Synthesis, Characterization, DNA/HSA Interactions, and Anticancer Activity of Two Novel Copper(II) Complexes with 4-Chloro-3-Nitrobenzoic Acid Ligand
Abstract
:1. Introduction
2. Materials and Methods
2.1. Chemicals and Cell Lines
2.2. Preparation
2.2.1. 4-Chloro-3-Nitrobenzoic Acid (ncba) Synthesis
2.2.2. [Cu(ncba)4(phen)] (Complex 1) Synthesis
2.2.3. [Cu(ncba)4(bpy)] (Complex 2) Synthesis
2.3. X-ray Structure Determination
2.4. DNA Binding Studies
2.5. HSA Binding
2.6. In Vitro Cytotoxicity Assays
2.7. Cell Cycle Assays
2.8. Cell Apoptosis Assay
2.9. Western Blot
3. Results and Discussion
3.1. Synthesis and Characterization
3.2. DNA Binding Experiments
3.2.1. Electronic Absorption
3.2.2. Fluorescence Spectroscopy
3.2.3. Viscosity Measurements
3.3. HSA Binding Experiments
3.4. Cytotoxicity Assay In Vitro
3.5. Cell Cycle Arrest
3.6. Induced Cell Apoptosis
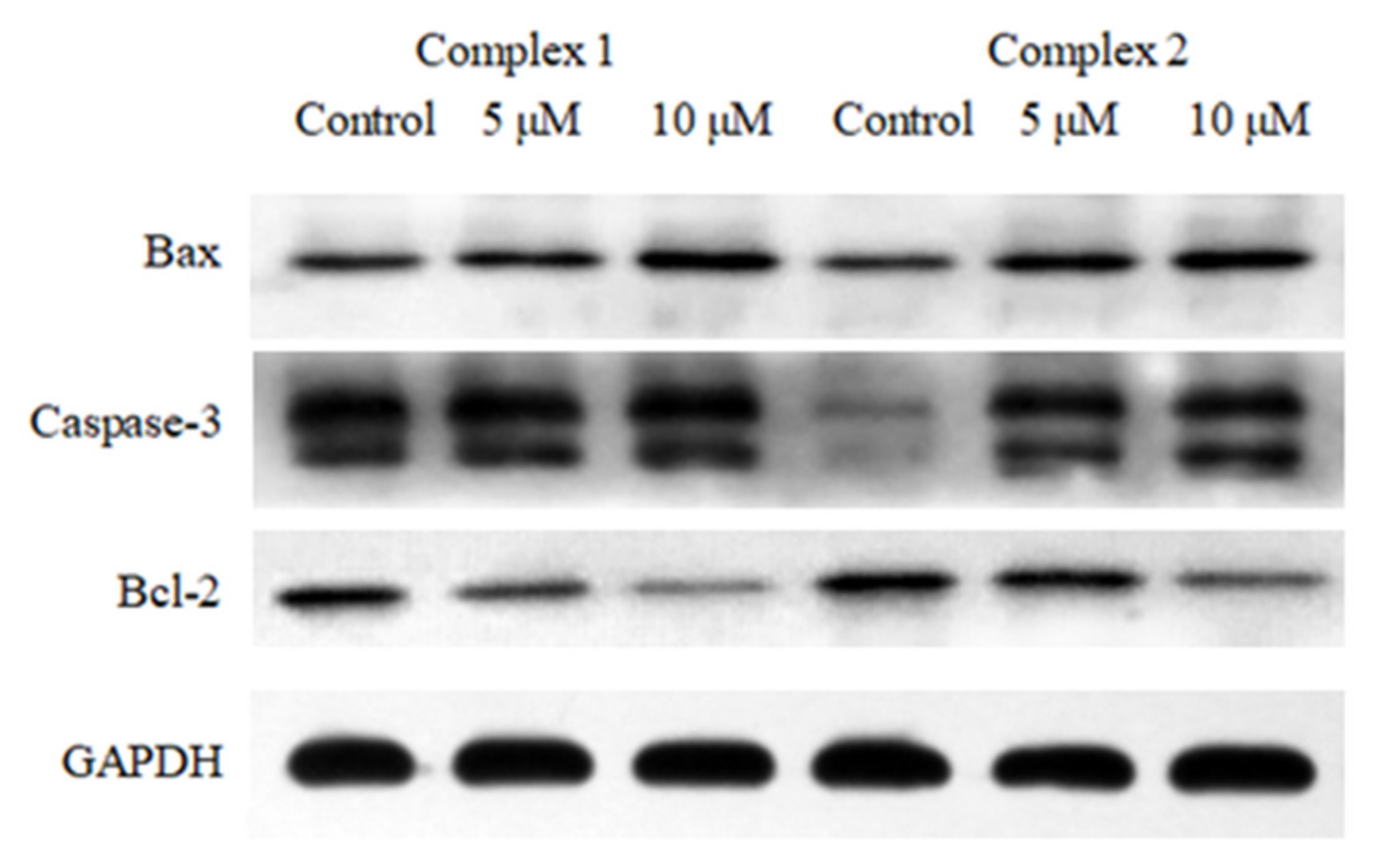
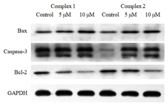
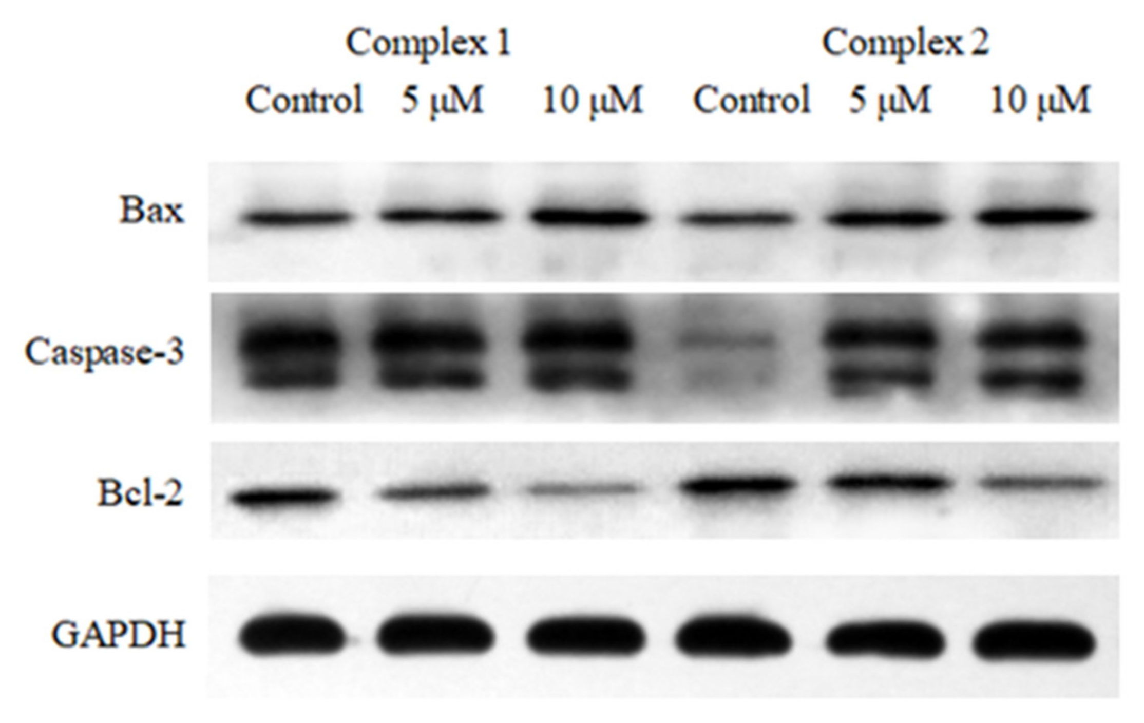
3.7. Caspase and Bcl-2 Protein Family Expression
4. Conclusions
Supplementary Materials
Author Contributions
Funding
Institutional Review Board Statement
Informed Consent Statement
Data Availability Statement
Conflicts of Interest
Sample Availability
Abbreviations
| CHNS | carbon hydrogen nitrogen sulfur |
| EB | ethidium bromide |
| ncba | 4-chloro-3-nitrobenzoic acid |
| phen | 1,10-phenanthroline |
| bpy | 2,2′-bipyridine |
| CCK-8 | cell counting kit 8 |
| CT-DNA | calf thymus DNA |
| HeLa | human cervical carcinoma |
| HepG2 | human hepatocellular carcinoma |
| HSA | human serum albumin |
| A549 | human lung carcinoma |
| Bax | Bcl-2-associated X protein |
| BSA | bovine serum albumin |
| Bcl-2 | B cell lymphoma 2 |
| PBS | phosphate-buffered saline |
| PI | propidium iodide |
References
- Mosteiro, L.; Pantoja, C.; Alcazar, N.; Marión, R.M.; Chondronasiou, D.; Rovira, M.; Fernandez-Marcos, P.J.; Muñoz-Martin, M.; Blanco-Aparicio, C.; Pastor, J.; et al. Tissue damage and senescence provide critical signals for cellular reprogramming in vivo. Science 2016, 354, aaf4445. [Google Scholar] [CrossRef]
- Hanahan, D.; Weinberg, R.A. Hallmarks of Cancer: The Next Generation. Cell 2011, 144, 646–674. [Google Scholar] [CrossRef] [Green Version]
- Muggia, F.M.; Bonetti, A.; Hoeschele, J.D.; Rozencweig, M.; Howell, S.B. Platinum Antitumor Complexes: 50 Years Since Barnett Rosenberg’s Discovery. J. Clin. Oncol. 2015, 33, 4219–4226. [Google Scholar] [CrossRef] [PubMed]
- Dasari, S.; Tchounwou, P.B. Cisplatin in cancer therapy: Molecular mechanisms of action. Eur. J. Pharmacol. 2014, 740, 364–378. [Google Scholar] [CrossRef] [PubMed] [Green Version]
- Westendorf, A.F.; Woods, J.A.; Korpis, K.; Farrer, N.J.; Salassa, L.; Robinson, K.; Appleyard, V.; Murray, K.; Grünert, R.; Thompson, A.M.; et al. Trans, trans, trans-[PtIV(N3)2(OH)2(py)(NH3)]: A Light-Activated Antitumor Platinum Complex That Kills Human Cancer Cells by an Apoptosis-Independent Mechanism. Mol. Cancer Ther. 2012, 11, 1894–1904. [Google Scholar] [CrossRef] [PubMed] [Green Version]
- Ayres, L.S.; Berger, M.; Durli, I.C.L.D.O.; Kuhl, C.P.; Terraciano, P.B.; Garcez, T.N.A.; dos Santos, B.G.; Guimarães, J.A.; Passos, E.P.; Cirne-Lima, E.O. Kallikrein-kinin system and oxidative stress in cisplatin-induced ovarian toxicity. Reprod. Toxicol. 2020, 93, 1–9. [Google Scholar] [CrossRef]
- Mok, T.; Wu, Y.; Thongprasert, S.; Yang, C.; Chu, D.T.; Saijo, N.; Sunpaweravong, P.; Han, B.; Margono, B.; Ichinose, Y. Gefitinib or carboplatin–paclitaxel in pulmonary adenocarcinoma. N. Engl. J. Med. 2009, 361, 947–957. [Google Scholar] [CrossRef] [PubMed]
- Cunningham, D.; Starling, N.; Rao, S.; Iveson, T.; Nicolson, M.; Coxon, F.; Middleton, G.; Daniel, F.; Oates, J.; Norman, A.R. Capecitabine and Oxaliplatin for Advanced Esophagogastric Cancer. N. Engl. J. Med. 2008, 358, 36–46. [Google Scholar] [CrossRef] [Green Version]
- Meng, T.; Qin, Q.-P.; Chen, Z.-L.; Zou, H.-H.; Wang, K.; Liang, F.-P. Cyclometalated Ir(III)-8-oxychinolin complexes acting as red-colored probes for specific mitochondrial imaging and anticancer drugs. Eur. J. Med. Chem. 2020, 192, 112192. [Google Scholar] [CrossRef]
- Meng, T.; Qin, Q.-P.; Chen, Z.-L.; Zou, H.-H.; Wang, K.; Liang, F.-P. High in vitro and in vivo antitumor activities of Ln(III) complexes with mixed 5,7-dichloro-2-methyl-8-quinolinol and 4,4’-dimethyl-2,2’-bipyridyl chelating ligands. Eur. J. Med. Chem. 2019, 169, 103–110. [Google Scholar] [CrossRef] [PubMed]
- Zhang, D.-Y.; Zheng, Y.; Zhang, H.; Sun, J.-H.; Tan, C.-P.; He, L.; Zhang, W.; Ji, L.-N.; Mao, Z.-W. Delivery of Phosphorescent Anticancer Iridium(III) Complexes by Polydopamine Nanoparticles for Targeted Combined Photothermal-Chemotherapy and Thermal/Photoacoustic/Lifetime Imaging. Adv. Sci. 2018, 5, 1800581. [Google Scholar] [CrossRef] [Green Version]
- Şen, B.; Kalhan, H.K.; Demir, V.; Güler, E.E.; Kayalı, H.A.; Subaşı, E. Crystal structures, spectroscopic properties of new cobalt(II), nickel(II), zinc(II) and palladium(II) complexes derived from 2-acetyl-5-chloro thiophene thiosemicarbazone: Anticancer evaluation. Mater. Sci. Eng. C 2019, 98, 550–559. [Google Scholar] [CrossRef]
- Mu, C.; Prosser, K.E.; Harrypersad, S.; MacNeil, G.A.; Panchmatia, R.; Thompson, J.R.; Sinha, S.; Warren, J.J.; Walsby, C.J. Activation by Oxidation: Ferrocene-Functionalized Ru(II)-Arene Complexes with Anticancer, Antibacterial, and Antioxidant Properties. Inorg. Chem. 2018, 57, 15247–15261. [Google Scholar] [CrossRef]
- Khan, T.; Azad, I.; Ahmad, R.; Raza, S.; Dixit, S.; Joshi, S.; Khan, A.R. Synthesis, characterization, computational studies and biological activity evaluation of Cu, Fe, Co and Zn complexes with 2-butanone thiosemicarbazone and 1,10-phenanthroline ligands as anticancer and antibacterial agents. EXCLI J. 2018, 17, 331–348. [Google Scholar] [CrossRef]
- De Camargo, M.S.; De Grandis, R.A.; Da Silva, M.M.; Da Silva, P.B.; Santoni, M.M.; Eismann, C.E.; Menegário, A.A.; Cominetti, M.R.; Zanelli, C.; Pavan, F.R.; et al. Determination of in vitro absorption in Caco-2 monolayers of anticancer Ru(II)-based complexes acting as dual human topoisomerase and PARP inhibitors. BioMetals 2018, 32, 89–100. [Google Scholar] [CrossRef] [PubMed]
- Cao, J.-J.; Zheng, Y.; Wu, X.-W.; Tan, C.-P.; Chen, M.-H.; Wu, N.; Ji, L.-N.; Mao, Z.-W. Anticancer Cyclometalated Iridium(III) Complexes with Planar Ligands: Mitochondrial DNA Damage and Metabolism Disturbance. J. Med. Chem. 2019, 62, 3311–3322. [Google Scholar] [CrossRef] [PubMed]
- Yaqub, A.; Malkani, N.; Shabbir, A.; Ditta, S.A.; Tanvir, F.; Ali, S.; Naz, M.; Kazmi, S.A.R.; Ullah, R. Novel Biosynthesis of Copper Nanoparticles Using Zingiber and Allium sp. with Synergic Effect of Doxycycline for Anticancer and Bactericidal Activity. Curr. Microbiol. 2020, 77, 2287–2299. [Google Scholar] [CrossRef] [PubMed]
- Yang, P.; Zhang, D.-D.; Wang, Z.-Z.; Liu, H.-Z.; Shi, Q.-S.; Xie, X.-B. Copper(ii) complexes with NNO ligands: Synthesis, crystal structures, DNA cleavage, and anticancer activities. Dalton Trans. 2019, 48, 17925–17935. [Google Scholar] [CrossRef] [PubMed]
- Pilon, A.; Lorenzo, J.; Rodriguez-Calado, S.; Adao, P.; Martins, A.M.; Valente, A.; Alves, L.G. New Cyclams and Their Copper(II) and Iron(III) Complexes: Synthesis and Potential Application as Anticancer Agents. ChemMedChem 2019, 14, 770–778. [Google Scholar] [CrossRef]
- Medina, J.J.M.; Naso, L.G.; Pérez, A.L.; Rizzi, A.; Okulik, N.B.; Valcarcel, M.; Salado, C.; Ferrer, E.G.; Williams, P.A. Synthesis, characterization, theoretical studies and biological (antioxidant, anticancer, toxicity and neuroprotective) determinations of a copper(II) complex with 5-hydroxytryptophan. Biomed. Pharmacother. 2019, 111, 414–426. [Google Scholar] [CrossRef]
- Zafar, A.; Singh, S.; Ahmad, S.; Khan, S.; Siddiqi, M.I.; Naseem, I. Interaction of C20-substituted derivative of pregnenolone acetate with copper(II) leads to ROS generation, DNA cleavage and apoptosis in cervical cancer cells: Therapeutic potential of copper chelation for cancer treatment. Bioorganic Chem. 2019, 87, 276–290. [Google Scholar] [CrossRef] [PubMed]
- Kallus, S.; Uhlik, L.; van Schoonhoven, S.; Pelivan, K.; Berger, W.; Enyedy, É.A.; Hofmann, T.; Heffeter, P.; Kowol, C.R.; Keppler, B.K. Synthesis and biological evaluation of biotin-conjugated anticancer thiosemicarbazones and their iron(III) and copper(II) complexes. J. Inorg. Biochem. 2019, 190, 85–97. [Google Scholar] [CrossRef]
- Zhu, K.; Chen, L.; Jin, X.; Qu, C. Two Cu(II) coordination polymers based on benzene-1,3,5-tricarboxylate and 1,2,4-triazolide ligands: Their crystal structures and application of nanoparticles in anti-esophageal cancer activity evaluation. Struct. Chem. 2019, 30, 1485–1494. [Google Scholar] [CrossRef]
- Ng, P.Y.; Chye, S.M.; Tiong, Y.L.; Chan, C.W.; Tan, K.W.; Ooi, I.H.; Ng, C.H. Enantiomeric pairs of copper(II) polypyridyl-alanine complex salts: Anticancer studies. Transit. Met. Chem. 2018, 43, 479–496. [Google Scholar] [CrossRef]
- Deng, J.; Yu, P.; Zhang, Z.; Wang, J.; Cai, J.; Wu, N.; Sun, H.; Liang, H.; Yang, F. Designing anticancer copper(II) complexes by optimizing 2-pyridine-thiosemicarbazone ligands. Eur. J. Med. Chem. 2018, 158, 442–452. [Google Scholar] [CrossRef] [PubMed]
- Milunović, M.N.M.; Palamarciuc, O.; Sirbu, A.; Shova, S.; Dumitrescu, D.; Dvoranová, D.; Rapta, P.; Petrasheuskaya, T.V.; Enyedy, E.A.; Spengler, G.; et al. Insight into the Anticancer Activity of Copper(II) 5-Methylenetrimethylammonium-Thiosemicarbazonates and Their Interaction with Organic Cation Transporters. Biomolecules 2020, 10, 1213. [Google Scholar] [CrossRef] [PubMed]
- Kettenmann, S.D.; Nossol, Y.; Louka, F.R.; LeGrande, J.R.; Marine, E.; Fischer, R.C.; Mautner, F.A.; Hergl, V.; Kulak, N.; Massoud, S.S. Copper(II) Complexes with Tetradentate Piperazine-Based Ligands: DNA Cleavage and Cytotoxicity. Inorganics 2021, 9, 12. [Google Scholar] [CrossRef]
- Padnya, P.; Shibaeva, K.; Arsenyev, M.; Baryshnikova, S.; Terenteva, O.; Shiabiev, I.; Khannanov, A.; Boldyrev, A.; Gerasimov, A.; Grishaev, D.; et al. Catechol-Containing Schiff Bases on Thiacalixarene: Synthesis, Copper (II) Recognition, and Formation of Organic-Inorganic Copper-Based Materials. Molecules 2021, 26, 2334. [Google Scholar] [CrossRef]
- Özgül, G.; Taştemel, A.; Özkaya, A.R.; Bulut, M. Synthesis, characterization and comparative electrochemistry of beta and alpha tetra-[4-oxy-3-methoxybenzoic acid]-substituted Zn(II), Co(II) and Cu(II) phthalocyanines. Polyhedron 2015, 85, 181–189. [Google Scholar] [CrossRef]
- Shmelev, M.A.; Gogoleva, N.V.; Kuznetsova, G.N.; Kiskin, M.A.; Voronina, Y.K.; Yakushev, I.A.; Ivanova, T.M.; Nelyubina, Y.V.; Sidorov, A.A.; Eremenko, I. Cd(II) and Cd(II)–Eu(III) Complexes with Pentafluorobenzoic Acid Anions and N-Donor Ligands: Synthesis and Structures. Russ. J. Coord. Chem. 2020, 46, 557–572. [Google Scholar] [CrossRef]
- Zhang, C.-L.; Zhang, X.-M.; Liu, W.; Chen, S.; Mao, Z.-W.; Le, X.-Y. Synthesis, crystal structures and DNA/human serum albumin binding of ternary Cu(II) complexes containing amino acids and 6-(pyrazin-2-yl)-1,3,5-triazine-2,4-diamino. Appl. Organomet. Chem. 2017, 32, e3994. [Google Scholar] [CrossRef]
- Zhang, C.-L.; Zhang, X.-M.; Liu, W.; Chen, S.; Le, X.-Y. A copper(II) complex of 6-(pyrazin-2-yl)-1,3,5-triazine-2,4-diamine and L-serinate: Synthesis, crystal structure, DNA-binding and molecular docking studies. Transit. Met. Chem. 2018, 43, 201–209. [Google Scholar] [CrossRef]
- Dolomanov, O.V.; Bourhis, L.J.; Gildea, R.J.; Howard, J.A.K.; Puschmann, H. OLEX2: A complete structure solution, refinement and analysis program. J. Appl. Cryst. 2009, 42, 339–341. [Google Scholar] [CrossRef]
- Sheldrick, G.M. A short history of SHELX. Acta Crystallogr. Sect. A Found. Crystallogr. 2008, 64, 112–122. [Google Scholar] [CrossRef] [Green Version]
- Ding, P.; Wang, Y.; Kou, H.; Li, J.; Shi, B. Synthesis of heterobinuclear Cu(II)-Ni(II) complex: Structure, CT-DNA interaction, hydrolytic function and antibacterial studies. J. Mol. Struct. 2019, 1196, 836–843. [Google Scholar] [CrossRef]
- Chao, H.; Mei, W.-J.; Huang, Q.-W.; Ji, L.-N. DNA binding studies of ruthenium(II) complexes containing asymmetric tridentate ligands. J. Inorg. Biochem. 2002, 92, 165–170. [Google Scholar] [CrossRef]
- Na, N.; Zhao, D.-Q.; Li, H.; Jiang, N.; Wen, J.-Y.; Liu, H.-Y. DNA Binding, Photonuclease Activity and Human Serum Albumin Interaction of a Water-Soluble Freebase Carboxyl Corrole. Molecules 2015, 21, 54. [Google Scholar] [CrossRef] [PubMed]
- Draksharapu, A.; Boersma, A.J.; Leising, M.; Meetsma, A.; Browne, W.R.; Roelfes, G. Binding of copper(ii) polypyridyl complexes to DNA and consequences for DNA-based asymmetric catalysis. Dalton Trans. 2014, 44, 3647–3655. [Google Scholar] [CrossRef] [PubMed]
- Jiang, W.; Zhou, Q.; Liu, M.; Zhang, F.; Kuang, D.; Tan, Y. Microwave assisted synthesis of disubstituted benzyltin arylformylhydrazone complexes: Anticancer activity and DNA-binding properties. Appl. Organomet. Chem. 2019, 33, e5092. [Google Scholar] [CrossRef]
- Huang, J.-T.; Wang, X.-L.; Zhang, Y.; Mahmood, M.H.; Huang, Y.-Y.; Ying, X.; Ji, L.-N.; Liu, H.-Y. DNA binding and nuclease activity of a water-soluble sulfonated manganese(III) corrole. Transit. Met. Chem. 2013, 38, 283–289. [Google Scholar] [CrossRef]
- Wang, C.-X.; Yan, F.-F.; Zhang, Y.-X.; Ye, L. Spectroscopic investigation of the interaction between rifabutin and bovine serum albumin. J. Photochem. Photobiol. A Chem. 2007, 192, 23–28. [Google Scholar] [CrossRef]
- Zhang, Y.; Wen, J.-Y.; Mahmood, M.H.; Wang, X.-L.; Lv, B.-B.; Ying, X.; Wang, H.; Ji, L.-N.; Liu, H.-Y. DNA/HSA interaction and nuclease activity of an iron(III) amphiphilic sulfonated corrole. Luminescence 2015, 30, 1045–1054. [Google Scholar] [CrossRef]
- Zhang, G.; Ma, Y. Mechanistic and conformational studies on the interaction of food dye amaranth with human serum albumin by multispectroscopic methods. Food Chem. 2013, 136, 442–449. [Google Scholar] [CrossRef] [PubMed]
- Kandagal, P.; Ashoka, S.; Seetharamappa, J.; Shaikh, S.; Jadegoud, Y.; Ijare, O. Study of the interaction of an anticancer drug with human and bovine serum albumin: Spectroscopic approach. J. Pharm. Biomed. Anal. 2006, 41, 393–399. [Google Scholar] [CrossRef] [PubMed]
- Fernández-Sainz, J.; Liñán, P.J.P.; Granadino-Roldan, J.M.; Bravo, I.; Garzón, A.; Martinez, J.R.; Albaladejo, J. Binding of the anticancer drug BI-2536 to human serum albumin. A spectroscopic and theoretical study. J. Photochem. Photobiol. B Biol. 2017, 172, 77–87. [Google Scholar] [CrossRef]
- Hindie, E.; Morgat, C.; Zanotti-Fregonara, P.; Haissaguerre, M.; Bordenave, L.; Tabarin, A. Advantages and Limits of Targeted Radionuclide Therapy with Somatostatin Antagonists. J. Nucl. Med. 2017, 59, 546–547. [Google Scholar] [CrossRef] [PubMed]
- Gurumoorthy, P.; Mahendiran, D.; Prabhu, D.; Arulvasu, C.; Rahiman, A.K. Mixed-ligand copper(II) phenolate complexes: Synthesis, spectral characterization, phosphate-hydrolysis, antioxidant, DNA interaction and cytotoxic studies. J. Mol. Struct. 2015, 1080, 88–98. [Google Scholar] [CrossRef]
- El-Deen, I.; Shoair, A.; El-Bindary, M. Synthesis, characterization and biological properties of oxovanadium(IV) complexes. J. Mol. Struct. 2019, 1180, 420–437. [Google Scholar] [CrossRef]
- Liang, Z.-H.; Wang, Y.-N.; Xiong, Z.-W.; Chen, X.-Y.; Tong, L. Studies of the anticancer activities of ruthenium(II) polypyridyl complexes toward human hepatocellular carcinoma BEL-7402 cells. Transit. Met. Chem. 2019, 44, 585–594. [Google Scholar] [CrossRef]















| Complex | 1 | 2 |
|---|---|---|
| CCDC | 2013056 | 2013057 |
| Empirical formula | C40H20Cl4CuN6O16 | C38H20Cl4CuN6O16 |
| Formula weight | 1045.96 | 1021.94 |
| Temperature (K) | 296(2) | 296(2) |
| Wavelength (Å) | 0.71073 | 0.71073 |
| Crystal system | Monoclinic | Monoclinic |
| Space group | C2/c | C2/c |
| a (Å) | 21.8874(6) | 21.7978(6) |
| b (Å) | 13.7262(4) | 13.8337(4) |
| c (Å) | 14.1778(5) | 14.0676(4) |
| α (°) | 90 | 90 |
| β (°) | 101.336(3) | 100.120(2) |
| γ (°) | 90 | 90 |
| Volume (Å3) | 4,176.4(2) | 4,176.0(2) |
| Z | 4 | 4 |
| Dcalcd. (Mg·m−3) | 1.664 | 1.625 |
| μ (mm−1) | 0.862 | 0.860 |
| F (000) | 2108 | 2060 |
| Crystal size (mm) | 0.31 × 0.25 × 0.14 | 0.24 × 0.16 × 0.14 |
| θ (°) | 1.90–25.00 | 1.90–25.00 |
| Limiting indices | −25 ≤ h ≤ 26, −15 ≤ k ≤ 16, −16 ≤ l ≤ 16 | −25 ≤ h ≤ 23, −16 ≤ k ≤ 15, −16 ≤ l ≤ 15 |
| Reflections collected/unique | 16,512/3692 [Rint = 0.0223] | 14,725/3682 [Rint = 0.0191] |
| Data/restraints/parameters | 3692/0/311 | 3682/0/301 |
| Goodness-of-fit on F2 | 1.104 | 1.081 |
| Final R indices [I > 2sigma(I)] | R1 = 0.0385, wR2 = 0.1157 | R1 = 0.0420, wR2 = 0.1194 |
| R indices (all data) | R1 = 0.0434, wR2 = 0.1240 | R1 = 0.0484, wR2 = 0.1253 |
| Largest diff. peak and hole (e/Å3) | 0.758 and −0.618 | 0.669 and −0.414 |
| Sample | IC50 (μM) | |||
|---|---|---|---|---|
| t (h) | A549 | HeLa | HepG2 | |
| 1 | 24 | 41.29 ± 1.03 | 28.50 ± 1.22 | 31.40 ± 0.63 |
| 48 | 11.60 ± 0.94 | 9.93 ± 1.36 | 11.86 ± 0.78 | |
| 72 | 6.91 ± 0.82 | 8.00 ± 1.29 | 7.89 ± 0.87 | |
| 96 | 4.88 ± 0.79 | 5.89 ± 1.81 | 6.46 ± 0.87 | |
| 2 | 24 | 145.01 ± 0.81 | 92.16 ± 0.91 | 58.25 ± 1.02 |
| 48 | 45.03 ± 1.02 | 37.58 ± 0.85 | 27.99 ± 0.94 | |
| 72 | 34.59 ± 1.01 | 29.96 ± 0.77 | 23.59 ± 0.80 | |
| 96 | 26.08 ± 0.90 | 22.14 ± 0.68 | 17.97 ± 0.83 | |
| ncba | 48 | >10,000 | >10,000 | >1000 |
| cisplatin | 48 | 36.50 ± 1.76 | 37.37 ± 2.01 | 43.81 ± 1.62 |
Publisher’s Note: MDPI stays neutral with regard to jurisdictional claims in published maps and institutional affiliations. |
© 2021 by the authors. Licensee MDPI, Basel, Switzerland. This article is an open access article distributed under the terms and conditions of the Creative Commons Attribution (CC BY) license (https://creativecommons.org/licenses/by/4.0/).
Share and Cite
Zeng, Z.-F.; Huang, Q.-P.; Cai, J.-H.; Zheng, G.-J.; Huang, Q.-C.; Liu, Z.-L.; Chen, Z.-L.; Wei, Y.-H. Synthesis, Characterization, DNA/HSA Interactions, and Anticancer Activity of Two Novel Copper(II) Complexes with 4-Chloro-3-Nitrobenzoic Acid Ligand. Molecules 2021, 26, 4028. https://doi.org/10.3390/molecules26134028
Zeng Z-F, Huang Q-P, Cai J-H, Zheng G-J, Huang Q-C, Liu Z-L, Chen Z-L, Wei Y-H. Synthesis, Characterization, DNA/HSA Interactions, and Anticancer Activity of Two Novel Copper(II) Complexes with 4-Chloro-3-Nitrobenzoic Acid Ligand. Molecules. 2021; 26(13):4028. https://doi.org/10.3390/molecules26134028
Chicago/Turabian StyleZeng, Zhen-Fang, Qiu-Ping Huang, Jie-Hui Cai, Guang-Jin Zheng, Qiu-Chan Huang, Zi-Lu Liu, Zi-Lu Chen, and You-Huan Wei. 2021. "Synthesis, Characterization, DNA/HSA Interactions, and Anticancer Activity of Two Novel Copper(II) Complexes with 4-Chloro-3-Nitrobenzoic Acid Ligand" Molecules 26, no. 13: 4028. https://doi.org/10.3390/molecules26134028
APA StyleZeng, Z.-F., Huang, Q.-P., Cai, J.-H., Zheng, G.-J., Huang, Q.-C., Liu, Z.-L., Chen, Z.-L., & Wei, Y.-H. (2021). Synthesis, Characterization, DNA/HSA Interactions, and Anticancer Activity of Two Novel Copper(II) Complexes with 4-Chloro-3-Nitrobenzoic Acid Ligand. Molecules, 26(13), 4028. https://doi.org/10.3390/molecules26134028

