Glutamate Dehydrogenase Functions in Glutamic Acid Metabolism and Stress Resistance in Pyropia haitanensis
Abstract
1. Introduction
2. Results
2.1. Sequence Analysis of PhGDH1 and PhGDH2
2.2. Transcription Profiles of PhGDHs and the Content of Glutamic Acid
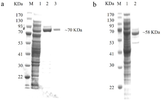
2.3. Expression and Purification of PhGDH1 and PhGDH2
2.4. Enzyme Assays and Site-Directed Mutagenesis
2.5. Transcription Profiles of PhGDH1 and PhGDH2 under Abiotic Stresses
3. Discussion
4. Materials and Methods
4.1. Sample Collection and Treatments
4.2. Cloning and Sequence Analysis of PhGDH1 and PhGDH2
4.3. Expression and Purification of PhGDH1 and PhGDH2
4.4. Enzyme Assays
4.5. Site-Directed Mutagenesis
4.6. Quantitative Real-Time PCR (qRT-PCR) Analysis
5. Conclusions
Supplementary Materials
Author Contributions
Funding
Institutional Review Board Statement
Informed Consent Statement
Data Availability Statement
Acknowledgments
Conflicts of Interest
Sample Availability
References
- Cao, M.; Xu, K.P.; Yu, X.Z.; Bi, G.Q.; Liu, Y.; Kong, F.N.; Sun, P.P.; Tang, X.H.; Du, G.Y.; Ge, Y.; et al. A chromosome-level genome assembly of Pyropia haitanensis (Bangiales, Rhodophyta). Mol. Ecol. Resour. 2019, 20, 216–227. [Google Scholar] [CrossRef] [PubMed]
- Bi, Y.H.; Wu, Y.Y.; Zhou, Z.G. Genetic diversity of wild population of Pyropia haitanensis based on SSR analysis. Biochem. Syst. Ecol. 2014, 54, 307–312. [Google Scholar] [CrossRef]
- Ding, H.C.; Huang, L.B.; Yan, X.H. Low-salt tolerance of the thin-blade strain in Pyropia haitanensis. Aquacult. Int. 2021, 29, 387–397. [Google Scholar] [CrossRef]
- Noda, H. Health benefits and nutritional properties of nori. J. Appl. Phycol. 1993, 5, 255–258. [Google Scholar] [CrossRef]
- Wei, D.D.; Chen, D.A.; Lou, Y.J.; Ye, Y.F.; Yang, R. Metabolomic profile characteristics of Pyropia haitanensis as affected by harvest time. Food Sci. Technol. Res. 2016, 22, 529–536. [Google Scholar] [CrossRef]
- Xu, N.N.; Xu, K.I.; Wang, W.L.; Xu, Y.; Ji, D.H.; Chen, C.S.; Xie, C.T. Nutrient enrichment improves growth and food quality of two strains of the economic seaweed Pyropia haitanensis. Front. Mar. Sci. 2020, 7, 544582. [Google Scholar] [CrossRef]
- Tamura, Y.; Takenaka, S.; Sugiyama, S.; Nakayama, R. Occurrence of anserine as an antioxidative dipeptide in a red alga, Porphyra yezoensis. Biosci. Biotechnol. Biochem. 1998, 62, 561–563. [Google Scholar] [CrossRef]
- Araki, S.; Izumino, Y.; Sakurai, T.; Takahashi, K. Taste evaluation of toasted nori, Porphyra yezoensis, a red alga by warm water-extract. J. Jpn. Soc. Food Sci. 1997, 44, 430–437. [Google Scholar] [CrossRef][Green Version]
- Cao, R.; Hu, M.Y.; Zhao, L.; Wang, L.Z.; Liu, Q. Flavor characteristics of different crops of laver (Porphyra yezoensis) during one harvest cycle. J. Ocean. Univ. China 2021, 20, 213–220. [Google Scholar] [CrossRef]
- Li, X.S.; He, P.M.; Xu, J.T.; Fu, G.H.; Chen, Y.B. Effect of nitrogen and phosphorus on the growth and amino acid contents of Porphyra yezoensis. Aquac. Res. 2017, 48, 2798–2802. [Google Scholar] [CrossRef]
- Skopelitis, D.S.; Paranychianakis, N.V.; Kouvarakis, A.; Spyros, A.; Stephanou, E.G.; Roubelakis-Angelakis, K.A. The isoenzyme 7 of tobacco NAD(H)-dependent glutamate dehydrogenase exhibits high deaminating and low aminating activities in vivo. Plant. Physiol. 2007, 145, 1726–1734. [Google Scholar] [CrossRef]
- Gigova, L.G.; Lvanova, N.J. Microalgae respond differently to nitrogen availability during culturing. J. Biosci. 2015, 40, 365–374. [Google Scholar] [CrossRef]
- Andersson, J.O.; Roger, A.J. Evolution of glutamate dehydrogenase genes: Evidence for lateral gene transfer within and between prokaryotes and eukaryotes. BMC Evol. Biol. 2003, 3, 14. [Google Scholar] [CrossRef][Green Version]
- Grzechowiak, M.; Sliwiak, J.; Jaskolski, M.; Ruszkowski, M. Structural studies of glutamate dehydrogenase (isoform 1) from Arabidopsis thaliana, an important enzyme at the branch-point between carbon and nitrogen metabolism. Front. Plant Sci. 2020, 11, 754. [Google Scholar] [CrossRef] [PubMed]
- Zhou, Y.; Liu, H.; Zhou, X.C.; Yan, Y.Z.; Du, C.Q.; Li, Y.X.; Liu, D.R.; Zhang, C.S.; Deng, X.L.; Tang, D.Y.; et al. Over-expression of a fungal NADP(H)-dependent glutamate dehydrogenase Pc GDH improves nitrogen assimilation and growth quality in rice. Mol. Breed. 2014, 34, 335–349. [Google Scholar] [CrossRef]
- Hasumi, F.; Miyamoto, Y.; Okura, I. Synthesis of glutamate by reductive amination of 2-oxoglutarate with the combination of hydrogenase and glutamate dehydrogenase. Appl. Biochem. Biotech. 1995, 55, 1–4. [Google Scholar] [CrossRef]
- Fontaine, J.X.; Terce-Laforgue, T.; Armengaud, P.; Clement, G.; Renou, J.P.; Pelletier, S.; Catterou, M.; Azzopardi, M.; Gibon, Y.; Lea, P.J.; et al. Characterization of a NADH-dependent glutamate dehydrogenase mutant of Arabidopsis demonstrates the key role of this enzyme in root carbon and nitrogen metabolism. Plant. Cell 2012, 24, 4044–4065. [Google Scholar] [CrossRef]
- Labboun, S.; Terce-Laforgue, T.; Roscher, A.; Bedu, M.; Restivo, F.M.; Velanis, C.N.; Skopelitis, D.S.; Moshou, P.N.; Roubelakis-Angelakis, K.A.; Suzuki, A. Resolving the role of plant glutamate dehydrogenase. I. in vivo real time nuclear magnetic resonance spectroscopy experiments. Plant. Cell Physiol. 2009, 50, 1761–1773. [Google Scholar] [CrossRef] [PubMed]
- Terce-Laforgue, T.; Clement, G.; Marchi, L.; Restivo, F.M.; Lea, P.J.; Hirel, B. Resolving the role of plant NAD-glutamate dehydrogenase: III. Overexpressing individually or simultaneously the two enzyme subunits under salt stress induces changes in the leaf metabolic profile and increases plant biomass production. Plant. Cell Physiol. 2015, 56, 1918–1929. [Google Scholar] [CrossRef]
- Coulton, J.W.; Kapoor, M. Purification and some properties of the glutamate dehydrogenase of salmonella typhimurium. Can. J. Microbiol. 1973, 19, 427–438. [Google Scholar] [CrossRef] [PubMed]
- Newbold, C.J.; McEwan, N.R.; Calza, R.E.; Chareyron, E.N.; Duval, S.M.; Eschenlauer, S.C.P.; Mclntosh, F.M.; Nelson, N.; Travis, A.J.; Wallace, R.J. An NAD (+)-dependent glutamate dehydrogenase cloned from the ruminal ciliate protozoan, Entodinium caudatum. FEMS Microbiol. Lett. 2005, 247, 113–121. [Google Scholar] [CrossRef][Green Version]
- Kisaka, H.; Kida, T. Transgenic tomato plant carrying a gene for NADP-dependent glutamate dehydrogenase (gdhA) from Aspergillus nidulans. Plant. Sci. 2003, 164, 35–42. [Google Scholar] [CrossRef]
- Minambres, B.; Olivera, E.R.; Jensen, R.A.; Luengo, J.M. A new class of glutamate dehydrogenases (GDH)-Biochemical and genetic characterization of the first member, the AMP-requiring NAD-specific GDH of Streptomyces clavuligerus. J. Biol. Chem. 2000, 275, 39529–39542. [Google Scholar] [CrossRef] [PubMed]
- Son, H.F.; Kim, I.K.; Kim, K.J. Structural insights into domain movement and cofactor specificity of glutamate dehydrogenase from Corynebacterium glutamicum. Biochem. Bioph. Res. Commun. 2015, 459, 387–392. [Google Scholar] [CrossRef]
- Garnier, A.; Berredjem, A.; Botton, B. Purification and characterization of the NAD-dependent glutamate dehydrogenase in the ectomycorrhizal fungus Laccaria bicolor (Maire) Orton. Funcal. Genet. Biol. 1997, 22, 168–176. [Google Scholar] [CrossRef] [PubMed]
- Ni, Y.Y.; Wang, J.L.; Qian, B.J.; Song, G.Y.; Yao, X.M.; Zhang, J.H. Purification and side chain selective chemical modifications of glutamate dehydrogenase from Bacillus subtilis natto. Appl. Biochem. Biotechnol. 2014, 172, 3593–3605. [Google Scholar] [CrossRef]
- Martinez-Bilbao, M.; Martinez, A.; Urkijo, I.; Llama, M.J.; Serra, J.L. Induction, isolation, and some properties of the NADPH-dependent glutamate dehydrogenase from the nonheterocystous cyanobacterium Phormidium laminosum. J. Bacteriol. 1988, 170, 4897–4902. [Google Scholar] [CrossRef]
- Wang, S.Y.; Feng, Y.; Zhang, Z.M.; Zheng, B.S.; Li, N.; Cao, S.G.; Matsui, I.; Kosugi, Y. Heat effect on the structure and activity of the recombinant glutamate dehydrogenase from a hyperthermophilic archaeon Pyrococcus horikoshii. Arch. Biochem. Biophys. 2003, 411, 56–62. [Google Scholar] [CrossRef]
- Inokuchi, R.; Itagaki, T.; Wiskich, J.T.; Nakayama, K.; Okada, M. An NADP-glutamate dehydrogenase from the green alga Bryopsis maxima. purification and properties. Plant. Cell Physiol. 1997, 38, 327–335. [Google Scholar] [CrossRef]
- Abidi, S.M.A.; Khan, P.; Saifullah, M.K. Characterization of the glutamate dehydrogenase activity of Gigantocotyle explanatum and Gastrothylax crumenifer (Trematoda: Digenea). J. Parasit. Dis. 2009, 33, 57–64. [Google Scholar] [CrossRef] [PubMed][Green Version]
- Bolivar, J.M.; Cava, F.; Mateo, C.; Rocha-Martin, J.; Guisan, J.M.; Berenguer, J.; Fernandez-Lafuente, R. Immobilization-stabilization of a new recombinant glutamate dehydrogenase from Thermus thermophilus. Appl. Microbiol. Biot. 2008, 80, 49–58. [Google Scholar] [CrossRef]
- EI-Shora, H.M.; Abo-Kassem, E.M. Kinetic characterization of glutamate dehydrogenase of marrow cotyledons. Plant. Sci. 2001, 161, 1047–1053. [Google Scholar] [CrossRef]
- Du, C.Q.; Lin, J.Z.; Dong, L.A.; Liu, C.; Tang, D.Y.; Yan, L.; Chen, M.D.; Liu, S.; Liu, X.M. Overexpression of an NADP(H)-dependent glutamate dehydrogenase gene, TrGDH, from Trichurus improves nitrogen assimilation, growth status and grain weight per plant in rice. Breed. Sci. 2019, 69, 429–438. [Google Scholar] [CrossRef]
- Mena-Petite, A.; Lacuesta, M.; Munoz-Rueda, A. Ammonium assimilation in Pinus radiata seedlings: Effects of storage treatments, transplanting stress and water regimes after planting under simulated field conditions. Environ. Exp. Bot. 2006, 55, 1–14. [Google Scholar] [CrossRef]
- Tang, J.; Ni, X.Z.; Wen, J.Q.; Wang, L.G.; Luo, J. Increased ammonium assimilation activity in the scleractinian coral pocillopora damicornis but not its symbiont after acute heat stress. Front. Mar. Sci. 2020, 7, 565068. [Google Scholar] [CrossRef]
- Gui, L.J.; Cao, R.; Li, J.L.; Zhang, L.S.; Wang, J.Z. High temperature effects on ammonium assimilation in leaves of two Festuca arundinacea cultivars with different heat susceptibility. Plant Growth Regul. 2006, 49, 127–136. [Google Scholar] [CrossRef]
- Lutts, S.; Majerus, S.; Kinet, J.M. NaCl effects on proline metabolism in rice (Oryza sativa) seedlings. Physiol. Plant. 1999, 105, 450–458. [Google Scholar] [CrossRef]
- Shrestha, A.; Cudjoe, D.K.; Kamruzzaman, M.; Siddique, S.; Fiorani, F.; Leon, J.; Naz, A.A. Abscisic acid-responsive element binding transcription factors contribute to proline synthesis and stress adaptation in Arabidopsis. J. Plant Physiol. 2021, 261, 153414. [Google Scholar] [CrossRef] [PubMed]
- Patel, S.; Panchal, H.; Anjaria, K. DNA Sequence analysis by ORF FINDER, and GENOMATIX Tool: Bioinformatics Analysis of some tree species of Leguminosae Family. In Proceedings of the 2012 IEEE International Conference on Bioinformatics and Biomedicine Workshops (BIBMW), Philadelphia, PA, USA, 4–7 October 2012. [Google Scholar]
- Sahoo, P.R.; Mishra, S.R.; Mohapatra, S.; Sahu, S.; Sahoo, G.; Behera, P.C. In silico structural and phylogenetic analysis of glyceraldehyde 3-phosphate dehydrogenase (GAPDH) in domestic animals. Indian J. Anim. Res. 2019, 53, 1607–1612. [Google Scholar] [CrossRef]
- Emanuelsson, O.; Brunak, S.; von Heijne, G.; Nielsen, H. Locating proteins in the cell using TargetP, SignalP and related tools. Nat. Protoc. 2007, 2, 953–971. [Google Scholar] [CrossRef]
- Waterhouse, A.; Bertoni, M.; Bienert, S.; Studer, G.; Tauriello, G.; Gumienny, R.; Heer, F.T.; de Beer, T.A.P.; Rempfer, C.; Bordoli, L.; et al. SWISS-MODEL: Homology modelling of protein structures and complexes. Nucleic Acids Res. 2018, 46, 296–303. [Google Scholar] [CrossRef] [PubMed]
- Gouet, P.; Courcelle, E.; Stuart, D.I.; Metoz, F. ESPript: Analysis of multiple sequence alignments in PostScript. Bioinformatics 1999, 15, 305–308. [Google Scholar] [CrossRef] [PubMed]
- Thatcher, B.J.; Storey, K.B. Glutamate dehydrogenase from liver of euthermic and hibernating Richardson’s ground squirrels: Evidence for two distinct enzyme forms. Biochem. Cell Biol. 2001, 79, 11–19. [Google Scholar] [CrossRef] [PubMed]
- Kundu, P.; Saha, S.; Gangopadhyay, G. Kinetics of allosteric inhibition of single enzyme by product molecules. J. Phys. Chem. B 2020, 124, 11793–11801. [Google Scholar] [CrossRef]
- Li, B.; Chen, C.S.; Xu, Y.; Ji, D.H.; Xie, C.T. Validation of housekeeping genes as internal controls for studying the gene expression in Pyropia haitanensis (Bangiales, Rhodophyta) by quantitative real-time PCR. Acta Oceanol. Sin. 2014, 33, 152–159. [Google Scholar] [CrossRef]










| Name | PhGDH1 | PhGDH2 |
|---|---|---|
| Length of CDS (bp) | 1386 | 1668 |
| Size of protein (AA) | 461 | 555 |
| Molecular weight (KDa) | 49.30 | 56.78 |
| Isoelectric point | 5.83 | 7.10 |
| α-helix (%) | 45.55 | 44.50 |
| Extened strand (%) | 12.80 | 12.43 |
| β-turn (%) | 9.33 | 8.83 |
| Random coil (%) | 32.32 | 34.23 |
| Signal peptide | 0 | 0 |
| Subcellular location | OT | cTP |
| Transmembrane helices | 0 | 0 |
| Conserved domain | ELFV_dehydrog; ELFV_dehydrog_N | ELFV_dehydrog; ELFV_dehydrog_N |
Publisher’s Note: MDPI stays neutral with regard to jurisdictional claims in published maps and institutional affiliations. |
© 2021 by the authors. Licensee MDPI, Basel, Switzerland. This article is an open access article distributed under the terms and conditions of the Creative Commons Attribution (CC BY) license (https://creativecommons.org/licenses/by/4.0/).
Share and Cite
Li, S.; Shao, Z.; Lu, C.; Yao, J.; Zhou, Y.; Duan, D. Glutamate Dehydrogenase Functions in Glutamic Acid Metabolism and Stress Resistance in Pyropia haitanensis. Molecules 2021, 26, 6793. https://doi.org/10.3390/molecules26226793
Li S, Shao Z, Lu C, Yao J, Zhou Y, Duan D. Glutamate Dehydrogenase Functions in Glutamic Acid Metabolism and Stress Resistance in Pyropia haitanensis. Molecules. 2021; 26(22):6793. https://doi.org/10.3390/molecules26226793
Chicago/Turabian StyleLi, Shuang, Zhanru Shao, Chang Lu, Jianting Yao, Yongdong Zhou, and Delin Duan. 2021. "Glutamate Dehydrogenase Functions in Glutamic Acid Metabolism and Stress Resistance in Pyropia haitanensis" Molecules 26, no. 22: 6793. https://doi.org/10.3390/molecules26226793
APA StyleLi, S., Shao, Z., Lu, C., Yao, J., Zhou, Y., & Duan, D. (2021). Glutamate Dehydrogenase Functions in Glutamic Acid Metabolism and Stress Resistance in Pyropia haitanensis. Molecules, 26(22), 6793. https://doi.org/10.3390/molecules26226793

