS | Bowman’s space |
| DM | diabetes mellitus |
| DMSO | dimethyl sulfoxide |
| GM | glomeruli |
| H2O2 | hydrogen peroxide |
| H3PO4 | phosphoric acid |
| HDL | high-density lipoprotein |
| HbA1c | glycated haemoglobin |
| LDL | low-density lipoprotein |
| LPO | lipid peroxidation |
| M | mean |
| MDA | malondialdehyde |
| NO | nitric oxide |
| RBC | red blood cells |
| RC | renal capsule |
| ROS | reactive oxygen species |
| SD | standard deviation |
| SPSS | Statistical Package for the Social Sciences |
| STZ | streptozotocin |
| TAC | total antioxidant capacity |
| TBA | thiobarbituric acid |
| VLDL | very low-density lipoprotein |
References
- Grindel, A.; Guggenberger, B.; Eichberger, L.; Pöppelmeyer, C.; Gschaider, M.; Tosevska, A.; Mare, G.; Briskey, D.; Brath, H.; Wagner, K.-H. Oxidative Stress, DNA Damage and DNA Repair in Female Patients with Diabetes Mellitus Type 2. PLoS ONE 2016, 11, e0162082. [Google Scholar] [CrossRef]
- Wolff, S.P.; Dean, R.T. Glucose autoxidation and protein modification. The potential role of “autoxidative glycosylation” in diabetes. Biochem. J. 1987, 245, 243–250. [Google Scholar] [CrossRef]
- Groeneveld, O.N.; Kappelle, L.J.; Biessels, G.J. Potentials of incretin-based therapies in dementia and stroke in type 2 diabetes mellitus. J. Diabetes Investig. 2016, 7, 5–16. [Google Scholar] [CrossRef]
- Mullarkey, C.J.; Edelstein, D.; Brownlee, M. Free radical generation by early glycation products: A mechanism for accelerated atherogenesis in diabetes. Biochem. Biophys. Res. Commun. 1990, 173, 932–939. [Google Scholar] [CrossRef]
- Besseiche, A.; Riveline, J.-P.; Delavallée, L.; Foufelle, F.; Gautier, J.-F.; Blondeau, B. Oxidative and energetic stresses mediate beta-cell dysfunction induced by PGC-1α. Diabetes Metab. 2018, 44, 45–54. [Google Scholar] [CrossRef] [PubMed]
- Mooradian, A.D. Dyslipidemia in type 2 diabetes mellitus. Nat. Clin. Pract. Endocrinol. Metab. 2009, 5, 150–159. [Google Scholar] [CrossRef] [PubMed]
- Yuan, C.; Lai, C.W.K.; Chan, L.W.C.; Chow, M.; Law, H.K.W.; Ying, M. Cumulative effects of hypertension, dyslipidemia, and chronic kidney disease on carotid atherosclerosis in Chinese patients with type 2 diabetes mellitus. J. Diabetes Res. 2014, 2014. [Google Scholar] [CrossRef] [PubMed]
- Giacco, F.; Brownlee, M. Oxidative Stress and Diabetic Complications. Circ. Res. 2010, 107, 1058–1070. [Google Scholar] [CrossRef]
- Diwan, V.; Gobe, G.; Brown, L. Glibenclamide improves kidney and heart structure and function in the adenine-diet model of chronic kidney disease. Pharmacol. Res. 2014, 79, 104–110. [Google Scholar] [CrossRef]
- Hong, J.; Zhang, Y.; Lai, S.; Lv, A.; Su, Q.; Dong, Y.; Zhou, Z.; Tang, W.; Zhao, J.; Cui, L. Effects of Metformin Versus Glipizide on Cardiovascular Outcomes in Patients With Type 2 Diabetes and Coronary Artery Disease. Diabetes Care 2013, 36, 1304–1311. [Google Scholar] [CrossRef]
- Fararh, K.M.; Ibrahim, A.K.; Elsonosy, Y.A. Thymoquinone enhances the activities of enzymes related to energy metabolism in peripheral leukocytes of diabetic rats. Res. Vet. Sci. 2010, 88, 400–404. [Google Scholar] [CrossRef]
- Jung, M.; Park, M.; Lee, H.; Kang, Y.-H.; Kang, E.; Kim, S. Antidiabetic Agents from Medicinal Plants. Curr. Med. Chem. 2006, 13, 1203–1218. [Google Scholar] [CrossRef]
- Jalili, C.; Salahshoor, M.R.; Hoseini, M.; Roshankhah, S.; Sohrabi, M.; Shabanizadeh, A. Protective Effect of Thymoquinone Against Morphine Injuries to Kidneys of Mice. Iran J. Kidney Dis. 2017, 11, 142–150. [Google Scholar]
- Arumugam, P.; Subramanian, R.; Priyadharsini, J.V.; Gopalswamy, J. Thymoquinone inhibits the migration of mouse neuroblastoma (Neuro-2a) cells by down-regulating MMP-2 and MMP-9. Chin. J. Nat. Med. 2016, 14, 904–912. [Google Scholar] [CrossRef]
- Darakhshan, S.; Bidmeshki Pour, A.; Hosseinzadeh Colagar, A.; Sisakhtnezhad, S. Thymoquinone and its therapeutic potentials. Pharmacol. Res. 2015, 95–96, 138–158. [Google Scholar] [CrossRef] [PubMed]
- Magdy, M.-A.; Hanan, E.-A.; Nabila, E.-M. Thymoquinone: Novel gastroprotective mechanisms. Eur. J. Pharmacol. 2012, 697, 126–131. [Google Scholar] [CrossRef] [PubMed]
- Sankaranarayanan, C.; Pari, L. Thymoquinone ameliorates chemical induced oxidative stress and β-cell damage in experimental hyperglycemic rats. Chem. Biol. Interact 2011, 190, 148–154. [Google Scholar] [CrossRef] [PubMed]
- Kanter, M. Protective effects of thymoquinone on streptozotocin-induced diabetic nephropathy. J. Mol. Histol. 2009, 40, 107–115. [Google Scholar] [CrossRef]
- Fararh, K.M.; Shimizu, Y.; Shiina, T.; Nikami, H.; Ghanem, M.M.; Takewaki, T. Thymoquinone reduces hepatic glucose production in diabetic hamsters. Res. Vet. Sci. 2005, 79, 219–223. [Google Scholar] [CrossRef]
- Mathur, M.L.; Gaur, J.; Sharma, R.; Haldiya, K.R. Antidiabetic Properties of a Spice Plant Nigella sativa. J. Endocrinol. Metab. 2011, 1, 1–8. [Google Scholar]
- Megantara, S.; Utami, D.; Puspitasari, L.; Mustarichie, R. In silico study of thymoquinone as peroxisome proliferator activated receptor gamma agonist in the treatment of type 2 diabetes mellitus. J. Biomol. Struct. Dyn. 2018, 36, 1776–1787. [Google Scholar]
- Al-Ali, A.; Alkhawajah, A.A.; Randhawa, M.A.; Shaikh, N.A. Oral and intraperitoneal LD50 of thymoquinone, an active principle of Nigella sativa, in mice and rats. J. Ayub. Med. Coll. Abbottabad. 2008, 20, 25–27. [Google Scholar]
- Asgary, S.; Sahebkar, A.; Goli-Malekabadi, N. Ameliorative effects of Nigella sativa on dyslipidemia. J. Endocrinol. Investig. 2015, 38, 1039–1046. [Google Scholar] [CrossRef]
- Juul, S.; Poulsen, S.; Lunn, S.; Sørensen, P.; Jakobsen, J.C.; Simonsen, S. Short-term versus long-term psychotherapy for adult psychiatric disorders: A protocol for a systematic review with meta-analysis and trial sequential analysis. Syst. Rev. 2019, 8, 169. [Google Scholar] [CrossRef] [PubMed]
- Tawfeek, H.M.; Abdellatif, A.A.H.; Dennison, T.J.; Mohammed, A.R.; Sadiq, Y.; Saleem, I.Y. Colonic delivery of indometacin loaded PGA-co-PDL microparticles coated with Eudragit L100-55 from fast disintegrating tablets. Int. J. Pharm. 2017, 531, 80–89. [Google Scholar] [CrossRef]
- Demontis, F.; Loi, F.; Malesa, R.; D’Aquila, P.S.; Serra, G. Antidepressant-like effect of cannabiniod CB1 receptor stimulation in the forced swimming test. Int. Clin. Psychopharmacol. 2011, 26, e41–e42. [Google Scholar] [CrossRef]
- Masiello, P.; Broca, C.; Gross, R.; Roye, M.; Manteghetti, M.; Hillaire-Buys, D.; Novelli, M.; Ribes, G. Experimental NIDDM: Development of a new model in adult rats administered streptozotocin and nicotinamide. Diabetes 1998, 47, 224–229. [Google Scholar] [CrossRef] [PubMed]
- Manabe, Y.; Tochigi, M.; Moriwaki, A.; Takeuchi, S.; Takahashi, S. Insulin-like growth factor 1 mRNA expression in the uterus of streptozotocin-treated diabetic mice. J. Reprod. Dev. 2013, 59, 398–404. [Google Scholar] [CrossRef] [PubMed]
- RILEY, V. Adaptation of orbital bleeding technic to rapid serial blood studies. Proc. Soc. Exp. Biol. Med. 2017, 104, 751–754. [Google Scholar] [CrossRef] [PubMed]
- Bunn, H.F.; Haney, D.N.; Kamin, S.; Gabbay, K.H.; Gallop, P.M. The biosynthesis of human hemoglobin A1c. Slow glycosylation of hemoglobin in vivo. J. Clin. Invest 1976, 57, 1652–1659. [Google Scholar] [CrossRef] [PubMed]
- Ohkawa, H.; Ohishi, N.; Yagi, K. Assay for lipid peroxides in animal tissues by thiobarbituric acid reaction. Anal. Biochem. 1979, 95, 351–358. [Google Scholar] [PubMed]
- Koracevic, D.; Koracevic, G.; Djordjevic, V.; Andrejevic, S.; Cosic, V. Method for the measurement of antioxidant activity in human fluids. J. Clin. Pathol. 2001, 54, 356–361. [Google Scholar] [CrossRef] [PubMed]
- Miranda, K.M.; Espey, M.G.; Wink, D.A. A Rapid, Simple Spectrophotometric Method for Simultaneous Detection of Nitrate and Nitrite. Nitric Oxide 2001, 5, 62–71. [Google Scholar] [CrossRef] [PubMed]
- Fabiny, D.L.; Ertingshausen, G. Automated reaction-rate method for determination of serum creatinine with the CentrifiChem. Clin. Chem. 1971, 17, 696–700. [Google Scholar] [CrossRef]
- Tabacco, A.; Meiattini, F.; Moda, E.; Tarli, P. Simplified enzymic/colorimetric serum urea nitrogen determination. Clin. Chem. 1979, 25, 336–337. [Google Scholar] [CrossRef] [PubMed]
- Fossati, P.; Prencipe, L. Serum triglycerides determined colorimetrically with an enzyme that produces hydrogen peroxide. Clin. Chem. 1982, 28, 2077–2080. [Google Scholar] [CrossRef]
- Allain, C.C.; Poon, L.S.; Chan, C.S.; Richmond, W.; Fu, P.C. Enzymatic determination of total serum cholesterol. Clin. Chem. 1974, 20, 470–475. [Google Scholar]
- Warnick, G.R.; Albers, J.J. A comprehensive evaluation of the heparin-manganese precipitation procedure for estimating high density lipoprotein cholesterol. J. Lipid Res. 1978, 19, 65–76. [Google Scholar] [CrossRef]
- Nauck, M.; Warnick, G.R.; Rifai, N. Methods for measurement of LDL-cholesterol: A critical assessment of direct measurement by homogeneous assays versus calculation. Clin. Chem. 2002, 48, 236–254. [Google Scholar] [CrossRef]
- Morales, A.I.; Detaille, D.; Prieto, M.; Puente, A.; Briones, E.; Arévalo, M.; Leverve, X.; Lopez-Novoa, J.M.; El-Mir, M.-Y. Metformin prevents experimental gentamicin-induced nephropathy by a mitochondria-dependent pathway. Kidney Int. 2010, 77, 861–869. [Google Scholar] [CrossRef]
- Siboto, A.; Sibiya, N.; Khathi, A.; Ngubane, P. The effects of Momordica balsamina methanolic extract on kidney function in STZ-induced diabetic rats: Effects on selected metabolic markers. J. Diabetes Res. 2018, 2018, 108925. [Google Scholar] [CrossRef]
- Sassy-Prigent, C.; Heudes, D.; Mandet, C.; Bélair, M.F.; Michel, O.; Perdereau, B.; Bariety, J.; Bruneval, P. Early glomerular macrophage recruitment in streptozotocin-induced diabetic rats. Diabetes. 2000, 49, 466–475. [Google Scholar] [CrossRef] [PubMed]
- Al Dubayee, M.S.; Alayed, H.; Almansour, R.; Alqaoud, N.; Alnamlah, R.; Obeid, D.; Alshahrani, A.; Zahra, M.M.; Nasr, A.; Al-Bawab, A. Differential Expression of Human Peripheral Mononuclear Cells Phenotype Markers in Type 2 Diabetic Patients and Type 2 Diabetic Patients on Metformin. Front. Endocrinol. 2018, 9, 537. [Google Scholar] [CrossRef] [PubMed]
- Malik, S.; Suchal, K.; Khan, S.I.; Bhatia, J.; Kishore, K.; Dinda, A.K.; Arya, D.S. Apigenin ameliorates streptozotocin-induced diabetic nephropathy in rats via MAPK-NF-κB-TNF-α and TGF-β1-MAPK-fibronectin pathways. Am. J. Physiol. 2017, 313, F414–F422. [Google Scholar] [CrossRef] [PubMed]
- Seyer-Hansen, K.; Hansen, J.; Gundersen, H.J. Renal hypertrophy in experimental diabetes. A morphometric study. Diabetologia 1980, 18, 501–505. [Google Scholar] [CrossRef] [PubMed]
- Motshakeri, M.; Ebrahimi, M.; Goh, Y.M.; Othman, H.H.; Hair-Bejo, M.; Mohamed, S. Effects of Brown Seaweed (Sargassum polycystum) Extracts on Kidney, Liver, and Pancreas of Type 2 Diabetic Rat Model. Evid. Based. Complement. Alternat. Med. 2014, 2014, 379407. [Google Scholar] [CrossRef]
- King, A.J. The use of animal models in diabetes research. Br. J. Pharmacol. 2012, 166, 877–894. [Google Scholar] [CrossRef] [PubMed]
- Rao, V.S.N.; Santos, F.A.; Silva, R.M.; Teixiera, M.G. Effects of nitric oxide synthase inhibitors and melatonin on the hyperglycemic response to streptozotocin in rats. Vascul. Pharmacol. 2002, 38, 127–130. [Google Scholar] [CrossRef]
- Raza, H.; John, A. Streptozotocin-Induced Cytotoxicity, Oxidative Stress and Mitochondrial Dysfunction in Human Hepatoma HepG2 Cells. Int. J. Mol. Sci. 2012, 13, 5751–5767. [Google Scholar] [CrossRef]
- Zhao, H.J.; Wang, S.; Cheng, H.; Zhang, M.; Takahashi, T.; Fogo, A.B.; Breyer, M.D.; Harris, R.C. Endothelial nitric oxide synthase deficiency produces accelerated nephropathy in diabetic mice. J. Am. Soc. Nephrol. 2006, 17, 2664–2669. [Google Scholar] [CrossRef]
- Li, W.; Wang, G.; Lu, X.; Jiang, Y.; Xu, L.; Zhao, X. Lycopene ameliorates renal function in rats with streptozotocin-induced diabetes. Int. J. Clin. Exp. Pathol. 2014, 7, 5008–5015. [Google Scholar]
- Jacheć, W.; Tomasik, A.; Tarnawski, R.; Chwalińska, E. Evidence of oxidative stress in the renal cortex of diabetic rats: Favourable effect of vitamin E. Scand J. Clin. Lab. Invest. 2002, 62, 81–88. [Google Scholar] [CrossRef] [PubMed]
- Kim, A.-R.; Jeong, S.-M.; Kang, M.-J.; Jang, Y.-H.; Choi, H.-N.; Kim, J.-I. Lotus leaf alleviates hyperglycemia and dyslipidemia in animal model of diabetes mellitus. Nutr. Res. Pract. 2013, 7, 166–171. [Google Scholar] [CrossRef] [PubMed]
- Raghunathan, S.; Tank, P.; Bhadada, S.; Patel, B. Evaluation of buspirone on streptozotocin induced type 1 diabetes and its associated complications. Biomed. Res. Int. 2014, 2014, 948427. [Google Scholar] [CrossRef] [PubMed]
- Mathé, D. Dyslipidemia and diabetes: Animal models. Diabetes Metab. 1995, 21, 6–11. [Google Scholar]
- Bamosa, A.O.; Kaatabi, H.; Lebdaa, F.M.; Elq, A.-M.; Al-Sultanb, A. Effect of Nigella sativa seeds on the glycemic control of patients with type 2 diabetes mellitus. Indian J. Physiol. Pharmacol. 2010, 54, 344–354. [Google Scholar]
- Bamosa, A.; Lebda, F.; Al Elq, A.; Al-Sultan, A.; Kaatabi, H. Favorable impact of Nigella sativa seeds on lipid profile in type 2 diabetic patients. J. Fam. Community Med. 2012, 19, 155. [Google Scholar] [CrossRef]
- Ahmad, S.; Beg, Z.H. Mitigating role of thymoquinone rich fractions from Nigella sativa oil and its constituents, thymoquinone and limonene on lipidemic-oxidative injury in rats. Springerplus 2014, 3, 316. [Google Scholar] [CrossRef]
- Pari, L.; Sankaranarayanan, C. Beneficial effects of thymoquinone on hepatic key enzymes in streptozotocin-nicotinamide induced diabetic rats. Life Sci. 2009, 85, 830–834. [Google Scholar] [CrossRef]
- Asgary, S.; Najafi, S.; Ghannadi, A.; Dashti, G.; Helalat, A. Efficiency of black cumin seeds on hematological factors in normal and hypercholesterolemic rabbits. ARYA Atheroscler. 2012, 7, 146–150. [Google Scholar]
- Ahmad, A.; Asif, H.; Mohd, M.; Alam, K.S.; Kalam, N.A.; Ali, S.N.; Damanhouri, Z.A.; Anwar, F. A review on therapeutic potential of Nigella sativa: A miracle herb. Asian Pac. J. Trop. Biomed. 2013, 3, 337–352. [Google Scholar] [CrossRef]
- Meral, I.; Kanter, M. Effects of Nigella sativa L. and Urtica dioica L. on Selected Mineral Status and Hematological Values in CCl4-Treated Rats. Biol. Trace Elem. Res. 2003, 96, 263–270. [Google Scholar] [CrossRef]
- Bamosa, A.O.; Ali, B.A.; Sowayan, S.A. Effect of oral ingestion of Nigella sativa seeds on some blood parameters. Saudi Pharm. J. 1997, 5, 126–129. [Google Scholar]
- Qidwai, W.; Hamza, H.B.; Qureshi, R.; Gilani, A. Effectiveness, safety, and tolerability of powdered Nigella sativa (ka-lonji) seed in capsules on serum lipid levels, blood sugar, blood pressure, and body weight in adults: Results of a ran-domized, double-blind controlled trial. J. Altern. Complementary Med. 2009, 15, 639–644. [Google Scholar] [CrossRef] [PubMed]


| Control Group M ± SD | Untreated Diabetic Group M ± SD | TQ Treated Diabetic Group M ± SD | F | p | |
|---|---|---|---|---|---|
| Glycaemic Control | |||||
| -HbA1c | 4.5 ± 0.5 | 9.0 ± 0.7 * | 6.7 ± 1.0 *# | 14.68 | <0.001 |
| Oxidative Stress | |||||
| -Lipid Peroxidase (nM) | 9.5 ± 2.2 | 17.5 ± 1.03 * | 10.6 ± 2.3 # | 15.29 | <0.001 |
| -NO (nmol/mL) | 9.3 ± 5.1 | 18.4 ± 5.1 * | 12.5 ± 2.98 # | 7.16 | 0.001 |
| -TAC (mM/L) | 0.8 ± 0.2 | 0.2 ± 0.04 * | 0.6 ± 0.2 *# | 26.14 | <0.001 |
| Lipid Profile | |||||
| -Total Cholesterol (mg/dL) | 112.2 ± 3.2 | 117.5 ± 13.3 | 113.3 ± 6.7 | 0.97 | 0.441 |
| -Triglycerides (mg/dL) | 124.6 ± 2.1 | 108.8 ± 17.7 | 113.7 ± 4.4 * | 3.40 | 0.024 |
| -HDL (mg/dL) | 46.9 ± 11.1 | 40.4 ± 6.4 | 32.3 ± 8.9 * | 4.44 | 0.008 |
| -LDL (mg/dL) | 40.4 ± 11.3 | 55.3 ± 13.5 * | 58.2 ± 4.8 * | 10.17 | <0.001 |
| Renal Function | |||||
| -Urea (mg/dL) | 20.2 ± 2.0 | 23.7 ± 6.9 | 27.7 ± 3.8 * | 0.95 | 0.454 |
| -Creatinine (mg/dL) | 0.9 ± 0.1 | 1.2 ± 0.2 | 1.1 ± 0.2 | 2.66 | 0.056 |
| Control Group M ± SD | Untreated Diabetic Group M ± SD | TQ Treated Diabetic Group M ± SD | F | p | |
|---|---|---|---|---|---|
| Diameter of RC (µm) | 193.48 ± 20.12 | 228.08 ± 23.42 * | 216.95 ± 11.56 | 3.44 | 0.077 |
| Diameter GM (µm) | 158.10 ± 19.98 | 170.00 ± 22.81 | 184.40 ± 6.92 | 2.15 | 0.172 |
| Diameter of BS (µm) | 22.10 ± 4.29 | 30.93 ± 4.96 * | 16.23 ± 1.71 # | 14.33 | 0.002 |
| Arteriolosclerosis | Grade 0 | Grade 3 | Grade 1 | ||
| Inflammatory cell infiltration | Insignificant | Mild | Mild | ||
| Hyaline droplets | Insignificant | 30% | 20% |
Publisher’s Note: MDPI stays neutral with regard to jurisdictional claims in published maps and institutional affiliations. |
© 2021 by the authors. Licensee MDPI, Basel, Switzerland. This article is an open access article distributed under the terms and conditions of the Creative Commons Attribution (CC BY) license (https://creativecommons.org/licenses/by/4.0/).
Share and Cite
Faisal Lutfi, M.; Abdel-Moneim, A.-M.H.; Alsharidah, A.S.; Mobark, M.A.; Abdellatif, A.A.H.; Saleem, I.Y.; Al Rugaie, O.; Mohany, K.M.; Alsharidah, M. Thymoquinone Lowers Blood Glucose and Reduces Oxidative Stress in a Rat Model of Diabetes. Molecules 2021, 26, 2348. https://doi.org/10.3390/molecules26082348
Faisal Lutfi M, Abdel-Moneim A-MH, Alsharidah AS, Mobark MA, Abdellatif AAH, Saleem IY, Al Rugaie O, Mohany KM, Alsharidah M. Thymoquinone Lowers Blood Glucose and Reduces Oxidative Stress in a Rat Model of Diabetes. Molecules. 2021; 26(8):2348. https://doi.org/10.3390/molecules26082348
Chicago/Turabian StyleFaisal Lutfi, Mohamed, Abdel-Moneim Hafez Abdel-Moneim, Ashwag Saleh Alsharidah, Mugahid A. Mobark, Ahmed A. H. Abdellatif, Imran Y. Saleem, Osamah Al Rugaie, Khalid M. Mohany, and Mansour Alsharidah. 2021. "Thymoquinone Lowers Blood Glucose and Reduces Oxidative Stress in a Rat Model of Diabetes" Molecules 26, no. 8: 2348. https://doi.org/10.3390/molecules26082348
APA StyleFaisal Lutfi, M., Abdel-Moneim, A.-M. H., Alsharidah, A. S., Mobark, M. A., Abdellatif, A. A. H., Saleem, I. Y., Al Rugaie, O., Mohany, K. M., & Alsharidah, M. (2021). Thymoquinone Lowers Blood Glucose and Reduces Oxidative Stress in a Rat Model of Diabetes. Molecules, 26(8), 2348. https://doi.org/10.3390/molecules26082348

