Pharmacoinformatics and UPLC-QTOF/ESI-MS-Based Phytochemical Screening of Combretum indicum against Oxidative Stress and Alloxan-Induced Diabetes in Long–Evans Rats
Abstract
1. Introduction
2. Results
2.1. Determination of Total Phenolic and Total Flavonoid Contents
2.2. DPPH Scavenging Activity
2.3. Acute Oral Toxicity Study and Selection of Dose
2.4. Effect of CILEx on Blood Glucose Levels
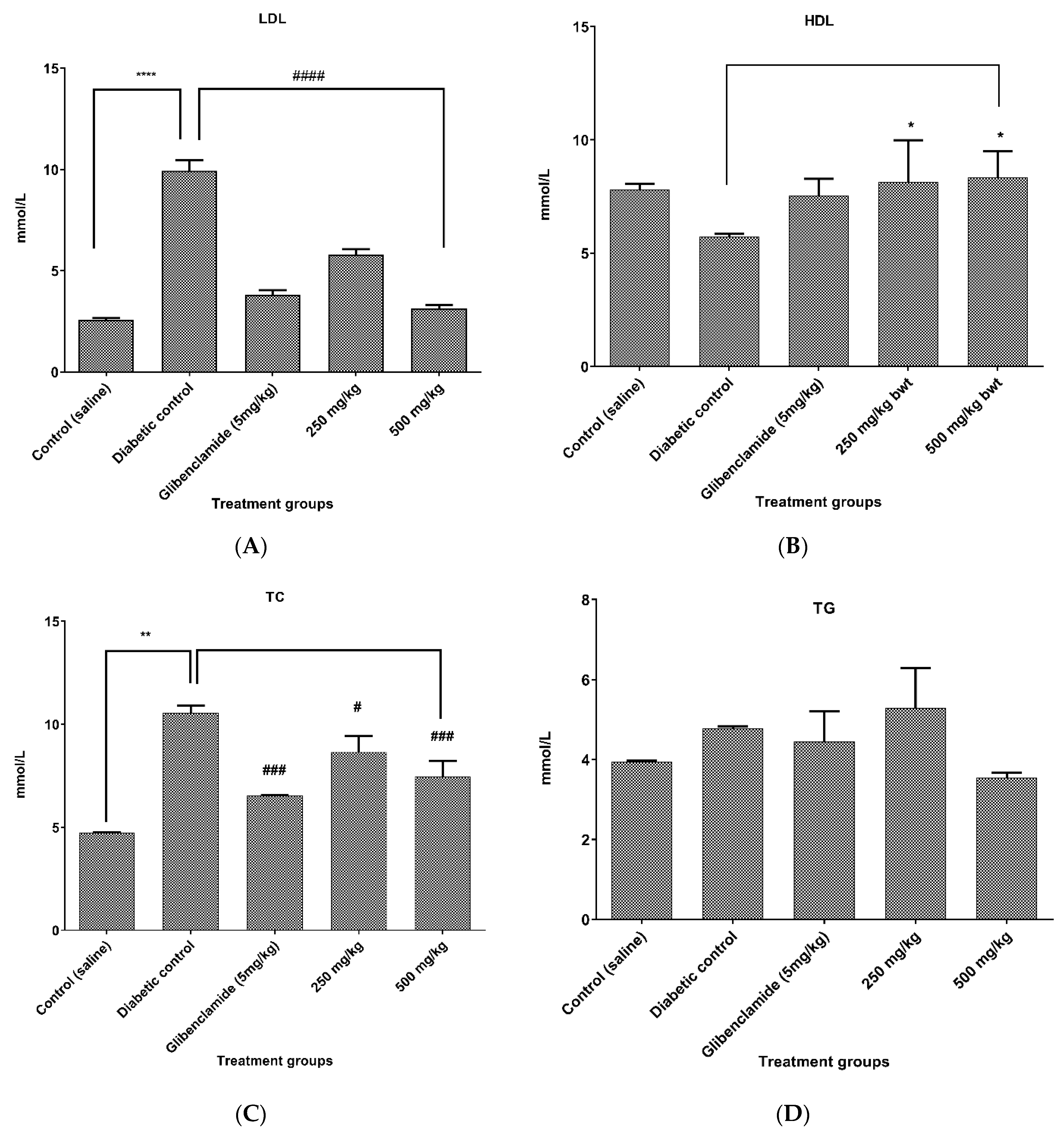
2.5. Effect of CILEx on Lipid Profiles in Animal Intervention
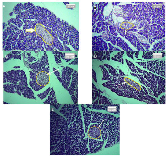
2.6. Effect of CILEx on Animals’ Tissue Architecture
2.7. UPLC-QTOF/ESI-MS Characterization of CILEx
2.8. Molecular Docking
2.9. Analysis of Interactions between Active Ingredients and Target Proteins
2.10. Construction and Analysis of Target Proteins’ PPI Network
2.11. Gene Ontology (GO) Analysis of Interacted Target Proteins
2.12. Target Proteins Set Enrichment Analysis of KEGG Pathways
2.13. Target Proteins Involved in Regulating the Diabetes-Associated Pathways
3. Discussion
4. Materials and Methods
4.1. Chemicals and Reagents
4.2. Collection and Identification of Plant Material
4.3. Preparation of Crude Extract
4.4. Experimental Animals and Their Maintenance
4.5. Determination of Total Phenolic and Flavonoid Contents
4.6. DPPH Radical Scavenging Assay
4.7. Acute Oral Toxicity Test
4.8. Induction of Diabetes and Experimental Design
- Normal control (I): Normal rats received saline water only.
- Diabetic control (II): Non-treated diabetic rats (alloxan treated; 150 mg/kg; IP).
- Positive control (III): Alloxan-treated diabetic rats (150 mg/kg; IP) + glibenclamide (5 mg/kg; PO)
- Treatment group (IV): Alloxan (150 mg/kg; IP) + CILEx (250 mg/kg; PO)
- Treatment group (V): Alloxan (150 mg/kg; IP) + CILEx (500 mg/kg; PO)
4.9. Collection of Blood and Serum Analysis
4.10. Histopathological Studies
4.11. UPLC-QTOF/MS Analysis
4.12. Computational Molecular Docking Analysis
4.12.1. Preparation of Ligands
4.12.2. Protein Preparation
4.12.3. SiteMap: Active Site Prediction
4.12.4. Receptor Grid Generation and Molecular Docking
4.12.5. Bioactive Compound–Target Protein Network Construction
4.12.6. Construction of Protein–Protein Interaction (PPI) Network of the Predicted Genes
4.12.7. Gene Ontology (GO) and Kyoto Encyclopedia of Genes and Genomes (KEGG) Pathway Enrichment Analyses of the Target Proteins
4.13. Statistical Analysis
5. Conclusions
Supplementary Materials
Author Contributions
Funding
Institutional Review Board Statement
Informed Consent Statement
Data Availability Statement
Acknowledgments
Conflicts of Interest
Sample Availability
Abbreviations
| HDL | High-density lipoprotein |
| LDL | Low-density lipoprotein |
| TC | Total cholesterol |
| TFC | Total flavonoid content |
| TG | Triglyceride |
| TPC | Total phenolic content |
| UPLC-QTOF | Ultra-performance liquid chromatography coupled with time-of-flight mass spectrometry |
References
- Cho, N.; Shaw, J.; Karuranga, S.; Huang, Y.; Fernandes, J.D.R.; Ohlrogge, A.; Malanda, B. IDF Diabetes Atlas: Global Estimates of Diabetes Prevalence for 2017 and Projections for 2045. Diabetes Res. Clin. Pract. 2018, 138, 271–281. [Google Scholar] [CrossRef]
- UK Prospective Diabetes Study (UKPDS). VIII Study Design, Progress and Performance. Diabetologia 1991, 34, 877–890. [Google Scholar]
- Pooya, S.; Jalali, M.D.; Jazayery, A.D.; Saedisomeolia, A.; Eshraghian, M.R.; Toorang, F. The Efficacy of Omega-3 Fatty Acid Supplementation on Plasma Homocysteine and Malondialdehyde Levels of Type 2 Diabetic Patients. Nutr. Metab. Cardiovasc. Dis. 2010, 20, 326–331. [Google Scholar] [CrossRef] [PubMed]
- Mawa, J.; Rahman, A.; Hashem, M.; Hosen, J. Leea Macrophylla Root Extract Upregulates the mRNA Expression for Antioxidative Enzymes and Repairs the Necrosis of Pancreatic β-cell and Kidney Tissues in Fructose-fed Type 2 Diabetic Rats. Biomed. Pharmacother. 2019, 110, 74–84. [Google Scholar] [CrossRef]
- Panneerselvam, A. Drug Management of Type 2 Diabetes Mellitus-clinical Experience at a Diabetes Center in South India. Int. J. Diab. Dev. Ctries 2004, 24, 40–46. [Google Scholar]
- Khare, C.P. Indian Medicinal Plants: An Illustrated Dictionary; Springer: New York, NY, USA, 2007; p. 533. [Google Scholar]
- Kirtikar, K.R.; Basu, B.D. Indian Medicinal Plant, 2nd ed.; Prashant Gahlot at Valley Offset Publishers: New Delhi, India, 2006; p. 1037. [Google Scholar]
- Islam, M.Z.; Sarker, M.; Hossen, F.; Mukharjee, S.K.; Akter, M.S.; Hossain, M.T. Phytochemical and Biological Studies of the Quisqualis indica Leaves Extracts. J. Noakhali. Sci. Technol. Univ. 2017, 1, 9–17. [Google Scholar]
- DeFilipps, R.A.; Krupnick, G.A. The Medicinal Plants of Myanmar. PhytoKeys 2018, 102, 1–341. [Google Scholar] [CrossRef]
- Gurib Fakim, A. Combretum Indicum (L.) De Filipps. In Prota 11(2): Medicinal Plants/Plantes Médicinales 2. PROTA.; Schmelzer, G.H., Gurib-Fakim, A., Eds.; Wageningen: Pays Bas, The Netherlands, 2012. [Google Scholar]
- Jahan, F.N.; Rahman, M.S.; Hossain, M.; Rashid, M.A. Antimicrobial Activity and Toxicity of Quisqualis indica. Orient. Pharm. Exp. Med. 2008, 8, 53–58. [Google Scholar] [CrossRef][Green Version]
- Lin, T.-C.; Ma, Y.-T.; Wu, J.; Hsu, F.-L. Tannins and Related Compounds from Quisqualis Indica. J. Chin. Chem. Soc. 1997, 44, 151–155. [Google Scholar] [CrossRef]
- Ferris, H.; Zheng, L. Plant Sources of Chinese Herbal Remedies: Effects on Pratylenchus vulnus and Meloidogyne javanica. J. Nematol. 1999, 31, 241–263. [Google Scholar] [PubMed]
- Yadav, Y.; Mohanty, P.K.; Kasture, S.B. Evaluation of Immunomodulatory Activity of Hydroalcoholic Extract of Quisqualis indica Linn. Flower in Wistar Rats. Int. J. Life Sci. Biotechnol. Pharma Res. 2011, 2, 689–696. [Google Scholar]
- Das, A.; Samal, K.C.; Das, A.B.; Rout, G.R. Quantification, Antibacterial Assay and Cytotoxic Effect of Combretastatin, an Anticancer Compound from Three Indian Combretum species. Int. J. Curr. Microbiol. Appl. Sci. 2018, 7, 687–699. [Google Scholar] [CrossRef]
- Kambar, Y.; Asha, M.M.; Chaithra, M.; Prashith, K.T. Antibacterial Activity of Leaf and Flower Extract of Quisqualis indica Linn. against Clinical Isolates of Staphylococcus aureus. J. Sci. Technol. 2014, 6, 23–24. [Google Scholar]
- Afify, A.E.-M.M.R.; Hassan, H.M.M. Free Radical Scavenging Activity of Three Different Flowers-Hibiscus rosa-sinensis, Quisqualis indica and Senna surattensis. Asian Pac. J. Trop. Biomed. 2016, 6, 771–777. [Google Scholar] [CrossRef]
- Shinozaki, H.; Izumi, S. A New Potent Excitant, Quisqualic Acid: Effects on Crayfish Neuromuscular Junction. Neuropharmacology 1974, 13, 665–672. [Google Scholar] [CrossRef]
- Efferth, T.; Kahl, S.; Paulus, K.; Adams, M.; Rauh, R.; Boechzelt, H.; Hao, X.; Kaina, B.; Bauer, R. Phytochemistry and Pharmacogenomics of Natural Products Derived from Traditional Chinese Medicine and Chinese Materia Medica with Activity Against Tumor Cells. Mol. Cancer Ther. 2008, 7, 152–161. [Google Scholar] [CrossRef] [PubMed]
- Mollik, A.H.; Hassan, A.I.; Paul, T.K.; Sintaha, M.; Khaleque, H.N.; Noor, F.A.; Nahar, A.; Seraj, S.; Jahan, R. A Survey of Medicinal Plant Usage by Folk Medicinal Practitioners in Two Villages by the Rupsha River in Bagerhat District, Bangladesh. Am. Eurasian J. Sustain. Agric. 2010, 4, 349–356. [Google Scholar]
- Surasak, L.; Supayang, P.V. Anti-Streptococcus pyogenes Activity of Selected Medicinal Plant Extracts Used in Thai Traditional Medicine. Trop. J. Pharm. Res. 2013, 12, 535–540. [Google Scholar]
- Sahu, J.; Patel, P.K.; Dubey, B. Quisqualis indica Linn: A Review of Its Medicinal Properties. Int. J. Pharm. Phytopharmacol. Res. 2012, 1, 313–321. [Google Scholar]
- Singh, N.; Mohan, G.; Sharma, R.K.; Gnaneshwari, D. Evaluation of Antidiarrhoeal Activity of Quisqualis indica leaves. Ind. J. Nat. Prod. Resourc. 2013, 4, 155–160. [Google Scholar]
- Bairagi, V.A.; Sadu, N.; Senthilkumar, K.L.; Ahire, Y. Anti-diabetic Potential of Quisqualis indica Linn. in Rats. Int. J. Pharm. Phytopharm. Res. 2012, 1, 166–171. [Google Scholar]
- Yousefi, F.; Mahjoub, S.; Pouramir, M.; Khadir, F. Hypoglycemic Activity of Pyrus biossieriana Buhse Leaf Extract and Arbutin: Inhibitory Effects on Alpha Amylase and Alpha Glucosidase. Casp. J. Intern. Med. 2013, 4, 763–767. [Google Scholar]
- Shahaboddin, M.E.; Pouramir, M.; Moghadamnia, A.A.; Parsian, H.; Lakzaei, M.; Mir, H. Pyrus biossieriana Buhse Leaf Extract: An Antioxidant, Antihyperglycaemic and Antihyperlipidemic Agent. Food Chem. 2011, 126, 1730–1733. [Google Scholar] [CrossRef]
- Geetha, B.S.; Mathew, B.C.; Augusti, K.T. Hypoglycemic Effects of Leucodelphinidin Derivative Isolated from Ficus bengalensis (Linn). Indian J. Physiol. Pharmacol. 1994, 38, 220–222. [Google Scholar]
- Søndergaard, C.R.; Olsson, M.H.; Rostkowski, M.; Jensen, J.H. Improved Treatment of Ligands and Coupling Effects in Empirical Calculation and Rationalization of pKa values. J. Chem. Theory Comput. 2011, 7, 2284–2295. [Google Scholar] [CrossRef] [PubMed]
- Singh, B.; Singh, J.P.; Singh, N.; Kaur, A. Saponins in Pulses and Their Health Promoting Activities: A review. Food Chem. 2017, 233, 540–549. [Google Scholar] [CrossRef] [PubMed]
- Li, H.; Cao, W.; Wei, L.-F.; Xia, J.-Q.; Gu, Y.; Gu, L.-M.; Pan, C.-Y.; Liu, Y.-Q.; Tian, Y.-Z.; Lu, M. Arbutin Alleviates Diabetic Symptoms by Attenuating Oxidative Stress in a Mouse Model of Type 1 Diabetes. Int. J. Diabetes Dev. Ctries. 2021, 1–7. [Google Scholar] [CrossRef]
- Lee, W.-K.; Kao, S.-T.; Liu, I.-M.; Cheng, J.-T. Increase of Insulin Secretion by Ginsenoside Rh2 to Lower Plasma Glucose in Wistar Rats. Clin. Exp. Pharmacol. Physiol. 2006, 33, 27–32. [Google Scholar] [CrossRef]
- Zhu, H.; Zhu, X.; Liu, Y.; Jiang, F.; Chen, M.; Cheng, L.; Cheng, X. Gene Expression Profiling of Type 2 Diabetes Mellitus by Bioinformatics Analysis. Comput. Math. Methods Med. 2020, 2020, 1–10. [Google Scholar] [CrossRef]
- Lee, W.-K.; Kao, S.-T.; Liu, I.-M.; Cheng, J.-T. Ginsenoside Rh2 is One of the Active Principles of Panax Ginseng Root to Improve Insulin Sensitivity in Fructose-rich Chow-fed Rats. Horm. Metab. Res. 2007, 39, 347–354. [Google Scholar] [CrossRef] [PubMed]
- Tsalamandris, S.; Antonopoulos, A.; Oikonomou, E.; Papamikroulis, G.-A.; Vogiatzi, G.; Papaioannou, S.; Deftereos, S.; Tousoulis, D. The Role of Inflammation in Diabetes: Current Concepts and Future Perspectives. Eur. Cardiol. Rev. 2019, 14, 50–59. [Google Scholar] [CrossRef]
- Fu, Q.; Shi, Q.; West, T.M.; Xiang, Y.K. Cross-Talk Between Insulin Signaling and G Protein–Coupled Receptors. J. Cardiovasc. Pharmacol. 2017, 70, 74–86. [Google Scholar] [CrossRef]
- Berbudi, A.; Rahmadika, N.; Tjahjadi, A.; Ruslami, R. Type 2 Diabetes and its Impact on the Immune System. Curr. Diabetes Rev. 2020, 16, 442–449. [Google Scholar] [CrossRef]
- Khanal, P.; Patil, B.; Mandar, B.K.; Dey, Y.N.; Duyu, T. Network Pharmacology-based Assessment to Elucidate the Molecular Mechanism of Anti-diabetic Action of Tinospora cordifolia. Clin. Phytoscience 2019, 5, 1–9. [Google Scholar] [CrossRef]
- Lu, J.; Liu, J.; Li, L.; Lan, Y.; Liang, Y. Cytokines in Type 1 Diabetes: Mechanisms of Action and Immunotherapeutic Targets. Clin. Transl. Immunol. 2020, 9, e1122. [Google Scholar] [CrossRef] [PubMed]
- Marks, I.N.; Shuman, C.R.; Shay, H. Gastric Acid Secretion in Diabetes Mellitus. Ann. Intern. Med. 1959, 51, 227–237. [Google Scholar] [CrossRef]
- Morigny, P.; Houssier, M.; Mouisel, E.; Langin, D. Adipocyte Lipolysis and Insulin Resistance. Biochimie 2016, 125, 259–266. [Google Scholar] [CrossRef]
- He, K.; Song, S.; Zou, Z.; Feng, M.; Wang, D.; Wang, Y.; Li, X.; Ye, X. The Hypoglycemic and Synergistic Effect of Loganin, Morroniside, and Ursolic Acid Isolated from the Fruits of Cornus officinalis. Phytother. Res. 2015, 30, 283–291. [Google Scholar] [CrossRef]
- Kou, L.; Du, M.; Zhang, C.; Dai, Z.; Li, X.; Zhang, B. The hypoglycemic, Hypolipidemic, and Anti-diabetic Nephritic Activities of Zeaxanthin in di-et-Streptozotocin-Induced Diabetic Sprague Dawley Rats. Appl. Biochem. Biotech. 2017, 182, 944–955. [Google Scholar] [CrossRef]
- Coulidiati, T.H.; Millogo-Kone, H.; Lamien-Meda, A.; Yougbare-Ziebrou, M.; Millogo-Rasolodimby, J.; Nacoulma, O.G. Antioxidant and Antibacterial Activities of Two Combretum Species from Burkina Faso. Rese. J. Med. Plants 2011, 5, 42–53. [Google Scholar] [CrossRef][Green Version]
- Shelley, J.C.; Cholleti, A.; Frye, L.L.; Greenwood, J.R.; Timlin, M.R.; Uchimaya, M. Epik: A Software Program for pK a Prediction and Protonation State Generation for Drug-like Molecules. J. Comput. Mol. Des. 2007, 21, 681–691. [Google Scholar] [CrossRef]
- Sastry, G.M.; Adzhigirey, M.; Day, T.; Annabhimoju, R.; Sherman, W. Protein and Ligand Preparation: Parameters, Protocols, and Influence on Virtual Screening Enrichments. J. Comput. Mol. Des. 2013, 27, 221–234. [Google Scholar] [CrossRef]
- Release, S. 2: Schrödinger Release 2018-4: Prime, Schrödinger, LLC: New York, NY, USA, 2018.
- Protein Preparation Wizard 2018-4, Epik version 4. 6.12, Impact version 8.1.12, Prime 5.4.12, Schrödinger, LLC: New York, NY, USA, 2018.
- Schrödinger Release 2018-4: SiteMap, Schrödinger, LLC: New York, NY, USA, 2018.
- Nayal, M.; Honig, B. On the Nature of Cavities on Protein Surfaces: Application to the Identification of Drug-binding Sites. Proteins Struct. Funct. Bioinform. 2006, 63, 892–906. [Google Scholar] [CrossRef]
- Halgren, T. New Method for Fast and Accurate Binding-site Identification and Analysis. Chem. Biol. Drug Des. 2007, 69, 146–148. [Google Scholar] [CrossRef] [PubMed]
- Halgren, T.A. Identifying and Characterizing Binding Sites and Assessing Drug Ability. J. Chem. Inf. Model 2009, 49, 377–389. [Google Scholar] [CrossRef]
- Glide, Version 8.1.12, Schrödinger, LLC: New York, NY, USA, 2018.
- Friesner, R.A.; Banks, J.L.; Murphy, R.B.; Halgren, T.A.; Klicic, J.J.; Mainz, D.T.; Repasky, M.P.; Knoll, E.H.; Shelley, M.; Perry, J.K.; et al. Glide: A New Approach for Rapid, Accurate Docking and Scoring. 1. Method and Assessment of Docking Accuracy. J. Med. Chem. 2004, 47, 1739–1749. [Google Scholar] [CrossRef]
- Halgren, T.A.; Murphy, R.B.; Friesner, R.A.; Beard, H.S.; Frye, L.L.; Pollard, W.T.; Banks, J.L. Glide: A New Approach for Rapid, Accurate Docking and Scoring. 2. Enrichment Factors in Database Screening. J. Med. Chem. 2004, 47, 1750–1759. [Google Scholar] [CrossRef] [PubMed]
- Friesner, R.A.; Murphy, R.B.; Repasky, M.P.; Frye, L.L.; Greenwood, J.R.; Halgren, T.A.; Sanschagrin, P.C.; Mainz, D.T. Extra precision glide: Docking and Scoring Incorporating a Model of Hydrophobic Enclosure for Protein−ligand Complexes. J. Med. Chem. 2006, 49, 6177–6196. [Google Scholar] [CrossRef] [PubMed]
- Sagbo, I.J.; Afolayan, A.J.; Bradley, G. Antioxidant, Antibacterial and Phytochemical Properties of Two Medicinal Plants Against the Wound Infecting Bacteria. Asian Pac. J. Trop. Biomed. 2017, 7, 817–825. [Google Scholar] [CrossRef]
- Rahman, M.A.; Chowdhury, J.K.H.; Aklima, J.; Azadi, M.A. Leea macrophylla Roxb. Leaf extract Potentially Helps Normalize islet of β-cells Damaged in STZ-induced Albino Rats. Food Sci. Nutr. 2018, 6, 943–952. [Google Scholar] [CrossRef] [PubMed]
- Zaoui, A.; Cherrah, Y.; Mahassini, N.; Alaoui, K.; Amarouch, H.; Hassar, M. Acute and Chronic Toxicity of Nigella sativa fixed oil. Phytomedicine 2002, 9, 69–74. [Google Scholar] [CrossRef]
- Karber, G. Beitrag zur kollecktiven Behandlung Pharmakologischer Reihenversuche. Arc. Exp. Pathol. Pharmakol. 1931, 162, 480–483. [Google Scholar] [CrossRef]
- Hodge, A.; Sterner, B. Toxicity Classes; Canadian Centre for Occupational Health Safety: Hamilton, ON, Canada, 2005; Available online: http://www.ccohs.ca/oshanswers/chemicals/id50.htm (accessed on 3 August 2020).
- OECD/OCDE. Guideline for the Testing of Chemicals. Revised Draft Guideline 423: Acute Oral Toxicity; OECD: Paris, France, 2000. [Google Scholar]
- Parthasarathy, R.; Ilavarasan, R.; Karrunakaran, C.M. Antidiabetic Activity of Thespesia populnea bark and Leaf Extract Against Streptozotocin induced Diabetic Rats. Int. J. Pharmtech. Res. 2009, 1, 1069–1072. [Google Scholar]
- Mueller, P.H.; Schmuelling, R.M.; Liebich, H.M.; Eggstein, M. A Fully Enzymatic Triglyceride Determination. J. Clin. Chem. Clin. Biochem. 1977, 15, 457. [Google Scholar]
- Allain, C.C.; Poon, L.S.; Chan, C.S.; Richmond, W.; Fu, P.C. Enzymatic Determination of Total Serum cholesterol. Clin. Chem. 1974, 20, 470–475. [Google Scholar] [CrossRef] [PubMed]
- Hoff, J. Methods of Blood Collection in Mouse. Lab Anim. Technique. 2000, 29, 47–53. [Google Scholar]
- Roeschlau, P.; Bernt, E.; Gruber, W. Enzymatic Determination of Total Cholesterol in Serum. Z Klin Chem. Klin Biochem. 1974, 12, 226. [Google Scholar] [PubMed]
- Friedewald, W.T.; Levy, R.; Fredrickson, D.S. Estimation of the Concentration of Low-Density Lipoprotein Cholesterol in Plasma, Without Use of the Preparative Ultracentrifuge. Clin. Chem. 1972, 18, 499–502. [Google Scholar] [CrossRef]
- Guan, J.; Lai, C.; Li, S. A Rapid Method for the Simultaneous Determination of 11 saponins in Panax notoginseng Using Ultra Performance Liquid Chromatography. J. Pharm. Biomed. Anal. 2007, 44, 996–1000. [Google Scholar] [CrossRef]
- Rohilla, A.; Ali, S. Alloxan Induced Diabetes: Mechanisms and Effects. Int. J. Res. Pharm. Biomed. Sci. 2012, 3, 819–823. [Google Scholar]
- Tripathi, V.; Verma, J. Different Models Used to Induce Diabetes: A Comprehensive Review. Int. J. Pharm. Pharm. Sci. 2014, 6, 29–32. [Google Scholar]
- Johansen, J.S.; Harris, A.K.; Rychly, D.J.; Ergul, A. Oxidative Stress and the use of Antioxidants in Diabetes: Linking Basic Science to Clinical Practice. Cardiovasc. Diabetol. 2005, 4, 5. [Google Scholar] [CrossRef]
- Jebur, A.B.; Mokhamer, M.H.; El-Demerdash, F.M. A Review on Oxidative Stress and Role of Antioxidants in Diabetes Mellitus. Austin Endocrinol. Diabetes Case Rep. 2016, 1, 1006. [Google Scholar]
- Ogbonnia, S.; Mbaka, G.; Igbokwe, N.; Anyika, E.; Alli, P.; Nwakakwa, N. Antimicrobial evaluation, acute and subchronic toxicity studies of Leone Bitters, a Nigerian polyherbal formulation, in rodents. Agric. Biol. J. N. Am. 2010, 366–376. [Google Scholar] [CrossRef]
- Rahimi, R.; Nikfar, S.; Larijani, B.; Abdollahi, M. A Review on the role of Antioxidants in the Management of Diabetes and Its Complications. Biomed. Pharmacother. 2005, 59, 365–373. [Google Scholar] [CrossRef] [PubMed]
- Aberoumand, A.; Deokule, S.S. Comparison of Phenolic Compounds of Some Edible Plants of Iran and India. Pak. J. Nutr. 2008, 7, 582–585. [Google Scholar] [CrossRef]
- Masoko, P.; Eloff, J.N. Screening of Twenty-Four South African Combretum and Six Terminalia species (Combretaceae) for Anti-oxidant Activities. Afr. J. Tradit. Complement Altern. Med. 2007, 4, 231–239. [Google Scholar]
- Coulidiati, T.H.; Millogo-Koné, H.; Lamien-Méda, A.; Lamien, C.E.; Lompo, M.; Kiendrébéogo, M.; Bakasso, S.; Yougbaré-Ziébrou, M.; Millogo-Rasolodimby, J.; Nacoulma, O.G. Antioxidant and Antibacterial Activities of Combretum nioroense Au-brev. Ex keay (Combretaceae). Pak. J. Biol. Sci. 2009, 12, 264. [Google Scholar] [CrossRef] [PubMed][Green Version]
- Krishnakumar, K.; Augusti, K.T.; Vijayammal, P.L. Anti-peroxidative and Hypoglycaemic Activity of Salacia oblonga Extract in Diabetic Rats. Pharm. Biol. 2000, 38, 101–105. [Google Scholar] [CrossRef]
- Inoguchi, T.; Li, P.; Umeda, F.; Yu, H.Y.; Kakimoto, M.; Imamura, M.; Aoki, T.; Etoh, T.; Hashimoto, T.; Naruse, M.; et al. High Glucose Level and Free Fatty Acid Stimulate Reactive Oxygen Species Production Through Protein Kinase C-dependent Activation of NAD(P)H Oxidase in Cultured Vascular Cells. Diabetes 2000, 49, 1939–1945. [Google Scholar] [CrossRef]
- Zhou, J.Y.; Zhou, S.W.; Zhang, K.B.; Tang, J.L.; Guang, L.X.; Ying, Y.; Xu, Y.; Le, Z.; Li, D.D. Chronic Effects of Berberine on Blood, Liver Glucolipid Metabolism and Liver PPARs Ex-pression in Diabetic Hyperlipidemic Rats. Biol. Pharm. Bull. 2008, 31, 1169–1176. [Google Scholar] [CrossRef] [PubMed]














| Indices | Values (Unit) | Reference/Standard |
|---|---|---|
| Total phenolic content | 155 ± 7.35 mg/g as GAE | |
| Total flavonoid content | 164.33 ± 2.71 mg/g as QE | 80.65 ± 2.8 µg/mL |
| Inhibition concentration (IC50) | 165.6 ± 3.1 µg/mL |
| SL No. | RT (min) | Molecular Formula | Observed Mass (m/z)/Neutral mass | [M − H]− (m/z) | Main Fragments | Compound |
|---|---|---|---|---|---|---|
| A. | 17.92 | C40H56O2 | 568.4282 | 567 | 593.27, 585.43,55 9.27, 353.16, 635.28, 636.28,683.33, 834.24 | Zeaxanthin |
| B. | 15.75 | C15H14O8 | 345.0603 | 344 | 345.06, 313.03, 285.03, 229.04 346.06, 536.06, 728.00 | Leucodelphinidin |
| C. | 17.02 | C32H42O10 | 609.2711 | 608 | 609.27, 591.26,531.23, 251.14, 173.09, 625.26, 667.27, 854.58 | Azedarachin C |
| D. | 7.29 | C27H32O5 | 437.2363 | 436 | 437.23, 415.20 133.08, 438.23 459.21 | 3-o-Benzoyl-2-o- deoxyingenol |
| E. | 17.44 | C30H46O13 | 621.29 | 620 | 621.30, 607.29, 594.28, 653.29 675.27, 676.28, 977.72 | Picrasinoside E |
| F. | 5.89 | C16H28O8 | 349.1834 | 348 | 349.18, 350.18 | Schizonepetoside E |
| G. | 12.03 | C22H36O10 | 461.2358 | 460 | 461.23, 375.19, 462.23, 553.30 863.48 | 1β,3β,6α-Trihydroxy-4α(15)-dihydrocostic acid methyl ester-1-o-β-d-glucopyranoside |
| H. | 9.40 | C35H48O9 | 613.3410 | 612 | 613.34, 608.38, 133.08, 615.34 | Melianol |
| I. | 6.27 | C12H16O7 | 273.0944 | 272 | 205.01, 265.14, 273.09 | Arbutin |
| PDB ID | SiteScore | Size | Dscore | Volume | Exposure | Enclosure | Contact | Phobic | Philic | Balance | Don/acc |
|---|---|---|---|---|---|---|---|---|---|---|---|
| 1XU9 | 1.069 | 666 | 0.969 | 1496.166 | 0.481 | 0.801 | 1.079 | 0.264 | 1.384 | 0.191 | 0.714 |
| 1XU7 | 1.05 | 182 | 0.904 | 336.14 | 0.504 | 0.772 | 1.06 | 0.199 | 1.532 | 0.13 | 0.33 |
| 2BEL | 1.093 | 122 | 1.117 | 471.282 | 0.556 | 0.812 | 0.904 | 0.606 | 0.951 | 0.637 | 0.674 |
| 6R4F | 1.155 | 308 | 1.12 | 766.262 | 0.274 | 0.929 | 1.195 | 0.762 | 1.157 | 0.659 | 0.628 |
| 3A5J | 0.807 | 53 | 0.635 | 214.032 | 0.662 | 0.707 | 0.859 | 0.129 | 1.453 | 0.089 | 0.443 |
| Compounds | Docking Score | Glide Model | Glide Energy |
|---|---|---|---|
| 1XU9 | |||
| Metformin | −2.947 | −25.206 | −18.318 |
| Gliclazide | −6.115 | −49.527 | −37.472 |
| Picrasinoside E | −2.343 | −17.099 | −20.358 |
| Azedarachin C | −2.575 | −32.511 | −28.533 |
| Arbutin | −6.172 | −46.152 | −33.944 |
| 3−o−Benzoyl−20−deoxyingenol | −6.008 | −44.674 | −23.01 |
| Leucodelphinidin | −6.468 | −53.684 | −39.835 |
| Melianol | −8.363 | −49.99 | −36.079 |
| Schizonepetoside E | −8.145 | −59.072 | −47.635 |
| 1XU7 | |||
| Metformin | −4.163 | −29.164 | −23.565 |
| Gliclazide | −4.913 | −34.925 | −26.387 |
| Picrasinoside E | −4.196 | −39.489 | −36.295 |
| Azedarachin C | −5.662 | −31.181 | −34.502 |
| Arbutin | −5.163 | −37.436 | −29.202 |
| 3−o−Benzoyl−20−deoxyingenol | −6.049 | −35.397 | −31.4 |
| Leucodelphinidin | −6.166 | −46.923 | −35.177 |
| Melianol | −8.475 | −66.188 | −47.383 |
| Schizonepetoside E | −6.641 | −47.271 | −35.517 |
| 2BEL | |||
| Metformin | −2.99 | −22.089 | −17.491 |
| Gliclazide | −5.885 | −53.992 | −39.404 |
| Picrasinoside_E | −6.358 | −57.254 | −45.617 |
| Azedarachin_C | −7.246 | −53.762 | −42.76 |
| Arbutin | −5.957 | −49.719 | −37.458 |
| 3−o−Benzoyl−20−deoxyingenol | −5.948 | −54.747 | −41.134 |
| Leucodelphinidin | −6.744 | −64.075 | −45.816 |
| Melianol | −8.995 | −77.557 | −52.946 |
| Schizonepetoside_E | −7.685 | −60.926 | −44.759 |
| 6R4F | |||
| Metformin | −4.031 | −29.186 | −19.423 |
| Arbutin | −7.492 | −74.393 | −57.298 |
| Leucodelphinidin | −5.279 | −32.25 | −23.607 |
| Schizonepetoside_E | −6.859 | −64.027 | −53.418 |
| 3A5J | |||
| Metformin | −2.71 | −18.439 | −16.472 |
| Gliclazide | −4.252 | −50.298 | −36.799 |
| Picrasinoside E | −4.055 | −50.347 | −42.864 |
| Azedarachin C | −2.39 | −29.319 | −30.194 |
| Arbutin | −4.962 | −45.683 | −35.8 |
| 3−o−Benzoyl−20−deoxyingenol | −3.532 | −48.425 | −40.094 |
| Leucodelphinidin | −6.123 | −58.309 | −43.265 |
| Melianol | −4.453 | −52.271 | −42.912 |
| Schizonepetoside E | −5.716 | −50.39 | −44.064 |
Publisher’s Note: MDPI stays neutral with regard to jurisdictional claims in published maps and institutional affiliations. |
© 2021 by the authors. Licensee MDPI, Basel, Switzerland. This article is an open access article distributed under the terms and conditions of the Creative Commons Attribution (CC BY) license (https://creativecommons.org/licenses/by/4.0/).
Share and Cite
Forid, M.S.; Rahman, M.A.; Aluwi, M.F.F.M.; Uddin, M.N.; Roy, T.G.; Mohanta, M.C.; Huq, A.M.; Amiruddin Zakaria, Z. Pharmacoinformatics and UPLC-QTOF/ESI-MS-Based Phytochemical Screening of Combretum indicum against Oxidative Stress and Alloxan-Induced Diabetes in Long–Evans Rats. Molecules 2021, 26, 4634. https://doi.org/10.3390/molecules26154634
Forid MS, Rahman MA, Aluwi MFFM, Uddin MN, Roy TG, Mohanta MC, Huq AM, Amiruddin Zakaria Z. Pharmacoinformatics and UPLC-QTOF/ESI-MS-Based Phytochemical Screening of Combretum indicum against Oxidative Stress and Alloxan-Induced Diabetes in Long–Evans Rats. Molecules. 2021; 26(15):4634. https://doi.org/10.3390/molecules26154634
Chicago/Turabian StyleForid, Md. Shaekh, Md. Atiar Rahman, Mohd Fadhlizil Fasihi Mohd Aluwi, Md. Nazim Uddin, Tapashi Ghosh Roy, Milon Chandra Mohanta, AKM Moyeenul Huq, and Zainul Amiruddin Zakaria. 2021. "Pharmacoinformatics and UPLC-QTOF/ESI-MS-Based Phytochemical Screening of Combretum indicum against Oxidative Stress and Alloxan-Induced Diabetes in Long–Evans Rats" Molecules 26, no. 15: 4634. https://doi.org/10.3390/molecules26154634
APA StyleForid, M. S., Rahman, M. A., Aluwi, M. F. F. M., Uddin, M. N., Roy, T. G., Mohanta, M. C., Huq, A. M., & Amiruddin Zakaria, Z. (2021). Pharmacoinformatics and UPLC-QTOF/ESI-MS-Based Phytochemical Screening of Combretum indicum against Oxidative Stress and Alloxan-Induced Diabetes in Long–Evans Rats. Molecules, 26(15), 4634. https://doi.org/10.3390/molecules26154634

