Multimodal Ligand Binding Studies of Human and Mouse G-Coupled Taste Receptors to Correlate Their Species-Specific Sweetness Tasting Properties
Abstract
1. Introduction
2. Results
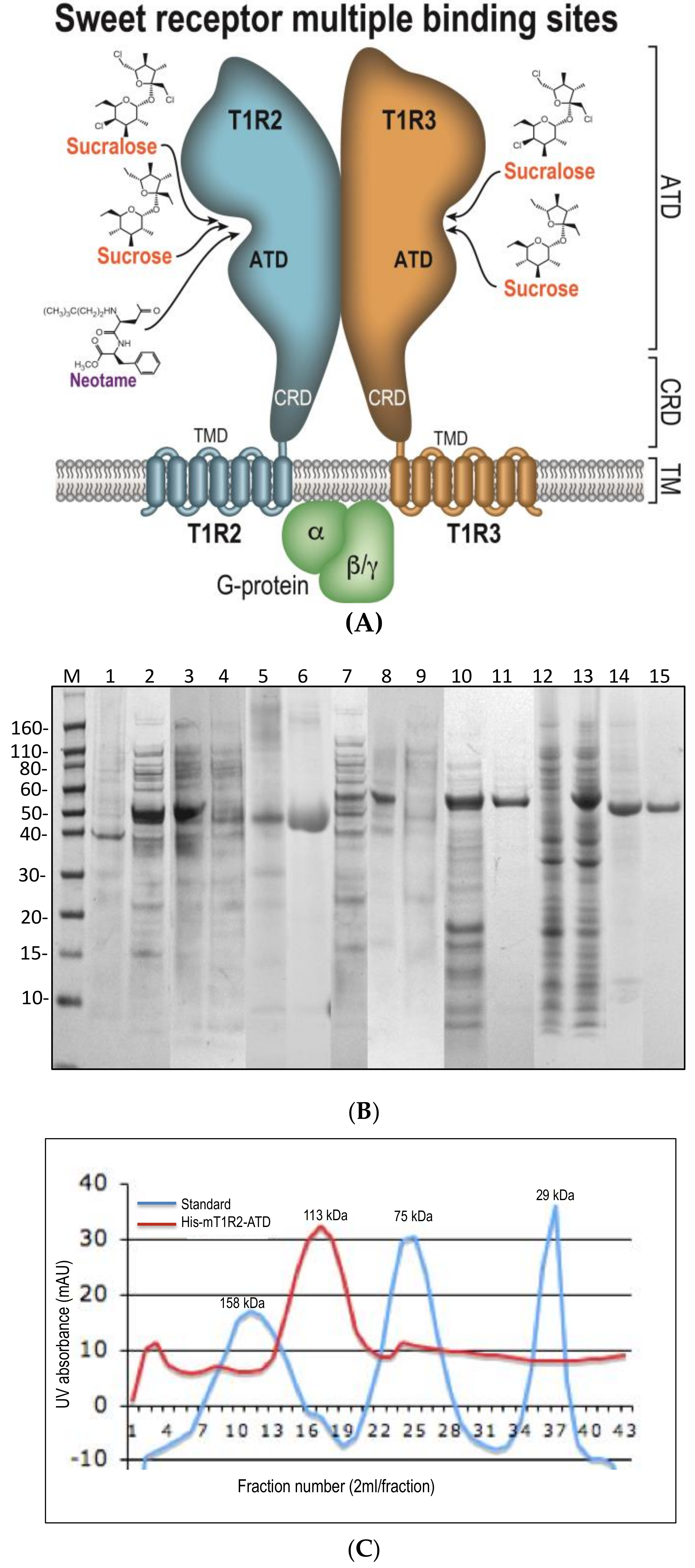
2.1. Protein Production and Purification of the Human and the Mouse ATD T1R2 Proteins
2.2. Ligand Binding to the Human Receptor T1R2 ATD Results in Secondary Structural Changes
2.3. Intrinsic Fluorescence Measurements Indicate That Ligand Binding Affects Tryptophan Residues in Human and Mouse T1R2 ATDs
2.4. Monitoring Direct Ligand Binding by Saturation Transfer Difference (STD) NMR Spectroscopy
2.5. Monitoring Thermal Stability of Human and Mouse ATDs in the Ligand Bound and Unbound States
3. Discussion
4. Materials and Methods
4.1. Production and Purification of Mouse and Human T1R2 ATD Constructs
4.2. Saturation Transfer Difference Spectroscopy (STD-NMR)
4.3. Circular Dichroism Spectroscopy (CD)
4.4. Intrinsic Fluorescence Spectroscopy (Fl)
4.5. Differential Scanning Calorimetry (DSC)
5. Conclusions
Author Contributions
Funding
Acknowledgments
Conflicts of Interest
References
- Kobilka, B.K. G protein coupled receptor structure and activation. Biochim. Biophys. Acta 2007, 1768, 794–807. [Google Scholar] [CrossRef] [PubMed]
- Temussi, P.A. Sweet, bitter and umami receptors: A complex relationship. Trends Biochem. Sci. 2009, 34, 296–302. [Google Scholar] [CrossRef] [PubMed]
- Li, X.; Staszewski, L.; Xu, H.; Durick, K.; Zoller, M.; Adler, E. Human receptors for sweet and umami taste. Proc. Natl. Acad. Sci. USA 2002, 99, 4692–4696. [Google Scholar] [CrossRef] [PubMed]
- Nelson, G.; Chandrashekar, J.; Hoon, M.A.; Feng, L.; Zhao, G.; Ryba, N.J.; Zuker, C.S. An amino-acid taste receptor. Nature 2002, 416, 199–202. [Google Scholar] [CrossRef] [PubMed]
- Jiang, P.; Ji, Q.; Liu, Z.; Snyder, L.A.; Benard, L.M.; Margolskee, R.F.; Max, M. The cysteine-rich region of T1R3 determines responses to intensely sweet proteins. J. Biol. Chem. 2004, 279, 45068–45075. [Google Scholar] [CrossRef] [PubMed]
- Xu, H.; Staszewski, L.; Tang, H.; Adler, E.; Zoller, M.; Li, X. Different functional roles of T1R subunits in the heteromeric taste receptors. Proc. Natl. Acad. Sci. USA 2004, 101, 14258–14263. [Google Scholar] [CrossRef] [PubMed]
- Zhao, G.Q.; Zhang, Y.; Hoon, M.A.; Chandrashekar, J.; Erlenbach, I.; Ryba, N.J.; Zuker, C.S. The receptors for mammalian sweet and umami taste. Cell 2003, 115, 255–266. [Google Scholar] [CrossRef]
- Nie, Y.; Vigues, S.; Hobbs, J.R.; Conn, J.R.; Munger, S.D. Distinct contributions of T1R2 and T1R3 taste receptor subunits to the detection of sweet stimuli. Curr. Biol. 2005, 15, 1948–1952. [Google Scholar] [CrossRef] [PubMed]
- Maîtrepierre, E.; Sigoillot, M.; Le Pessot, L.; Briand, L. Recombinant expression, in vitro refolding, and biophysical characterization of the N-terminal domain of T1R3 taste receptor. Protein Expr. Purif. 2012, 83, 75–83. [Google Scholar] [CrossRef] [PubMed]
- Assadi-Porter, F.M.; Patry, S.; Markley, J.L. Efficient and rapid protein expression and purification of small high disulfide containing sweet protein brazzein in E. coli. Protein Expr. Purif. 2008, 58, 263–268. [Google Scholar] [CrossRef] [PubMed]
- Assadi-Porter, F.M.; Maillet, E.L.; Radek, J.T.; Quijada, J.; Markley, J.L.; Max, M. Key Amino Acid Residues Involved in Multi-Point Binding Interactions between Brazzein, a Sweet Protein, and the T1R2–T1R3 Human Sweet Receptor. J. Mol. Biol. 2010, 398, 584–599. [Google Scholar] [CrossRef] [PubMed]
- Masuda, K.; Koizuma, A.; Nakajima, K.; Tanaka, T.; Abe, K.; Misaka, T.; Ishiguro, M. Characterization of the Modes of Binding between Human Sweet Taste Receptor and Low-Molecular-Weight Sweet Compounds. PLoS ONE 2012, 7, e35380. [Google Scholar] [CrossRef] [PubMed]
- Assadi-Porter, F.M.; Tonelli, M.; Maillet, E.; Hallenga, K.; Benard, O.; Max, M.; Markley, J.L. NMR detection of the binding of functional ligands to the human sweet receptor, a heterodimeric family 3 GPCR. J. Am. Chem. Soc. 2008, 130, 7212–7213. [Google Scholar] [CrossRef] [PubMed]
- Dong, W.; Chen, G.; Chen, Z.; Deng, S. Thermodynamics of the enantiomers of amino acid and monosaccharide binding to fullerenol used as an artificial sweet taste receptor model. Food Chem. 2013, 141, 3110–3117. [Google Scholar] [CrossRef] [PubMed]
- Bradford, M.M. Rapid and sensitive method for the quantitation of microgram quantities of protein utilizing the principle of protein-dye binding. Anal. Biochem. 1976, 72, 248–254. [Google Scholar] [CrossRef]
- Chen, Y.; Yang, J.T.; Martinez, H.M. Determination of the secondary structures of proteins by circular dichroism and optical rotatory dispersion. Biochemistry 1972, 11, 4120–4131. [Google Scholar] [CrossRef] [PubMed]
- Martin, S.R.; Schilstra, M.J.; Siligardi, G. Circular dichroism; Biophysical Approaches Determining Ligand Binding to Biomolecular Targets, Detection, Measurement and Modelling; Podjarmy, A., Dejaegere, A., Kieffer, B., Eds.; RSC Publishing: Cambridge, UK, 2011; pp. 226–246. [Google Scholar]
Sample Availability: Constructs for mouse and human ATDs are available from the NMRFAM. |








| Ligand | KD Values |
|---|---|
| Acetasulfame | 100 μM |
| Aspartame | >300 μM |
| Cyclamate | ND |
| Neotame | 50 μM |
| Saccharin | >1 mM |
| Sucrose | 40 μM |
| Sucralose | 40 μM |
| d-Tryptophan | 500 μM |
| MSG | ND |
| Parameters | His-hT1R2 ATD − Neotame | His-hT1R2 ATD + Neotame |
| Tm1 | 52.19 ± 0.22 °C | 49.64 ± 0.14 °C |
| ∆H1 | 14,980 ± 2170 cal/mole | 17,770 ± 2510 cal/mole |
| Tm2 | 62.60 ± 0.91 °C | 54.09 ± 0.41 °C |
| ∆H2 | 22,030 ± 2300 cal/mole | 18,500 ± 2620 cal/mole |
| His-mT1R2 ATD − Neotame | His-mT1R2 ATD + Neotame | |
| Tm1 | 54.88 ± 0.11 °C | 54.20 ± 0.15 °C |
| ∆H1 | 20,390 ± 1260 cal/mole | 50,010 ± 2910 cal/mole |
| Tm2 | 62.49 ± 0.32 °C | 61.78 ± 0.89 °C |
| ∆H2 | 15,130 ± 1170 cal/mole | 25,300 ± 3280 cal/mole |
© 2018 by the authors. Licensee MDPI, Basel, Switzerland. This article is an open access article distributed under the terms and conditions of the Creative Commons Attribution (CC BY) license (http://creativecommons.org/licenses/by/4.0/).
Share and Cite
Assadi-Porter, F.M.; Radek, J.; Rao, H.; Tonelli, M. Multimodal Ligand Binding Studies of Human and Mouse G-Coupled Taste Receptors to Correlate Their Species-Specific Sweetness Tasting Properties. Molecules 2018, 23, 2531. https://doi.org/10.3390/molecules23102531
Assadi-Porter FM, Radek J, Rao H, Tonelli M. Multimodal Ligand Binding Studies of Human and Mouse G-Coupled Taste Receptors to Correlate Their Species-Specific Sweetness Tasting Properties. Molecules. 2018; 23(10):2531. https://doi.org/10.3390/molecules23102531
Chicago/Turabian StyleAssadi-Porter, Fariba M., James Radek, Hongyu Rao, and Marco Tonelli. 2018. "Multimodal Ligand Binding Studies of Human and Mouse G-Coupled Taste Receptors to Correlate Their Species-Specific Sweetness Tasting Properties" Molecules 23, no. 10: 2531. https://doi.org/10.3390/molecules23102531
APA StyleAssadi-Porter, F. M., Radek, J., Rao, H., & Tonelli, M. (2018). Multimodal Ligand Binding Studies of Human and Mouse G-Coupled Taste Receptors to Correlate Their Species-Specific Sweetness Tasting Properties. Molecules, 23(10), 2531. https://doi.org/10.3390/molecules23102531

