Biosynthesized ZnO Nanoparticles Using Albizia lebbeck Extract Induced Biochemical and Morphological Alterations in Wistar Rats
Abstract
1. Introduction
2. Results
2.1. Average Weight of the Animals
2.2. Biochemical Parameters Analysis
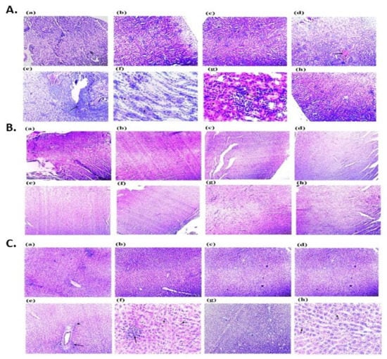
2.3. Histopathological Examinations
3. Discussion
4. Materials and Methods
4.1. Chemicals
4.2. Synthesis of Zinc Oxide Nanoparticles
4.3. Characterization of Biosynthesized Zinc Oxide Nanoparticles




4.4. Experimental Animals
4.5. Experimental Design and Treatments
4.6. Blood Sampling and Tissue Preparation
4.7. Biochemical Parameters Analysis
4.8. Histopathological Examination
4.9. Statistical Analysis
5. Conclusions
Author Contributions
Funding
Institutional Review Board Statement
Informed Consent Statement
Data Availability Statement
Acknowledgments
Conflicts of Interest
Abbreviations
| ZnO NPs | zinc oxide nanoparticles |
| NPs | nanoparticles |
| ZnO NPsAL | Zinc oxide nanoparticles synthesized using A. lebbeck stem extract |
| FDA | food and drug administration |
| ALP | alkaline phosphatase |
| ALT | alanine aminotransferase |
| AST | aspartate aminotransferase |
| CREA | creatinine |
| TBIL | total bilirubin |
| DBIL | Direct bilirubin |
| TC | Total Cholesterol |
| TG | Triacylglycerols |
| HDL-C | High Density Lipoprotein |
| ALB | Albumin |
| GLB | Globulin |
| Uv-Vis | UV-visible spectrophotometer |
| XRD | X-ray diffractometer |
| SEM | scanning electron microscope |
| EDS | X-ray spectroscopy |
| A | normal control group |
| B1 | treated with 0.01 M ZnO NPsAL (80 mg kg−1) |
| B2 | treated with 0.01 M ZnO NPsAL (40 mg kg−1) |
| C1 | treated with 0.05 M ZnO NPsAL (80 mg kg−1) |
| C2 | treated with 0.05 M ZnO NPsAL (40 mg kg−1) |
| D1 | treated with 0.1 M ZnO NPsAL (80 mg kg−1) |
| D2 | treated with 0.1 M ZnO NPsAL (40 mg kg−1) |
| E | treated with Zinc nitrate solution (80/40 mg kg−1) |
References
- Khan, Z.U.H.; Khan, A.; Chen, Y.; Shah, N.S.; Muhammad, N.; Khan, A.U.; Tahir, K.; Khan, F.U.; Murtaza, B.; Hassan, S.U.; et al. Biomedical applications of green synthesized Nobel metal nanoparticles. J. Photochem. Photobiol. B Biol. 2017, 173, 150–164. [Google Scholar] [CrossRef] [PubMed]
- Tabrez, S.; Musarrat, J.; Al-khedhairy, A.A. biointerfaces countering drug resistance, infectious diseases, and sepsis using metal and metal oxides nanoparticles: Current status. Colloids Surf. B Biointerfaces 2016, 146, 70–83. [Google Scholar]
- Pardeshi, S.K.; Patil, A.B. Effect of morphology and crystallite size on solar photocatalytic activity of zinc oxide synthesized by solution free Mechano chemical method. J. Mol. Catal. A Chem. 2009, 308, 32–40. [Google Scholar] [CrossRef]
- Mittal, A.K.; Chisti, Y.; Banerjee, U.C. Synthesis of metallic nanoparticles using plant extracts. Biotechnol. Adv. 2013, 31, 346–356. [Google Scholar] [CrossRef] [PubMed]
- Rasmussen, J.W.; Martinez, E.; Louka, P.; Wingett, D.G. Zinc oxide nanoparticles for selective destruction of tumor cells and potential for drug delivery applications. Expert Opin. Drug Deliv. 2010, 7, 1063–1077. [Google Scholar] [CrossRef] [PubMed]
- Gaharwar, A.; Peppas, N.A.; Khademhosseini, A. Nanocomposite hydrogels for biomedical applications. Biotechnol. Bioeng. 2014, 111, 441–453. [Google Scholar] [CrossRef]
- Jansen, J.; Karges, W.; Rink, L. Zinc and diabetes—Clinical links and molecular mechanisms. J. Nutr. Biochem. 2009, 20, 399–417. [Google Scholar] [CrossRef]
- Saif, S.; Tahir, A.; Chen, Y. Green synthesis of iron nanoparticles and their environmental applications and implications. Nanomaterials 2016, 6, 209. [Google Scholar] [CrossRef]
- Suresh, J.; Pradheesh, G.; Alexramani, V.; Sundrarajan, M.; Hong, S.I. Green synthesis and characterization of zinc oxide nanoparticle using insulin plant (Costus pictus D. Don) and investigation of its antimicrobial as well as anticancer activities. Adv. Nat. Sci. Nanosci. Nanotechnol. 2018, 9, 015008. [Google Scholar] [CrossRef]
- Rajiv, P.; Rajeshwari, S.; Venckatesh, R. Bio-Fabrication of zinc oxide nanoparticles using leaf extract of Parthenium hysterophorus L. and its size-dependent antifungal activity against plant fungal pathogens. Spectrochim. Acta Part A Mol. Biomol. Spectrosc. 2013, 112, 384–387. [Google Scholar] [CrossRef]
- Umar, H.; Kavaz, D.; Rizaner, N. Biosynthesis of zinc oxide nanoparticles using Albizia lebbeck stem bark, and evaluation of its antimicrobial, antioxidant, and cytotoxic activities on human breast cancer cell lines. Int. J. Nanomed. 2018, 14, 87–100. [Google Scholar] [CrossRef]
- El-Gharbawy, R.M.; Emara, A.M.; Abu-Risha, S.E.-S. Zinc oxide nanoparticles and a standard antidiabetic drug restore the function and structure of beta cells in Type-2 diabetes. Biomed. Pharmacother. 2016, 84, 810–820. [Google Scholar] [CrossRef]
- Kavaz, D.; Umar, H.; Zimuto, T. Biosynthesis of gold nanoparticles using Scytosiphon lomentaria (Brown algae) and Spyridia filamentosa (Red algae) from Kyrenia Region and evaluation of their antimicrobial and antioxidant activity. Hacet. J. Biol. Chem. 2019. [Google Scholar] [CrossRef]
- Al-Massarani, S.M.; El Gamal, A.A.; El Halim, M.F.A.; Al-Said, M.S.; Abdel-Kader, M.S.; Basudan, O.A.; Alqasoumi, S.I. New acyclic secondary metabolites from the biologically active fraction of Albizia lebbeck flowers. Saudi Pharm. J. 2017, 25, 110–119. [Google Scholar] [CrossRef]
- Islam, S.; Shajib, S.; Datta, B.K.; Rashid, M.A. Neuropharmacological activities of methanol extract of Albizia lebbeck (L.) benth. Bangladesh Pharm. J. 2018, 21, 80–86. [Google Scholar] [CrossRef]
- Ahmed, D.; Kumar, V.; Sharma, M.; Verma, A. Target guided isolation, in-vitro antidiabetic, antioxidant activity and molecular docking studies of some flavonoids from Albizzia lebbeck Benth. bark. BMC Complement. Altern. Med. 2014, 14, 155. [Google Scholar] [CrossRef]
- Cruz, D.M.; Mostafavi, E.; Vernet-Crua, A.; Barabadi, H.; Shah, V.; Cholula-Díaz, J.L.; Guisbiers, G.; Webster, T.J. Green nanotechnology-based zinc oxide (ZnO) nanomaterials for biomedical applications: A review. J. Phys. Mater. 2020, 3, 034005. [Google Scholar] [CrossRef]
- Adeyemi, O.S.; Sulaiman, F.A.; Akanji, M.A.; Oloyede, H.O.B.; Olatunde, A.; Salman, S.T.; Aransiola, A.R.; Ajayi, A.G.; Ekundayo, M.M.; Abubakar, F.A.; et al. Biochemical and morphological changes in rats exposed to platinum nanoparticles. Comp. Haematol. Int. 2016, 25, 855–864. [Google Scholar] [CrossRef]
- Orisakwe, O.E.; Husaini, D.C.; Afonne, O.J. Testicular effects of sub-chronic administration of Hibiscus sabdariffa calyx aqueous extract in rats. Reprod. Toxicol. 2004, 18, 295–298. [Google Scholar] [CrossRef]
- Sulaiman, F.A.; Adeyemi, O.; Akanji, M.A.; Oloyede, H.O.B.; Sulaiman, A.A.; Olatunde, A.; Hoseni, A.A.; Olowolafe, Y.V.; Nlebedim, R.N.; Muritala, H.; et al. Biochemical and morphological alterations caused by silver nanoparticles in Wistar rats. J. Acute Med. 2015, 5, 96–102. [Google Scholar] [CrossRef]
- Torabi, F.; Shafaroudi, M.M.; Rezaei, N. Combined protective effect of zinc oxide nanoparticles and melatonin on cyclophosphamide-induced toxicity in testicular histology and sperm parameters in adult Wistar rats. Int. J. Reprod. Biomed. 2017, 15, 403–412. [Google Scholar] [CrossRef]
- Francis, G.A.; Fayard, E.; Picard, F.; Auwerx, J. Nuclear receptors and the control of metabolism. Annu. Rev. Physiol. 2003, 65, 261–311. [Google Scholar] [CrossRef] [PubMed]
- Adeyemi, O.; Adewumi, I. Biochemical evaluation of silver nanoparticles in wistar rats. Int. Sch. Res. Not. 2014, 2014, 1–8. [Google Scholar] [CrossRef]
- Sheth, S.G.; Flamm, S.L.; Gordon, F.D.; Chopra, S. AST/ALT ratio predicts cirrhosis in patients with chronic hepatitis C virus infection. Am. J. Gastroenterol. 1998, 93, 44–48. [Google Scholar] [CrossRef]
- Lee, J.-W.; Kim, J.-E.; Shin, Y.-J.; Ryu, J.-S.; Eom, I.-C.; Lee, J.S.; Kim, Y.; Kim, P.-J.; Choi, K.-H.; Lee, B.-C. Serum and ultrastructure responses of common carp (Cyprinus carpio L.) during long-term exposure to zinc oxide nanoparticles. Ecotoxicol. Environ. Saf. 2014, 104, 9–17. [Google Scholar] [CrossRef]
- Jeong, J.; Kim, J.; Seok, S.H.; Cho, W.-S. Indium oxide (In2O3) nanoparticles induce progressive lung injury distinct from lung injuries by copper oxide (CuO) and nickel oxide (NiO) nanoparticles. Arch. Toxicol. 2015, 90, 817–828. [Google Scholar] [CrossRef]
- Sulaiman, F.; Akanji, M.; Oloyede, H.; Olatunde, A.; Joel, E.; Adewale, T.; Adeboye, H.; Idris, S.; Quadri, A.; Oyegoke, R.; et al. Oral exposure to silver/gold nanoparticles: Status of rat lipid profile, serum metabolites and tissue morphology. J. Med. Sci. 2015, 15, 71–79. [Google Scholar] [CrossRef][Green Version]
- Schrand, A.M.; Rahman, M.F.; Hussain, S.M.; Schlager, J.J.; Smith, D.A.; Syed, A.F. Metal-based nanoparticles and their toxicity assessment. Wiley Interdiscip. Rev. Nanomed. Nanobiotechnol. 2010, 2, 544–568. [Google Scholar] [CrossRef] [PubMed]
- Beishuizen, C.R.L.; Stephan, B.C.M.; Van Gool, W.A.; Brayne, C.; Peters, R.J.G.; Andrieu, S.; Kivipelto, M.; Soininen, H.; Busschers, W.B.; Van Charante, E.P.M.; et al. Web-based interventions targeting cardiovascular risk factors in middle-aged and older people: A systematic review and meta-analysis. J. Med. Internet Res. 2016, 18, e55. [Google Scholar] [CrossRef]
- Adeyemi, O.S.; Sulaiman, F.A. Co-administration of iron sulphate and nitroglycerin promoted oxidative stress and mild tissue damage in Wistar rats. Comp. Haematol. Int. 2013, 23, 1525–1533. [Google Scholar] [CrossRef]
- Hua-Qiao, T.; Min, X.; Qian, R.; Ru-Wen, J.; Qi-Ji, L.; Li, Y.-L. The effect of ZnO nanoparticles on liver function in rats. Int. J. Nanomed. 2016, 11, 4275–4285. [Google Scholar] [CrossRef]
- Liu, J.-H.; Ma, X.; Xu, Y.; Tang, H.; Yang, S.-T.; Yang, Y.-F.; Kang, D.-D.; Wang, H.; Liu, Y. Low toxicity and accumulation of zinc oxide nanoparticles in mice after 270-day consecutive dietary supplementation. Toxicol. Res. 2017, 6, 134–143. [Google Scholar] [CrossRef]
- Boor, P.; Ostendorf, T.; Floege, J. Renal fibrosis: Novel insights into mechanisms and therapeutic targets. Nat. Rev. Nephrol. 2010, 6, 643–656. [Google Scholar] [CrossRef]
- Fischer, R.S.; Vangala, C.; Truong, L.; Mandayam, S.; Chavarria, D.; Llanes, O.M.G.; Laguna, M.U.F.; Baez, A.G.; Garcia, F.; García-Trabanino, R.; et al. Early detection of acute tubulointerstitial nephritis in the genesis of Mesoamerican nephropathy. Kidney Int. 2018, 93, 681–690. [Google Scholar] [CrossRef]
- Ben Slama, I. Sub-Acute Oral Toxicity of Zinc Oxide Nanoparticles in Male Rats. J. Nanomed. Nanotechnol. 2015, 6. [Google Scholar] [CrossRef]
- Hudecová, A.; Kusznierewicz, B.; Rundén-Pran, E.; Magdolenová, Z.; Hašplová, K.; Rinna, A.; Fjellsbø, L.M.; Kruszewski, M.; Lankoff, A.; Sandberg, W.J.; et al. Silver nanoparticles induce premutagenic DNA oxidation that can be prevented by phytochemicals from Gentiana asclepiadea. Mutagenesis 2012, 27, 759–769. [Google Scholar] [CrossRef]
- Ahamed, M.; Ali, D.; Alhadlaq, H.; Akhtar, M.J. Nickel oxide nanoparticles exert cytotoxicity via oxidative stress and induce apoptotic response in human liver cells (HepG2). Chemosphere 2013, 93, 2514–2522. [Google Scholar] [CrossRef]
- Shrivastava, R.; Kushwaha, P.; Bhutia, Y.C.; Flora, S. Oxidative stress following exposure to silver and gold nanoparticles in mice. Toxicol. Ind. Health 2014, 32, 1391–1404. [Google Scholar] [CrossRef]
- Effects of zinc oxide nanoparticles on renal function in mice. Int. J. Biosci. 2014, 5. [CrossRef]
- Paek, H.-J.; Lee, Y.-J.; Chung, H.-E.; Yoo, N.-H.; Lee, J.-A.; Kim, M.-K.; Lee, J.K.; Jeong, J.; Choi, S.-J. Modulation of the pharmacokinetics of zinc oxide nanoparticles and their fates in vivo. Nanoscale 2013, 5, 11416–11427. [Google Scholar] [CrossRef]
- Wang, L.; Wang, L.; Ding, W.; Zhang, F. Acute Toxicity of Ferric Oxide and Zinc Oxide Nanoparticles in Rats. J. Nanosci. Nanotechnol. 2010, 10, 8617–8624. [Google Scholar] [CrossRef]
- Zare, E.; Pourseyedi, S.; Khatami, M.; Darezereshki, E. Simple biosynthesis of zinc oxide nanoparticles using nature’s source, and it’s in vitro bio-activity. J. Mol. Struct. 2017, 1146, 96–103. [Google Scholar] [CrossRef]
- Krishnaveni, P.; Gowda, V.M. Assessing the validity of friedewald’s formula and anandraja’s formula for serum L DL -cholesterol calculation. J. Clin. Diagn. Res. 2015, 9, BC01–BC04. [Google Scholar] [CrossRef]
- Olivares, R.W.I.; Postma, G.; Schapira, A.; Iglesias, D.E.; Valdez, L.B.; Breininger, E.; Gazzaneo, P.D.; Minatel, L. Biochemical and morphological alterations in hearts of copper-deficient bovines. Biol. Trace Element Res. 2019, 189, 447–455. [Google Scholar] [CrossRef]





| Group | ALP (U/L) | ALT (U/L) | AST (U/L) | |||
|---|---|---|---|---|---|---|
| Control | 37.60 | ±4.1 | 3.80 | ±0.5 | 11.20 | ±0.7 |
| 0.01M ZnO NPsAL (80 mg kg−1) | 37.00 | ±7.4 | 6.20 | ±0.5 * | 12.40 | ±1.1 |
| 0.01M ZnO NPsAL (40 mg kg−1) | 36.40 | ±2.1 | 6.00 | ±0.5 * | 11.80 | ±0.7 |
| 0.05M ZnO NPsAL (80 mg kg−1) | 31.60 | ±6.8 | 7.00 | ±0.9 * | 12.40 | ±1.1 |
| 0.05M ZnO NPsAL (40 mg kg−1) | 33.20 | ±4.1 | 6.20 | ±0.5 * | 11.20 | ±0.7 |
| 0.1M ZnO NPsAL (80 mg kg−1) | 11.80 | ±3.4 * | 6.80 | ±0.5 * | 13.00 | ±0.9 |
| 0.1M ZnO NPsAL (40 mg kg−1) | 23.40 | ±6.6 * | 6.80 | ±1.0 * | 11.20 | ±0.7 |
| Zinc nitrate solution | 34.20 | ±6.0 | 6.20 | ±0.5 * | 10.00 | ±0.9 |
| Group | Concentration | Kidney | Heart | Liver |
|---|---|---|---|---|
| A | Control | Intact tissue morphology | Intact tissue morphology | Intact tissue morphology |
| B1 | 0.01 M 80 mg kg−1 | Intact tissue morphology | Intact tissue morphology | Intact tissue morphology |
| B2 | 0.01 M 40 mg kg−1 | Intact tissue morphology | Intact tissue morphology | Intact tissue morphology |
| C1 | 0.05 M 80 mg kg−1 | Vascular congestion | Intact tissue morphology | Cytoplasmic vacuolation |
| C2 | 0.05 M 40 mg kg−1 | Inflammation, necrosis, and desquamation of renal epithelium | Intact tissue morphology | Cytoplasmic vacuolation |
| D1 | 0.1 M 80 mg kg−1 | Peritubular inflammation and necrosis | Intact tissue morphology | Periportal inflammation |
| D2 | 0.1 M 40 mg kg−1 | Renal tubular necrosis | Intact tissue morphology | Periportal inflammation and fibrosis |
| E | Zn(NO3)2 | Intact tissue morphology | Intact tissue morphology | Intact tissue morphology |
Publisher’s Note: MDPI stays neutral with regard to jurisdictional claims in published maps and institutional affiliations. |
© 2021 by the authors. Licensee MDPI, Basel, Switzerland. This article is an open access article distributed under the terms and conditions of the Creative Commons Attribution (CC BY) license (https://creativecommons.org/licenses/by/4.0/).
Share and Cite
Kavaz, D.; Abubakar, A.L.; Rizaner, N.; Umar, H. Biosynthesized ZnO Nanoparticles Using Albizia lebbeck Extract Induced Biochemical and Morphological Alterations in Wistar Rats. Molecules 2021, 26, 3864. https://doi.org/10.3390/molecules26133864
Kavaz D, Abubakar AL, Rizaner N, Umar H. Biosynthesized ZnO Nanoparticles Using Albizia lebbeck Extract Induced Biochemical and Morphological Alterations in Wistar Rats. Molecules. 2021; 26(13):3864. https://doi.org/10.3390/molecules26133864
Chicago/Turabian StyleKavaz, Doga, Amina Lawan Abubakar, Nahit Rizaner, and Huzaifa Umar. 2021. "Biosynthesized ZnO Nanoparticles Using Albizia lebbeck Extract Induced Biochemical and Morphological Alterations in Wistar Rats" Molecules 26, no. 13: 3864. https://doi.org/10.3390/molecules26133864
APA StyleKavaz, D., Abubakar, A. L., Rizaner, N., & Umar, H. (2021). Biosynthesized ZnO Nanoparticles Using Albizia lebbeck Extract Induced Biochemical and Morphological Alterations in Wistar Rats. Molecules, 26(13), 3864. https://doi.org/10.3390/molecules26133864

